Broken Austin Moore Prosthesis
Fatigue or Failure?
Vinod Naneria
Choithram Hospital & Research
centre, Indore, India
A broken stem of Austin Moore’s hip
prosthesis
Purpose of presentation
Fatigue Failure
• It is sure implant failure.
• It requires revision.
• There is significant anterior
thigh pain.
• There are loose, hence stem
failure occur.
• It has worked for so many
years, that’s the reason it has
failed.
• Yes…………………………………!
• Just a metal fatigue
• It does not requires any
treatment.
• Hip movements are normal.
• Proximal part – femoral
head – shaft are rigidly
fixed.
• It has worked for so many
years – how can it fail?
• No……………………………..!
The debate?
• Broken stem of AMP –
– Is it loose?
– Has it failed after serving for many years?
– Why it broke?
– Is it same as broken stem of a cemented THR?
– Does it need revision?
– Is revision mendatory?
Not loose – Not failed – No revision
Observations
• All AMP were done in young age lasted long.
• Good quality bone support AMP well.
• Bone growth is noted in fenestrations of AMP.
• Hypertrophy of the calcar region noted in all
cases.
• There was no sign of loosening in any case.
• There was no sinking of proximal prosthesis in
femoral canal.
Observations - THR
• In THR stem brake due to fixed distal part and
loose proximal part.
• Since proximal part is loose, it needs revision.
• In contrast to THR, breakage of AMP stem is
due to loose distal part and a Fixed proximal
part.
Feb 2012
Oct 2013 January 2014
Loose proximally Loose & broken stem
Well fixed stem Loose stem
Broken stem
Observations
• Even in a well fixed prosthesis, there are
constant bending strain of cyclic loading
leading to remodeling of the proximal femur
and to varus setting of the head-neck of
prosthesis.
• A broken stem of AMP is a metal fatigue
failure.
Observations
• Since proximal part is well fixed, revision is not
required.
• The initial pain following breakage of stem is
due to change in the distribution of
mechanical forces, as the lateral femoral
cortex start bearing more load.
Bone in fenestration Bone hypertrophy at the tip Bone hypertrophy
lower lateral cortex
Case one
• 18 years old lady had a puerperal sepsis - 1982
• Acute renal shut down ended up in CRF.
• Had fracture neck of femur -1985.
• AMP was done considering failures of internal
fixation in CRF patients(Past experience of failure
in two cases) and limited life expectancy.
• Had Renal transplant in 1987
• She was 7th case of renal transplant at Choithram.
Case history continue…
• On regular follow up.
• Delivered a baby girl 1991.
• Severe obesity.
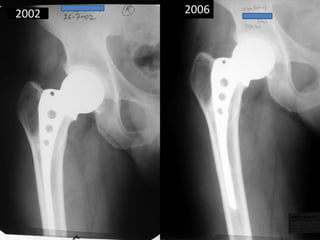
• Stem broken noted in 1995 (x-rays)
• Last follow up 2006.
• Had Ca Breast with multiple mets – died 2007.
• No x-ray changes noted between 1995 – 2006.
Case one1995 2006
2006
Case Two
• 54 years old Female
• AMP done out side.
• Had acute onset of anterior thigh pain May 2012.
• A suggestion was given to for Total Replacement
out side.
• Seen May 2012 with Broken Stem
• Full range free movements at hip
• Last seen Dec 2012.
Feb 2010
May 2012
Dec 2012
Lateral cortical
Hypertrophy
Case Two
Case Three
Lateral cortical hypertrophy and
migration of loose distal fragment medially
Case Three
• This old man had AMP left hip before 1992 (X-
rays)
• He had fracture trochanter on right side –
2000.
• DHS was done in 2000.
• Last follow up 2006.
• Rigid fixation by bone in fenestrations.
• Medial migration of distal loose piece.
Case Four
1992
Case four
2000
Case four
2006
Case Five
• 22 years old male had RTA – fracture neck
femur. 1986
• Operated by multiple Knowles Pins.
• Broken pins noted – 1988 – fracture united.
• AVN – 1990 – AMP done.
• Pain in anterior thigh 2002 due to broken
stem.
• Last follow up 2006.
1986 Knowles pinning
Pins breakage 1988
By – Late Prof. V. S. Inamdar
AVN 1990 AMP 1990
By – Late Prof. V. S. Inamdar
2002 2006
Case sixth
• This 82 years old male had an AMP – 1993
• Complains of acute anterior thigh pain since
last one month.
• A broken stem noted Sept, 2013.
• Was suggested Total Joint Replacement out
side.
• There is no difficulty in ADL.
• Left as such under observation.
Case six
Case seventh
Case eighth
• 36 yrs Male
• Bilateral AVN hips
• AMP done 1988 rt side at the age of 36 yrs
• THR cemented done on left 1990 at the age of 38.
• Revision THR for shattered femur 2007
• Sciatic palsy
• Removal of Memmen plate and wires April 2009.
• Removal of THR Sept 2009.
• Metal fatigue 2012
• Last follow up Nov 2014.
Case Eighth
• Acetabular poly wear 2007.
• Sustained periprosthetic fracture with
shattered femur.
• Non cemented “Solution Hip” with Mammam
plate and circlage wires + bone grafting of
acetabulum.
• Sciatic nerve palsy.
Case Eighth
• Persistent pain in hip
• Plate and wires removed in April 2009
• Pain in knee and hip persisting
• Solution hip system removed for suspected
low grade infection Sept. 2009.
• Serial x-rays showing broken amp in Jan 2012.
• Last follow up 2014.
• Sciatic nerve has partially improved.
2000
10 years post THR
12 years post AMP
June 2004
Signs of poly wear
Dec 2005
Well fixed
Extensive poly wear
Waiting for revision
Severe poly wear
Badly comminuted
Vancouver B3
Fracture of shaft +
Proximal loosening
Loose cement
Loose prosthesis
June 2007
June 2007
June 2008 April 2009
April 2009
Persistent pain at hip and knee
Sonography hip ? Small collection
Aspiration – culture negative
Sept 2009
Removal of prosthesis due to pain
Sept 2009
21 years post implantation
Pain free
Well fixed AMP
Hypertrophy of Calcar
Bone in the fenestration
Bone at the tip of AMP
Ambulation with cane support.
Lt. Sciatic nerve improving
Dec 2010
Incidental finding
Signs of metal fatigue
2012
Nov 2014
No pain
Not aware of broken prosthesis
AMP
1988 - 2014
Summary & Conclusion
• Broken stem is not a implant failure.
• Broken stem is not a sign of loosening of implant.
• Cyclic loading of bending forces are probably the
cause.
• A follow up of cases of broken stem for more
than 14 years, did not show any deterioration in
fixation of proximal implant.
• There was hypertrophy of the lateral cortex of
femur at the site of broken stem.
DISCLAIMER
Information contained and transmitted by this presentation is
based on personal experience and collection of cases at
Choithram Hospital & Research centre, Indore, India. It is
intended for use only by the students of orthopaedic surgery.
Views and opinion expressed in this presentation are
personal. Depending upon the x-rays and clinical
presentations viewers can make their own opinion. For any
confusion please contact the sole author for clarification.
Every body is allowed to copy or download and use the
material best suited to him. I am not responsible for any
controversies arise out of this presentation. For any
correction or suggestion please contact naneria@yahoo.com

Broken austin moore prosthesis fatigue or failure

  • 1.
    Broken Austin MooreProsthesis Fatigue or Failure? Vinod Naneria Choithram Hospital & Research centre, Indore, India
  • 2.
    A broken stemof Austin Moore’s hip prosthesis
  • 3.
    Purpose of presentation FatigueFailure • It is sure implant failure. • It requires revision. • There is significant anterior thigh pain. • There are loose, hence stem failure occur. • It has worked for so many years, that’s the reason it has failed. • Yes…………………………………! • Just a metal fatigue • It does not requires any treatment. • Hip movements are normal. • Proximal part – femoral head – shaft are rigidly fixed. • It has worked for so many years – how can it fail? • No……………………………..!
  • 4.
    The debate? • Brokenstem of AMP – – Is it loose? – Has it failed after serving for many years? – Why it broke? – Is it same as broken stem of a cemented THR? – Does it need revision? – Is revision mendatory? Not loose – Not failed – No revision
  • 5.
    Observations • All AMPwere done in young age lasted long. • Good quality bone support AMP well. • Bone growth is noted in fenestrations of AMP. • Hypertrophy of the calcar region noted in all cases. • There was no sign of loosening in any case. • There was no sinking of proximal prosthesis in femoral canal.
  • 6.
    Observations - THR •In THR stem brake due to fixed distal part and loose proximal part. • Since proximal part is loose, it needs revision. • In contrast to THR, breakage of AMP stem is due to loose distal part and a Fixed proximal part.
  • 7.
  • 8.
    Oct 2013 January2014 Loose proximally Loose & broken stem
  • 9.
    Well fixed stemLoose stem Broken stem
  • 10.
    Observations • Even ina well fixed prosthesis, there are constant bending strain of cyclic loading leading to remodeling of the proximal femur and to varus setting of the head-neck of prosthesis. • A broken stem of AMP is a metal fatigue failure.
  • 11.
    Observations • Since proximalpart is well fixed, revision is not required. • The initial pain following breakage of stem is due to change in the distribution of mechanical forces, as the lateral femoral cortex start bearing more load.
  • 12.
    Bone in fenestrationBone hypertrophy at the tip Bone hypertrophy lower lateral cortex
  • 13.
    Case one • 18years old lady had a puerperal sepsis - 1982 • Acute renal shut down ended up in CRF. • Had fracture neck of femur -1985. • AMP was done considering failures of internal fixation in CRF patients(Past experience of failure in two cases) and limited life expectancy. • Had Renal transplant in 1987 • She was 7th case of renal transplant at Choithram.
  • 14.
    Case history continue… •On regular follow up. • Delivered a baby girl 1991. • Severe obesity. • Stem broken noted in 1995 (x-rays) • Last follow up 2006. • Had Ca Breast with multiple mets – died 2007. • No x-ray changes noted between 1995 – 2006.
  • 15.
  • 16.
  • 17.
    Case Two • 54years old Female • AMP done out side. • Had acute onset of anterior thigh pain May 2012. • A suggestion was given to for Total Replacement out side. • Seen May 2012 with Broken Stem • Full range free movements at hip • Last seen Dec 2012.
  • 18.
    Feb 2010 May 2012 Dec2012 Lateral cortical Hypertrophy Case Two
  • 20.
    Case Three Lateral corticalhypertrophy and migration of loose distal fragment medially
  • 21.
    Case Three • Thisold man had AMP left hip before 1992 (X- rays) • He had fracture trochanter on right side – 2000. • DHS was done in 2000. • Last follow up 2006. • Rigid fixation by bone in fenestrations. • Medial migration of distal loose piece.
  • 22.
  • 23.
  • 24.
  • 25.
    Case Five • 22years old male had RTA – fracture neck femur. 1986 • Operated by multiple Knowles Pins. • Broken pins noted – 1988 – fracture united. • AVN – 1990 – AMP done. • Pain in anterior thigh 2002 due to broken stem. • Last follow up 2006.
  • 26.
    1986 Knowles pinning Pinsbreakage 1988 By – Late Prof. V. S. Inamdar
  • 27.
    AVN 1990 AMP1990 By – Late Prof. V. S. Inamdar
  • 28.
  • 32.
    Case sixth • This82 years old male had an AMP – 1993 • Complains of acute anterior thigh pain since last one month. • A broken stem noted Sept, 2013. • Was suggested Total Joint Replacement out side. • There is no difficulty in ADL. • Left as such under observation.
  • 34.
  • 35.
  • 36.
    Case eighth • 36yrs Male • Bilateral AVN hips • AMP done 1988 rt side at the age of 36 yrs • THR cemented done on left 1990 at the age of 38. • Revision THR for shattered femur 2007 • Sciatic palsy • Removal of Memmen plate and wires April 2009. • Removal of THR Sept 2009. • Metal fatigue 2012 • Last follow up Nov 2014.
  • 37.
    Case Eighth • Acetabularpoly wear 2007. • Sustained periprosthetic fracture with shattered femur. • Non cemented “Solution Hip” with Mammam plate and circlage wires + bone grafting of acetabulum. • Sciatic nerve palsy.
  • 38.
    Case Eighth • Persistentpain in hip • Plate and wires removed in April 2009 • Pain in knee and hip persisting • Solution hip system removed for suspected low grade infection Sept. 2009. • Serial x-rays showing broken amp in Jan 2012. • Last follow up 2014. • Sciatic nerve has partially improved.
  • 39.
    2000 10 years postTHR 12 years post AMP
  • 40.
  • 41.
    Dec 2005 Well fixed Extensivepoly wear Waiting for revision
  • 42.
    Severe poly wear Badlycomminuted Vancouver B3 Fracture of shaft + Proximal loosening Loose cement Loose prosthesis June 2007
  • 43.
  • 44.
  • 45.
    April 2009 Persistent painat hip and knee Sonography hip ? Small collection Aspiration – culture negative
  • 46.
    Sept 2009 Removal ofprosthesis due to pain
  • 47.
    Sept 2009 21 yearspost implantation Pain free Well fixed AMP Hypertrophy of Calcar Bone in the fenestration Bone at the tip of AMP Ambulation with cane support. Lt. Sciatic nerve improving
  • 48.
  • 49.
    Incidental finding Signs ofmetal fatigue 2012
  • 50.
    Nov 2014 No pain Notaware of broken prosthesis AMP 1988 - 2014
  • 51.
    Summary & Conclusion •Broken stem is not a implant failure. • Broken stem is not a sign of loosening of implant. • Cyclic loading of bending forces are probably the cause. • A follow up of cases of broken stem for more than 14 years, did not show any deterioration in fixation of proximal implant. • There was hypertrophy of the lateral cortex of femur at the site of broken stem.
  • 52.
    DISCLAIMER Information contained andtransmitted by this presentation is based on personal experience and collection of cases at Choithram Hospital & Research centre, Indore, India. It is intended for use only by the students of orthopaedic surgery. Views and opinion expressed in this presentation are personal. Depending upon the x-rays and clinical presentations viewers can make their own opinion. For any confusion please contact the sole author for clarification. Every body is allowed to copy or download and use the material best suited to him. I am not responsible for any controversies arise out of this presentation. For any correction or suggestion please contact naneria@yahoo.com