Post Infectious
Glomerulonephritis
October’15 Nephrology topic review
Sathienwit Rowsathien, Flt. Lt., MD.
Background
• PIGN is an immune mediated glomerulonephritis.
– Cause by many type of non renal infection.
– Most common is PSGN.
• PSGN 28-47% (decline from the past).
• Staphylococcus12-24%
• Gram negative bacteria 22%
Chapter 9; Infection-related GN. Kidney International Supplements (2012) 2, 200–208; doi:10.1038/kisup.2012.22
Burden of disease
• Overall, rates are higher in children than adults.
– PSGN primarily affected children (2-12 yrs)
• Only 10% in adult (>40 yrs)
• Currently, no large scale published study of infection
associated GN other than streptococcus.
Epidemiology
• Global estimated of PSGN is around 472,000/yrs
– 96.6% from less developed countries.
– Represent only the clinical case, asymptomatic case is
predicted to be 4-19 times greater.
• Incidence decline in the past decade due to
– Better health care, wide spread of ABO used.
Jackson, S.J., et.al, Systematic Review: Estimation of global burden of non-suppurative
sequelae of URI: rheumatic fever and PSGN. Trop Med Int Health, 2011. 16(1): p. 2-11.
Chapter 9; Infection-related GN. Kidney International Supplements (2012) 2, 200–208; doi:10.1038/kisup.2012.22
Samih H. Nasr, et.al, Bacterial infection-related GN in adults. Kidney international, 2013. 83: p. 792-803.
Pathogenesis
• Pathognomonic is the deposition of immune complex
in GBM, especially in PSGN (GAS).
– Nephritogenic antigens lead to the activation of
complement pathway.
• Many of Nephritogenic GAS strain, especially Streptococcal factor (M
Protein); type 1,2,3,4,12,25,49 (Skin) or 2,47,49,55,57,60 (throat).
• Nephritis associated plasmin receptor (NAPlr), co-localized with C3.
– Increase permeability of GBM.
– Deposition of immune complexs.
• C3 pathway  tissue destruction, IgG deposition.
Nordstrand, A., et.al, Pathogenic Mechanism of APSGN. Scandinavian J Infect Dis, 1999. 31(6): p. 523-537.
Rodriguez-Iturbe, B. and J.M. Musser, The current state of PSGN. J Am Soc Nephrol, 2008. 19(10): p. 1855-64.
Samih H. Nasr, et.al, Bacterial infection-related GN in adults. Kidney international, 2013. 83: p. 792-803.
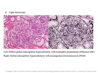
Pathological appearance
• Base on the glomerular change…
– Proliferation of mesangial, endothelial and epithelial cells,
inflammatory exudate and early deposition of C3 then IgG.
• Immune deposition classified into 3 patterns.
– Starry Sky pattern.
– Garland pattern.
– Mesangial pattern.
Sorger, K., et al., Subtypes of APIGN. Synopsis of clinical and pathological features. Clin Nephrol, 1982. 17(3): p. 114-28.
M Nagata. PIGN and variants. Division of kidney and vascular pathology, graduate school of human sciences, University of Tsukuba, Japan.
M Nagata. PIGN and variants. Division of kidney and vascular pathology, graduate school of human sciences, University of Tsukuba, Japan.
M Nagata. PIGN and variants. Division of kidney and vascular pathology, graduate school of human sciences, University of Tsukuba, Japan.
M Nagata. PIGN and variants. Division of kidney and vascular pathology, graduate school of human sciences, University of Tsukuba, Japan.
Clinical presentation
• Abrupt onset of Acute nephritis(1)
– 1-3 wks after streptococcal throat infection
– 3-6 wks after skin infection
• Typical Presentation(2)
– Hematuria, gross or microscopic (100%)
– Low complement (C3) (90%)
– Edema (75-90%)
– Proteinuria (80-92%)
– Hypertension (60-80%)
– Oliguria (10-58%)
– Other such as facial puffiness, malaise, weakness or anorexia.
(1) Nordstrand, A., et.al, Pathogenic Mechanism of APSGN. Scandinavian J Infect Dis, 1999. 31(6): p. 523-537.
(2) Sotsiou F. Postinfectious glomerulonephritis. Nephrol Dial Transplant 2001;16 Suppl 6:68-70.
Samih H. Nasr, et.al, Bacterial infection-related GN in adults. Kidney international, 2013. 83: p. 792-803.
Basic investigation
• Urinalysis reveal hematuria in all patients.
– Proteiuria may be subnephrotic or nephrotic range.
• Serum creatinine may elevated.
• Renal ultrasound may not required.
– Imaging is usually use for screening structural abnormalities.
Specific Investigation
• Antibody to streptococcus.
– Antistreptolysin O titer (ASO) following throat infections.
(90% sensitivity)
– Anti-DNAse B titers following skin infections.
(80% sensitivity)
– Other such as Anti-hyaluronidase (AHase),
Anti-streptokinase (ASKase), Anti-nicotinamide-
adenine-dinucleotidase (Anti-NAD)
• Culture evidence of streptococcus (10-70%).
• Complement level.
– Decrease of C3 and CH50.
– Normal or slightly low of C4.
Blyth CC, et.al. PSGN in Sydney: a 16-year retrospective review. J Paediatr Child Health 2007;43:446-50.
Management
• Mainstay of treatment is supportive.
– Close monitoring BP, renal function and clinical.
– Volume overload  Diuresis and restrict sodium.
– Antihypertensive as need.
• Treat underlying infection.
– Penicillin for persist streptococcal infection.
• Erythromycin if patient is allergic to Penicillin.
G Singh. PIGN. An update on Glomerulopathies – Clinical and treatment aspect ,2011:113-124.
Management
• Complete recovery is 90% of children and 60% of adult.
– The rest developed hypertension or renal failure.
• Recheck serum complement at 6-8 wks.
• Annually check BP, renal function test and urinalysis
every 1-3 month for 1 yr then yearly.
• Kidney biopsy not indicated in all patient.
G Singh. PIGN. An update on Glomerulopathies – Clinical and treatment aspect ,2011:113-124.
Management
• Pulse of IV Methylprednisolone may consider in
extensive glomerular crescent/ RPGN.
– Currently no evidence from RCT.
• Adult patient who have persistent proteinuria >1gm/
day should receive ACE-I or ARBs.
Chapter 9; Infection-related GN. Kidney International Supplements (2012) 2, 200–208; doi:10.1038/kisup.2012.22
Recovery phase
• Mostly urinary abnormalities clear within 12 wks.
– Proteinuria may persist from 6 months – 3 yrs.
– Hematuria may persists from 1-4 yrs.
• C3 level usually normalize within 8-12 wks.
Yoshizawa, N., Acute glomerulonephritis. Intern Med, 2000. 39(9): p. 687-94.
Kidney Biopsy
• Indicated in..
– Persistent of low C3 beyond 6-12 wks.
– Persistent or rapid declined of renal function.
– Persistent HTN or lack of renal improvement within 2 wks.
– Recurrent Hematuria.
– Cannot excluded other diagnosis…
• Absent history of latent period.
• Normal complement level.
• Negative anti streptococcal antibodies.
• Symptom and sign of other systemic disease such as Malar rash.
Prognosis
• Extremely variable may fully recovery or progressive.
– Children usually have excellent prognosis.
• Unfortunately, 25% of Adult will progress to CRF.
– Epidemic spreading may have better prognosis, except
S. Equi Zooepidermicus.(1)
– Lack of a clinical or biomarker for predict outcome.
• Neutrophil gelatinase-associated lipocalin (NGAL-AKI), not yet
evaluated in PIGN(2)
(1) Sesso, R. and S.W. Pinto, Five-year follow-up of patients with epidemic GN due
to Streptococcus zooepidemicus. Nephrol Dial Transplant, 2005. 20(9): p. 1808-12.
(2) Haase, M., et al., Accuracy of NGAL in diagnosis and prognosis in AKI: a systematic review
and meta-analysis. Am J Kidney Dis, 2009. 54(6): p. 1012-24.
Prognosis
• Poor prognosis indicated in…(1)
– History of childhood PSGN.(2)
– Older age.
– History of massive proteinuria.
– History of Alcoholism or drug abused.
– Underlying disease such as Diabetes, Cardiovascular and liver disease.
– Persistent abnormal renal function.
– History of dialysis at presentation.
• Biopsy feature(including crescent) or steroid treatment not
correlated with prognosis of Adult PIGN(3)
(1) Rodriguez-Iturbe, B. and J.M. Musser, The current state of PSGN. J Am Soc Nephrol, 2008. 19(10): p. 1855-64.
(2) White, A.V., et.al. Childhood PSGN as a risk factor for chronic renal disease in later life. Med J Aust, 2001. 174(10): 492-6.
(3) Nasr SH,et al. APIGN in the modern era: experience with 86 adults and review of the literature. Medicine (Baltimore) 2008; 87: 21–32.
Prevention
• Evidence base using Benzathine Penicillin G IM for halted
bacterial transmission in GAS skin infection.(1)
• In experimental, Nephritic process is prevented if penicillin is
given within 3 days of strep- infection.(2)
• Prevention of epidemic PSGN required community level
control of skin sores, infected scabies by regular washing.
• GAS vaccine currently under development.(3)
(1) Johnston, F., et al., Evaluating the use of penicillin to control outbreaks of APIGN. Pediatr Infect Dis J, 1999. 18(4): p. 327-32.
(2) Bergholm, A.M. and S.E. Holm, Effect of early penicillin treatment on the development of experimental PSGN. Acta Pathol
Microbiol Immunol Scand C, 1983. 91(4): p. 271-81.
(3) Georgousakis, M.M., et al., Moving forward: a mucosal vaccine against GAS. Expert Rev Vaccines, 2009. 8(6): p. 747-60.
Sample Variant of PIGN
• Staphylococcus associated GN.
– Associated with ventrilovascular shunt, IE .
– Some resemble IgA nephropathy.
• HBV associated GN.
• HIV associated GN such as HIVAN, Immunotactoid.
• Report case of other infection associated GN.
GN associated with IE
• Incidence range from 22-78%.
– Highest among IV drug abused.
• Most typical finding is focal and segmental
proliferative GN.
• Prognosis is good, despite ABO as IE (4-6 wks).
Shunt nephritis related GN
• Immune mediated complex GN.
– Complication of chronic infection via ventriculovascular
shunts, common in treatment of hydrocephalus.(1)
• In contrast to vascular shunt, VP shunt rarely developed GN.
• Typical type I MPGN (dense deposit mesangial and subendothelial).
• Typical organisms are Staphylococcus spp.
Iwata Y, Ohta S, Kawai K et al. Shunt nephritis with positive titers for
ANCA specific for proteinase 3. Am J Kidney Dis 2004; 43: e11–e16.
HCV infection related GN
• HCV frequently causes extrahepatic manifestation.
• Kidney involvement…
– Most common associated with type II cryoglobulinemia.(1)
• Type I MPGN (Cryoglobulin deposits).
• Best long term prognostic indicator is HCV with SVR.
– RNA clearance from serum at least 6 month.
• Paucity of controlled study in HCV associated GN.
– Rituximab plus Peg-interferon a2b and Ribavarin show good response
in stabilized kidney function in cryoglobulinemic vasculitis.(2)
(1) Chapter 9; Infection-related GN. Kidney International Supplements (2012) 2, 200–208; doi:10.1038/kisup.2012.22
(2) Saadoun D, Resche-Rigon M, Sene D et al. Rituximab combined with Peg-interferon-ribavirin in
refractory HCV -cryoglobulinaemia vasculitis. Ann Rheum Dis 2008; 67: 1431–1436.
HBV infection related GN
• Pattern of kidney involvement included.
– MN is the most common form, especially in children.
– Other such as MPGN, FSGS and IgAN.
• Exclude other cause of GN first.
• Prognosis…
– In children  high spontaneous remission.
– In adult  usually progressive, especially with abnormal LFT and
nephrotic syndrome, >50% progressing to ESRD.
• Treat HBV infection.
• Currently no data about efficacy of treatment in HBV- related GN.
Chapter 9; Infection-related GN. Kidney International Supplements (2012) 2, 200–208; doi:10.1038/kisup.2012.22
HIV related GN
• Variety spectrum of kidney disease.
• HIVAN is the most common cause of CKD in HIV-1.
– APOL1 gene related.
– Typical collapsing FSGS on pathology.
– HAART is beneficial in both preservation and improvement
in kidney function.
• Unfortunately, it may not effective in other GN associated with
HIV infection.
• ACE-I may benefit in HIV with nephrotic syndrome.
Chapter 9; Infection-related GN. Kidney International Supplements (2012) 2, 200–208; doi:10.1038/kisup.2012.22
Schistosomal nephropathy
• S.Mansoni and S.japonicum, blood fluke.
– Incidence is not well defined.
• GN most commonly seen in young adult males.
• Commonly seen eosinophiluria (65%) and
hypergammaglobilinemia (30%).
• Aware co-infection with salmonella. Especially in Hepatosplenic
involvement.
• Once established GN, currently no effective therapy.
– None of immunosuppresant recommended.
• Prevent by Praziquantel or Oxamiquine.
Filarial nephropathy
• Loa loa, Onchocerca volvulus, W. bancrofti and B. Malayi.
– Immune mediated from worm antigens.
• Urinary abnormalities have been reported 11-25%.
• Nephrotic syndrome 3-5%, concomitant with polyarthritis and
chorioretinitis. Especially in lymphatic filariasis.
• Can induce diffuse GN and MPGN, MPGN, MND or Sclerosing GN.
• Treat by Ivermectin or Diethylcarbamazepine.
• Proteinuria can increase and kidney function may worsen
following initiation of therapy due to immune process.
Chapter 9; Infection-related GN. Kidney International Supplements (2012) 2, 200–208; doi:10.1038/kisup.2012.22
Malarial nephropathy
• P.Falciparum.
– May resulted in AKI or proliferative GN.
• P.Malariae.
– Variety of kidney disease especially MN or MPGN.
• Currently no RCT for evidence base treatment.
– Suggestion only appropriate anti-Malarial agent.
Chapter 9; Infection-related GN. Kidney International Supplements (2012) 2, 200–208; doi:10.1038/kisup.2012.22
..Thank you..

Post infectious glomerulonephritis, PIGN

  • 1.
    Post Infectious Glomerulonephritis October’15 Nephrologytopic review Sathienwit Rowsathien, Flt. Lt., MD.
  • 2.
    Background • PIGN isan immune mediated glomerulonephritis. – Cause by many type of non renal infection. – Most common is PSGN. • PSGN 28-47% (decline from the past). • Staphylococcus12-24% • Gram negative bacteria 22% Chapter 9; Infection-related GN. Kidney International Supplements (2012) 2, 200–208; doi:10.1038/kisup.2012.22
  • 3.
    Burden of disease •Overall, rates are higher in children than adults. – PSGN primarily affected children (2-12 yrs) • Only 10% in adult (>40 yrs) • Currently, no large scale published study of infection associated GN other than streptococcus.
  • 4.
    Epidemiology • Global estimatedof PSGN is around 472,000/yrs – 96.6% from less developed countries. – Represent only the clinical case, asymptomatic case is predicted to be 4-19 times greater. • Incidence decline in the past decade due to – Better health care, wide spread of ABO used. Jackson, S.J., et.al, Systematic Review: Estimation of global burden of non-suppurative sequelae of URI: rheumatic fever and PSGN. Trop Med Int Health, 2011. 16(1): p. 2-11.
  • 5.
    Chapter 9; Infection-relatedGN. Kidney International Supplements (2012) 2, 200–208; doi:10.1038/kisup.2012.22
  • 6.
    Samih H. Nasr,et.al, Bacterial infection-related GN in adults. Kidney international, 2013. 83: p. 792-803.
  • 7.
    Pathogenesis • Pathognomonic isthe deposition of immune complex in GBM, especially in PSGN (GAS). – Nephritogenic antigens lead to the activation of complement pathway. • Many of Nephritogenic GAS strain, especially Streptococcal factor (M Protein); type 1,2,3,4,12,25,49 (Skin) or 2,47,49,55,57,60 (throat). • Nephritis associated plasmin receptor (NAPlr), co-localized with C3. – Increase permeability of GBM. – Deposition of immune complexs. • C3 pathway  tissue destruction, IgG deposition. Nordstrand, A., et.al, Pathogenic Mechanism of APSGN. Scandinavian J Infect Dis, 1999. 31(6): p. 523-537.
  • 8.
    Rodriguez-Iturbe, B. andJ.M. Musser, The current state of PSGN. J Am Soc Nephrol, 2008. 19(10): p. 1855-64.
  • 9.
    Samih H. Nasr,et.al, Bacterial infection-related GN in adults. Kidney international, 2013. 83: p. 792-803.
  • 10.
    Pathological appearance • Baseon the glomerular change… – Proliferation of mesangial, endothelial and epithelial cells, inflammatory exudate and early deposition of C3 then IgG. • Immune deposition classified into 3 patterns. – Starry Sky pattern. – Garland pattern. – Mesangial pattern. Sorger, K., et al., Subtypes of APIGN. Synopsis of clinical and pathological features. Clin Nephrol, 1982. 17(3): p. 114-28.
  • 11.
    M Nagata. PIGNand variants. Division of kidney and vascular pathology, graduate school of human sciences, University of Tsukuba, Japan.
  • 12.
    M Nagata. PIGNand variants. Division of kidney and vascular pathology, graduate school of human sciences, University of Tsukuba, Japan.
  • 13.
    M Nagata. PIGNand variants. Division of kidney and vascular pathology, graduate school of human sciences, University of Tsukuba, Japan.
  • 14.
    M Nagata. PIGNand variants. Division of kidney and vascular pathology, graduate school of human sciences, University of Tsukuba, Japan.
  • 15.
    Clinical presentation • Abruptonset of Acute nephritis(1) – 1-3 wks after streptococcal throat infection – 3-6 wks after skin infection • Typical Presentation(2) – Hematuria, gross or microscopic (100%) – Low complement (C3) (90%) – Edema (75-90%) – Proteinuria (80-92%) – Hypertension (60-80%) – Oliguria (10-58%) – Other such as facial puffiness, malaise, weakness or anorexia. (1) Nordstrand, A., et.al, Pathogenic Mechanism of APSGN. Scandinavian J Infect Dis, 1999. 31(6): p. 523-537. (2) Sotsiou F. Postinfectious glomerulonephritis. Nephrol Dial Transplant 2001;16 Suppl 6:68-70.
  • 16.
    Samih H. Nasr,et.al, Bacterial infection-related GN in adults. Kidney international, 2013. 83: p. 792-803.
  • 17.
    Basic investigation • Urinalysisreveal hematuria in all patients. – Proteiuria may be subnephrotic or nephrotic range. • Serum creatinine may elevated. • Renal ultrasound may not required. – Imaging is usually use for screening structural abnormalities.
  • 18.
    Specific Investigation • Antibodyto streptococcus. – Antistreptolysin O titer (ASO) following throat infections. (90% sensitivity) – Anti-DNAse B titers following skin infections. (80% sensitivity) – Other such as Anti-hyaluronidase (AHase), Anti-streptokinase (ASKase), Anti-nicotinamide- adenine-dinucleotidase (Anti-NAD) • Culture evidence of streptococcus (10-70%). • Complement level. – Decrease of C3 and CH50. – Normal or slightly low of C4. Blyth CC, et.al. PSGN in Sydney: a 16-year retrospective review. J Paediatr Child Health 2007;43:446-50.
  • 19.
    Management • Mainstay oftreatment is supportive. – Close monitoring BP, renal function and clinical. – Volume overload  Diuresis and restrict sodium. – Antihypertensive as need. • Treat underlying infection. – Penicillin for persist streptococcal infection. • Erythromycin if patient is allergic to Penicillin. G Singh. PIGN. An update on Glomerulopathies – Clinical and treatment aspect ,2011:113-124.
  • 20.
    Management • Complete recoveryis 90% of children and 60% of adult. – The rest developed hypertension or renal failure. • Recheck serum complement at 6-8 wks. • Annually check BP, renal function test and urinalysis every 1-3 month for 1 yr then yearly. • Kidney biopsy not indicated in all patient. G Singh. PIGN. An update on Glomerulopathies – Clinical and treatment aspect ,2011:113-124.
  • 21.
    Management • Pulse ofIV Methylprednisolone may consider in extensive glomerular crescent/ RPGN. – Currently no evidence from RCT. • Adult patient who have persistent proteinuria >1gm/ day should receive ACE-I or ARBs. Chapter 9; Infection-related GN. Kidney International Supplements (2012) 2, 200–208; doi:10.1038/kisup.2012.22
  • 22.
    Recovery phase • Mostlyurinary abnormalities clear within 12 wks. – Proteinuria may persist from 6 months – 3 yrs. – Hematuria may persists from 1-4 yrs. • C3 level usually normalize within 8-12 wks. Yoshizawa, N., Acute glomerulonephritis. Intern Med, 2000. 39(9): p. 687-94.
  • 23.
    Kidney Biopsy • Indicatedin.. – Persistent of low C3 beyond 6-12 wks. – Persistent or rapid declined of renal function. – Persistent HTN or lack of renal improvement within 2 wks. – Recurrent Hematuria. – Cannot excluded other diagnosis… • Absent history of latent period. • Normal complement level. • Negative anti streptococcal antibodies. • Symptom and sign of other systemic disease such as Malar rash.
  • 24.
    Prognosis • Extremely variablemay fully recovery or progressive. – Children usually have excellent prognosis. • Unfortunately, 25% of Adult will progress to CRF. – Epidemic spreading may have better prognosis, except S. Equi Zooepidermicus.(1) – Lack of a clinical or biomarker for predict outcome. • Neutrophil gelatinase-associated lipocalin (NGAL-AKI), not yet evaluated in PIGN(2) (1) Sesso, R. and S.W. Pinto, Five-year follow-up of patients with epidemic GN due to Streptococcus zooepidemicus. Nephrol Dial Transplant, 2005. 20(9): p. 1808-12. (2) Haase, M., et al., Accuracy of NGAL in diagnosis and prognosis in AKI: a systematic review and meta-analysis. Am J Kidney Dis, 2009. 54(6): p. 1012-24.
  • 25.
    Prognosis • Poor prognosisindicated in…(1) – History of childhood PSGN.(2) – Older age. – History of massive proteinuria. – History of Alcoholism or drug abused. – Underlying disease such as Diabetes, Cardiovascular and liver disease. – Persistent abnormal renal function. – History of dialysis at presentation. • Biopsy feature(including crescent) or steroid treatment not correlated with prognosis of Adult PIGN(3) (1) Rodriguez-Iturbe, B. and J.M. Musser, The current state of PSGN. J Am Soc Nephrol, 2008. 19(10): p. 1855-64. (2) White, A.V., et.al. Childhood PSGN as a risk factor for chronic renal disease in later life. Med J Aust, 2001. 174(10): 492-6. (3) Nasr SH,et al. APIGN in the modern era: experience with 86 adults and review of the literature. Medicine (Baltimore) 2008; 87: 21–32.
  • 26.
    Prevention • Evidence baseusing Benzathine Penicillin G IM for halted bacterial transmission in GAS skin infection.(1) • In experimental, Nephritic process is prevented if penicillin is given within 3 days of strep- infection.(2) • Prevention of epidemic PSGN required community level control of skin sores, infected scabies by regular washing. • GAS vaccine currently under development.(3) (1) Johnston, F., et al., Evaluating the use of penicillin to control outbreaks of APIGN. Pediatr Infect Dis J, 1999. 18(4): p. 327-32. (2) Bergholm, A.M. and S.E. Holm, Effect of early penicillin treatment on the development of experimental PSGN. Acta Pathol Microbiol Immunol Scand C, 1983. 91(4): p. 271-81. (3) Georgousakis, M.M., et al., Moving forward: a mucosal vaccine against GAS. Expert Rev Vaccines, 2009. 8(6): p. 747-60.
  • 27.
    Sample Variant ofPIGN • Staphylococcus associated GN. – Associated with ventrilovascular shunt, IE . – Some resemble IgA nephropathy. • HBV associated GN. • HIV associated GN such as HIVAN, Immunotactoid. • Report case of other infection associated GN.
  • 28.
    GN associated withIE • Incidence range from 22-78%. – Highest among IV drug abused. • Most typical finding is focal and segmental proliferative GN. • Prognosis is good, despite ABO as IE (4-6 wks).
  • 29.
    Shunt nephritis relatedGN • Immune mediated complex GN. – Complication of chronic infection via ventriculovascular shunts, common in treatment of hydrocephalus.(1) • In contrast to vascular shunt, VP shunt rarely developed GN. • Typical type I MPGN (dense deposit mesangial and subendothelial). • Typical organisms are Staphylococcus spp. Iwata Y, Ohta S, Kawai K et al. Shunt nephritis with positive titers for ANCA specific for proteinase 3. Am J Kidney Dis 2004; 43: e11–e16.
  • 30.
    HCV infection relatedGN • HCV frequently causes extrahepatic manifestation. • Kidney involvement… – Most common associated with type II cryoglobulinemia.(1) • Type I MPGN (Cryoglobulin deposits). • Best long term prognostic indicator is HCV with SVR. – RNA clearance from serum at least 6 month. • Paucity of controlled study in HCV associated GN. – Rituximab plus Peg-interferon a2b and Ribavarin show good response in stabilized kidney function in cryoglobulinemic vasculitis.(2) (1) Chapter 9; Infection-related GN. Kidney International Supplements (2012) 2, 200–208; doi:10.1038/kisup.2012.22 (2) Saadoun D, Resche-Rigon M, Sene D et al. Rituximab combined with Peg-interferon-ribavirin in refractory HCV -cryoglobulinaemia vasculitis. Ann Rheum Dis 2008; 67: 1431–1436.
  • 31.
    HBV infection relatedGN • Pattern of kidney involvement included. – MN is the most common form, especially in children. – Other such as MPGN, FSGS and IgAN. • Exclude other cause of GN first. • Prognosis… – In children  high spontaneous remission. – In adult  usually progressive, especially with abnormal LFT and nephrotic syndrome, >50% progressing to ESRD. • Treat HBV infection. • Currently no data about efficacy of treatment in HBV- related GN. Chapter 9; Infection-related GN. Kidney International Supplements (2012) 2, 200–208; doi:10.1038/kisup.2012.22
  • 32.
    HIV related GN •Variety spectrum of kidney disease. • HIVAN is the most common cause of CKD in HIV-1. – APOL1 gene related. – Typical collapsing FSGS on pathology. – HAART is beneficial in both preservation and improvement in kidney function. • Unfortunately, it may not effective in other GN associated with HIV infection. • ACE-I may benefit in HIV with nephrotic syndrome.
  • 33.
    Chapter 9; Infection-relatedGN. Kidney International Supplements (2012) 2, 200–208; doi:10.1038/kisup.2012.22
  • 34.
    Schistosomal nephropathy • S.Mansoniand S.japonicum, blood fluke. – Incidence is not well defined. • GN most commonly seen in young adult males. • Commonly seen eosinophiluria (65%) and hypergammaglobilinemia (30%). • Aware co-infection with salmonella. Especially in Hepatosplenic involvement. • Once established GN, currently no effective therapy. – None of immunosuppresant recommended. • Prevent by Praziquantel or Oxamiquine.
  • 35.
    Filarial nephropathy • Loaloa, Onchocerca volvulus, W. bancrofti and B. Malayi. – Immune mediated from worm antigens. • Urinary abnormalities have been reported 11-25%. • Nephrotic syndrome 3-5%, concomitant with polyarthritis and chorioretinitis. Especially in lymphatic filariasis. • Can induce diffuse GN and MPGN, MPGN, MND or Sclerosing GN. • Treat by Ivermectin or Diethylcarbamazepine. • Proteinuria can increase and kidney function may worsen following initiation of therapy due to immune process. Chapter 9; Infection-related GN. Kidney International Supplements (2012) 2, 200–208; doi:10.1038/kisup.2012.22
  • 36.
    Malarial nephropathy • P.Falciparum. –May resulted in AKI or proliferative GN. • P.Malariae. – Variety of kidney disease especially MN or MPGN. • Currently no RCT for evidence base treatment. – Suggestion only appropriate anti-Malarial agent. Chapter 9; Infection-related GN. Kidney International Supplements (2012) 2, 200–208; doi:10.1038/kisup.2012.22
  • 37.