•
Acute ProliferativeGlomerulonephritis
Lecture 45
Acute
Poststreptococcal
Glomerulonephritis
Acute Poststreptococcal
Glomerulonephritis
• Acute glomerulonephritis is a disease
characterized by the sudden appearance of
edema, hematuria, proteinuria, and
hypertension.
APSGN
• It is a representative disease of acute
nephritic syndrome in which
inflammation of the glomerulus is
manifested by proliferation of cellular
elements secondary to an immunologic
mechanism.
Acute Proliferative (Poststreptococcal,
Postinfectious) Glomerulonephritis
Characterized histologically by
• diffuse proliferation of glomerular cells,
associated with influx of
leukocytes.
• Occurs predominantly in males
97 percent occur in developing
countries
Acute Poststreptococcal
Glomerulonephritis
• These lesions are typically caused by
immune
complexes.
• The inciting antigen may be
exogenous (Postinfectious
glomerulonephritis) or
•endogenous (SLE).
Acute Proliferative Glomerulonephritis
• The most common underlying infections are
streptococcal,
but the disorder also has been associated
with other infections.
APSGN
• It usually appears 1 to 4 weeks after a
streptococcal infection of the pharynx
or skin.
• It occurs most frequently in children 6 to 10
years of age, but adults of any age can also
be affected.
Etiology and Pathogenesis.
Only certain strains of group A β-hemolytic
streptococci are nephritogenic,
more than 90% of cases being traced to types 12,
4, and 1, which can be identified by typing of M
protein of the cell wall.
The M and T proteins in the bacterial wall have been used for
characterizing streptococci. Nephritogenicity is mainly restricted to
certain M protein serotypes (ie, 1, 2, 4, 12, 18, 25, 49, 55, 57, and 60)
that have shown nephritogenic potential.
Etiology & Pathogenesis of Ac Prolif. G
• Poststreptococcal glomerulonephritis is an
immunologically mediated disease.
• Elevated titers of antibodies against one
or more streptococcal antigens are present in
a great majority of patients.
Etiology & Pathogenesis of Ac Prolif. G
• Serum complement levels are low,
• There are granular immune deposits
in the glomeruli, supporting an immune complex–mediated mechanism.
The resulting glomerular immune complex disease triggers
complement activation and inflammation.
Pathogenesis
• The 2 most widely proposed theories include
(1) glomerular trapping of circulating
immune complexes and
• (2) in situ immune antigen-antibody complex
formation resulting from antibodies reacting
with either streptococcal components
deposited in the glomerulus or with
components of the glomerulus itself, which
has been termed “molecular mimicry.”
Etiology & Pathogenesis
• Several cationic antigens, including a
nephritis-associated streptococcal plasmin
receptor (NAPlr), unique to
nephritogenic strains of streptococci, can be
found in affected glomeruli.
Etiology & PathogEnEsis
• Streptococcal pyogenic exotoxin B (SpeB)
and its zymogen precursor (zSpeB), are the
principal antigenic determinants
in most cases of poststreptococcal
glomerulonephritis.
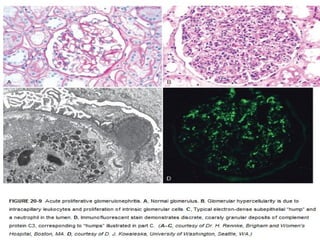
Morphology
Light microscopy
 It shows a diffuse proliferative glomerulonephritis
with prominent endocapillary proliferation and
numerous neutrophils.
 Trichrome stain may show small subepithelial
hump-shaped deposits.
Crescent formation is uncommon and is associated
with a poor prognosis.
Light microscopic findings
Early stage → glomerular
hypercellularity
Later stage → Proliferation of intrinsic
endothelial & mesangial cells
Immunofluorescence microscopy
• Shows a characteristic pattern of deposits of
immunoglobulin (IgG) and C3 distributed in a
diffuse granular pattern within the mesangium,
and glomerular capillary walls.
• Other immune reactants (eg, IgM, IgA, fibrin,
and other complement components) may also
be detected.
Electron microscopy
The dome-shaped subepithelial electron-dense
deposits that are referred to as humps.
Subendothelial immune deposits and subsequent
complement activation are responsible for the
local influx of inflammatory cells, leading to a
proliferative glomerulonephritis, an active urine
sediment, and a variable decline in glomerular
filtration rate.
Subepithelial "humps" are responsible for epithelial
cell damage and proteinuria, similar to that seen in
membranous nephropathy
Clinical Features Of APG
History:
In the classic case, a young child abruptly
develops
malaise, fever, nausea, oliguria, and hematuria
1 to 2 weeks after recovery from a sore
throat.
Clinical features of Acute Proliferative Glomerulonephritis
The patients have red cell casts in the urine,
mild proteinuria (usually less than 1 gm/day),
periorbital edema, and mild to moderate
hypertension.
Clinical features of Acute Proliferative
Glomerulonephritis
In adults the onset is more likely to
be atypical, such as the sudden appearance
of hypertension or edema, frequently with
elevation of BUN.
Clinical features of Acute
Proliferative Glomerulonephritis
• During epidemics caused by nephritogenic
streptococcal infections, glomerulonephritis
may be asymptomatic, discovered
only on screening for microscopic hematuria.
Laboratory Findings
• Elevations of antistreptococcal antibody
titers and
• a decline in the serum concentration of C3
and other components of the complement
cascade.
Prognosis
• More than 95% of affected children
eventually recover totally with conservative
therapy aimed at maintaining sodium and
water balance.
• A small minority of children (perhaps fewer
than 1%) do not improve, become severely
oliguric, and develop a rapidly progressive
form of glomerulonephritis.
Nonstreptococcal Acute
Glomerulonephritis (Postinfectious
Glomerulonephritis)
Glomerulonephritis occurs sporadically in
association with other infections, including
bacterial viral and parasitic.
Granular immunofluorescent deposits and
subepithelial humps are present.
Acute post streptococcal glomerulonephritis

Acute post streptococcal glomerulonephritis

  • 1.
  • 2.
    Acute Poststreptococcal Glomerulonephritis • Acuteglomerulonephritis is a disease characterized by the sudden appearance of edema, hematuria, proteinuria, and hypertension.
  • 3.
    APSGN • It isa representative disease of acute nephritic syndrome in which inflammation of the glomerulus is manifested by proliferation of cellular elements secondary to an immunologic mechanism.
  • 4.
    Acute Proliferative (Poststreptococcal, Postinfectious)Glomerulonephritis Characterized histologically by • diffuse proliferation of glomerular cells, associated with influx of leukocytes. • Occurs predominantly in males 97 percent occur in developing countries
  • 5.
    Acute Poststreptococcal Glomerulonephritis • Theselesions are typically caused by immune complexes. • The inciting antigen may be exogenous (Postinfectious glomerulonephritis) or •endogenous (SLE).
  • 6.
    Acute Proliferative Glomerulonephritis •The most common underlying infections are streptococcal, but the disorder also has been associated with other infections.
  • 7.
    APSGN • It usuallyappears 1 to 4 weeks after a streptococcal infection of the pharynx or skin. • It occurs most frequently in children 6 to 10 years of age, but adults of any age can also be affected.
  • 8.
    Etiology and Pathogenesis. Onlycertain strains of group A β-hemolytic streptococci are nephritogenic, more than 90% of cases being traced to types 12, 4, and 1, which can be identified by typing of M protein of the cell wall. The M and T proteins in the bacterial wall have been used for characterizing streptococci. Nephritogenicity is mainly restricted to certain M protein serotypes (ie, 1, 2, 4, 12, 18, 25, 49, 55, 57, and 60) that have shown nephritogenic potential.
  • 9.
    Etiology & Pathogenesisof Ac Prolif. G • Poststreptococcal glomerulonephritis is an immunologically mediated disease. • Elevated titers of antibodies against one or more streptococcal antigens are present in a great majority of patients.
  • 10.
    Etiology & Pathogenesisof Ac Prolif. G • Serum complement levels are low, • There are granular immune deposits in the glomeruli, supporting an immune complex–mediated mechanism. The resulting glomerular immune complex disease triggers complement activation and inflammation.
  • 11.
    Pathogenesis • The 2most widely proposed theories include (1) glomerular trapping of circulating immune complexes and • (2) in situ immune antigen-antibody complex formation resulting from antibodies reacting with either streptococcal components deposited in the glomerulus or with components of the glomerulus itself, which has been termed “molecular mimicry.”
  • 12.
    Etiology & Pathogenesis •Several cationic antigens, including a nephritis-associated streptococcal plasmin receptor (NAPlr), unique to nephritogenic strains of streptococci, can be found in affected glomeruli.
  • 13.
    Etiology & PathogEnEsis •Streptococcal pyogenic exotoxin B (SpeB) and its zymogen precursor (zSpeB), are the principal antigenic determinants in most cases of poststreptococcal glomerulonephritis.
  • 14.
    Morphology Light microscopy  Itshows a diffuse proliferative glomerulonephritis with prominent endocapillary proliferation and numerous neutrophils.  Trichrome stain may show small subepithelial hump-shaped deposits. Crescent formation is uncommon and is associated with a poor prognosis.
  • 15.
    Light microscopic findings Earlystage → glomerular hypercellularity Later stage → Proliferation of intrinsic endothelial & mesangial cells
  • 17.
    Immunofluorescence microscopy • Showsa characteristic pattern of deposits of immunoglobulin (IgG) and C3 distributed in a diffuse granular pattern within the mesangium, and glomerular capillary walls. • Other immune reactants (eg, IgM, IgA, fibrin, and other complement components) may also be detected.
  • 18.
    Electron microscopy The dome-shapedsubepithelial electron-dense deposits that are referred to as humps. Subendothelial immune deposits and subsequent complement activation are responsible for the local influx of inflammatory cells, leading to a proliferative glomerulonephritis, an active urine sediment, and a variable decline in glomerular filtration rate. Subepithelial "humps" are responsible for epithelial cell damage and proteinuria, similar to that seen in membranous nephropathy
  • 21.
    Clinical Features OfAPG History: In the classic case, a young child abruptly develops malaise, fever, nausea, oliguria, and hematuria 1 to 2 weeks after recovery from a sore throat.
  • 22.
    Clinical features ofAcute Proliferative Glomerulonephritis The patients have red cell casts in the urine, mild proteinuria (usually less than 1 gm/day), periorbital edema, and mild to moderate hypertension.
  • 23.
    Clinical features ofAcute Proliferative Glomerulonephritis In adults the onset is more likely to be atypical, such as the sudden appearance of hypertension or edema, frequently with elevation of BUN.
  • 24.
    Clinical features ofAcute Proliferative Glomerulonephritis • During epidemics caused by nephritogenic streptococcal infections, glomerulonephritis may be asymptomatic, discovered only on screening for microscopic hematuria.
  • 25.
    Laboratory Findings • Elevationsof antistreptococcal antibody titers and • a decline in the serum concentration of C3 and other components of the complement cascade.
  • 26.
    Prognosis • More than95% of affected children eventually recover totally with conservative therapy aimed at maintaining sodium and water balance. • A small minority of children (perhaps fewer than 1%) do not improve, become severely oliguric, and develop a rapidly progressive form of glomerulonephritis.
  • 27.
    Nonstreptococcal Acute Glomerulonephritis (Postinfectious Glomerulonephritis) Glomerulonephritisoccurs sporadically in association with other infections, including bacterial viral and parasitic. Granular immunofluorescent deposits and subepithelial humps are present.