Treatment Planning:  Volume Definition: Beam Selection   References: Radiation Therapy Planning, Bentel Treatment Planning in Radiation Oncology, Khan and Potish ICRU 50, 62
ICRU definitions
GTV - palpable or visible extent of tumor CTV - GTV + subclinical microscopic disease PTV - geometric concept designed to cover CTV Treated Volume - volume enclosed by dose level appropriate to treat disease Irradiated Volume - volume that receives significant dose
Internal Margin: variations in size and shape of CTV during treatment Set-up Margin: uncertainties in patient positioning and alignment PRV: planning organ at risk volume includes margins on critical structures
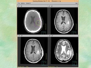
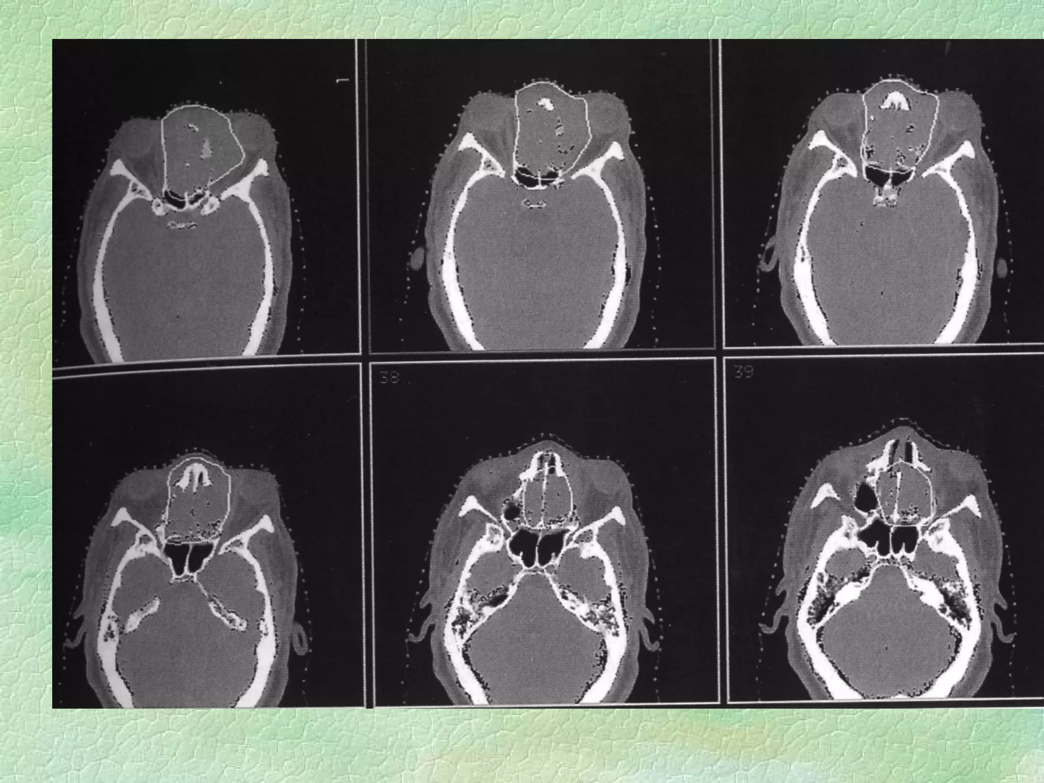
Volume Definition:  Imaging Modalities CT, US, MRI, PET, Nuc Med, Spect fMRI, Optical?, …….. Addition of margins
 
 
 
 
Coordinate Systems: Patient: internal reference point Imaging: simulator isocentre/none Treatment: isocentre
 
Virtual Simulation: -  Immobilization CT Coordinate system Structure Delineation Isocentre localization Beam placement/definition
 
 
 
 
 
 
Problems: Images are static and organ motion is not evident Correlation of imager/patient/treatment coordinate systems is non-trivial - DRRs Resolution of data set is limited by slice thickness - structure definition/DRR Imaging modality - image fusion
 
Advantages: Improved volume definition Patient data collected in digital form for dose calculation Speed
Conventional Simulation Immobilization Diagnostic energy X-rays replace Megavoltage beams Lower patient dose, better images, real-time fluoro External coordinate system same as treatment coordinate system
Volume Definition External reference palpation,visual radio-opaque markers Internal reference bony landmarks, other anatomical  transfer from CT contrast agents, internal markers
Lateral Field Nodes outlined With solder
 
 
Problems: External contours must be obtained for dose distribution calculation Time consuming Volume definition is difficult
 
Advantages: Organ motion can be visualized on fluoro Co-localization of simulation/treatment geometries Treatment geometry problems can be avoided
Treatment Planning  Objectives (Goals, Desires, Constraints, etc…) Deliver a uniform dose to PTV Deliver as little dose as possible to OAR Keep integral dose low Reduce number of high dose ‘hot spots’ outside PTV KISS
Treatment Parameters  Degrees of Freedom (with apologies to True Statisticians) Number of treatment beams Individual beam energy Relative beam weighting Shielding Primary beam profile modifiers Patient modifiers (bolus, and other?)
Treatment Optimization Selection of treatment parameters that best conforms to planning objectives Manual: based on experience - time consuming - artform? Automated - forward calculation - compensation Automated - inverse planning - optimization algorithms
Patient Modifiers: Bolus: tissue equivalent material Placed directly on patients’ surface Purpose is usually to reduce skin sparing Can be used to ‘block up’ complex surface to simplify dose distribution
Numbers of Beams KISS Conformal RT Ability to escalate dose Higher demands on setup accuracy
 
Wedges: modify primary beam profile so as to  produce isodose lines at angle wrt to surface Open beam  45 degree wedge
15 degree   30 degree 45 degree  60 degree  Different wedges available for Varian 600C
Types of wedges Physical: a wedge shaped piece of metal (steel or lead) machined to shape the primary beam profile. Must be physically placed in head of machine. Limited selection of wedge angles. Universal: a physical wedge with very high wedge angle permanently in head of machine. Different effective wedge angles are obtained by combining open and wedged beams for different fractions of treatment. Dynamic: one field jaw sweeps across field during treatment so that integrated dose-distribution matches that of physical wedge .
Use of wedges I:  To correct for patient contour
Variation at level of isocentre: 40% 5%
Use of wedges II:  To correct for beam attenuation when using multiple fields  Example: 3 field plan, variation in treated volume: 30% 5%
Example: wedged pair, dose variation in treated volume: 50% 5%
Compensators Missing tissue : corrects for patient surface to give uniform dose to a surface perpendicular to central axis of beam. Compensation Plane
Primary Beam Profile Modulation Physical: Attenuators, compensators. Thickness is calculated using attenuation coefficient of compensator material  I p * = EXP (-    t p  ) Dynamic MLC: similar to dynamic wedge, MLC leaves are moved during treatment to affect required distribution
Compensators Dose : corrects to give uniform dose to an arbitrary surface in patient Compensation Surface
 
 
Forward Algorithm: Additional Complications Dose compensators: compensation surface is not a constant SAD - will require additional ISF factor Primary beam profile is not flat (horns, penumbra). How/should one correct for beam profile? Introduction of shielding gives differential scatter loss across field - integrate scatter dose point by point
Compensators: Inverse Algorithm Optimization problem Need a good forward dose calculation algorithm Divide beam into many smaller ‘pencil’ beams Adjust pencil beam weights iteratively to achieve uniform dose on compensation plane Usually flat plane, solution exists
Example: neck: compensate to give uniform dose along midplane throughout treatment field
Uncompensated Compensated 15-20% <5%
 

Medphysics Planning

  • 1.
    Treatment Planning: Volume Definition: Beam Selection References: Radiation Therapy Planning, Bentel Treatment Planning in Radiation Oncology, Khan and Potish ICRU 50, 62
  • 2.
  • 3.
    GTV - palpableor visible extent of tumor CTV - GTV + subclinical microscopic disease PTV - geometric concept designed to cover CTV Treated Volume - volume enclosed by dose level appropriate to treat disease Irradiated Volume - volume that receives significant dose
  • 4.
    Internal Margin: variationsin size and shape of CTV during treatment Set-up Margin: uncertainties in patient positioning and alignment PRV: planning organ at risk volume includes margins on critical structures
  • 5.
    Volume Definition: Imaging Modalities CT, US, MRI, PET, Nuc Med, Spect fMRI, Optical?, …….. Addition of margins
  • 6.
  • 7.
  • 8.
  • 9.
  • 10.
    Coordinate Systems: Patient:internal reference point Imaging: simulator isocentre/none Treatment: isocentre
  • 11.
  • 12.
    Virtual Simulation: - Immobilization CT Coordinate system Structure Delineation Isocentre localization Beam placement/definition
  • 13.
  • 14.
  • 15.
  • 16.
  • 17.
  • 18.
  • 19.
    Problems: Images arestatic and organ motion is not evident Correlation of imager/patient/treatment coordinate systems is non-trivial - DRRs Resolution of data set is limited by slice thickness - structure definition/DRR Imaging modality - image fusion
  • 20.
  • 21.
    Advantages: Improved volumedefinition Patient data collected in digital form for dose calculation Speed
  • 22.
    Conventional Simulation ImmobilizationDiagnostic energy X-rays replace Megavoltage beams Lower patient dose, better images, real-time fluoro External coordinate system same as treatment coordinate system
  • 23.
    Volume Definition Externalreference palpation,visual radio-opaque markers Internal reference bony landmarks, other anatomical transfer from CT contrast agents, internal markers
  • 24.
    Lateral Field Nodesoutlined With solder
  • 25.
  • 26.
  • 27.
    Problems: External contoursmust be obtained for dose distribution calculation Time consuming Volume definition is difficult
  • 28.
  • 29.
    Advantages: Organ motioncan be visualized on fluoro Co-localization of simulation/treatment geometries Treatment geometry problems can be avoided
  • 30.
    Treatment Planning Objectives (Goals, Desires, Constraints, etc…) Deliver a uniform dose to PTV Deliver as little dose as possible to OAR Keep integral dose low Reduce number of high dose ‘hot spots’ outside PTV KISS
  • 31.
    Treatment Parameters Degrees of Freedom (with apologies to True Statisticians) Number of treatment beams Individual beam energy Relative beam weighting Shielding Primary beam profile modifiers Patient modifiers (bolus, and other?)
  • 32.
    Treatment Optimization Selectionof treatment parameters that best conforms to planning objectives Manual: based on experience - time consuming - artform? Automated - forward calculation - compensation Automated - inverse planning - optimization algorithms
  • 33.
    Patient Modifiers: Bolus:tissue equivalent material Placed directly on patients’ surface Purpose is usually to reduce skin sparing Can be used to ‘block up’ complex surface to simplify dose distribution
  • 34.
    Numbers of BeamsKISS Conformal RT Ability to escalate dose Higher demands on setup accuracy
  • 35.
  • 36.
    Wedges: modify primarybeam profile so as to produce isodose lines at angle wrt to surface Open beam 45 degree wedge
  • 37.
    15 degree 30 degree 45 degree 60 degree Different wedges available for Varian 600C
  • 38.
    Types of wedgesPhysical: a wedge shaped piece of metal (steel or lead) machined to shape the primary beam profile. Must be physically placed in head of machine. Limited selection of wedge angles. Universal: a physical wedge with very high wedge angle permanently in head of machine. Different effective wedge angles are obtained by combining open and wedged beams for different fractions of treatment. Dynamic: one field jaw sweeps across field during treatment so that integrated dose-distribution matches that of physical wedge .
  • 39.
    Use of wedgesI: To correct for patient contour
  • 40.
    Variation at levelof isocentre: 40% 5%
  • 41.
    Use of wedgesII: To correct for beam attenuation when using multiple fields Example: 3 field plan, variation in treated volume: 30% 5%
  • 42.
    Example: wedged pair,dose variation in treated volume: 50% 5%
  • 43.
    Compensators Missing tissue: corrects for patient surface to give uniform dose to a surface perpendicular to central axis of beam. Compensation Plane
  • 44.
    Primary Beam ProfileModulation Physical: Attenuators, compensators. Thickness is calculated using attenuation coefficient of compensator material I p * = EXP (-  t p ) Dynamic MLC: similar to dynamic wedge, MLC leaves are moved during treatment to affect required distribution
  • 45.
    Compensators Dose :corrects to give uniform dose to an arbitrary surface in patient Compensation Surface
  • 46.
  • 47.
  • 48.
    Forward Algorithm: AdditionalComplications Dose compensators: compensation surface is not a constant SAD - will require additional ISF factor Primary beam profile is not flat (horns, penumbra). How/should one correct for beam profile? Introduction of shielding gives differential scatter loss across field - integrate scatter dose point by point
  • 49.
    Compensators: Inverse AlgorithmOptimization problem Need a good forward dose calculation algorithm Divide beam into many smaller ‘pencil’ beams Adjust pencil beam weights iteratively to achieve uniform dose on compensation plane Usually flat plane, solution exists
  • 50.
    Example: neck: compensateto give uniform dose along midplane throughout treatment field
  • 51.
  • 52.