Three Dimensional Conformal
Radiation Therapy
-The treatment planning process
Dr Deepika Malik
JR III, Dept of Radiotherapy
• 3 D CRT is based on 3-D
anatomic information and use
dose distributions that conform
as closely as possible to the
target volume in terms of
adequate dose to the tumor and
minimum possible dose to
adjacent normal tissue
Overwiew
• Main distinction between treatment planning
of 3-D CRT and conventional radiation therapy
– it requires
: 3-D anatomic information
: treatment-planning system that
allows optimization of dose distribution which
meets the clinical objectives.
3 D treatment planning process
Plan
implementation
Plan design and
evaluation
Patient positioning and
immobilisation
• Preplanning process
• proposed treatment position of the patient is
determined.
• immobilization device is fabricated.
• It is an Important step--Errors may occur if
patients are inadequately immobilized, with
resultant treatment fields inaccurately aligned
from treatment to treatment .
-Anaplastic astrocytoma
-
Image aquisition
• Image acquisition is the foundation of 3 D
panning.
• The anatomic information is usually obtained
in the form of closely spaced transverse
images, which can be processed to reconstruct
anatomy in any plane, or in three dimensions
CT Simulator
PET Scan
MRI
USG
SPECT
CT Image- most commonly used
• CT image -reconstructed from a
matrix of relative linear
attenuation coefficients
measured by the CT scanner.
CT SIMULATOR
• Images are acquired on a
dedicated CT machine called
CT simulator with following
features
– A large bore (75-85cm) to
accommodate various treatment
positions along with treatment
accessories.
– A flat couch insert to simulate
treatment machine couch.
– A laser system consisting of
• Inner laser
• External moving laser to
position patients for
imaging & for marking
- A graphic work station
• CT is done with patient in the treatment position with
immobilization device
• Radio opaque fiducial are placed . Intention is to place these
initial marks as close to final isocentre as possible
• These fiducial assist in any coordinate transformation needed as
a result of 3D planning and eventual plan implementation.
• The planning CT data set is transferred to a 3D-TPS or
workstation via a computer network.
Image registration
• The term image registration -- a process of
correlating different image data sets to identify
corresponding structures or regions.
• Allows full voxel to voxel intensity match
• Image Fusion automatically correlates thousands
of points from two image sets, providing true
volumetric fusion of anatomical data sets.
• For example--, mapping of structures seen in MRI onto
the CT images.
• Various registration techniques include
– Point-to-point fitting,
– Line or curve matching
– Surface or topography matching
– Volume matching
MRI IMAGE
CT IMAGE
CONTOURING ON BLENDED IMAGE
POINT TO POINT MATCHING
IMAGE FUSION
Image segmentation
Segmentation
• slice-by-slice delineation of anatomic regions of
interest-- external contours, targets, critical
normal structures, anatomic landmarks, etc.
• The radiation oncologist draws the target
volumes in each slice with appropriate margins to
include visible tumor, the suspected tumor
spread, and patient motion uncertainties.
• The segmented regions can be rendered in
different colors
• one of the most laborious but important
processes in treatment planning.
• It requires clinical judgment, which cannot be
automated or completely image based.
• It should not be delegated to personnel other
than the physician in charge of the case, the
radiation oncologist.
Manual segmentation Auto segmentation
Contours drawn by auto-deformation
from another contour
Volume definition
• Prerequisite for 3-D treatment planning.
• ICRU reports50 & 62 define & describe target
& critical structure volumes.
• volumes defined prior to treatment planning
– Gross tumor volume (GTV).
– Clinical target volume (CTV).
• Defined during the treatment planning process
– Planning target volume (PTV).
– Organs at risk.
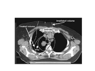
• As a result of treatment planning, volumes described.
– Treated volume (TV).
– Irradiated volume (IRV).
Beam aperture design
aided by
• the BEV ( Beam’s eye view)capability of the 3-
D treatment-planning system
• DRR
Digitally Reconstructed Radiograph-DRR
• A synthetic radiograph produced by tracing ray-lines from a
virtual source position through the CT data to a virtual film
plane .
• It is analogous to conventional simulation radiographs.
• DRR is used
– for treatment portal design
– for verification of treatment
portal by comparison with port
films or electronic portal
images
Beam Eye View-BEV
• In BEV observer’s viewing point is
at the source of radiation looking
out along axis of radiation beam.
• Targets and critical normal
structures visible in different
colors through segmentation can
be viewed from different
directions in planes perpendicular
to the beam's central axis.
– Demonstrates geometric coverage of
target volume by the beam
– Shielding & MLCs are designed on
BEV
– Useful in identifying best gantry,
collimator, and couch angles to
irradiate target & avoid adjacent
normal structures
Beam apertures can be designed
• Automatically - the user sets a uniform
margin around the PTV.
• Manual- when its needed to draw a
nonuniform margin
• Generally, a 2-cm margin between the PTV
and the field edge ensures better than 95%
isodose coverage of the PTV
Planning
• For planning, the 3D TPS must have the capability to simulate
each of the treatment machine motion functions, including
– Gantry angle,
– Collimator length, width & angle,
– MLC leaf settings,
– Couch latitude, longitude, height & angle
FORWARD PLANNING
• For 3D CRT forward planning is used.
• Beam arrangement is selected.
• Using BEV, beam aperture is designed
• Dose is prescribed.
• 3D dose distribution is calculated.
• Then plan is evaluated.
• Plan is modified based on dose distribution evaluation, using
various combinations of
– Beam , collimator & couch angle,
– Beam weights &
– Beam modifying devices (wedges, compensators) to get desired dose
distribution.
• Three-dimensional treatment planning
encourages the use of multiple fields because
targets and critical structures can be viewed in
the BEV configuration individually for each field.
• Multiple fields removes the need for using ultra-
high-energy beams (>10 MV), which are required
when treating thoracic or pelvic tumors with only
two parallel opposed fields
• Using a large number of fields (greater than
four) creates the problem of
- designing an excessive number of beam-
shaping blocks
- requiring longer setup times
-Carrying so many heavy blocks creates a
nuisance for therapists who have to guard
against dropping a block accidentally or using
a wrong block.
• A good alternative to multiple
field blocking is the use of a
multileaf collimator (MLC)
• A field drawn on a BEV printout
can be digitized to set the MLC
setting.
• BEV field outlines can also be
transmitted electronically to the
accelerator to program the MLC.
Plan optimization and evaluation
Plan Optimisation
• Optimisation refers to the technique of finding
the best physical and technically possible
treatment plan to fulfill the specified physical
and clinical criteria
• An optimal plan should deliver tumoricidal
dose to the entire tumor and spare all the
normal tissues.
PLAN EVALUATION
• Tools used in the evaluation of the planned
dose distribution:
• Isodose lines
• Color wash
• DVHs (Dose volume histograms )
– Dose distribution statistics
Isodose curves
• Dose distributions of
competing plans are
evaluated by viewing
isodose curves in individual
slices, orthogonal planes
(e.g., transverse, sagittal,
and coronal), or 3-D isodose
surfaces.
Colour wash
• Spectrum of colors superimposed on
the anatomic information represented
by modulation of intensity
– Gives quick over view of dose
distribution
– Easy to assess overdosage in
normal tissue that are not
contoured.
– To assess dose heterogeneity
inside PTV
• Slice by slice evaluation of dose
distribution can be done
Dose volume histograms
• DVHs summarize the information contained in
the 3-D dose distribution & quantitatively
evaluates treatment plans.
• DVHs are usually displayed in the form of ‘per
cent volume of total volume’ against dose.
• The DVH may be represented in two forms:
– Cumulative integral DVH
– Differential DVH.
CUMULATIVE DVH-more useful
• It is plot of volume of a given
structure receiving a certain
dose.
• Any point on the cumulative
DVH curve shows the volume
of a given structure that receives
the indicated dose or higher.
• It start at 100% of the volume
for zero dose, since all of the
volume receives at least more
than zero Gy.
DIFFERENTIAL DVH
• The direct or differential DVH is
a plot of volume receiving a dose
within a specified dose interval
(or dose bin) as a function of
dose.
• It shows extent of dose variation
within a given structure.
• The ideal DVH for a target
volume would be a single column
indicating that 100% of volume
receives prescribed dose.
• For a critical structure, the DVH
may contain several peaks
indicating that different parts of
the organ receive different doses.
DVH - target vol.
DVH - OAR
3-D DOSE CLOUD
• Map isodoses in three
dimensions and
overlay the resulting
isosurface on a 3-D
display with surface
renderings of target
& other contoured
organs.
Dose statistics
• It provide quantitative information on the volume of the target or critical
structure and on the dose received by that volume.
• These include:
– The minimum dose to the volume
– The maximum dose to the volume
– The mean dose to the volume
• Useful in dose reporting.
PLAN IMPLEMENTATION
• Once the treatment plan has been evaluated &
approved, documentation for plan implementation
must be generated.
• It includes
– beam parameter settings transferred to the treatment
machine’s record and verify system,
– MLC parameters communicated to computer system
that controls MLC system of the treatment machine,
– DRR generation & printing or transfer to an image
database.
Plan implementation
• After Physician contuors target volumes and determination
of treatment isocentre is done
• Couch shifts ( distances in three directions ) between
reference marks drawn on CT Scanner and treatment
centre are then calculated
• On first day of treatment , patient is first positioned to
initial refernce marks and then shifted to treatment
isocentre using the calculated shifts .
• The treatment isocentre is then marked on the patient
Position verification
• Patient position is verified and thus corrected using
EPID ( electronic portal imaging device)
• Both the field and the bony anatomy are matched
sequentially to give an estimate of error.
Online and offline corrections
• refer to whether the patient is on the
treatment couch while the verification is being
done and whether the correction would be
applied to the same or subsequent sessions
Offline corrections
• images acquired before treatment and matched
to the reference image at a later time point.
• Aims to determine the individual systematic
setup error and thus reduce it.
• When combined with setup data of other
patients treated under the same protocol, it helps
define the population standard error for that
treatment in that institution.
• PTV margins in an institution depend on these
determinations of individual and population
systematic errors
Online corrections
• Acquisition of images and their verification and
correction prior to the day’s treatment.
• Aims to reduce both random and systematic errors.
• The treatment site and the expected magnitude of
error may determine the frequency of online imaging.
• Sites where large daily shifts are anticipated (abdomen,
pelvis, and thorax) or where even slight shifts will alter
the dose distribution within adjacent critical structures
(paraspinal tumors, intracranial tumors in close
proximity to optic structures) are best managed with
daily imaging
Dose calculation
• Dose calculation algorithms ….three broad
categories:
(a) correction based,
(b) model based, and
(c) direct Monte Carlo.
• Direct Monte Carlo - most accurate method
for treatment planning.
Thank you

3DimensionalConformalRThPresentation.pdf

  • 1.
    Three Dimensional Conformal RadiationTherapy -The treatment planning process Dr Deepika Malik JR III, Dept of Radiotherapy
  • 2.
    • 3 DCRT is based on 3-D anatomic information and use dose distributions that conform as closely as possible to the target volume in terms of adequate dose to the tumor and minimum possible dose to adjacent normal tissue
  • 4.
    Overwiew • Main distinctionbetween treatment planning of 3-D CRT and conventional radiation therapy – it requires : 3-D anatomic information : treatment-planning system that allows optimization of dose distribution which meets the clinical objectives.
  • 5.
    3 D treatmentplanning process
  • 6.
  • 7.
  • 8.
    • Preplanning process •proposed treatment position of the patient is determined. • immobilization device is fabricated. • It is an Important step--Errors may occur if patients are inadequately immobilized, with resultant treatment fields inaccurately aligned from treatment to treatment .
  • 9.
  • 10.
  • 11.
    • Image acquisitionis the foundation of 3 D panning. • The anatomic information is usually obtained in the form of closely spaced transverse images, which can be processed to reconstruct anatomy in any plane, or in three dimensions
  • 12.
  • 13.
    CT Image- mostcommonly used • CT image -reconstructed from a matrix of relative linear attenuation coefficients measured by the CT scanner.
  • 14.
    CT SIMULATOR • Imagesare acquired on a dedicated CT machine called CT simulator with following features – A large bore (75-85cm) to accommodate various treatment positions along with treatment accessories. – A flat couch insert to simulate treatment machine couch. – A laser system consisting of • Inner laser • External moving laser to position patients for imaging & for marking - A graphic work station
  • 15.
    • CT isdone with patient in the treatment position with immobilization device • Radio opaque fiducial are placed . Intention is to place these initial marks as close to final isocentre as possible • These fiducial assist in any coordinate transformation needed as a result of 3D planning and eventual plan implementation. • The planning CT data set is transferred to a 3D-TPS or workstation via a computer network.
  • 18.
  • 19.
    • The termimage registration -- a process of correlating different image data sets to identify corresponding structures or regions. • Allows full voxel to voxel intensity match • Image Fusion automatically correlates thousands of points from two image sets, providing true volumetric fusion of anatomical data sets.
  • 20.
    • For example--,mapping of structures seen in MRI onto the CT images. • Various registration techniques include – Point-to-point fitting, – Line or curve matching – Surface or topography matching – Volume matching
  • 21.
    MRI IMAGE CT IMAGE CONTOURINGON BLENDED IMAGE POINT TO POINT MATCHING IMAGE FUSION
  • 22.
  • 23.
    Segmentation • slice-by-slice delineationof anatomic regions of interest-- external contours, targets, critical normal structures, anatomic landmarks, etc. • The radiation oncologist draws the target volumes in each slice with appropriate margins to include visible tumor, the suspected tumor spread, and patient motion uncertainties. • The segmented regions can be rendered in different colors
  • 24.
    • one ofthe most laborious but important processes in treatment planning. • It requires clinical judgment, which cannot be automated or completely image based. • It should not be delegated to personnel other than the physician in charge of the case, the radiation oncologist.
  • 25.
    Manual segmentation Autosegmentation Contours drawn by auto-deformation from another contour
  • 26.
    Volume definition • Prerequisitefor 3-D treatment planning. • ICRU reports50 & 62 define & describe target & critical structure volumes.
  • 27.
    • volumes definedprior to treatment planning – Gross tumor volume (GTV). – Clinical target volume (CTV). • Defined during the treatment planning process – Planning target volume (PTV). – Organs at risk. • As a result of treatment planning, volumes described. – Treated volume (TV). – Irradiated volume (IRV).
  • 43.
    Beam aperture design aidedby • the BEV ( Beam’s eye view)capability of the 3- D treatment-planning system • DRR
  • 44.
    Digitally Reconstructed Radiograph-DRR •A synthetic radiograph produced by tracing ray-lines from a virtual source position through the CT data to a virtual film plane . • It is analogous to conventional simulation radiographs.
  • 45.
    • DRR isused – for treatment portal design – for verification of treatment portal by comparison with port films or electronic portal images
  • 46.
    Beam Eye View-BEV •In BEV observer’s viewing point is at the source of radiation looking out along axis of radiation beam. • Targets and critical normal structures visible in different colors through segmentation can be viewed from different directions in planes perpendicular to the beam's central axis. – Demonstrates geometric coverage of target volume by the beam – Shielding & MLCs are designed on BEV – Useful in identifying best gantry, collimator, and couch angles to irradiate target & avoid adjacent normal structures
  • 48.
    Beam apertures canbe designed • Automatically - the user sets a uniform margin around the PTV. • Manual- when its needed to draw a nonuniform margin • Generally, a 2-cm margin between the PTV and the field edge ensures better than 95% isodose coverage of the PTV
  • 49.
  • 50.
    • For planning,the 3D TPS must have the capability to simulate each of the treatment machine motion functions, including – Gantry angle, – Collimator length, width & angle, – MLC leaf settings, – Couch latitude, longitude, height & angle
  • 51.
    FORWARD PLANNING • For3D CRT forward planning is used. • Beam arrangement is selected. • Using BEV, beam aperture is designed • Dose is prescribed. • 3D dose distribution is calculated. • Then plan is evaluated. • Plan is modified based on dose distribution evaluation, using various combinations of – Beam , collimator & couch angle, – Beam weights & – Beam modifying devices (wedges, compensators) to get desired dose distribution.
  • 52.
    • Three-dimensional treatmentplanning encourages the use of multiple fields because targets and critical structures can be viewed in the BEV configuration individually for each field. • Multiple fields removes the need for using ultra- high-energy beams (>10 MV), which are required when treating thoracic or pelvic tumors with only two parallel opposed fields
  • 53.
    • Using alarge number of fields (greater than four) creates the problem of - designing an excessive number of beam- shaping blocks - requiring longer setup times -Carrying so many heavy blocks creates a nuisance for therapists who have to guard against dropping a block accidentally or using a wrong block.
  • 54.
    • A goodalternative to multiple field blocking is the use of a multileaf collimator (MLC) • A field drawn on a BEV printout can be digitized to set the MLC setting. • BEV field outlines can also be transmitted electronically to the accelerator to program the MLC.
  • 55.
  • 56.
    Plan Optimisation • Optimisationrefers to the technique of finding the best physical and technically possible treatment plan to fulfill the specified physical and clinical criteria • An optimal plan should deliver tumoricidal dose to the entire tumor and spare all the normal tissues.
  • 57.
    PLAN EVALUATION • Toolsused in the evaluation of the planned dose distribution: • Isodose lines • Color wash • DVHs (Dose volume histograms ) – Dose distribution statistics
  • 58.
    Isodose curves • Dosedistributions of competing plans are evaluated by viewing isodose curves in individual slices, orthogonal planes (e.g., transverse, sagittal, and coronal), or 3-D isodose surfaces.
  • 59.
    Colour wash • Spectrumof colors superimposed on the anatomic information represented by modulation of intensity – Gives quick over view of dose distribution – Easy to assess overdosage in normal tissue that are not contoured. – To assess dose heterogeneity inside PTV • Slice by slice evaluation of dose distribution can be done
  • 60.
    Dose volume histograms •DVHs summarize the information contained in the 3-D dose distribution & quantitatively evaluates treatment plans. • DVHs are usually displayed in the form of ‘per cent volume of total volume’ against dose. • The DVH may be represented in two forms: – Cumulative integral DVH – Differential DVH.
  • 61.
    CUMULATIVE DVH-more useful •It is plot of volume of a given structure receiving a certain dose. • Any point on the cumulative DVH curve shows the volume of a given structure that receives the indicated dose or higher. • It start at 100% of the volume for zero dose, since all of the volume receives at least more than zero Gy.
  • 62.
    DIFFERENTIAL DVH • Thedirect or differential DVH is a plot of volume receiving a dose within a specified dose interval (or dose bin) as a function of dose. • It shows extent of dose variation within a given structure. • The ideal DVH for a target volume would be a single column indicating that 100% of volume receives prescribed dose. • For a critical structure, the DVH may contain several peaks indicating that different parts of the organ receive different doses. DVH - target vol. DVH - OAR
  • 63.
    3-D DOSE CLOUD •Map isodoses in three dimensions and overlay the resulting isosurface on a 3-D display with surface renderings of target & other contoured organs.
  • 64.
    Dose statistics • Itprovide quantitative information on the volume of the target or critical structure and on the dose received by that volume. • These include: – The minimum dose to the volume – The maximum dose to the volume – The mean dose to the volume • Useful in dose reporting.
  • 68.
    PLAN IMPLEMENTATION • Oncethe treatment plan has been evaluated & approved, documentation for plan implementation must be generated. • It includes – beam parameter settings transferred to the treatment machine’s record and verify system, – MLC parameters communicated to computer system that controls MLC system of the treatment machine, – DRR generation & printing or transfer to an image database.
  • 69.
    Plan implementation • AfterPhysician contuors target volumes and determination of treatment isocentre is done • Couch shifts ( distances in three directions ) between reference marks drawn on CT Scanner and treatment centre are then calculated • On first day of treatment , patient is first positioned to initial refernce marks and then shifted to treatment isocentre using the calculated shifts . • The treatment isocentre is then marked on the patient
  • 70.
    Position verification • Patientposition is verified and thus corrected using EPID ( electronic portal imaging device) • Both the field and the bony anatomy are matched sequentially to give an estimate of error.
  • 71.
    Online and offlinecorrections • refer to whether the patient is on the treatment couch while the verification is being done and whether the correction would be applied to the same or subsequent sessions
  • 72.
    Offline corrections • imagesacquired before treatment and matched to the reference image at a later time point. • Aims to determine the individual systematic setup error and thus reduce it. • When combined with setup data of other patients treated under the same protocol, it helps define the population standard error for that treatment in that institution. • PTV margins in an institution depend on these determinations of individual and population systematic errors
  • 73.
    Online corrections • Acquisitionof images and their verification and correction prior to the day’s treatment. • Aims to reduce both random and systematic errors. • The treatment site and the expected magnitude of error may determine the frequency of online imaging. • Sites where large daily shifts are anticipated (abdomen, pelvis, and thorax) or where even slight shifts will alter the dose distribution within adjacent critical structures (paraspinal tumors, intracranial tumors in close proximity to optic structures) are best managed with daily imaging
  • 75.
    Dose calculation • Dosecalculation algorithms ….three broad categories: (a) correction based, (b) model based, and (c) direct Monte Carlo. • Direct Monte Carlo - most accurate method for treatment planning.
  • 76.