Neurosonogram /
Cranial USG
Dr.Padmesh
http://oscepediatrics.blogspot.in/
• Images are usually taken through the anterior fontanelle.
• In the coronal plane, a series of images are taken through the
frontal lobes, more posteriorly through the ventricles and thalami,
then along the plane of the choroid plexus, then superior to that.
• The sagittal images are initially taken in the midline, with images
then taken on both sides at the level of the lateral ventricles then
periventricular areas.
Coronal Views
The transducer is angled back.
The CSF in the lateral ventricles appears as a dark image.
The lateral ventricles are larger in preterm infants than in term infants.
Asymmetry between the lateral ventricles is common and is not necessarily abnormal.
The cavum septum pallucidum sits between the lateral ventricles and is often large in preterm
infants.
The corpus callosum appears above the cavum.
With the transducer shifted slightly further back, the third ventricle appears below both lateral
ventricles and the septum pallucidum.
It is often small and difficult to see, but can vary considerably in size.
The foramen of Monro (connecting lateral and 3rd ventricles) may be clearly seen.
The brainstem may be seen as a tree-like shape.
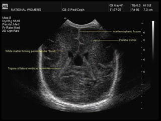
Angling further back cuts through the trigones of the lateral ventricles.
The choroid plexus fills the lateral ventricles in this view and is prominent in preterm infants.
Choroid plexus haemorrhage may be difficult to differentiate from bulky choroid.
The white matter around the lateral ventricles may appear quite echodense (bright) in this plane
and is sometimes called a "blush" or "flare".
Angling the transducer even more results in an image that slices above the lateral ventricles.
In this plane, the occipital cortex may be visualised.
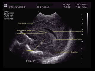
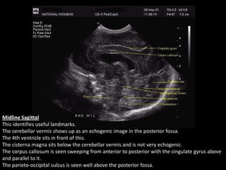
Sagittal Views
Midline Sagittal
This identifies useful landmarks.
The cerebellar vermis shows up as an echogenic image in the posterior fossa.
The 4th ventricle sits in front of this.
The cisterna magna sits below the cerebellar vermis and is not very echogenic.
The corpus callosum is seen sweeping from anterior to posterior with the cingulate gyrus above
and parallel to it.
The parieto-occipital sulcus is seen well above the posterior fossa.
Angled Parasagittal View:
The shape of the lateral ventricle is the key landmark for this view.
The caudate nucleus lies below the floor of the frontal horn of the lateral ventricle; the
thalamus lies behind and below it.
The occipital horn of the lateral ventricle is filled with choroid plexus.
The choroid tucks up in the caudothalamic groove in the floor of the lateral ventricle and may be
echogenic.
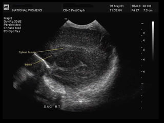
Tangential Parasagittal View:
Further angulation of the transducer laterally results in a section lateral to the lateral
ventricles. The Sylvian fissure is the key landmark in this view.
ABNORMALITIES:
PVL
DeVries classification of PVL grading on
ultrasound
• Grade I PVL: Prolonged periventricular flare present for 7 days or
more.
• Grade II PVL: Presence of small-localized fronto-parietal cysts.
• Grade III PVL: Extensive periventricular cystic lesion involving occipital
and fronto-parietal white matter.
• Grade IV PVL: Areas of extensive sub cortical cystic lesions.
Sagittal image of a child with PVL
grade 1
Transverse and sagittal image of a child
with PVL grade 2.
Sagittal image demonstarting
extensive PVL grade 3
Coronal and transverse images
demonstrating PVL grade 4
Frontal and parieto-occipital Flare:
Grade I PVL (sagittal view)
B/L extensive parieto-occipital cystic
PVL: Grade III PVL (sagittal view).
PVL
Coronal cranial US scans show symmetric,
diffuse periventricular white matter
echogenicity (arrows ) and loss of regular
parenchymal spacing.
PVL
IVH
IVH/GMH GRADING –VOLPE
By CUS (Cranial US)
IVH/GMH GRADING –PAPILE
By CT SCAN
GRADE 1 - Isolated GMH (no IVH)
GRADE 2 - IVH without ventricular dilatation
GRADE 3 - IVH with ventricular dilatation
GRADE 4 - IVH with parenchymal hemorrhage
A, Grade I: Note the echogenic blood in the germinal matrix (arrowheads)
just anterior to the anterior tip of the choroid plexus, which (normally) is
also echogenic.
B, Grade II: Note the echogenic blood
(arrowheads) filling <50% of the ventricular area.
C, Grade III: Note the large blood clot nearly completely
filling and distending the entire lateral ventricle
COMPARISON
Grade 1 intracranial hemorrhage
Sagittal and coronal US of subependymal hemorrhage located in the groove between the
thalamus and the nucleus caudatus. (hemorrhage confined to the caudothalamic groove.)
Sagittal and coronal US of a grade 2 hemorrhage;
On the coronal image only the cavum septi pellucidi is seen.
Both lateral ventricles are filled with blood, but there is no
ventricular dilatation.
MISCELLANEOUS
MISCELLANEOUS
• Doppler Vascular Measurements:
• The vessels that are the easiest to access are
– the anterior cerebral artery (ACA), best seen through the anterior fontanelle in
the sagittal plane and
– the middle cerebral artery (MCA) best seen through the temporal window in
the axial plane.
• The Resistivity index (RI) :
PS – ED SV - DV
PS SV
• Where PS= peak systolic velocity and ED = end diastolic velocity.
• The normal range is about 0.65 - 0.90.
• Values below 0.5 or above 0.9 are abnormal.
• THANK YOU!
• http://oscepediatrics.blogspot.in/

Neurosonogram.. Dr.Padmesh

  • 1.
  • 3.
    • Images areusually taken through the anterior fontanelle. • In the coronal plane, a series of images are taken through the frontal lobes, more posteriorly through the ventricles and thalami, then along the plane of the choroid plexus, then superior to that. • The sagittal images are initially taken in the midline, with images then taken on both sides at the level of the lateral ventricles then periventricular areas.
  • 4.
  • 7.
    The transducer isangled back. The CSF in the lateral ventricles appears as a dark image. The lateral ventricles are larger in preterm infants than in term infants. Asymmetry between the lateral ventricles is common and is not necessarily abnormal. The cavum septum pallucidum sits between the lateral ventricles and is often large in preterm infants. The corpus callosum appears above the cavum.
  • 9.
    With the transducershifted slightly further back, the third ventricle appears below both lateral ventricles and the septum pallucidum. It is often small and difficult to see, but can vary considerably in size. The foramen of Monro (connecting lateral and 3rd ventricles) may be clearly seen. The brainstem may be seen as a tree-like shape.
  • 11.
    Angling further backcuts through the trigones of the lateral ventricles. The choroid plexus fills the lateral ventricles in this view and is prominent in preterm infants. Choroid plexus haemorrhage may be difficult to differentiate from bulky choroid. The white matter around the lateral ventricles may appear quite echodense (bright) in this plane and is sometimes called a "blush" or "flare".
  • 13.
    Angling the transducereven more results in an image that slices above the lateral ventricles. In this plane, the occipital cortex may be visualised.
  • 14.
  • 16.
    Midline Sagittal This identifiesuseful landmarks. The cerebellar vermis shows up as an echogenic image in the posterior fossa. The 4th ventricle sits in front of this. The cisterna magna sits below the cerebellar vermis and is not very echogenic. The corpus callosum is seen sweeping from anterior to posterior with the cingulate gyrus above and parallel to it. The parieto-occipital sulcus is seen well above the posterior fossa.
  • 18.
    Angled Parasagittal View: Theshape of the lateral ventricle is the key landmark for this view. The caudate nucleus lies below the floor of the frontal horn of the lateral ventricle; the thalamus lies behind and below it. The occipital horn of the lateral ventricle is filled with choroid plexus. The choroid tucks up in the caudothalamic groove in the floor of the lateral ventricle and may be echogenic.
  • 20.
    Tangential Parasagittal View: Furtherangulation of the transducer laterally results in a section lateral to the lateral ventricles. The Sylvian fissure is the key landmark in this view.
  • 21.
  • 22.
  • 23.
    DeVries classification ofPVL grading on ultrasound • Grade I PVL: Prolonged periventricular flare present for 7 days or more. • Grade II PVL: Presence of small-localized fronto-parietal cysts. • Grade III PVL: Extensive periventricular cystic lesion involving occipital and fronto-parietal white matter. • Grade IV PVL: Areas of extensive sub cortical cystic lesions.
  • 24.
    Sagittal image ofa child with PVL grade 1
  • 25.
    Transverse and sagittalimage of a child with PVL grade 2.
  • 26.
  • 27.
    Coronal and transverseimages demonstrating PVL grade 4
  • 28.
    Frontal and parieto-occipitalFlare: Grade I PVL (sagittal view)
  • 29.
    B/L extensive parieto-occipitalcystic PVL: Grade III PVL (sagittal view).
  • 30.
    PVL Coronal cranial USscans show symmetric, diffuse periventricular white matter echogenicity (arrows ) and loss of regular parenchymal spacing.
  • 31.
  • 32.
  • 33.
  • 34.
    IVH/GMH GRADING –PAPILE ByCT SCAN GRADE 1 - Isolated GMH (no IVH) GRADE 2 - IVH without ventricular dilatation GRADE 3 - IVH with ventricular dilatation GRADE 4 - IVH with parenchymal hemorrhage
  • 35.
    A, Grade I:Note the echogenic blood in the germinal matrix (arrowheads) just anterior to the anterior tip of the choroid plexus, which (normally) is also echogenic.
  • 36.
    B, Grade II:Note the echogenic blood (arrowheads) filling <50% of the ventricular area.
  • 37.
    C, Grade III:Note the large blood clot nearly completely filling and distending the entire lateral ventricle
  • 38.
  • 39.
    Grade 1 intracranialhemorrhage Sagittal and coronal US of subependymal hemorrhage located in the groove between the thalamus and the nucleus caudatus. (hemorrhage confined to the caudothalamic groove.)
  • 40.
    Sagittal and coronalUS of a grade 2 hemorrhage; On the coronal image only the cavum septi pellucidi is seen. Both lateral ventricles are filled with blood, but there is no ventricular dilatation.
  • 41.
  • 42.
    MISCELLANEOUS • Doppler VascularMeasurements: • The vessels that are the easiest to access are – the anterior cerebral artery (ACA), best seen through the anterior fontanelle in the sagittal plane and – the middle cerebral artery (MCA) best seen through the temporal window in the axial plane. • The Resistivity index (RI) : PS – ED SV - DV PS SV • Where PS= peak systolic velocity and ED = end diastolic velocity. • The normal range is about 0.65 - 0.90. • Values below 0.5 or above 0.9 are abnormal.
  • 43.
    • THANK YOU! •http://oscepediatrics.blogspot.in/