Approach to Fracture
Interpretation For Medical
Students
Dr Rory O’Donohoe
Honorary Lecturer
Department of Radiology
St. Vincent’s University Hospital
Dublin 4
Ireland
www.svuhradiology.ie
How do we visualise fractures?
• When a fracture causes separation
of bone fragments, more x-ray
photons get through the gap and we
see a lucent (dark) line
How do we visualise fractures?
• When a fracture causes overlapping
of bone fragments, more x-ray
photons are blocked and we see an
area of increased density (more
white)
What radiographic views do we
need?
• To properly examine a bone or a
joint, we need at least two views
• Usually these views are obtained
at right angles to each other (for
example, AP and lateral)
• If the fracture is displaced in the
same direction as the x-ray beam,
it may only visible on an
orthogonal view (hence the need
for more than one view)
Lateral view of elbow, left shows effusion but no
fracture. AP view, right, shows the fracture line.
A little on the description of
projections…
• Know what PA and AP mean:
• They refer to the direction of the beam
• In postero-anterior (PA) projections, the beam is fired from
behind the patient and the detector is in front of them (and vice-
versa for AP)
• If in doubt as to whether it’s PA or AP, just call it a frontal
projection- this applies to chest radiographs too
Special cases
• Some fractures are often so hard to see that we need
more than two views (a scaphoid series involves four
views) – and even with these we frequently still have
difficulty diagnosing them
• Some fractures are better identified by their effect on
the soft tissues around them, for example fat pad
displacement in elbow fractures, as will be explained
later…..
Is it definitely a fracture?
• Some normal appearances can be mistaken for fractures
• Growth plates are a frequent source of confusion - if in doubt,
check the age of the patient
• Accessory ossicles often persist into adulthood and can usually be
identified by their classic locations (entire textbooks are dedicated
to cataloguing accessory ossicles)
• If in doubt as to whether it’s a fracture or not, remember you can
always correlate with clinical examination. Are they tender there?
How to describe fractures
• Medicine requires clear and reproducible ways to
describe things - it’s not just for exams!
• You need to have a clear knowledge of the terms used
to describe fractures
How to describe fractures
• Start with the easy stuff!
• Describe the study (e.g. “These are AP and lateral
radiographs of the right humerus.”)
• What is the age and sex of the patient?
• Don’t point at the image. If you see the fracture,
describe it…..
How to describe fractures
• What bone is broken?
• While this seems obvious, it requires that you remember all of
your anatomy!
• Many medical students are a little rusty on the carpal bones
and tarsal bones
• If you want to quickly revise, check out the anatomy section on
our website at
http://www.svuhradiology.ie/diagnostic-imaging/radiological-anatomy/
How to describe fractures
• What part of the bone is broken?
• For long bones we assess whether it’s the proximal epiphysis,
proximal metaphysis, diaphysis, distal metaphysis, distal
metaphysis
• In many of these, certain parts of the bone will have a
specific anatomical name (e.g. tibial plateau, radial head,
femoral neck), so you need to be familiar with these too
• For shorter bones (e.g. a middle phalanx in a finger), we
usually describe the location with the terms proximal, mid and
distal rather than metaphysis etc.
How to describe fractures
• Is the fracture comminuted?
• A comminuted fracture comprises more than two fracture
fragments
• This may determine whether the fracture can be treated in
cast or will require surgery
• Occasionally it can be difficult to be certain, in which case the
orthopaedic team may request a CT to further assess the
fracture
How to describe fractures
• Describe the fracture line
• Transverse, oblique, spiral – the majority of fractures can be
described with one of these terms
• Occasionally, fractures will be multidirectional, for example ‘t-
shaped’, ‘h-shaped’
Transverse fracture of the tibial diaphysis
How to describe fractures
• Is there displacement?
• e.g. “there is lateral displacement of the distal fracture
component”
• Is there angulation?
• e.g. “there is medial angulation of the distal fracture
component”
• As you would expect, the more displaced and/or angulated a
fracture is, the more likely it will require surgical intervention
Fracture of the distal radius
with severe dorsal displacement
and dorsal angulation
How to describe fractures
• Is the fracture intra-articular?
• Does the fracture line (or one of them if comminuted) involve
an articular surface?
• Intra-articular fractures are associated with a poorer long-term
outcome and can result in secondary osteoarthritis
• If a joint is involved, does the joint demonstrate normal
alignment?
• If not, is it dislocated (articular surfaces no longer in contact)
or subluxed (articular surfaces partly in contact)
• For example, ankle fractures are often associated with
subluxation of the joint
Comminuted intra-articular
fracture of the proximal
aspect of the first metacarpal
Fractures of the fibula and
talus with ankle subluxation
How to describe fractures
• Simple vs. compound fractures are more relevant to clinical
examination but should be considered
• Simple fractures involve the bone only whereas compound
fractures break the skin surface and are therefore prone to
infection
• Often we won’t be able to tell this by looking at radiographs,
but occasionally it will be obvious
Cases
• Now that you’ve been armed with all this background
information, here are 10 cases for you to review
• Practice describing each fracture as you would in an
exam
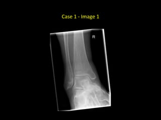
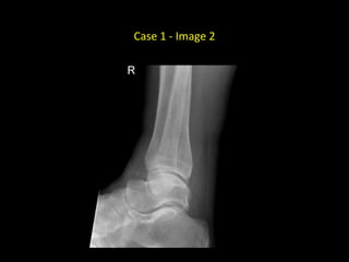
Case 1
• 30 year old with pain in the right ankle after a fall
Case 1 - Image 1
Case 1 - Image 2
Case 1
• AP and lateral radiographs of
the right ankle in a skeletally
mature patient
• There is an oblique, non-
displaced fracture of the
distal shaft of the right tibia
Case 2
• 27 year old with pain in the right shoulder after a
sports injury
Case 2
Case 2
• AP radiograph of the right
shoulder
• There is a completely
displaced comminuted
fracture of the right clavicle at
the junction of the middle
and lateral thirds
Case 2
• The fracture is described as
comminuted as there are
three separate fracture
fragments (arrows)
Case 3
• 35 year old with pain in her toe after a night out
Case 3 - Image 1
Case 3 - Image 2
Case 3
• Frontal and oblique
radiographs of the left foot
• There is a minimally displaced
transverse fracture of the
distal shaft of the left third
proximal phalanx
• Note how difficult it is to see
the fracture on the frontal
projection (it’s just about
visible as a transverse dense
line)
• This is why we need two
views when assessing for
fractures
• In this case the projections
are frontal and oblique - the
projections aren’t necessarily
always at right angles to each
other
Case 4
• 40 year old with inversion injury of the right ankle
Case 4 - Image 1
Case 4 - Image 2
Case 4
• AP and lateral radiographs of
the right ankle
• There is a minimally displaced
spiral fracture of the right
distal fibula at the level of the
syndesmosis
Case 5
• 15 year old with pain in the left shoulder after a fall
Case 5 - Image 1
Case 5 - Image 2
Case 5
• Normal radiographs!
• Don’t be fooled by the left proximal
humeral growth plate (arrows)
• There appear to be two lines through
the left proximal humerus as the growth
plate runs obliquely through the plane
of the radiograph
• Note there are also growth plates visible
at the acromion and coracoid processes
• Remember in young patients to consider
if what you’re looking at might be a
growth plate
Case 6
• 87 year old with pain in the hip after a fall out of bed
Case 6
Case 6
• AP radiograph of the pelvis in
an 86 year old female
• There is a linear non-
displaced fracture of the right
femoral neck
Case 7
• 34 year old with pain in the anatomical snuffbox
Case 7 - Image 1
Case 7 - Image 2
Case 7 - Image 3
Case 7 - Image 4
Case 7
• Scaphoid fractures can be notoriously
difficult to see. Four views are obtained
when a scaphoid fracture is suspected.
• A comminuted fracture of the waist of
the left scaphoid is visible on this
scaphoid series - this example is easier
to spot than most scaphoid fractures
• If a scaphoid fracture is still suspected
despite not being visible on radiographs,
the wrist should be immobilised and
repeat radiographs performed in 7-10
days at which time the fracture may be
more apparent.
Case 8
• 40 year old with pain in the right elbow after a fall
Case 8 - Image 1
Case 8 - Image 2
Case 8
• Not all fractures are visible on
radiographs, particularly in the
acute setting
• There may however be signs of
the fracture in the surrounding
soft tissues
• The classic example is in the
elbow where an elbow joint
effusion causes elevation of the
anterior and posterior fat pads
Case 8
• Remember, fat allows the
transmission of a relatively large
number of x-ray photons and
therefore appears dark
• Note the two triangles of fat anterior
and posterior to the distal humerus
• These are the fat pads that have been
displaced by fluid in the elbow joint
• In practice, this is presumed to be due
to a radial head fracture although the
fracture line is not visible
Case 9
• Pain in the right ankle after jumping from a height
Case 9 - Image 1
Case 9 - Image 2
Case 9
• No fracture!
• There is a boney density adjacent the
lateral cuneiform
• This is an accessory ossicle
• Note how rounded it appears, and it
doesn’t have the sharp edges of the
fractures in the previous cases
• Details of the common locations of
accessory ossicles can be found in
textbooks (and on google)
Case 10
• Pain in the right hand after a fall
Case 10 - Image 1
Case 10
Case 10
• Fracture of the distal radius
• Always remember to look
at the edge of the film!
Summary
• It’s important to have a systematic approach to
describing fractures, incorporating all the essential
features such as displacement, comminution and
intra-articular extension
• We hope that this tutorial has made you more
confident in your approach to radiographs of
fractures

Fracture interpretation for medical students

  • 1.
    Approach to Fracture InterpretationFor Medical Students Dr Rory O’Donohoe Honorary Lecturer Department of Radiology St. Vincent’s University Hospital Dublin 4 Ireland www.svuhradiology.ie
  • 2.
    How do wevisualise fractures? • When a fracture causes separation of bone fragments, more x-ray photons get through the gap and we see a lucent (dark) line
  • 3.
    How do wevisualise fractures? • When a fracture causes overlapping of bone fragments, more x-ray photons are blocked and we see an area of increased density (more white)
  • 4.
    What radiographic viewsdo we need? • To properly examine a bone or a joint, we need at least two views • Usually these views are obtained at right angles to each other (for example, AP and lateral) • If the fracture is displaced in the same direction as the x-ray beam, it may only visible on an orthogonal view (hence the need for more than one view) Lateral view of elbow, left shows effusion but no fracture. AP view, right, shows the fracture line.
  • 5.
    A little onthe description of projections… • Know what PA and AP mean: • They refer to the direction of the beam • In postero-anterior (PA) projections, the beam is fired from behind the patient and the detector is in front of them (and vice- versa for AP) • If in doubt as to whether it’s PA or AP, just call it a frontal projection- this applies to chest radiographs too
  • 6.
    Special cases • Somefractures are often so hard to see that we need more than two views (a scaphoid series involves four views) – and even with these we frequently still have difficulty diagnosing them • Some fractures are better identified by their effect on the soft tissues around them, for example fat pad displacement in elbow fractures, as will be explained later…..
  • 7.
    Is it definitelya fracture? • Some normal appearances can be mistaken for fractures • Growth plates are a frequent source of confusion - if in doubt, check the age of the patient • Accessory ossicles often persist into adulthood and can usually be identified by their classic locations (entire textbooks are dedicated to cataloguing accessory ossicles) • If in doubt as to whether it’s a fracture or not, remember you can always correlate with clinical examination. Are they tender there?
  • 8.
    How to describefractures • Medicine requires clear and reproducible ways to describe things - it’s not just for exams! • You need to have a clear knowledge of the terms used to describe fractures
  • 9.
    How to describefractures • Start with the easy stuff! • Describe the study (e.g. “These are AP and lateral radiographs of the right humerus.”) • What is the age and sex of the patient? • Don’t point at the image. If you see the fracture, describe it…..
  • 10.
    How to describefractures • What bone is broken? • While this seems obvious, it requires that you remember all of your anatomy! • Many medical students are a little rusty on the carpal bones and tarsal bones • If you want to quickly revise, check out the anatomy section on our website at http://www.svuhradiology.ie/diagnostic-imaging/radiological-anatomy/
  • 11.
    How to describefractures • What part of the bone is broken? • For long bones we assess whether it’s the proximal epiphysis, proximal metaphysis, diaphysis, distal metaphysis, distal metaphysis • In many of these, certain parts of the bone will have a specific anatomical name (e.g. tibial plateau, radial head, femoral neck), so you need to be familiar with these too • For shorter bones (e.g. a middle phalanx in a finger), we usually describe the location with the terms proximal, mid and distal rather than metaphysis etc.
  • 12.
    How to describefractures • Is the fracture comminuted? • A comminuted fracture comprises more than two fracture fragments • This may determine whether the fracture can be treated in cast or will require surgery • Occasionally it can be difficult to be certain, in which case the orthopaedic team may request a CT to further assess the fracture
  • 13.
    How to describefractures • Describe the fracture line • Transverse, oblique, spiral – the majority of fractures can be described with one of these terms • Occasionally, fractures will be multidirectional, for example ‘t- shaped’, ‘h-shaped’
  • 14.
    Transverse fracture ofthe tibial diaphysis
  • 15.
    How to describefractures • Is there displacement? • e.g. “there is lateral displacement of the distal fracture component” • Is there angulation? • e.g. “there is medial angulation of the distal fracture component” • As you would expect, the more displaced and/or angulated a fracture is, the more likely it will require surgical intervention
  • 16.
    Fracture of thedistal radius with severe dorsal displacement and dorsal angulation
  • 17.
    How to describefractures • Is the fracture intra-articular? • Does the fracture line (or one of them if comminuted) involve an articular surface? • Intra-articular fractures are associated with a poorer long-term outcome and can result in secondary osteoarthritis • If a joint is involved, does the joint demonstrate normal alignment? • If not, is it dislocated (articular surfaces no longer in contact) or subluxed (articular surfaces partly in contact) • For example, ankle fractures are often associated with subluxation of the joint
  • 18.
    Comminuted intra-articular fracture ofthe proximal aspect of the first metacarpal
  • 19.
    Fractures of thefibula and talus with ankle subluxation
  • 20.
    How to describefractures • Simple vs. compound fractures are more relevant to clinical examination but should be considered • Simple fractures involve the bone only whereas compound fractures break the skin surface and are therefore prone to infection • Often we won’t be able to tell this by looking at radiographs, but occasionally it will be obvious
  • 21.
    Cases • Now thatyou’ve been armed with all this background information, here are 10 cases for you to review • Practice describing each fracture as you would in an exam
  • 22.
    Case 1 • 30year old with pain in the right ankle after a fall
  • 23.
    Case 1 -Image 1
  • 24.
    Case 1 -Image 2
  • 25.
    Case 1 • APand lateral radiographs of the right ankle in a skeletally mature patient • There is an oblique, non- displaced fracture of the distal shaft of the right tibia
  • 26.
    Case 2 • 27year old with pain in the right shoulder after a sports injury
  • 27.
  • 28.
    Case 2 • APradiograph of the right shoulder • There is a completely displaced comminuted fracture of the right clavicle at the junction of the middle and lateral thirds
  • 29.
    Case 2 • Thefracture is described as comminuted as there are three separate fracture fragments (arrows)
  • 30.
    Case 3 • 35year old with pain in her toe after a night out
  • 31.
    Case 3 -Image 1
  • 32.
    Case 3 -Image 2
  • 33.
    Case 3 • Frontaland oblique radiographs of the left foot • There is a minimally displaced transverse fracture of the distal shaft of the left third proximal phalanx
  • 34.
    • Note howdifficult it is to see the fracture on the frontal projection (it’s just about visible as a transverse dense line) • This is why we need two views when assessing for fractures • In this case the projections are frontal and oblique - the projections aren’t necessarily always at right angles to each other
  • 35.
    Case 4 • 40year old with inversion injury of the right ankle
  • 36.
    Case 4 -Image 1
  • 37.
    Case 4 -Image 2
  • 38.
    Case 4 • APand lateral radiographs of the right ankle • There is a minimally displaced spiral fracture of the right distal fibula at the level of the syndesmosis
  • 39.
    Case 5 • 15year old with pain in the left shoulder after a fall
  • 40.
    Case 5 -Image 1
  • 41.
    Case 5 -Image 2
  • 42.
    Case 5 • Normalradiographs! • Don’t be fooled by the left proximal humeral growth plate (arrows) • There appear to be two lines through the left proximal humerus as the growth plate runs obliquely through the plane of the radiograph • Note there are also growth plates visible at the acromion and coracoid processes • Remember in young patients to consider if what you’re looking at might be a growth plate
  • 43.
    Case 6 • 87year old with pain in the hip after a fall out of bed
  • 44.
  • 45.
    Case 6 • APradiograph of the pelvis in an 86 year old female • There is a linear non- displaced fracture of the right femoral neck
  • 46.
    Case 7 • 34year old with pain in the anatomical snuffbox
  • 47.
    Case 7 -Image 1
  • 48.
    Case 7 -Image 2
  • 49.
    Case 7 -Image 3
  • 50.
    Case 7 -Image 4
  • 51.
    Case 7 • Scaphoidfractures can be notoriously difficult to see. Four views are obtained when a scaphoid fracture is suspected. • A comminuted fracture of the waist of the left scaphoid is visible on this scaphoid series - this example is easier to spot than most scaphoid fractures • If a scaphoid fracture is still suspected despite not being visible on radiographs, the wrist should be immobilised and repeat radiographs performed in 7-10 days at which time the fracture may be more apparent.
  • 52.
    Case 8 • 40year old with pain in the right elbow after a fall
  • 53.
    Case 8 -Image 1
  • 54.
    Case 8 -Image 2
  • 55.
    Case 8 • Notall fractures are visible on radiographs, particularly in the acute setting • There may however be signs of the fracture in the surrounding soft tissues • The classic example is in the elbow where an elbow joint effusion causes elevation of the anterior and posterior fat pads
  • 56.
    Case 8 • Remember,fat allows the transmission of a relatively large number of x-ray photons and therefore appears dark • Note the two triangles of fat anterior and posterior to the distal humerus • These are the fat pads that have been displaced by fluid in the elbow joint • In practice, this is presumed to be due to a radial head fracture although the fracture line is not visible
  • 57.
    Case 9 • Painin the right ankle after jumping from a height
  • 58.
    Case 9 -Image 1
  • 59.
    Case 9 -Image 2
  • 60.
    Case 9 • Nofracture! • There is a boney density adjacent the lateral cuneiform • This is an accessory ossicle • Note how rounded it appears, and it doesn’t have the sharp edges of the fractures in the previous cases • Details of the common locations of accessory ossicles can be found in textbooks (and on google)
  • 61.
    Case 10 • Painin the right hand after a fall
  • 62.
    Case 10 -Image 1
  • 63.
  • 64.
    Case 10 • Fractureof the distal radius • Always remember to look at the edge of the film!
  • 65.
    Summary • It’s importantto have a systematic approach to describing fractures, incorporating all the essential features such as displacement, comminution and intra-articular extension • We hope that this tutorial has made you more confident in your approach to radiographs of fractures