Nur Aisyah Aziz Pathology Practical  15.12.2010
BASIC Composition of Blood 5L (1/13 of body weight): 3L plasma + 2L cells Plasma: intestine & lymphatic system Blood cells: RBCs (erythrocytes), WBCs (leucocytes) & platelets (thrombocytes) Hematopoeisis: Liver (before birth) Spleen & lymph nodes (minor role – midfetal life) BM (after birth) Blood test Basic screening for disorders of Hb and cell production, synthesis & functions Specimen collection:  Capillary skin punctures (finger, toe, heel) Dried blood samples Arterial or venous sampling BM aspiration
Specimen Collection Procedures Capillary puncture (skin puncture) Preferred for peripheral blood smear Clinical alert: Do not squeeze the site to obtain blood – alters blood compositions & invalidates test values Warming extremities or placing it in a dependent position – may facilitate specimen collection
 
 
 
 
 
 
 
 
 
 
 
Venipuncture Allows procurement of larger quantities of blood Vein of choice:  antecubital vein Blood values remain constant – regardless of venipuncture site, not arterial blood Venipuncture errors: Pretest, Procedure & Posttest  Specimen Collection Procedures
Preventions for venipuncture errors:
3. BM aspiration BM is located within cancellous bone & bone marrow cavities BM consists of pattern of vessels and nerves, differentiated hemopeitic cells, RE cells & fatty tissues Important to evaluate a number of hematologic disorders & infectious ds. Presence of suspicious of a blood disorder not always an indication for BM studies   decision on individual basis Before BM procedure:  blood smear should be obtained from pts & diff. leukocyte count done Specimen Collection Procedures
3. BM aspiration: Clinical Implications Clues for many ds. – presence, absence, ratio of cells Abnormal cell patterns: Multiple myeloma, plasma cell myeloma, macroglobulinemia Chronic or Acute leukemias Anemia (megaloblastic, macrocytic & normocytic) Toxic states that cause BM depression & destruction Neoplastic ds. – BM invaded by tumour cells Agranulocytosis –   white cell production Platelet dysfunction Infectious ds – histoplasmosis & tubercuklosis Def. of body iron stores, microcytic anemia Lipid or glycogen storage ds.
Normal Hypoplastic Hyperplastic Bone Marrow
 
 
 
Basic blood tests: Complete blood count (CBC) Basic screening test – most frequent ordered laboratory procedures Valuable diagnostic test: hematologic and other body systems, prognosis, response to treatment and recovery Consist of series of tests – no., variety, percentage, concentrations & quality of blood cells: White blood cell count (WBC): leukocytes fight infection Diff. white blood cell count (Diff.): specific pattern of WBC Red blood cell count (RBC): Hematocrit (Hct): measures of RBC mass Hemoglobin (Hb): main component of RBCs and transport O 2  and CO 2 RBC indices: calculated values of size and Hb content of RBCs –  important in anemia evaluations Mean corpuscular volume (MCV) Mean corpuscular hemoglobin concentration (MCHC) Mean corpuscular hemoglobin (MCH) Stained red cell examination (film or peripheral blood smear) Platelet count (often included in CBC) Red cell distribution width (RDW): degree of variability and abN cell size Mean platelet volume (MPV): index of platelet production
Adult Reference Ranges for Red Blood Cells     Measurement (units) Men Women Hemoglobin (gm/dL) 13.6–17.2 12.0–15.0 Hematocrit (%) 39–49 33–43 Red cell count (10 6  /µL) 4.3–5.9 3.5–5.0 Reticulocyte count (%) 0.5–1.5 Mean cell volume (µm 3  ) 82–96 Mean corpuscular hemoglobin (pg) 27–33 Mean corpuscular hemoglobin concentration (gm/dL) 33–37 RBC distribution width 11.5–14.5
White blood cell count (WBC; Leukocyte count) Leukocytosis vs Leukopenia ??? Clinical Implications
Leukocytosis Leukopenia Increase of only one type of leukocyte Rarely caused by a proportional increase in leukocytes of all types Of a temporary nature (leukemoid reaction) must be distinguish from leukemia In leukemia: permanent & progressive Acute infection: depends on severity of infection, pts resistence, age and marrow efficiency & reserve Other causes: Leukemia, Myeloproliferative disorder, Trauma, Tissues injury, Malignant Neoplasm, Toxins, Drugs, Acute hemolysis, Hemorrhage, After splenectomy, Polycythemia vera & Tissue necrosis No eveidence of clinical ds.: Physiologic leukocytosis (excitemnt, stress, exercise, pain, cold or heat, anesthesia), Sunlight, UV irradiation, Nausea, Seizures & Vomitting.  Viral & bacterial infection Hypersplenism Bone marrow depression caused by heavy-metal intoxication, ionizing radiation, drugs Primary BM disorder: Leukemia, Aplastic anemia, Pernicious anemia, Myelodisplastic syndromes, congenital disorder etc. Immune-associated nuetropenia Marrow-occupying ds (fungal infection, metastatic tumour) Pernicious anemia.
2. Diff. white blood cell count (Diff; Differential Leukocyte Count) Total count of circulating WBC, differentiated according to 5 types of leukocytes – each with specific fx. Percentage of the total number of leukocytes (WBC) The distribution (number & types) of cells and the degree of increase or decrease are dx significant. Neutrophils Pyogenic infections (bacterial) Eosinophils Allergic disorders & parasitic infections Basophils Parasitic infection, some allergic disorder Lymphocytes Viral infections (measles, rubella, chicken pox) Monocytes Severe infections, by phagocytosis
3. Red cell count Important in evaluation of anemia or polycythemia Determines the total number of erythrocytes in a microliter of blood Clinical Implications:  RBC values vs. Erythrocytosis
 RBC values Erythrocytosis Anemia Hodgkin’s ds & other lymphoma Multiple myeloma Leukemia  Myeloproliferative disorder Acute & chronic hemorrhage Lupus erythematous Addison’s ds Rheumatic fever Subacute endocarditis Chronic infection Primary erythrocytosis (PV, erythemic erythrocytosis) Secondary erythrocytosis (Renal ds, extrarenal tumours, High altitude, pulmonary ds, cardiovascular ds, alveolar hypoventilation, Hemoglobinopathy, tobacco, carboxyhemoglobin Relative erythrocytosis (dec. in plasma volume): dehydration – vomiting & diarhea
4. Hematocrit (Hct); Packed cell volume (PCV) Important measurement for anemia & polycythemia Hematocrit –  ‘to separate blood’ Test mechanism: plasma & cells are separated by centrifugation Measures the RBC mass Percentage of volume of packed RBCs in whole blood (PCV)  Clinical implications:    Hct vs    Hct = ?????????
 Hct  Hct Anemia Leukemias Lymphomas Hodgkin’s ds Adrenal insufficiency Chronic ds. Acute & Chronic blood loss Hemolytic reaction: transfusion of incompatible blood, reactions to chemicals or drug, infectious agents or physical agents such as severe burns, prosthetic heart valves. Erythrocytosis Polycythemia vera Shock – when hemoconcentration rises considerably.
HOWEVER…. Hct may or may not be reliable immediately after even a moderate loss of blood or after transfusion Hct may be N after acute hemorrhage Hct is parallels the RBC when the cells are of N size Pts with microcytic or macrocytic anemia – NOT TRUE Iron def. anemia with small RBCs    Hct decreased …due to microcytic cells pack to a smaller volume
5. Hemoglobin; Hb Main component of erythrocytes Vehicle for O 2  and CO 2  transportation The O 2 -combining capacity is directly proportional to [Hb] Hb determination is important  Evaluation of anemia  Determine severity of anemia Treatment response monitoring Evaluation of polycythemia Clinical implications: DECREASED vs INCREASED
Variation in Hb level: Occurs after transfusions Hemorrhage Burns Hb and Hct provide valuable information in an emergency situation if they are interpreted not in an isolated fashion but in conjunction with other pertinent laboratory data  Hb  Hb Anemia states (Hb must be evaluated along with Hct and RBC; Iron-def., thalassemia, pernicious anemia, hemoglobinopathies, liver ds., hypothyrodism, hemorrhage-chronic & acute, Hemolytic anemia) Polycythemia vera Congestive heart failure COPD
 RBC, Hct, and/or Hb Relative polycythemia:   Hb-Hct or RBC  caused by   plasma volume Dehydration Absolute or True polycythemia: Primary (PV, erythemic erythrocytosis) Secondary:  Appropriate vs Inappropriate  Appropriate:  Physiologic conditions – altitude, cardiopulmonary disorder. Increased affinity to O 2   Inappropriate:  Renal tumor or cyst, Hepatoma, Cerebral hemangioblastoma Clinical implications of  POLYCYTHEMIA :
 RBC, Hct, and/or Hb Clinical implications of  ANEMIA : Pathophysiology states: Examples: Hypoproliferative anemia Marrow aplasia, Myelopthisic anemia, Anemia of chronic ds, etc Maturation defect anemias Cytoplasmic – hypochromic anemias Nuclear – Megaloblastic anemia Combined: Myelodisplastic syndromes Hyperproliferative anemias Hemorrhagic – Acute blood loss Hemolytic – a premature, accelerated destruction of RBCs Dilutional anemias Pregnancy Splenomegaly
RBC indices Define the size & Hb content of the RBC Consist of  MCV, MCHC  and   MCH To differentiate anemias: by cell size:  Macrocytic, Microcytic & Normocytic by colour:  Hypochromia,  Hyperchromia, Anisochromasia, Polychromasia
Microcytic red cells (MCV 62fl) Normocytic red cells Macrocytic red cells (MCV 105 fl)
Hyperchromic cells (  MCHC) Normochromic cells  (N MCHC) Hypochromic cells (  MCHC)
Mean Corpuscular Volume (MCV) – index of single erythrocyte volume (fL) MCV (fL) =  Hct (%) X 10 RBC (10 12 /L) Mean Corpuscular Hemoglobin Concentration (MCHC) – average [Hb] in RBCs MCHC (g/dL) =  Hb (g/dL) X 100 Hct (%)  Mean Corpuscular Hemoglobin (MCH) – average Hb weight per RBC MCH (pg/cell) =  Hb (g/dL) X 10     RBC (10 12 /L)
Red Cell Size Distribution Width (RDW) – indication of the degree of anisocytosis RDW (CV%) =  Standard deviation of RBC size X 100 MCV
Sedimentation Rate (Sed Rate); Erythrocyte Sedimentation Rate (ESR) The rate for which erythrocytes settle out of anticoagulated blood in 1 hour Sedimentation – occurs when the erythrocytes clump or aggregate together in a column-like manner ( ROULEAUX FORMATION ) Changes are related to alterations in plasma proteins N state : erythrocytes settle slowly –  N RBCs do not form rouleaux
The test is based on the fact that inflammatory and necrotic processes cause an alteration in blood proteins, resulting in aggregation of RBCs, which makes them heavier and more likely to fall rapidly when placed in a special vertical test tube.  The faster the settling of cells, the higher the ESR ESR is used in diagnosis of temporal arthritis, rheumatoid arthritis and polymyalgia rheumathica, also useful in monitoring the progression of inflammatory ds. ESR
1 = Normal ESR
2 = Normal ESR with reddish plasma in  hemolysis (disease or artifact)
3 = Blurring of the plasma-erythrocyte border in reticulocytosis
4 = White turbidity and blurring in severe leukocytosis of leukemia
5 = Accelerated ESR and lipemic plasma after a fatty meal
6 = Accelerated ESR and icteric plasma
7 = "Zero" ESR in polycythemia
8 = Severely accelerated ESR in multiple myeloma
Normal ESR  ESR PV, eryhthrocytosis SC anemia, Hb C ds. Congestive heart failure Hypofibrinogenemia PK def. Hereditary spherocytosis Anemia –  N  ESR in iron-def. ; abN ESR in anemia of chronic ds alone or in combination with iron-def. Etc. All collagen ds. (SLE) Infections, pneumonia, syphilis, TB Inflammatory ds. (acute pelvic inf. Ds) Carcinoma, Neoplasms, Lymphoma Acute-heavy metal posioning Cell or tissue destruction, MI Toxemia, pregnancy Nephritis, Nephrosis Anemia – acute or chronic ds. Rheumatoid arthritis Etc.
 

Hema practical 02 hematology

  • 1.
    Nur Aisyah AzizPathology Practical 15.12.2010
  • 2.
    BASIC Composition ofBlood 5L (1/13 of body weight): 3L plasma + 2L cells Plasma: intestine & lymphatic system Blood cells: RBCs (erythrocytes), WBCs (leucocytes) & platelets (thrombocytes) Hematopoeisis: Liver (before birth) Spleen & lymph nodes (minor role – midfetal life) BM (after birth) Blood test Basic screening for disorders of Hb and cell production, synthesis & functions Specimen collection: Capillary skin punctures (finger, toe, heel) Dried blood samples Arterial or venous sampling BM aspiration
  • 3.
    Specimen Collection ProceduresCapillary puncture (skin puncture) Preferred for peripheral blood smear Clinical alert: Do not squeeze the site to obtain blood – alters blood compositions & invalidates test values Warming extremities or placing it in a dependent position – may facilitate specimen collection
  • 4.
  • 5.
  • 6.
  • 7.
  • 8.
  • 9.
  • 10.
  • 11.
  • 12.
  • 13.
  • 14.
  • 15.
    Venipuncture Allows procurementof larger quantities of blood Vein of choice: antecubital vein Blood values remain constant – regardless of venipuncture site, not arterial blood Venipuncture errors: Pretest, Procedure & Posttest Specimen Collection Procedures
  • 16.
  • 17.
    3. BM aspirationBM is located within cancellous bone & bone marrow cavities BM consists of pattern of vessels and nerves, differentiated hemopeitic cells, RE cells & fatty tissues Important to evaluate a number of hematologic disorders & infectious ds. Presence of suspicious of a blood disorder not always an indication for BM studies  decision on individual basis Before BM procedure: blood smear should be obtained from pts & diff. leukocyte count done Specimen Collection Procedures
  • 18.
    3. BM aspiration:Clinical Implications Clues for many ds. – presence, absence, ratio of cells Abnormal cell patterns: Multiple myeloma, plasma cell myeloma, macroglobulinemia Chronic or Acute leukemias Anemia (megaloblastic, macrocytic & normocytic) Toxic states that cause BM depression & destruction Neoplastic ds. – BM invaded by tumour cells Agranulocytosis –  white cell production Platelet dysfunction Infectious ds – histoplasmosis & tubercuklosis Def. of body iron stores, microcytic anemia Lipid or glycogen storage ds.
  • 19.
  • 20.
  • 21.
  • 22.
  • 23.
    Basic blood tests:Complete blood count (CBC) Basic screening test – most frequent ordered laboratory procedures Valuable diagnostic test: hematologic and other body systems, prognosis, response to treatment and recovery Consist of series of tests – no., variety, percentage, concentrations & quality of blood cells: White blood cell count (WBC): leukocytes fight infection Diff. white blood cell count (Diff.): specific pattern of WBC Red blood cell count (RBC): Hematocrit (Hct): measures of RBC mass Hemoglobin (Hb): main component of RBCs and transport O 2 and CO 2 RBC indices: calculated values of size and Hb content of RBCs – important in anemia evaluations Mean corpuscular volume (MCV) Mean corpuscular hemoglobin concentration (MCHC) Mean corpuscular hemoglobin (MCH) Stained red cell examination (film or peripheral blood smear) Platelet count (often included in CBC) Red cell distribution width (RDW): degree of variability and abN cell size Mean platelet volume (MPV): index of platelet production
  • 24.
    Adult Reference Rangesfor Red Blood Cells Measurement (units) Men Women Hemoglobin (gm/dL) 13.6–17.2 12.0–15.0 Hematocrit (%) 39–49 33–43 Red cell count (10 6 /µL) 4.3–5.9 3.5–5.0 Reticulocyte count (%) 0.5–1.5 Mean cell volume (µm 3 ) 82–96 Mean corpuscular hemoglobin (pg) 27–33 Mean corpuscular hemoglobin concentration (gm/dL) 33–37 RBC distribution width 11.5–14.5
  • 25.
    White blood cellcount (WBC; Leukocyte count) Leukocytosis vs Leukopenia ??? Clinical Implications
  • 26.
    Leukocytosis Leukopenia Increaseof only one type of leukocyte Rarely caused by a proportional increase in leukocytes of all types Of a temporary nature (leukemoid reaction) must be distinguish from leukemia In leukemia: permanent & progressive Acute infection: depends on severity of infection, pts resistence, age and marrow efficiency & reserve Other causes: Leukemia, Myeloproliferative disorder, Trauma, Tissues injury, Malignant Neoplasm, Toxins, Drugs, Acute hemolysis, Hemorrhage, After splenectomy, Polycythemia vera & Tissue necrosis No eveidence of clinical ds.: Physiologic leukocytosis (excitemnt, stress, exercise, pain, cold or heat, anesthesia), Sunlight, UV irradiation, Nausea, Seizures & Vomitting. Viral & bacterial infection Hypersplenism Bone marrow depression caused by heavy-metal intoxication, ionizing radiation, drugs Primary BM disorder: Leukemia, Aplastic anemia, Pernicious anemia, Myelodisplastic syndromes, congenital disorder etc. Immune-associated nuetropenia Marrow-occupying ds (fungal infection, metastatic tumour) Pernicious anemia.
  • 27.
    2. Diff. whiteblood cell count (Diff; Differential Leukocyte Count) Total count of circulating WBC, differentiated according to 5 types of leukocytes – each with specific fx. Percentage of the total number of leukocytes (WBC) The distribution (number & types) of cells and the degree of increase or decrease are dx significant. Neutrophils Pyogenic infections (bacterial) Eosinophils Allergic disorders & parasitic infections Basophils Parasitic infection, some allergic disorder Lymphocytes Viral infections (measles, rubella, chicken pox) Monocytes Severe infections, by phagocytosis
  • 28.
    3. Red cellcount Important in evaluation of anemia or polycythemia Determines the total number of erythrocytes in a microliter of blood Clinical Implications:  RBC values vs. Erythrocytosis
  • 29.
     RBC valuesErythrocytosis Anemia Hodgkin’s ds & other lymphoma Multiple myeloma Leukemia Myeloproliferative disorder Acute & chronic hemorrhage Lupus erythematous Addison’s ds Rheumatic fever Subacute endocarditis Chronic infection Primary erythrocytosis (PV, erythemic erythrocytosis) Secondary erythrocytosis (Renal ds, extrarenal tumours, High altitude, pulmonary ds, cardiovascular ds, alveolar hypoventilation, Hemoglobinopathy, tobacco, carboxyhemoglobin Relative erythrocytosis (dec. in plasma volume): dehydration – vomiting & diarhea
  • 30.
    4. Hematocrit (Hct);Packed cell volume (PCV) Important measurement for anemia & polycythemia Hematocrit – ‘to separate blood’ Test mechanism: plasma & cells are separated by centrifugation Measures the RBC mass Percentage of volume of packed RBCs in whole blood (PCV) Clinical implications:  Hct vs  Hct = ?????????
  • 31.
     Hct Hct Anemia Leukemias Lymphomas Hodgkin’s ds Adrenal insufficiency Chronic ds. Acute & Chronic blood loss Hemolytic reaction: transfusion of incompatible blood, reactions to chemicals or drug, infectious agents or physical agents such as severe burns, prosthetic heart valves. Erythrocytosis Polycythemia vera Shock – when hemoconcentration rises considerably.
  • 32.
    HOWEVER…. Hct mayor may not be reliable immediately after even a moderate loss of blood or after transfusion Hct may be N after acute hemorrhage Hct is parallels the RBC when the cells are of N size Pts with microcytic or macrocytic anemia – NOT TRUE Iron def. anemia with small RBCs  Hct decreased …due to microcytic cells pack to a smaller volume
  • 33.
    5. Hemoglobin; HbMain component of erythrocytes Vehicle for O 2 and CO 2 transportation The O 2 -combining capacity is directly proportional to [Hb] Hb determination is important Evaluation of anemia Determine severity of anemia Treatment response monitoring Evaluation of polycythemia Clinical implications: DECREASED vs INCREASED
  • 34.
    Variation in Hblevel: Occurs after transfusions Hemorrhage Burns Hb and Hct provide valuable information in an emergency situation if they are interpreted not in an isolated fashion but in conjunction with other pertinent laboratory data  Hb  Hb Anemia states (Hb must be evaluated along with Hct and RBC; Iron-def., thalassemia, pernicious anemia, hemoglobinopathies, liver ds., hypothyrodism, hemorrhage-chronic & acute, Hemolytic anemia) Polycythemia vera Congestive heart failure COPD
  • 35.
     RBC, Hct,and/or Hb Relative polycythemia:  Hb-Hct or RBC caused by  plasma volume Dehydration Absolute or True polycythemia: Primary (PV, erythemic erythrocytosis) Secondary: Appropriate vs Inappropriate Appropriate: Physiologic conditions – altitude, cardiopulmonary disorder. Increased affinity to O 2 Inappropriate: Renal tumor or cyst, Hepatoma, Cerebral hemangioblastoma Clinical implications of POLYCYTHEMIA :
  • 36.
     RBC, Hct,and/or Hb Clinical implications of ANEMIA : Pathophysiology states: Examples: Hypoproliferative anemia Marrow aplasia, Myelopthisic anemia, Anemia of chronic ds, etc Maturation defect anemias Cytoplasmic – hypochromic anemias Nuclear – Megaloblastic anemia Combined: Myelodisplastic syndromes Hyperproliferative anemias Hemorrhagic – Acute blood loss Hemolytic – a premature, accelerated destruction of RBCs Dilutional anemias Pregnancy Splenomegaly
  • 37.
    RBC indices Definethe size & Hb content of the RBC Consist of MCV, MCHC and MCH To differentiate anemias: by cell size: Macrocytic, Microcytic & Normocytic by colour: Hypochromia, Hyperchromia, Anisochromasia, Polychromasia
  • 38.
    Microcytic red cells(MCV 62fl) Normocytic red cells Macrocytic red cells (MCV 105 fl)
  • 39.
    Hyperchromic cells ( MCHC) Normochromic cells (N MCHC) Hypochromic cells (  MCHC)
  • 40.
    Mean Corpuscular Volume(MCV) – index of single erythrocyte volume (fL) MCV (fL) = Hct (%) X 10 RBC (10 12 /L) Mean Corpuscular Hemoglobin Concentration (MCHC) – average [Hb] in RBCs MCHC (g/dL) = Hb (g/dL) X 100 Hct (%) Mean Corpuscular Hemoglobin (MCH) – average Hb weight per RBC MCH (pg/cell) = Hb (g/dL) X 10 RBC (10 12 /L)
  • 41.
    Red Cell SizeDistribution Width (RDW) – indication of the degree of anisocytosis RDW (CV%) = Standard deviation of RBC size X 100 MCV
  • 42.
    Sedimentation Rate (SedRate); Erythrocyte Sedimentation Rate (ESR) The rate for which erythrocytes settle out of anticoagulated blood in 1 hour Sedimentation – occurs when the erythrocytes clump or aggregate together in a column-like manner ( ROULEAUX FORMATION ) Changes are related to alterations in plasma proteins N state : erythrocytes settle slowly – N RBCs do not form rouleaux
  • 43.
    The test isbased on the fact that inflammatory and necrotic processes cause an alteration in blood proteins, resulting in aggregation of RBCs, which makes them heavier and more likely to fall rapidly when placed in a special vertical test tube. The faster the settling of cells, the higher the ESR ESR is used in diagnosis of temporal arthritis, rheumatoid arthritis and polymyalgia rheumathica, also useful in monitoring the progression of inflammatory ds. ESR
  • 44.
    1 = NormalESR
2 = Normal ESR with reddish plasma in hemolysis (disease or artifact)
3 = Blurring of the plasma-erythrocyte border in reticulocytosis
4 = White turbidity and blurring in severe leukocytosis of leukemia
5 = Accelerated ESR and lipemic plasma after a fatty meal
6 = Accelerated ESR and icteric plasma
7 = "Zero" ESR in polycythemia
8 = Severely accelerated ESR in multiple myeloma
  • 45.
    Normal ESR ESR PV, eryhthrocytosis SC anemia, Hb C ds. Congestive heart failure Hypofibrinogenemia PK def. Hereditary spherocytosis Anemia – N ESR in iron-def. ; abN ESR in anemia of chronic ds alone or in combination with iron-def. Etc. All collagen ds. (SLE) Infections, pneumonia, syphilis, TB Inflammatory ds. (acute pelvic inf. Ds) Carcinoma, Neoplasms, Lymphoma Acute-heavy metal posioning Cell or tissue destruction, MI Toxemia, pregnancy Nephritis, Nephrosis Anemia – acute or chronic ds. Rheumatoid arthritis Etc.
  • 46.

Editor's Notes

  • #6 Normal blood, dense area
  • #7 Normal blood, thin area
  • #8 Normal blood - side edge, large cells - 20X
  • #9 Normal blood - dense area - 100X
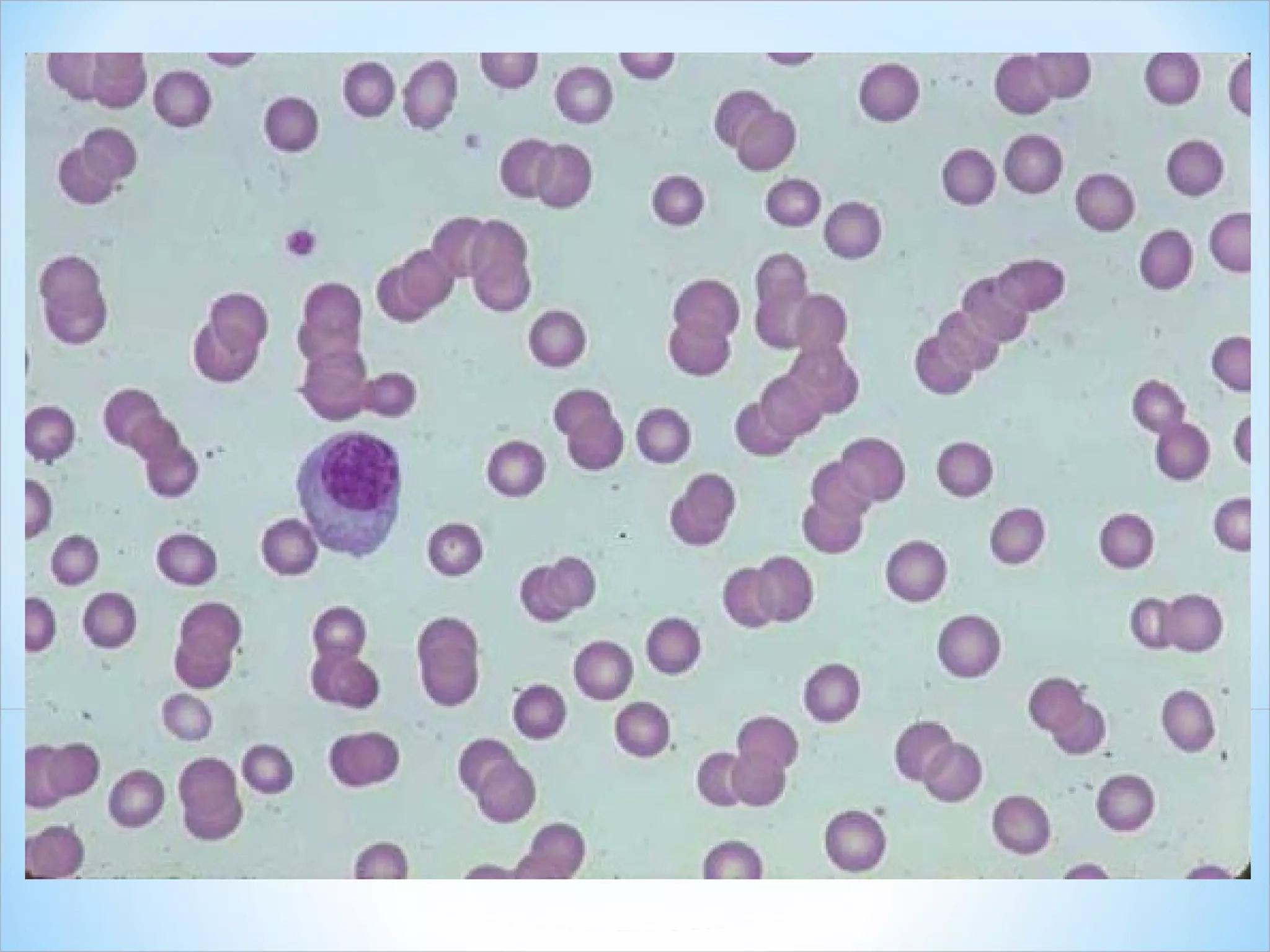
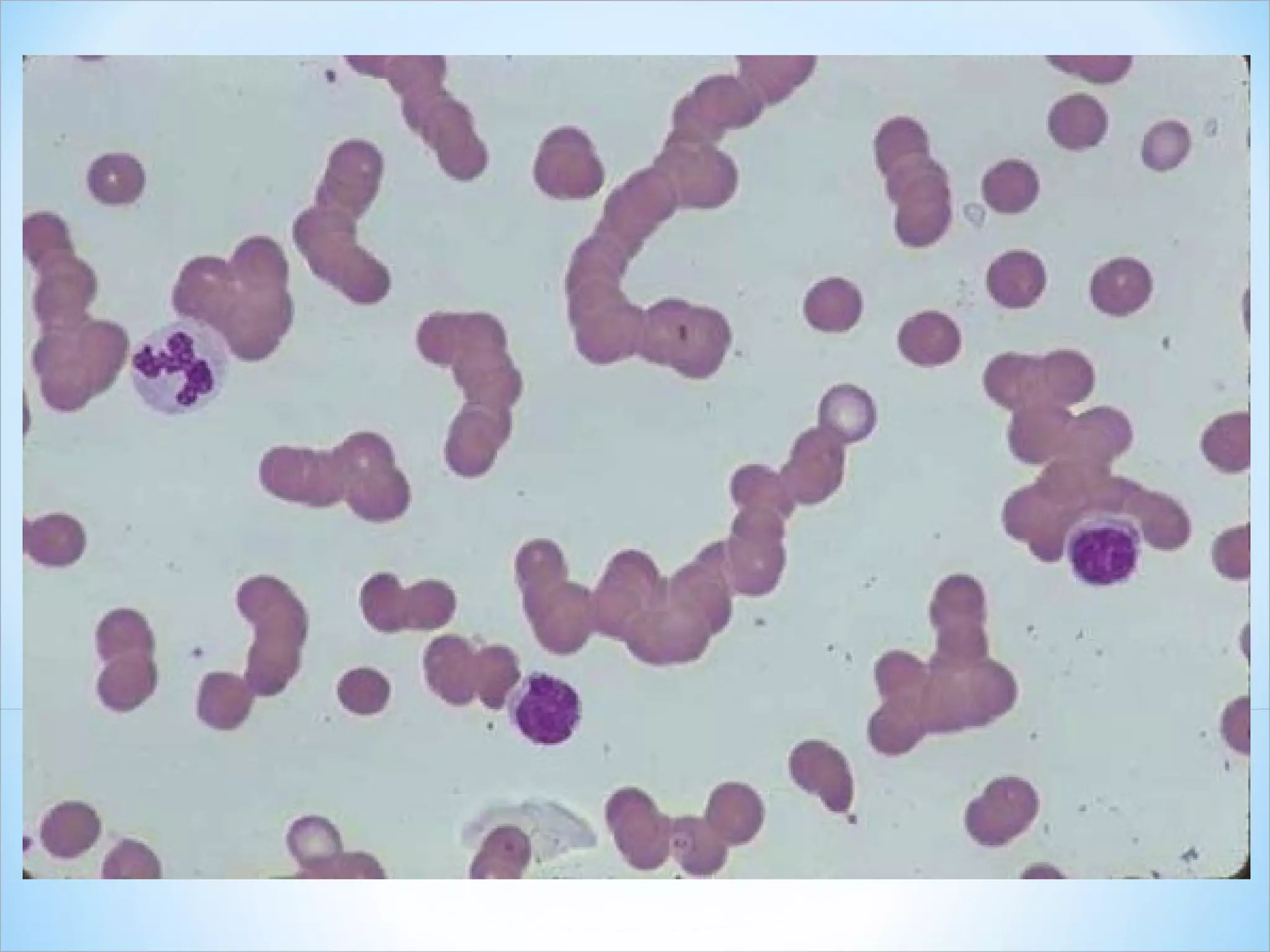
  • #10 Much rouleaux formation of the red cells in this thick area of red cell distribution. This is pathologic rouleaux in contrast to normal stacking of red cells in a thick area of a normal blood smear. The background has a bluish tinge. Two small lymphocytes and one mature neutrophil are in the field. Multiple myeloma. Blood - 50
  • #11 Rouleaux formation of the red cells, one mature Plasma Cell and a blue tinge to the background. This is an area of good thickness for proper evaluation of a blood smear. Multiple myeloma. Blood - 50X
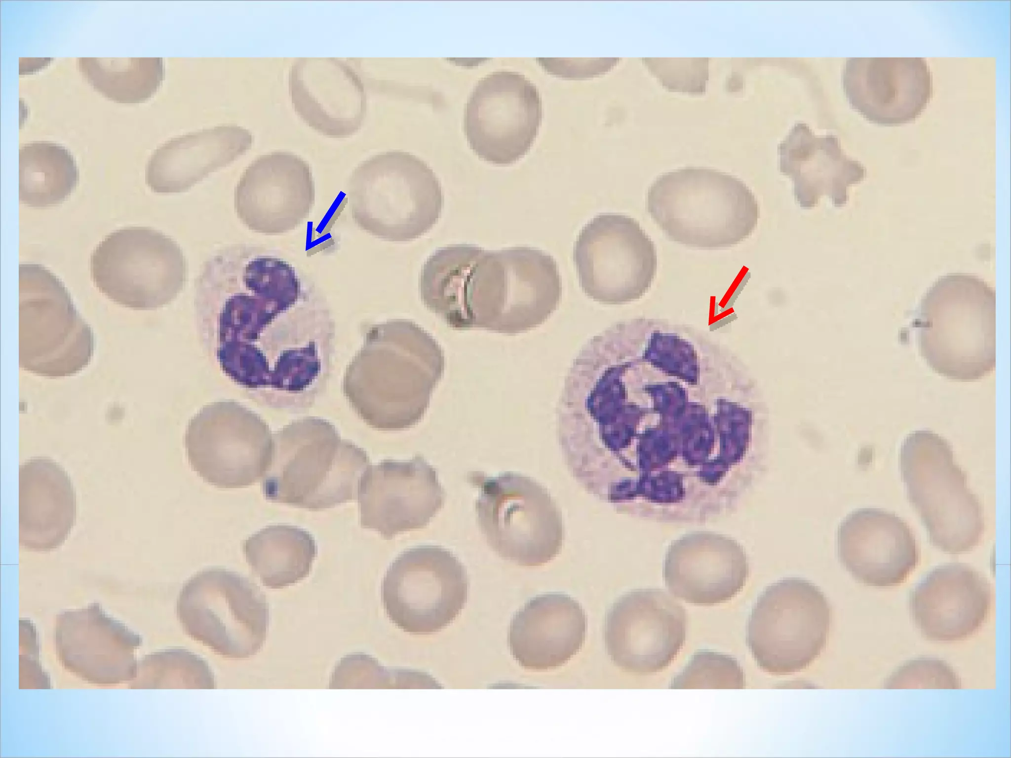
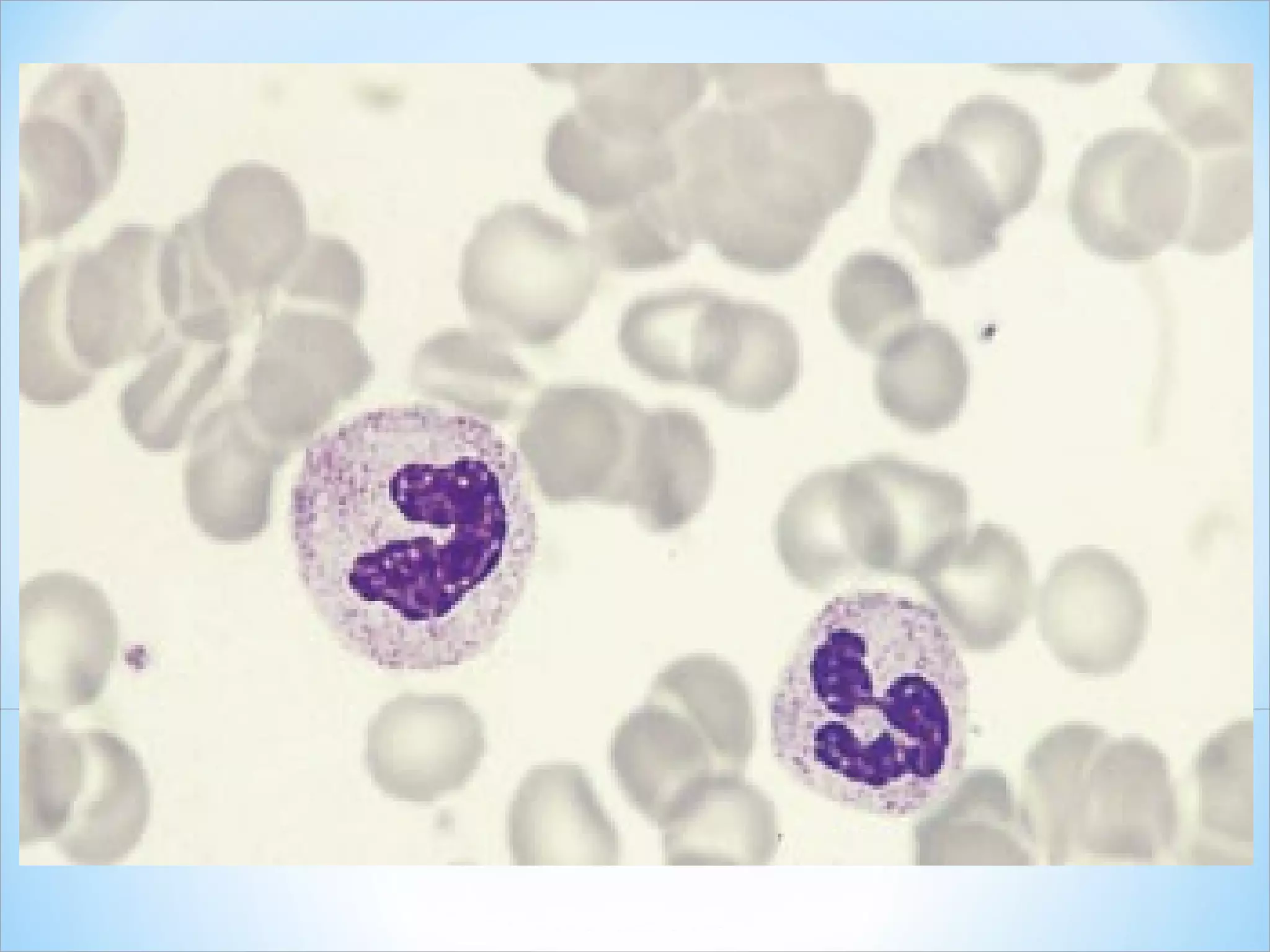
  • #13 Right Shift : Neutrophils may also show increased lobulation
  • #14 Megaloblastic anemia : A hypersegmented neutrophil (7 lobes).
  • #15 A macropolycyte compared with a normal neutrophil. The macropolycyte is twice as large as the normal neutrophil and has a nucleus with seven or eight lobes which is also twice as large as a normal neutrophil nucleus.
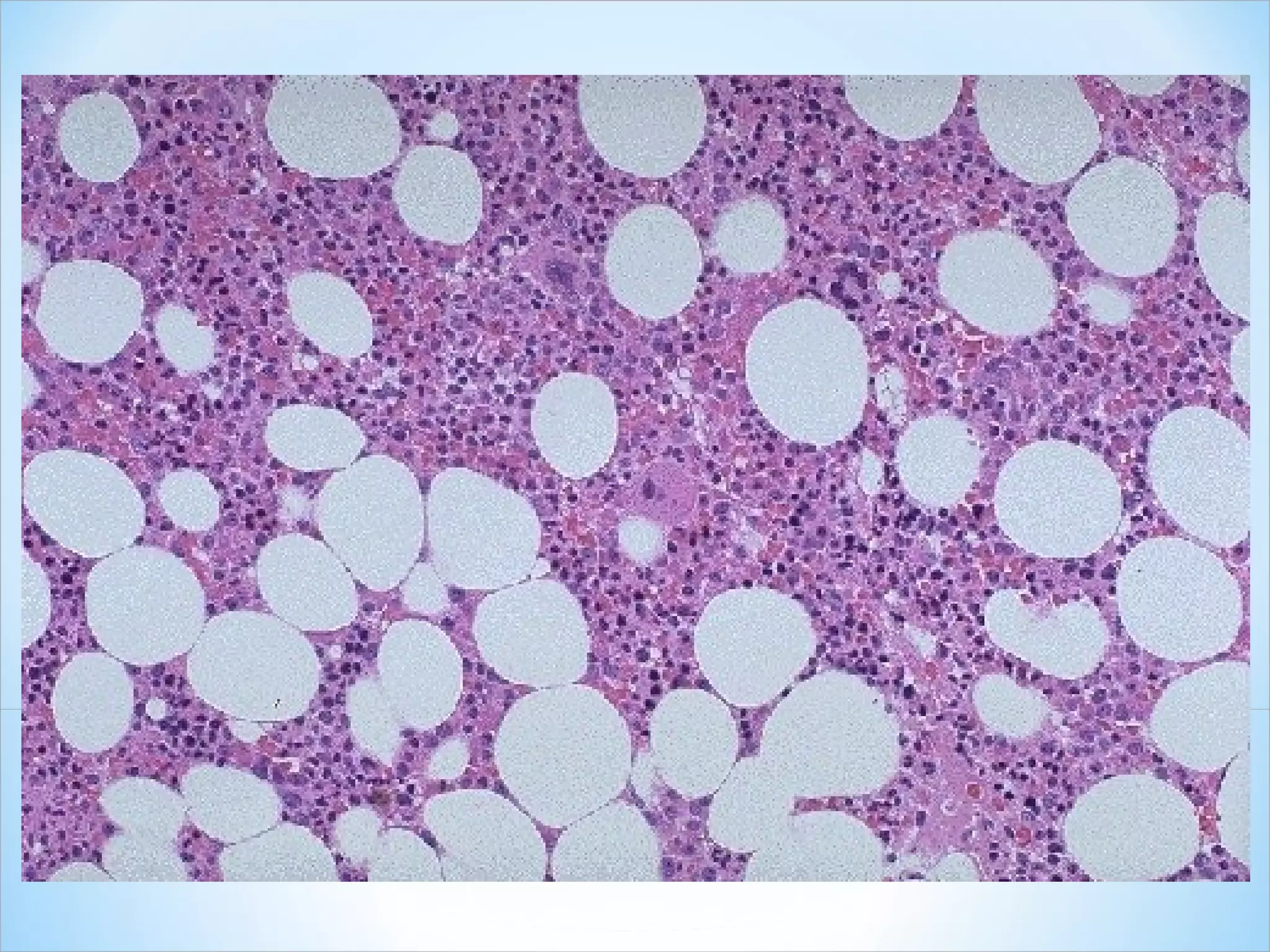
  • #21 Normal mature megakaryocytes. Normal marrow biopsy. H & E stain - 50X
  • #22 Normal bone marrow, medium power microscopic, with bony trabeculae and cellular marrow and adipose tissue.
  • #23 Aplastic anemia: decreased bone marrow cellularity
  • #26 CLINICAL IMPLICATION The endocrine system is an important regulator of the number of leukocytes in the blood. Hormones affect the production of leukocytes in the blood-forming organs, their storage and release form the tissue and their disintegration. A local inflammatory process exerts a definite chemical effect on the mobilization of leukocytes. The life span of leukocytes varies from 13 – 20 days, after which the cells are destroyed in the lymphatic system; many are excreted from the body in fecal matter. Leukocytes fight infection and defend the body by a process called phagocytosis (encapsulate foreign organism and destroy them). Leukocytes also produce, transport and distribute antibodies as part of the immune response to a foreign substance (antigen)
  • #35 Hb and Hct are both high during and immediately after hemorrhage