TOTAL LEUCOCYTE COUNT
TOTAL DIFFERENTIAL COUNT
Dr Neha Mahajan
MD Pathology
Haematopoeisis
G
R
A
N
U
L
O
P
O
E
I
S
I
S
Type of WBC’s
 Granulocytes—have large
granules in their cytoplasm
 Neutrophils( 40 to 75%)
 Eosinophils(1 to 6%)
 Basophils(0 to 1%)
Types of WBC’s
 Agranulocytes—do not have
granules in their cytoplasm
 Lymphocytes(20 to 40%)
 Monocytes( 2 to 10%)
Granuloctyes
 Neutrophils
 Stain light purple with neutral dyes
 Granules are small and numerous—course
appearance
 Several lobes in nucleus
 65% of WBC count
 Diapedesis,inflammation
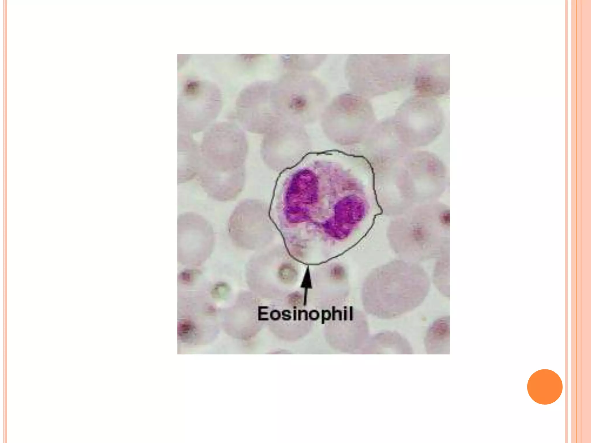
Granulocytes
 Eosinophils or Acidophils:
 Large, numerous granules
 Nuclei with two lobes
 2-5% of WBC count
 Found in lining of respiratory and digestive tracts
 Protections against infections caused by parasitic
worms and involvement in allergic reactions
 Secrete anti-inflammatory substances in allergic
reactions
 Basophils
 Least found- 0.5 to 1%
 Contain histamine,serotonin,heparin—
inflammatory chemical
Agranulocytes
 Lymphocytes
 Smallest WBC
 Large nuclei/small amount of cytoplasm
 Account for 25% of WBC count
 Two types—T lymphocytes—attack an
infect or cancerous cell,
B lymphocytes—produce antibodies
against specific antigens (foreign body)
Agranulocytes
 Monocytes
 Largest of WBCs
 Dark kidney bean shaped nuclei
 Highly phagocytic
TOTAL LEUCOCYTE COUNT
WHITE CELL COUNT (WBC)
 White cell count (WBC) is the total number of leukocytes in a
volume of blood, expressed as thousands/µl.
 WBC can be done by manual methods or by automated cell
counters.
 Normal Values:
• Newborn 9.0-30.0 x 103/μl
• 1 week 5.0-21.0 x 103/μl
• 1 month 5.0-19.5 x 103/μl
• 6-12 months 6.0-17.5 x 103/μl
• 2 years 6.2-17.0 x 103/μl
• Child/adult 4.8-10.8 x 103/μl
PRINCIPLE OF WBCS COUNT TEST
 Free-flowing capillary or well-mixed anticoagulated
venous blood is added to a diluent) at a specific volume in
the thoma pipette.
 The diluent lyses the erythrocytes but preserves
leukocytes and stains the nuceli.
 The diluted blood is added to the hemacytometer
chamber.
 Specimen:
 EDTA- anticoagulated blood or capillary blood is
preferred.
 Reagents, supplies and equipment:
 White blood cells count diluting fluid
Turks' solution which is formed of:
 Glacial acetic acid 3 ml
 Crystal violet 1 ml
 100 ml distilled water.
EQUIPMENT
1. White blood cells count diluting fluid
2. Thoma white pipette
3. Hemacytometer and coverslip
4. Microscope
5. Lint-free wipe
6. Alcohol pads
haemocytometer chamber
Thoma white pipette
Rubber sucking tube
HEMACYTOMETER
 The hemacytometer counting chamber is used for cell
counting.
 It is constructed so that the distance between the bottom of
the coverslip and the surface of the counting area of the
chamber is 0.1 mm.
 The surface of the chamber contains two square ruled areas
separated by an H-shaped moat.
HEMACYTOMETER
PROCEDURE
1. Draw the blood up to 0.5 mark in the thoma
pipette.
2. Wipe the outside of the capillary pipette to
remove excess blood that would interfere with
the dilution factor.
3. Holding the pipette almost vertical place into the
fluid. Draw the diluting fluid into the pipette slowly
until the mixture reaches the 11 mark, while
gently rotating the pipette to ensure a proper
amount of mixing.
4. Place the pipette in a horizontal position and
firmly hold the index finger of either hand over
the opening in the tip of the pipette, detach the
aspirator from the other end of the pipette now
the dilution of the blood is completed
PROCEDURE
5. Mix the sample for at least 3 minutes to facilitate
hemolysis of RBCs.
6. Clean the hemacytometer and its coverslip with an
alcohol pad and then dry with a wipe.
7. Before filling the chamber, discard the first four to
five drops of the mixture on apiece of gauze to expel
the diluent from the stem.
PROCEDURE
8. Carefully charge hemacytometer with diluted
blood by gently squeezing sides of reservoir to
expel contents until chamber is properly filled.
PROCEDURE FOR COUNTING WBC’S
1. Under 10 x magnifications, scan to ensure even
distribution. Leukocytes are counted in all 4 large
squares of counting chamber.
2. Count cells starting in the upper left large corner
square. Move to the upper right corner square,
bottom right corner square, bottom left corner square
and end in the middle square.
3. Count all cells that touch any of the upper and left
lines, do not count any cell that touches a lower or
right line.
CALCULATIONS
Dilution factor 20
Volume= Area x depth
TLC/uL= No of WBCx Correction for Volume X
dilution
No of large squares (4)
= N x 20 x10
4
= N x 50
Corrected TLC
Diluting fluid does not lyse nucleated
RBC`s/erythroblasts
Falsely counted as WBC
Corrected TLC/uL= TLC x 100
NRbc/100 Wbc+ 100
WHITE BLOOD CELL
DIFFERENTIAL COUNT
DEFINITION
The relative percentage of each
type of white blood cells in
peripheral blood.
This experiment is a part of blood
routine test.
PERIPHERAL BLOOD SMEAR
 A properly prepared blood smear is
essential to accurate assessment of cellular
morphology
 The wedge smear is the most convenient
and commonly used technique for making
PBS
PERIPHERAL BLOOD SMEAR
Wedge technique of making
PBS
A. Correct angle to hold
spreader slide
B. Blood spread across width
of slide
C. Completed wedge smear
PERIPHERAL BLOOD SMEAR
 Characteristics:
 It is smooth without
irregularities, holes, or
streaks
 When the slide is held
up to light, the
featheredge of the
smear should have a
“rainbow” appearance
 The whole drop is
picked up and spread
Well-made PBS
tail body head
PERIPHERAL BLOOD SMEAR
 Examples of unacceptable smears
PERIPHERAL BLOOD SMEAR
Examples of unacceptable smears
Observing direction:
Observe one field and record the number of WBC according to
the different type then turn to another field in the snake-liked
direction
*avoid repeat or miss some cells
ROMANOWSKY STAINING
Leishman's stain : a polychromatic stain
• Methanol : fixes cells to slide
• methylene blue stains RNA,DNA
 blue-grey color
• Eosin stains hemoglobin, eosin granules
 orange-red color
• pH value of phosphate buffer is very important
42
PROCEDURE
• Thin smear are air dried.
• Flood the smear with stain.
• Stain for 1-5 min.
• Experience will indicate the optimum time.
• Add an equal amount of buffer solution and mix the stain by blowing
an eddy in the fluid.
• Leave the mixture on the slide for 10-15 min.
• Wash off by running water directly to the centre of the slide to prevent
a residue of precipitated stain.
• Stand slide on end, and let dry in air.
43
FEATURES OF A WELL-STAINED PBS
 Macroscopically: color should be pink to purple
 Microscopically:
RCS: orange to salmon pink
WBC: nuclei is purple to blue
cytoplasm is pink to tan
granules is lilac to violet
Eosinophil: granules orange
Basophil: granules dark blue to black
44
 Optimal Assessment Area:
1. RBCs are uniformly and singly distributed
2. Few RBC are touching or overlapping
3. Normal biconcave appearance
45
PRINCIPLE
 White Blood Cells
1. Check for even distribution and estimate the number
present (also, look for any gross abnormalities present on
the smear).
2. Perform the differential count.
3. Examine for morphologic abnormalities.
46
MANUAL DIFFERENTIAL
 Red Blood Cells, Examine for :
1. Size and shape ( Anisocytosis,Poikilocytosis
2. Relative hemoglobin content.
3. Polychromatophilia.
4. Inclusions.
5. Rouleaux formation or agglutination
47
WBC ESTIMATION UNDER 40X
• Using the × 40 high dry with no oil.
• Choose a portion of the peripheral smear where there is
only slight overlapping of the RBCs.
• To do a WBC estimate by taking the average number of
white cells and multiplying by 2000.
48
PLATELET ESTIMATION UNDER 100X
1. Use the oil immersion lens estimate the number of
platelets per field.
2. Look at 5-6 fields and take an average.
3. Multiply the average by 20,000.
4. Note any macroplatelets.
49
 Platelets per oil immersion field (OIF)
1) <8 platelets/OIF = decreased
2) 8 to 20 platelets/OIF = adequate
3) >20 platelets/OIF = increased
50
MANUAL DIFFERENTIAL COUNTS
• These counts are done in the same area as WBC and platelet
estimates with the red cells barely touching.
• This takes place under × 100 (oil) using the zigzag method.
• Count 100 WBCs including all cell lines from immature to
mature.
 Reporting results
• Absolute number of cells/µl = % of cell type in differential x
white cell count
51
MICROSCOPIC EXAM
 10× (low fold): overall smear quality,
rouleaux, agglutination or parasites
 100× (oil Len): WBC Diff, RBC
morphology
 RBC Morphology
 WBC- Total count
Differential count
 Platelets
 Abnormal cells
 Parasites
Peripheral smear reporting
 Normal blood smear
53
NORMAL NEUTROPHIL COUNT (40 TO 75%)
NEUTROPHILIA
54
 Absolute neutrophil count greater than 7500/uL
 Causes
Acute bacterial infections-
abscesses,pneumonia,meningitis,UTI
Tissue necrosis- burns,injury,MI
Acute blood loss
Acute haemorrhage
Myeloproliferative disorders
Posisoning
NEUTROPENIA
 Absolute netrophil count less than 2000/uL
 Mild- 2000 to 1000/uL
 Moderate-1000 to 500/uL
 Severe- < 500/uL
CAUSES
I )Decreased or ineffective production in bone marrow
 Infections- bacterial,protozoal,viral
 Haematologic disorders- megaloblastic
anemia,aplastic anemia,aleukemic leukemia
 Drugs
 Ionising radiation
 Congenital disorders
II) Increased destruction in peripheral blood
Neonatal isoimmune neutropenia
Systemic lupus erythematosus
Felty`s syndrome
III) Increased sequestration in spleen
Hypersplenism
EOSINOPHILA
 Absolute eosinophil count greater than 600/uL
CAUSES
1.Allergic diseases-Asthma,rhinitis,urticaria
2.Skin diseases-Eczema,pemphigus,Dermatitis herpetiformis
3.Parasitic infections with tissue invasion-
filariasis,trichinosis,echinoccocoosis
4.Hematologic disorders-MPD,Hodgkins disease,Peripheral T
cell lymphoma
5.Carcinoma with necrosis
6.Radiation therapy
7.Lung diseases- loefflors syndrome,tropical
eosinophilia
8.Hypereosinophilia syndrome
MONOCYTOSIS
 Increase in absolute monocyte count > 1000/uL
Causes
 Infections-TB,SABE,Malaria,Kala Azar
 Recovery from neutropenia
 Autoimmmune disorders
 Hematologic diseases- MPD,Monocytic
leulemia,hodgkins disease
 Others-ulcerative colitis,chron`s
disease,sarcoidosis
LYMPHOCYTOSIS
 Absolute lymphocyte count more than upper limit of
normal for age( 4000/uL in adults,>7200/uL in
adolescents,>9000/uL in children and infants)
Causes
Infections-
Viral- acute infectious
lymphocytosis,neoatitis,CMV,rubella,mumps,varicell
a
Bacterial- pertussis,TB
Protozoal- toxoplasmosis
 Hematological disorders-
ALL, CLL, Multiple myeloma, Lymphoma
 Others-
Serum sickness, post vaccination, drug reactions
PLATELETS
 Small,1 to 3 um in diameter,purple structures with
tiny irregular projections on surface
 Occur in clumps
 Pseudothrombocytopenia
 Platelet sateletism
SUMMARY
 Normal haematopoeisis
 Total leucocyte Count
 Manual differential count
Peripheral smear
Interpretation
THANK YOU

Tlc dlc

  • 1.
    TOTAL LEUCOCYTE COUNT TOTALDIFFERENTIAL COUNT Dr Neha Mahajan MD Pathology
  • 2.
  • 3.
  • 4.
    Type of WBC’s Granulocytes—have large granules in their cytoplasm  Neutrophils( 40 to 75%)  Eosinophils(1 to 6%)  Basophils(0 to 1%)
  • 6.
    Types of WBC’s Agranulocytes—do not have granules in their cytoplasm  Lymphocytes(20 to 40%)  Monocytes( 2 to 10%)
  • 8.
    Granuloctyes  Neutrophils  Stainlight purple with neutral dyes  Granules are small and numerous—course appearance  Several lobes in nucleus  65% of WBC count  Diapedesis,inflammation
  • 10.
    Granulocytes  Eosinophils orAcidophils:  Large, numerous granules  Nuclei with two lobes  2-5% of WBC count  Found in lining of respiratory and digestive tracts  Protections against infections caused by parasitic worms and involvement in allergic reactions  Secrete anti-inflammatory substances in allergic reactions
  • 12.
     Basophils  Leastfound- 0.5 to 1%  Contain histamine,serotonin,heparin— inflammatory chemical
  • 14.
    Agranulocytes  Lymphocytes  SmallestWBC  Large nuclei/small amount of cytoplasm  Account for 25% of WBC count  Two types—T lymphocytes—attack an infect or cancerous cell, B lymphocytes—produce antibodies against specific antigens (foreign body)
  • 16.
    Agranulocytes  Monocytes  Largestof WBCs  Dark kidney bean shaped nuclei  Highly phagocytic
  • 18.
  • 19.
    WHITE CELL COUNT(WBC)  White cell count (WBC) is the total number of leukocytes in a volume of blood, expressed as thousands/µl.  WBC can be done by manual methods or by automated cell counters.  Normal Values: • Newborn 9.0-30.0 x 103/μl • 1 week 5.0-21.0 x 103/μl • 1 month 5.0-19.5 x 103/μl • 6-12 months 6.0-17.5 x 103/μl • 2 years 6.2-17.0 x 103/μl • Child/adult 4.8-10.8 x 103/μl
  • 20.
    PRINCIPLE OF WBCSCOUNT TEST  Free-flowing capillary or well-mixed anticoagulated venous blood is added to a diluent) at a specific volume in the thoma pipette.  The diluent lyses the erythrocytes but preserves leukocytes and stains the nuceli.  The diluted blood is added to the hemacytometer chamber.
  • 21.
     Specimen:  EDTA-anticoagulated blood or capillary blood is preferred.  Reagents, supplies and equipment:  White blood cells count diluting fluid Turks' solution which is formed of:  Glacial acetic acid 3 ml  Crystal violet 1 ml  100 ml distilled water.
  • 22.
    EQUIPMENT 1. White bloodcells count diluting fluid 2. Thoma white pipette 3. Hemacytometer and coverslip 4. Microscope 5. Lint-free wipe 6. Alcohol pads
  • 23.
    haemocytometer chamber Thoma whitepipette Rubber sucking tube
  • 24.
    HEMACYTOMETER  The hemacytometercounting chamber is used for cell counting.  It is constructed so that the distance between the bottom of the coverslip and the surface of the counting area of the chamber is 0.1 mm.  The surface of the chamber contains two square ruled areas separated by an H-shaped moat.
  • 25.
  • 26.
    PROCEDURE 1. Draw theblood up to 0.5 mark in the thoma pipette. 2. Wipe the outside of the capillary pipette to remove excess blood that would interfere with the dilution factor. 3. Holding the pipette almost vertical place into the fluid. Draw the diluting fluid into the pipette slowly until the mixture reaches the 11 mark, while gently rotating the pipette to ensure a proper amount of mixing. 4. Place the pipette in a horizontal position and firmly hold the index finger of either hand over the opening in the tip of the pipette, detach the aspirator from the other end of the pipette now the dilution of the blood is completed
  • 27.
    PROCEDURE 5. Mix thesample for at least 3 minutes to facilitate hemolysis of RBCs. 6. Clean the hemacytometer and its coverslip with an alcohol pad and then dry with a wipe. 7. Before filling the chamber, discard the first four to five drops of the mixture on apiece of gauze to expel the diluent from the stem.
  • 28.
    PROCEDURE 8. Carefully chargehemacytometer with diluted blood by gently squeezing sides of reservoir to expel contents until chamber is properly filled.
  • 29.
    PROCEDURE FOR COUNTINGWBC’S 1. Under 10 x magnifications, scan to ensure even distribution. Leukocytes are counted in all 4 large squares of counting chamber. 2. Count cells starting in the upper left large corner square. Move to the upper right corner square, bottom right corner square, bottom left corner square and end in the middle square. 3. Count all cells that touch any of the upper and left lines, do not count any cell that touches a lower or right line.
  • 31.
    CALCULATIONS Dilution factor 20 Volume=Area x depth TLC/uL= No of WBCx Correction for Volume X dilution No of large squares (4) = N x 20 x10 4 = N x 50
  • 32.
    Corrected TLC Diluting fluiddoes not lyse nucleated RBC`s/erythroblasts Falsely counted as WBC Corrected TLC/uL= TLC x 100 NRbc/100 Wbc+ 100
  • 33.
  • 34.
    DEFINITION The relative percentageof each type of white blood cells in peripheral blood. This experiment is a part of blood routine test.
  • 35.
    PERIPHERAL BLOOD SMEAR A properly prepared blood smear is essential to accurate assessment of cellular morphology  The wedge smear is the most convenient and commonly used technique for making PBS
  • 36.
    PERIPHERAL BLOOD SMEAR Wedgetechnique of making PBS A. Correct angle to hold spreader slide B. Blood spread across width of slide C. Completed wedge smear
  • 37.
    PERIPHERAL BLOOD SMEAR Characteristics:  It is smooth without irregularities, holes, or streaks  When the slide is held up to light, the featheredge of the smear should have a “rainbow” appearance  The whole drop is picked up and spread Well-made PBS
  • 38.
  • 39.
    PERIPHERAL BLOOD SMEAR Examples of unacceptable smears
  • 40.
    PERIPHERAL BLOOD SMEAR Examplesof unacceptable smears
  • 41.
    Observing direction: Observe onefield and record the number of WBC according to the different type then turn to another field in the snake-liked direction *avoid repeat or miss some cells
  • 42.
    ROMANOWSKY STAINING Leishman's stain: a polychromatic stain • Methanol : fixes cells to slide • methylene blue stains RNA,DNA  blue-grey color • Eosin stains hemoglobin, eosin granules  orange-red color • pH value of phosphate buffer is very important 42
  • 43.
    PROCEDURE • Thin smearare air dried. • Flood the smear with stain. • Stain for 1-5 min. • Experience will indicate the optimum time. • Add an equal amount of buffer solution and mix the stain by blowing an eddy in the fluid. • Leave the mixture on the slide for 10-15 min. • Wash off by running water directly to the centre of the slide to prevent a residue of precipitated stain. • Stand slide on end, and let dry in air. 43
  • 44.
    FEATURES OF AWELL-STAINED PBS  Macroscopically: color should be pink to purple  Microscopically: RCS: orange to salmon pink WBC: nuclei is purple to blue cytoplasm is pink to tan granules is lilac to violet Eosinophil: granules orange Basophil: granules dark blue to black 44
  • 45.
     Optimal AssessmentArea: 1. RBCs are uniformly and singly distributed 2. Few RBC are touching or overlapping 3. Normal biconcave appearance 45
  • 46.
    PRINCIPLE  White BloodCells 1. Check for even distribution and estimate the number present (also, look for any gross abnormalities present on the smear). 2. Perform the differential count. 3. Examine for morphologic abnormalities. 46 MANUAL DIFFERENTIAL
  • 47.
     Red BloodCells, Examine for : 1. Size and shape ( Anisocytosis,Poikilocytosis 2. Relative hemoglobin content. 3. Polychromatophilia. 4. Inclusions. 5. Rouleaux formation or agglutination 47
  • 48.
    WBC ESTIMATION UNDER40X • Using the × 40 high dry with no oil. • Choose a portion of the peripheral smear where there is only slight overlapping of the RBCs. • To do a WBC estimate by taking the average number of white cells and multiplying by 2000. 48
  • 49.
    PLATELET ESTIMATION UNDER100X 1. Use the oil immersion lens estimate the number of platelets per field. 2. Look at 5-6 fields and take an average. 3. Multiply the average by 20,000. 4. Note any macroplatelets. 49
  • 50.
     Platelets peroil immersion field (OIF) 1) <8 platelets/OIF = decreased 2) 8 to 20 platelets/OIF = adequate 3) >20 platelets/OIF = increased 50
  • 51.
    MANUAL DIFFERENTIAL COUNTS •These counts are done in the same area as WBC and platelet estimates with the red cells barely touching. • This takes place under × 100 (oil) using the zigzag method. • Count 100 WBCs including all cell lines from immature to mature.  Reporting results • Absolute number of cells/µl = % of cell type in differential x white cell count 51
  • 52.
    MICROSCOPIC EXAM  10×(low fold): overall smear quality, rouleaux, agglutination or parasites  100× (oil Len): WBC Diff, RBC morphology  RBC Morphology  WBC- Total count Differential count  Platelets  Abnormal cells  Parasites Peripheral smear reporting
  • 53.
  • 54.
    NORMAL NEUTROPHIL COUNT(40 TO 75%) NEUTROPHILIA 54  Absolute neutrophil count greater than 7500/uL  Causes Acute bacterial infections- abscesses,pneumonia,meningitis,UTI Tissue necrosis- burns,injury,MI Acute blood loss Acute haemorrhage Myeloproliferative disorders Posisoning
  • 55.
    NEUTROPENIA  Absolute netrophilcount less than 2000/uL  Mild- 2000 to 1000/uL  Moderate-1000 to 500/uL  Severe- < 500/uL CAUSES I )Decreased or ineffective production in bone marrow  Infections- bacterial,protozoal,viral  Haematologic disorders- megaloblastic anemia,aplastic anemia,aleukemic leukemia  Drugs  Ionising radiation  Congenital disorders
  • 56.
    II) Increased destructionin peripheral blood Neonatal isoimmune neutropenia Systemic lupus erythematosus Felty`s syndrome III) Increased sequestration in spleen Hypersplenism
  • 57.
    EOSINOPHILA  Absolute eosinophilcount greater than 600/uL CAUSES 1.Allergic diseases-Asthma,rhinitis,urticaria 2.Skin diseases-Eczema,pemphigus,Dermatitis herpetiformis 3.Parasitic infections with tissue invasion- filariasis,trichinosis,echinoccocoosis 4.Hematologic disorders-MPD,Hodgkins disease,Peripheral T cell lymphoma
  • 58.
    5.Carcinoma with necrosis 6.Radiationtherapy 7.Lung diseases- loefflors syndrome,tropical eosinophilia 8.Hypereosinophilia syndrome
  • 59.
    MONOCYTOSIS  Increase inabsolute monocyte count > 1000/uL Causes  Infections-TB,SABE,Malaria,Kala Azar  Recovery from neutropenia  Autoimmmune disorders  Hematologic diseases- MPD,Monocytic leulemia,hodgkins disease  Others-ulcerative colitis,chron`s disease,sarcoidosis
  • 60.
    LYMPHOCYTOSIS  Absolute lymphocytecount more than upper limit of normal for age( 4000/uL in adults,>7200/uL in adolescents,>9000/uL in children and infants) Causes Infections- Viral- acute infectious lymphocytosis,neoatitis,CMV,rubella,mumps,varicell a Bacterial- pertussis,TB Protozoal- toxoplasmosis
  • 61.
     Hematological disorders- ALL,CLL, Multiple myeloma, Lymphoma  Others- Serum sickness, post vaccination, drug reactions
  • 62.
    PLATELETS  Small,1 to3 um in diameter,purple structures with tiny irregular projections on surface  Occur in clumps  Pseudothrombocytopenia  Platelet sateletism
  • 63.
    SUMMARY  Normal haematopoeisis Total leucocyte Count  Manual differential count Peripheral smear Interpretation
  • 64.