Complete Blood Count
Chair Person: Dr Chandrashekar K
Student: Dr Kiran Revankar
Sample Collection
EDTATrisodium citrate Heparin
HEMATOCRIT
HEMATOCRIT
Normal Range:
Males: 42-50
Females: 36-46
HCT=HB x 3
HB= RBC x 3
Raised Haematocrit
INCREASED RED BLOOD CELLS OR DECREASED PLASMA
Dehydration (such as from severe diarrhea)
Dengue shock syndrome
Kidney disease with high erythropoietin production
Cyanotic congenital heart disease
COPD
High altitude
Polycythemia vera
Smoking
Reduced Haematocrit
DECREASED RED BLOOD CELLS OR HAEMODILUTION
Blood loss (hemorrhage)
Anaemia
Erythropoietin deficiency (usually secondary to
kidney disease)
Hemolysis (RBC destruction of varied etiology)
Leukemia
Multiple myeloma
Autoimmune/collagen-vascular diseases
RED BLOOD CELLS
Normal RBC count(million cells per microliter)
Males = 4.5–6.0
Females= 4.1–5.1
Stem cells maturation defect :
Pure red cell aplasia
Aplastic anaemia
Fanconi anaemia
Anaemia of renal failure
Erythroblasts maturation defect:
Megaloblastic
Iron deficiency anaemia
Thalassemia's
Anaemia of renal failure
Other causes
Anemia of chronic inflammation
Myelophthisic anemia
A) Intrinsic abnormalities
• Hereditary spherocytosis
• Hereditary elliptocytosis
• Abetalipoproteinemia
• Enzyme deficiencies
• Hemoglobinopathies
•PNH
Extrinsic abnormalities
• Antibody-mediated
• Mechanical trauma to red cells
–TTP, HUS
–(DIC)
– Infections like malaria
– Prosthetic valve/heart surgery
• Polycythemia vera
• Excessive smoking
• High altitudes
• Renal neoplasia
• congenial heart diseases
• Lung diseases like emphysema, pulmonary fibrosis
• Hemoglobinopathies
• endocrine diseases like hypothyroid
• Anabolic metabolism
Raised RBC counts
1:33:3=1:1
Haemoglobin
Normal HB
Males = 14-16 g/dl
Females= 12-15 g/dl
Haemoglobin,methemoglobin and carboxy haemoglobinCyanmethemoglobin which absorbs light of 540nm
Turbidity falsly increases the HB value High WBC High lipid High plasma protein
Hemoglobin is increased in:
• Polycythemia vera
• High altitude adaptation
• Pulmonary pathology
• Splenic hypo function
• Testosterone supplementation
• Dehydration
• Adrenal cortex over activity
Haemoglobin is decreased in:
Blood loss
Deficiency (protein malnutrition, iron, copper,
vitamin C, vitamin B1, folic acid, B12),
Chronic disease (liver, kidney, RA,
carcinoid, etc.)
Bone marrow insufficiency)
Endocrine causes like hypothyroid and
adrenal hypo activity
Hereditary anaemias like sickle cell and
thalassemia's
• Hemodilution (pregnancy, edema)
Mean Corpuscular Volume
MCV is average volume of the red blood cell
80-100 fl
>100 fl
<80 fl
The blood analyser >> microscopic observation
Microcytic + macrocytic cells =normal MCV
MCV = (hematocrit/red cell count) × 100
Poor vitamin B12 intake (vegans)
Pernicious Anemia
Gastric Surgery
Pancreatic insufficiency
Small intestine absorption
defect
Crohn disease
Sprue
Lymphoma
Diverticulosis
blind loop with bacterial
overgrowth
Fish tapeworm
Ileal resection
Zollinger-EIIison syndrome
HIV infection
Causes of macrocytosis
• Myelodysplastic syndromes
• Myelophthisic anemia
• Post splenectomy
• Alcoholism
• Liver disease
• Anaemia of hypothyroidism
• Drugs:
– Anticonvulsants, (e.g. phenytoin, primidone, phenobarbital)
– Antitumor agents, (e.g. methotrexate, hydroxyurea,
cyclophosphamide)
– Antimicrobials, (e.g. sulfamethoxazole, sulfasalazine,
zidovudine, pyrimethamine).
Causes of Microcytosis
Iron deficiency anemia
Thalassemia
Sideroblastic anaemia
Anaemia of chronic disease
Lead poisoning
• Cold agglutinins (increased values)
• Warm autoantibodies
• Marked hyperglycemia (>600 mg/dL) (increases MCV)
• Marked leukocytosis (>50,000/μL) (increased values)
• In vitro hemolysis or fragmentation of RBCs (decreased values)
• Methanol poisoning (increased values)
• Marked reticulocytosis (>50%) from any cause (increases MCV)
Interference in MCV
Mean Corpuscular Haemoglobin (MCH)
MCH decreases in microcytic anemia
MCH increases in macrocytic anaemia
MCH = (hemoglobin/red cell count) × 100
MEAN CORPUSCULAR HEMOGLOBIN CONCENTRATION (MCHC)
The average haemoglobin concentration per unit volume (100 mL) of
packed red cells is indicated by MCHC
MCHC is expressed in grams of haemoglobin per decilitre of packed RBCs
MCHC = hemoglobin (g/dl)/Hct (L/L)
Normal value :32-36 g/dl .wont exceed >37
Spherocytosis
RETICULOCYTE COUNTS
Immature, non-nucleated RBCs that still retain RNA
Stained by supravital stains like New methylene blue
Bone marrow capacity and its response to anemia
Normal value: 0.5 to 1.5 % nearly 50,000 reticulocytes /50 lakh rbcs
•Absolute reticulocyte count=reticulocyte% X number of RBCs
•Ex: ARC=1%x50 lac =50,000
Corrected reticulocyte count =reticulocyte % x patients HCT/45
Ex:6% x 22/45=3%
Production Index: Corrected reticulocyte count/2
Red cell distribution width (RDW)
Numerical expression of anisocytosis
RDW-SD has better sensitivity
RDW-CV reflects better
regarding the size distribution
Reference values:
RDW-CV: 11.5–14.5%
RDW-SD:35-45
Thalassemia Iron deficiency anaemia
Normal RDW
Microcytosis
Raised RDW
Microcytosis
Red cell
fragmentation Agglutination
Dimorphic cell
populations
RBCs ON PERIPHERAL SMEAR
Microcytic Hypochromic Anaemia
Iron deficiency anaemia
Thalassemia
Anaemia of chronic disease
Sideroblastic anaemia
Lead toxicity
Copper deficiency
Pyridoxine deficiency
Megaloblastic anaemia
Giant band formsMacrovovalocytes Hypersegmented
neutrophil
Sideroblastic anaemia
Microcytic + hypochromic+ basophilic stippling
Lead toxicity
Thalassemia
MINOR Major
Pinch bottle cells (knizocyte)
Target cells
Tear drop cells
Poikilocytosis (major>>minor)
Tear drop cells and nucleated RBCs
Myelofibrosis
Hyposplenism
Heinz bodies- refractile intracellular haemoglobin
precipitates detected in patients with unstable hemoglobins,
thalassemias and G6PD defficiency
DNA inclusion bodies seen in:
Asplenism/hyposplenism
Severe haemolytic anemia
Spherocytes(seen in HS/AIHA)
Eliptocytosis
Stomatocyte
Acanthocyte(“Spur cell”)
Abetalipoproteinemia
Alcoholic liver disease
Postsplenectomy state
Malabsorptive states
Echinocyte(“Burr cell”)
Uremia,
liver disease
Low-potassium red cells
Carcinoma of stomach
Schistocytes
Microangiopathic hemolytic anemia (TTP, DIC,
vasculitis,glomerulonephritis, renal graft rejection)
Carcinomatosis
Heart-valve haemolysis (prosthetic or pathologic
valves)
Severe burns
RBC clumping in Cold agglutination/PNH
Cabot’s rings are remenents of nuclear membranes
• Pernicious anemia
• Lead poisoning
• Alcoholic jaundice
• Severe anemia
• Leukemia.
WHITE BLOOD CELLS
Neutrophils(50-70%)
Monocytes(2-6%)
Basophills(0-1%)
Eosinophils
(0-3%)
Total WBC count: 4000 to 11,000/μL
Lymphocytes
(20-40%)
• Acute and chronic bacterial infections
• Viral infections
• Polycythemia vera
• Rheumatoid arthritis
• Allergy, especially severe allergic reactions
• Acute lymphocytic leukemia
• Acute myeloid leukemia (AML)
• Smoking
• Chronic lymphocytic leukemia
• Chronic myelogenous leukemia
• Hairy cell leukemia
• Lymphoma spillage
• Measles
• Myelofibrosis.
Leucocytosis
Leukocytopenia
• Chemotherapy and radiation therapy
• Sepsis
• Typhoid
• Malaria
• Tuberculosis
• Dengue
• Enlargement of the spleen
• Leukemia (as malignant cells overwhelm the bone marrow)
• Folate deficiencies
• Myelofibrosis
• Aplastic anemia (failure of bone marrow production)
• HIV and AIDS
• Influenza
• Systemic lupus erythematosus
Increased Neutrophil (Neutrophilia)
Physiological:Stress,anxiety,seizure,exercise
Acute bacterial infection
Tissue injury and inflammation: MI,collagen vascular disease and burns
Metabolic :DKA/Acute renal failure
Myeloproliferative disorders
Misc:Splenectomy,Haemolytic anemia
Decreased or
ineffective
production
• Aplastic anemia
• Vit B12 and Folate
deficiency
• Myelodysplastic
syndrome
Increased removal
from circulation
• Immunological like
SLE
• Hypersplenism
• Sepsis
Mild (700–1500 per microliter)
• Allergic rhinitis, extrinsic asthma, mild drug reaction, long-term dialysis, immunodeficiency
Moderate (1500–5000 per microliter)
• Parasitic disease, intrinsic asthma, pulmonary eosinophilia syndrome
Marked (> 5000 per microliter)
Trichinella, hookworm, Toxocara canis, eosinophilic leukemia, severe drug reaction
Eosinophilia
• Usually related to increased circulating steroids
• Cushing’s syndrome
• Drugs
• ACTH, epinephrine, thyroxine, exogenous steroids
• Acute bacterial infection
• Normal diurnal pattern.
Eosinopenia
• Hypothyroidism, myxedema
• Chronic myeloid leukemia
• Ulcerative colitis
• Polycythemia vera
• Urticaria
• Hodgkin’s lymphoma/disease
• Splenectomy
BASOPHILIA – CAUSES
• Viral infections
• Tuberculosis
• Subacute bacterial endocarditis
• Collagen diseases
• Infectious mononucleosis
• Sarcoidosis
• Crohn’s disease
• Rheumatoid disease
• Ulcerative colitis.
Monocytosis– CAUSES
• Infectious mononucleosis
• Mycobacterium tuberculosis
• Acute lymphoblastic leukaemia
• Brucellosis
• Burkitt’s lymphoma
• Chronic lymphocytic leukaemia
• Cytomegalovirus
• Epstein-Barr virus
• Hairy cell leukemia
• Myeloma
• Non-Hodgkin’s lymphoma
• Syphilis
• Toxoplasma
• Waldenström macroglobulinemia
• Whooping cough
Lymphocytosis
• Viral infection
• HIV
• Drugs like vinblastine, chloramphenicol,
doxorubicin
• Marrow suppression
Lymphocytopenias
Atypical lymphocytes in infectious mononucleosis
Lymphoblast Myeloblast
Acute Promyelocytic leukemia
Chronic myeloid leukaemia
leukemoid reaction
Any age
30000-50000
Absolute basophilia absent
Splenomegaly may not be present
Increased LAP
TOXIC granules
Dhole bodies
Hand mirror blasts in ALL
Primary Myelofibrosis
PLATLETS
•Normal platelets are about 1–3 μm in diameter
•1 megakaryocyte produces about 4000 platelets
•Lifespan of platelets is about 9–12 days
•Production of platelet is regulated by hormone called thrombopoietin
•Normal count : 150000–450000/μL
Myeloproliferative Disorders
• Essential thrombocytosis
• Idiopathic Myelofibrosis
• Polycythaemia Vera
Transfer from extravascular pools into circulation
• Splenectomy (Over 70% of platelets stored in spleen)
• Exercise
• Epinephrine
Thrombocytosis Secondary to
• Iron deficiency anemia
• Acute blood loss
• Hemolysis
• Recovery from thrombocytopenia
Thrombocytosis
Marrow failure
• Aplastic anemia
• Myelodysplastic syndrome (MDS)
• Bone marrow hypoplasia due to
– Chemotherapy
– Radiation
– Toxins
– Immune.
• Bone marrow infiltration by
– Fibrosis
– Malignancy
– Granulomas.
Selective marrow suppression of platelet production due
to—
– Drugs
– Infections
– Ethanol.
Ineffective thrombopoiesis due to—
– Folate or B12 deficiency.
Hereditary disorders
– May-Hegglin anomaly
– Wiskott-Aldrich syndrome
Dhole bodies
Immune mediated
• Systemic lupus erythematosus
• Lymphoproliferative disorders
• Drugs including- heparin induced
• Infections including HIV related
• Post-transfusion
• Idiopathic/immune
thrombocytopenia (ITP)
Nonimmune mechanisms
• Severe bleeding
• Disseminated intravascular coagulation
(DIC)
• Abnormalities in small vessels
• Vasculitis
• von Willebrand disease (vWD)
• Thrombotic thrombocytopenic purpura
• Hemolytic uremic syndrome.
Platelet Satellitism Platelet clumping EDTA induced
MEAN PLATELET VOLUME (MPV)
• Average size of platelet in the blood
• In general peripheral distruction with normal functioning marrow increases MPV
And marrow failure decreases the MPV
• Normal value: 7.4–10.4 fL
Complete Blood Count Interpretation
Complete Blood Count Interpretation

Complete Blood Count Interpretation

  • 1.
    Complete Blood Count ChairPerson: Dr Chandrashekar K Student: Dr Kiran Revankar
  • 2.
  • 5.
  • 6.
    Raised Haematocrit INCREASED REDBLOOD CELLS OR DECREASED PLASMA Dehydration (such as from severe diarrhea) Dengue shock syndrome Kidney disease with high erythropoietin production Cyanotic congenital heart disease COPD High altitude Polycythemia vera Smoking
  • 7.
    Reduced Haematocrit DECREASED REDBLOOD CELLS OR HAEMODILUTION Blood loss (hemorrhage) Anaemia Erythropoietin deficiency (usually secondary to kidney disease) Hemolysis (RBC destruction of varied etiology) Leukemia Multiple myeloma Autoimmune/collagen-vascular diseases
  • 8.
  • 10.
    Normal RBC count(millioncells per microliter) Males = 4.5–6.0 Females= 4.1–5.1
  • 11.
    Stem cells maturationdefect : Pure red cell aplasia Aplastic anaemia Fanconi anaemia Anaemia of renal failure Erythroblasts maturation defect: Megaloblastic Iron deficiency anaemia Thalassemia's Anaemia of renal failure Other causes Anemia of chronic inflammation Myelophthisic anemia A) Intrinsic abnormalities • Hereditary spherocytosis • Hereditary elliptocytosis • Abetalipoproteinemia • Enzyme deficiencies • Hemoglobinopathies •PNH Extrinsic abnormalities • Antibody-mediated • Mechanical trauma to red cells –TTP, HUS –(DIC) – Infections like malaria – Prosthetic valve/heart surgery
  • 12.
    • Polycythemia vera •Excessive smoking • High altitudes • Renal neoplasia • congenial heart diseases • Lung diseases like emphysema, pulmonary fibrosis • Hemoglobinopathies • endocrine diseases like hypothyroid • Anabolic metabolism Raised RBC counts
  • 13.
  • 14.
    Haemoglobin Normal HB Males =14-16 g/dl Females= 12-15 g/dl
  • 15.
    Haemoglobin,methemoglobin and carboxyhaemoglobinCyanmethemoglobin which absorbs light of 540nm Turbidity falsly increases the HB value High WBC High lipid High plasma protein
  • 17.
    Hemoglobin is increasedin: • Polycythemia vera • High altitude adaptation • Pulmonary pathology • Splenic hypo function • Testosterone supplementation • Dehydration • Adrenal cortex over activity Haemoglobin is decreased in: Blood loss Deficiency (protein malnutrition, iron, copper, vitamin C, vitamin B1, folic acid, B12), Chronic disease (liver, kidney, RA, carcinoid, etc.) Bone marrow insufficiency) Endocrine causes like hypothyroid and adrenal hypo activity Hereditary anaemias like sickle cell and thalassemia's • Hemodilution (pregnancy, edema)
  • 18.
    Mean Corpuscular Volume MCVis average volume of the red blood cell 80-100 fl >100 fl <80 fl The blood analyser >> microscopic observation Microcytic + macrocytic cells =normal MCV MCV = (hematocrit/red cell count) × 100
  • 19.
    Poor vitamin B12intake (vegans) Pernicious Anemia Gastric Surgery Pancreatic insufficiency Small intestine absorption defect Crohn disease Sprue Lymphoma Diverticulosis blind loop with bacterial overgrowth Fish tapeworm Ileal resection Zollinger-EIIison syndrome HIV infection Causes of macrocytosis • Myelodysplastic syndromes • Myelophthisic anemia • Post splenectomy • Alcoholism • Liver disease • Anaemia of hypothyroidism • Drugs: – Anticonvulsants, (e.g. phenytoin, primidone, phenobarbital) – Antitumor agents, (e.g. methotrexate, hydroxyurea, cyclophosphamide) – Antimicrobials, (e.g. sulfamethoxazole, sulfasalazine, zidovudine, pyrimethamine).
  • 21.
    Causes of Microcytosis Irondeficiency anemia Thalassemia Sideroblastic anaemia Anaemia of chronic disease Lead poisoning • Cold agglutinins (increased values) • Warm autoantibodies • Marked hyperglycemia (>600 mg/dL) (increases MCV) • Marked leukocytosis (>50,000/μL) (increased values) • In vitro hemolysis or fragmentation of RBCs (decreased values) • Methanol poisoning (increased values) • Marked reticulocytosis (>50%) from any cause (increases MCV) Interference in MCV
  • 22.
    Mean Corpuscular Haemoglobin(MCH) MCH decreases in microcytic anemia MCH increases in macrocytic anaemia MCH = (hemoglobin/red cell count) × 100
  • 23.
    MEAN CORPUSCULAR HEMOGLOBINCONCENTRATION (MCHC) The average haemoglobin concentration per unit volume (100 mL) of packed red cells is indicated by MCHC MCHC is expressed in grams of haemoglobin per decilitre of packed RBCs MCHC = hemoglobin (g/dl)/Hct (L/L) Normal value :32-36 g/dl .wont exceed >37 Spherocytosis
  • 24.
  • 25.
    Immature, non-nucleated RBCsthat still retain RNA Stained by supravital stains like New methylene blue Bone marrow capacity and its response to anemia Normal value: 0.5 to 1.5 % nearly 50,000 reticulocytes /50 lakh rbcs
  • 26.
    •Absolute reticulocyte count=reticulocyte%X number of RBCs •Ex: ARC=1%x50 lac =50,000 Corrected reticulocyte count =reticulocyte % x patients HCT/45 Ex:6% x 22/45=3% Production Index: Corrected reticulocyte count/2
  • 27.
    Red cell distributionwidth (RDW) Numerical expression of anisocytosis RDW-SD has better sensitivity RDW-CV reflects better regarding the size distribution Reference values: RDW-CV: 11.5–14.5% RDW-SD:35-45
  • 28.
    Thalassemia Iron deficiencyanaemia Normal RDW Microcytosis Raised RDW Microcytosis Red cell fragmentation Agglutination Dimorphic cell populations
  • 29.
  • 31.
    Microcytic Hypochromic Anaemia Irondeficiency anaemia Thalassemia Anaemia of chronic disease Sideroblastic anaemia Lead toxicity Copper deficiency Pyridoxine deficiency
  • 32.
    Megaloblastic anaemia Giant bandformsMacrovovalocytes Hypersegmented neutrophil
  • 33.
  • 34.
    Microcytic + hypochromic+basophilic stippling Lead toxicity
  • 35.
    Thalassemia MINOR Major Pinch bottlecells (knizocyte) Target cells Tear drop cells Poikilocytosis (major>>minor)
  • 37.
    Tear drop cellsand nucleated RBCs Myelofibrosis Hyposplenism
  • 38.
    Heinz bodies- refractileintracellular haemoglobin precipitates detected in patients with unstable hemoglobins, thalassemias and G6PD defficiency
  • 39.
    DNA inclusion bodiesseen in: Asplenism/hyposplenism Severe haemolytic anemia
  • 40.
  • 41.
  • 42.
  • 43.
    Acanthocyte(“Spur cell”) Abetalipoproteinemia Alcoholic liverdisease Postsplenectomy state Malabsorptive states
  • 44.
  • 45.
    Schistocytes Microangiopathic hemolytic anemia(TTP, DIC, vasculitis,glomerulonephritis, renal graft rejection) Carcinomatosis Heart-valve haemolysis (prosthetic or pathologic valves) Severe burns
  • 46.
    RBC clumping inCold agglutination/PNH
  • 47.
    Cabot’s rings areremenents of nuclear membranes • Pernicious anemia • Lead poisoning • Alcoholic jaundice • Severe anemia • Leukemia.
  • 48.
  • 50.
  • 51.
    • Acute andchronic bacterial infections • Viral infections • Polycythemia vera • Rheumatoid arthritis • Allergy, especially severe allergic reactions • Acute lymphocytic leukemia • Acute myeloid leukemia (AML) • Smoking • Chronic lymphocytic leukemia • Chronic myelogenous leukemia • Hairy cell leukemia • Lymphoma spillage • Measles • Myelofibrosis. Leucocytosis
  • 52.
    Leukocytopenia • Chemotherapy andradiation therapy • Sepsis • Typhoid • Malaria • Tuberculosis • Dengue • Enlargement of the spleen • Leukemia (as malignant cells overwhelm the bone marrow) • Folate deficiencies • Myelofibrosis • Aplastic anemia (failure of bone marrow production) • HIV and AIDS • Influenza • Systemic lupus erythematosus
  • 53.
    Increased Neutrophil (Neutrophilia) Physiological:Stress,anxiety,seizure,exercise Acutebacterial infection Tissue injury and inflammation: MI,collagen vascular disease and burns Metabolic :DKA/Acute renal failure Myeloproliferative disorders Misc:Splenectomy,Haemolytic anemia
  • 54.
    Decreased or ineffective production • Aplasticanemia • Vit B12 and Folate deficiency • Myelodysplastic syndrome Increased removal from circulation • Immunological like SLE • Hypersplenism • Sepsis
  • 56.
    Mild (700–1500 permicroliter) • Allergic rhinitis, extrinsic asthma, mild drug reaction, long-term dialysis, immunodeficiency Moderate (1500–5000 per microliter) • Parasitic disease, intrinsic asthma, pulmonary eosinophilia syndrome Marked (> 5000 per microliter) Trichinella, hookworm, Toxocara canis, eosinophilic leukemia, severe drug reaction Eosinophilia
  • 57.
    • Usually relatedto increased circulating steroids • Cushing’s syndrome • Drugs • ACTH, epinephrine, thyroxine, exogenous steroids • Acute bacterial infection • Normal diurnal pattern. Eosinopenia
  • 58.
    • Hypothyroidism, myxedema •Chronic myeloid leukemia • Ulcerative colitis • Polycythemia vera • Urticaria • Hodgkin’s lymphoma/disease • Splenectomy BASOPHILIA – CAUSES
  • 59.
    • Viral infections •Tuberculosis • Subacute bacterial endocarditis • Collagen diseases • Infectious mononucleosis • Sarcoidosis • Crohn’s disease • Rheumatoid disease • Ulcerative colitis. Monocytosis– CAUSES
  • 60.
    • Infectious mononucleosis •Mycobacterium tuberculosis • Acute lymphoblastic leukaemia • Brucellosis • Burkitt’s lymphoma • Chronic lymphocytic leukaemia • Cytomegalovirus • Epstein-Barr virus • Hairy cell leukemia • Myeloma • Non-Hodgkin’s lymphoma • Syphilis • Toxoplasma • Waldenström macroglobulinemia • Whooping cough Lymphocytosis
  • 61.
    • Viral infection •HIV • Drugs like vinblastine, chloramphenicol, doxorubicin • Marrow suppression Lymphocytopenias
  • 62.
    Atypical lymphocytes ininfectious mononucleosis
  • 63.
  • 64.
  • 65.
  • 66.
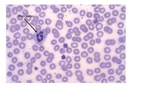
    leukemoid reaction Any age 30000-50000 Absolutebasophilia absent Splenomegaly may not be present Increased LAP TOXIC granules Dhole bodies
  • 67.
  • 68.
  • 69.
  • 70.
    •Normal platelets areabout 1–3 μm in diameter •1 megakaryocyte produces about 4000 platelets •Lifespan of platelets is about 9–12 days •Production of platelet is regulated by hormone called thrombopoietin •Normal count : 150000–450000/μL
  • 71.
    Myeloproliferative Disorders • Essentialthrombocytosis • Idiopathic Myelofibrosis • Polycythaemia Vera Transfer from extravascular pools into circulation • Splenectomy (Over 70% of platelets stored in spleen) • Exercise • Epinephrine Thrombocytosis Secondary to • Iron deficiency anemia • Acute blood loss • Hemolysis • Recovery from thrombocytopenia Thrombocytosis
  • 72.
    Marrow failure • Aplasticanemia • Myelodysplastic syndrome (MDS) • Bone marrow hypoplasia due to – Chemotherapy – Radiation – Toxins – Immune. • Bone marrow infiltration by – Fibrosis – Malignancy – Granulomas.
  • 73.
    Selective marrow suppressionof platelet production due to— – Drugs – Infections – Ethanol. Ineffective thrombopoiesis due to— – Folate or B12 deficiency. Hereditary disorders – May-Hegglin anomaly – Wiskott-Aldrich syndrome Dhole bodies
  • 74.
    Immune mediated • Systemiclupus erythematosus • Lymphoproliferative disorders • Drugs including- heparin induced • Infections including HIV related • Post-transfusion • Idiopathic/immune thrombocytopenia (ITP) Nonimmune mechanisms • Severe bleeding • Disseminated intravascular coagulation (DIC) • Abnormalities in small vessels • Vasculitis • von Willebrand disease (vWD) • Thrombotic thrombocytopenic purpura • Hemolytic uremic syndrome.
  • 75.
    Platelet Satellitism Plateletclumping EDTA induced
  • 76.
    MEAN PLATELET VOLUME(MPV) • Average size of platelet in the blood • In general peripheral distruction with normal functioning marrow increases MPV And marrow failure decreases the MPV • Normal value: 7.4–10.4 fL