Tuberous sclerosis
complex
Dr. Amol Lahoti
Resident, Dept of Radiodiagnosis &
Imaging
NKP SIMS & LMH, Nagpur
Group of CNS disorders characterized by
• brain malformations or
• neoplasms
• skin
• eye lesions.
The term is derived from the Greek root phako, which
refers to the lens
phakomatosis means -tumor-like condition of the eye
(lens)
Neurocutaneous Syndromes
/ Phakomatoses
Neurocutaneous Syndromes
• Neurofibromatosis( types 1 and type 2)
• Tuberous sclerosis
• Sturge-weber syndrome
• Ataxia-telangiectasia
• Von hippel-lindau disease
Tuberous sclerosis complex (TSC)
Bourneville or Bourneville-Pringle
disease.
Characterised by classic clinical triad (vogt
triad)
• Facial lesions ("adenoma sebaceum“)
• Seizure
• Mental retardation.
Clinically:
Epilepsy affecting 80 – 90%
 infantile spasms
 simple or complex partial seizures
 EEG +ve in 75 % of patients
Cognitive deficits 44 – 65%
Autism and behavioral problems
Skin
Eyes
Brain
Heart
Lung
Kidney
Tuberous Sclerosis Complex (TSC)
multiple benign hamartomas:
GENETICS
 Autosomal dominant
 Incidence 1 : 6000 livebirths
 Mutation in
 TSC-1 (Hamartin) or
 TSC-2 (Tuberin)
 +ve family history in 7 – 40%
Cell Proliferation
complex
hamartin
TSC1
tuberin
TSC2
Hamartin-Tuberin complex
Central regulator of cell cycle
TSC: loss of
inhibition
to cell cycle
Diagnostic criteria
Major Features
Identified clinically
 Facial angiofibromas
or forehead plaque
 Non-traumatic ungual
or periungual fibroma
 Hypomelanotic
macules
 Shagreen patch
 Multiple retinal
nodular hamartomas
 Cortical tuber
 Subependymal nodule
 Subependymal giant
cell astrocytoma
 Cardiac rhabdomyoma
 Lymphangio-
myomatosis
 Renal angiomyolipoma
Identified on imaging
Minor Features
 Multiple pits in dental
enamel
 Hamartomatous rectal
polyps
 Bone cysts,
 Cerebral white matter
migration lines
 Gingival fibromas
 Non-renal hamartoma
 Retinal achromic patch
 Multiple renal cysts
DERMATOLOGICAL
LESIONS:
81-95%
Fibrous plaque
Gingival
fibromat
osis
Diagnosis
Possible TSC
1 major 2 or more minor
Probable TSC
1 major plus 1 minor
Definite TSC
2 major 1 major + 2 minor
OPHTHALMIC
MANIFESTATIONS
Retinal hamartoma
Calcified
hamartoma
CNS RADIOLOGY
MANIFESTATIONS
Radiological major criteria
Cortical Tubers
• Cortical tubers are firm, whitish, pyramid-shaped,
elevated areas of smooth gyral thickening, with or
without central depressions, that grossly resemble
potatoes ("tubers")
• On CT scan,
Seen as hypodense cortical/subcortical masses within
broadened and expanded gyri
Calcifications in cortical tubers increase with age
• Tubers in older children and adults demonstrate
mixed signal intensity on T2/FLAIR
Cortical tuber
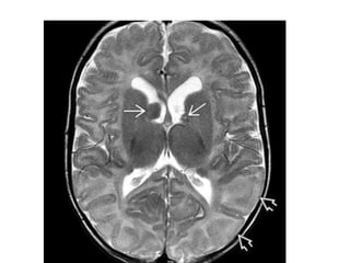
Subependymal Nodules
• appear as elevated, rounded, hamartomatous lesions
• located beneath the ependymal lining of the lateral ventricles,
along the course of the caudate nucleus
• Are small(generally < 1.3cm) nodular "bumps" that protrude from
the walls of the lateral ventricles.
• In the unmyelinated brain, SENs appear hyperintense on T1WI and
hypointense on T2WI. With progressive myelination, the SENs
gradually become isointense with WM
• They often calcify with increasing age
• An enhancing or enlarging SEN—especially if located near the
foramen of Monro—is suspicious for SEGA.
• Calcified SENs appear variably hypointense on T2WI and are
especially easy to detect on T2* sequences
Subependymal nodules
Subependymal Giant Cell Astrocytoma
• seen almost exclusively in the setting of TSC.
• well-circumscribed
• solid intraventricular masses
• located near the foramen of Monro.
• SEGAs are WHO grade I tumors that often
cause obstructive hydrocephalus.
most SEGAs are unilateral,
bilateral tumors occur in 10-15% of cases
Genetic Criteria
• The identification of either a TSC1or
TSC2pathogenicmutation
in DNA from normal tissue is sufficient to
make a Definite Diagnosisof TSC
Diagnostic
features
associated
with increase
morbidity
New
symptoms or
papilledema
Hydrocephalus
Serial
imaging
showing
growth of
lesions
• Cortical Tubers
– Broad, expanded gyrus
– CT: Initially hypodense; Ca++ ↑ with age
• 50% of patients eventually develop ≥ 1 calcified tuber(s)
– MR: Periphery isointense, subcortical portion T2/FLAIR
hyperintense
• Subependymal Nodules
– CT: Ca++ rare in first year; ↑ with age
• 50% eventually calcify
• Don't enhance
– MR: T1 hyper-, T2 hypointense; 50% enhance
• White Matter Lesions
– T2/FLAIR hyperintense radial lines/wedges
• Subependymal Giant Cell Astrocytoma
– CT: Mixed-density mass at foramen of Monro, moderate
enhancement
– MR: Heterogeneous signal, strong enhancement
Regression of a SEGA after ~15 months
oral rapamycin therapy in a 4-year-old
patient with TSC
Thank - you

Tuberous sclerosis

  • 1.
    Tuberous sclerosis complex Dr. AmolLahoti Resident, Dept of Radiodiagnosis & Imaging NKP SIMS & LMH, Nagpur
  • 2.
    Group of CNSdisorders characterized by • brain malformations or • neoplasms • skin • eye lesions. The term is derived from the Greek root phako, which refers to the lens phakomatosis means -tumor-like condition of the eye (lens) Neurocutaneous Syndromes / Phakomatoses
  • 3.
    Neurocutaneous Syndromes • Neurofibromatosis(types 1 and type 2) • Tuberous sclerosis • Sturge-weber syndrome • Ataxia-telangiectasia • Von hippel-lindau disease
  • 4.
    Tuberous sclerosis complex(TSC) Bourneville or Bourneville-Pringle disease. Characterised by classic clinical triad (vogt triad) • Facial lesions ("adenoma sebaceum“) • Seizure • Mental retardation.
  • 5.
    Clinically: Epilepsy affecting 80– 90%  infantile spasms  simple or complex partial seizures  EEG +ve in 75 % of patients Cognitive deficits 44 – 65% Autism and behavioral problems
  • 6.
  • 7.
    GENETICS  Autosomal dominant Incidence 1 : 6000 livebirths  Mutation in  TSC-1 (Hamartin) or  TSC-2 (Tuberin)  +ve family history in 7 – 40%
  • 8.
    Cell Proliferation complex hamartin TSC1 tuberin TSC2 Hamartin-Tuberin complex Centralregulator of cell cycle TSC: loss of inhibition to cell cycle
  • 9.
    Diagnostic criteria Major Features Identifiedclinically  Facial angiofibromas or forehead plaque  Non-traumatic ungual or periungual fibroma  Hypomelanotic macules  Shagreen patch  Multiple retinal nodular hamartomas  Cortical tuber  Subependymal nodule  Subependymal giant cell astrocytoma  Cardiac rhabdomyoma  Lymphangio- myomatosis  Renal angiomyolipoma Identified on imaging
  • 10.
    Minor Features  Multiplepits in dental enamel  Hamartomatous rectal polyps  Bone cysts,  Cerebral white matter migration lines  Gingival fibromas  Non-renal hamartoma  Retinal achromic patch  Multiple renal cysts
  • 12.
  • 17.
  • 19.
  • 20.
    Diagnosis Possible TSC 1 major2 or more minor Probable TSC 1 major plus 1 minor Definite TSC 2 major 1 major + 2 minor
  • 21.
  • 22.
  • 23.
  • 24.
    Cortical Tubers • Corticaltubers are firm, whitish, pyramid-shaped, elevated areas of smooth gyral thickening, with or without central depressions, that grossly resemble potatoes ("tubers") • On CT scan, Seen as hypodense cortical/subcortical masses within broadened and expanded gyri Calcifications in cortical tubers increase with age • Tubers in older children and adults demonstrate mixed signal intensity on T2/FLAIR
  • 25.
  • 28.
    Subependymal Nodules • appearas elevated, rounded, hamartomatous lesions • located beneath the ependymal lining of the lateral ventricles, along the course of the caudate nucleus • Are small(generally < 1.3cm) nodular "bumps" that protrude from the walls of the lateral ventricles. • In the unmyelinated brain, SENs appear hyperintense on T1WI and hypointense on T2WI. With progressive myelination, the SENs gradually become isointense with WM • They often calcify with increasing age • An enhancing or enlarging SEN—especially if located near the foramen of Monro—is suspicious for SEGA. • Calcified SENs appear variably hypointense on T2WI and are especially easy to detect on T2* sequences
  • 32.
  • 34.
    Subependymal Giant CellAstrocytoma • seen almost exclusively in the setting of TSC. • well-circumscribed • solid intraventricular masses • located near the foramen of Monro. • SEGAs are WHO grade I tumors that often cause obstructive hydrocephalus. most SEGAs are unilateral, bilateral tumors occur in 10-15% of cases
  • 38.
    Genetic Criteria • Theidentification of either a TSC1or TSC2pathogenicmutation in DNA from normal tissue is sufficient to make a Definite Diagnosisof TSC
  • 39.
  • 40.
    • Cortical Tubers –Broad, expanded gyrus – CT: Initially hypodense; Ca++ ↑ with age • 50% of patients eventually develop ≥ 1 calcified tuber(s) – MR: Periphery isointense, subcortical portion T2/FLAIR hyperintense • Subependymal Nodules – CT: Ca++ rare in first year; ↑ with age • 50% eventually calcify • Don't enhance – MR: T1 hyper-, T2 hypointense; 50% enhance • White Matter Lesions – T2/FLAIR hyperintense radial lines/wedges • Subependymal Giant Cell Astrocytoma – CT: Mixed-density mass at foramen of Monro, moderate enhancement – MR: Heterogeneous signal, strong enhancement
  • 41.
    Regression of aSEGA after ~15 months oral rapamycin therapy in a 4-year-old patient with TSC
  • 42.

Editor's Notes

  • #9 Mutations that lead to increased mTOR activation promote cellular disorganization, overgrowth, and abnormal differentiation that may result in tumorigenesis. Targets for mTOR regulation of translational initiation and elongation. AMPK = AMP-activated kinase. TSC1 and TSC2 = Tuberous sclerosis tumor suppressors 1 (hamartin) and 2 (tuberin); Rheb = Ras homolog enriched in brain; PKB/Akt = protein kinase B; 4EBP1 = eIF-4E binding protein; p70S6K = 70kDa ribosomal protein S6 kinase, also called S6K; eEF2K = eukaryotic elongation factor 2 kinase.
  • #14 Typical ash leaf macules(hypomelanotic macules); These may be present at birth, increase during early childhood and usually persist throughout life the reddish, nodular area at the upper lumbar area is a shagreen patch(subepidermal fibrosis) The most common skin lesions are hypomelanotic macules, which are ovoid depigmented areas with irregular margins that are best visualized by ultraviolet light (Woods lamp). These "ash leaf" spots are seen in over 90% of cases and may be the first visible manifestation of TSC
  • #16 Multiple facial angiofibromas These small bumps are usually scattered on the central face, especially on the nose and cheeks, and sometimes on the forehead,
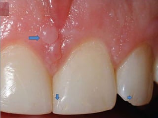
  • #17 Periungual fibromas (Koenen's tumor)
  • #19 Gingival fibromas and dental pitting
  • #27 Axial cut section from the same case shows bilateral subependymal giant cell astrocytomas
  • #28 Axial graphic of typical brain involvement in tuberous sclerosis complex shows a giant cell astrocytoma in the left foramen of Monro, subependymal nodules , radial migration lines , and cortical/subcortical tubers .
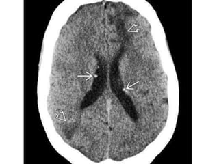
  • #30 NECT scan shows additional calcified SENs , wedge-shaped hypodensities characteristic of the WM lesions in TSC
  • #31 CECT scan shows enhancement adjacent to the foramen of Monro, suspicious for subependymal giant cell astrocytoma.
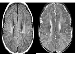
  • #32 More cephalad scan shows additional hyperintense subependymal nodules as well as multiple hyperintense radial bands extending outward from the lateral ventricles. More cephalad T2WI shows that the thickened radial bands are hypointense relative to the unmyelinated white matter. tubers appear as thickened hyperintense cortex compared to the underlying unmyelinated WM on T1WI and become moderately hypointense on T2WI. "Streaky" linear or wedge-shaped T2/FLAIR hyperintense bands may extend from the tuber all the way through the WM to the ventricular ependyma
  • #34 T2WI shows that the WM is largely unmyelinated. The SENs are isointense with gray matter. Cortical tubers have poor GM-WM delineation.
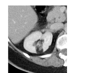
  • #36 high signal intensity on non-fat saturated sequences, and loss of signal following fat saturation Renal angiomyolipomas (AMLs) are a type of benign renal neoplasm and are composed of vascular, smooth muscle and fat elements.
  • #37 Cardiac rhabdomyoma is type of benign myocardial tumour May be seen as one or more solid hyper echoic mass(es) located in relation to the myocardium Cardiac rhabdomyoma is type of benign myocardial tumour and is a most common fetal cardiac tumou
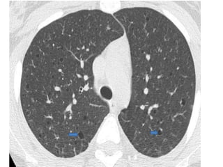
  • #38 Chest CT scan: Multifocal pulmonary cysts characteristic of lymphangio-myomatosis (LAM)