Interpretation of the endoscopic
biopsy

GUIDED BY- Brig Vibha Dutta, SM
Presented by Maj Ganesh Parajuli
OVERVIEW
•
•
•
•
•

Introduction
Technical aspects
Interpretation
Pitfalls
Conclusion
Introduction

• Endoscopy : Examination of
internal body cavities using a
specialized medical instrument
called an endoscope
Introduction (contd….)
• Fibrooptic endoscopy and biopsy
– diagnostic procedure in investigation GI disorder

• The first gastroscope:

George Wolf in 1911

• Semiflexible gastroscope:

1930

• Harold designed fibroscope:

early 1950

• Newer technologies: chromoendoscopy, capsule endoscopy
endoscopic ultrasound
General features of GI biopsy
interpretation
• GI tract: limited repertoire of response to host injuries

• Diagnoses requires correlation with clinical information

• Normal biopsies may be obtained from symptomatic patients

• Inflammatory cells are a normal constituent of lamina propia
Overview comments on the
GI tract

4 layers of tissue surround the
lumen of the GIT
Mucosa

 epithelium – protective, absorbtive & secretory
lamina propria – thin loose CT
 muscularis mucosa – slim double layer of
smooth muscle

Submucosa

Muscularis propria
Skeletal muscle at beginning
& smooth muscle at the end
(inner circular; outer longitudinal
layer) from lower esophagus to
rectum
Serosa
(viseral peritoneum)
The major uses of mucosal
biopsy includes:
i.

Diagnosis : either specific or in the form of an injury pattern
or stage

ii. Determination of the extent or severity of lesions
iii. Monitoring of the clinical course of disease states with
particular reference to effects of therapy
iv. Detection of complication
Assessing any biopsy from GI tract
Clinical pathological correlation is essential for diagnosisThe following clinical data should be provided :
1. Age, race and sex of the patient
2. Sign and symptoms, site of biopsy, endoscopic and
radiological finding
3. History of taking drugs or alcohol
4. Medical and surgical history
Technical aspects
• The grasp biopsy specimens obtained at flexible endoscopy
typically consists only of the mucosa
Regions with thicker mucosa contain only superficial portion
• Suction or aspiration-type biopsy more fruitful when a larger
sample or more exact location is required
• Choice of fixative is usually not critical though Bouin’s may
interfere with staining of the granules of Paneth cells
• Multiple sections to improve the chance of detecting any
focal or subtle changes
• For routine analysis at least 3 levels of biopsy specimen, each
with 5 or more sections
• When focal lesion not obtained, additional levels should be
require
• Cytologic preparations useful diagnostic adjunct
Ideal Mucosal Biopsy
•

At least 3 pieces of full thickness mucosa
3 mm in length

• Mucosal fragments well oriented at time of embedding
crypt:villous ratio can accurately evaluated
Abnormal esophageal Mucosal Biopsy
Abnormal esophageal
mucosa
Non neoplastic

Infections
ViralHerpes simplex
CMV
FungalCandida

Others
Corrosive
- lye
Reflux

Neoplastic

Benign

Squamous papilloma

Malignant

Squamous cell carcinoma
Adenocarcinoma
Esophagitis
The 4 most common types of esophagitis:
1. Pill esophagitis
– Spectrum of injury by the ingestion of drugs
– Common site anatomical narrowing
– Ulcer ,granulation tissue ,polarizable foreign material and
multinucleted gaint cells
2. Infectious:
– HSV, CMV (BMT, solid organ transplant)
– Candidal (HIV, thrush associated)
Yeast and pseudohypae seen in necroinflammatory
background
3. Eosinonophilic esophagitis: frequently seen in childern
Endoscopic finding –stricture , rings corrugation,furrows and
granularity
Mucosal edema ,basal cell hyperplasia with eosinophil
infiltration of sq mucosa >20 eosinophil per high
field
4.Reflux disease
• GERD the costliest GI disorder & the most common physician
diagnosis GI disorder in outpatient clinic visit
• GERD caused by reflux of gastric contents into esophagus
Reflux of gastric acid and pepsin
• Reflux of alkaline bile & pancreatic secretion moving from
duodenum
stomach
esophagus recognized as a
contributing factor to esophageal injury in GERD
• ‘Reflux esophagitis ‘ an example of ‘itis ‘ lack prominent
component of inflammation
• The pathology reflects injury to sq epithelium followed by
attempts of the epithelium to regenerate
• Mild features of cellular injuryballoon cells
vascular lakes, mild inflammation and scattered eosinophils
REFLUX/GERD
Fairly reproducible criteria established by Fiocca et al as
abnormal and associated with clinical reflux –
i. Thickened basal layer(>15%) or 5 to 6 layers
ii. Increased papillary length (>50%) of the squamous thickness
iii. Intraepithelial eosinophil ,neutrophil (>1to 2 cells /40x field)
iv. Intraepithelial mononuclear cells.(>10/40x field)
v. Dilated /widened inter cellular spaces(which may appear as
bubbles or ladders.
BARRETT’S ESOPHAGUS
• Defined as intestinal metaplasia of a normally SQUAMOUS
esophageal mucosa.
• The presence of GOBLET CELLS in the esophageal mucosa is
DIAGNOSTIC.
• SINGLE most common RISK FACTOR for esophageal
adenocarcinoma
• 10% of GERD patients get it
• “BREACHED” G-E junction
BARRETT’S ESOPHAGUS
Gastritis

• No widely accepted classification of gastritis
• Updated Sydney System
Published in 1997
• Attempted to combine topographical, morphological and
etiological information
• Largely unused bec of inadequate sampling & clinical
information ,poor endoscopic & histologic correlation and
ethic and geographic variation of the disease
Operative Link for Gastritis Assessment (OLGA) staging system:
Based on extent and severity of atrophic gastritis and provide
relevant clinical information regarding the gastric cancer risk.
However, atrophic gastritis is a difficult histopathological
diagnosis of which the interobserver agreement is low.
H pylori associated gastritis
• Helicobacter pylori (H pylori) common bacterium that is present in
millions of people worldwide
• found in mucous lining of stomach. It is known to be responsible for
60% to 80% of gastric ulcers and 70% to 90% of duodenal ulcers
• The recognition of an association between this bacterium and
peptic ulcer disease by Barry Marshall and John R. Warren, in
1983, and they were awarded the Nobel prize in 2005
• Another varient called H. heilmannii (less than 1% isolates)
• Like H pylori it produces antral predominant gastritis ,less sev, than
H. pylori gastritis
• Histologically shows organisms within the surface mucus
layer and foveolar epithelium
• Abundant, lymphoplasmacytic , chronic inflammation of
lamina propria
• Presence of lymphoid follicles (MALT) almost always
indicative of infection
A simplified pathology report of gastritis
include the following parameters:
a. Type of mucosa
b. Grade of lymphoplasmacytic infiltration (4 M)
c.

Presence or absence of active inflammation with degree of
activity(if present)

d. Extent of intestional metaplasia or atrophy(if present)
e. Presence or absence of H pylori microorganism
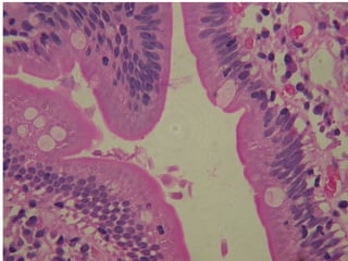
Normal histology
• Finger-like villi
• C:V ratio (assessed where 4
well-oriented crypts and villi
are seen)
• Normal C:V ratio 1:3 or
more
• C:V ratio lower in children
and elderly

• C:V ratio usually uniform in
a biopsy
Evaluation of small intestinal mucosal
biopsy
Low power
• adequacy of biopsy
• crypt villous architecture
• degree of inflammation
High power
• Specific features in lumen, epithelium and lamina
propria
Indications for biopsy:
• Evaluation for patients with malabsorption
• Investigation for patients with iron deficiency anemia,
diarrhoea particularly in whom infections is suspected with
AIDS
• Diagnosis of neoplasia
• Confirmation of ulceration induced by NSAID or in cases of
bleeding from unknown site.
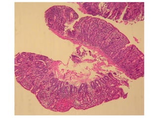
Abnormal Small Intestinal Mucosal Biopsy

Abnormal small intestinal
mucosa

Nonspecific changes

Specific changes

Celiac disease
Tropical sprue
Bacterial overgrowth
Epithelial
Cow’s milk allergy
Chronic renal failure
B12, folate, iron, zinc def
Autoimmune enteropathy
Infections
Others
Drugs
Viral
Parasitic
Bacterial

Lumen

parasites

Lamina propria

Infections

Lymphocytic
Viral
Abetalipoprot.
Parasitic
Microvillous inc Fungal
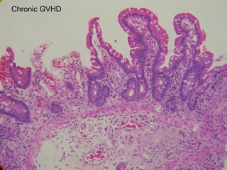
GVHD
AIDS enteropathyl

Inflammatory
lBD
Granulomatous
Collagenous
Eosinophilic
Immunodeficiency
Autoimmune enterop

Metabolic
Amyloidosis
Storage
disorders

Neoplasms
Benign polyps
Adenocarcinomas
Endocrine
Lymphomas
GISTs
Waldenstrom’s
Spectrum of Nonspecific inflammatory changes
in the small intestinal mucosa
Architecture
• Crypt hyperplasia
• Crypt hyperplasia with villous atrophy
• Villous atrophy with crypt hypoplasia (rare)
• Branching, broadening and fusion of villi (mild cases)
Epithelium
• Epithelial damage: flattening, nuclear irregularity, loss of polarity,
vacuolization, basophilia
• Increased intraepithelial lymphocytes
• Increased apoptosis
• Macrocytosis of epithelial cells
Lamina propria
• Chronic inflammation
• Acute inflammation
Varying degrees of change
mild

mod

sev
Celiac disease
Macroscopic features
• On endoscopy the mucosa appear flattened and scalloped if
there is significant villous atrophy
Microscopic features
• Microscopic changes most severe in duodenum and decrease
in severity distally
• 4 small intestinal biopsies are required for absolute diagnostic
confidence (Pais et el, Gastroint Endosc 2008);
• May be patchy
• Changes decrease with gluten withdrawal and recur when
gluten is re-introduced
Celiac disease : Spectrum of changes
Marsh’s diagnostic criteria
•

0 – preinfiltrative: Dermatitis herpetiformis; no mucosal change

•

I More than 40 intraepithelial lymphocytes per 100 epithelial cells –
infiltrative

•

II. Crypt hyperplasia with increased intraepithelial lymphocytes –
infiltrative type 2

•
•
•
•

III. Crypt hyperplasia with increased intraepithelial lymphocytes and
villous atrophy
IIIa Mild villous atrophy
IIIb Moderate villous atrophy
IIIc Severe villous atrophy

•

IV Crypt hypoplasia with villous atrophy
Tropical sprue
• Chronic malabsorptive syndrome seen in residents and
visitors to tropical countries
• Etiology related to chronic infections and bacterial
overgrowth
• Entire small intestine from duodenum to terminal ileum may
be involved
• Villous atrophy, crypt hyperplasia, inflammation and
increased IELs
• Often responds to broad spectrum antibiotics like tetracycline
Cow’s milk protein allergy
• Temporary condition affecting young infants presented with
malabsorption & dehydration requiring parenteral nutrition
•

Bloody diarrrhoea, vomiting, abdominal pain, weight loss

• Small intestional mucosal changes similar to celiac disease
but lesser extent
• Intraepithelial eosinophils & peripheral eosinophil are more
noted with cow’s milk
Nutritional deficiences
Vitamin B12, protein, iron and zinc deficiency
Structural abnormalities of intestional mucosa
associated with malsorption
• B12: villous blunting, macrocytosis, decreased mitoses
• Protein deficiency
• Zinc deficiency
AIDS enteropathy
•

Individuals infected with HIV with chronic diarrhoea have
opportunistic infections or diffuse small intestional mucosal
alterations in the absence of pathogens

• Duodenal biopsies may shows crypt hyperplasia and partial
villous atrophy, increased intraepithelial lymphocytes and
infiltration of the lamina propria by plasma cells and
lymphocytes
• Crypts shows evidence of increase apoptotic activity
Specific changes in Small intestinal
biopsies
Lumen
Giardia Lamblia
Infections
Giardiasis
•

Most common parasitic infection

•

Presence of trophozoites in fecal and duodenal biopsy specimen confirm
giardia infection

•

Duodenum (more than 80%) followed by jejunum and ileum, rarely the
stomach and colon

•

The mucosa is normal shows minimal changes in majority of cases with
mild villous atrophy, crypt hyperplasia , loss of normal brush border
shorting of villous epithelium and increase intraepithelial lymphocytes

•

The parasite found in lumen close to the surface of villous epithelium
Specific changes in Small intestinal
biopsies
Epithelium
Lymphocytic enteritis
Increased intraepithelial lymphocytes
•
•
•

Definition:
> 30 or 40/100 villous epithelial
cells
Or more than 5 per 20 villous tip
epithelial cells

•

Should be diffuse

•

Counting should not be done
over a lymphoid follicle

Causes
• Infections
• H.pylori infection
• Tropical sprue
• Celiac sprue
• Refractory sprue
• Protein intolerance
• NSAIDs
• Bacterial overgrowth
• IBD
• Lymphocytic enteritis
• AIDS, hypogammaglobulinemia
• Collagen vascular disease
Acute GVHD
Endoscopic findings
• Normal mucosa, erythema, ulcers and sloughing
Histologic features
• Single cell apoptosis in crypts
• Villous blunting
• Loss of crypts
• D/D: CMV infection; chemoradiation-induced damage
Chronic GVHD
Epithelial infections
Viral – nonspecific changes except CMV
Bacterial – Enteropathogenic E.coli may form colonies on the
brush border
Parasitic • Microspora – genera Encephalitozoon, Enterocytozoon
• Isospora
• Cryptosporidium
• Cyclospora
Cryptosporidiosis
• Cryptosporodium parvum protozoan, highly infectious with
waterborne ,person to person
• Immunocompetent pts acute ,self limiting diarrhoea while
immunocompromised pts including AIDs chronic watery
dairrhoea
• Distribution worldwide ,endemic in developing countries,
found in >50%of AIDS
Cryptosporidiosis
Microsporidiasis
Widespread obligate intracellular parasite
Opportunistic infection in immunosuppressed organ transplant patents
and those with AIDS
The infection includes :
Enterocytozoon bieneusi &
Encephalitozoon intestinalis
Histological features :
In small bowel both causes a partial villous atrophy ,mild crypt hyperplasia
with short blunt villi and mild increase in lymphocytes ,plasma cells &
eosinophil in the lamina propria
Microsporidiosis
Entercytozoon bieneusi

Encephalitozoon
intestinalis
Specific changes in Small intestinal
biopsies
Lamina propria
Specific changes in the lamina propria
Infections

Vascular

IBD

Others

•
•
•
•

•

Parasitic: Isospora
Viral: CMV
Bacterial: TB, MAI, Whipple’s, yersinia
Fungal: Histoplasma, cryptococcus

Crohn’s

Allergic
•
•

Eosinophilic enteritis
Lymphocytic/collagenous enteritis

Immune
•

Immunodeficiency syndromes

•
•
•
•

•
•

Radiation enteritis
Vasculitis
Ischemia
Portal hypertension

Amyloidosis
Lymphoma
CMV
Macroscopic
• Patchy erythema, edema, aphthous and deep penetrating ulcers
Microscopic
• Usually endothelial cells and other stromal cells deep in the base of ulcers
and other sites; rarely epithelial
•

less inflammation in immunocompromised individuals

•

Atypical inclusions: smudged nuclei

Other diagnostic tests: immunohistochemistry and PCR
Histoplasmosis
• Macroscopic:
• Nodular or ulcerating lesions in ileum
• Microscopic:
• Granulomas
• Fungal bodies in the cytoplasm of histiocytes; small oval yeast
forms with buds at the pointed ends
Mycobacterium Avium Complex
•

Commonly affects small intestine (duodenum most frequent) and colon of
immunocompromised individuals (AIDS with CD4 counts <60/mm 3

•

On endoscopy: coarse granularity, edema, erythema, yellowish streaks or
ulcers

•
•

On histology –
immunocompetent individuals show necrotizing (up to 30%, small foci) or
nonnecrotizing granulomatous inflammation;
immunodeficient individuals : diffuse infiltrates of histiocytes with foamy
or granular cytoplasm and minimal other inflammatory cells
Regional lymph nodes enlarged with similar cells

•
•
•

AFB and PAS positive (fibrillary appearance versus granular appearance of
Whipple’s)

•

EM: intact bacteria
• Mycobacterium
Avium Complex

• Ziehl Neelsen
Eosinophilic enteritis
•

Often associated with peripheral eosinophilia (75%) and allergic disorders

•

Eosinophilia may be confined to the mucosa or involve the muscle coat or
serosa

•

May present with hemorrhage, chronic diarrhea, abdominal pain,
malabsorption, protein losing enteropathy, obstruction or ascites

•

D/D: parasitic infections, vaculitis, Crohn’s disease, Gluten sensitivity,
lymphomas, inflammatory fibroid polyp, magnesium, vitamin E or
selenium deficiency
Eosinophilic Enteritis
(I) IBD
• CROHN DISEASE (granulomatous colitis)
• ULCERATIVE COLITIS
(I) IBD
• COMMON FEATURES
– IDIOPATHIC
– DEVELOPED COUNTRIES
– COLONIC INFLAMMATION
– SIMILAR Rx
– BOTH have CANCER RISK
(I) IBD DIFFERENCES
• CROHN (CD)
–
–
–
–
–
–
–
–
–

TRANSMURAL, THICK WALL
NOT LIMITED to COLON
GRANULOMAS
FISTULAE COMMON
TERMINAL ILEUM OFTEN
SKIP AREAS
“CRYPT” ABSCESSES NOT COMMON
NO PSEUDOPOLYPS
MALABSORPTION

• ULCERATIVE (UC)
–
–
–
–
–
–
–
–
–

MUCOSAL, THICK MUCOSA
LIMITED to COLON
NO GRANULOMAS
FISTULAE RARE
TERMINAL ILEUM NEVER
NO SKIP AREAS
“CRYPT” ABSCESSES COMMON
PSEUDOPOLYPS
NO MALABSORPTION
Intestinal TB versus Crohn’s disease
Tuberculosis:

Granulomas
• Caseation
• Confluent granulomas
• Lymphoid cuff
• Granulomas larger than 400 micrometer
• 5 or more granulomas in biopsies from
one segment
• Granulomas located in the submucosa or
in granulation tissue: often with
palisaded histiocytes
• Granulomas in the ileocecal region

•

Nonspecific inflammatory changes in the
same and adjacent segments to those
with granulomatous iflammation

•

Disproportionate submucosal
inflammation

Crohn’s disease:

Granulomas
• Small (<200 micrometer)
• Discrete
• Very few / single
• Poorly organised
• Commonly located in the mucosa
• Granulomas in the rectosigmoid
• “microgranulomas”: aggregates of
histiocytes

•

Nonspecific inflammation more diffusely
distributed and not restricted to the
same segments or those adjacent to the
sites of granulomatous iflammation

•

Crypt-centric inflammation: pericryptal
granulomas and focally enhanced colitis
Crohn’s disease
•
•
•
•
•

Segmental, patchy and focal involvement
Distorted crypt villous architecture, Villous atrophy
Significant chronic inflammation
Increased intraepithelial lymphocytes, cryptitis, ulceration
Granulomas, microgranulomas
Amyloidosis
• G.I. involvement occurs in 85 to 100% cases of
systemic amyloidosis
• Commonly causes ulceration, bleeding; motility
disorders, stasis and malabsorption
• Macroscopy: fine granularity, erosions, friability,
thickening of folds
Take home message
 Interpretation & evaluation of GI biopsy specimen requires
clinicopathological correlation
 Good orientation of the biopsy specimen essential for
accurate histopathological assessment.
 A well-oriented biopsy specimen should have at least 4-5
consecutive elongated ,well distended villi from the base of
the tip
 The evaluation of the villous: crypt ratio, the count and
distribution of the intraepithelial lymphocytes(IELs) as well as
the evaluation of the enterocytes in the tip is critical
 Infections can be accompanied by subtle changes in the
architecture and minimal inflammation
References
• Biopsy Interpretation of the Gastro intestional tract mucosa ,
Elizabeth A. Montigomery & Lysandra voltaggia .2nd Edition
• Mucosal biopsy of the Gastrointestional tract,Whitehead 2nd
edition
• Morson and Dowson’s Gastrointestional Pathology,David W
Day 4th edition
• Robbins and Cortan Pathologic Basis of Disease 8th edition
• Sternberg’s Diagnostic Surgical Pathology, Stancy E.Mills 5th
editon
• Wheater’s Functional Histology, Barbara Young , Alan,James
5th edition
• Pathology illustrated, Robin Reid, Foina, Elaime. 7th
edition
• S serra, P A Jane. An approach to duodenal biopsies J
Clin Pathol2006;
• Harvey Goldman, Donald. Mucosal biopsy of the
esophagus ,stomach, and proximal duodenum
Human pathology
• Netter’s illustrated Human Pathology, Gerhard, L.M.
Buja.1st edition
An interpretation of Endoscopic biopsy

An interpretation of Endoscopic biopsy

  • 1.
    Interpretation of theendoscopic biopsy GUIDED BY- Brig Vibha Dutta, SM Presented by Maj Ganesh Parajuli
  • 2.
  • 3.
    Introduction • Endoscopy :Examination of internal body cavities using a specialized medical instrument called an endoscope
  • 4.
    Introduction (contd….) • Fibroopticendoscopy and biopsy – diagnostic procedure in investigation GI disorder • The first gastroscope: George Wolf in 1911 • Semiflexible gastroscope: 1930 • Harold designed fibroscope: early 1950 • Newer technologies: chromoendoscopy, capsule endoscopy endoscopic ultrasound
  • 5.
    General features ofGI biopsy interpretation • GI tract: limited repertoire of response to host injuries • Diagnoses requires correlation with clinical information • Normal biopsies may be obtained from symptomatic patients • Inflammatory cells are a normal constituent of lamina propia
  • 6.
    Overview comments onthe GI tract 4 layers of tissue surround the lumen of the GIT Mucosa  epithelium – protective, absorbtive & secretory lamina propria – thin loose CT  muscularis mucosa – slim double layer of smooth muscle Submucosa Muscularis propria Skeletal muscle at beginning & smooth muscle at the end (inner circular; outer longitudinal layer) from lower esophagus to rectum Serosa (viseral peritoneum)
  • 7.
    The major usesof mucosal biopsy includes: i. Diagnosis : either specific or in the form of an injury pattern or stage ii. Determination of the extent or severity of lesions iii. Monitoring of the clinical course of disease states with particular reference to effects of therapy iv. Detection of complication
  • 8.
    Assessing any biopsyfrom GI tract Clinical pathological correlation is essential for diagnosisThe following clinical data should be provided : 1. Age, race and sex of the patient 2. Sign and symptoms, site of biopsy, endoscopic and radiological finding 3. History of taking drugs or alcohol 4. Medical and surgical history
  • 9.
    Technical aspects • Thegrasp biopsy specimens obtained at flexible endoscopy typically consists only of the mucosa Regions with thicker mucosa contain only superficial portion • Suction or aspiration-type biopsy more fruitful when a larger sample or more exact location is required • Choice of fixative is usually not critical though Bouin’s may interfere with staining of the granules of Paneth cells • Multiple sections to improve the chance of detecting any focal or subtle changes
  • 10.
    • For routineanalysis at least 3 levels of biopsy specimen, each with 5 or more sections • When focal lesion not obtained, additional levels should be require • Cytologic preparations useful diagnostic adjunct
  • 11.
    Ideal Mucosal Biopsy • Atleast 3 pieces of full thickness mucosa 3 mm in length • Mucosal fragments well oriented at time of embedding crypt:villous ratio can accurately evaluated
  • 12.
    Abnormal esophageal MucosalBiopsy Abnormal esophageal mucosa Non neoplastic Infections ViralHerpes simplex CMV FungalCandida Others Corrosive - lye Reflux Neoplastic Benign Squamous papilloma Malignant Squamous cell carcinoma Adenocarcinoma
  • 13.
    Esophagitis The 4 mostcommon types of esophagitis: 1. Pill esophagitis – Spectrum of injury by the ingestion of drugs – Common site anatomical narrowing – Ulcer ,granulation tissue ,polarizable foreign material and multinucleted gaint cells 2. Infectious: – HSV, CMV (BMT, solid organ transplant) – Candidal (HIV, thrush associated) Yeast and pseudohypae seen in necroinflammatory background
  • 14.
    3. Eosinonophilic esophagitis:frequently seen in childern Endoscopic finding –stricture , rings corrugation,furrows and granularity Mucosal edema ,basal cell hyperplasia with eosinophil infiltration of sq mucosa >20 eosinophil per high field
  • 15.
    4.Reflux disease • GERDthe costliest GI disorder & the most common physician diagnosis GI disorder in outpatient clinic visit • GERD caused by reflux of gastric contents into esophagus Reflux of gastric acid and pepsin • Reflux of alkaline bile & pancreatic secretion moving from duodenum stomach esophagus recognized as a contributing factor to esophageal injury in GERD
  • 16.
    • ‘Reflux esophagitis‘ an example of ‘itis ‘ lack prominent component of inflammation • The pathology reflects injury to sq epithelium followed by attempts of the epithelium to regenerate • Mild features of cellular injuryballoon cells vascular lakes, mild inflammation and scattered eosinophils
  • 17.
  • 18.
    Fairly reproducible criteriaestablished by Fiocca et al as abnormal and associated with clinical reflux – i. Thickened basal layer(>15%) or 5 to 6 layers ii. Increased papillary length (>50%) of the squamous thickness iii. Intraepithelial eosinophil ,neutrophil (>1to 2 cells /40x field) iv. Intraepithelial mononuclear cells.(>10/40x field) v. Dilated /widened inter cellular spaces(which may appear as bubbles or ladders.
  • 19.
    BARRETT’S ESOPHAGUS • Definedas intestinal metaplasia of a normally SQUAMOUS esophageal mucosa. • The presence of GOBLET CELLS in the esophageal mucosa is DIAGNOSTIC. • SINGLE most common RISK FACTOR for esophageal adenocarcinoma • 10% of GERD patients get it • “BREACHED” G-E junction
  • 20.
  • 22.
    Gastritis • No widelyaccepted classification of gastritis • Updated Sydney System Published in 1997 • Attempted to combine topographical, morphological and etiological information • Largely unused bec of inadequate sampling & clinical information ,poor endoscopic & histologic correlation and ethic and geographic variation of the disease Operative Link for Gastritis Assessment (OLGA) staging system: Based on extent and severity of atrophic gastritis and provide relevant clinical information regarding the gastric cancer risk. However, atrophic gastritis is a difficult histopathological diagnosis of which the interobserver agreement is low.
  • 23.
    H pylori associatedgastritis • Helicobacter pylori (H pylori) common bacterium that is present in millions of people worldwide • found in mucous lining of stomach. It is known to be responsible for 60% to 80% of gastric ulcers and 70% to 90% of duodenal ulcers • The recognition of an association between this bacterium and peptic ulcer disease by Barry Marshall and John R. Warren, in 1983, and they were awarded the Nobel prize in 2005 • Another varient called H. heilmannii (less than 1% isolates) • Like H pylori it produces antral predominant gastritis ,less sev, than H. pylori gastritis
  • 24.
    • Histologically showsorganisms within the surface mucus layer and foveolar epithelium • Abundant, lymphoplasmacytic , chronic inflammation of lamina propria • Presence of lymphoid follicles (MALT) almost always indicative of infection
  • 25.
    A simplified pathologyreport of gastritis include the following parameters: a. Type of mucosa b. Grade of lymphoplasmacytic infiltration (4 M) c. Presence or absence of active inflammation with degree of activity(if present) d. Extent of intestional metaplasia or atrophy(if present) e. Presence or absence of H pylori microorganism
  • 26.
    Normal histology • Finger-likevilli • C:V ratio (assessed where 4 well-oriented crypts and villi are seen) • Normal C:V ratio 1:3 or more • C:V ratio lower in children and elderly • C:V ratio usually uniform in a biopsy
  • 27.
    Evaluation of smallintestinal mucosal biopsy Low power • adequacy of biopsy • crypt villous architecture • degree of inflammation High power • Specific features in lumen, epithelium and lamina propria
  • 28.
    Indications for biopsy: •Evaluation for patients with malabsorption • Investigation for patients with iron deficiency anemia, diarrhoea particularly in whom infections is suspected with AIDS • Diagnosis of neoplasia • Confirmation of ulceration induced by NSAID or in cases of bleeding from unknown site.
  • 29.
    Abnormal Small IntestinalMucosal Biopsy Abnormal small intestinal mucosa Nonspecific changes Specific changes Celiac disease Tropical sprue Bacterial overgrowth Epithelial Cow’s milk allergy Chronic renal failure B12, folate, iron, zinc def Autoimmune enteropathy Infections Others Drugs Viral Parasitic Bacterial Lumen parasites Lamina propria Infections Lymphocytic Viral Abetalipoprot. Parasitic Microvillous inc Fungal GVHD AIDS enteropathyl Inflammatory lBD Granulomatous Collagenous Eosinophilic Immunodeficiency Autoimmune enterop Metabolic Amyloidosis Storage disorders Neoplasms Benign polyps Adenocarcinomas Endocrine Lymphomas GISTs Waldenstrom’s
  • 30.
    Spectrum of Nonspecificinflammatory changes in the small intestinal mucosa Architecture • Crypt hyperplasia • Crypt hyperplasia with villous atrophy • Villous atrophy with crypt hypoplasia (rare) • Branching, broadening and fusion of villi (mild cases) Epithelium • Epithelial damage: flattening, nuclear irregularity, loss of polarity, vacuolization, basophilia • Increased intraepithelial lymphocytes • Increased apoptosis • Macrocytosis of epithelial cells Lamina propria • Chronic inflammation • Acute inflammation
  • 31.
    Varying degrees ofchange mild mod sev
  • 32.
    Celiac disease Macroscopic features •On endoscopy the mucosa appear flattened and scalloped if there is significant villous atrophy Microscopic features • Microscopic changes most severe in duodenum and decrease in severity distally • 4 small intestinal biopsies are required for absolute diagnostic confidence (Pais et el, Gastroint Endosc 2008); • May be patchy • Changes decrease with gluten withdrawal and recur when gluten is re-introduced
  • 33.
    Celiac disease :Spectrum of changes Marsh’s diagnostic criteria • 0 – preinfiltrative: Dermatitis herpetiformis; no mucosal change • I More than 40 intraepithelial lymphocytes per 100 epithelial cells – infiltrative • II. Crypt hyperplasia with increased intraepithelial lymphocytes – infiltrative type 2 • • • • III. Crypt hyperplasia with increased intraepithelial lymphocytes and villous atrophy IIIa Mild villous atrophy IIIb Moderate villous atrophy IIIc Severe villous atrophy • IV Crypt hypoplasia with villous atrophy
  • 35.
    Tropical sprue • Chronicmalabsorptive syndrome seen in residents and visitors to tropical countries • Etiology related to chronic infections and bacterial overgrowth • Entire small intestine from duodenum to terminal ileum may be involved • Villous atrophy, crypt hyperplasia, inflammation and increased IELs • Often responds to broad spectrum antibiotics like tetracycline
  • 36.
    Cow’s milk proteinallergy • Temporary condition affecting young infants presented with malabsorption & dehydration requiring parenteral nutrition • Bloody diarrrhoea, vomiting, abdominal pain, weight loss • Small intestional mucosal changes similar to celiac disease but lesser extent • Intraepithelial eosinophils & peripheral eosinophil are more noted with cow’s milk
  • 37.
    Nutritional deficiences Vitamin B12,protein, iron and zinc deficiency Structural abnormalities of intestional mucosa associated with malsorption • B12: villous blunting, macrocytosis, decreased mitoses • Protein deficiency • Zinc deficiency
  • 38.
    AIDS enteropathy • Individuals infectedwith HIV with chronic diarrhoea have opportunistic infections or diffuse small intestional mucosal alterations in the absence of pathogens • Duodenal biopsies may shows crypt hyperplasia and partial villous atrophy, increased intraepithelial lymphocytes and infiltration of the lamina propria by plasma cells and lymphocytes • Crypts shows evidence of increase apoptotic activity
  • 39.
    Specific changes inSmall intestinal biopsies Lumen
  • 40.
  • 42.
    Infections Giardiasis • Most common parasiticinfection • Presence of trophozoites in fecal and duodenal biopsy specimen confirm giardia infection • Duodenum (more than 80%) followed by jejunum and ileum, rarely the stomach and colon • The mucosa is normal shows minimal changes in majority of cases with mild villous atrophy, crypt hyperplasia , loss of normal brush border shorting of villous epithelium and increase intraepithelial lymphocytes • The parasite found in lumen close to the surface of villous epithelium
  • 43.
    Specific changes inSmall intestinal biopsies Epithelium
  • 44.
  • 45.
    Increased intraepithelial lymphocytes • • • Definition: >30 or 40/100 villous epithelial cells Or more than 5 per 20 villous tip epithelial cells • Should be diffuse • Counting should not be done over a lymphoid follicle Causes • Infections • H.pylori infection • Tropical sprue • Celiac sprue • Refractory sprue • Protein intolerance • NSAIDs • Bacterial overgrowth • IBD • Lymphocytic enteritis • AIDS, hypogammaglobulinemia • Collagen vascular disease
  • 46.
    Acute GVHD Endoscopic findings •Normal mucosa, erythema, ulcers and sloughing Histologic features • Single cell apoptosis in crypts • Villous blunting • Loss of crypts • D/D: CMV infection; chemoradiation-induced damage
  • 48.
  • 49.
    Epithelial infections Viral –nonspecific changes except CMV Bacterial – Enteropathogenic E.coli may form colonies on the brush border Parasitic • Microspora – genera Encephalitozoon, Enterocytozoon • Isospora • Cryptosporidium • Cyclospora
  • 50.
    Cryptosporidiosis • Cryptosporodium parvumprotozoan, highly infectious with waterborne ,person to person • Immunocompetent pts acute ,self limiting diarrhoea while immunocompromised pts including AIDs chronic watery dairrhoea • Distribution worldwide ,endemic in developing countries, found in >50%of AIDS
  • 51.
  • 52.
    Microsporidiasis Widespread obligate intracellularparasite Opportunistic infection in immunosuppressed organ transplant patents and those with AIDS The infection includes : Enterocytozoon bieneusi & Encephalitozoon intestinalis Histological features : In small bowel both causes a partial villous atrophy ,mild crypt hyperplasia with short blunt villi and mild increase in lymphocytes ,plasma cells & eosinophil in the lamina propria
  • 53.
  • 54.
    Specific changes inSmall intestinal biopsies Lamina propria
  • 55.
    Specific changes inthe lamina propria Infections Vascular IBD Others • • • • • Parasitic: Isospora Viral: CMV Bacterial: TB, MAI, Whipple’s, yersinia Fungal: Histoplasma, cryptococcus Crohn’s Allergic • • Eosinophilic enteritis Lymphocytic/collagenous enteritis Immune • Immunodeficiency syndromes • • • • • • Radiation enteritis Vasculitis Ischemia Portal hypertension Amyloidosis Lymphoma
  • 56.
    CMV Macroscopic • Patchy erythema,edema, aphthous and deep penetrating ulcers Microscopic • Usually endothelial cells and other stromal cells deep in the base of ulcers and other sites; rarely epithelial • less inflammation in immunocompromised individuals • Atypical inclusions: smudged nuclei Other diagnostic tests: immunohistochemistry and PCR
  • 57.
    Histoplasmosis • Macroscopic: • Nodularor ulcerating lesions in ileum • Microscopic: • Granulomas • Fungal bodies in the cytoplasm of histiocytes; small oval yeast forms with buds at the pointed ends
  • 58.
    Mycobacterium Avium Complex • Commonlyaffects small intestine (duodenum most frequent) and colon of immunocompromised individuals (AIDS with CD4 counts <60/mm 3 • On endoscopy: coarse granularity, edema, erythema, yellowish streaks or ulcers • • On histology – immunocompetent individuals show necrotizing (up to 30%, small foci) or nonnecrotizing granulomatous inflammation; immunodeficient individuals : diffuse infiltrates of histiocytes with foamy or granular cytoplasm and minimal other inflammatory cells Regional lymph nodes enlarged with similar cells • • • AFB and PAS positive (fibrillary appearance versus granular appearance of Whipple’s) • EM: intact bacteria
  • 59.
  • 60.
    Eosinophilic enteritis • Often associatedwith peripheral eosinophilia (75%) and allergic disorders • Eosinophilia may be confined to the mucosa or involve the muscle coat or serosa • May present with hemorrhage, chronic diarrhea, abdominal pain, malabsorption, protein losing enteropathy, obstruction or ascites • D/D: parasitic infections, vaculitis, Crohn’s disease, Gluten sensitivity, lymphomas, inflammatory fibroid polyp, magnesium, vitamin E or selenium deficiency
  • 61.
  • 62.
    (I) IBD • CROHNDISEASE (granulomatous colitis) • ULCERATIVE COLITIS
  • 63.
    (I) IBD • COMMONFEATURES – IDIOPATHIC – DEVELOPED COUNTRIES – COLONIC INFLAMMATION – SIMILAR Rx – BOTH have CANCER RISK
  • 64.
    (I) IBD DIFFERENCES •CROHN (CD) – – – – – – – – – TRANSMURAL, THICK WALL NOT LIMITED to COLON GRANULOMAS FISTULAE COMMON TERMINAL ILEUM OFTEN SKIP AREAS “CRYPT” ABSCESSES NOT COMMON NO PSEUDOPOLYPS MALABSORPTION • ULCERATIVE (UC) – – – – – – – – – MUCOSAL, THICK MUCOSA LIMITED to COLON NO GRANULOMAS FISTULAE RARE TERMINAL ILEUM NEVER NO SKIP AREAS “CRYPT” ABSCESSES COMMON PSEUDOPOLYPS NO MALABSORPTION
  • 65.
    Intestinal TB versusCrohn’s disease Tuberculosis: Granulomas • Caseation • Confluent granulomas • Lymphoid cuff • Granulomas larger than 400 micrometer • 5 or more granulomas in biopsies from one segment • Granulomas located in the submucosa or in granulation tissue: often with palisaded histiocytes • Granulomas in the ileocecal region • Nonspecific inflammatory changes in the same and adjacent segments to those with granulomatous iflammation • Disproportionate submucosal inflammation Crohn’s disease: Granulomas • Small (<200 micrometer) • Discrete • Very few / single • Poorly organised • Commonly located in the mucosa • Granulomas in the rectosigmoid • “microgranulomas”: aggregates of histiocytes • Nonspecific inflammation more diffusely distributed and not restricted to the same segments or those adjacent to the sites of granulomatous iflammation • Crypt-centric inflammation: pericryptal granulomas and focally enhanced colitis
  • 66.
    Crohn’s disease • • • • • Segmental, patchyand focal involvement Distorted crypt villous architecture, Villous atrophy Significant chronic inflammation Increased intraepithelial lymphocytes, cryptitis, ulceration Granulomas, microgranulomas
  • 67.
    Amyloidosis • G.I. involvementoccurs in 85 to 100% cases of systemic amyloidosis • Commonly causes ulceration, bleeding; motility disorders, stasis and malabsorption • Macroscopy: fine granularity, erosions, friability, thickening of folds
  • 69.
    Take home message Interpretation & evaluation of GI biopsy specimen requires clinicopathological correlation  Good orientation of the biopsy specimen essential for accurate histopathological assessment.  A well-oriented biopsy specimen should have at least 4-5 consecutive elongated ,well distended villi from the base of the tip  The evaluation of the villous: crypt ratio, the count and distribution of the intraepithelial lymphocytes(IELs) as well as the evaluation of the enterocytes in the tip is critical  Infections can be accompanied by subtle changes in the architecture and minimal inflammation
  • 70.
    References • Biopsy Interpretationof the Gastro intestional tract mucosa , Elizabeth A. Montigomery & Lysandra voltaggia .2nd Edition • Mucosal biopsy of the Gastrointestional tract,Whitehead 2nd edition • Morson and Dowson’s Gastrointestional Pathology,David W Day 4th edition • Robbins and Cortan Pathologic Basis of Disease 8th edition • Sternberg’s Diagnostic Surgical Pathology, Stancy E.Mills 5th editon • Wheater’s Functional Histology, Barbara Young , Alan,James 5th edition
  • 71.
    • Pathology illustrated,Robin Reid, Foina, Elaime. 7th edition • S serra, P A Jane. An approach to duodenal biopsies J Clin Pathol2006; • Harvey Goldman, Donald. Mucosal biopsy of the esophagus ,stomach, and proximal duodenum Human pathology • Netter’s illustrated Human Pathology, Gerhard, L.M. Buja.1st edition

Editor's Notes

  • #4 Depending on the body part, each type of endoscopy has its own special term, such as laparoscopy (abdomen, uterus, fallopian tube), laryngoscopy (vocal cords), bronchoscopy (lungs), colonoscopy (colon), arthroscopy (joint) and Gastroscopy (Stomach).
  • #5 Larger few in number and limited of use mostly detection of neoplasm, often at late stage
  • #7 Before discussion of mucosal biopsies it is worthwhile to review the overall microscopic anatomy of the GI tract in general. In the normal state colonic crypts entend down to the superior aspect of the muscularis mucosae,crypt shortening is usually basal plasmacytosis is an indicatorof chronic injury.
  • #9 These pieces of information are all useful in directing interpretation. For eg Celiac dis is found in 1%of all Americans,in virtually never detected in South east asian Chainese,Japanese and Korean persons.Collagenous colitis is typically a dis of middle aged womenwith a long standing history of watery diarrhoea and a normal colonoscopy.assessment of all biopsies from infants should include systemic review eg the epithelial surface is review with an eye toword malsorptive disease such as microvillous inclusion disease in the small intestine,the lamina propria is scanned for the presence of plasma cells their lacks suggests common variable immunodeficency and the muscularis mucosae is assessed for eosinophil which should be absent to the muscularis mucosae
  • #10 However it is more important that multiple sections be obtained from each mucosal biopsy specimen to improve the chance of detecting any focal or subtle changes
  • #14 NSAID,doxycycline,tertacycline,prednisolone,alendronate
  • #15 “Young male with a history of recurrent food impactions and solid food dysphagia”
  • #16 Most prominently reflux of gastric acid and pepsin. HOWEVER is increasingly recognized
  • #17 That often lack the prominent ….. Balloon cells- Sq cell with ballooned cytoplasm from accumulation of plasma protein . vascular lakes (dilated small blood vessels in the mucosa, not area of hemorrhage
  • #19 Sev complications of GERD are unusual, compli includes dev. Of ulcer,bleeding from an ulcer and stricture formation. The complication of Barret’s oesophagus occours approx 10%of patients with symptomatic reflux.
  • #20 You can think of Barrett’s as REVERSE squamous metaplasia.
  • #21 You should have, by now, a good feel for squamous (shiny) vs. columnar (mucoid) surface mucosas anywhere in the body.
  • #22 Barrett’s on top, goblet cell on right, normal esophagus on bottom.Presence of unequivocal gobletcell is diagnostic .This cell have basally located nuclei and cytoplasm distended with mucin which gives a tincture of blue on H &amp; E staining.
  • #23 Attempted to combine topographical,morphological,and etiological information largely unuse bec of inadequate sampling and clinical information,poor endoscopic and histological corelation and ethnic and geographic variations of the disease. However,atrophic gastritis is a difficult histopathological diagnosis of which the interobserver agreement is low.
  • #24 (those occurring in the first part of the small intestine) It is now understood that peptic ulcer disease is not caused by stress or by eating foods high in acid. It is often caused by the H pylori bacterium
  • #25 The inflamatory infiltrate is typically diffuse and superficial and predominently involves the antrum.Neutrophil are present within the lamina propria ,within the epithelium (pititis or cryptitis )or within the gland lumen crypt abscess)
  • #26 a) Antral or fundic b)minimal mild mod or marked eg Helicobacter pylori associated multifocal atrophic gastritis ,sev. Intestional metaplasia present.
  • #32 When the mucosa is damaged due to dif causes, the ht of the villi becomes progressively less and the crypts become more elongated due to compensatory prolif of the basally located immature epith cells. The villous epith often shows features of damage and the cellularity of the l.p increases.
  • #34 The classical example of diseases assoc with villous atrophy is Celiac dis and the spectrum of lesions seen was first classified by a clinician called Marsh, so they are known as Marsh’s criteria.
  • #40 The most common specific finding in the lumen of the small intestine is
  • #41 Giardiasis in humans is caused by the infection of the small intestine by the CYST of a single-celled organism called Giardia lamblia. Giardiasis occurs worldwide with a prevalence of 20–30%[1] in developing countries. Additionally, Giardia has a wide range of human and other mammalian hosts, thus making it very difficult to eliminate. The CDC reports that in the US Giardia infects over 2.5 million people annually. This is one of the main reasons why people tell you “please do not drink the water”. PS: THE CYSTS CAN LIVE IN ICE TOO, SUCH AS SNO-CONES. Like the Reed-Sternberg cell, this flagellate often gives you the feeling it is looking back at you when you look at it under the diagnostic microscope.
  • #52 Histological features are non specific , with partial villous atrophy,crypt hypertrophy and increased chronic inflammatory cells particularly eosinophil and plasma cell ,the organisms vary in size from 2-5micrometer and may be seen at the brush border of the surface and crypt epithelium.
  • #53 Clinical feature chronic watery diarrhoea and malabsorption ,as well as acalculus cholecystitis in immunosuppressed pts
  • #58 Histoplasmosis: G.I. involvement in 80% patients with disseminated Histoplasmosis Ileal involvement most common Diffuse expansion of the lamina propria
  • #63 Idiopathic Inflammatory Bowel Disease
  • #64 Idiopathic Inflammatory Bowel Disease
  • #65 Idiopathic Inflammatory Bowel Disease
  • #66 Confluent-fuse, discreate-independent of other things of the same type