Moderator :
Dr Ram Singh Meena










Cutaneous pseudolymphoma(CPL) was first
described under the term sarcomatosis cutis by
Kaposi in 1891.
In 1923, Bilerstein coined term lymphocytoma
cutis
Term lymphadenosis benigna cutis was
introduced by bafverstedt in 1943
In 1967, Lever introduced term pseudolymphoma
of Spiegler and Fendt
Subsequently,Caro and Helwig in 1969
introduced term cutaneous lymphoid
hyperplasia




Pseudolymphoma is process of accumulation
of lymphocytes in skin in response to a variety
of known and unknown stimuli
It simulates lymphoma, primarily
histologically but sometime clinically,which at
time of diagnosis appear to have a benign
biological behavior and do not satisfy criteria
for malignant lymphoma















Mortality/Morbidity
Pseudolymphoma is not associated with mortality.
Localized variants rarely result in morbidity other than
minor pain or pruritus.
Race
Although 90% of reported patients of CPL are white
In localized CPL, F:M ratio is 2:1.
No significant epidemiologic data are available CTPL
Age
Individuals of any age may be affected, but localized,
nodular CPL is MC in early life.
Mean age of onset is 34 years. 2/3 of patients are
younger than 40 years at time of biopsy.
Borrelial pseudolymphoma is more common in
children than in adults




Rijlaarsdam & Willemze’s classification based on
clinical and morphologicalcriteria.
1. Cutaneous T-cell pseudolymphomas














A) Primarily with stripe-like infiltration (the majority of
cases)
Lymphomatoid drug eruption (most cases);
Lymphomatoid contact dermatitis;
Actinic reticuloid;
Nodular scabies (individual cases);
Idiopathic forms;
Clonal cutaneous T-cell pseudolymphomas.
B) Primarily with nodular infiltration (a small percentage
of the cases)
Drug-induced – mainly by anti-convulsive drugs
Persistent nodules after insect bites;
Nodular scabies (the majority of cases).


2. Cutaneous B-cell pseudolymphomas (with
nodular infiltration)







Cutaneous lymphocytoma from Borrelia
burgdorferi;
Cutaneous lymphocytoma after antigens injection;
Cutaneous lymphocytoma resulting from tattoo;
Cutaneous lymphocytoma after Herpes zoster;
Idiopathic forms;
Clonal cutaneous B-cell pseudolymphomas
Clinicopathologic Subtype

Predominant
Lymphoid
Subset

Predominant
Localization

Major Associated
Findings

Cutaneous lymphoid
hyperplasia

B and T cell

Reticular dermis

Kimura’s disease

B and T cell

Subcutis

Lympadenopathy

Angiolymphoid hyperplasia
with eosinophilia

B and T cell

Reticular dermis

Eosinophilia

Castleman disease

B and T cell

Subcutis

Lympadenopathy,
POEMS
syndrome

Pseudo mycosis fungoides

T cell

Papillary dermis &
Epidermis

Lymphomatoid contact
dermatitis

T cell

Papillary dermis &
Epidermis

Lymphocytic infiltration of
the skin (Jessner’s disease)

T cell

Perivascular &
periadnexial dermis

Contact allergen




Depending on predominant cell type in
infiltrate,cutaneous pseudolymphomas are
divided into two major categories.
1.Mixed B and T cell pseudolymphoma.
cutaneous lymphoid hyperplasia,
 Kimura's disease,
 angiolymphoid hyperplasia with eosinophilia,
 Castleman disease




2. T cell pseudolymphoma
pseudo mycosis fungoides,
 lymphomatoidcontact dermatitis,
 Jessner’s lymphocytic infiltration of the skin


Wood GS. Inflamatory diseases that simulate lymphomas: Cutaneous
lymphomas. Ed.Wolf K, Goldsmith L, Gilchrest B, Paller A, Leffell D. In.
Fitzpatrick’s Dermatology in General Medicine. 7th edition








Also Known as Spiegler-Fendt sarcoid,
Lymphocytoma cutis, lymphadenosis benigna cutis
& cutaneous lymphoplasia
World-wide distribution and affects all races
and ethnic groups.
Both adults and children
Females >males
CLH is characterized by a relatively dense
lymphoid infiltrate, centered in the reticular
dermis, that is usually B-cell rich and may
resemble lymphoma clinically and/or
histopathologically













In most cases of CLH is idiopathic
but in some there is an identifiable trigger. These
include foreign agents such as: Tattoo dye,Insect
bites,Scabies, Stings and spider bites
Vaccinations
Desensitisation injections
Trauma
Acupuncture
Gold earring piercing
Infections with :-Borrelia burgdorferi (Lyme
disease), Varicella zoster (chickenpox) and Human
immunodeficiency virus (AIDS virus).
Drugs
Class

Drugs

Anticonvulsants

Phenytoin, carbamazepine, phenobarbital, trimethadone,
primidone, butobarbitol, methsuximide, phensuximide
Amitriptyline, fluoxetine, doxepin, desipramine, lithium
Chlorpromazine, thioridazine, promethazine
(clonazepam, lorazepam)

Antidepressants
Neuroleptics
Tranqulizers
(anxiolitics)
ACE-inhibitors
β-blockers
H2- blockers
Calcium antagonists
Antirheumatic drugs
Cytostatics
Antibiotics
Antihistamines
Antiarrhythmic drugs
Diuretics
Antilipemic drugs
Sexual steroids
Local drugs

Captopril, enalapril, benazepril
Atenolol, labetolol
Cimetidine, ranitidine
Verapamil, diltiazem
Aspirin, phenacetin, D-penicillamin, allopurinol
Cyclosporin, methotrexate
Penicillin
Diphenhydramine
Procainamide
Hydrochlorothiazide, Moduretic
Lovastatin
Estrogen, progesterone Menthol, etheric oils











Clinical history should elicit information about
Duration and symptomatology of lesions,
Nature and pace of clinical progression,
Past treatment,
Local and systemic exposure to foreign
antigens,
Including medications and personal or family
history about other lymphoproliferative
disorders.
It also include review of systems focusing on so
called lymphoma B symptoms










GPE :-with special attention to type and
distribution of skin lesions and to status of
peripheral lymph nodes, liver and spleen.
Scanning tests such as a CBC, Routine
biochemistry screening and chest radiography
help to exclude extra cutaneous involvement.
Computed tomography of chest, abdomen and
pelvis, as well as bone marrow aspiration and
biopsy.
Biopsy can be performed from abnormally
enlarged lymph nodes
Lesional skin biopsy is an essential part of
diagnostic evaluation








Cutaneous lesions of CLH present most
commonly as a solitary nodule or can
appear as a localized array of nodules,
papules and plaques.
Head, neck, extremities, breast and
genitalia are common predilection sites.
Lesions have a doughy to firm
consistency & range from red- brown to
violaceous in color
Lesions may be pruritic or asymptomatic










HPE of CLH lesions reveals dense, nodular and
diffuse lymphoid infiltrate that is concentrated in t
reticular dermis.
Epidermis is normal and separated from
underlying infiltrate by a narrow grenz zone of
uninvolved papillary dermis.
Lesions of CLH include generally a mixed B and T
cell lymphocytes. However, various types of
histiocytes, including macrophages, dermal
dentritic cells, Langerhans cells are scattered
throughout infiltrate.
Other cells are sometimes admixed, including
plasma cells, eosinophils, mast cells, neutrophils
and histiocytic giant cells.
Plasma cells and eosinophils are particularly
common in arthropod induced reactions
CPL

CBCL

Prominent acanthosis
Top heavy infiltrate (75%) dermal
infiltrate with perivascular &
periappendageal preference

Minimal or no acanthosis

Organized immune response (e.g.,
follicles with germinal centers, etc.);
heterogeneous cellular constituency
65% with germinal centers
No or few mitoses

No organized immune response
cellular monomorphism often present
10%-20% with germinal centers

No necrosis en masse

Necrosis en masse (sometime)

Multinuleated gaint cells

No multinuleated gaint cells
&granuloma

Lymphoid infiltrate with no apoptotic
cells

Lymphoid infiltrate puching borders
with infiltrating borders apoptotic cells

Preservation of adnexae

Destruction of adnexae

Vascular proliferation

No vascular proliferation

Stromal fibrosis

Little or no stromal fibrosis

Bottom-heavy infiltrate(65%)
diffuse infiltrate that dissects collagen &
may involve the subcutis

Mitoes may be numerous







Also known as drug-induced CPL or druginduced pseudolymphoma syndrome
Divided in two major categories:1. Induced by anticonvulsants
2. Induced by other drugs










Develops during first 2 to 8 weeks of drug intake, but
can occur from 5 daysup to 5 years of phenytoin
therapy
Black>white patients
Clinically, most patient have triad of fever,
lymphadenopathy, and an erythemic eruptionin
association with hepatosplenomegaly, blood
eosinophilia
Lymphadenopathy can localized or generalized
Skin manifestations appear as single papule or
widespread erythematous papules, plaques and
nodules, but occasionally, lesions may be generalized.
MC offenders are phenytoin,primidone,mephenytoin
and trimethadione
erythrodermic pseudolymphoma drug-induced
pseudolymphoma, secondary to anticonvulsant
therapy







Occur one month to one year following the
administration of therapy
M=F
Localized papules together with single or
multiple nodules and plaques, generalized
papulonodular lesions and exfoliating
erythrodermia resembling Sezàry’s syndrome
Eg:-Neuroleptics,ACE-inhibitors,β-blockers,
Antihistamines, Cytotoxic
Immunological function is reduced and immune
control is impaired, leading to abnormal
proliferation of lymphocytes, increased function
of T-suppressors and hypogammaglobulinemia
 Studies of these patients show
1. Relative increase in absolute number of
peripheral T-lymphocytes by 85-95 %
2. Significant stimulation of drug-induced blastic
tranformation of lymphocytes
3. Impaired ability of T-suppressor lymphocyte
to suppress B-cell differentiation and
immunoglobulin production









CBPL or CTPL can develop as a result of
scabies or arthropod bite
Clinically, multiple pruritic firm erythematous
to red-brown papule and nodule MC on
genitalia,abdomen,axillae and elbows
Nodule following scabies may persist for many
months after adequate anti-scabietic therapy
It is thought to be due to delayed-type
hypersensitivity reaction to componant of mite
nodular scabies









It is known by its acronym APACHE – Acral
Pseudolymphomatous Angiokeratoma of Children
Apache etiology remains unknown
howeverpossibility that it is a hypersensitivity
reaction to insect bites
Clinically characterized by presence of 10 to 40
violet-erythematic papules, diameter ranges from 1
to 4 mm, and which are asymptomatic, located
unilaterally, generally with acral distribution
Occurring more often between 2 and 13 years of age




Histological studies of Apache reveal an
epidermis of normal aspect and a dense welldifferentiated lymphocyte infiltrate in the
dermis, amongst connective tissue structures,
not affecting skin appendage.
Such histopathological aspect configures
lymphocyte proliferation,associate with no
nuclear atypia.






Cutaneous lymphoid hyperplasia related to
infection with B. Burgdorferi, antibiotic therapy
with cephalosporins
Excision,glucocorticoids (topical, intralesional,
and systemic), cryotherapy, antimalarials,
minocycline and radiation therapy have all
been used with various successes.
Laser therapy and photodynamic therapy
Clinical features

Kimura’s disease

ALHE

Sex

Young adult male predominance

Middle-aged female

Age

Mean range 27-40

Mean 35 years

Presentation &
site

as solitary or multiple nodules up
to 10 cm in diameter centered in
subcutis, MC involving head and
neck

present with smaller,more
superficial intradermal papulonodules that are typically
unilateral. Also involve Salivary
glands & resional lymph
nodes(reactive)

Regional L N
enlargement

LN often show histological
evidence of involvement

Uncommon, show reactive
changes only

Peripheral
blood
eosinophilia

Present in majority of cases

Occurs in about 20 % of cases

Course

Progressive, becoming stationary
after years. Recurrence is
common 15%-40%, but there is no
fatality.Rarely, association with a
nephrotic syndrome

Benign lesion which recurs in
about 30%of cases. Recurrence is
rare if
excision is complete
Histological features

Kimura’s disease

ALHE

Outline

Usually non-circumscribed

Often circumscribed except
dermal lesions

Lymphoid
component

Abundant lymphocytes and
plasma cells; lymphoid
follicles are always found

Sparse to heavy infiltrate of
lymphocytes & plasma cells,
with or without lymphoid
Follicles

Eosinophils

Moderate to abundant;
eosinophilic abscesses

Sparse to abundant;
eosinophilic abscess is rare

Vascular
proliferation

Some stromal vascularity
with unremarkable
endothelial cells

Prominent vascular
proliferation with large
epitheloid/ histiocytoid
endothetial cells,evidence of
underlying vascular
malformation may evident

fibrosis

Prominent

Absent or limited
FIRST LINE
 Excision,
 Topical corticosteroids,
 Tntralesional corticosteroids (5-40 mg/ml,
monthly)
SECOND LINE
 Topical tacrolimus ointment,
 Systemic corticosteroids (60/ 40/ 20 mg PO tapers,
5 days each),
 Cyclosporine (2.5- 4mg/kg/day),
 Local radiation,
 Vinblastine (15 mg/week IV),
 Intravenous immunoglobulins







Also referred to as angiofollicular lymph node
hyperplasia
First described by Benjamin Castleman in 1956
follicular hyperplasia of lymph nodes with
abnormally increased interfollicular vascularity
Can be associated with Kaposi's sarcoma (KS),
non-Hodgkin's lymphoma, Hodgkin's
lymphoma, and POEMS syndrome





Unicentric and Multicentric
Hyaline vascular , Plasmacytic and Mixed
cellularity variety based on histopathology
HIV associated









More common
Presents as slow growing solitary mass
typically located in the mediastinium or
mesenteries.
No constitutional sm-s
Not associated with progression to malignancy
Treated by surgical resection with excellent
results
Histologicaly Unicentric CD is of hyaline
vascular variety












Median age 50-60’s ( younger if HIV+)
Widespread lymphadenopathy
Hepatosplenomegaly
Can present with systemic sm-s: fatigue, fever, wt
loss, night sweats (overproduction of IL-6).
Severe peripheral edema, anemia,
hypoalbumenia, peripheral neuropathy
Also can be associated with:-autoimmune
hemolytic anemia,multiple myeloma,
amyloidoisis,Pemphigus & POEMS syndrome
Diagnosis by biopsy: Histologicaly usually of the
plasmacytic type or mixed cellularity variety







More likely to be associated with Multicentric
Castleman’s Disease
More likely to be caused by HHV8
Associated with poor prognosis and
progression to malignancy
Initiation of HAART may lead to fulminant
multicentric CD





Kaposi's sarcoma (up to 70% in HIV+/HHV+)
Non-Hodgkin's lymphoma (15-20% of pt)
Hodgkin's lymphoma (both MCD & UCD)
POEMS syndrome









Steroids (15-20% eff, not in HIV+)
IV Ig
Antivirals (acylovir/gancyclovir/foscarnet) in
HIVand HHV8 + population
Rituximab (complete remission in few cases)
CHOP or CVAD (90% eff)
Anti-IL6 or anti-IL6 receptor antibody.
Thalidomide (anecdotal)









Eruptions mimicking mycosis fungoides occur
typically in adults.
Both genders can be affected.
Pseudo T cell lymphomas may arise
spontaneously or may occur in association with
B cell chronic lymphocytic leukemia
Also associated with ingestions of various
drugs, including hydantoins, carbamazepine
and antihistamines.
The lesions present clinically as one or a few
plaques on the trunk or extremities.
Histopathologically, there is a papillary dermal,
band-like infiltrate containing mostly atypical
lymphocytes with clefted and cerebriform nuclei.
 Compared with mycosis
fungoides,epidermotropism is typically far less
prominent and Pautrier’s microabscess-like
aggregates are rare.
 Most cases contain polyclonal T cells
In the differential
 Lichenoid drug eruptions,
 Lymphomatoid contact dermatitis,
 Chronic radiodermatitis,
 Secondery syphilis










First line of therapy
Drug discontinuation
Treatment of underlying disorder when an
associated specific disease is detected
Excision for isolated lesions,
Topical and systemic corticosteroids,
Ultraviolet B phototherapy and PUVA
therapies










LCD is a chronic and persistent allergic contact
dermatitis
Lymphomatoid contact dermatitis was described
originally in four patients with persistent allergic
contact dermatitis proven by patch testing
Responsible agents include gold, nickel and paraphenylenediamine.
Characterizedby generalized pruritic red, scaly
papules and plaques
Histopathologically, superficial lymphocytic
dermatitis that contains foci of spongiosis
simulating appearance of cutaneous T cell
lymphomas








Frequently there is edema in papillary dermis
in lymphomatoid contact dermatitis, this
finding is usually absent in mycosis fungoides
Avoidance of the responsible allergic agents
leads to eventual resolution of condition.
A search for offending agent via patch testing
Therapy firstly
Elimination of a suspected allergic agent, later
topical corticosteroids, pimecrolimus and
tacrolimus ointments




Jessner lymphocytic
infiltrate commonly
present with
asymptomatic, nonscaly, erythematous
papules or plaques
predominantly on face
and neck,upper trunk
or arms of several
months duration
Majority of cases occur
in middle aged adults







Histologically ,epidermis usually is normal
In dermis, a moderately dense superficial and
deep perivascular lymphocytic
infiltrate.Lymphocytic infiltrate may also be
perifollicular or may extend into subcutis.
Higher magnification reveals a predominance of
small mature lymphocytes. Large lymphoid cells,
plasma cells, or plasmacytoid monocytes may
occasionally be present and eosinophils and
neutrophils are absent.
Differential diagnosis:- Polymorphous light
eruption, Discoid lupus erythematosus, Welldifferentiated lymphocytic lymphoma &
Lymphocytoma cutis
Cutaneous pseudolymphoma
Cutaneous pseudolymphoma

Cutaneous pseudolymphoma

  • 1.
    Moderator : Dr RamSingh Meena
  • 2.
         Cutaneous pseudolymphoma(CPL) wasfirst described under the term sarcomatosis cutis by Kaposi in 1891. In 1923, Bilerstein coined term lymphocytoma cutis Term lymphadenosis benigna cutis was introduced by bafverstedt in 1943 In 1967, Lever introduced term pseudolymphoma of Spiegler and Fendt Subsequently,Caro and Helwig in 1969 introduced term cutaneous lymphoid hyperplasia
  • 3.
      Pseudolymphoma is processof accumulation of lymphocytes in skin in response to a variety of known and unknown stimuli It simulates lymphoma, primarily histologically but sometime clinically,which at time of diagnosis appear to have a benign biological behavior and do not satisfy criteria for malignant lymphoma
  • 4.
              Mortality/Morbidity Pseudolymphoma is notassociated with mortality. Localized variants rarely result in morbidity other than minor pain or pruritus. Race Although 90% of reported patients of CPL are white In localized CPL, F:M ratio is 2:1. No significant epidemiologic data are available CTPL Age Individuals of any age may be affected, but localized, nodular CPL is MC in early life. Mean age of onset is 34 years. 2/3 of patients are younger than 40 years at time of biopsy. Borrelial pseudolymphoma is more common in children than in adults
  • 5.
      Rijlaarsdam & Willemze’sclassification based on clinical and morphologicalcriteria. 1. Cutaneous T-cell pseudolymphomas             A) Primarily with stripe-like infiltration (the majority of cases) Lymphomatoid drug eruption (most cases); Lymphomatoid contact dermatitis; Actinic reticuloid; Nodular scabies (individual cases); Idiopathic forms; Clonal cutaneous T-cell pseudolymphomas. B) Primarily with nodular infiltration (a small percentage of the cases) Drug-induced – mainly by anti-convulsive drugs Persistent nodules after insect bites; Nodular scabies (the majority of cases).
  • 6.
     2. Cutaneous B-cellpseudolymphomas (with nodular infiltration)       Cutaneous lymphocytoma from Borrelia burgdorferi; Cutaneous lymphocytoma after antigens injection; Cutaneous lymphocytoma resulting from tattoo; Cutaneous lymphocytoma after Herpes zoster; Idiopathic forms; Clonal cutaneous B-cell pseudolymphomas
  • 7.
    Clinicopathologic Subtype Predominant Lymphoid Subset Predominant Localization Major Associated Findings Cutaneouslymphoid hyperplasia B and T cell Reticular dermis Kimura’s disease B and T cell Subcutis Lympadenopathy Angiolymphoid hyperplasia with eosinophilia B and T cell Reticular dermis Eosinophilia Castleman disease B and T cell Subcutis Lympadenopathy, POEMS syndrome Pseudo mycosis fungoides T cell Papillary dermis & Epidermis Lymphomatoid contact dermatitis T cell Papillary dermis & Epidermis Lymphocytic infiltration of the skin (Jessner’s disease) T cell Perivascular & periadnexial dermis Contact allergen
  • 8.
      Depending on predominantcell type in infiltrate,cutaneous pseudolymphomas are divided into two major categories. 1.Mixed B and T cell pseudolymphoma. cutaneous lymphoid hyperplasia,  Kimura's disease,  angiolymphoid hyperplasia with eosinophilia,  Castleman disease   2. T cell pseudolymphoma pseudo mycosis fungoides,  lymphomatoidcontact dermatitis,  Jessner’s lymphocytic infiltration of the skin  Wood GS. Inflamatory diseases that simulate lymphomas: Cutaneous lymphomas. Ed.Wolf K, Goldsmith L, Gilchrest B, Paller A, Leffell D. In. Fitzpatrick’s Dermatology in General Medicine. 7th edition
  • 9.
         Also Known asSpiegler-Fendt sarcoid, Lymphocytoma cutis, lymphadenosis benigna cutis & cutaneous lymphoplasia World-wide distribution and affects all races and ethnic groups. Both adults and children Females >males CLH is characterized by a relatively dense lymphoid infiltrate, centered in the reticular dermis, that is usually B-cell rich and may resemble lymphoma clinically and/or histopathologically
  • 10.
             In most casesof CLH is idiopathic but in some there is an identifiable trigger. These include foreign agents such as: Tattoo dye,Insect bites,Scabies, Stings and spider bites Vaccinations Desensitisation injections Trauma Acupuncture Gold earring piercing Infections with :-Borrelia burgdorferi (Lyme disease), Varicella zoster (chickenpox) and Human immunodeficiency virus (AIDS virus). Drugs
  • 11.
    Class Drugs Anticonvulsants Phenytoin, carbamazepine, phenobarbital,trimethadone, primidone, butobarbitol, methsuximide, phensuximide Amitriptyline, fluoxetine, doxepin, desipramine, lithium Chlorpromazine, thioridazine, promethazine (clonazepam, lorazepam) Antidepressants Neuroleptics Tranqulizers (anxiolitics) ACE-inhibitors β-blockers H2- blockers Calcium antagonists Antirheumatic drugs Cytostatics Antibiotics Antihistamines Antiarrhythmic drugs Diuretics Antilipemic drugs Sexual steroids Local drugs Captopril, enalapril, benazepril Atenolol, labetolol Cimetidine, ranitidine Verapamil, diltiazem Aspirin, phenacetin, D-penicillamin, allopurinol Cyclosporin, methotrexate Penicillin Diphenhydramine Procainamide Hydrochlorothiazide, Moduretic Lovastatin Estrogen, progesterone Menthol, etheric oils
  • 12.
           Clinical history shouldelicit information about Duration and symptomatology of lesions, Nature and pace of clinical progression, Past treatment, Local and systemic exposure to foreign antigens, Including medications and personal or family history about other lymphoproliferative disorders. It also include review of systems focusing on so called lymphoma B symptoms
  • 13.
         GPE :-with specialattention to type and distribution of skin lesions and to status of peripheral lymph nodes, liver and spleen. Scanning tests such as a CBC, Routine biochemistry screening and chest radiography help to exclude extra cutaneous involvement. Computed tomography of chest, abdomen and pelvis, as well as bone marrow aspiration and biopsy. Biopsy can be performed from abnormally enlarged lymph nodes Lesional skin biopsy is an essential part of diagnostic evaluation
  • 14.
        Cutaneous lesions ofCLH present most commonly as a solitary nodule or can appear as a localized array of nodules, papules and plaques. Head, neck, extremities, breast and genitalia are common predilection sites. Lesions have a doughy to firm consistency & range from red- brown to violaceous in color Lesions may be pruritic or asymptomatic
  • 15.
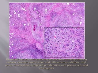
         HPE of CLHlesions reveals dense, nodular and diffuse lymphoid infiltrate that is concentrated in t reticular dermis. Epidermis is normal and separated from underlying infiltrate by a narrow grenz zone of uninvolved papillary dermis. Lesions of CLH include generally a mixed B and T cell lymphocytes. However, various types of histiocytes, including macrophages, dermal dentritic cells, Langerhans cells are scattered throughout infiltrate. Other cells are sometimes admixed, including plasma cells, eosinophils, mast cells, neutrophils and histiocytic giant cells. Plasma cells and eosinophils are particularly common in arthropod induced reactions
  • 19.
    CPL CBCL Prominent acanthosis Top heavyinfiltrate (75%) dermal infiltrate with perivascular & periappendageal preference Minimal or no acanthosis Organized immune response (e.g., follicles with germinal centers, etc.); heterogeneous cellular constituency 65% with germinal centers No or few mitoses No organized immune response cellular monomorphism often present 10%-20% with germinal centers No necrosis en masse Necrosis en masse (sometime) Multinuleated gaint cells No multinuleated gaint cells &granuloma Lymphoid infiltrate with no apoptotic cells Lymphoid infiltrate puching borders with infiltrating borders apoptotic cells Preservation of adnexae Destruction of adnexae Vascular proliferation No vascular proliferation Stromal fibrosis Little or no stromal fibrosis Bottom-heavy infiltrate(65%) diffuse infiltrate that dissects collagen & may involve the subcutis Mitoes may be numerous
  • 20.
        Also known asdrug-induced CPL or druginduced pseudolymphoma syndrome Divided in two major categories:1. Induced by anticonvulsants 2. Induced by other drugs
  • 21.
          Develops during first2 to 8 weeks of drug intake, but can occur from 5 daysup to 5 years of phenytoin therapy Black>white patients Clinically, most patient have triad of fever, lymphadenopathy, and an erythemic eruptionin association with hepatosplenomegaly, blood eosinophilia Lymphadenopathy can localized or generalized Skin manifestations appear as single papule or widespread erythematous papules, plaques and nodules, but occasionally, lesions may be generalized. MC offenders are phenytoin,primidone,mephenytoin and trimethadione
  • 23.
  • 24.
        Occur one monthto one year following the administration of therapy M=F Localized papules together with single or multiple nodules and plaques, generalized papulonodular lesions and exfoliating erythrodermia resembling Sezàry’s syndrome Eg:-Neuroleptics,ACE-inhibitors,β-blockers, Antihistamines, Cytotoxic
  • 25.
    Immunological function isreduced and immune control is impaired, leading to abnormal proliferation of lymphocytes, increased function of T-suppressors and hypogammaglobulinemia  Studies of these patients show 1. Relative increase in absolute number of peripheral T-lymphocytes by 85-95 % 2. Significant stimulation of drug-induced blastic tranformation of lymphocytes 3. Impaired ability of T-suppressor lymphocyte to suppress B-cell differentiation and immunoglobulin production 
  • 26.
        CBPL or CTPLcan develop as a result of scabies or arthropod bite Clinically, multiple pruritic firm erythematous to red-brown papule and nodule MC on genitalia,abdomen,axillae and elbows Nodule following scabies may persist for many months after adequate anti-scabietic therapy It is thought to be due to delayed-type hypersensitivity reaction to componant of mite
  • 27.
  • 28.
         It is knownby its acronym APACHE – Acral Pseudolymphomatous Angiokeratoma of Children Apache etiology remains unknown howeverpossibility that it is a hypersensitivity reaction to insect bites Clinically characterized by presence of 10 to 40 violet-erythematic papules, diameter ranges from 1 to 4 mm, and which are asymptomatic, located unilaterally, generally with acral distribution Occurring more often between 2 and 13 years of age
  • 29.
      Histological studies ofApache reveal an epidermis of normal aspect and a dense welldifferentiated lymphocyte infiltrate in the dermis, amongst connective tissue structures, not affecting skin appendage. Such histopathological aspect configures lymphocyte proliferation,associate with no nuclear atypia.
  • 32.
       Cutaneous lymphoid hyperplasiarelated to infection with B. Burgdorferi, antibiotic therapy with cephalosporins Excision,glucocorticoids (topical, intralesional, and systemic), cryotherapy, antimalarials, minocycline and radiation therapy have all been used with various successes. Laser therapy and photodynamic therapy
  • 33.
    Clinical features Kimura’s disease ALHE Sex Youngadult male predominance Middle-aged female Age Mean range 27-40 Mean 35 years Presentation & site as solitary or multiple nodules up to 10 cm in diameter centered in subcutis, MC involving head and neck present with smaller,more superficial intradermal papulonodules that are typically unilateral. Also involve Salivary glands & resional lymph nodes(reactive) Regional L N enlargement LN often show histological evidence of involvement Uncommon, show reactive changes only Peripheral blood eosinophilia Present in majority of cases Occurs in about 20 % of cases Course Progressive, becoming stationary after years. Recurrence is common 15%-40%, but there is no fatality.Rarely, association with a nephrotic syndrome Benign lesion which recurs in about 30%of cases. Recurrence is rare if excision is complete
  • 34.
    Histological features Kimura’s disease ALHE Outline Usuallynon-circumscribed Often circumscribed except dermal lesions Lymphoid component Abundant lymphocytes and plasma cells; lymphoid follicles are always found Sparse to heavy infiltrate of lymphocytes & plasma cells, with or without lymphoid Follicles Eosinophils Moderate to abundant; eosinophilic abscesses Sparse to abundant; eosinophilic abscess is rare Vascular proliferation Some stromal vascularity with unremarkable endothelial cells Prominent vascular proliferation with large epitheloid/ histiocytoid endothetial cells,evidence of underlying vascular malformation may evident fibrosis Prominent Absent or limited
  • 40.
    FIRST LINE  Excision, Topical corticosteroids,  Tntralesional corticosteroids (5-40 mg/ml, monthly) SECOND LINE  Topical tacrolimus ointment,  Systemic corticosteroids (60/ 40/ 20 mg PO tapers, 5 days each),  Cyclosporine (2.5- 4mg/kg/day),  Local radiation,  Vinblastine (15 mg/week IV),  Intravenous immunoglobulins
  • 41.
        Also referred toas angiofollicular lymph node hyperplasia First described by Benjamin Castleman in 1956 follicular hyperplasia of lymph nodes with abnormally increased interfollicular vascularity Can be associated with Kaposi's sarcoma (KS), non-Hodgkin's lymphoma, Hodgkin's lymphoma, and POEMS syndrome
  • 42.
       Unicentric and Multicentric Hyalinevascular , Plasmacytic and Mixed cellularity variety based on histopathology HIV associated
  • 43.
          More common Presents asslow growing solitary mass typically located in the mediastinium or mesenteries. No constitutional sm-s Not associated with progression to malignancy Treated by surgical resection with excellent results Histologicaly Unicentric CD is of hyaline vascular variety
  • 45.
           Median age 50-60’s( younger if HIV+) Widespread lymphadenopathy Hepatosplenomegaly Can present with systemic sm-s: fatigue, fever, wt loss, night sweats (overproduction of IL-6). Severe peripheral edema, anemia, hypoalbumenia, peripheral neuropathy Also can be associated with:-autoimmune hemolytic anemia,multiple myeloma, amyloidoisis,Pemphigus & POEMS syndrome Diagnosis by biopsy: Histologicaly usually of the plasmacytic type or mixed cellularity variety
  • 47.
        More likely tobe associated with Multicentric Castleman’s Disease More likely to be caused by HHV8 Associated with poor prognosis and progression to malignancy Initiation of HAART may lead to fulminant multicentric CD
  • 48.
        Kaposi's sarcoma (upto 70% in HIV+/HHV+) Non-Hodgkin's lymphoma (15-20% of pt) Hodgkin's lymphoma (both MCD & UCD) POEMS syndrome
  • 49.
           Steroids (15-20% eff,not in HIV+) IV Ig Antivirals (acylovir/gancyclovir/foscarnet) in HIVand HHV8 + population Rituximab (complete remission in few cases) CHOP or CVAD (90% eff) Anti-IL6 or anti-IL6 receptor antibody. Thalidomide (anecdotal)
  • 50.
         Eruptions mimicking mycosisfungoides occur typically in adults. Both genders can be affected. Pseudo T cell lymphomas may arise spontaneously or may occur in association with B cell chronic lymphocytic leukemia Also associated with ingestions of various drugs, including hydantoins, carbamazepine and antihistamines. The lesions present clinically as one or a few plaques on the trunk or extremities.
  • 52.
    Histopathologically, there isa papillary dermal, band-like infiltrate containing mostly atypical lymphocytes with clefted and cerebriform nuclei.  Compared with mycosis fungoides,epidermotropism is typically far less prominent and Pautrier’s microabscess-like aggregates are rare.  Most cases contain polyclonal T cells In the differential  Lichenoid drug eruptions,  Lymphomatoid contact dermatitis,  Chronic radiodermatitis,  Secondery syphilis 
  • 54.
          First line oftherapy Drug discontinuation Treatment of underlying disorder when an associated specific disease is detected Excision for isolated lesions, Topical and systemic corticosteroids, Ultraviolet B phototherapy and PUVA therapies
  • 55.
         LCD is achronic and persistent allergic contact dermatitis Lymphomatoid contact dermatitis was described originally in four patients with persistent allergic contact dermatitis proven by patch testing Responsible agents include gold, nickel and paraphenylenediamine. Characterizedby generalized pruritic red, scaly papules and plaques Histopathologically, superficial lymphocytic dermatitis that contains foci of spongiosis simulating appearance of cutaneous T cell lymphomas
  • 57.
         Frequently there isedema in papillary dermis in lymphomatoid contact dermatitis, this finding is usually absent in mycosis fungoides Avoidance of the responsible allergic agents leads to eventual resolution of condition. A search for offending agent via patch testing Therapy firstly Elimination of a suspected allergic agent, later topical corticosteroids, pimecrolimus and tacrolimus ointments
  • 59.
      Jessner lymphocytic infiltrate commonly presentwith asymptomatic, nonscaly, erythematous papules or plaques predominantly on face and neck,upper trunk or arms of several months duration Majority of cases occur in middle aged adults
  • 60.
        Histologically ,epidermis usuallyis normal In dermis, a moderately dense superficial and deep perivascular lymphocytic infiltrate.Lymphocytic infiltrate may also be perifollicular or may extend into subcutis. Higher magnification reveals a predominance of small mature lymphocytes. Large lymphoid cells, plasma cells, or plasmacytoid monocytes may occasionally be present and eosinophils and neutrophils are absent. Differential diagnosis:- Polymorphous light eruption, Discoid lupus erythematosus, Welldifferentiated lymphocytic lymphoma & Lymphocytoma cutis