Eosinophilic Esophagitis (EoE)
Joanna Yeh
Peds GI Case Conference
April 2012
Objectives
• Review findings from the First International
Gastrointestinal Eosinophilic Research
Symposium (FIGERS) from 2007 (EoE
consensus recommendations)
• Review literature to find updates on
consensus recommendations on EoE since
2007
In 1977, the first report of eosinophilic
inflammation of the esophageal
epithelium in an adult with dysphagia
and no GERD symptoms was published.
2007 Definition
• Clinicopathological disease characterized by:
1. Symptoms related to esophageal dysfunction
(i.e. dysphagia, GERD type symptoms, feeding
intolerance, FTT)
2. Greater than 15 eosinophils per high power field
3. Lack of responsiveness to high dose PPI
(2mg/kg/day x 8 weeks) OR normal pH
monitoring*
*new description of patients: PPI responsive EoE
DDx of Esophageal Eosinophilia
• Gastroesophageal reflux disease
• Eosinophilic esophagitis
• Eosinophilic gastroenteritis
• Crohn’s disease
• Connective tissue disease
• Hypereosinophilic syndrome
• Achalasia
• Vasculitis
• GVHD
• Infection
• Drug hypersensitivity response
Epidemiology
• Males > Females (3:1)
• 16 studies identified 754 pediatric patients
with EoE (66% male, mean age was 8.6 years,
range was 0.5 to 21.1 years)
• All continents, ?except Africa, predominance
in non-Hispanic whites
• Incidence 1:10,000 children per year
• Unclear genetics (eotaxin-3, TSLP)
Clinical Manifestations
• Feeding aversion or intolerance
• Vomiting or regurgitation
• “GERD refractory to medical or surgical
treatment”
• Food impaction or foreign body impaction
• Epigastric abdominal pain
• Dysphagia or difficulty swallowing
• Failure to thrive
• (Chest pain)
• (Diarrhea)
Endoscopic Features
Concentric rings
Trachealization
Feline esophagus
White exudates
White specks
Nodules
Granularity
Linear furrowing
Vertical lines of the esophageal mucosa
Linear shearing/”crepe paper mucosa” with passage of endoscope
Schatzki ring
But…
In a study of 381 children with EoE, 30%
had a normal appearing esophagus
during endoscopy.
Endoscopy Caveats
• 1 biopsy specimen total (sensitivity 55%)
• 3 biopsy specimens total (sensitivity 97%)
• 5 biopsy specimens total (sensitivity 100%)
• Multiple biopsies obtained along the length of
the esophagus (upper, mid, lower)
• Minimum: 2 from distal, 2 from mid
• Stomach and duodenum to r/o eosinophilic
gastroenteritis and IBD
• Fix with formalin or paraformaldehyde (not
Bouin’s preservative)
Other workup considerations
• Of 223 children, pH probe was performed in
173 patients and 90% of these patients had
normal pH probe
• 14 children in the literatures had normal
esophageal manometry
• Upper GI for strictures may not correlate with
endoscopy
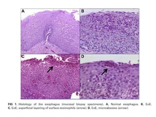
Histopathology
Basal zone
hyperplasia
Superficial layering
of eosinophils
Eosinophlic
microabscess
Allergic Component
The majority of patients with EoE (50-80%) is
atopic. This is based on the coexistence of atopic
dermatitis, allergic rhinitis, and/or asthma and
the presence of allergic antigen sensitization
based on skin prick testing or measurement of
plasma antigen-specific IgE.
Blood work
• 20-100% of children had elevated peripheral
eosinophil counts (usually modest, <2 fold)
• 71-78% of pediatric EoE patients had elevated
total IgE levels
• Others: IL5, IL13, IL15, eotaxin-3, basic
fibroblast growth factor, antigen-specific T-cell
subsets
Treatment
• Systemic corticosteroids
– 1-2 mg/kg/day, max 60 mg
– Useful when urgent sx relief is needed (severe
dysphagia, significant weight loss, strictures)
– Clinical sx improve within 7 days, histology
improves within 4 weeks
– Discontinuation usually leads to recurrence of
symptoms
Treatment
• Topical steroids
– 1998
– Swallowed fluticasone propionate (220-440 ug bid) or
beclomethasone x 6-12 weeks
– Slurry of oral viscous budesonide (OVB 1-2mg daily) ->
younger children who can’t use inhaler
– Esophageal candidiasis
– Should not eat or drink for at least 30 min
• Cromolyn doesn’t help
• Leukotriene receptor antagonist (i.e. Singulair)
helps symptoms but not histology
Treatment
• Dietary
– Use of amino acid based formula is currently the gold
standard (in children, extremely effective in 92-98% of
patients), sx resolve within 7-10 days! Histologic
resolution in 4-5 weeks.
– 6 most common allergenic foods
• Dairy, eggs, wheat, soy, peanuts, fish/shellfish
• SFED = 6 food elimination diet
• 2011 article: milk, wheat, eggs most common!
• Biologics (being studied)
– Anti-IL5 antibody, anti-eotaxin-3 antibody
Natural History:
A Chronic, Relapsing Disease
• In adults, followed up to 12 years, majority of
patients showed evidence of tissue remodeling at
endoscopy. Rings, strictures, or small caliber
esophagus was found in 86% of patients.
• A study in 381 children, upper GI showed
narrowing in 6%, endoscopy showed rings in 12%,
1 required dilation.
• Does not appear to limit life expectancy.
• Not associated with metaplasia (i.e. Barrett’s ->
adenocarcinoma).
Summary
• EoE is a clinicopathologic disease isolated to the
esophagus
• It represents a chronic, immune/antigen-
mediated disease
• With few exceptions, 15 eos/hpf is considered
minimum threshold for diagnosis
• Endoscopy with biopsy is the only reliable
diagnostic test
• Allergy evaluation is warranted in EoE patients
• Disease should remit with dietary exclusion,
topical corticosteroids, or both
References
• Furuta, et al, “Eosinophilic Esophagitis in Children and Adults: A
Systemic Review and Consensus Recommendations for Diagnosis
and Treatment,” Gastroenterology, 2007.
• Heine, et al, “Emerging management concepts for eosinophilic
esophagitis in children,” Journal of Gastroenterology and
Hepatology, April 2011.
• Liacouras, et al, “EoE: Updated consensus recommendations for
children and adults,” Journal of Allergy and Clinical Immunology,
July 2011.

Eosinophilic esophagitis

  • 1.
    Eosinophilic Esophagitis (EoE) JoannaYeh Peds GI Case Conference April 2012
  • 2.
    Objectives • Review findingsfrom the First International Gastrointestinal Eosinophilic Research Symposium (FIGERS) from 2007 (EoE consensus recommendations) • Review literature to find updates on consensus recommendations on EoE since 2007
  • 3.
    In 1977, thefirst report of eosinophilic inflammation of the esophageal epithelium in an adult with dysphagia and no GERD symptoms was published.
  • 4.
    2007 Definition • Clinicopathologicaldisease characterized by: 1. Symptoms related to esophageal dysfunction (i.e. dysphagia, GERD type symptoms, feeding intolerance, FTT) 2. Greater than 15 eosinophils per high power field 3. Lack of responsiveness to high dose PPI (2mg/kg/day x 8 weeks) OR normal pH monitoring* *new description of patients: PPI responsive EoE
  • 5.
    DDx of EsophagealEosinophilia • Gastroesophageal reflux disease • Eosinophilic esophagitis • Eosinophilic gastroenteritis • Crohn’s disease • Connective tissue disease • Hypereosinophilic syndrome • Achalasia • Vasculitis • GVHD • Infection • Drug hypersensitivity response
  • 6.
    Epidemiology • Males >Females (3:1) • 16 studies identified 754 pediatric patients with EoE (66% male, mean age was 8.6 years, range was 0.5 to 21.1 years) • All continents, ?except Africa, predominance in non-Hispanic whites • Incidence 1:10,000 children per year • Unclear genetics (eotaxin-3, TSLP)
  • 7.
    Clinical Manifestations • Feedingaversion or intolerance • Vomiting or regurgitation • “GERD refractory to medical or surgical treatment” • Food impaction or foreign body impaction • Epigastric abdominal pain • Dysphagia or difficulty swallowing • Failure to thrive • (Chest pain) • (Diarrhea)
  • 8.
  • 10.
    Concentric rings Trachealization Feline esophagus Whiteexudates White specks Nodules Granularity
  • 11.
    Linear furrowing Vertical linesof the esophageal mucosa Linear shearing/”crepe paper mucosa” with passage of endoscope Schatzki ring
  • 12.
    But… In a studyof 381 children with EoE, 30% had a normal appearing esophagus during endoscopy.
  • 13.
    Endoscopy Caveats • 1biopsy specimen total (sensitivity 55%) • 3 biopsy specimens total (sensitivity 97%) • 5 biopsy specimens total (sensitivity 100%) • Multiple biopsies obtained along the length of the esophagus (upper, mid, lower) • Minimum: 2 from distal, 2 from mid • Stomach and duodenum to r/o eosinophilic gastroenteritis and IBD • Fix with formalin or paraformaldehyde (not Bouin’s preservative)
  • 14.
    Other workup considerations •Of 223 children, pH probe was performed in 173 patients and 90% of these patients had normal pH probe • 14 children in the literatures had normal esophageal manometry • Upper GI for strictures may not correlate with endoscopy
  • 15.
  • 17.
  • 19.
  • 20.
    Allergic Component The majorityof patients with EoE (50-80%) is atopic. This is based on the coexistence of atopic dermatitis, allergic rhinitis, and/or asthma and the presence of allergic antigen sensitization based on skin prick testing or measurement of plasma antigen-specific IgE.
  • 21.
    Blood work • 20-100%of children had elevated peripheral eosinophil counts (usually modest, <2 fold) • 71-78% of pediatric EoE patients had elevated total IgE levels • Others: IL5, IL13, IL15, eotaxin-3, basic fibroblast growth factor, antigen-specific T-cell subsets
  • 22.
    Treatment • Systemic corticosteroids –1-2 mg/kg/day, max 60 mg – Useful when urgent sx relief is needed (severe dysphagia, significant weight loss, strictures) – Clinical sx improve within 7 days, histology improves within 4 weeks – Discontinuation usually leads to recurrence of symptoms
  • 23.
    Treatment • Topical steroids –1998 – Swallowed fluticasone propionate (220-440 ug bid) or beclomethasone x 6-12 weeks – Slurry of oral viscous budesonide (OVB 1-2mg daily) -> younger children who can’t use inhaler – Esophageal candidiasis – Should not eat or drink for at least 30 min • Cromolyn doesn’t help • Leukotriene receptor antagonist (i.e. Singulair) helps symptoms but not histology
  • 25.
    Treatment • Dietary – Useof amino acid based formula is currently the gold standard (in children, extremely effective in 92-98% of patients), sx resolve within 7-10 days! Histologic resolution in 4-5 weeks. – 6 most common allergenic foods • Dairy, eggs, wheat, soy, peanuts, fish/shellfish • SFED = 6 food elimination diet • 2011 article: milk, wheat, eggs most common! • Biologics (being studied) – Anti-IL5 antibody, anti-eotaxin-3 antibody
  • 26.
    Natural History: A Chronic,Relapsing Disease • In adults, followed up to 12 years, majority of patients showed evidence of tissue remodeling at endoscopy. Rings, strictures, or small caliber esophagus was found in 86% of patients. • A study in 381 children, upper GI showed narrowing in 6%, endoscopy showed rings in 12%, 1 required dilation. • Does not appear to limit life expectancy. • Not associated with metaplasia (i.e. Barrett’s -> adenocarcinoma).
  • 27.
    Summary • EoE isa clinicopathologic disease isolated to the esophagus • It represents a chronic, immune/antigen- mediated disease • With few exceptions, 15 eos/hpf is considered minimum threshold for diagnosis • Endoscopy with biopsy is the only reliable diagnostic test • Allergy evaluation is warranted in EoE patients • Disease should remit with dietary exclusion, topical corticosteroids, or both
  • 28.
    References • Furuta, etal, “Eosinophilic Esophagitis in Children and Adults: A Systemic Review and Consensus Recommendations for Diagnosis and Treatment,” Gastroenterology, 2007. • Heine, et al, “Emerging management concepts for eosinophilic esophagitis in children,” Journal of Gastroenterology and Hepatology, April 2011. • Liacouras, et al, “EoE: Updated consensus recommendations for children and adults,” Journal of Allergy and Clinical Immunology, July 2011.