INTERPRETATION OF ENDOSCOPICINTERPRETATION OF ENDOSCOPIC
GASTROINTESTINAL BIOPSIESGASTROINTESTINAL BIOPSIES
ENDOSCOPYENDOSCOPY
 ““EndoEndo” : within & “” : within & “skopeinskopein” : to view” : to view
 Introduced by Rudolf Schindler in 1880.Introduced by Rudolf Schindler in 1880.
 Rigid flexirigid (1920) flexibleRigid flexirigid (1920) flexible
optical axis (1980) fibreoptic biopsiesoptical axis (1980) fibreoptic biopsies
 Direct visualization of GITDirect visualization of GIT
 Taking photographsTaking photographs
 Cytological specimensCytological specimens
 Taking biopsiesTaking biopsies
 Undertaking therapeutic procedures –Undertaking therapeutic procedures –
sclerotherapy, band ligation, polypectomy,sclerotherapy, band ligation, polypectomy,
stenting & dilatation of strictures, removalstenting & dilatation of strictures, removal
of foreign bodies.of foreign bodies.
ENDOSCOPYENDOSCOPY
 Rigid endoscopesRigid endoscopes
 Flexible endoscopesFlexible endoscopes
1) Fiberoptic, 2) Electronic.1) Fiberoptic, 2) Electronic.
ENDOSCOPESENDOSCOPES
 2 cup shaped jaws,2 cup shaped jaws,
 round / elliptical, serrated / nonround / elliptical, serrated / non
serrated,serrated,
 Forcep with central spike - to fix theForcep with central spike - to fix the
mucosamucosa
 Other techniques for full thickness bxOther techniques for full thickness bx
specimen – FNAB thr endoscope,specimen – FNAB thr endoscope,
snare bx technique - electrocoagulationsnare bx technique - electrocoagulation
ENDOSCOPIC BIOPSY FORCEPSENDOSCOPIC BIOPSY FORCEPS
 Careful handlingCareful handling
 Proper orientation –Proper orientation –
1.1. Magnifying lens,Magnifying lens,
2.2. Orienting mucosal surface upward – byOrienting mucosal surface upward – by
mounting bx on Filter paper /mounting bx on Filter paper /
gelfoam/wire mesh / plastic mesh/ frostedgelfoam/wire mesh / plastic mesh/ frosted
glass,glass,
 Fixation –Fixation – 10% buffered formalin10% buffered formalin for 2-3 hrfor 2-3 hr
 Alternative - Bouin’s fluid.Alternative - Bouin’s fluid.
BX PROCESSINGBX PROCESSING
 Automatic tissue processor or by hand processing inAutomatic tissue processor or by hand processing in
short cyclesshort cycles
 Ascending grades of Alcohol - 30 mins eachAscending grades of Alcohol - 30 mins each
 Xylol - 30 mins eachXylol - 30 mins each
 Paraffin bath - 60 min eachParaffin bath - 60 min each
 Orientation is imp while making the paraffin blockOrientation is imp while making the paraffin block
 Step sections at 3-4 levelStep sections at 3-4 level
 STAINS : H&E,STAINS : H&E,
 SPECIAL STAINSSPECIAL STAINS :- PAS, Alcian blue, Z N, Congo:- PAS, Alcian blue, Z N, Congo
red, Masson trichrome, etc.red, Masson trichrome, etc.
BX PROCESSINGBX PROCESSING
 Requires good communication bet endoscopist &Requires good communication bet endoscopist &
pathologist,pathologist,
 REAL CHALLENGE : as Bx is very SMALLREAL CHALLENGE : as Bx is very SMALL
 Pathologist must knowPathologist must know : clinical history, physical: clinical history, physical
findings, result of radiographic & lab studies, ind.findings, result of radiographic & lab studies, ind.
for scopy, endoscopic findings & site of Bx, etcfor scopy, endoscopic findings & site of Bx, etc
 SoSo complete scopy reportcomplete scopy report with Bx is necessory.with Bx is necessory.
INTERPRETATION OF BIOPSIESINTERPRETATION OF BIOPSIES
INDICATIONS OFINDICATIONS OF
UPPER GI ENDOSCOPYUPPER GI ENDOSCOPY
 Dysphagia / odynophagiaDysphagia / odynophagia
 Persistent nausea / vomitting > 48 hrsPersistent nausea / vomitting > 48 hrs
 Dyspepsia - > 45 yrs, wt. loss, anemia; < 45 yrs - +veDyspepsia - > 45 yrs, wt. loss, anemia; < 45 yrs - +ve
diagnostic test for H. pylori, refractory to t/tdiagnostic test for H. pylori, refractory to t/t
 Acute bleeding – varices, acute esophagitis & gastritisAcute bleeding – varices, acute esophagitis & gastritis
 Gastroesophageal reflux – heartburn, acidGastroesophageal reflux – heartburn, acid
regurgitationregurgitation
 Portal hypertensionPortal hypertension
 Duodenal biopsy – chronic diarrhoea, celiac disease,Duodenal biopsy – chronic diarrhoea, celiac disease,
iron & folic acid deficiency,iron & folic acid deficiency,
ESOPHAGUSESOPHAGUS
 Biopsy –Biopsy – 1-5 mm1-5 mm in diameter; Epithelium,in diameter; Epithelium,
lamina propria, slip of muscularis mucosae occ.lamina propria, slip of muscularis mucosae occ.
 Gastroesophageal reflux disease (GERD)Gastroesophageal reflux disease (GERD)
 Infectious – candida, HSV, CMV,Infectious – candida, HSV, CMV,
 Others – corrosive, radiation induced, associatedOthers – corrosive, radiation induced, associated
with transplantation, eosinophilic esophagitis,with transplantation, eosinophilic esophagitis,
crohn’s disease.crohn’s disease.
GASTROESOPHAGEAL REFLUXGASTROESOPHAGEAL REFLUX
DISEASE (GERD)DISEASE (GERD)
GERDGERD
 Epithelial hyperplasiaEpithelial hyperplasia
 Basal zone expansion,Basal zone expansion,
 Elongated lamina propriaElongated lamina propria
papillae,papillae,
 Balloon cellsBalloon cells
 Basal dilated &Basal dilated &
congested capillariescongested capillaries
 Intraepithelial eosinophils,Intraepithelial eosinophils,
lymphocyteslymphocytes
 Severe - Neutrophils,Severe - Neutrophils,
ulcerationulceration
CandidaCandida
CMV & HSV ESOPHAGITISCMV & HSV ESOPHAGITIS
Barrett esophagusBarrett esophagus
 Replacement of distal squamousReplacement of distal squamous
mucosa by metaplasticmucosa by metaplastic
columnar epithelium - prolongedcolumnar epithelium - prolonged
injury. (GERD)injury. (GERD)
 Criteria for diagnosis –Criteria for diagnosis –
1.endoscopic e/o columnar1.endoscopic e/o columnar
lining, 2. histologic e/o intestinallining, 2. histologic e/o intestinal
metaplasia.metaplasia.
 Long segement >3cm, shortLong segement >3cm, short
<3cm,<3cm,
 Imp risk factor for adenoca.Imp risk factor for adenoca.
1. Locate gastro-esophageal
junction
3.Describe extent of
metaplasia
consistently
2. Recognize the
squamocolumnar junction
Three Essential Steps for Endoscopic
Diagnosis and Description
Berrett esophagusBerrett esophagus
 Incomplete intestinalIncomplete intestinal
metaplasia-metaplasia- goblet
+foveolar type cells.+foveolar type cells.
 Complete –Complete – goblet ++
neuroendocrine +neuroendocrine +
paneth cells.paneth cells.
 a/w foci of fundic &a/w foci of fundic &
cardiac typecardiac type
epitheliumepithelium
Pseudo goblet cellsPseudo goblet cells
 Hyper distended gastric foveolar cellsHyper distended gastric foveolar cells
 Mucin droplets – larger than typical foveolarMucin droplets – larger than typical foveolar
cells & smaller than usual goblet cellscells & smaller than usual goblet cells
 AB-PAS less intense stain than true gobletAB-PAS less intense stain than true goblet
cellscells
 Columnar bluesColumnar blues
DYSPLASIA InDYSPLASIA In Berrett esophagusBerrett esophagus
––
Polypoidal lesionsPolypoidal lesions
 Squmous papillomaSqumous papilloma
 LeiomyomaLeiomyoma
 Fibrovascular polypsFibrovascular polyps
 Squamous cell carcinomaSquamous cell carcinoma
 AdenocarcinomaAdenocarcinoma
Squamous papillomaSquamous papilloma
 <0.5 cm, solitory<0.5 cm, solitory
 Exophytic, endophyticExophytic, endophytic
 Distal partDistal part
 HPV 6,11,16,18HPV 6,11,16,18
Squamous papillomaSquamous papilloma
Squamous cell carcinomaSquamous cell carcinoma
 MC, >50 yrs, M>FMC, >50 yrs, M>F
 MC – mid portion,MC – mid portion,
 Polypoidal , flat ,Polypoidal , flat ,
ulcerative.ulcerative.
AdenocarcinomaAdenocarcinoma
 MC – lower 1/3MC – lower 1/3rdrd
,,
>50yrs, M > F,>50yrs, M > F,
 Risk factors – BerrettRisk factors – Berrett
esophagus, tobaccoesophagus, tobacco
exposure, obesity,exposure, obesity,
H.pylori infection,H.pylori infection,
 Dysphagia, wt loss,Dysphagia, wt loss,
chest pain, vomiting.chest pain, vomiting.
 Bad prognosis - <20%Bad prognosis - <20%
5 yr survival.5 yr survival.
StomachStomach
 Ideal no. of biopsies – vary with disease;Ideal no. of biopsies – vary with disease;
minimum 5 – 2- antral, 2- fundic, 1-minimum 5 – 2- antral, 2- fundic, 1-
incisuraincisura
Chronic gastritisChronic gastritis
Chronic gastritisChronic gastritis
Causes :Causes :
 H. pylori gastritisH. pylori gastritis
 Multifocal atrophic gastritisMultifocal atrophic gastritis
 Gastritis secondary to drug therapyGastritis secondary to drug therapy
 Autoimmune gastritisAutoimmune gastritis
 Acute erosive gastritisAcute erosive gastritis
 Granulomatous gastritisGranulomatous gastritis
 Gastritis in immunosuppressed patients.Gastritis in immunosuppressed patients.
Helicobacter Pylori GastritisHelicobacter Pylori Gastritis
 MC cause of chronic gastritis,MC cause of chronic gastritis,
 Mechanism - Binding – MHCMechanism - Binding – MHC
class II moleculesclass II molecules  Cag ACag A
proteinprotein increased IL-8increased IL-8
,TNF,TNF superficial gastritissuperficial gastritis
 Upto 80% patients –Upto 80% patients –
autoantibodies againstautoantibodies against
canalicular membranes ofcanalicular membranes of
parietal cellsparietal cells  parietal cellparietal cell
destruction,destruction,
 Acute gastritis – rare, pitAcute gastritis – rare, pit
abcesses, neutrophils inabcesses, neutrophils in
surface epithelium.surface epithelium.
 Diffuse chronic gastritis –Diffuse chronic gastritis –
 Pyloric antrum,- fullPyloric antrum,- full
thickness infiltrationthickness infiltration
 Corpus – superficial layersCorpus – superficial layers
 Lymphoid follicles withLymphoid follicles with
germinal centers –germinal centers –
pathognomicpathognomic
 Neutrphils in surface &Neutrphils in surface &
foveolar epithelium – pitfoveolar epithelium – pit
abcesses - active gastritisabcesses - active gastritis
Multifocal atrophic gastritisMultifocal atrophic gastritis
 End stage of H. pylori gastritisEnd stage of H. pylori gastritis
 Pylorus & corpus in patchyPylorus & corpus in patchy
mannermanner
 Full thickness chronicFull thickness chronic
inflammation with atrophy ofinflammation with atrophy of
glandsglands
 Intestinal metaplasia –Intestinal metaplasia –
diagnostic featurediagnostic feature
 Adjecent mucosa – activeAdjecent mucosa – active
inflammation with pit abcessinflammation with pit abcess
formation & H. pylori infection.formation & H. pylori infection.
H.PyloriH.Pylori
Drug therapyDrug therapy
 MC causeMC cause
 Alcohol, aspirin, NSAIDS, proton pump inhibitorsAlcohol, aspirin, NSAIDS, proton pump inhibitors
 Ulcers are deeper & larger – direct irritation of mucosaUlcers are deeper & larger – direct irritation of mucosa
 PPI – exacerbation of H.pylori gastritisPPI – exacerbation of H.pylori gastritis
- Hyperplasia of antral G & corpus ECL cells- Hyperplasia of antral G & corpus ECL cells
- multiple fundic gland polyps.- multiple fundic gland polyps.
Acute erosive gastritisAcute erosive gastritis
 Alcohol, aspirin, NSAIDS,Alcohol, aspirin, NSAIDS,
stress- shock, sepsis, hypoxiastress- shock, sepsis, hypoxia
 Acute hemorrhagic gastritis –Acute hemorrhagic gastritis –
multiple hemorrhagic erosionsmultiple hemorrhagic erosions
– superficial slough & necrotic– superficial slough & necrotic
tissue with viable basaltissue with viable basal
epithelium; edges – capillaryepithelium; edges – capillary
congestion & extravasation ofcongestion & extravasation of
blood,blood,
Granulomatous gastritisGranulomatous gastritis
 MC antrum,MC antrum,
 Early phases – limited tillEarly phases – limited till
submucosa, late – thickening,submucosa, late – thickening,
fibrosis & pyloric stenosisfibrosis & pyloric stenosis
 Immunocompromised patientsImmunocompromised patients
– Tuberculosis, fungal– Tuberculosis, fungal
infections – candida,infections – candida,
histoplasma, phycomyceteshistoplasma, phycomycetes
 Noninfectious diseases –Noninfectious diseases –
crohn disaese, foreign bodycrohn disaese, foreign body
granulomas, sarcoidosis,granulomas, sarcoidosis,
tumor associates granulomas,tumor associates granulomas,
Autoimmune gastritisAutoimmune gastritis
 80- 90 % cases a/w pernicious anemia80- 90 % cases a/w pernicious anemia
 Early -Inflammatory infiltrate in lamina propria aroundEarly -Inflammatory infiltrate in lamina propria around
glands, destruction, no inflammation in superficialglands, destruction, no inflammation in superficial
mucosa ,intestinal or pyloric metaplasia, parietal cellmucosa ,intestinal or pyloric metaplasia, parietal cell
pseudohypertrophy,pseudohypertrophy,
 Late – mucosal thinning with intestinal metaplasia,Late – mucosal thinning with intestinal metaplasia,
glandular atrophy, inflammation of lamina propriaglandular atrophy, inflammation of lamina propria
 HypochlorhydriaHypochlorhydria  G cell stimulationG cell stimulation 
hypergastrinemiahypergastrinemia  nodular ECL cell hyperplasia innodular ECL cell hyperplasia in
corpuscorpus carcinoids.carcinoids.
Lymphocytic gastritisLymphocytic gastritis
 Normal/ mucosal nodules withNormal/ mucosal nodules with
erosion, prominent mucosalerosion, prominent mucosal
foldsfolds
 Increased (>25 lymphocytes/Increased (>25 lymphocytes/
100 epithelial cells) in100 epithelial cells) in
superfical, foveolar + laminasuperfical, foveolar + lamina
propriapropria
 Antral prominent a/w celiacAntral prominent a/w celiac
disease ,corpus prominent a/wdisease ,corpus prominent a/w
H. pylori infectionH. pylori infection
Eosinophilic gastritisEosinophilic gastritis
 MAG , allergicMAG , allergic
granulomatosis, crohn’sgranulomatosis, crohn’s
disease, food allergy,disease, food allergy,
connective tissue,connective tissue,
Eustoma rotundatumEustoma rotundatum
disorders – scleroderma,disorders – scleroderma,
polymyositis,polymyositis,
 Patchy intense infiltrationPatchy intense infiltration
byby sheetssheets of eosinophlisof eosinophlis
displacing mucosaldisplacing mucosal
glands producing cryptglands producing crypt
abcessesabcesses
Gastritis inGastritis in
immunocompromised patientsimmunocompromised patients
 CMV infectionCMV infection
 HSV inectionHSV inection
 MAIMAI
 CryptosporidiumCryptosporidium
infectioninfection
Reactive gastropathyReactive gastropathy
 Aspirin, NSAIDS, bile reflux, mucosal prolapse,Aspirin, NSAIDS, bile reflux, mucosal prolapse,
 Mucosal edema with dilatation of mucosal capillaries,Mucosal edema with dilatation of mucosal capillaries,
 Foveolar hyperplasia with loss of mucin & glandularFoveolar hyperplasia with loss of mucin & glandular
regenerative changeregenerative change
 Smooth muscle fibers extending into lamina propriaSmooth muscle fibers extending into lamina propria
PEPTIC ULCERPEPTIC ULCER
 Acute peptic ulcer –Acute peptic ulcer –
 Stress ulcers – sepsis,Stress ulcers – sepsis,
surgery, traumasurgery, trauma
 Curling’s ulcersCurling’s ulcers
 Cushings ulcersCushings ulcers
 Steroid ulcersSteroid ulcers
 Chronic peptic ulcerChronic peptic ulcer
 11stst
portion ofportion of
duodenum, anteriorduodenum, anterior
wallwall
 H.pylori, NSAIDS,H.pylori, NSAIDS,
alcoholism, steroids,alcoholism, steroids,
hypercalcemia- CRF,hypercalcemia- CRF,
hyperparathyroidismhyperparathyroidism
 Malignant pepticMalignant peptic
ulcers -ulcers -
adenocarcinomaadenocarcinoma
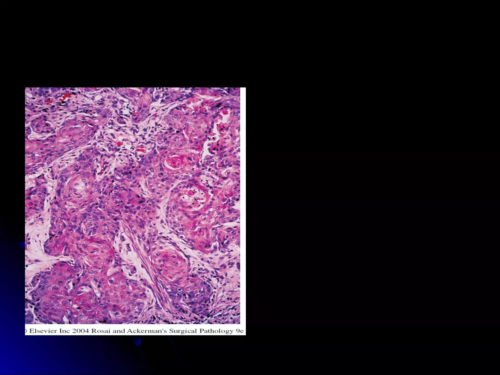
Regenerative atypia or dysplasia?Regenerative atypia or dysplasia?
Gastric polypsGastric polyps
 Hamartomatous –Hamartomatous –
 Peutz - jeghersPeutz - jeghers
syndromesyndrome
 Juvenile polypJuvenile polyp
 Cowden diseaseCowden disease
 Hyperplastic &Hyperplastic &
inflammatory polypsinflammatory polyps
 Hyperplastic polypsHyperplastic polyps
 Polypoid mucosalPolypoid mucosal
prolapseprolapse
 Fundic gland polypFundic gland polyp
 Inflammatory fibroidInflammatory fibroid
polyppolyp
 Lymphoid hyperplasiaLymphoid hyperplasia
 Neoplastic polypsNeoplastic polyps
 AdenomaAdenoma
 CarcinomaCarcinoma
 CarcionidCarcionid
 Lymphomatous polyposisLymphomatous polyposis
 Mesenchymal tumorsMesenchymal tumors
 Mucosal foldsMucosal folds
 Giant folds (normal variant)Giant folds (normal variant)
 Zollinger ellison syndromeZollinger ellison syndrome
 Menetrier diseaseMenetrier disease
 Malignant infiltrationMalignant infiltration
 Biopsy – polyp ? Prominent mucosal foldBiopsy – polyp ? Prominent mucosal fold
 Polyp – sessile / pedunculated? – stalk sampledPolyp – sessile / pedunculated? – stalk sampled
 Evidence of polyps in other parts of GIT?Evidence of polyps in other parts of GIT?
 Biopsy from surrounding mucosa.Biopsy from surrounding mucosa.
Hamartomatous polypsHamartomatous polyps
Peutz jeghars polypsPeutz jeghars polyps
 Childhood, adolescentChildhood, adolescent
 1-3 cm, coarsely1-3 cm, coarsely
lobulated surface, short &lobulated surface, short &
broad stalkbroad stalk
Smooth musclesSmooth muscles
Surface & foveolarSurface & foveolar
epitheliumepithelium
Juvenile polypsJuvenile polyps
 Rounded smoothRounded smooth
surface, 1-2 cm, shortsurface, 1-2 cm, short
narrow stalknarrow stalk
Cystically dilated glandsCystically dilated glands
Hyperplastic polypsHyperplastic polyps
 Similar to inflammatorySimilar to inflammatory
colonic polypscolonic polyps
 Exaggerated response toExaggerated response to
mucosal damage chronicmucosal damage chronic
gastritisgastritis
 at junction of pyloric &at junction of pyloric &
corpus mucosa, GE junctioncorpus mucosa, GE junction
 Muliple, sessile, broad baseMuliple, sessile, broad base
small, 0.5 – 2.5 cmsmall, 0.5 – 2.5 cm
 >2 cm , a/w malignancy>2 cm , a/w malignancy
Fundic gland polypFundic gland polyp
 Multiple (>10), a/wMultiple (>10), a/w
drugs for aciddrugs for acid
suppression, FAPsuppression, FAP
 Small, 1-15 mm,Small, 1-15 mm,
 Multiple - dysplasiaMultiple - dysplasia
cystically dilatedcystically dilated
fundic glands lined byfundic glands lined by
attenuated epitheliumattenuated epithelium
Inflammatory fibroid polypInflammatory fibroid polyp
 MC in antrum, sessileMC in antrum, sessile
 Mucosal traumaMucosal trauma
 Overgrowth of looseOvergrowth of loose
connective tissueconnective tissue
stroma, ulceratesstroma, ulcerates
mucosamucosa
 Thin walled bloodThin walled blood
vesselsvessels
 Inflamm. cellsInflamm. cells
Enlarged mucosal foldsEnlarged mucosal folds
 Normal variantNormal variant
 Zollinger ellisonZollinger ellison
syndromesyndrome
 Pancreatic & duodenalPancreatic & duodenal
neoplasm – gastrinneoplasm – gastrin
 Mucosal folds ofMucosal folds of
corpus – hyperplasiacorpus – hyperplasia
of parietal cells, ECLof parietal cells, ECL
cellscells
 Menetrier disease –Menetrier disease –
 a/w low acida/w low acid
production, proteinproduction, protein
loss, corpus foveolarloss, corpus foveolar
hyperplasiahyperplasia
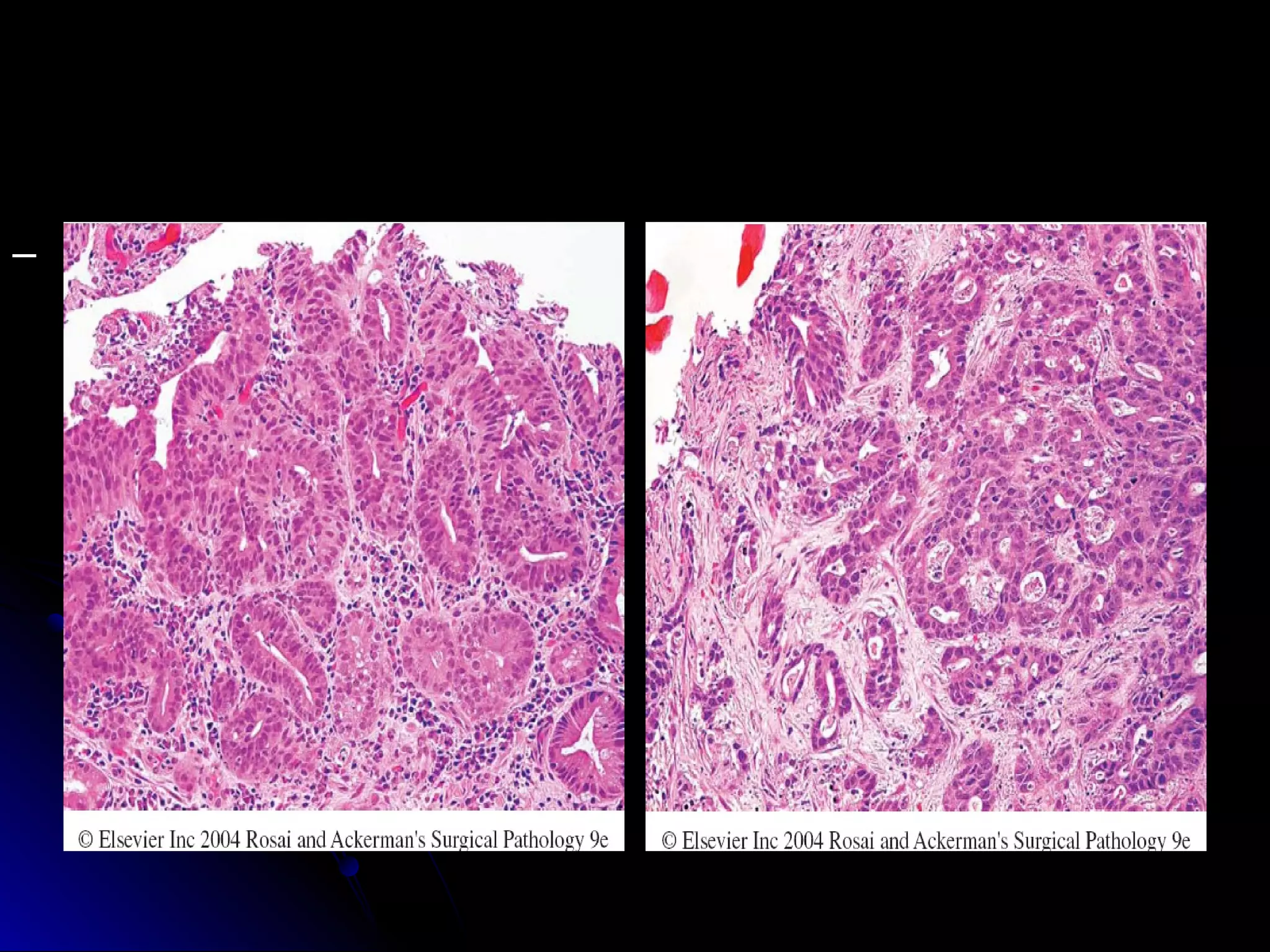
AdenomasAdenomas
 Sessile, tubulovillous &Sessile, tubulovillous &
villous typevillous type
 Gastric & intestinalGastric & intestinal
differentiationdifferentiation
 Two layres – dysplasticTwo layres – dysplastic
epithelium on top,epithelium on top,
nondysplastic cysticallynondysplastic cystically
dilated glands below.dilated glands below.
 Malignancy – intestinalMalignancy – intestinal
type, >2cmtype, >2cm
Carcinoma of stomachCarcinoma of stomach
 Nodular. Polypoid,Nodular. Polypoid,
ulcerated, plaque like-ulcerated, plaque like-
diffusediffuse
 IntestinalIntestinal
adenocarcinoma &adenocarcinoma &
diffuse type, signetdiffuse type, signet
ring cell ca.ring cell ca.
Carcinoma of stomachCarcinoma of stomach
 Type I – pernicious anemiaType I – pernicious anemia  hypergastrinemiahypergastrinemia
ECL cell proliferationECL cell proliferation
 Multiple mucosal nodules , (> 5 mm, invading submucosa -Multiple mucosal nodules , (> 5 mm, invading submucosa -
neoplastic)neoplastic)
 F>M; Body of stomachF>M; Body of stomach
 Type II – a/w zollinger ellison syndrome,Type II – a/w zollinger ellison syndrome,
 BodyBody
 Type III – M>FType III – M>F
 Solitary nodules, not a/w pernicious anemia, atrophicSolitary nodules, not a/w pernicious anemia, atrophic
gastritisgastritis
 Anywhere in stomach (ECL, EC, G cells)Anywhere in stomach (ECL, EC, G cells)
Endocrine tumorsEndocrine tumors
 Type IV – poorlyType IV – poorly
differentiated, small celldifferentiated, small cell
carcinomascarcinomas
Endocrine tumorsEndocrine tumors
LymphomasLymphomas
Mucosa associated lymphoidMucosa associated lymphoid
tumortumor
 Ulcers, enlarged mucosalUlcers, enlarged mucosal
folds, flatfolds, flat
 Features of low grade MALT –Features of low grade MALT –
1. small lympho, small cleaved1. small lympho, small cleaved
cells 2. lymphoid follicles 3.cells 2. lymphoid follicles 3.
neoplastic plasma cells 4.neoplastic plasma cells 4.
lymphoepithelial lesions clusterlymphoepithelial lesions cluster
of 3-4 lymphocytes destroyingof 3-4 lymphocytes destroying
glands(lymphocytic gastritis –glands(lymphocytic gastritis –
single cells in epi) 5. dutchersingle cells in epi) 5. dutcher
bodies –pas +ve intranuclearbodies –pas +ve intranuclear
inclusionsinclusions
 High grade – no LEL, largeHigh grade – no LEL, large
cells vesicular nuclei,cells vesicular nuclei,
prominent nucleoliprominent nucleoli
 Non MALT type – mantle cell lymphoma ,Non MALT type – mantle cell lymphoma ,
Burkitt lymphoma, follicular lymphomaBurkitt lymphoma, follicular lymphoma
LymphomasLymphomas
Mesenchymal tumorsMesenchymal tumors
 GIST –GIST –
 Solitary, roundedSolitary, rounded
,lobulated,lobulated
 MC in corpusMC in corpus
 Two types –Two types –
 Spindle cellSpindle cell
 EpithelioidEpithelioid
 Prognosis –Prognosis –
 Size - >5cm, mitoticSize - >5cm, mitotic
figures ->5/ 50 hpf –figures ->5/ 50 hpf –
bad.bad.
Small Bowel BiopsiesSmall Bowel Biopsies
Common IndicationsCommon Indications
 Biopsy specimens are mounted with mucosalBiopsy specimens are mounted with mucosal
side up on filter paper or gelfoamside up on filter paper or gelfoam
 4- 6 biopsy specimens – mandatory4- 6 biopsy specimens – mandatory
 Samples fixed in 4% formaldehyde solutionSamples fixed in 4% formaldehyde solution
 Chronic Diarrhea – malabsorption,Chronic Diarrhea – malabsorption,
 Chronic Abdominal painChronic Abdominal pain
 Occult GI BleedingOccult GI Bleeding
 PolypsPolyps
Biopsy : The diagnostic test
(Diffuse lesions)
 Whipple’s diseaseWhipple’s disease
 AbetalipoproteinemiaAbetalipoproteinemia
 AgammaglobinemiaAgammaglobinemia
 Collagenous colitisCollagenous colitis
Whipple’s diseaseWhipple’s disease
 Diarrhea, malabsorptionDiarrhea, malabsorption
 Torpheryma whippeliTorpheryma whippeli
 Lamina propria,Lamina propria,
muscularis mucosae,muscularis mucosae,
submucosa – foamysubmucosa – foamy
macrophages – PASmacrophages – PAS
positive diastasepositive diastase
resistant bacilliresistant bacilli
 DD- 1.histoplasmasisDD- 1.histoplasmasis
2. MAIC2. MAIC
AbetalipoproteinemiaAbetalipoproteinemia
 Lack of apoprotein BLack of apoprotein B
 Accumulation ofAccumulation of
triglycerides intriglycerides in
enterocytesenterocytes
 tips of villi showtips of villi show
intracytoplasmic lipidintracytoplasmic lipid
dropletsdroplets
 DD – megaloblasticDD – megaloblastic
anemia, CS, TSanemia, CS, TS
AgammaglobulinemiaAgammaglobulinemia
Biopsy: may have diagnostic valueBiopsy: may have diagnostic value
(Patchy lesions)(Patchy lesions)
 ParasiticParasitic
infestationinfestation
 LymphangiectasiaLymphangiectasia
 EosinophilicEosinophilic
enteritisenteritis
 Crohn’s diseaseCrohn’s disease
 TuberculosisTuberculosis
 IPSIDIPSID
 LymphomaLymphoma
Parasitic infestationsParasitic infestations
 Giardia lambliaGiardia lamblia
 MC duodenumMC duodenum
 Patchy villous atrophyPatchy villous atrophy
 Trophozoites alongTrophozoites along
surface epitheliumsurface epithelium
 Giemsa / trichrome –Giemsa / trichrome –
red organismred organism
 Stool examination,Stool examination,
ELISA, direct IF,ELISA, direct IF,
Strongyloides stercoralisStrongyloides stercoralis
 In duodenum,In duodenum,
jejunumjejunum
 In Mucosa – eggsIn Mucosa – eggs
rhabditiform larvaerhabditiform larvae
 Stool examination forStool examination for
larvaelarvae
LymphangiectasiaLymphangiectasia
 Dilatation of mucosalDilatation of mucosal
submucosal subserosalsubmucosal subserosal
lymphaticslymphatics
 Protein losingProtein losing
enteropathy,enteropathy,
hypoalbuminemia, edemahypoalbuminemia, edema
 Primary – congenitalPrimary – congenital
obstructive defectsobstructive defects
 Secondary –Secondary –
retroperitonealretroperitoneal
fibrosis,pancreatitis,fibrosis,pancreatitis,
malignanciesmalignancies
Eosinophilic enteritisEosinophilic enteritis
 MC in childrens & young adultsMC in childrens & young adults
 Patchy Mucosal involvement – malabsorption ,Patchy Mucosal involvement – malabsorption ,
diarrhoea; submucosa, muscularis propria –diarrhoea; submucosa, muscularis propria –
obstructionobstruction
1.1. Absence of associated other inflammatory cellsAbsence of associated other inflammatory cells
2.2. Focal mucosal architectural distortion – cryptFocal mucosal architectural distortion – crypt
abcesses,abcesses,
3.3. Infiltration of muscularis mucosaeInfiltration of muscularis mucosae
 Causes –Causes –
 ParasitesParasites
 IBDIBD
 NHLNHL
 a/w peripherala/w peripheral
eosinophiliaeosinophilia
 Never associated withNever associated with
chronicity orchronicity or
metaplastic changesmetaplastic changes
Crohn ’s diseaseCrohn ’s disease
 Mc involves terminal ileum,Mc involves terminal ileum,
 Immune response to luminal flora / their productsImmune response to luminal flora / their products
 Complecations :-Complecations :-
 Fibrosing strictures,Fibrosing strictures,
 Fistulas,Fistulas,
 Protein losing enteropathy,Protein losing enteropathy,
 Malabsorption,Malabsorption,
 Steatorrhoea,Steatorrhoea,
1.1. Small apthoid ulcers / serpiginous ulcers withSmall apthoid ulcers / serpiginous ulcers with
2.2. Skip areas,Skip areas,
3.3. Narrowing of lumen,Narrowing of lumen,
4.4. Transmural involvement,Transmural involvement,
5.5. Fissures &Fissures &
6.6. GranulomasGranulomas
TUBERCULOSISTUBERCULOSIS
 Primary or secondary,Primary or secondary,
 MC – ileocaecalMC – ileocaecal
junctions,junctions,
 Ulcerative /Ulcerative /
Hyperplastic,Hyperplastic,
 Narrowing withNarrowing with
obstruction,obstruction,
 MICRO :-MICRO :-
 ICT - Caseating granulomasICT - Caseating granulomas
 ICM – Large areas ofICM – Large areas of
caseation withoutcaseation without
granulomasgranulomas
LYMPHOMASLYMPHOMAS
 IPSID (IPSID (αα--chain dis.) :-chain dis.) :-
 Special type of MALToma,Special type of MALToma,
 MC – Ileum,MC – Ileum,
 Solitory, polypoid,Solitory, polypoid,
ulcerative or infiltrative,ulcerative or infiltrative,
 Thickened folds with smallThickened folds with small
nodules,nodules,
 MC – low grade,MC – low grade,
 Immune response to cont.Immune response to cont.
Ag stimulationAg stimulation
 MALT Lymphoma :-MALT Lymphoma :-
 MC – Ileum,MC – Ileum,
 Same as gastric MALToma,Same as gastric MALToma,
 Lympho-epithelial lesions less commonLympho-epithelial lesions less common
 Burkitt’s lymphomaBurkitt’s lymphoma :-:-
 Sporadic,Sporadic,
 Ileo-caecal inv.,Ileo-caecal inv.,
 Small, non-cleaved, monomorphic sized cells,Small, non-cleaved, monomorphic sized cells,
 Round nuclei, multiple nucleioli & abundantRound nuclei, multiple nucleioli & abundant
basophilic cytoplasm,basophilic cytoplasm,
 ‘‘Starry-sky app.’Starry-sky app.’
LYMPHOMASLYMPHOMAS
Biopsy: abnormal but notBiopsy: abnormal but not
diagnosticdiagnostic
 Celiac sprueCeliac sprue
 Tropical sprueTropical sprue
 Protein energy malnutrition (Kwashiorkor)Protein energy malnutrition (Kwashiorkor)
 Folate deficiencyFolate deficiency
 Vitamin B12 deficiencyVitamin B12 deficiency
 Bacterial over growth syndromeBacterial over growth syndrome
Celiac sprueCeliac sprue
 Immunogenic injury d/t Gluten (wheat, rye,Immunogenic injury d/t Gluten (wheat, rye,
barley),barley),
 Type II adenovirus,Type II adenovirus,
 Severe in Proximal intestinal mucosa,Severe in Proximal intestinal mucosa,
Marsh Scoring
Grade I: Inflammation in LP:
Lymphocytes & plasma cells
normal villi & crypts
Grade II: Hypertrophy of
Crypts, mild villous atrophy
Grade III: Villous atrophy
Partial / Subtotal / Total
Grade IV: Villous atrophy
Crypt hypoplasia
Am J Gastroenterol 2003
III
III
Celiac diseaseCeliac disease
Gluten sensitive enteropathyGluten sensitive enteropathy
DiagnosisDiagnosis
 Clinical Presentation:Clinical Presentation: ChildhoodChildhood
 EndoscopyEndoscopy: Flattened mucosal folds, scallops: Flattened mucosal folds, scallops
 Biopsy diagnosisBiopsy diagnosis: Villous atrophy (partial / total): Villous atrophy (partial / total)
Infiltration by Lympho. plasma cellsInfiltration by Lympho. plasma cells
 SerologySerology: Anti gliadin, Antiendomysial antibodies: Anti gliadin, Antiendomysial antibodies
(AEA), transglutaminase (TGA)(AEA), transglutaminase (TGA)
 Response to gluten free dietResponse to gluten free diet J Pediatr Gastroenterol Nutr.
2005 Jan;40(1):1-19.
Celiac sprue :Celiac sprue :
 Villous/ crypt ratio :Villous/ crypt ratio :
 Normal – 2.5 or >Normal – 2.5 or >
 Grade 1: 2 –2.5Grade 1: 2 –2.5
 Grade 2: 1- 2Grade 2: 1- 2
 Grade 3: 1- 0.5Grade 3: 1- 0.5
 Grade 4: < 0.5Grade 4: < 0.5
 Grade 3 & 4 –withGrade 3 & 4 –with
celiac diseaseceliac disease
Celiac disease
Celiac disease before
treatment
Celiac dis after treatment
Complication of CsComplication of Cs
 EATCLEATCL
 NS ulcerative duodenojejunoileitisNS ulcerative duodenojejunoileitis
 Ca of jejunum, rarely in duo, ileum & evenCa of jejunum, rarely in duo, ileum & even
oseophagusoseophagus
TROPICAL SPRUETROPICAL SPRUE
 Chronic diarrhoeal dis,Chronic diarrhoeal dis,
 SteatorrhoeaSteatorrhoea
 Bacterial inf. – E. coli, Haemophilus,Bacterial inf. – E. coli, Haemophilus,
 Mild-mod villous shortening,Mild-mod villous shortening,
 Increased no of chr inflam in LP & epithelium,Increased no of chr inflam in LP & epithelium,
 Crypt hyperplasia,Crypt hyperplasia,
POLYPSPOLYPS
 Hyperplastic polyps :-Hyperplastic polyps :-
 Sessile,small domeSessile,small dome
shaped,shaped,
 MC – Rectum,MC – Rectum,
 Serrated app of glands,Serrated app of glands,
 Goblet + Absorptive cellsGoblet + Absorptive cells
+nt,+nt,
 Bland nuclei – round toBland nuclei – round to
oval, basally placed,oval, basally placed,
 Thickened subepithelialThickened subepithelial
collagencollagen
AdenomasAdenomas
 Serrated adenoma :-Serrated adenoma :-
 Pedunculated orPedunculated or
sessile,sessile,
 MC – Rectum /MC – Rectum /
Sigmoid colon,Sigmoid colon,
 Dilated crypts,Dilated crypts,
complex branching,complex branching,
 Majority – AbsorptiveMajority – Absorptive
cells,cells,
 Nuclei – elongated,Nuclei – elongated,
vesicular, prominentvesicular, prominent
nucleoli, focalnucleoli, focal
pseudostratification,pseudostratification,
POLYPSPOLYPS
 Hamartomatous polyp :-Hamartomatous polyp :-
 Stomach, SI, Colon,Stomach, SI, Colon,
 Solitory, 1-3 cm,Solitory, 1-3 cm,
 Sessile / pedunculated,Sessile / pedunculated,
 Normal glandularNormal glandular
epithelium resting onepithelium resting on
branching smooth mslbranching smooth msl
(christmas tree app.),(christmas tree app.),
POLYPSPOLYPS
 Juvenile polypsJuvenile polyps :-:-
 Children, adolescents,Children, adolescents,
 MC – Rectum,MC – Rectum,
 Solitory,Solitory,
 Pedunculated, < 3 cm,Pedunculated, < 3 cm,
 Glistening white, smooth,Glistening white, smooth,
 With polyposis – 15-30With polyposis – 15-30
% dysplasia,% dysplasia,
 Cystic, tortuous, dilatedCystic, tortuous, dilated
glands l/b mucinglands l/b mucin
secreting epi.secreting epi.
 Inflammatory polyps :-Inflammatory polyps :-
 Amoebiasis, Adj toAmoebiasis, Adj to
ulcers, Anostomaticulcers, Anostomatic
sites, UC, CD – raisedsites, UC, CD – raised
mucosa,mucosa,
 Nodules of granulationNodules of granulation
tissue,tissue,
 Sec to mucosalSec to mucosal
prolapse in ileum,prolapse in ileum,
 Angiogenic polyp :-Angiogenic polyp :-
 d/t angiogenic growthd/t angiogenic growth
factors by carcinoidfactors by carcinoid
tumours,tumours,
 Exuberant mucosalExuberant mucosal
polyposis = “Cobblepolyposis = “Cobble
stoning”stoning”
 Expanded villi +Expanded villi +
intramucosal capillaryintramucosal capillary
& fibromuscular& fibromuscular
proliferation,proliferation,
POLYPSPOLYPS
 Inflammatory fibroidInflammatory fibroid
polyp :-polyp :-
 Small intestine,Small intestine,
stomach,stomach,
 1.5 – 13 cm, broad1.5 – 13 cm, broad
based, Polypoid,based, Polypoid,
 Arises in submucosa,Arises in submucosa,
extending to mucosa &extending to mucosa &
MP,MP,
 Mesenchymal lesion =Mesenchymal lesion =
inflam + vascular prolif.inflam + vascular prolif.
POLYPSPOLYPS
 Lymphoid polypLymphoid polyp :-:-
 Ileum with FAP coli &Ileum with FAP coli &
Gardener’s synd.Gardener’s synd.
 Multiple,Multiple,
 Lymphoid follicles inLymphoid follicles in
mucosa & submucosamucosa & submucosa,,
Adenomatous PolypsAdenomatous Polyps
 Tubular adenoma :-Tubular adenoma :-
Less common than LI,Less common than LI,
Periampullary region,Periampullary region,
Small pedunculated,Small pedunculated,
Single or multiple,Single or multiple,
 Villous adenomaVillous adenoma :-:-
 Rectum & recto-sigmoidRectum & recto-sigmoid
colon,colon,
 Sessile, up to 10 cm,Sessile, up to 10 cm,
 Velvety cauliflower-like,Velvety cauliflower-like,
 Tubulo-villousTubulo-villous :-:-
 Intermediate,Intermediate,
 Intermixed pattern,Intermixed pattern,
 Risk of malignancyRisk of malignancy αα
villous componentvillous component
Adenomatous PolypsAdenomatous Polyps
MalignanciesMalignancies
 AdenoCa. :-AdenoCa. :-
MC – Duodenum (periampullary region),MC – Duodenum (periampullary region),
a/w HNPCC, Crohn’s, Peutz-Jegher’s synd.,a/w HNPCC, Crohn’s, Peutz-Jegher’s synd.,
Polypoid, ‘Napkin ring’ in distal tumours,Polypoid, ‘Napkin ring’ in distal tumours,
 CARCINOID :-CARCINOID :-
 MC – Ileum,MC – Ileum,
 a/w Celiac dis,a/w Celiac dis,
Crohn’s dis,Crohn’s dis,
Inflammatory polyps,Inflammatory polyps,
 Multiple with intactMultiple with intact
mucosa,mucosa,
 Bright yellowBright yellow
colored,colored,
MalignanciesMalignancies
Endoscopist Pathologist
Basic mucosal
pattern of the disease
Basic disease process
Recent developments in
endoscopy
Clinicopathological Correlation
Good clinicopathological correlation = accurate diagnosis
Recent AdvancesRecent Advances
THANK YOUTHANK YOU
StomachStomach
 Chronic peptic ulcerChronic peptic ulcer
 Gastric polypsGastric polyps
 AdenocarcinomaAdenocarcinoma
 GISTGIST
 LymphomaLymphoma
 CarcinoidCarcinoid
 GastrinomasGastrinomas
 Zollinger ellison syndromeZollinger ellison syndrome

Interpretation of endoscopic gastrointestinal biopsy

  • 1.
    INTERPRETATION OF ENDOSCOPICINTERPRETATIONOF ENDOSCOPIC GASTROINTESTINAL BIOPSIESGASTROINTESTINAL BIOPSIES
  • 2.
    ENDOSCOPYENDOSCOPY  ““EndoEndo” :within & “” : within & “skopeinskopein” : to view” : to view  Introduced by Rudolf Schindler in 1880.Introduced by Rudolf Schindler in 1880.  Rigid flexirigid (1920) flexibleRigid flexirigid (1920) flexible optical axis (1980) fibreoptic biopsiesoptical axis (1980) fibreoptic biopsies
  • 3.
     Direct visualizationof GITDirect visualization of GIT  Taking photographsTaking photographs  Cytological specimensCytological specimens  Taking biopsiesTaking biopsies  Undertaking therapeutic procedures –Undertaking therapeutic procedures – sclerotherapy, band ligation, polypectomy,sclerotherapy, band ligation, polypectomy, stenting & dilatation of strictures, removalstenting & dilatation of strictures, removal of foreign bodies.of foreign bodies. ENDOSCOPYENDOSCOPY
  • 4.
     Rigid endoscopesRigidendoscopes  Flexible endoscopesFlexible endoscopes 1) Fiberoptic, 2) Electronic.1) Fiberoptic, 2) Electronic. ENDOSCOPESENDOSCOPES
  • 5.
     2 cupshaped jaws,2 cup shaped jaws,  round / elliptical, serrated / nonround / elliptical, serrated / non serrated,serrated,  Forcep with central spike - to fix theForcep with central spike - to fix the mucosamucosa  Other techniques for full thickness bxOther techniques for full thickness bx specimen – FNAB thr endoscope,specimen – FNAB thr endoscope, snare bx technique - electrocoagulationsnare bx technique - electrocoagulation ENDOSCOPIC BIOPSY FORCEPSENDOSCOPIC BIOPSY FORCEPS
  • 6.
     Careful handlingCarefulhandling  Proper orientation –Proper orientation – 1.1. Magnifying lens,Magnifying lens, 2.2. Orienting mucosal surface upward – byOrienting mucosal surface upward – by mounting bx on Filter paper /mounting bx on Filter paper / gelfoam/wire mesh / plastic mesh/ frostedgelfoam/wire mesh / plastic mesh/ frosted glass,glass,  Fixation –Fixation – 10% buffered formalin10% buffered formalin for 2-3 hrfor 2-3 hr  Alternative - Bouin’s fluid.Alternative - Bouin’s fluid. BX PROCESSINGBX PROCESSING
  • 7.
     Automatic tissueprocessor or by hand processing inAutomatic tissue processor or by hand processing in short cyclesshort cycles  Ascending grades of Alcohol - 30 mins eachAscending grades of Alcohol - 30 mins each  Xylol - 30 mins eachXylol - 30 mins each  Paraffin bath - 60 min eachParaffin bath - 60 min each  Orientation is imp while making the paraffin blockOrientation is imp while making the paraffin block  Step sections at 3-4 levelStep sections at 3-4 level  STAINS : H&E,STAINS : H&E,  SPECIAL STAINSSPECIAL STAINS :- PAS, Alcian blue, Z N, Congo:- PAS, Alcian blue, Z N, Congo red, Masson trichrome, etc.red, Masson trichrome, etc. BX PROCESSINGBX PROCESSING
  • 8.
     Requires goodcommunication bet endoscopist &Requires good communication bet endoscopist & pathologist,pathologist,  REAL CHALLENGE : as Bx is very SMALLREAL CHALLENGE : as Bx is very SMALL  Pathologist must knowPathologist must know : clinical history, physical: clinical history, physical findings, result of radiographic & lab studies, ind.findings, result of radiographic & lab studies, ind. for scopy, endoscopic findings & site of Bx, etcfor scopy, endoscopic findings & site of Bx, etc  SoSo complete scopy reportcomplete scopy report with Bx is necessory.with Bx is necessory. INTERPRETATION OF BIOPSIESINTERPRETATION OF BIOPSIES
  • 9.
    INDICATIONS OFINDICATIONS OF UPPERGI ENDOSCOPYUPPER GI ENDOSCOPY  Dysphagia / odynophagiaDysphagia / odynophagia  Persistent nausea / vomitting > 48 hrsPersistent nausea / vomitting > 48 hrs  Dyspepsia - > 45 yrs, wt. loss, anemia; < 45 yrs - +veDyspepsia - > 45 yrs, wt. loss, anemia; < 45 yrs - +ve diagnostic test for H. pylori, refractory to t/tdiagnostic test for H. pylori, refractory to t/t  Acute bleeding – varices, acute esophagitis & gastritisAcute bleeding – varices, acute esophagitis & gastritis  Gastroesophageal reflux – heartburn, acidGastroesophageal reflux – heartburn, acid regurgitationregurgitation  Portal hypertensionPortal hypertension  Duodenal biopsy – chronic diarrhoea, celiac disease,Duodenal biopsy – chronic diarrhoea, celiac disease, iron & folic acid deficiency,iron & folic acid deficiency,
  • 10.
    ESOPHAGUSESOPHAGUS  Biopsy –Biopsy– 1-5 mm1-5 mm in diameter; Epithelium,in diameter; Epithelium, lamina propria, slip of muscularis mucosae occ.lamina propria, slip of muscularis mucosae occ.  Gastroesophageal reflux disease (GERD)Gastroesophageal reflux disease (GERD)  Infectious – candida, HSV, CMV,Infectious – candida, HSV, CMV,  Others – corrosive, radiation induced, associatedOthers – corrosive, radiation induced, associated with transplantation, eosinophilic esophagitis,with transplantation, eosinophilic esophagitis, crohn’s disease.crohn’s disease.
  • 11.
  • 12.
    GERDGERD  Epithelial hyperplasiaEpithelialhyperplasia  Basal zone expansion,Basal zone expansion,  Elongated lamina propriaElongated lamina propria papillae,papillae,  Balloon cellsBalloon cells  Basal dilated &Basal dilated & congested capillariescongested capillaries  Intraepithelial eosinophils,Intraepithelial eosinophils, lymphocyteslymphocytes  Severe - Neutrophils,Severe - Neutrophils, ulcerationulceration
  • 14.
  • 15.
    CMV & HSVESOPHAGITISCMV & HSV ESOPHAGITIS
  • 16.
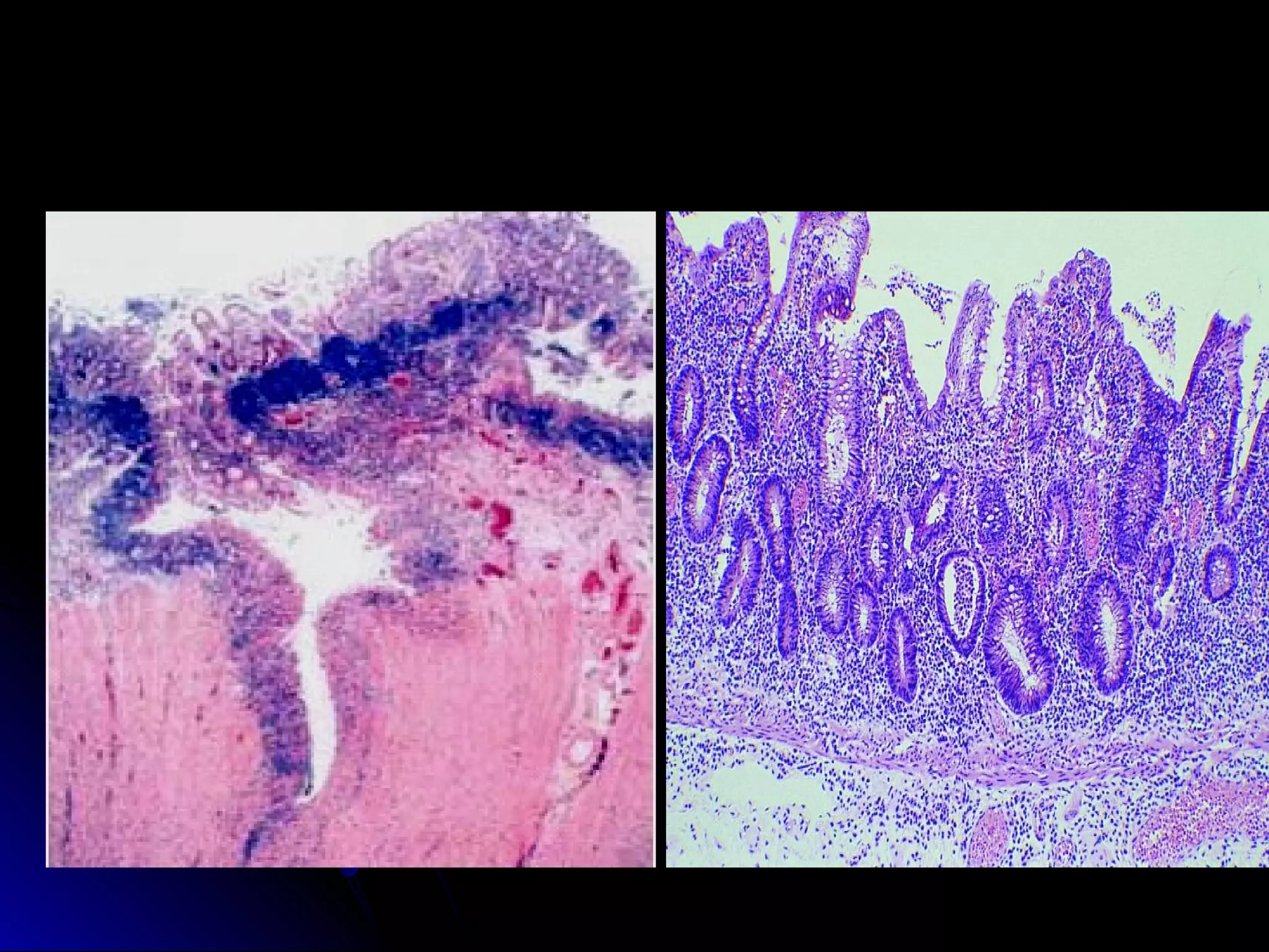
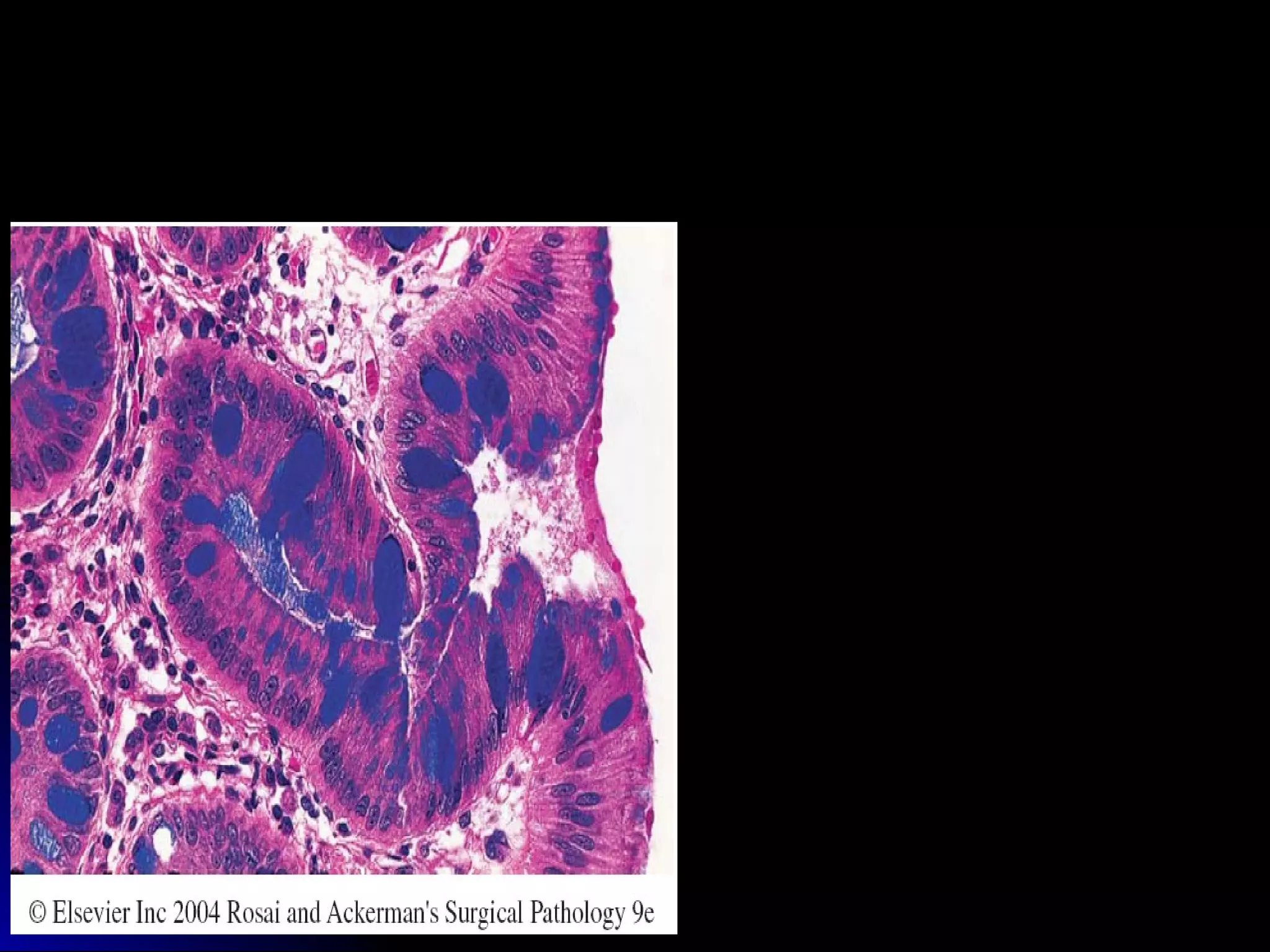
    Barrett esophagusBarrett esophagus Replacement of distal squamousReplacement of distal squamous mucosa by metaplasticmucosa by metaplastic columnar epithelium - prolongedcolumnar epithelium - prolonged injury. (GERD)injury. (GERD)  Criteria for diagnosis –Criteria for diagnosis – 1.endoscopic e/o columnar1.endoscopic e/o columnar lining, 2. histologic e/o intestinallining, 2. histologic e/o intestinal metaplasia.metaplasia.  Long segement >3cm, shortLong segement >3cm, short <3cm,<3cm,  Imp risk factor for adenoca.Imp risk factor for adenoca.
  • 17.
    1. Locate gastro-esophageal junction 3.Describeextent of metaplasia consistently 2. Recognize the squamocolumnar junction Three Essential Steps for Endoscopic Diagnosis and Description
  • 18.
    Berrett esophagusBerrett esophagus Incomplete intestinalIncomplete intestinal metaplasia-metaplasia- goblet +foveolar type cells.+foveolar type cells.  Complete –Complete – goblet ++ neuroendocrine +neuroendocrine + paneth cells.paneth cells.  a/w foci of fundic &a/w foci of fundic & cardiac typecardiac type epitheliumepithelium
  • 20.
    Pseudo goblet cellsPseudogoblet cells  Hyper distended gastric foveolar cellsHyper distended gastric foveolar cells  Mucin droplets – larger than typical foveolarMucin droplets – larger than typical foveolar cells & smaller than usual goblet cellscells & smaller than usual goblet cells  AB-PAS less intense stain than true gobletAB-PAS less intense stain than true goblet cellscells  Columnar bluesColumnar blues
  • 21.
    DYSPLASIA InDYSPLASIA InBerrett esophagusBerrett esophagus
  • 22.
  • 23.
    Polypoidal lesionsPolypoidal lesions Squmous papillomaSqumous papilloma  LeiomyomaLeiomyoma  Fibrovascular polypsFibrovascular polyps  Squamous cell carcinomaSquamous cell carcinoma  AdenocarcinomaAdenocarcinoma
  • 24.
    Squamous papillomaSquamous papilloma <0.5 cm, solitory<0.5 cm, solitory  Exophytic, endophyticExophytic, endophytic  Distal partDistal part  HPV 6,11,16,18HPV 6,11,16,18
  • 25.
  • 26.
    Squamous cell carcinomaSquamouscell carcinoma  MC, >50 yrs, M>FMC, >50 yrs, M>F  MC – mid portion,MC – mid portion,  Polypoidal , flat ,Polypoidal , flat , ulcerative.ulcerative.
  • 28.
    AdenocarcinomaAdenocarcinoma  MC –lower 1/3MC – lower 1/3rdrd ,, >50yrs, M > F,>50yrs, M > F,  Risk factors – BerrettRisk factors – Berrett esophagus, tobaccoesophagus, tobacco exposure, obesity,exposure, obesity, H.pylori infection,H.pylori infection,  Dysphagia, wt loss,Dysphagia, wt loss, chest pain, vomiting.chest pain, vomiting.  Bad prognosis - <20%Bad prognosis - <20% 5 yr survival.5 yr survival.
  • 30.
    StomachStomach  Ideal no.of biopsies – vary with disease;Ideal no. of biopsies – vary with disease; minimum 5 – 2- antral, 2- fundic, 1-minimum 5 – 2- antral, 2- fundic, 1- incisuraincisura
  • 31.
  • 32.
    Chronic gastritisChronic gastritis Causes:Causes :  H. pylori gastritisH. pylori gastritis  Multifocal atrophic gastritisMultifocal atrophic gastritis  Gastritis secondary to drug therapyGastritis secondary to drug therapy  Autoimmune gastritisAutoimmune gastritis  Acute erosive gastritisAcute erosive gastritis  Granulomatous gastritisGranulomatous gastritis  Gastritis in immunosuppressed patients.Gastritis in immunosuppressed patients.
  • 33.
    Helicobacter Pylori GastritisHelicobacterPylori Gastritis  MC cause of chronic gastritis,MC cause of chronic gastritis,  Mechanism - Binding – MHCMechanism - Binding – MHC class II moleculesclass II molecules  Cag ACag A proteinprotein increased IL-8increased IL-8 ,TNF,TNF superficial gastritissuperficial gastritis  Upto 80% patients –Upto 80% patients – autoantibodies againstautoantibodies against canalicular membranes ofcanalicular membranes of parietal cellsparietal cells  parietal cellparietal cell destruction,destruction,  Acute gastritis – rare, pitAcute gastritis – rare, pit abcesses, neutrophils inabcesses, neutrophils in surface epithelium.surface epithelium.
  • 34.
     Diffuse chronicgastritis –Diffuse chronic gastritis –  Pyloric antrum,- fullPyloric antrum,- full thickness infiltrationthickness infiltration  Corpus – superficial layersCorpus – superficial layers  Lymphoid follicles withLymphoid follicles with germinal centers –germinal centers – pathognomicpathognomic  Neutrphils in surface &Neutrphils in surface & foveolar epithelium – pitfoveolar epithelium – pit abcesses - active gastritisabcesses - active gastritis
  • 35.
    Multifocal atrophic gastritisMultifocalatrophic gastritis  End stage of H. pylori gastritisEnd stage of H. pylori gastritis  Pylorus & corpus in patchyPylorus & corpus in patchy mannermanner  Full thickness chronicFull thickness chronic inflammation with atrophy ofinflammation with atrophy of glandsglands  Intestinal metaplasia –Intestinal metaplasia – diagnostic featurediagnostic feature  Adjecent mucosa – activeAdjecent mucosa – active inflammation with pit abcessinflammation with pit abcess formation & H. pylori infection.formation & H. pylori infection.
  • 36.
  • 37.
    Drug therapyDrug therapy MC causeMC cause  Alcohol, aspirin, NSAIDS, proton pump inhibitorsAlcohol, aspirin, NSAIDS, proton pump inhibitors  Ulcers are deeper & larger – direct irritation of mucosaUlcers are deeper & larger – direct irritation of mucosa  PPI – exacerbation of H.pylori gastritisPPI – exacerbation of H.pylori gastritis - Hyperplasia of antral G & corpus ECL cells- Hyperplasia of antral G & corpus ECL cells - multiple fundic gland polyps.- multiple fundic gland polyps.
  • 38.
    Acute erosive gastritisAcuteerosive gastritis  Alcohol, aspirin, NSAIDS,Alcohol, aspirin, NSAIDS, stress- shock, sepsis, hypoxiastress- shock, sepsis, hypoxia  Acute hemorrhagic gastritis –Acute hemorrhagic gastritis – multiple hemorrhagic erosionsmultiple hemorrhagic erosions – superficial slough & necrotic– superficial slough & necrotic tissue with viable basaltissue with viable basal epithelium; edges – capillaryepithelium; edges – capillary congestion & extravasation ofcongestion & extravasation of blood,blood,
  • 39.
    Granulomatous gastritisGranulomatous gastritis MC antrum,MC antrum,  Early phases – limited tillEarly phases – limited till submucosa, late – thickening,submucosa, late – thickening, fibrosis & pyloric stenosisfibrosis & pyloric stenosis  Immunocompromised patientsImmunocompromised patients – Tuberculosis, fungal– Tuberculosis, fungal infections – candida,infections – candida, histoplasma, phycomyceteshistoplasma, phycomycetes  Noninfectious diseases –Noninfectious diseases – crohn disaese, foreign bodycrohn disaese, foreign body granulomas, sarcoidosis,granulomas, sarcoidosis, tumor associates granulomas,tumor associates granulomas,
  • 40.
    Autoimmune gastritisAutoimmune gastritis 80- 90 % cases a/w pernicious anemia80- 90 % cases a/w pernicious anemia  Early -Inflammatory infiltrate in lamina propria aroundEarly -Inflammatory infiltrate in lamina propria around glands, destruction, no inflammation in superficialglands, destruction, no inflammation in superficial mucosa ,intestinal or pyloric metaplasia, parietal cellmucosa ,intestinal or pyloric metaplasia, parietal cell pseudohypertrophy,pseudohypertrophy,  Late – mucosal thinning with intestinal metaplasia,Late – mucosal thinning with intestinal metaplasia, glandular atrophy, inflammation of lamina propriaglandular atrophy, inflammation of lamina propria  HypochlorhydriaHypochlorhydria  G cell stimulationG cell stimulation  hypergastrinemiahypergastrinemia  nodular ECL cell hyperplasia innodular ECL cell hyperplasia in corpuscorpus carcinoids.carcinoids.
  • 41.
    Lymphocytic gastritisLymphocytic gastritis Normal/ mucosal nodules withNormal/ mucosal nodules with erosion, prominent mucosalerosion, prominent mucosal foldsfolds  Increased (>25 lymphocytes/Increased (>25 lymphocytes/ 100 epithelial cells) in100 epithelial cells) in superfical, foveolar + laminasuperfical, foveolar + lamina propriapropria  Antral prominent a/w celiacAntral prominent a/w celiac disease ,corpus prominent a/wdisease ,corpus prominent a/w H. pylori infectionH. pylori infection
  • 42.
    Eosinophilic gastritisEosinophilic gastritis MAG , allergicMAG , allergic granulomatosis, crohn’sgranulomatosis, crohn’s disease, food allergy,disease, food allergy, connective tissue,connective tissue, Eustoma rotundatumEustoma rotundatum disorders – scleroderma,disorders – scleroderma, polymyositis,polymyositis,  Patchy intense infiltrationPatchy intense infiltration byby sheetssheets of eosinophlisof eosinophlis displacing mucosaldisplacing mucosal glands producing cryptglands producing crypt abcessesabcesses
  • 43.
    Gastritis inGastritis in immunocompromisedpatientsimmunocompromised patients  CMV infectionCMV infection  HSV inectionHSV inection  MAIMAI  CryptosporidiumCryptosporidium infectioninfection
  • 44.
    Reactive gastropathyReactive gastropathy Aspirin, NSAIDS, bile reflux, mucosal prolapse,Aspirin, NSAIDS, bile reflux, mucosal prolapse,  Mucosal edema with dilatation of mucosal capillaries,Mucosal edema with dilatation of mucosal capillaries,  Foveolar hyperplasia with loss of mucin & glandularFoveolar hyperplasia with loss of mucin & glandular regenerative changeregenerative change  Smooth muscle fibers extending into lamina propriaSmooth muscle fibers extending into lamina propria
  • 45.
    PEPTIC ULCERPEPTIC ULCER Acute peptic ulcer –Acute peptic ulcer –  Stress ulcers – sepsis,Stress ulcers – sepsis, surgery, traumasurgery, trauma  Curling’s ulcersCurling’s ulcers  Cushings ulcersCushings ulcers  Steroid ulcersSteroid ulcers
  • 46.
     Chronic pepticulcerChronic peptic ulcer  11stst portion ofportion of duodenum, anteriorduodenum, anterior wallwall  H.pylori, NSAIDS,H.pylori, NSAIDS, alcoholism, steroids,alcoholism, steroids, hypercalcemia- CRF,hypercalcemia- CRF, hyperparathyroidismhyperparathyroidism  Malignant pepticMalignant peptic ulcers -ulcers - adenocarcinomaadenocarcinoma
  • 48.
    Regenerative atypia ordysplasia?Regenerative atypia or dysplasia?
  • 50.
    Gastric polypsGastric polyps Hamartomatous –Hamartomatous –  Peutz - jeghersPeutz - jeghers syndromesyndrome  Juvenile polypJuvenile polyp  Cowden diseaseCowden disease  Hyperplastic &Hyperplastic & inflammatory polypsinflammatory polyps  Hyperplastic polypsHyperplastic polyps  Polypoid mucosalPolypoid mucosal prolapseprolapse  Fundic gland polypFundic gland polyp  Inflammatory fibroidInflammatory fibroid polyppolyp  Lymphoid hyperplasiaLymphoid hyperplasia
  • 51.
     Neoplastic polypsNeoplasticpolyps  AdenomaAdenoma  CarcinomaCarcinoma  CarcionidCarcionid  Lymphomatous polyposisLymphomatous polyposis  Mesenchymal tumorsMesenchymal tumors  Mucosal foldsMucosal folds  Giant folds (normal variant)Giant folds (normal variant)  Zollinger ellison syndromeZollinger ellison syndrome  Menetrier diseaseMenetrier disease  Malignant infiltrationMalignant infiltration  Biopsy – polyp ? Prominent mucosal foldBiopsy – polyp ? Prominent mucosal fold  Polyp – sessile / pedunculated? – stalk sampledPolyp – sessile / pedunculated? – stalk sampled  Evidence of polyps in other parts of GIT?Evidence of polyps in other parts of GIT?  Biopsy from surrounding mucosa.Biopsy from surrounding mucosa.
  • 52.
    Hamartomatous polypsHamartomatous polyps Peutzjeghars polypsPeutz jeghars polyps  Childhood, adolescentChildhood, adolescent  1-3 cm, coarsely1-3 cm, coarsely lobulated surface, short &lobulated surface, short & broad stalkbroad stalk Smooth musclesSmooth muscles Surface & foveolarSurface & foveolar epitheliumepithelium
  • 53.
    Juvenile polypsJuvenile polyps Rounded smoothRounded smooth surface, 1-2 cm, shortsurface, 1-2 cm, short narrow stalknarrow stalk Cystically dilated glandsCystically dilated glands
  • 54.
    Hyperplastic polypsHyperplastic polyps Similar to inflammatorySimilar to inflammatory colonic polypscolonic polyps  Exaggerated response toExaggerated response to mucosal damage chronicmucosal damage chronic gastritisgastritis  at junction of pyloric &at junction of pyloric & corpus mucosa, GE junctioncorpus mucosa, GE junction  Muliple, sessile, broad baseMuliple, sessile, broad base small, 0.5 – 2.5 cmsmall, 0.5 – 2.5 cm  >2 cm , a/w malignancy>2 cm , a/w malignancy
  • 55.
    Fundic gland polypFundicgland polyp  Multiple (>10), a/wMultiple (>10), a/w drugs for aciddrugs for acid suppression, FAPsuppression, FAP  Small, 1-15 mm,Small, 1-15 mm,  Multiple - dysplasiaMultiple - dysplasia cystically dilatedcystically dilated fundic glands lined byfundic glands lined by attenuated epitheliumattenuated epithelium
  • 56.
    Inflammatory fibroid polypInflammatoryfibroid polyp  MC in antrum, sessileMC in antrum, sessile  Mucosal traumaMucosal trauma  Overgrowth of looseOvergrowth of loose connective tissueconnective tissue stroma, ulceratesstroma, ulcerates mucosamucosa  Thin walled bloodThin walled blood vesselsvessels  Inflamm. cellsInflamm. cells
  • 57.
    Enlarged mucosal foldsEnlargedmucosal folds  Normal variantNormal variant  Zollinger ellisonZollinger ellison syndromesyndrome  Pancreatic & duodenalPancreatic & duodenal neoplasm – gastrinneoplasm – gastrin  Mucosal folds ofMucosal folds of corpus – hyperplasiacorpus – hyperplasia of parietal cells, ECLof parietal cells, ECL cellscells  Menetrier disease –Menetrier disease –  a/w low acida/w low acid production, proteinproduction, protein loss, corpus foveolarloss, corpus foveolar hyperplasiahyperplasia
  • 58.
    AdenomasAdenomas  Sessile, tubulovillous&Sessile, tubulovillous & villous typevillous type  Gastric & intestinalGastric & intestinal differentiationdifferentiation  Two layres – dysplasticTwo layres – dysplastic epithelium on top,epithelium on top, nondysplastic cysticallynondysplastic cystically dilated glands below.dilated glands below.  Malignancy – intestinalMalignancy – intestinal type, >2cmtype, >2cm
  • 59.
    Carcinoma of stomachCarcinomaof stomach  Nodular. Polypoid,Nodular. Polypoid, ulcerated, plaque like-ulcerated, plaque like- diffusediffuse  IntestinalIntestinal adenocarcinoma &adenocarcinoma & diffuse type, signetdiffuse type, signet ring cell ca.ring cell ca.
  • 60.
  • 61.
     Type I– pernicious anemiaType I – pernicious anemia  hypergastrinemiahypergastrinemia ECL cell proliferationECL cell proliferation  Multiple mucosal nodules , (> 5 mm, invading submucosa -Multiple mucosal nodules , (> 5 mm, invading submucosa - neoplastic)neoplastic)  F>M; Body of stomachF>M; Body of stomach  Type II – a/w zollinger ellison syndrome,Type II – a/w zollinger ellison syndrome,  BodyBody  Type III – M>FType III – M>F  Solitary nodules, not a/w pernicious anemia, atrophicSolitary nodules, not a/w pernicious anemia, atrophic gastritisgastritis  Anywhere in stomach (ECL, EC, G cells)Anywhere in stomach (ECL, EC, G cells) Endocrine tumorsEndocrine tumors
  • 62.
     Type IV– poorlyType IV – poorly differentiated, small celldifferentiated, small cell carcinomascarcinomas Endocrine tumorsEndocrine tumors
  • 63.
    LymphomasLymphomas Mucosa associated lymphoidMucosaassociated lymphoid tumortumor  Ulcers, enlarged mucosalUlcers, enlarged mucosal folds, flatfolds, flat  Features of low grade MALT –Features of low grade MALT – 1. small lympho, small cleaved1. small lympho, small cleaved cells 2. lymphoid follicles 3.cells 2. lymphoid follicles 3. neoplastic plasma cells 4.neoplastic plasma cells 4. lymphoepithelial lesions clusterlymphoepithelial lesions cluster of 3-4 lymphocytes destroyingof 3-4 lymphocytes destroying glands(lymphocytic gastritis –glands(lymphocytic gastritis – single cells in epi) 5. dutchersingle cells in epi) 5. dutcher bodies –pas +ve intranuclearbodies –pas +ve intranuclear inclusionsinclusions  High grade – no LEL, largeHigh grade – no LEL, large cells vesicular nuclei,cells vesicular nuclei, prominent nucleoliprominent nucleoli
  • 64.
     Non MALTtype – mantle cell lymphoma ,Non MALT type – mantle cell lymphoma , Burkitt lymphoma, follicular lymphomaBurkitt lymphoma, follicular lymphoma LymphomasLymphomas
  • 65.
    Mesenchymal tumorsMesenchymal tumors GIST –GIST –  Solitary, roundedSolitary, rounded ,lobulated,lobulated  MC in corpusMC in corpus  Two types –Two types –  Spindle cellSpindle cell  EpithelioidEpithelioid  Prognosis –Prognosis –  Size - >5cm, mitoticSize - >5cm, mitotic figures ->5/ 50 hpf –figures ->5/ 50 hpf – bad.bad.
  • 66.
    Small Bowel BiopsiesSmallBowel Biopsies Common IndicationsCommon Indications  Biopsy specimens are mounted with mucosalBiopsy specimens are mounted with mucosal side up on filter paper or gelfoamside up on filter paper or gelfoam  4- 6 biopsy specimens – mandatory4- 6 biopsy specimens – mandatory  Samples fixed in 4% formaldehyde solutionSamples fixed in 4% formaldehyde solution  Chronic Diarrhea – malabsorption,Chronic Diarrhea – malabsorption,  Chronic Abdominal painChronic Abdominal pain  Occult GI BleedingOccult GI Bleeding  PolypsPolyps
  • 67.
    Biopsy : Thediagnostic test (Diffuse lesions)  Whipple’s diseaseWhipple’s disease  AbetalipoproteinemiaAbetalipoproteinemia  AgammaglobinemiaAgammaglobinemia  Collagenous colitisCollagenous colitis
  • 68.
    Whipple’s diseaseWhipple’s disease Diarrhea, malabsorptionDiarrhea, malabsorption  Torpheryma whippeliTorpheryma whippeli  Lamina propria,Lamina propria, muscularis mucosae,muscularis mucosae, submucosa – foamysubmucosa – foamy macrophages – PASmacrophages – PAS positive diastasepositive diastase resistant bacilliresistant bacilli  DD- 1.histoplasmasisDD- 1.histoplasmasis 2. MAIC2. MAIC
  • 69.
    AbetalipoproteinemiaAbetalipoproteinemia  Lack ofapoprotein BLack of apoprotein B  Accumulation ofAccumulation of triglycerides intriglycerides in enterocytesenterocytes  tips of villi showtips of villi show intracytoplasmic lipidintracytoplasmic lipid dropletsdroplets  DD – megaloblasticDD – megaloblastic anemia, CS, TSanemia, CS, TS
  • 70.
  • 71.
    Biopsy: may havediagnostic valueBiopsy: may have diagnostic value (Patchy lesions)(Patchy lesions)  ParasiticParasitic infestationinfestation  LymphangiectasiaLymphangiectasia  EosinophilicEosinophilic enteritisenteritis  Crohn’s diseaseCrohn’s disease  TuberculosisTuberculosis  IPSIDIPSID  LymphomaLymphoma
  • 72.
    Parasitic infestationsParasitic infestations Giardia lambliaGiardia lamblia  MC duodenumMC duodenum  Patchy villous atrophyPatchy villous atrophy  Trophozoites alongTrophozoites along surface epitheliumsurface epithelium  Giemsa / trichrome –Giemsa / trichrome – red organismred organism  Stool examination,Stool examination, ELISA, direct IF,ELISA, direct IF,
  • 73.
    Strongyloides stercoralisStrongyloides stercoralis In duodenum,In duodenum, jejunumjejunum  In Mucosa – eggsIn Mucosa – eggs rhabditiform larvaerhabditiform larvae  Stool examination forStool examination for larvaelarvae
  • 74.
    LymphangiectasiaLymphangiectasia  Dilatation ofmucosalDilatation of mucosal submucosal subserosalsubmucosal subserosal lymphaticslymphatics  Protein losingProtein losing enteropathy,enteropathy, hypoalbuminemia, edemahypoalbuminemia, edema  Primary – congenitalPrimary – congenital obstructive defectsobstructive defects  Secondary –Secondary – retroperitonealretroperitoneal fibrosis,pancreatitis,fibrosis,pancreatitis, malignanciesmalignancies
  • 75.
    Eosinophilic enteritisEosinophilic enteritis MC in childrens & young adultsMC in childrens & young adults  Patchy Mucosal involvement – malabsorption ,Patchy Mucosal involvement – malabsorption , diarrhoea; submucosa, muscularis propria –diarrhoea; submucosa, muscularis propria – obstructionobstruction 1.1. Absence of associated other inflammatory cellsAbsence of associated other inflammatory cells 2.2. Focal mucosal architectural distortion – cryptFocal mucosal architectural distortion – crypt abcesses,abcesses, 3.3. Infiltration of muscularis mucosaeInfiltration of muscularis mucosae
  • 76.
     Causes –Causes–  ParasitesParasites  IBDIBD  NHLNHL  a/w peripherala/w peripheral eosinophiliaeosinophilia  Never associated withNever associated with chronicity orchronicity or metaplastic changesmetaplastic changes
  • 77.
    Crohn ’s diseaseCrohn’s disease  Mc involves terminal ileum,Mc involves terminal ileum,  Immune response to luminal flora / their productsImmune response to luminal flora / their products  Complecations :-Complecations :-  Fibrosing strictures,Fibrosing strictures,  Fistulas,Fistulas,  Protein losing enteropathy,Protein losing enteropathy,  Malabsorption,Malabsorption,  Steatorrhoea,Steatorrhoea,
  • 78.
    1.1. Small apthoidulcers / serpiginous ulcers withSmall apthoid ulcers / serpiginous ulcers with 2.2. Skip areas,Skip areas, 3.3. Narrowing of lumen,Narrowing of lumen, 4.4. Transmural involvement,Transmural involvement, 5.5. Fissures &Fissures & 6.6. GranulomasGranulomas
  • 80.
    TUBERCULOSISTUBERCULOSIS  Primary orsecondary,Primary or secondary,  MC – ileocaecalMC – ileocaecal junctions,junctions,  Ulcerative /Ulcerative / Hyperplastic,Hyperplastic,  Narrowing withNarrowing with obstruction,obstruction,  MICRO :-MICRO :-  ICT - Caseating granulomasICT - Caseating granulomas  ICM – Large areas ofICM – Large areas of caseation withoutcaseation without granulomasgranulomas
  • 81.
    LYMPHOMASLYMPHOMAS  IPSID (IPSID(αα--chain dis.) :-chain dis.) :-  Special type of MALToma,Special type of MALToma,  MC – Ileum,MC – Ileum,  Solitory, polypoid,Solitory, polypoid, ulcerative or infiltrative,ulcerative or infiltrative,  Thickened folds with smallThickened folds with small nodules,nodules,  MC – low grade,MC – low grade,  Immune response to cont.Immune response to cont. Ag stimulationAg stimulation
  • 82.
     MALT Lymphoma:-MALT Lymphoma :-  MC – Ileum,MC – Ileum,  Same as gastric MALToma,Same as gastric MALToma,  Lympho-epithelial lesions less commonLympho-epithelial lesions less common  Burkitt’s lymphomaBurkitt’s lymphoma :-:-  Sporadic,Sporadic,  Ileo-caecal inv.,Ileo-caecal inv.,  Small, non-cleaved, monomorphic sized cells,Small, non-cleaved, monomorphic sized cells,  Round nuclei, multiple nucleioli & abundantRound nuclei, multiple nucleioli & abundant basophilic cytoplasm,basophilic cytoplasm,  ‘‘Starry-sky app.’Starry-sky app.’ LYMPHOMASLYMPHOMAS
  • 83.
    Biopsy: abnormal butnotBiopsy: abnormal but not diagnosticdiagnostic  Celiac sprueCeliac sprue  Tropical sprueTropical sprue  Protein energy malnutrition (Kwashiorkor)Protein energy malnutrition (Kwashiorkor)  Folate deficiencyFolate deficiency  Vitamin B12 deficiencyVitamin B12 deficiency  Bacterial over growth syndromeBacterial over growth syndrome
  • 84.
    Celiac sprueCeliac sprue Immunogenic injury d/t Gluten (wheat, rye,Immunogenic injury d/t Gluten (wheat, rye, barley),barley),  Type II adenovirus,Type II adenovirus,  Severe in Proximal intestinal mucosa,Severe in Proximal intestinal mucosa,
  • 85.
    Marsh Scoring Grade I:Inflammation in LP: Lymphocytes & plasma cells normal villi & crypts Grade II: Hypertrophy of Crypts, mild villous atrophy Grade III: Villous atrophy Partial / Subtotal / Total Grade IV: Villous atrophy Crypt hypoplasia Am J Gastroenterol 2003 III III
  • 86.
    Celiac diseaseCeliac disease Glutensensitive enteropathyGluten sensitive enteropathy DiagnosisDiagnosis  Clinical Presentation:Clinical Presentation: ChildhoodChildhood  EndoscopyEndoscopy: Flattened mucosal folds, scallops: Flattened mucosal folds, scallops  Biopsy diagnosisBiopsy diagnosis: Villous atrophy (partial / total): Villous atrophy (partial / total) Infiltration by Lympho. plasma cellsInfiltration by Lympho. plasma cells  SerologySerology: Anti gliadin, Antiendomysial antibodies: Anti gliadin, Antiendomysial antibodies (AEA), transglutaminase (TGA)(AEA), transglutaminase (TGA)  Response to gluten free dietResponse to gluten free diet J Pediatr Gastroenterol Nutr. 2005 Jan;40(1):1-19.
  • 87.
    Celiac sprue :Celiacsprue :  Villous/ crypt ratio :Villous/ crypt ratio :  Normal – 2.5 or >Normal – 2.5 or >  Grade 1: 2 –2.5Grade 1: 2 –2.5  Grade 2: 1- 2Grade 2: 1- 2  Grade 3: 1- 0.5Grade 3: 1- 0.5  Grade 4: < 0.5Grade 4: < 0.5  Grade 3 & 4 –withGrade 3 & 4 –with celiac diseaseceliac disease
  • 88.
    Celiac disease Celiac diseasebefore treatment Celiac dis after treatment
  • 89.
    Complication of CsComplicationof Cs  EATCLEATCL  NS ulcerative duodenojejunoileitisNS ulcerative duodenojejunoileitis  Ca of jejunum, rarely in duo, ileum & evenCa of jejunum, rarely in duo, ileum & even oseophagusoseophagus
  • 90.
    TROPICAL SPRUETROPICAL SPRUE Chronic diarrhoeal dis,Chronic diarrhoeal dis,  SteatorrhoeaSteatorrhoea  Bacterial inf. – E. coli, Haemophilus,Bacterial inf. – E. coli, Haemophilus,  Mild-mod villous shortening,Mild-mod villous shortening,  Increased no of chr inflam in LP & epithelium,Increased no of chr inflam in LP & epithelium,  Crypt hyperplasia,Crypt hyperplasia,
  • 91.
    POLYPSPOLYPS  Hyperplastic polyps:-Hyperplastic polyps :-  Sessile,small domeSessile,small dome shaped,shaped,  MC – Rectum,MC – Rectum,  Serrated app of glands,Serrated app of glands,  Goblet + Absorptive cellsGoblet + Absorptive cells +nt,+nt,  Bland nuclei – round toBland nuclei – round to oval, basally placed,oval, basally placed,  Thickened subepithelialThickened subepithelial collagencollagen
  • 92.
    AdenomasAdenomas  Serrated adenoma:-Serrated adenoma :-  Pedunculated orPedunculated or sessile,sessile,  MC – Rectum /MC – Rectum / Sigmoid colon,Sigmoid colon,  Dilated crypts,Dilated crypts, complex branching,complex branching,  Majority – AbsorptiveMajority – Absorptive cells,cells,  Nuclei – elongated,Nuclei – elongated, vesicular, prominentvesicular, prominent nucleoli, focalnucleoli, focal pseudostratification,pseudostratification,
  • 93.
    POLYPSPOLYPS  Hamartomatous polyp:-Hamartomatous polyp :-  Stomach, SI, Colon,Stomach, SI, Colon,  Solitory, 1-3 cm,Solitory, 1-3 cm,  Sessile / pedunculated,Sessile / pedunculated,  Normal glandularNormal glandular epithelium resting onepithelium resting on branching smooth mslbranching smooth msl (christmas tree app.),(christmas tree app.),
  • 94.
    POLYPSPOLYPS  Juvenile polypsJuvenilepolyps :-:-  Children, adolescents,Children, adolescents,  MC – Rectum,MC – Rectum,  Solitory,Solitory,  Pedunculated, < 3 cm,Pedunculated, < 3 cm,  Glistening white, smooth,Glistening white, smooth,  With polyposis – 15-30With polyposis – 15-30 % dysplasia,% dysplasia,  Cystic, tortuous, dilatedCystic, tortuous, dilated glands l/b mucinglands l/b mucin secreting epi.secreting epi.
  • 95.
     Inflammatory polyps:-Inflammatory polyps :-  Amoebiasis, Adj toAmoebiasis, Adj to ulcers, Anostomaticulcers, Anostomatic sites, UC, CD – raisedsites, UC, CD – raised mucosa,mucosa,  Nodules of granulationNodules of granulation tissue,tissue,  Sec to mucosalSec to mucosal prolapse in ileum,prolapse in ileum,
  • 96.
     Angiogenic polyp:-Angiogenic polyp :-  d/t angiogenic growthd/t angiogenic growth factors by carcinoidfactors by carcinoid tumours,tumours,  Exuberant mucosalExuberant mucosal polyposis = “Cobblepolyposis = “Cobble stoning”stoning”  Expanded villi +Expanded villi + intramucosal capillaryintramucosal capillary & fibromuscular& fibromuscular proliferation,proliferation,
  • 97.
    POLYPSPOLYPS  Inflammatory fibroidInflammatoryfibroid polyp :-polyp :-  Small intestine,Small intestine, stomach,stomach,  1.5 – 13 cm, broad1.5 – 13 cm, broad based, Polypoid,based, Polypoid,  Arises in submucosa,Arises in submucosa, extending to mucosa &extending to mucosa & MP,MP,  Mesenchymal lesion =Mesenchymal lesion = inflam + vascular prolif.inflam + vascular prolif.
  • 98.
    POLYPSPOLYPS  Lymphoid polypLymphoidpolyp :-:-  Ileum with FAP coli &Ileum with FAP coli & Gardener’s synd.Gardener’s synd.  Multiple,Multiple,  Lymphoid follicles inLymphoid follicles in mucosa & submucosamucosa & submucosa,,
  • 99.
    Adenomatous PolypsAdenomatous Polyps Tubular adenoma :-Tubular adenoma :- Less common than LI,Less common than LI, Periampullary region,Periampullary region, Small pedunculated,Small pedunculated, Single or multiple,Single or multiple,
  • 100.
     Villous adenomaVillousadenoma :-:-  Rectum & recto-sigmoidRectum & recto-sigmoid colon,colon,  Sessile, up to 10 cm,Sessile, up to 10 cm,  Velvety cauliflower-like,Velvety cauliflower-like,  Tubulo-villousTubulo-villous :-:-  Intermediate,Intermediate,  Intermixed pattern,Intermixed pattern,  Risk of malignancyRisk of malignancy αα villous componentvillous component Adenomatous PolypsAdenomatous Polyps
  • 101.
    MalignanciesMalignancies  AdenoCa. :-AdenoCa.:- MC – Duodenum (periampullary region),MC – Duodenum (periampullary region), a/w HNPCC, Crohn’s, Peutz-Jegher’s synd.,a/w HNPCC, Crohn’s, Peutz-Jegher’s synd., Polypoid, ‘Napkin ring’ in distal tumours,Polypoid, ‘Napkin ring’ in distal tumours,
  • 102.
     CARCINOID :-CARCINOID:-  MC – Ileum,MC – Ileum,  a/w Celiac dis,a/w Celiac dis, Crohn’s dis,Crohn’s dis, Inflammatory polyps,Inflammatory polyps,  Multiple with intactMultiple with intact mucosa,mucosa,  Bright yellowBright yellow colored,colored, MalignanciesMalignancies
  • 103.
    Endoscopist Pathologist Basic mucosal patternof the disease Basic disease process Recent developments in endoscopy Clinicopathological Correlation Good clinicopathological correlation = accurate diagnosis
  • 104.
  • 105.
  • 106.
    StomachStomach  Chronic pepticulcerChronic peptic ulcer  Gastric polypsGastric polyps  AdenocarcinomaAdenocarcinoma  GISTGIST  LymphomaLymphoma  CarcinoidCarcinoid  GastrinomasGastrinomas  Zollinger ellison syndromeZollinger ellison syndrome

Editor's Notes

  • #6 Best to use a forcep with central spike to fix the mucosa
  • #13 Basal zone expansion (&amp;gt;15%) Elongated lamina propria papillae(&amp;gt;2/3rd) epith. Thickness Eo &amp;gt;6 in Bx Lympho &amp;lt;10 – N, here &amp;gt;20
  • #15 MID or distal esophagus White plaques on edematous erythematous, friable ulcerated mucosa Plaques - Fungal pseudohyphae, spores in tissue ulcer slough demonstration - definitive diag. Pas methanamine silver stain Grocott’s stain
  • #16 Diagrams from sternberg - IC patients SMALL VESICLES -shallow ulcers Cowdry type A - dense eosinophilic intranuclear inclu.seperated from thick nuclear memb. By clear halo. HSV -IC , enlarged mesenchymal cells intranuclear inclusions, coarse cytoplasmic granules +ce of macrophages in perivascular distribution - diag clue
  • #17 True absorptive enterocytes not observed, mucin secreting goblet cells + columnar cells with absorptive &amp; secretory US features.
  • #19 LP – chr.inflaman, muscularsis – thickened DD esophageal glandular epith – 1. sampled gastric mucosa 2. cardiac like mucosa in distal 1-2 cm 3.superficial gastric glands in upper eso 4.heterotopic gastric fundic mucosa
  • #27 Risk factors – 1. Dietary – def. of vit., trace elements, fungal contamination of foodstuffs, high contents of nitrites, nitrosomines,2. lifestyle – hot beverages, alcohol, tobacco,3.achalasia, chronic esophagitis,4.epidermolysis bullosa, celiac disease. Dysphagia, wt.loss, aspiration thr. Cancerous TEF. Rapid mets – mucosa &amp; submucosa rich in lymphatics, absence of serosa.
  • #69 Histoplasma – silver stains – budding yeast forms MAIC – PAS –faintly positive bacillary form, AFB +ve bacilli Org. predeliction for lamina propria, messentric lymph nodes, cardiac valve, CNS
  • #82 IPSID – LP infiltrate with mature cell withh alpha heavy chain (Alpha chain dis.)