APPROACH TO LYMPHOMA
(PART 1)
Dr Garima Agarwal
Assistant Professor
SMSR,Sharda University
Precursor lymphoid neoplasms
HODGKINS VERSUS NON HODGKINS
LYMPHOMA
HODGKINS LYMPHOMA NON HODGKINS LYMPHOMA
Localized , involve single group of lymph
nodes (cervical,axillary etc)
Multiple peripheral lymph nodes are
involved
Orderly spread by contiguity Non contiguous spread
Extranodal involvement uncommon Common
Mesenteric lymph nodes and waldeyer
ring rarely involved
Involved
Bimodal distribution young adulthood
and >55 years
Can occur in child and adults
APPROACH TO DIAGNOSIS- AGE
LYMPHOMA IN
CHILDREN
LYMPHOMA IN
ADULTS(20-40yrs)
LYMPHOMA IN OLD AGE
BURKITTS DIFFUSE LARGE B CELL
LYMPHOMA
DIFFUSE LARGE B CELL
LYMPHOMA
HODGKINS HODGKINS LYMPHOMA LYMPHOMA WITH
SMALL CELL SIZE
ANAPLASTIC LARGE CELL
LYMPHOMA
BURKITTS PERIPHERAL T CELL
LYMPHOMA
CLINICAL PRESENTATION
• CLASSICAL HODGKINS
• LYMPHOCYTIC PREDOMINANT
• SMALL CELL LYMPHOMAS
LYMPHOMA WITH
INDOLENT BEHAVIOUR,
HISTORY OF LONG
DURATION
• DIFFUSE LARGE B CELL
LYMPHOMA
• BURKITTS LYMPHOMA
• ALCL
• PTCL
LYMPHOMAS WITH
AGGRESSIVE
BEHAVIOUR
PATTERNS
NODULAR
PATTERN
NODULAR AND
DIFFUSE
DIFFUSE PATTERN
SMALL CELL
LYMPHOCYTIC
LYMPHOMA
FOLLICULAR
LYMPHOMAS
SAME PLUS
DLBCL, ALCL, BL,
PTCL, HL
MANTLE CELL
LYMPHOMAS
SAME
NODULAR MZL
NLPHL
SIZE OF LYMPHOMA CELL
SMALL CELL MEDIUM CELL LARGE CELL
SLL LYMPHOBLASTIC
LYMPHOMA
DLBCL PATTERN DIFFUSE
FL BURKITTS LYMPHOMA
PATTERN DIFFUSE
MCL
NODAL MARGINAL CELL
LYMPHOMA-
NODULAR/DIFFUSE
BACKGROUND POPULATION
MONOMORPHIC POLYMORPHIC
SLL DLBCL(THLBCL)
FL ALCL
MCL HL
NMZL PTCL
BL
DLBCL
ALCL
Work up for lymphoma
Complete history and physical examination- about B
symptoms, HIV risk,infections, Autoimmune disease, drug
therapy
Screening Lymph node aspiration and biopsy
PBS and BM examination
Histological examination of involved site
Further subtyping By immunophenotyping
Prognosis Flowcytometry, immunohistochemistry
Cytogenetic analysis
• 55 year male presented with peripheral and
central lymphadenopathy and splenomegaly.
• Patient is asymptomatic.
LYMPH NODE BIOPSY IS SENT
Follicular lymphoma(germinal center
lymphoma)
• Follicular lymphoma is a neoplasm composed of follicle centre
B-cells (typically both centrocytes & centroblasts/large
transformed cells), which usually has at least a partially
follicular pattern.
27
•6th decade; M:F-1:1.7
• Progressive Lymphadenopathy and splenomegaly
•Only 15 to 25 % of cases present in stage I or II
•Asymptomatic despite widespread disease
•Bone marrow involved in 40 to 70 % of cases
•Staging is done by lugano classification(A and B not
required) instead of ann arbor staging
MICROSCOPY- BULGING APPEARANCE
Microscopy
29
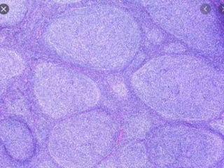
Normal reactive lymph node Follicular Lymphoma
•Effacement of nodal
architecture with closely
packed back to back
neoplastic follicles which
are poorly defined with
attenuated/absent
mantle zone and
interfollicular zone
•No polarization that is
randomly
distribution(centrocyte
and centroblast occupy
different zone) , tingible
body macrophages
which are features of
reactive germinal centre.-
they are absent
Microscopy of FL
30
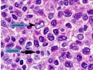
Warnke et al
•Composed of two type of germinal centre B cell of which centrocyte are predominant
in most cases and are small to medium sized cells with angulated,elongated,cleaved
nuclei,inconspicuous nucleoli and scant pale cytoplasm.
•Larger centroblast(3 times of lymphocytes) are round to oval cells ,indented,
multilobated nuclei, vesicular chromatin, prominent nucleoli and narrow rim of
cytoplasm
Follicular Lymphoma Grading; Mann & Berard
32
Grade III:A&B
Grade I Grade II
Centrocytes Mixed Centroblasts
>15 centroblasts/HPF
6-15 centroblasts/HPF
0-5 centroblasts/HPF
“Small cleaved follicle cells” “large blastic follicle cells”
Follicular lymphoma
•In BM FL characteristically localise to paratrabecular and
less commonly to interstitial region.
•In blood same cells can be seen
•BM involvement: 40-70%
BONE MARROW PATTERNS OF
INVOLVEMENT
Four variants of FL are recognized:
• (1) in situ follicular neoplasia
• (2) duodenal-type FL;
• (3) testicular FL; and
• (4) the diffuse variant of FL
Follicular lymphoma
• Flow cytometric immunophenotyping CD10+ ,
CD19+, CD20+, CD22+, CD79a+, SmIg+ CD5 − ,
CD23 −
• Immunohistochemistry CD20+, CD79a+,
PAX5+, BCL2+ (its overexpression is the hallmark ranging
from∼ 80-90% in grade 1 to<50% in grade3) BCL6+ ,
CD10+ CD5 − , CD23 − , cyclin D1 − , MUM1/IRF4
−
• Other germinal center markers positive are
LMO2, GCET1, HGAL
Follicular Lymphomas Express Bcl-2
38
Follicular Lymphoma Normal Reactive Follicle
Genetics
Cytogenetic
• t(14;18) : 90%- IgH and
Bcl2
• Gains of 1,6p,7,8,12q,X
and 18q.
• Loss of 1p,6q,10q and 17p
• On 1p affected region is
TNFRSF14 region is
affected
Additional driver mutation are
CREBBP, KMT2D, EZH2.
More recently activating
mutations in RRAGC
Transformation to DLBCL can
occur via inactivation of
Tp53 and CDKN2A pathway
and activation of myc
40
Mantle cell lymphoma
• 3-10% of NHL
• Elderly male predominance.
• Lymph node is most commonly involved site
• Extranodal involvement: MC GIT
• Multiple intestinal polyps that is multiple lymphomatous
polyposis is a distinctive feature
• Most patients present with stage 3 or 4 disease with
lymphadenopathy, hepatosplenomegaly and BM
involvment.
• MCL is a B cell neoplasm composed of monomorphic small
to medium sized lymphoid cells resembling centrocyte
with irregular nuclear contours and CCND1(>95%cases)
translocation.
Classical mantle cell lymphoma –
monotonous lymphoid proliferation
with a vaguely nodular, diffuse ,
mantle zone or rarely follicular
zone pattern.
Cells are small to medium sized
with slighltly irregular nuclear
contours.
Hyalinized small vessels are
commonly seen.
Proliferation centers are absent
Mantle cell lymphoma
• Flow cytometric immunophenotyping CD5+, CD19+,
CD20+, CD22+, CD79a+, CD79b+, SmIg+ (usually IgM,
sometimes with IgD) FMC7+ (used to distinguish cll wth
other NHLs) CD10 − /+, CD23 −
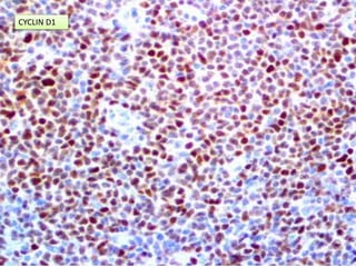
• Immunohistochemistry CD5+, CD20+, CD79a+, cyclin
D1+, BCL2+, PAX5+ CD43+/ − , CD10 − /+ CD23 − , BCL6 − ,
MUM1/IRF4 −
• Cytogenetic and molecular genetic analysis The majority
of cases have t(11;14)(q13;q32);cyclin D1 ; IgH gene
• SOX11 in cases with negative cyclin D1 and blastoid variant
CYCLIN D1
CELL OF ORIGIN- PRE GERMINAL
CENTER SOMETIMES POST
GERMINAL CENTER
IN SITU MANTLE CELL NEOPLASIA
CLL/SLL
• 5 to 10% of NHL
• Most common leukemia in western world in adults
• 65 yr, more in male
• Peripheral blood ,BM, spleen, liver involved
• Extranodal involvement occurs very small that is skin, git, or
CNS
• Most cases are diagnosed on the basis of routine blood
analysis in asymptomatic subjects
• Few cases are associated with AIHA
MICROSCOPY:
ENLARGED LYMPH NODES
• So the characterstic histological feature of lymph node
Presence of proliferation centres
(lighter) comprising of small
lymphocytes , paraimmunoblasts and
prolymphocytes
SPLEEN- INVOLVEMENT OF
WHITE PULP
PERIPHERAL SMEAR
Classical
• Small lymphoid
cells in majority
and other cells
like
prolymphocyte,
cells with
iregular nuclear
contour and
larger cells with
more dispersed
chromatin but
usually
constitute <15%
PLL
• >55%
prolymphocytes
Atypical CLL
• When>15% of
lymphocyte are
with irregular
nuclear contours
and larger cells .
Prolymphocytes <
55%
• BM involvement may be interstitial, nodular, or diffuse
• Minimal 30% involvement is necessary to establish the
diagnosis of CLL.
CLL/SLL
• Flow cytometric immunophenotyping- CD5+, CD19+, CD20,
CD22 , CD79b+, CD23+ and CD200(strong), weak SmIg (IgM+,
IgD+/ − ) .Negative are CD10 and FMC7
• In atypical CLL CD10 AND FMC7 positive, CD5 and CD23
negative
• Immunohistochemistry - CD5+, CD20+/ − , CD23+/ −,
cytoplasmic immunoglobulin may be detectable.
CD43+, CD79b+, PAX5+ CD10 − ,
CD11c − , cyclin D1 − , BCL6 −
An important marker to identify tissue infiltration by CLL on
tissue section is LEF1 (CD200)
• Cytogenetic and molecular genetic analysis - no
specific abnormality and many cases have normal
karyotypes
• The most common cytogenetic abnormalities are
del(13)(q12 -1 4),
• trisomy 12,
• del(6)(q21),
• del(11) (q22 - 23)
• and del(17)(p13)
Poor Prognostic factors of CLL
-Advanced Rai or Binet stage
-Male gender
-Atypical morphology or CLL/PLL
-Lymphocyte doubling time < 12 months
-Cytogenetic abnormalities , esp. del 17p, del 6q, del 11q22-23
-Expression of CD38 and ZAP-70
-Unmutated CLL
-Elevated LDH ,beta 2microglobulin,thymidine kinase
-Diffuse marrow involvement
CELL OF ORIGIN IN CLL
NAIVE B CELL-
WORST
PROGNOSIS
INTERMEDIATE
CELL
MEMORY
CELL- BEST
Transformation of CLL
• Occurs in 2-8% CLL
• Converts to DLBCL usually in LN
• EBV association may be found
• Trisomy 12, chromosome 11 abnormalities
• Poor prognosis
Richters
syndrome
• Rare , can occur after few years
• Prolymphocyte >55% in blood
Prolymphocytic
leukemia
• In <1% cases
• More common in mutated CLL
Hodgkin
lymphoma
MUTATIONS:
NOTCH 1
SF3B1
Tp 53
ATM
BIRC3
POT1
MYD88

Approach to lymphoma

  • 1.
    APPROACH TO LYMPHOMA (PART1) Dr Garima Agarwal Assistant Professor SMSR,Sharda University
  • 6.
  • 13.
    HODGKINS VERSUS NONHODGKINS LYMPHOMA HODGKINS LYMPHOMA NON HODGKINS LYMPHOMA Localized , involve single group of lymph nodes (cervical,axillary etc) Multiple peripheral lymph nodes are involved Orderly spread by contiguity Non contiguous spread Extranodal involvement uncommon Common Mesenteric lymph nodes and waldeyer ring rarely involved Involved Bimodal distribution young adulthood and >55 years Can occur in child and adults
  • 15.
    APPROACH TO DIAGNOSIS-AGE LYMPHOMA IN CHILDREN LYMPHOMA IN ADULTS(20-40yrs) LYMPHOMA IN OLD AGE BURKITTS DIFFUSE LARGE B CELL LYMPHOMA DIFFUSE LARGE B CELL LYMPHOMA HODGKINS HODGKINS LYMPHOMA LYMPHOMA WITH SMALL CELL SIZE ANAPLASTIC LARGE CELL LYMPHOMA BURKITTS PERIPHERAL T CELL LYMPHOMA
  • 16.
    CLINICAL PRESENTATION • CLASSICALHODGKINS • LYMPHOCYTIC PREDOMINANT • SMALL CELL LYMPHOMAS LYMPHOMA WITH INDOLENT BEHAVIOUR, HISTORY OF LONG DURATION • DIFFUSE LARGE B CELL LYMPHOMA • BURKITTS LYMPHOMA • ALCL • PTCL LYMPHOMAS WITH AGGRESSIVE BEHAVIOUR
  • 17.
    PATTERNS NODULAR PATTERN NODULAR AND DIFFUSE DIFFUSE PATTERN SMALLCELL LYMPHOCYTIC LYMPHOMA FOLLICULAR LYMPHOMAS SAME PLUS DLBCL, ALCL, BL, PTCL, HL MANTLE CELL LYMPHOMAS SAME NODULAR MZL NLPHL
  • 18.
    SIZE OF LYMPHOMACELL SMALL CELL MEDIUM CELL LARGE CELL SLL LYMPHOBLASTIC LYMPHOMA DLBCL PATTERN DIFFUSE FL BURKITTS LYMPHOMA PATTERN DIFFUSE MCL NODAL MARGINAL CELL LYMPHOMA- NODULAR/DIFFUSE
  • 19.
    BACKGROUND POPULATION MONOMORPHIC POLYMORPHIC SLLDLBCL(THLBCL) FL ALCL MCL HL NMZL PTCL BL DLBCL ALCL
  • 20.
    Work up forlymphoma Complete history and physical examination- about B symptoms, HIV risk,infections, Autoimmune disease, drug therapy Screening Lymph node aspiration and biopsy PBS and BM examination Histological examination of involved site Further subtyping By immunophenotyping Prognosis Flowcytometry, immunohistochemistry Cytogenetic analysis
  • 23.
    • 55 yearmale presented with peripheral and central lymphadenopathy and splenomegaly. • Patient is asymptomatic.
  • 24.
  • 27.
    Follicular lymphoma(germinal center lymphoma) •Follicular lymphoma is a neoplasm composed of follicle centre B-cells (typically both centrocytes & centroblasts/large transformed cells), which usually has at least a partially follicular pattern. 27 •6th decade; M:F-1:1.7 • Progressive Lymphadenopathy and splenomegaly •Only 15 to 25 % of cases present in stage I or II •Asymptomatic despite widespread disease •Bone marrow involved in 40 to 70 % of cases •Staging is done by lugano classification(A and B not required) instead of ann arbor staging
  • 28.
  • 29.
    Microscopy 29 Normal reactive lymphnode Follicular Lymphoma •Effacement of nodal architecture with closely packed back to back neoplastic follicles which are poorly defined with attenuated/absent mantle zone and interfollicular zone •No polarization that is randomly distribution(centrocyte and centroblast occupy different zone) , tingible body macrophages which are features of reactive germinal centre.- they are absent
  • 30.
    Microscopy of FL 30 Warnkeet al •Composed of two type of germinal centre B cell of which centrocyte are predominant in most cases and are small to medium sized cells with angulated,elongated,cleaved nuclei,inconspicuous nucleoli and scant pale cytoplasm. •Larger centroblast(3 times of lymphocytes) are round to oval cells ,indented, multilobated nuclei, vesicular chromatin, prominent nucleoli and narrow rim of cytoplasm
  • 32.
    Follicular Lymphoma Grading;Mann & Berard 32 Grade III:A&B Grade I Grade II Centrocytes Mixed Centroblasts >15 centroblasts/HPF 6-15 centroblasts/HPF 0-5 centroblasts/HPF “Small cleaved follicle cells” “large blastic follicle cells”
  • 33.
    Follicular lymphoma •In BMFL characteristically localise to paratrabecular and less commonly to interstitial region. •In blood same cells can be seen •BM involvement: 40-70%
  • 34.
    BONE MARROW PATTERNSOF INVOLVEMENT
  • 35.
    Four variants ofFL are recognized: • (1) in situ follicular neoplasia • (2) duodenal-type FL; • (3) testicular FL; and • (4) the diffuse variant of FL
  • 36.
    Follicular lymphoma • Flowcytometric immunophenotyping CD10+ , CD19+, CD20+, CD22+, CD79a+, SmIg+ CD5 − , CD23 − • Immunohistochemistry CD20+, CD79a+, PAX5+, BCL2+ (its overexpression is the hallmark ranging from∼ 80-90% in grade 1 to<50% in grade3) BCL6+ , CD10+ CD5 − , CD23 − , cyclin D1 − , MUM1/IRF4 − • Other germinal center markers positive are LMO2, GCET1, HGAL
  • 38.
    Follicular Lymphomas ExpressBcl-2 38 Follicular Lymphoma Normal Reactive Follicle
  • 40.
    Genetics Cytogenetic • t(14;18) :90%- IgH and Bcl2 • Gains of 1,6p,7,8,12q,X and 18q. • Loss of 1p,6q,10q and 17p • On 1p affected region is TNFRSF14 region is affected Additional driver mutation are CREBBP, KMT2D, EZH2. More recently activating mutations in RRAGC Transformation to DLBCL can occur via inactivation of Tp53 and CDKN2A pathway and activation of myc 40
  • 41.
    Mantle cell lymphoma •3-10% of NHL • Elderly male predominance. • Lymph node is most commonly involved site • Extranodal involvement: MC GIT • Multiple intestinal polyps that is multiple lymphomatous polyposis is a distinctive feature • Most patients present with stage 3 or 4 disease with lymphadenopathy, hepatosplenomegaly and BM involvment. • MCL is a B cell neoplasm composed of monomorphic small to medium sized lymphoid cells resembling centrocyte with irregular nuclear contours and CCND1(>95%cases) translocation.
  • 43.
    Classical mantle celllymphoma – monotonous lymphoid proliferation with a vaguely nodular, diffuse , mantle zone or rarely follicular zone pattern. Cells are small to medium sized with slighltly irregular nuclear contours. Hyalinized small vessels are commonly seen. Proliferation centers are absent
  • 47.
    Mantle cell lymphoma •Flow cytometric immunophenotyping CD5+, CD19+, CD20+, CD22+, CD79a+, CD79b+, SmIg+ (usually IgM, sometimes with IgD) FMC7+ (used to distinguish cll wth other NHLs) CD10 − /+, CD23 − • Immunohistochemistry CD5+, CD20+, CD79a+, cyclin D1+, BCL2+, PAX5+ CD43+/ − , CD10 − /+ CD23 − , BCL6 − , MUM1/IRF4 − • Cytogenetic and molecular genetic analysis The majority of cases have t(11;14)(q13;q32);cyclin D1 ; IgH gene • SOX11 in cases with negative cyclin D1 and blastoid variant
  • 48.
  • 50.
    CELL OF ORIGIN-PRE GERMINAL CENTER SOMETIMES POST GERMINAL CENTER
  • 52.
    IN SITU MANTLECELL NEOPLASIA
  • 53.
    CLL/SLL • 5 to10% of NHL • Most common leukemia in western world in adults • 65 yr, more in male • Peripheral blood ,BM, spleen, liver involved • Extranodal involvement occurs very small that is skin, git, or CNS • Most cases are diagnosed on the basis of routine blood analysis in asymptomatic subjects • Few cases are associated with AIHA
  • 54.
  • 55.
    • So thecharacterstic histological feature of lymph node Presence of proliferation centres (lighter) comprising of small lymphocytes , paraimmunoblasts and prolymphocytes SPLEEN- INVOLVEMENT OF WHITE PULP
  • 57.
    PERIPHERAL SMEAR Classical • Smalllymphoid cells in majority and other cells like prolymphocyte, cells with iregular nuclear contour and larger cells with more dispersed chromatin but usually constitute <15% PLL • >55% prolymphocytes Atypical CLL • When>15% of lymphocyte are with irregular nuclear contours and larger cells . Prolymphocytes < 55%
  • 59.
    • BM involvementmay be interstitial, nodular, or diffuse • Minimal 30% involvement is necessary to establish the diagnosis of CLL.
  • 60.
    CLL/SLL • Flow cytometricimmunophenotyping- CD5+, CD19+, CD20, CD22 , CD79b+, CD23+ and CD200(strong), weak SmIg (IgM+, IgD+/ − ) .Negative are CD10 and FMC7 • In atypical CLL CD10 AND FMC7 positive, CD5 and CD23 negative • Immunohistochemistry - CD5+, CD20+/ − , CD23+/ −, cytoplasmic immunoglobulin may be detectable. CD43+, CD79b+, PAX5+ CD10 − , CD11c − , cyclin D1 − , BCL6 − An important marker to identify tissue infiltration by CLL on tissue section is LEF1 (CD200)
  • 61.
    • Cytogenetic andmolecular genetic analysis - no specific abnormality and many cases have normal karyotypes • The most common cytogenetic abnormalities are del(13)(q12 -1 4), • trisomy 12, • del(6)(q21), • del(11) (q22 - 23) • and del(17)(p13)
  • 62.
    Poor Prognostic factorsof CLL -Advanced Rai or Binet stage -Male gender -Atypical morphology or CLL/PLL -Lymphocyte doubling time < 12 months -Cytogenetic abnormalities , esp. del 17p, del 6q, del 11q22-23 -Expression of CD38 and ZAP-70 -Unmutated CLL -Elevated LDH ,beta 2microglobulin,thymidine kinase -Diffuse marrow involvement
  • 63.
    CELL OF ORIGININ CLL NAIVE B CELL- WORST PROGNOSIS INTERMEDIATE CELL MEMORY CELL- BEST
  • 64.
    Transformation of CLL •Occurs in 2-8% CLL • Converts to DLBCL usually in LN • EBV association may be found • Trisomy 12, chromosome 11 abnormalities • Poor prognosis Richters syndrome • Rare , can occur after few years • Prolymphocyte >55% in blood Prolymphocytic leukemia • In <1% cases • More common in mutated CLL Hodgkin lymphoma
  • 65.