DISEASES OF IMMUNITY ROBERTO D. PADUA JR., MD, DPSP DEPARTMENT OF PATHOLOGY FATIMA COLLEGE OF MEDICINE
The immune system protects the host from invasion by foreign and potentially harmful agents. Characteristics: 1. distinguish self from non-self 2. discriminate among potential invaders  (specificity) 3. maintain the presence of immune memory  (anamnesis) 4. recall previous exposures and mount an  amplified response to them
☻ Immune responses can be elicited by a wide range of agents (termed  antigens ) including microorganisms, chemicals, toxins, drugs, and transplanted tissues ☻ Adaptive immunity  – immune responses that show antigen specificity and immune memory ☻ Innate immunity  – does not demonstrate immune memory and lacks the exacting specificity of adaptive immunity
Mechanisms involved in Innate and Adaptive immunity
Innate and Adaptive Immunity Innate Immunity Natural or native immunity Defense mechanisms present even before infection First line of defense Components Epithelial barriers Phagocytic cells (PMN’s and Macrophages) Dendritic cells NK cells Several plasma proteins, including the Complement system
Innate and Adaptive Immunity Innate Immunity Two most important cellular reactions 1. Inflammation    phagocytic leukocytes are  recruited and activated to kill microbes 2. Anti-viral defense    mediated by dendritic cells and NK cells
Innate and Adaptive Immunity Innate Immunity  Pathogen-associated molecular patterns * Microbial structures recognized by  leukocytes and epithelial cells  Danger-associated molecular patterns * Molecules released by injured and necrotic cells that  are recognized by leukocytes  *Pattern recognition receptors  Toll-like receptors (TLR’s)
Innate and Adaptive Immunity Toll-like Receptors (TLR’s)    homologous to the  Drosophila  protein    specific for components of different bacteria  and viruses    located on the cell surface and in endosomes *Recognize and initiate cellular    responses
Different TLRs involved in response to different microbial products
 
Innate Immunity Epithelia (skin, respiratory, GIT)    provide mechanical barriers to the entry of  microbes    produce anti-microbial molecules =  defensins
Innate Immunity Monocytes and Neutrophils    phagocytes in the blood recruited at the site    of infection    monocytes that enter the tissues and mature    are called  macrophages
Innate Immunity Dendritic cells    produce type I interferons, anti-viral    cytokines that inhibit viral infection and    replication Natural killer cells    provide early protection against many viruses  and intracellular bacteria
Innate Immunity Complement proteins * activated by binding to microbes using the  alternative and lectin pathways
Innate Immunity Mannose-binding lectin and C-reactive protein * coat microbes for phagocytosis and  complement activation Lung surfactant * protection against inhaled microbes
Adaptive Immunity   consists of lymphocytes and their  products, including antibodies
Adaptive Immunity Cell-mediated (cellular) immunity    responsible for defense against intracellular microbes    mediated by T (Thymus-derived) lymphocytes Humoral immunity    protects against extracellular microbes and their toxins    mediated by B (Bone-marrow derived) lymphocytes  and their secreted products    antibodies
 
 
 
CELLS OF THE IMMUNE SYSTEM Present Ag to CD4 T cells Precursors to macrophage lineage; cytokine release Class II MHC expressing cells Horse-shoe shaped nucleus Found in LN, blood, lungs and other organs Antigen Presenting Cells Monocytes Phagocytose and kill bacteria Parasitic defense and allergic response ___ None Staining with eosin ___ Granulocyte; short lifespan; multilobed nucleus Bilobed nucleus; heavily granulated cytoplasm See below Phagocytic cells: PMN’s Eosinophils Macrophages Kill antibody-decorated cells and virus-infected or tumor cells (no MHC restriction) Fc receptors for antibody: CD16, CD56, CD57 Large granular lymphocytes Natural Cytolytic cells: NK cells FUNCTION MARKERS CHARACTERISTICS CELLS
CELLS OF THE IMMUNE SYSTEM Initiate inflammatory and acute phase response; have antibacterial, antiviral and anti-tumor activities Transport Ag to LN Efficient Ag presenters Produce cytokines Filter particles from blood Large, granular cells; Fc and C3 receptors __ __ __ __ __ Possible residence in tissue, spleen, LN, and other organs; activated by IFN- γ  and TNF Presence in skin LN, tissues CNS and brain Presence in liver See below Antigen Presenting Cells Macrophages Langerhan’s  cells  Dendritic cells Microglial  cells  Kupffer cells  B cells  FUNCTION MARKERS CHARACTERISTICS CELLS
CELLS OF THE IMMUNE SYSTEM Produce IL-2, other cytokines; stimulate T-cell and B-cell growth; promote B-cell differentiation, antibody production  Promotes initial defenses (local) DTH, T killer cells Promote later humoral responses CD2, CD3, T-cell receptor CD2, CD3, T-cell receptor, CD4 IL-2, IFN- γ , lympho-toxin production IL-4, IL-5, IL-6, IL-10 production Mature in Thymus; large nucleus, small cytoplasm Helper/DTH cells; Activation by APCs via Class II MHC antigen presentation TH 1 subtype TH 2 subtype Antigen-Responsive Cells T cells (all) CD4 T cells FUNCTION MARKERS CHARACTERISTICS CELLS
CELLS OF THE IMMUNE SYSTEM Release Histamine, provide allergic response, anti-parasitic Fc receptor for IgE Granulocytic Other cells Basophils/Mast cells Produce antibody and present antigen Terminally differentiated, antibody factories Surface antibody, Class II MHC antigens __ Mature in Peyer’s patches, BM, bursal equivalent; large nucleus, small cytoplasm; activation by Ag and T-cell factors Small nucleus, large cytoplasm Antibody-, Producing Cells B cells Plasma cells Kill viral, tumor, non-self cells; secrete TH 1 lymphokines Suppress T- cell and B-cell response  CD2, CD3, T-cell receptor, CD8 CD2, CD3, T-cell receptor, CD8 Recognition of Ag presented by Class I MHC antigens Recognition of Ag presented by Class I MHC antigens Antigen-Responsive Cells CD8 T killer  cells CD8 T  cells  (suppressor cells )  FUNCTION MARKERS CHARACTERISTICS CELLS
T Lymphocytes Generated from immature precursors in the thymus Mature, naïve T cells enters the circulation, constituting 60-70% of lymphocytes Found in the paracortical areas of LN and periarteriolar sheaths of spleen Each T cell is genetically programmed to recognize a specific cell-bound antigen by means of an antigen-specific T cell receptor (TCR)
B lymphocytes Develop from immature precursors in the bone marrow Mature B cells constitute 10-20% of the circulating peripheral lymphocytes Also seen in the LN (superficial cortex), spleen (white pulp), tonsils, and extralymphatic organs (e.g. GIT) Recognizes antigen via the B-cell antigen receptor complex Has unique antigen specificity derived partly from somatic rearrangements of immunoglobulin gene
 
Cytokines ☻  Short-acting soluble mediators ☻  Includes lymphokines, monokines and other  polypeptides that regulate immunologic,  inflammatory, and reparative host responses ☻  Molecularly defined cytokines - Interleukins
Cytokines Mediate innate (natural) immunity ♣  IL-1, TNF, type 1 IFN, IL-6 ♣  IL-12 and IFN- γ  (innate and adaptive immunity) Regulate lymphocyte growth, activation and differentiation ♣  IL-2, IL-4, IL-12, IL-15 and TGF-B
Cytokines 3. Activate inflammatory cells ♣  IFN- γ  – macrophages ♣  IL-5 – eosinophils ♣  TNF and TNF- Β  – PMN’s and endothelial cells 4. Affect leukocyte movement (Chemokines) ♣  C-C and C-X-C chemokines 5. Stimulate hematopoiesis ♣  derived from lymphocytes or stromal cells ♣  colony-stimulating factors
Cytokines General Properties ☺ produced by different cell types ☺ pleiotropic actions ☺ induce effects in 3 ways 1. act on the same cell that produces them (autocrine effect) 2. affect other cells in the vicinity (paracrine effect) 3. affect many cells systematically (endocrine effect) ☺ mediate their effects by binding to specific high- affinity receptors on their target cells
SUBSETS OF T HELPER CELLS IN RESPONSE TO STIMULI (MAINLY CYTOKINES)
Histocompatibility Molecules ☼  Important for the induction and regulation of the immune response ☼  Principal physiologic function is to bind peptide fragments of foreign proteins for presentation to antigen-specific T cells ☼  Encoding genes are found in chromosome 6  MHC or HLA complex ☼  Class I and Class II genes encode cell surface glycoproteins involved in antigen presentation ☼  Class III genes encode components of the complement system
Histocompatibility Molecules Categories: 1. Class I MHC molecules ►  expressed on all nucleated cells and platelets ►  encoded by 3 closely linked loci – HLA-A, Hla-B,  and HLA-C ►  heterodimer molecules – polymorphic  α  linked  noncovalently to nonpolymorphic    peptide  β -2 microglobulin ►  CD8 T cells
Histocompatibility Molecules Categories: 2. Class II MHC molecules ►  coded in the HLA-D region (HLA-DP,  HLA-DQ, and HLA-DR) ►  heterodimer, noncovalently binded  α  and  β   chains ►  CD4 T cells
Histocompatibility Molecules HLA and Disease Association ►  mechanisms not fully understood ►  grouped into the following categories ◘  Inflammatory diseases ◘  Inherited errors of metabolism ◘  Autoimmune disorders
HLA and Disease Association 15.0 BW47 21-Hydroxylase deficiency 5 6 20 DR3 DR4 DR3/DR4 Type I diabetes 9 DR3 Primary Sjogren syndrome 13 DR3 Chronic active hepatitis 4 DR4 Rheumatoid arthritis 14 B27 Acute anterior uveitis 14 B27 Post-gonococcal arthritis 90 B27 Ankylosing spondylitis Relative Risk HLA Allele Disease
Disorders of the Immune System ╬ Hypersensitivity reactions ╬ Autoimmune diseases ╬ Immunologic deficiency syndromes ╬ Amyloidosis
Hypersensitivity Reactions and Tissue injury ۩   Hypersensitivity is a misnomer ۩   These diseases result from normal immune responses ۩   Not Excessive or ‘Hyper’ responses ۩   Classification based on Immunologic Mechanisms
General features of hypersensitivity disorders Both exogenous and endogenous antigens may elicit hypersensitivity reactions The development of hypersensitivity diseases (both allergic and autoimmune disorders) is often associated with the inheritance of particular susceptibility genes Hypersensitivity reflects an imbalance between the effector mechanisms of immune responses and the control mechanisms that serve to normally limit such responses
۩   Results in tissue injury or other pathophysiological  changes ۩   Occurs when an already sensitized individual is re- exposed to the same foreign substance ۩   May be immediate or delayed Hypersensitivity Reactions and Tissue Injury
Ensuing tissue injury may be caused by: ۩   Release of vasoactive substances ۩   Phagocytosis or lysis of cells ۩   Activation of inflammatory & cytolytic  components of complement system ۩   Release of cytokines, proteolytic enzymes and  other mediators of tissue injury or  inflammation Hypersensitivity Reactions and Tissue Injury
 
 
Immediate (Type I) Hypersensitivity A rapidly developing immunologic reaction occurring within minutes after the combination of an antigen with antibody bound to mast cells in individuals previously sensitized to the antigen The reaction is called an allergy, and the antigen that cause them are termed allergen Most are mediated by IgE antibody-dependent activation of mast cells and other leukocytes
Immediate (Type I) Hypersensitivity Anaphylactic type Occurs within minutes IgE mediated Provoked by re-exposure to the same antigen (by contact, inhalation, ingestion, or injection) Mediated by antigen binding with antibody previously bound to mast cells or basophils Local or systemic
Immediate (Type I) Hypersensitivity LOCAL ANAPHYLAXIS ♠  Atopy    genetically determined predisposition to develop localized anaphylactic reactions to inhaled or ingested allergens ♠  positive  family history    chromosome 5q31 ♠  With higher serum IgE levels compared to general population
Immediate (Type I) Hypersensitivity Two Phase Reaction ♠  Initial response is rapid -  5-30 min after exposure to antigen (subsides in 60 minutes) ◘  Vasodilatation, edema, smooth muscle spasm ♠  Late phase response - 2-8 hrs later ◘  Occurs in 50% of patients ◘  Infiltration by monocytes, eosinophils, basophils, PMN’s and CD4 T cells ◘  With mucosal epithelial damage
Kinetics of the immediate and late-phase reactions
Type I  Hypersensitivity ♠  Mast cells in tissues; Basophils circulate ♠  Both contain granules with Inflammatory Mediators ♠  Activated by cross-linking to IgE Fc receptors
 
 
 
 
 
 
Vasodilatation, increased vascular permeability Smooth muscle spasm Cellular infiltration
Immediate (Type I) Hypersensitivity  Primary Mediators ♠  Preformed and stored in granules ♠  Histamine ♠  Chemotactic factors for eosinophils and PMN’s ♠  Proteases
Immediate (Type I) Hypersensitivity  Secondary Mediators ♠  Lipid Mediators ◘  Platelet Activating Factor ◘  Arachidonic Acid ☻  Leukotrienes and Prostaglandin ♠  Cytokines ◘  TNF-alpha ◘  Interleukins 1, 4, 5, 6
Immediate (Type I) Hypersensitivity ۞   Is the result of release of ‘a variety of chemotactic, vasoactive and spasmogenic compounds’
Immediate (Type I) Hypersensitivity  CLINICAL MANIFESTATIONS ♠  Systemic Disorder ♠  Local Reaction
Immediate (Type I) Hypersensitivity  SYSTEMIC ANAPHYLAXIS ♠  characterized by vascular shock, widespread  edema, and difficulty in breathing    ♠  Hospital setting = Antisera, hormones, enzymes,  polysaccharides, and drugs (penicillin) ♠  Community setting = food allergies, insect toxins   ♠  Itching, hives, skin erythema within minutes   respiratory difficulty or GIT symptoms ♠  Shock and Death can occur within minutes
Immediate (Type I) Hypersensitivity  LOCAL REACTIONS ♠  A ffects 10-20% of the population  ♠  Skin or Mucosal Surfaces ◘  Urticaria (Hives) ♠  Skin and food allergies ♠  Hay fever ♠ Atopy - familial predisposition to allergy
 
Immediate (Type I) Hypersensitivity What  good  is it? ☻  Fights Worm infection ☻  EEEEWWWWWW!!!!
What is Asthma? ♠  Hypersensitivity – Allergy , Type I ♠  Affects  airways of lungs - Bronchi ♠  Allergens – in the air, mast cell - IgE ab. ♠  Inflammation of airways – Bronchitis. ♠  Genetic, Environmental, Race, Age. ♠  High in industrial cities 4-19%, Fiji < 1%  ♠  Increasing incidence …!
Pathogenesis of Atopic Asthma
Asthma Mechanism: ► Allergy ► Inflammation of  bronchi ► Obstruction ► Mucous Plugs
INFLAMMATION Airflow Limitation TRIGGERS Exercise  Cold Air, diseases,  Airway Hyperresponsiveness Genetic* INDUCERS Allergens,pollutants
Lung in Asthma with Mucous plugs
Mucous plug in asthma:
Asthma Microscopic Pathology Obstructed and inflamed bronchi
Asthma - Bronchial morphology ◘  Inflammation  ◘  Eosinophils ◘  Gland hyperplasia ◘  Mucous plug in lumen ◘  Hypertrophy of muscle layer
IgE and parasites: IgE binds to parasite, then Eosinophil binds Degranulation!
schistosoma ova eosinophils
Type I  Hypersensitivity DIAGNOSIS: ♠  History ♠  Skin prick test – (+) wheal & flare ♠  CBC showing  eosinophilia ♠  RAST (Radioallergosorbent assay)
Type I  Hypersensitivity TREATMENT: ♠  Anti-histamine – acts on first phase only ♠  Corticosteroids – late phase reaction ♠  Desensitization – to induce tolerance; no  IgE production    deplete already  bound IgE
Antibody-Mediated (Type II)  Hypersensitivity ♥   Mediated by antibodies directed toward antigens present on the cell surfaces or extracellular matrix ♥   IgG and IgM ♥   Antigenic determinants – intrinsic or exogenous
Antibody-Mediated (Type II) Hypersensitivity MECHANISMS: ♥  Opsonization and Complement-and Fc Receptor-Mediated Phagocytosis    Cells targeted by antibodies are coated (opsonized) with molecules that make them attractive for phagocytes    Activates the complement system producing C3b and C4b   deposited on the surface of the cells and recognized by phagocytes (Fc receptors)    Results to the phagocytosis of the opsonized cells and their destruction    Complement activation   formation of MAC   disrupts membrane integrity   osmotic lysis of cells
Type II Hypersensitivity Reaction – Opsonization and Complement-and Fc-Receptor Mediated Phagocytosis
 
Antibody-Mediated (Type II) Hypersensitivity *Antibody-dependent cellular cytotoxicity (ADCC)    does not involve fixation of complement, requires  cooperation of leukocytes    Coated cells with low concentrations of IgG  antibody are killed by a variety of effector cells  (monocytes, PMNs, eosinophils, and NK cells)   bind to the target by their receptors to the Fc  fragment of IgG    cell lysis without phagocytosis
MECHANISMS: Antibody-Dependent Cell-Mediated Cytotoxicity (ADCC) Source: Robbins PATHOLOGIC BASIS OF DISEASE 6 th  ed.
Antibody-Mediated (Type II) Hypersensitivity Clinical Conditions 1.  Transfusion reaction - cells from an incompatible donor react with and are opsonized by preformed  antibody in the host 2.  Erythroblastosis fetalis - there is an antigenic difference b/w the mother and the fetus, and antibodies (IgG)  from the mother cross the placenta and cause destruction of RBCs 3.  Autoimmune hemolytic anemia, agranulocytosis, thrombocytopenia - individuals produce antibodies to their own blood cells which are then  destroyed 4.  Certain drug reactions - antibodies are produced that reacts with the drug, which may be attached to the  surface of RBCs or other cells
An example of type II hypersensitivity
Pathogenic functions of auto-antibodies ------------------------------------------------------------   type II hypersensitivity response - ex: RBC autoantibodies ==> hemolysis ------------------------------------------------------------ C’
Antibody-Mediated (Type II) Hypersensitivity ♥   Complement-and Fc Receptor-Mediated Inflammation  antibodies deposited in extracellular tissues (basement membrane and matrix   activate complement (C5a, C4a, and C3a)   recruits PMNs and monocytes   release injurious substances (enzymes and reactive O2 intermediates   inflammation
Antibody-Mediated (Type II) Hypersensitivity – Complement-and Fc Receptor-Mediated Inflammation
Antibody-Mediated (Type II) Hypersensitivity ***Responsible for tissue injury in some form of glomerulonephritis, vascular rejection in organ grafts, and other diseases
Antibody-Mediated (Type II) Hypersensitivity ♥   Antibody-Mediated Cellular Dysfunction    Antibodies directed against cell-surface receptors impair or dysregulate function without causing cell injury or inflammation
Antibody-Mediated (Type II) Hypersensitivity – Antibody-Mediated Cellular Dysfunction
An example of type II hypersensitivity
Pathogenic functions of auto-antibodies ------------------------------------------------------------   type II hypersensitivity response - ex: GBM autoantibodies ==> glomerulonephritis Goodpasture’s syndrome GBM Podocytes
 
Immune Complex-Mediated (Type III) Hypersensitivity ☻ Antigen-antibody complexes produce tissue damage mainly by eliciting inflammation at the sites of deposition
Immune Complex-Mediated (Type III) Hypersensitivity ♦  Antigen - Antibody Complexes initiate acute inflammation ◘  Complement activation and accumulation of PMN’s ♦  Endogenous Antigens – DNA ◘  circulating Ag’s present in the blood, or, more commonly,  antigenic components of one’s own cells and tissues ♦  Exogenous Antigens - Bacteria, Viruses, Foreign protein, etc. ♦  Immune Complexes form in circulation  or ♦  Antigens are ‘planted’ and IC’s form in situ ♦  Can be generalized or localized
 
Pathogenesis of immune-complex disease
 
Systemic Immune Complex Disease Prototype disorder – Acute serum sickness Frequent sequela to the administration of large amounts of foreign serum (e.g. horse immune serum for passive immunization) Pathogenesis (3 phases) 1. formation of Ag-Ab complexes  2. deposition of immune complexes  3. inflammatory reaction at the site of deposition
 
 
Systemic Immune Complex Disease Two mechanisms causing inflammation at the site of deposition 1. activation of the complement cascade 2. activation of neutrophils and macrophages  through their Fc receptors    release of  pro-inflammatory substances (prostaglandins,  vasodilator peptides, chemotactic substances,  lysosomal enzymes, oxygen free radicals)
Systemic Immune Complex Disease ***  The important role of complement in the pathogenesis of the tissue injury is supported by the observations that during the active phase of the disease, consumption of complement decreases the serum levels, and experimental depletion of the complement greatly reduces the severity of the lesion.
Systemic Immune Complex Disease ***Chronic form of serum sickness results from repeated or prolonged exposure to an antigen ***Continous antigenemia is necessary for the development of chronic immune complex disease because complexes in antigen excess are the ones deposited in vascular beds – e.g. SLE
Systemic Immune Complex Disease Morphology    acute necrotizing vasculitis, with necrosis of vessel wall and intense neutrophilic infiltration    fibrinoid necrosis – smudgy, eosinophilic deposit that obscures the underlying cellular detail    affected glomeruli are hypercellular because of swelling and proliferation of endothelial and mesangial cells, accompanied by neutrophilic and monocytic infiltration    IF microscopy – granular lumpy deposits of Ig and Complement    Electron microscopy – electron-dense deposits along GBM
Systemic Immune Complex Disease ◘ Tissues affected ☼  Kidneys, joints, skin, heart, serosal surfaces  and small vessels ◘ The reason(s) for this specific organ/tissue  predeliction is unknown
Vasculitis Immune complex vasculitis. The necrotic vessel wall is replaced by smudgy, pink “fibrinoid” material.
Fig 5-13 IF
Fig 5-12 EM
Local Immune Complex Disease ♦  LOCAL (ARTHUS REACTION) ◘  Localized tissue necrosis from acute  immune vasculitis ◘  Can induce experimentally by injecting  antigen into the skin of a pre-sensitized  recipient ◘  Local PMN recruitment and fibrinoid  necrosis    thrombi formation    local ischemic  injury
 
T Cell-Mediated (Type IV) Hypersensitivity   ♣  T-Cells are the active agents not Antibodies ☼  Otherwise Type II is very similar to Type IV ♣  Delayed-Type    mediated by CD4+ T cells ♣  Direct  Cell Cytotoxicity    mediated by CD8+ T cells
Mechanisms of Delayed Type Hypersensitivity Reactions
Mechanism of Direct T Cell Cytotoxicity
Type IV Hypersensitivity Delayed Type  ♣  Tuberculin Skin Test (Mantoux Reaction) ♣  Granuloma Formation Nodular aggregate of Epithelioid Macrophages surrounded by a rim of lymphocytes Multinucleated Giant Cells may be present ♣  Persistent organisms that are poorly degraded (tuberculosis)
Type IV Hypersensitivity  Delayed Type ♣  “ The Type of inflammation characteristic of this  Reaction is called Granulomatous Inflammation”  ♣  The key cell is the epithelioid macrophage NOT the  Giant Cell!!
Formation of granuloma in Type IV Hypersensitivity
Granulomas Low Power High Power
Langhan’s Giant Cell Picture Robbins Textbook of Pathology 1971
Type IV - Cell Mediated  Delayed Hypersensitivity ♣  TB antigen processing by macrophages   presentation to CD4 T cells    sensitized CD4 cells that remain in the circulation Re-exposure    activation, amplification and recruitment of  Macrophages  which cause the majority of tissue damage IL-2 and IFN-gamma are the most important cytokines
Type IV - Cell Mediated  Delayed Type ♣  Major defense against Tuberculosis & Fungi
Type IV - Cell Mediated  Delayed Type ♣  Major defense against Tuberculosis & Fungi ♣  Patients with AIDS have little defense against these organisms due to the extreme decline in CD4 cells
Type IV - T-cell Mediated Cytotoxicity ♣  Sensitized T cell directly kill cells ♣  Major role in Transplant Rejection ♣  Protects against Viral Infections
Type IV - T-cell Mediated Cytotoxicity ♣  CD8 or Cytotoxic T Lymphocytes are the effector cells ◘  Lyse target cells Perforin release leads to osmotic lysis Fas binding leads to apoptosis ◘  Release cytokines e.g. interferon gamma
Key Facts on Hypersensitivity Reactions Type I : IgE/mast cell-mediated liberation of histamine.  Local and systemic anaphylaxis. Type II: antibodies bind to cell surface. Damage by  complement activation or cellular cytotoxicity, or may  stimulate/block a receptor Type III: antigen-antibody complexes, either local or  circulating. Cause damage by activating  complement in tissues at site of trapping of complexes. Type IV: T-cell mediated: CD4 cells recruit macrophages; CD8  cells cause cytotoxicity
TRANSPLANT REJECTION
Transplant Rejection Factors enhancing graft survival ABO blood group compatibility between recipients and donors Absence of pre-formed anti-HLA cytotoxic antibodies in recipients People must have previous exposure to blood products to develop HLA cytotoxic antibodies Close matches of HLA-A, -B, and –D loci between recipients and donors
Transplant Rejection Type of grafts Autograft (i.e., self to self) Associated with the best survival rate Syngenetic graft (isograft) Between identical twins Allograft Between genetically different individuals of the same species Xenograft Between two species Example = transplant of heart valve from pig to human
Transplant Rejection ◙  Involves recognition of major histocompatibility antigens (HLA) The most important HLA presenting cells are the donor lymphocytes, especially dendritic cells, contained within the graft Mediated by: CD8+ & CD4+ T cells
Transplant Rejection ◙  T cells Lyse graft cells Attract and activate macrophages Increase vascular permeability with local accumulation of lymphocytes and macrophages
Hyperacute Transplant Rejection ◙  Preformed anti-donor antibodies are present Hx of previous Transplant Multiparous women Previous blood transfusions ◙  Circulating antibodies react with the graft
Hyperacute Rejection Pathogenesis ABO incompatibility or action of preformed anti-HLA antibodies in the recipient directed against donor antigens in vascular endothelium Type II hypersensitivity reaction
Hyperacute Transplant Rejection ◙  Complement fixes, PMN’s arrive ◙  Graft destroyed in MINUTES to hours ◙  This no longer occurs Much better graft screening
Morphology of Rejection  Hyper-acute Rejection ۩۩۩   Widespread arteritis, thrombosis of vessels, and  ischemic necrosis
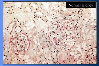
Normal Kidney
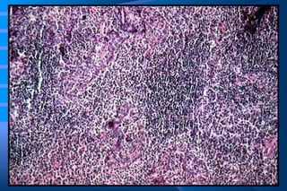
Microthrombi PMN’s Hyperacute Rejection
Antibody- mediated damage to the blood vessel in a renal allograft.  The blood vessel is markedly thickened and the lumen is obstructed  by proliferating fibroblast and foamy macrophages.
Acute Rejection Most common transplant rejection Reversible reaction that occurs within days to weeks 1) Type IV cell-mediated hypersensitivity CD4 T cells release cytokines, resulting in activation of host macrophages, proliferation of CD8 T cells   destruction of donor graft cell Extensive interstitial round cell lymphocytic infiltrate in the graft, edema, and endothelial cell injury
Acute Rejection 2) Antibody-mediated Type II hypersensitivity reaction - Cytokines from CD4 T cells promote B-cell  differentiation into plasma cells    anti-HLA  antibodies    attack vessels in the donor graft - Vasculitis with intravascular thrombosis in recent  grafts - Intimal thickening with obliteration of vessel  lumens in older grafts
Acute Rejection ***Acute rejection is potentially reversible with  immunosuppressive agents such as cyclosporine  (blocks CD4 T-cell release of IL-2), OKT3  (monoclonal antibody against T-cell antigen  recognition site and corticosteroids (lymphotoxic) ***Immunosuppressive therapy is associated with an  increased risk of cervical squamous cancer,  malignant lymphoma, and skin squamous cell  carcinoma (most common)
Morphology of Acute Rejection ۞   Onset usually 7-10 days ۞   Detected by slight rise in serum creatinine ۞   Mononuclear cell tubulo-interstitial infiltrate with tubular injury and interstitial edema ۞   Vasculitis is very uncommon
Acute cellular rejection of a renal allograft R – Intense mononuclear cell infiltrate between the glomerulus and the tubules L – Tubules undergoing destruction by invading lymphocytes
Acute Tubulointerstitial Rejection
Acute Tubulointerstitial Rejection Tubulitis
Acute Vascular Rejection Vasculitis
Chronic Rejection ۞   Irreversible reactions that occurs over  months to  years ۞   Involves continued vascular injury with  ischemia to tissues ۞   Dominant histological features arterial and arteriolar intimal thickening thick glomerular capillary walls tubular atrophy interstitial fibrosis ۞   Cause is unclear ۞   Therapy is ineffective
Schematic representation that lead to the destruction of histo-incompatible grafts
Transplantation of Other Solid Organs In heart and liver transplants, unlike kidney transplantation, no effort is made to match HLA antigens in donor and hosts  This is due to  size compatibility  requirements & The  time  a liver/heart remains viable is low
Allogeneic Hematopoietic Cell Transplant  Bone Marrow Transplants Graft - versus - host disease and transplant rejection can occur Rejection is mediated by T cells and NK cells
Bone Marrow Transplants  Graft - Versus - Host Disease Causes Potential complication in bone marrow transplant Potential complication in blood transfusions given to patients with a T-cell immunodeficiency and newborns
Bone Marrow Transplants  Graft - Versus - Host Disease Pathogenesis Donor T-cells recognize host tissue as foreign and activate host CD4 and CD8 T cells Clinical Findings Bile duct necrosis (jaundice) Gastrointestinal mucosa ulceration (bloody diarrhea) Dermatitis
Bone Marrow Transplants  Graft - Versus - Host Disease Donor marrow cells recognize host as “Foreign” The host is “rejected” Three principal targets: Liver Skin GI tract
SOME TYPES OF TRANSPLANTS Graft contains pluripotential cells that repopulate host stem cells Host assumes donor ABO group Danger of graft-versus-host reaction and CMV infection Bone marrow Better survival with kidney from living donor than from cadaver Kidney Best allograft survival rate Danger of transmission of C-J disease Cornea COMMENTS TYPE OF TRANSPLANT
AUTOIMMUNE DISEASES
Introduction Autoimmunity- immune reaction against “self-antigens”   Tissue damage Single organ or multi-system diseases More than 1 auto-antibody in a given disease may occur Common in females
Autoimmunity Three Requirements 1. The presence of an immune reaction specific for some self-antigen or self-tissue 2. Evidence that such a reaction is not secondary to tissue damage but is of primary pathogenic significance 3. The absence of another well-defined cause of the disease
Autoimmunity Clinical manifestations Variable Organ-specific disease immune responses are directed against a single organ or tissue Systemic or generalized disease Autoimmune reactions are against widespread antigens *** Results from loss of self-tolerance
Immune-mediated Inflammatory Disease Diseases mediated by antibodies and immune complexes Organ-specific autoimmune diseases Autoimmune Hemolytic anemia Autoimmune thrombocytopenia Myastenia gravis Graves disease Goodpasture syndrome Systemic autoimmune diseases Systemic Lupus Erythematosus (SLE) Diseases caused by autoimmunity or by reactions to microbial antigens Polyarteritis nodosa
Immune-mediated Inflammatory Disease Diseases mediated by T cells Organ-specific autoimmune diseases Type I Diabetes mellitus Multiple sclerosis Systemic autoimmune diseases Rheumatoid arthritis* Systemic sclerosis* Sjogren syndrome* Diseases caused by autoimmunity or by reactions to microbial antigens Inflammatory bowel disease (Crohn disease, Ulcerative colitis) Inflammatory myopathies *Antibodies may also play a role in these diseases
Immunological Tolerance It is the phenomenon of unresponsiveness to an antigen as a result of exposure to lymphocytes to that antigen Self-tolerance     lack of responsiveness to an    individual’s own antigen  Underlies our ability to live in harmony with our cells and tissues Lymphocytes with receptors capable of recognizing self-antigens are being generated constantly    eliminated or inactivated as soon as they recognize the antigens Mechanisms : Central tolerance and Peripheral tolerance
CENTRAL TOLERANCE Negative selection or deletion of self-reactive T and B lymphocytes during their maturation in the central lymphoid organs T cells T lymphocytes that bear high-affinity receptors for self-antigens are negatively selected or deleted    undergo apoptosis AIRE (autoimmune regulator) – a protein that stimulates expression of some “peripheral tissue-restricted” self-antigens in thymus    critical for deletion of immature T cells specific for these antigens occur during fetal development
CENTRAL TOLERANCE B cells Also undergo negative selection or deletion Receptor Editing  – when developing B cells strongly recognize self antigens in the BM    reactivate the machinery of antigen receptor gene rearrangement    express new antigen receptors not specific for self-antigens Failure    self-reactive cells undergo apoptosis    purging dangerous lymphocytes from the  mature pool Occurs throughout life
PERIPHERAL TOLERANCE Self-reactive T cells that escape  intra-thymic negative selection are  deleted or muzzled in the peripheral tissues
PERIPHERAL TOLERANCE    Silence potentially autoreactive T and B cells in peripheral tissues    Best defined for T cells    Mechanisms: 1. Anergy 2. Suppression by regulatory T cells 3. Deletion by activation-induced cell death
PERIPHERAL TOLERANCE Anergy    Prolonged or irreversible functional inactivation of lymphocytes, induced by encounter with antigens    T cells – due to absence of co-stimulatory molecules on APCs, such as B7-1 & B7-2    B cells – due to lack of T cell help for antibody synthesis (T cell anergy or down-regulation of surface IgM)
PERIPHERAL TOLERANCE Suppression by regulatory T cells    Regulatory T cells plays a major role   in preventing immune reactions against self-antigens    CD4 T cells is the best defined regulatory T cells that expresses CD25, the alpha chain of the IL-2 receptor, and a transcription factor of the forkhead family (Foxp3) ***both are required for the development and  maintenance of functional CD4+ regulatory T  cells     Mutations in Fox3p result in severe autoimmunity      ***cause of autoimmune disease called IPEX  (immune dysregulation, polyendocrinopathy,  enteropathy, X-linked)
PERIPHERAL TOLERANCE Deletion by activation-induced cell death    CD4+ T cells that recognize self-antigens may receive signals that promote their death by apoptosis    two mechanisms 1. Expression of a pro-apoptotic member of the Bcl  family (Bim), without anti-apoptotic members  of the family, Bcl-2 and Bcl-x    unopposed Bim triggers apoptosis by the  mitochondrial pathway 2. Involves the Fas-Fas ligand system    engagement of Fas by FasL induces  apoptosis of activated T cells by the  death receptor pathway
MECHANISMS OF IMMUNOLOGICAL TOLERANCE
MECHANISMS OF IMMUNOLOGICAL TOLERANCE. 7H EDITION
Mechanism of Autoimmunity Autoimmunity arises from a combination of the inheritance of susceptibility genes, which may contribute to the breakdown of self-tolerance, and environmental triggers, such as infections and tissue damage, which promote the activation of self-reactive lymphocytes These genetic and environmental influences conspire to create an imbalance between control mechanisms that normally function to prevent self-reactivity and pathways that lead to activation of pathogenic effector lymphocytes
Pathogenesis of Autoimmunity
Mechanism of Autoimmunity ROLE OF SUSCEPTIBILITY GENES Most autoimmune diseases are complex multigenic disorders HLA genes – affects the negative selection of T cells in the thymus or the development of regulatory T cells Non-MHC genes PTPN-22 = most frequently implicated in autoimmunity;  encodes for the protein tyrosine phosphatase NOD-2 = cytoplasmic sensor of microbes; associated with  Crohn disease Genes encoding the IL-2 receptor (CD25) and IL-7 receptor  alpha chain     = control the maintenance of regulatory T cells
Mechanisms of Autoimmunity ROLE OF INFECTIONS Infections may up-regulate the expression of costimulators on APCs Results in breakdown of anergy and activation of T cells specific for the self-antigens Molecular mimicry Microbes may express antigens that have the same amino acid sequences as self-antigens Immune responses against the microbial antigens may result in activation of self-reactive lymphocytes RHD – antibodies against streptococcal proteins cross-react with myocardial proteins Polyclonal B-cell activation Some viral infections may result in production of autoantibodies EBV and HIV
POSTULATED ROLE OF INFECTIONS IN AUTOIMMUNITY
Mechanisms of Autoimmunity RELEASE OF SEQUESTERD ANTIGENS    Some antigens are hidden (sequestered) from the immune system, because the tissues in which antigens are located do not communicate with the blood and lymph. self-antigens in these tissues do not induce tolerance but fail to elicit immune responses and are essentially ignored by the immune system Immune-privileged sites – testis, eye, and brain Trauma to these sites  release antigens  tissue inflammation and injury
General Features of Autoimmune Diseases Once induced it tends to be progressive, sometimes with sporadic relapses and remissions, and the damage becomes inexorable Epitope Spreading Infections and initial autoimmune response   damage tissues, release self antigens and exposed epitopes of the antigens that are normally concealed from the immune system   continuing activation of lymphocytes  The clinical and pathologic manifestations of an autoimmune disease are determined by the nature of the underlying immune response Different autoimmune diseases show substancial clinical, pathologic, and serologic overlaps
Microbial infections associated with autoimmune diseases Multiple sclerosis Mixed cryoglobulinemia Allergic encephalitis Scleroderma VIRUSES Hepatitis B virus Hepatitis C virus Measles virus Cytomegalovirus Rheumatic fever Guillain-Barre syndrome Primary biliary cirrhosis Reiter’s syndrome Reiter’s syndrome Grave’s disease Lyme arthritis BACTERIA Streptococcus pyogenes Campylobacter jejuni Escherichia coli Chlamydia trachomatis Shigella sp. Yersinia enterocolitica Borrelia burgdorferi Autoimmune disease Microbe
ORGAN-SPECIFIC AUTOIMMUNE DISEASES Intrinsic factor and parietal cells BM of kidney & lung Islet cell Adrenal cortex Sperm  Desmoglein in tight junctions of skin Thyroglobulin Thyroid peroxidase Pernicious anemia Goodpasture’s synd. IDDM Addison’s disease Male infertility Pemphigus Hashimoto’s Primary myxedema Antibody to cell components other than receptors Acetylcholine receptor TSH receptor Myasthenia gravis Grave’s disease Antibody to receptors Target of Immune Response Autoimmune Disease Type of Immune Response
NON-ORGAN SPECIFIC AUTOIMMUNE DISEASES IgG in joints dsDNA, histones RNP antigens (SS-A/Ro and SS-B/La) Myelin protein Rheumatoid arthritis SLE Sjogren’s syndrome (Sicca syndrome) Guillain-Barre synd. Antibody to cell components other than receptors Target of Immune Response Autoimmune Disease Type of Immune Response
Systemic Lupus Erythematosus (SLE) Etiology: Unknown Pathogenesis: Failure to maintain self-tolerance due to polyclonal autoantibodies Multisystem: Skin, kidneys, serosal surfaces, joints, CNS & heart Incidence: 1:2500 more common in black Americans; 10X F > M; 2nd- 3rd decades
SLE: Predisposing Factors Genetic factors 30% concordance in monozygotic twins Associated w/ HLA-DR 2 & 3 loci Non-genetic factors Drugs (procainamide, isoniazid, d- penicillamine & hydralazine)   LE like s/s Androgens protect, estrogens enhance UV light may trigger
SLE Immunologic factors B-cell hyper-reactivity caused by excess T-helper activity How self-tolerance is lost is not known
Model for the pathogenesis of SLE
MODEL FOR THE PATHOGENESIS OF SYSTEMIC LUPUS ERYTHEMATOSUS
Revised Criteria for Classification of SLE Malar rash Discoid rash Photosensitivity (Photodermatitis) Oral ulcers Arthritis Serositis- Pleuritis; Pericarditis Renal disorder Persistent proteinuria > 0.5 gms/ day or > 3+ if quantitation not performed, or;  Cellular casts- red cell, hemoglobin, granular, tubular, or mixed
Revised Criteria for Classification of SLE Neurologic disorder- Seizures; Psychosis Hematologic disorder Hemolytic A with reticulocytosis PANCYTOPENIA Immunologic disorder:  (+) LE cell prep;  (+) Anti- dsDNA  (+) Anti-Sm (+) Antiphospholipid antibodies Anticardiolipin antibodies (+) lupus anticoagulant False-positive serologic test for syphilis ANA
CLINICAL MANIFESTATIONS OF SLE 100 80-90 85 55-85 80-100 60 50-70 25-35 45 35 25 20 15-40 15 15 8 th  Edition
Multisystem manifestations of Systemic Lupus Erythematosus. SLE affects a wide range of tissues and organ systems
 
DISCOID RASH
Revised Criteria for Classification of SLE Any 4 or more of the 11 criteria present, serially or simultaneously, during any interval of observation = SLE In 1997, anti-phospholipid antibody was added to the list of criteria for the classification of SLE
SLE Antinuclear antibodies Antibodies to DNA (Classic SLE) Antibodies to histones (Drug induced SLE) Antibodies to non- histone proteins bound to RNA Antibodies to nucleolar antigens ANA test is sensitive, but non specific
SLE Mechanisms of tissue injury Type III hypersensitivity reactions with DNA-anti-DNA complexes depositing in vessels LE cell - any phagocytic leukocyte (neutrophil or macrophage) that engulfs denatured nuclei of injured cells (evidence of cell injury and exposed nuclei)
 
SLE: Morphology BV: Acute necrotizing vasculitis of small arteries or  arterioles in any organs Skin: Erythematous maculopapular eruption over malar  regions exacerbated by sun-exposure; some  patients have discoid LE with no systemic  involvement Liquefactive degeneration of basal layer Interface dermatitis w/ superficial & deep perivascular lymphocytic infiltrates w/ deposits of immunoglobulins along DEJ
SLE involving the skin. An H & E-stained section shows liquefactive degeneration of the basal layer of the epidermis and edema of the dermo-epidermal junction B.  An IF micrograph stained for IgG reveals deposits of Ig along the dermo-epidermal junction
SLE Serosa: Pericardial & pleural serosanguinous exudate Heart: Nonbacterial verrucous endocarditis (Libman- Sacks) multiple warty deposits on any valve on  either surface of leaflets
Libman-Sacks endocarditis of the mitral valve in lupus erythematosus. The vegetations attached to the margin of the thickened valve leaflet are indicated by arrows.
SLE Joint: No striking anatomic changes nor deformities, non- specific lymphocytic infiltrates Spleen: Splenomegaly, capsular thickening, and follicular  hyperplasia Lungs: Pleuritis and pleural effusions CNS: Multifocal cerebral infarcts from microvascular  injury Other Organs and Tissues: LE or hematoxylin bodiesnin  the bone marrow or other organs. Lymph nodes  may be enlarged with hyperplastic follicles or  even demonstrate necrotizing lymphadenitis
SLE: Morphology- Renal Mesangial GN  Mild s/s (10-25%)  Focal Proliferative GN  Mild s/s (20-35%)  Diffuse Proliferative GN  Hematuria, (35%- 60%)  proteinuria &  hypertension    renal failure Membranous GN  Severe proteinuria (10-15%)  & NS
Lupus nephritis, focal proliferative type. There are two focal necrotizing lesions in the glomerulus (arrows)
Lupus nephritis, diffuse proliferative type. There is marked increase in cellularity throughout the glomrulus
Immune complex deposition in SLE. IF micrograph of a glomrulus stained with anti-IgG from a patient with diffuse proliferative lupus nephritis.
Immune complex deposition in SLE. Electron micrograph of a renal glomerular capillary loop showing subendothelial dense deposits corresponding to “wire loops” seen by light microscopy. Deposits are also seen in the mesangium.
Lupus nephritis. A glomerulus with several “wire loop” lesions representing extensive subendothelial deposits of immune complexes.
Rheumatic Fever Etiology: Group A, streptococcal pharyngitis Pathogenesis: antibody cross-react with connective tissue in susceptible individuals   Autoimmune reaction (2- 3 wks)   Inflammation (T cells, macrophages)   Heart, skin, brain & joints
Morphology: Acute RF  Acute Inflammatory Phase Heart– Pancarditis Skin– Erythema Marginatum CNS– Sydenham Chorea Migratory polyarthritis Chronic RF Deforming fibrotic valvular disease
Acute Rheumatic vegetations:
Fish-mouth Mitral stenosis
Rheumatoid Arthritis: Etiology HLA- DR4/ DR1 associated (increased incidence) Incidence: 1% of population; 4 th  & 5 th  decades; 3 - 5X  F > M 80% of patients with Rheumatoid Factors (Abs against Fc portion of IgG)
Rheumatoid Arthritis: Pathogenesis Precise trigger is unknown Activation of T-helper cells   cytokines   activate B cells   Abs   Non-suppurative proliferative synovitis (destruction of articular cartilage & progressive disabling arthritis) Extra-articular manifestations resemble SLE or scleroderma
Multisystem manifestations of Rheumatoid arthritis. Although the initial manifestation is usually arthritis, Rheumatoid disease is a systemic illness.
Rheumatoid Arthritis:  Clinical course Symmetrical, polyarticular arthritis Weakness, fever, malaise may accompany joint symptoms Stiffness of joints in AM early   claw-like deformities Anemia of chronic disease present in late cases Severely crippling in 15-20 years, life expectancy reduced 4-10 years Amyloidosis develops in 5%-10% of patients
Rheumatoid Arthritis: Morphology Symmetric arthritis of small joints (proximal interphalangeal & metacarpophalangeal  Chronic synovitis, proliferation of synovial lining cells (villous projections) Subsynovial inflammatory cells   lymphoid nodules Pannus- highly vascularized, inflamed, reduplicated synovium Fibrosis & calcification   ankylosis Synovial fluid contains neutrophils
Rheumatoid synovitis. The synovium is swollen and shows villous pattern. There is great increase in chronic inflammatory cells in the synovial stroma, often with exudate in the joint space and fibrin deposited on the synovial surface.
Articular cartilage destruction. Vascular granulation tissue grows across the surface of the carilage (pannus) from the edges of the joint, and the articular surface shows loss of cartilage beneath the extending pannus.
The inflammatory pannus causes FOCAL DESTRUCTION OF BONE. At the edges of the joint there is osteolytic destruction of bone. This phase is associated with joint deformity.
 
The characteristic deformity and soft tissue swelling associated with long-standing rheumatoid disease of the hands.
 
 
Rheumatoid Arthritis: Morphology Rheumatoid nodules (25% of patients) Subcutaneous nodules along extensor surfaces of forearms or other sites of trauma  Firm, non-tender, up to 2 cm. diameter Dermal nodules with fibrinoid necrosis surrounded by macrophages & granulation tissue Progressive interstitial fibrosis of lungs some cases
Rheumatoid nodule. At the elbow there is a large raised subcutaneous nodule. The nodule is composed of degenerate collagen (arrow) surrounded by a chronic reaction with macrophages and giant cells, and walled off by fibrosis.
Juvenile Rheumatoid Arthritis Chronic idiopathic arthritis in children Some variants involve few large joints (pauciarticular) Do not have rheumatoid factor Others assoc. w/ HLA-B27 Uveitis may be present Still’s disease Acute febrile onset Leukocytosis Hepatosplenomegaly Lymphoadenopathy & skin rash
Sjogren’s Syndrome: Features Dry eyes (keratoconjunctivitis sicca) & dry mouth (xerostomia) due to immune destruction of the lacrimal and salivary glands Sicca syndrome- this phenomenon occurring as an isolated syndrome Frequently associated with RA, some with SLE or other autoimmune processes Associated with HLA- DR3
Sjogren’s syndrome: Pathogenesis Primary target is ductal epithelial cells of exocrine glands B-cell hyperactivity   hypergammaglobulinemia, ANAs Primary defect is in T-helper cells (too many) Most have anti -SS-A & anti-SS-B Abs
Sjogren’s syndrome: Clinical course Primarily in women > 40 Dry mouth, lack of tears Salivary glands enlarged Lacrimal & salivary gland inflammation of any cause (including Sjogren's) is called Mikulicz's syndrome 60% w/ other CTD 1% develop lymphoma, 10% w/ pseudolymphomas
 
 
 
Sjogren’s syndrome: Morphology All secretory glands can be involved Intense lymphoplasmacellular infiltrates 2ndary inflammation of corneal epithelium (due to drying)   ulceration & xerostomia Can develop respiratory symptoms 25% develop extraglandular disease (most with anti-SS-A) CNS, kidneys, skin & muscles
 
 
Systemic Sclerosis (Scleroderma) A chronic disease characterized by Chronic inflammation thought to be a result of autoimmunity Widespread damage to small blood vessels Progressive interstitial and perivascular fibrosis in the skin and multiple organs
Systemic Sclerosis (Scleroderma) Etiology: Unknown Most common in 3 rd - 5 th  decades 3X as frequent in women as in men  95% w/ skin involvement Can be Diffuse or Limited
Systemic Sclerosis (Scleroderma) Pathogenesis:  Abnormal immune responses CD4+ T cells responding to an unidentified antigen accumulates in the skin and release cytokines that activate inflammatory cell and fibroblasts Vascular damage Microvascular disease is consistently present early in the course of systemic sclerosis and may be the initial lesion Collagen deposition
Possible mechanisms leading to systemic sclerosis
Schematic illustration of the possible mechanisms leading to systemic sclerosis
Systemic Sclerosis (Scleroderma) Diffuse Scleroderma:  Anti-DNA topoisomerase I (Scl-70) is highly specific in 75% of patients (nucleolar pattern of staining) Limited Scleroderma (CREST):  Anti-centromere pattern in 60%-80% of patients Suggested that microvascular disease may play some role in development of fibrosis
Systemic Sclerosis:  Clinical course Raynaud’s phenomenon reversible vasospasm of digital  arteries   color changes; sensitivity to cold Fibrosis   joint immobilization Eosphageal fibrosis   dysphagia & GI hypomotility Pulmonary fibrosis   dyspnea & chronic cough   RSHF Malignant HPN (hyperplastic arteriolosclerosis)   renal  failure 35%-70% 10 year survival with Diffuse SS
Systemic Sclerosis: Clinical course  CREST (Limited Scleroderma) C alcinosis R aynaud’s phenomenon E sophageal dysmotility S clerodactyly (Dermal fibrosis) T elangiectasia Better long-term survival than Diffuse PSS
Multisystem manifestations of Systemic Sclerosis. Systemic Sclerosis affects a wide range of tissues and organ systems, often as a result of vascular obliteration.
The fingers in some patients with Systemic Sclerosis are narrowed, with tight shiny skin. Subcutaneous calcification (calcinosis cutis) can also be seen as white spots on the edges of the fingers.
 
 
 
Systemic Sclerosis: Morphology Skin: fingers & distal extremities then spreads, shows edema & inflammation   thickened collagen & epidermal atrophy; subcutaneous calcification (esp in CREST); Morphea- skin fibrosis only GI tract (80% of patients): atrophy & fibrosis of esophageal wall w/ mucosal atrophy, BV thickening
Systemic Sclerosis: Morphology MS: inflammatory synovitis   fibrosis   joint destruction; muscle atrophy Lungs: interstitial fibrosis (honeycomb) & BV thickening Kidneys: 66% concentric thickening of vessels 30% malignant hypertension (fibrinoid necrosis of arterioles) Heart: focal interstitial fibrosis & slight inflammation
 
Mixed Connective Tissue Disease Used to describe a disease with clinical features that are a mixture of the features of SLE, systemic sclerosis, and polymyositis Characterized  serologically by high titers of antibodies to ribonucleoprotein particle-containing U1ribonucleoprotein
Polyarteritis Nodosa and Other Vasculitides Belongs to a group of diseases characterized by necrotizing inflammation of the walls of blood vessels and showing strong evidence of an immunological pathogenetic mechanism
Polymyositis- Dermatomyositis- inclusion body myositis Inflammation of skeletal muscle with weakness Sometimes associated w/ skin rash (dermatomyositis)  Incidence: 40-60 also in 5-15 y/o, mostly in women Mainly mediated by cytotoxic CD8 cells In dermatomyositis, mainly ICs produce a vasculitis in muscle & skin Adults (10-20%) develop cancer
Polymyositis- Dermatomyositis- inclusion body myositis I.  Adult polymyositis (w/o skin involvement nor  visceral CA; CD8 mediated) II.  Adult dermatomyositis (Ab mediated) III.  Polymyositis or dermatomyositis w/  malignancy IV.  Childhood dermatomyositis V.  Polymyositis or dermatomyositis w/  immunologic  disease
Polymyositis- Dermatomyositis- inclusion body myositis Immunologic abnormality: Anti PM 1 & anti Jo Pathology: Striated muscles: necrosis, regeneration, mononuclear infiltrates & atrophy of symmetric proximal muscle groups Skin: Heliotrope rash; Grottons lesions
DERMATOMYOSITIS Take note of the rash affecting the eyelids.
DERMATOMYOSITIS The histologic appearance of muscle shows fascicular inflammation and atrophy.
INCLUSION BODY MYOSITIS Shows a vacuole within a myocyte.
Polymyositis- Dermatomyositis- inclusion body myositis: Diagnosis Location of muscles involved Elevation of CPK MM EMG Biopsy Cutaneous lesions
ANTINUCLEAR ANTIBODIES IN VARIOUS AUTOIMMUNE DISEASES
 
IMMUNODEFICIENCY SYNDROMES
IMMUNODEFICIENCY SYNDROMES Primary immunodeficiency disorders Almost always genetically determined Affect the humoral and/or cellular arms of adaptive immunity or the defense mechanisms of innate immunity Secondary immunodeficiency states May arise as complications of cancers, infections, malnutrition, or side-effects of immunosuppression, irradiation, or chemotherapy for cancer and other diseases
IMMUNODEFICIENCY SYNDROMES Risk factors for immune disorders Prematurity Autoimmune diseases (e.g., SLE) Lymphoproliferative disorders Infections (e.g., HIV) Immunosuppressive drugs (e.g., corticosteroids)
Simplified scheme of lymphocyte development and sites of block in primary immunodeficiency diseases
 
 
PRIMARY IMMUNODEFICIENCIES X-linked Agammaglobulinemia of Bruton ◘  Failure of B-cell precursors ( pro-B cells  and pre-B cells) to differentiate into B cells ◘  maturation stops after the rearrangement of heavy- chain genes; light chains are not produced ◘  the block in differentiation is due to mutations in a  cytoplasmic tyrosine kinase – Bruton tyrosinase  kinase ( btk )
PRIMARY IMMUNODEFICIENCIES X-linked Agammaglobulinemia of Bruton ◘  seen almost entirely in males but sporadic cases seen in  females ◘  does not become apparent until about 6 months of  life ◘  recurrent bacterial infections of the respiratory tract  call attention to the underlying immune defect – H.  influenzae, S. pneumoniae, or S. aureus ◘  35% of children develop arthritis that respond to Ig  therapy ◘  SLE and Dermatomyositis occur with increased frequency ◘  Treatment is replacement therapy with Ig
PRIMARY IMMUNODEFICIENCIES X-linked Agammaglobulinemia of Bruton Characteristics: ◘  B cells are absent or remarkably decreased and  serum classes of all Ig are depressed ◘  Germinal centers of LN, Peyer’s patches, the  appendix, and tonsils are underdeveloped or  rudimentary ◘  there is remarkable absence of plasma cells  throughout the body ◘  T cell-mediated reactions are entirely normal
PRIMARY IMMUNODEFICIENCIES 2.   Common Variable Immunodeficiency ◘  Feature common to all patients is hypogammaglobulinemia, generally affecting all classes of antibody but sometimes only IgG ◘  Diagnosis is based on exclusion of other well-defined causes of decreased antibody synthesis ◘  No evidence of any intrinsic B cell defect
PRIMARY IMMUNODEFICIENCIES Common Variable Immunodeficiency ◘  Clinical manifestations resemble X-linked agammaglobulinemia ◘  20% of patients have recurrent herpesvirus infections ◘  Affects both sexes equally ◘  Onset of symptoms is later – in childhood or adolescence ◘  Histologically, B cell areas of lymphoid tissues are hyperplasplastic ◘  Increased incidence of RA, PA, HA, lymphoid malignancy, and gastric cancer (50-fold)
PRIMARY IMMUNODEFICIENCIES 3. Isolated IgA deficiency ◘  Affected individuals have extremely low levels of both serum and secretory IgA ◘  Most individuals with this disease are completely asymptomatic ◘  Mucosal defenses are weakend and infections occur in the respiratory, gastrointestinal and urogenital tracts ◘  Symptomatic patients commonly present with recurrent sino-pulmonary infections and diarrhea
PRIMARY IMMUNODEFICIENCIES Isolated IgA deficiency ◘  Basic defect is in the differentiation of IgA B  lymphocytes  ◘  In most patients, the number of IgA positive B cells  is normal, but only few of these cells can be induced  to transform into IgA plasma cells in vitro ◘  Serum antibodies to IgA are found in approximately  40% of the patients ◘  Fatal anaphylactic reactions occur if transfused with  blood containing normal IgA
PRIMARY IMMUNODEFICIENCIES 4. Hyper IgM Syndrome ◘  Affected patients make IgM antibodies but are deficient in  their ability to produce IgG, IgA, and IgE antibodies ◘  A T cell disorder in which functionally abnormal T cells fail to  induce B cells to make antibodies of isotypes other than IgM ◘  Clinically, male patients with the X-linked form present with  recurrent pyogenic infections, susceptible to  Pneumocystis  carinii  pneumonia ◘  Serum of patients contains normal or elevated levels of IgM  and IgD but no IgA or IgE and extremely low levels of IgG
PRIMARY IMMUNODEFICIENCIES 5. DiGeorge Syndrome (Thymic Hypoplasia) ◘  T cell deficiency that derives from failure of  development of the 3 rd  and 4 th  pharyngeal pouches –  thymus, parathyroids, some clear cells of the thyroid,  and ultimobranchial body ◘  Variable loss of T cell-mediated immunity, tetany,  congenital defects of the heart and great vessels ◘  Appearance of the mouth, ears, and facies maybe  abnormal
PRIMARY IMMUNODEFICIENCIES DiGeorge Syndrome (Thymic Hypoplasia) ◘  Low levels of circulating T lymphocytes and a poor  defense against certain fungal and viral infections ◘  Plasma cells are present in normal numbers in  lymphoid tissues; depleted in paracortical areas of the  LN and periateriolar sheaths of spleen ◘  Ig levels maybe normal or reduced, depending on the  severity of the T cell deficiency
PRIMARY IMMUNODEFICIENCIES DiGeorge Syndrome (Thymic Hypoplasia) ◘  Partial DiGeorge syndrome – small but  histologically normal thymus, T cell function  improves with age ◘  Complete absence of thymus – transplantation  of fetal thymus may be of benefit ◘  A component of 22q11 deletion syndrome
PRIMARY IMMUNODEFICIENCIES 6.   Severe Combined Immunodeficiency Diseases ◘  Involves both humoral and cell-mediated  immune responses ◘  Affected infants present with oral candidiasis,  extensive diaper rash, and failure to thrive ◘  Definitive treatment – bone marrow  transplantation
PRIMARY IMMUNODEFICIENCIES Severe Combined Immunodeficiency Diseases ◘  Classic Form – defect in the common lymphoid stem cell ◘  X-linked – genetic defect is mutation in the common  γ  chain  subunit ( γ c) of several cytokine receptors ◘  Autosomal recesive – deficiency of the adenosine deaminase  (ADA) enzyme = leads to accumulation of deoxyadenosine and its  derivatives which are toxic to immature  lymphocytes esp. of T cell lineage ***histologic findings = small thymus devoid of lymphoid cells
PRIMARY IMMUNODEFICIENCIES 7. Immunodeficiency with Thrombocytopenia and Eczema (Wiskott-Aldrich Syndrome) ◘  X-linked recessive disease char. by thrombocytopenia,  eczema, and a marked vulnerability to recurrent infection  ending in early death ◘  Thymus is morphologically normal, but there is progressive  secondary depletion of T lymphocytes in the peripheral blood  and in the paracortical areas of LN ◘  IgM is low; IgG normal; IgA & IgE elevated ◘  The syndrome maps to Xp11.23 – inc. lymphoma ◘  Treatment is bone marrow transplantation
PRIMARY IMMUNODEFICIENCIES 8. Genetic Deficiencies of the Complement System ◘  Deficiency of C2 is the most common = inc. incidence of SLE-like disease ◘  Deficiency of C3 = serious and recurrent pyogenic infections = immune complex-mediated GN ◘  C5, 6, 7, 8, and 9 = increased susceptibility to recurrent neisserial  infections ◘  C1 inhibitor deficiency = hereditary angioedema
 
 
 
ACQUIRED IMMUNODEFICIENCY SYNDROME ◘  A retroviral disease characterized by by profound immunosuppression that leads to opportunistic infections, secondary neoplasms, and neurologic manifestations ◘  Second leading cause of death in men 25-44 years old ◘  3 rd  leading cause of death in women
HUMAN IMMUNODEFICIENCY VIRUS (HIV) Etiologic agent of AIDS Discovered independently by Luc Montagnier of France and Robert Gallo of the US in 1983-1984 Former names of the virus include : Human T cell Lymphotrophic virus (HTLV-III) Lymphadenopathy associated virus (LAV) AIDS associated retrovirus (ARV) ***HIV-2 discovered in 1986, antigenically distinct virus endemic in West Africa
ACQUIRED IMMUNODEFICIENCY SYNDROME ◘  Groups at risk of developing AIDS 1. Homosexual or bisexual men – over 50% 2. Intravenous drug abusers – 20%  3. Hemophiliacs – 0.5% 4. Recipients of blood and blood components –  1.0% 5. Heterosexual contacts of members of other  high-risk groups – 10%
ACQUIRED IMMUNODEFICIENCY SYNDROME ◘  2% of all cases occurs under 13 years old, 90% of these resulted from transmission of the virus from mother to child, remaining 10% are hemophiliacs or received blood/blood products ◘  3 major routes of transmission 1. sexual transmission – 75% 2. parenteral transmission    IV drug users, hemophiliacs, BT 3. mother-to-infant transmission
ACQUIRED IMMUNODEFICIENCY SYNDROME ◘  mother-to-infant transmission – pediatric AIDS 1. in utero by transplacental spread 2. during delivery through an infected birth  canal 3. after birth by ingestion of breast milk ☻☻ Extensive studies indicate that HIV infection  cannot  be transmitted by casual personal contact in the  household, workplace, or school ☻☻ Seroconversion after needle-stick injury – 0.3%
ACQUIRED IMMUNODEFICIENCY SYNDROME ◘  Etiology: 1. HIV-1 – most common type associated with  AIDS in the US, Europe, and Central  Africa 2. HIV-2 – West Africa and India
ACQUIRED IMMUNODEFICIENCY SYNDROME ◘  Contents of the viral core 1. major capsid protein p24 2. nucleocapsid protein p7/p9 3. two copies of genomic RNA 4. three viral enzymes – protease, reverse  transcriptase, and integrase ۞   p24 most readily detected viral antigen hence the target for the antibodies used for diagnosis
Schematic illustration of an HIV-1 virion
HIV proviral genome. Several viral genes and their corresponding functions
Life cycle of HIV, showing the steps from viral entry to production of infectious virions
Molecular basis of HIV entry into host cells.
Pathogenesis of HIV-1 infection.
Pathogenesis of HIV infection
Mechanisms of CD4+ T-cell loss in HIV infection
Multiple effects of loss of CD4 + T cells as a result of HIV infection
 
CDC Classification Categories of HIV infection AIDS, indicator conditions: constitutional disease, neurologic disease, or neoplasm B3 B2 B1 Symptomatic, not A nor C conditions A3 A2 A1 Asymptomatic, acute (primary) HIV, or persistent generalized lymphadenopathy 3 <200 cells/uL 2 200-499 cells/uL 1 > 500 cells/uL Clinical Categories
 
 
Typical course of HIV infection
 
 
 
Algorithm for Serologic Testing for AIDS
AMYLOIDOSIS
AMYLOIDOSIS ◘  Amyloid is a pathologic proteinaceous substance, deposited in between cells in various tissues and organs of the body in a wide variety of clinical settings ◘  Appears as an amorphous, eosinophilic, hyaline, extracellular substances that, with progressive accumulation, encroaches on and produces pressure atrophy of adjacent cells
Structure of an amyloid fibril
Amyloid structure
A section of the liver stained with Congo Red Yellow-green birefringence of the deposits observed under polarizing microscope
AMYLOIDOSIS ◘  Chemical nature - 95% consist of fibril proteins, 5% P component and other  glycoproteins - 3 most common amyloid proteins 1. AL (amyloid light chain) – derived from  plasma cells and contains Ig light chains 2. AA (amyloid-associated) – non-Ig protein  synthesized by the liver 3. A β  amyloid – found in Alzheimer disease ◘   Other biochemical distinct proteins found in amyloid deposits -  Transthyretin (TTR),  β 2-microglobulin,  prion proteins
Types of Amyloidosis 1. Systemic Similar tissue involvement in both primary and secondary types Primary amyloidosis AL amyloid deposition Associated with multiple myeloma (30% of cases) Secondary  (reactive) AA amyloid Associated with chronic inflammation (e.g., RA, Tb)
Types of Amyloidosis 2. Localized Confined to a single organ (e.g. brain) Alzheimer’s disease A ß Most common cause of dementia 3. Hereditary Autosomal recessive disorder involving AA amyloid (e.g., Familial Mediterranean fever)
 
AMYLOIDOSIS Pathogenesis Abnormal folding of proteins, which are deposited as fibrils in extracellular tissues and disrupt normal function
Proposed mechanisms in the pathogenesis of amyloidosis
Amyloidosis - Morphology ◘  Gross – Affected organs are often enlarged and  firm and have a waxy appearance.    - Painting the cut surface with iodine  imparts a yellow color that is  transformed to blue violet after  application of sulfuric acid ◘  Microscopic – Based almost entirely on its  staining characteristics (Congo Red)
Amyloidosis - Morphology ◘  Kidney - most common and potentially the most serious form of organ  involvement - may appear normal in size and color or it may be enlarged in  advanced cases - it may be shrunken and contracted due to vascular  narrowing induced by amyloid deposits - deposited primarily in glomeruli, but also affected  are the  interstitial peritubular tissue, arteries, and  arterioles
Amyloidosis - Morphology ◘  Kidney    thickening of the mesangial matrix + uneven widening of the basement membrane of glomerular capillaries    capillary narrowing and distortion of glomerular vascular tuft    obliteration of capillary lumens    masses or interlacing broad ribbons of amyloid
Amyloidosis of the kidney. The glomerular architecture is almost totally obliterated by the massive accumulation of amyloid
Amyloidosis - Morphology ◘  Spleen - inapparent grossly or may cause moderate to  marked splenomegaly (up tp 800 grams) -  Sago spleen     deposit limited largely the the  splenic follicles, producing tapioca-like  granules on gross inspection -  Lardaceous spleen     involves the walls of the  splenic sinuses and connective tissue  framework in the red pulp. Fusion of the early  deposits gives rise to large, maplike areas of  amyloidosis
Amyloidosis - Morphology ◘  Liver - grossly inapparent or cause moderate to marked  hepatomegaly - appears first in the space of Disse    encroach on  adjacent hepatic parenchymal cells and  sinusoids    deformity, pressure atrophy,  disappearance of hepatocytes - Vascular involvement and Kupffer cell depositions  are frequent - Normal liver function is usually preserved
Amyloidosis - Morphology ◘  Heart - may be enlarged and firm, shows no significant  changes on cross-section of the myocardium - deposits begin in subendocardial accumulations and  within the myocardium between the muscle  fibers    expansion    pressure atrophy - conduction system damaged leads to  electrocardiographic abnormalities
Amyloidosis - Morphology ◘  Other organs - encountered in systemic disease - adrenals, thyroid, and pituitary - GIT - tongue – tumor-forming amyloid of the tongue - Respiratory tract - Brain – Alzheimer’s disease - Peripheral and Autonomic nerves - median nerve – carpal tunnel syndrome
THANK YOU!

DISEASE OF IMMUNITY

  • 1.
    DISEASES OF IMMUNITYROBERTO D. PADUA JR., MD, DPSP DEPARTMENT OF PATHOLOGY FATIMA COLLEGE OF MEDICINE
  • 2.
    The immune systemprotects the host from invasion by foreign and potentially harmful agents. Characteristics: 1. distinguish self from non-self 2. discriminate among potential invaders (specificity) 3. maintain the presence of immune memory (anamnesis) 4. recall previous exposures and mount an amplified response to them
  • 3.
    ☻ Immune responsescan be elicited by a wide range of agents (termed antigens ) including microorganisms, chemicals, toxins, drugs, and transplanted tissues ☻ Adaptive immunity – immune responses that show antigen specificity and immune memory ☻ Innate immunity – does not demonstrate immune memory and lacks the exacting specificity of adaptive immunity
  • 4.
    Mechanisms involved inInnate and Adaptive immunity
  • 5.
    Innate and AdaptiveImmunity Innate Immunity Natural or native immunity Defense mechanisms present even before infection First line of defense Components Epithelial barriers Phagocytic cells (PMN’s and Macrophages) Dendritic cells NK cells Several plasma proteins, including the Complement system
  • 6.
    Innate and AdaptiveImmunity Innate Immunity Two most important cellular reactions 1. Inflammation  phagocytic leukocytes are recruited and activated to kill microbes 2. Anti-viral defense  mediated by dendritic cells and NK cells
  • 7.
    Innate and AdaptiveImmunity Innate Immunity  Pathogen-associated molecular patterns * Microbial structures recognized by leukocytes and epithelial cells  Danger-associated molecular patterns * Molecules released by injured and necrotic cells that are recognized by leukocytes *Pattern recognition receptors  Toll-like receptors (TLR’s)
  • 8.
    Innate and AdaptiveImmunity Toll-like Receptors (TLR’s)  homologous to the Drosophila protein  specific for components of different bacteria and viruses  located on the cell surface and in endosomes *Recognize and initiate cellular responses
  • 9.
    Different TLRs involvedin response to different microbial products
  • 10.
  • 11.
    Innate Immunity Epithelia(skin, respiratory, GIT)  provide mechanical barriers to the entry of microbes  produce anti-microbial molecules = defensins
  • 12.
    Innate Immunity Monocytesand Neutrophils  phagocytes in the blood recruited at the site of infection  monocytes that enter the tissues and mature are called macrophages
  • 13.
    Innate Immunity Dendriticcells  produce type I interferons, anti-viral cytokines that inhibit viral infection and replication Natural killer cells  provide early protection against many viruses and intracellular bacteria
  • 14.
    Innate Immunity Complementproteins * activated by binding to microbes using the alternative and lectin pathways
  • 15.
    Innate Immunity Mannose-bindinglectin and C-reactive protein * coat microbes for phagocytosis and complement activation Lung surfactant * protection against inhaled microbes
  • 16.
    Adaptive Immunity consists of lymphocytes and their products, including antibodies
  • 17.
    Adaptive Immunity Cell-mediated(cellular) immunity  responsible for defense against intracellular microbes  mediated by T (Thymus-derived) lymphocytes Humoral immunity  protects against extracellular microbes and their toxins  mediated by B (Bone-marrow derived) lymphocytes and their secreted products  antibodies
  • 18.
  • 19.
  • 20.
  • 21.
    CELLS OF THEIMMUNE SYSTEM Present Ag to CD4 T cells Precursors to macrophage lineage; cytokine release Class II MHC expressing cells Horse-shoe shaped nucleus Found in LN, blood, lungs and other organs Antigen Presenting Cells Monocytes Phagocytose and kill bacteria Parasitic defense and allergic response ___ None Staining with eosin ___ Granulocyte; short lifespan; multilobed nucleus Bilobed nucleus; heavily granulated cytoplasm See below Phagocytic cells: PMN’s Eosinophils Macrophages Kill antibody-decorated cells and virus-infected or tumor cells (no MHC restriction) Fc receptors for antibody: CD16, CD56, CD57 Large granular lymphocytes Natural Cytolytic cells: NK cells FUNCTION MARKERS CHARACTERISTICS CELLS
  • 22.
    CELLS OF THEIMMUNE SYSTEM Initiate inflammatory and acute phase response; have antibacterial, antiviral and anti-tumor activities Transport Ag to LN Efficient Ag presenters Produce cytokines Filter particles from blood Large, granular cells; Fc and C3 receptors __ __ __ __ __ Possible residence in tissue, spleen, LN, and other organs; activated by IFN- γ and TNF Presence in skin LN, tissues CNS and brain Presence in liver See below Antigen Presenting Cells Macrophages Langerhan’s cells Dendritic cells Microglial cells Kupffer cells B cells FUNCTION MARKERS CHARACTERISTICS CELLS
  • 23.
    CELLS OF THEIMMUNE SYSTEM Produce IL-2, other cytokines; stimulate T-cell and B-cell growth; promote B-cell differentiation, antibody production Promotes initial defenses (local) DTH, T killer cells Promote later humoral responses CD2, CD3, T-cell receptor CD2, CD3, T-cell receptor, CD4 IL-2, IFN- γ , lympho-toxin production IL-4, IL-5, IL-6, IL-10 production Mature in Thymus; large nucleus, small cytoplasm Helper/DTH cells; Activation by APCs via Class II MHC antigen presentation TH 1 subtype TH 2 subtype Antigen-Responsive Cells T cells (all) CD4 T cells FUNCTION MARKERS CHARACTERISTICS CELLS
  • 24.
    CELLS OF THEIMMUNE SYSTEM Release Histamine, provide allergic response, anti-parasitic Fc receptor for IgE Granulocytic Other cells Basophils/Mast cells Produce antibody and present antigen Terminally differentiated, antibody factories Surface antibody, Class II MHC antigens __ Mature in Peyer’s patches, BM, bursal equivalent; large nucleus, small cytoplasm; activation by Ag and T-cell factors Small nucleus, large cytoplasm Antibody-, Producing Cells B cells Plasma cells Kill viral, tumor, non-self cells; secrete TH 1 lymphokines Suppress T- cell and B-cell response CD2, CD3, T-cell receptor, CD8 CD2, CD3, T-cell receptor, CD8 Recognition of Ag presented by Class I MHC antigens Recognition of Ag presented by Class I MHC antigens Antigen-Responsive Cells CD8 T killer cells CD8 T cells (suppressor cells ) FUNCTION MARKERS CHARACTERISTICS CELLS
  • 25.
    T Lymphocytes Generatedfrom immature precursors in the thymus Mature, naïve T cells enters the circulation, constituting 60-70% of lymphocytes Found in the paracortical areas of LN and periarteriolar sheaths of spleen Each T cell is genetically programmed to recognize a specific cell-bound antigen by means of an antigen-specific T cell receptor (TCR)
  • 26.
    B lymphocytes Developfrom immature precursors in the bone marrow Mature B cells constitute 10-20% of the circulating peripheral lymphocytes Also seen in the LN (superficial cortex), spleen (white pulp), tonsils, and extralymphatic organs (e.g. GIT) Recognizes antigen via the B-cell antigen receptor complex Has unique antigen specificity derived partly from somatic rearrangements of immunoglobulin gene
  • 27.
  • 28.
    Cytokines ☻ Short-acting soluble mediators ☻ Includes lymphokines, monokines and other polypeptides that regulate immunologic, inflammatory, and reparative host responses ☻ Molecularly defined cytokines - Interleukins
  • 29.
    Cytokines Mediate innate(natural) immunity ♣ IL-1, TNF, type 1 IFN, IL-6 ♣ IL-12 and IFN- γ (innate and adaptive immunity) Regulate lymphocyte growth, activation and differentiation ♣ IL-2, IL-4, IL-12, IL-15 and TGF-B
  • 30.
    Cytokines 3. Activateinflammatory cells ♣ IFN- γ – macrophages ♣ IL-5 – eosinophils ♣ TNF and TNF- Β – PMN’s and endothelial cells 4. Affect leukocyte movement (Chemokines) ♣ C-C and C-X-C chemokines 5. Stimulate hematopoiesis ♣ derived from lymphocytes or stromal cells ♣ colony-stimulating factors
  • 31.
    Cytokines General Properties☺ produced by different cell types ☺ pleiotropic actions ☺ induce effects in 3 ways 1. act on the same cell that produces them (autocrine effect) 2. affect other cells in the vicinity (paracrine effect) 3. affect many cells systematically (endocrine effect) ☺ mediate their effects by binding to specific high- affinity receptors on their target cells
  • 32.
    SUBSETS OF THELPER CELLS IN RESPONSE TO STIMULI (MAINLY CYTOKINES)
  • 33.
    Histocompatibility Molecules ☼ Important for the induction and regulation of the immune response ☼ Principal physiologic function is to bind peptide fragments of foreign proteins for presentation to antigen-specific T cells ☼ Encoding genes are found in chromosome 6 MHC or HLA complex ☼ Class I and Class II genes encode cell surface glycoproteins involved in antigen presentation ☼ Class III genes encode components of the complement system
  • 34.
    Histocompatibility Molecules Categories:1. Class I MHC molecules ► expressed on all nucleated cells and platelets ► encoded by 3 closely linked loci – HLA-A, Hla-B, and HLA-C ► heterodimer molecules – polymorphic α linked noncovalently to nonpolymorphic peptide β -2 microglobulin ► CD8 T cells
  • 35.
    Histocompatibility Molecules Categories:2. Class II MHC molecules ► coded in the HLA-D region (HLA-DP, HLA-DQ, and HLA-DR) ► heterodimer, noncovalently binded α and β chains ► CD4 T cells
  • 36.
    Histocompatibility Molecules HLAand Disease Association ► mechanisms not fully understood ► grouped into the following categories ◘ Inflammatory diseases ◘ Inherited errors of metabolism ◘ Autoimmune disorders
  • 37.
    HLA and DiseaseAssociation 15.0 BW47 21-Hydroxylase deficiency 5 6 20 DR3 DR4 DR3/DR4 Type I diabetes 9 DR3 Primary Sjogren syndrome 13 DR3 Chronic active hepatitis 4 DR4 Rheumatoid arthritis 14 B27 Acute anterior uveitis 14 B27 Post-gonococcal arthritis 90 B27 Ankylosing spondylitis Relative Risk HLA Allele Disease
  • 38.
    Disorders of theImmune System ╬ Hypersensitivity reactions ╬ Autoimmune diseases ╬ Immunologic deficiency syndromes ╬ Amyloidosis
  • 39.
    Hypersensitivity Reactions andTissue injury ۩ Hypersensitivity is a misnomer ۩ These diseases result from normal immune responses ۩ Not Excessive or ‘Hyper’ responses ۩ Classification based on Immunologic Mechanisms
  • 40.
    General features ofhypersensitivity disorders Both exogenous and endogenous antigens may elicit hypersensitivity reactions The development of hypersensitivity diseases (both allergic and autoimmune disorders) is often associated with the inheritance of particular susceptibility genes Hypersensitivity reflects an imbalance between the effector mechanisms of immune responses and the control mechanisms that serve to normally limit such responses
  • 41.
    ۩ Results in tissue injury or other pathophysiological changes ۩ Occurs when an already sensitized individual is re- exposed to the same foreign substance ۩ May be immediate or delayed Hypersensitivity Reactions and Tissue Injury
  • 42.
    Ensuing tissue injurymay be caused by: ۩ Release of vasoactive substances ۩ Phagocytosis or lysis of cells ۩ Activation of inflammatory & cytolytic components of complement system ۩ Release of cytokines, proteolytic enzymes and other mediators of tissue injury or inflammation Hypersensitivity Reactions and Tissue Injury
  • 43.
  • 44.
  • 45.
    Immediate (Type I)Hypersensitivity A rapidly developing immunologic reaction occurring within minutes after the combination of an antigen with antibody bound to mast cells in individuals previously sensitized to the antigen The reaction is called an allergy, and the antigen that cause them are termed allergen Most are mediated by IgE antibody-dependent activation of mast cells and other leukocytes
  • 46.
    Immediate (Type I)Hypersensitivity Anaphylactic type Occurs within minutes IgE mediated Provoked by re-exposure to the same antigen (by contact, inhalation, ingestion, or injection) Mediated by antigen binding with antibody previously bound to mast cells or basophils Local or systemic
  • 47.
    Immediate (Type I)Hypersensitivity LOCAL ANAPHYLAXIS ♠ Atopy  genetically determined predisposition to develop localized anaphylactic reactions to inhaled or ingested allergens ♠ positive family history  chromosome 5q31 ♠ With higher serum IgE levels compared to general population
  • 48.
    Immediate (Type I)Hypersensitivity Two Phase Reaction ♠ Initial response is rapid - 5-30 min after exposure to antigen (subsides in 60 minutes) ◘ Vasodilatation, edema, smooth muscle spasm ♠ Late phase response - 2-8 hrs later ◘ Occurs in 50% of patients ◘ Infiltration by monocytes, eosinophils, basophils, PMN’s and CD4 T cells ◘ With mucosal epithelial damage
  • 49.
    Kinetics of theimmediate and late-phase reactions
  • 50.
    Type I Hypersensitivity ♠ Mast cells in tissues; Basophils circulate ♠ Both contain granules with Inflammatory Mediators ♠ Activated by cross-linking to IgE Fc receptors
  • 51.
  • 52.
  • 53.
  • 54.
  • 55.
  • 56.
  • 57.
    Vasodilatation, increased vascularpermeability Smooth muscle spasm Cellular infiltration
  • 58.
    Immediate (Type I)Hypersensitivity Primary Mediators ♠ Preformed and stored in granules ♠ Histamine ♠ Chemotactic factors for eosinophils and PMN’s ♠ Proteases
  • 59.
    Immediate (Type I)Hypersensitivity Secondary Mediators ♠ Lipid Mediators ◘ Platelet Activating Factor ◘ Arachidonic Acid ☻ Leukotrienes and Prostaglandin ♠ Cytokines ◘ TNF-alpha ◘ Interleukins 1, 4, 5, 6
  • 60.
    Immediate (Type I)Hypersensitivity ۞ Is the result of release of ‘a variety of chemotactic, vasoactive and spasmogenic compounds’
  • 61.
    Immediate (Type I)Hypersensitivity CLINICAL MANIFESTATIONS ♠ Systemic Disorder ♠ Local Reaction
  • 62.
    Immediate (Type I)Hypersensitivity SYSTEMIC ANAPHYLAXIS ♠ characterized by vascular shock, widespread edema, and difficulty in breathing ♠ Hospital setting = Antisera, hormones, enzymes, polysaccharides, and drugs (penicillin) ♠ Community setting = food allergies, insect toxins ♠ Itching, hives, skin erythema within minutes  respiratory difficulty or GIT symptoms ♠ Shock and Death can occur within minutes
  • 63.
    Immediate (Type I)Hypersensitivity LOCAL REACTIONS ♠ A ffects 10-20% of the population ♠ Skin or Mucosal Surfaces ◘ Urticaria (Hives) ♠ Skin and food allergies ♠ Hay fever ♠ Atopy - familial predisposition to allergy
  • 64.
  • 65.
    Immediate (Type I)Hypersensitivity What good is it? ☻ Fights Worm infection ☻ EEEEWWWWWW!!!!
  • 66.
    What is Asthma?♠ Hypersensitivity – Allergy , Type I ♠ Affects airways of lungs - Bronchi ♠ Allergens – in the air, mast cell - IgE ab. ♠ Inflammation of airways – Bronchitis. ♠ Genetic, Environmental, Race, Age. ♠ High in industrial cities 4-19%, Fiji < 1% ♠ Increasing incidence …!
  • 67.
  • 68.
    Asthma Mechanism: ►Allergy ► Inflammation of bronchi ► Obstruction ► Mucous Plugs
  • 69.
    INFLAMMATION Airflow LimitationTRIGGERS Exercise Cold Air, diseases, Airway Hyperresponsiveness Genetic* INDUCERS Allergens,pollutants
  • 70.
    Lung in Asthmawith Mucous plugs
  • 71.
  • 72.
    Asthma Microscopic PathologyObstructed and inflamed bronchi
  • 73.
    Asthma - Bronchialmorphology ◘ Inflammation ◘ Eosinophils ◘ Gland hyperplasia ◘ Mucous plug in lumen ◘ Hypertrophy of muscle layer
  • 74.
    IgE and parasites:IgE binds to parasite, then Eosinophil binds Degranulation!
  • 75.
  • 76.
    Type I Hypersensitivity DIAGNOSIS: ♠ History ♠ Skin prick test – (+) wheal & flare ♠ CBC showing eosinophilia ♠ RAST (Radioallergosorbent assay)
  • 77.
    Type I Hypersensitivity TREATMENT: ♠ Anti-histamine – acts on first phase only ♠ Corticosteroids – late phase reaction ♠ Desensitization – to induce tolerance; no IgE production  deplete already bound IgE
  • 78.
    Antibody-Mediated (Type II) Hypersensitivity ♥ Mediated by antibodies directed toward antigens present on the cell surfaces or extracellular matrix ♥ IgG and IgM ♥ Antigenic determinants – intrinsic or exogenous
  • 79.
    Antibody-Mediated (Type II)Hypersensitivity MECHANISMS: ♥ Opsonization and Complement-and Fc Receptor-Mediated Phagocytosis  Cells targeted by antibodies are coated (opsonized) with molecules that make them attractive for phagocytes  Activates the complement system producing C3b and C4b  deposited on the surface of the cells and recognized by phagocytes (Fc receptors)  Results to the phagocytosis of the opsonized cells and their destruction  Complement activation  formation of MAC  disrupts membrane integrity  osmotic lysis of cells
  • 80.
    Type II HypersensitivityReaction – Opsonization and Complement-and Fc-Receptor Mediated Phagocytosis
  • 81.
  • 82.
    Antibody-Mediated (Type II)Hypersensitivity *Antibody-dependent cellular cytotoxicity (ADCC)  does not involve fixation of complement, requires cooperation of leukocytes  Coated cells with low concentrations of IgG antibody are killed by a variety of effector cells (monocytes, PMNs, eosinophils, and NK cells)  bind to the target by their receptors to the Fc fragment of IgG  cell lysis without phagocytosis
  • 83.
    MECHANISMS: Antibody-Dependent Cell-MediatedCytotoxicity (ADCC) Source: Robbins PATHOLOGIC BASIS OF DISEASE 6 th ed.
  • 84.
    Antibody-Mediated (Type II)Hypersensitivity Clinical Conditions 1. Transfusion reaction - cells from an incompatible donor react with and are opsonized by preformed antibody in the host 2. Erythroblastosis fetalis - there is an antigenic difference b/w the mother and the fetus, and antibodies (IgG) from the mother cross the placenta and cause destruction of RBCs 3. Autoimmune hemolytic anemia, agranulocytosis, thrombocytopenia - individuals produce antibodies to their own blood cells which are then destroyed 4. Certain drug reactions - antibodies are produced that reacts with the drug, which may be attached to the surface of RBCs or other cells
  • 85.
    An example oftype II hypersensitivity
  • 86.
    Pathogenic functions ofauto-antibodies ------------------------------------------------------------ type II hypersensitivity response - ex: RBC autoantibodies ==> hemolysis ------------------------------------------------------------ C’
  • 87.
    Antibody-Mediated (Type II)Hypersensitivity ♥ Complement-and Fc Receptor-Mediated Inflammation  antibodies deposited in extracellular tissues (basement membrane and matrix  activate complement (C5a, C4a, and C3a)  recruits PMNs and monocytes  release injurious substances (enzymes and reactive O2 intermediates  inflammation
  • 88.
    Antibody-Mediated (Type II)Hypersensitivity – Complement-and Fc Receptor-Mediated Inflammation
  • 89.
    Antibody-Mediated (Type II)Hypersensitivity ***Responsible for tissue injury in some form of glomerulonephritis, vascular rejection in organ grafts, and other diseases
  • 90.
    Antibody-Mediated (Type II)Hypersensitivity ♥ Antibody-Mediated Cellular Dysfunction  Antibodies directed against cell-surface receptors impair or dysregulate function without causing cell injury or inflammation
  • 91.
    Antibody-Mediated (Type II)Hypersensitivity – Antibody-Mediated Cellular Dysfunction
  • 92.
    An example oftype II hypersensitivity
  • 93.
    Pathogenic functions ofauto-antibodies ------------------------------------------------------------ type II hypersensitivity response - ex: GBM autoantibodies ==> glomerulonephritis Goodpasture’s syndrome GBM Podocytes
  • 94.
  • 95.
    Immune Complex-Mediated (TypeIII) Hypersensitivity ☻ Antigen-antibody complexes produce tissue damage mainly by eliciting inflammation at the sites of deposition
  • 96.
    Immune Complex-Mediated (TypeIII) Hypersensitivity ♦ Antigen - Antibody Complexes initiate acute inflammation ◘ Complement activation and accumulation of PMN’s ♦ Endogenous Antigens – DNA ◘ circulating Ag’s present in the blood, or, more commonly, antigenic components of one’s own cells and tissues ♦ Exogenous Antigens - Bacteria, Viruses, Foreign protein, etc. ♦ Immune Complexes form in circulation or ♦ Antigens are ‘planted’ and IC’s form in situ ♦ Can be generalized or localized
  • 97.
  • 98.
  • 99.
  • 100.
    Systemic Immune ComplexDisease Prototype disorder – Acute serum sickness Frequent sequela to the administration of large amounts of foreign serum (e.g. horse immune serum for passive immunization) Pathogenesis (3 phases) 1. formation of Ag-Ab complexes 2. deposition of immune complexes 3. inflammatory reaction at the site of deposition
  • 101.
  • 102.
  • 103.
    Systemic Immune ComplexDisease Two mechanisms causing inflammation at the site of deposition 1. activation of the complement cascade 2. activation of neutrophils and macrophages through their Fc receptors  release of pro-inflammatory substances (prostaglandins, vasodilator peptides, chemotactic substances, lysosomal enzymes, oxygen free radicals)
  • 104.
    Systemic Immune ComplexDisease *** The important role of complement in the pathogenesis of the tissue injury is supported by the observations that during the active phase of the disease, consumption of complement decreases the serum levels, and experimental depletion of the complement greatly reduces the severity of the lesion.
  • 105.
    Systemic Immune ComplexDisease ***Chronic form of serum sickness results from repeated or prolonged exposure to an antigen ***Continous antigenemia is necessary for the development of chronic immune complex disease because complexes in antigen excess are the ones deposited in vascular beds – e.g. SLE
  • 106.
    Systemic Immune ComplexDisease Morphology  acute necrotizing vasculitis, with necrosis of vessel wall and intense neutrophilic infiltration  fibrinoid necrosis – smudgy, eosinophilic deposit that obscures the underlying cellular detail  affected glomeruli are hypercellular because of swelling and proliferation of endothelial and mesangial cells, accompanied by neutrophilic and monocytic infiltration  IF microscopy – granular lumpy deposits of Ig and Complement  Electron microscopy – electron-dense deposits along GBM
  • 107.
    Systemic Immune ComplexDisease ◘ Tissues affected ☼ Kidneys, joints, skin, heart, serosal surfaces and small vessels ◘ The reason(s) for this specific organ/tissue predeliction is unknown
  • 108.
    Vasculitis Immune complexvasculitis. The necrotic vessel wall is replaced by smudgy, pink “fibrinoid” material.
  • 109.
  • 110.
  • 111.
    Local Immune ComplexDisease ♦ LOCAL (ARTHUS REACTION) ◘ Localized tissue necrosis from acute immune vasculitis ◘ Can induce experimentally by injecting antigen into the skin of a pre-sensitized recipient ◘ Local PMN recruitment and fibrinoid necrosis  thrombi formation  local ischemic injury
  • 112.
  • 113.
    T Cell-Mediated (TypeIV) Hypersensitivity ♣ T-Cells are the active agents not Antibodies ☼ Otherwise Type II is very similar to Type IV ♣ Delayed-Type  mediated by CD4+ T cells ♣ Direct Cell Cytotoxicity  mediated by CD8+ T cells
  • 114.
    Mechanisms of DelayedType Hypersensitivity Reactions
  • 115.
    Mechanism of DirectT Cell Cytotoxicity
  • 116.
    Type IV HypersensitivityDelayed Type ♣ Tuberculin Skin Test (Mantoux Reaction) ♣ Granuloma Formation Nodular aggregate of Epithelioid Macrophages surrounded by a rim of lymphocytes Multinucleated Giant Cells may be present ♣ Persistent organisms that are poorly degraded (tuberculosis)
  • 117.
    Type IV Hypersensitivity Delayed Type ♣ “ The Type of inflammation characteristic of this Reaction is called Granulomatous Inflammation” ♣ The key cell is the epithelioid macrophage NOT the Giant Cell!!
  • 118.
    Formation of granulomain Type IV Hypersensitivity
  • 119.
  • 120.
    Langhan’s Giant CellPicture Robbins Textbook of Pathology 1971
  • 121.
    Type IV -Cell Mediated Delayed Hypersensitivity ♣ TB antigen processing by macrophages  presentation to CD4 T cells  sensitized CD4 cells that remain in the circulation Re-exposure  activation, amplification and recruitment of Macrophages which cause the majority of tissue damage IL-2 and IFN-gamma are the most important cytokines
  • 122.
    Type IV -Cell Mediated Delayed Type ♣ Major defense against Tuberculosis & Fungi
  • 123.
    Type IV -Cell Mediated Delayed Type ♣ Major defense against Tuberculosis & Fungi ♣ Patients with AIDS have little defense against these organisms due to the extreme decline in CD4 cells
  • 124.
    Type IV -T-cell Mediated Cytotoxicity ♣ Sensitized T cell directly kill cells ♣ Major role in Transplant Rejection ♣ Protects against Viral Infections
  • 125.
    Type IV -T-cell Mediated Cytotoxicity ♣ CD8 or Cytotoxic T Lymphocytes are the effector cells ◘ Lyse target cells Perforin release leads to osmotic lysis Fas binding leads to apoptosis ◘ Release cytokines e.g. interferon gamma
  • 126.
    Key Facts onHypersensitivity Reactions Type I : IgE/mast cell-mediated liberation of histamine. Local and systemic anaphylaxis. Type II: antibodies bind to cell surface. Damage by complement activation or cellular cytotoxicity, or may stimulate/block a receptor Type III: antigen-antibody complexes, either local or circulating. Cause damage by activating complement in tissues at site of trapping of complexes. Type IV: T-cell mediated: CD4 cells recruit macrophages; CD8 cells cause cytotoxicity
  • 127.
  • 128.
    Transplant Rejection Factorsenhancing graft survival ABO blood group compatibility between recipients and donors Absence of pre-formed anti-HLA cytotoxic antibodies in recipients People must have previous exposure to blood products to develop HLA cytotoxic antibodies Close matches of HLA-A, -B, and –D loci between recipients and donors
  • 129.
    Transplant Rejection Typeof grafts Autograft (i.e., self to self) Associated with the best survival rate Syngenetic graft (isograft) Between identical twins Allograft Between genetically different individuals of the same species Xenograft Between two species Example = transplant of heart valve from pig to human
  • 130.
    Transplant Rejection ◙ Involves recognition of major histocompatibility antigens (HLA) The most important HLA presenting cells are the donor lymphocytes, especially dendritic cells, contained within the graft Mediated by: CD8+ & CD4+ T cells
  • 131.
    Transplant Rejection ◙ T cells Lyse graft cells Attract and activate macrophages Increase vascular permeability with local accumulation of lymphocytes and macrophages
  • 132.
    Hyperacute Transplant Rejection◙ Preformed anti-donor antibodies are present Hx of previous Transplant Multiparous women Previous blood transfusions ◙ Circulating antibodies react with the graft
  • 133.
    Hyperacute Rejection PathogenesisABO incompatibility or action of preformed anti-HLA antibodies in the recipient directed against donor antigens in vascular endothelium Type II hypersensitivity reaction
  • 134.
    Hyperacute Transplant Rejection◙ Complement fixes, PMN’s arrive ◙ Graft destroyed in MINUTES to hours ◙ This no longer occurs Much better graft screening
  • 135.
    Morphology of Rejection Hyper-acute Rejection ۩۩۩ Widespread arteritis, thrombosis of vessels, and ischemic necrosis
  • 136.
  • 137.
  • 138.
    Antibody- mediated damageto the blood vessel in a renal allograft. The blood vessel is markedly thickened and the lumen is obstructed by proliferating fibroblast and foamy macrophages.
  • 139.
    Acute Rejection Mostcommon transplant rejection Reversible reaction that occurs within days to weeks 1) Type IV cell-mediated hypersensitivity CD4 T cells release cytokines, resulting in activation of host macrophages, proliferation of CD8 T cells  destruction of donor graft cell Extensive interstitial round cell lymphocytic infiltrate in the graft, edema, and endothelial cell injury
  • 140.
    Acute Rejection 2)Antibody-mediated Type II hypersensitivity reaction - Cytokines from CD4 T cells promote B-cell differentiation into plasma cells  anti-HLA antibodies  attack vessels in the donor graft - Vasculitis with intravascular thrombosis in recent grafts - Intimal thickening with obliteration of vessel lumens in older grafts
  • 141.
    Acute Rejection ***Acuterejection is potentially reversible with immunosuppressive agents such as cyclosporine (blocks CD4 T-cell release of IL-2), OKT3 (monoclonal antibody against T-cell antigen recognition site and corticosteroids (lymphotoxic) ***Immunosuppressive therapy is associated with an increased risk of cervical squamous cancer, malignant lymphoma, and skin squamous cell carcinoma (most common)
  • 142.
    Morphology of AcuteRejection ۞ Onset usually 7-10 days ۞ Detected by slight rise in serum creatinine ۞ Mononuclear cell tubulo-interstitial infiltrate with tubular injury and interstitial edema ۞ Vasculitis is very uncommon
  • 143.
    Acute cellular rejectionof a renal allograft R – Intense mononuclear cell infiltrate between the glomerulus and the tubules L – Tubules undergoing destruction by invading lymphocytes
  • 144.
  • 145.
  • 146.
  • 147.
    Chronic Rejection ۞ Irreversible reactions that occurs over months to years ۞ Involves continued vascular injury with ischemia to tissues ۞ Dominant histological features arterial and arteriolar intimal thickening thick glomerular capillary walls tubular atrophy interstitial fibrosis ۞ Cause is unclear ۞ Therapy is ineffective
  • 148.
    Schematic representation thatlead to the destruction of histo-incompatible grafts
  • 149.
    Transplantation of OtherSolid Organs In heart and liver transplants, unlike kidney transplantation, no effort is made to match HLA antigens in donor and hosts This is due to size compatibility requirements & The time a liver/heart remains viable is low
  • 150.
    Allogeneic Hematopoietic CellTransplant Bone Marrow Transplants Graft - versus - host disease and transplant rejection can occur Rejection is mediated by T cells and NK cells
  • 151.
    Bone Marrow Transplants Graft - Versus - Host Disease Causes Potential complication in bone marrow transplant Potential complication in blood transfusions given to patients with a T-cell immunodeficiency and newborns
  • 152.
    Bone Marrow Transplants Graft - Versus - Host Disease Pathogenesis Donor T-cells recognize host tissue as foreign and activate host CD4 and CD8 T cells Clinical Findings Bile duct necrosis (jaundice) Gastrointestinal mucosa ulceration (bloody diarrhea) Dermatitis
  • 153.
    Bone Marrow Transplants Graft - Versus - Host Disease Donor marrow cells recognize host as “Foreign” The host is “rejected” Three principal targets: Liver Skin GI tract
  • 154.
    SOME TYPES OFTRANSPLANTS Graft contains pluripotential cells that repopulate host stem cells Host assumes donor ABO group Danger of graft-versus-host reaction and CMV infection Bone marrow Better survival with kidney from living donor than from cadaver Kidney Best allograft survival rate Danger of transmission of C-J disease Cornea COMMENTS TYPE OF TRANSPLANT
  • 155.
  • 156.
    Introduction Autoimmunity- immunereaction against “self-antigens”  Tissue damage Single organ or multi-system diseases More than 1 auto-antibody in a given disease may occur Common in females
  • 157.
    Autoimmunity Three Requirements1. The presence of an immune reaction specific for some self-antigen or self-tissue 2. Evidence that such a reaction is not secondary to tissue damage but is of primary pathogenic significance 3. The absence of another well-defined cause of the disease
  • 158.
    Autoimmunity Clinical manifestationsVariable Organ-specific disease immune responses are directed against a single organ or tissue Systemic or generalized disease Autoimmune reactions are against widespread antigens *** Results from loss of self-tolerance
  • 159.
    Immune-mediated Inflammatory DiseaseDiseases mediated by antibodies and immune complexes Organ-specific autoimmune diseases Autoimmune Hemolytic anemia Autoimmune thrombocytopenia Myastenia gravis Graves disease Goodpasture syndrome Systemic autoimmune diseases Systemic Lupus Erythematosus (SLE) Diseases caused by autoimmunity or by reactions to microbial antigens Polyarteritis nodosa
  • 160.
    Immune-mediated Inflammatory DiseaseDiseases mediated by T cells Organ-specific autoimmune diseases Type I Diabetes mellitus Multiple sclerosis Systemic autoimmune diseases Rheumatoid arthritis* Systemic sclerosis* Sjogren syndrome* Diseases caused by autoimmunity or by reactions to microbial antigens Inflammatory bowel disease (Crohn disease, Ulcerative colitis) Inflammatory myopathies *Antibodies may also play a role in these diseases
  • 161.
    Immunological Tolerance Itis the phenomenon of unresponsiveness to an antigen as a result of exposure to lymphocytes to that antigen Self-tolerance  lack of responsiveness to an individual’s own antigen Underlies our ability to live in harmony with our cells and tissues Lymphocytes with receptors capable of recognizing self-antigens are being generated constantly  eliminated or inactivated as soon as they recognize the antigens Mechanisms : Central tolerance and Peripheral tolerance
  • 162.
    CENTRAL TOLERANCE Negativeselection or deletion of self-reactive T and B lymphocytes during their maturation in the central lymphoid organs T cells T lymphocytes that bear high-affinity receptors for self-antigens are negatively selected or deleted  undergo apoptosis AIRE (autoimmune regulator) – a protein that stimulates expression of some “peripheral tissue-restricted” self-antigens in thymus  critical for deletion of immature T cells specific for these antigens occur during fetal development
  • 163.
    CENTRAL TOLERANCE Bcells Also undergo negative selection or deletion Receptor Editing – when developing B cells strongly recognize self antigens in the BM  reactivate the machinery of antigen receptor gene rearrangement  express new antigen receptors not specific for self-antigens Failure  self-reactive cells undergo apoptosis  purging dangerous lymphocytes from the mature pool Occurs throughout life
  • 164.
    PERIPHERAL TOLERANCE Self-reactiveT cells that escape intra-thymic negative selection are deleted or muzzled in the peripheral tissues
  • 165.
    PERIPHERAL TOLERANCE  Silence potentially autoreactive T and B cells in peripheral tissues  Best defined for T cells  Mechanisms: 1. Anergy 2. Suppression by regulatory T cells 3. Deletion by activation-induced cell death
  • 166.
    PERIPHERAL TOLERANCE Anergy Prolonged or irreversible functional inactivation of lymphocytes, induced by encounter with antigens  T cells – due to absence of co-stimulatory molecules on APCs, such as B7-1 & B7-2  B cells – due to lack of T cell help for antibody synthesis (T cell anergy or down-regulation of surface IgM)
  • 167.
    PERIPHERAL TOLERANCE Suppressionby regulatory T cells  Regulatory T cells plays a major role in preventing immune reactions against self-antigens  CD4 T cells is the best defined regulatory T cells that expresses CD25, the alpha chain of the IL-2 receptor, and a transcription factor of the forkhead family (Foxp3) ***both are required for the development and maintenance of functional CD4+ regulatory T cells  Mutations in Fox3p result in severe autoimmunity ***cause of autoimmune disease called IPEX (immune dysregulation, polyendocrinopathy, enteropathy, X-linked)
  • 168.
    PERIPHERAL TOLERANCE Deletionby activation-induced cell death  CD4+ T cells that recognize self-antigens may receive signals that promote their death by apoptosis  two mechanisms 1. Expression of a pro-apoptotic member of the Bcl family (Bim), without anti-apoptotic members of the family, Bcl-2 and Bcl-x  unopposed Bim triggers apoptosis by the mitochondrial pathway 2. Involves the Fas-Fas ligand system  engagement of Fas by FasL induces apoptosis of activated T cells by the death receptor pathway
  • 169.
  • 170.
    MECHANISMS OF IMMUNOLOGICALTOLERANCE. 7H EDITION
  • 171.
    Mechanism of AutoimmunityAutoimmunity arises from a combination of the inheritance of susceptibility genes, which may contribute to the breakdown of self-tolerance, and environmental triggers, such as infections and tissue damage, which promote the activation of self-reactive lymphocytes These genetic and environmental influences conspire to create an imbalance between control mechanisms that normally function to prevent self-reactivity and pathways that lead to activation of pathogenic effector lymphocytes
  • 172.
  • 173.
    Mechanism of AutoimmunityROLE OF SUSCEPTIBILITY GENES Most autoimmune diseases are complex multigenic disorders HLA genes – affects the negative selection of T cells in the thymus or the development of regulatory T cells Non-MHC genes PTPN-22 = most frequently implicated in autoimmunity; encodes for the protein tyrosine phosphatase NOD-2 = cytoplasmic sensor of microbes; associated with Crohn disease Genes encoding the IL-2 receptor (CD25) and IL-7 receptor alpha chain = control the maintenance of regulatory T cells
  • 174.
    Mechanisms of AutoimmunityROLE OF INFECTIONS Infections may up-regulate the expression of costimulators on APCs Results in breakdown of anergy and activation of T cells specific for the self-antigens Molecular mimicry Microbes may express antigens that have the same amino acid sequences as self-antigens Immune responses against the microbial antigens may result in activation of self-reactive lymphocytes RHD – antibodies against streptococcal proteins cross-react with myocardial proteins Polyclonal B-cell activation Some viral infections may result in production of autoantibodies EBV and HIV
  • 175.
    POSTULATED ROLE OFINFECTIONS IN AUTOIMMUNITY
  • 176.
    Mechanisms of AutoimmunityRELEASE OF SEQUESTERD ANTIGENS  Some antigens are hidden (sequestered) from the immune system, because the tissues in which antigens are located do not communicate with the blood and lymph. self-antigens in these tissues do not induce tolerance but fail to elicit immune responses and are essentially ignored by the immune system Immune-privileged sites – testis, eye, and brain Trauma to these sites  release antigens  tissue inflammation and injury
  • 177.
    General Features ofAutoimmune Diseases Once induced it tends to be progressive, sometimes with sporadic relapses and remissions, and the damage becomes inexorable Epitope Spreading Infections and initial autoimmune response  damage tissues, release self antigens and exposed epitopes of the antigens that are normally concealed from the immune system  continuing activation of lymphocytes The clinical and pathologic manifestations of an autoimmune disease are determined by the nature of the underlying immune response Different autoimmune diseases show substancial clinical, pathologic, and serologic overlaps
  • 178.
    Microbial infections associatedwith autoimmune diseases Multiple sclerosis Mixed cryoglobulinemia Allergic encephalitis Scleroderma VIRUSES Hepatitis B virus Hepatitis C virus Measles virus Cytomegalovirus Rheumatic fever Guillain-Barre syndrome Primary biliary cirrhosis Reiter’s syndrome Reiter’s syndrome Grave’s disease Lyme arthritis BACTERIA Streptococcus pyogenes Campylobacter jejuni Escherichia coli Chlamydia trachomatis Shigella sp. Yersinia enterocolitica Borrelia burgdorferi Autoimmune disease Microbe
  • 179.
    ORGAN-SPECIFIC AUTOIMMUNE DISEASESIntrinsic factor and parietal cells BM of kidney & lung Islet cell Adrenal cortex Sperm Desmoglein in tight junctions of skin Thyroglobulin Thyroid peroxidase Pernicious anemia Goodpasture’s synd. IDDM Addison’s disease Male infertility Pemphigus Hashimoto’s Primary myxedema Antibody to cell components other than receptors Acetylcholine receptor TSH receptor Myasthenia gravis Grave’s disease Antibody to receptors Target of Immune Response Autoimmune Disease Type of Immune Response
  • 180.
    NON-ORGAN SPECIFIC AUTOIMMUNEDISEASES IgG in joints dsDNA, histones RNP antigens (SS-A/Ro and SS-B/La) Myelin protein Rheumatoid arthritis SLE Sjogren’s syndrome (Sicca syndrome) Guillain-Barre synd. Antibody to cell components other than receptors Target of Immune Response Autoimmune Disease Type of Immune Response
  • 181.
    Systemic Lupus Erythematosus(SLE) Etiology: Unknown Pathogenesis: Failure to maintain self-tolerance due to polyclonal autoantibodies Multisystem: Skin, kidneys, serosal surfaces, joints, CNS & heart Incidence: 1:2500 more common in black Americans; 10X F > M; 2nd- 3rd decades
  • 182.
    SLE: Predisposing FactorsGenetic factors 30% concordance in monozygotic twins Associated w/ HLA-DR 2 & 3 loci Non-genetic factors Drugs (procainamide, isoniazid, d- penicillamine & hydralazine)  LE like s/s Androgens protect, estrogens enhance UV light may trigger
  • 183.
    SLE Immunologic factorsB-cell hyper-reactivity caused by excess T-helper activity How self-tolerance is lost is not known
  • 184.
    Model for thepathogenesis of SLE
  • 185.
    MODEL FOR THEPATHOGENESIS OF SYSTEMIC LUPUS ERYTHEMATOSUS
  • 186.
    Revised Criteria forClassification of SLE Malar rash Discoid rash Photosensitivity (Photodermatitis) Oral ulcers Arthritis Serositis- Pleuritis; Pericarditis Renal disorder Persistent proteinuria > 0.5 gms/ day or > 3+ if quantitation not performed, or; Cellular casts- red cell, hemoglobin, granular, tubular, or mixed
  • 187.
    Revised Criteria forClassification of SLE Neurologic disorder- Seizures; Psychosis Hematologic disorder Hemolytic A with reticulocytosis PANCYTOPENIA Immunologic disorder: (+) LE cell prep; (+) Anti- dsDNA (+) Anti-Sm (+) Antiphospholipid antibodies Anticardiolipin antibodies (+) lupus anticoagulant False-positive serologic test for syphilis ANA
  • 188.
    CLINICAL MANIFESTATIONS OFSLE 100 80-90 85 55-85 80-100 60 50-70 25-35 45 35 25 20 15-40 15 15 8 th Edition
  • 189.
    Multisystem manifestations ofSystemic Lupus Erythematosus. SLE affects a wide range of tissues and organ systems
  • 190.
  • 191.
  • 192.
    Revised Criteria forClassification of SLE Any 4 or more of the 11 criteria present, serially or simultaneously, during any interval of observation = SLE In 1997, anti-phospholipid antibody was added to the list of criteria for the classification of SLE
  • 193.
    SLE Antinuclear antibodiesAntibodies to DNA (Classic SLE) Antibodies to histones (Drug induced SLE) Antibodies to non- histone proteins bound to RNA Antibodies to nucleolar antigens ANA test is sensitive, but non specific
  • 194.
    SLE Mechanisms oftissue injury Type III hypersensitivity reactions with DNA-anti-DNA complexes depositing in vessels LE cell - any phagocytic leukocyte (neutrophil or macrophage) that engulfs denatured nuclei of injured cells (evidence of cell injury and exposed nuclei)
  • 195.
  • 196.
    SLE: Morphology BV:Acute necrotizing vasculitis of small arteries or arterioles in any organs Skin: Erythematous maculopapular eruption over malar regions exacerbated by sun-exposure; some patients have discoid LE with no systemic involvement Liquefactive degeneration of basal layer Interface dermatitis w/ superficial & deep perivascular lymphocytic infiltrates w/ deposits of immunoglobulins along DEJ
  • 197.
    SLE involving theskin. An H & E-stained section shows liquefactive degeneration of the basal layer of the epidermis and edema of the dermo-epidermal junction B. An IF micrograph stained for IgG reveals deposits of Ig along the dermo-epidermal junction
  • 198.
    SLE Serosa: Pericardial& pleural serosanguinous exudate Heart: Nonbacterial verrucous endocarditis (Libman- Sacks) multiple warty deposits on any valve on either surface of leaflets
  • 199.
    Libman-Sacks endocarditis ofthe mitral valve in lupus erythematosus. The vegetations attached to the margin of the thickened valve leaflet are indicated by arrows.
  • 200.
    SLE Joint: Nostriking anatomic changes nor deformities, non- specific lymphocytic infiltrates Spleen: Splenomegaly, capsular thickening, and follicular hyperplasia Lungs: Pleuritis and pleural effusions CNS: Multifocal cerebral infarcts from microvascular injury Other Organs and Tissues: LE or hematoxylin bodiesnin the bone marrow or other organs. Lymph nodes may be enlarged with hyperplastic follicles or even demonstrate necrotizing lymphadenitis
  • 201.
    SLE: Morphology- RenalMesangial GN Mild s/s (10-25%) Focal Proliferative GN Mild s/s (20-35%) Diffuse Proliferative GN Hematuria, (35%- 60%) proteinuria & hypertension  renal failure Membranous GN Severe proteinuria (10-15%) & NS
  • 202.
    Lupus nephritis, focalproliferative type. There are two focal necrotizing lesions in the glomerulus (arrows)
  • 203.
    Lupus nephritis, diffuseproliferative type. There is marked increase in cellularity throughout the glomrulus
  • 204.
    Immune complex depositionin SLE. IF micrograph of a glomrulus stained with anti-IgG from a patient with diffuse proliferative lupus nephritis.
  • 205.
    Immune complex depositionin SLE. Electron micrograph of a renal glomerular capillary loop showing subendothelial dense deposits corresponding to “wire loops” seen by light microscopy. Deposits are also seen in the mesangium.
  • 206.
    Lupus nephritis. Aglomerulus with several “wire loop” lesions representing extensive subendothelial deposits of immune complexes.
  • 207.
    Rheumatic Fever Etiology:Group A, streptococcal pharyngitis Pathogenesis: antibody cross-react with connective tissue in susceptible individuals  Autoimmune reaction (2- 3 wks)  Inflammation (T cells, macrophages)  Heart, skin, brain & joints
  • 208.
    Morphology: Acute RF Acute Inflammatory Phase Heart– Pancarditis Skin– Erythema Marginatum CNS– Sydenham Chorea Migratory polyarthritis Chronic RF Deforming fibrotic valvular disease
  • 209.
  • 210.
  • 211.
    Rheumatoid Arthritis: EtiologyHLA- DR4/ DR1 associated (increased incidence) Incidence: 1% of population; 4 th & 5 th decades; 3 - 5X F > M 80% of patients with Rheumatoid Factors (Abs against Fc portion of IgG)
  • 212.
    Rheumatoid Arthritis: PathogenesisPrecise trigger is unknown Activation of T-helper cells  cytokines  activate B cells  Abs  Non-suppurative proliferative synovitis (destruction of articular cartilage & progressive disabling arthritis) Extra-articular manifestations resemble SLE or scleroderma
  • 213.
    Multisystem manifestations ofRheumatoid arthritis. Although the initial manifestation is usually arthritis, Rheumatoid disease is a systemic illness.
  • 214.
    Rheumatoid Arthritis: Clinical course Symmetrical, polyarticular arthritis Weakness, fever, malaise may accompany joint symptoms Stiffness of joints in AM early  claw-like deformities Anemia of chronic disease present in late cases Severely crippling in 15-20 years, life expectancy reduced 4-10 years Amyloidosis develops in 5%-10% of patients
  • 215.
    Rheumatoid Arthritis: MorphologySymmetric arthritis of small joints (proximal interphalangeal & metacarpophalangeal Chronic synovitis, proliferation of synovial lining cells (villous projections) Subsynovial inflammatory cells  lymphoid nodules Pannus- highly vascularized, inflamed, reduplicated synovium Fibrosis & calcification  ankylosis Synovial fluid contains neutrophils
  • 216.
    Rheumatoid synovitis. Thesynovium is swollen and shows villous pattern. There is great increase in chronic inflammatory cells in the synovial stroma, often with exudate in the joint space and fibrin deposited on the synovial surface.
  • 217.
    Articular cartilage destruction.Vascular granulation tissue grows across the surface of the carilage (pannus) from the edges of the joint, and the articular surface shows loss of cartilage beneath the extending pannus.
  • 218.
    The inflammatory pannuscauses FOCAL DESTRUCTION OF BONE. At the edges of the joint there is osteolytic destruction of bone. This phase is associated with joint deformity.
  • 219.
  • 220.
    The characteristic deformityand soft tissue swelling associated with long-standing rheumatoid disease of the hands.
  • 221.
  • 222.
  • 223.
    Rheumatoid Arthritis: MorphologyRheumatoid nodules (25% of patients) Subcutaneous nodules along extensor surfaces of forearms or other sites of trauma Firm, non-tender, up to 2 cm. diameter Dermal nodules with fibrinoid necrosis surrounded by macrophages & granulation tissue Progressive interstitial fibrosis of lungs some cases
  • 224.
    Rheumatoid nodule. Atthe elbow there is a large raised subcutaneous nodule. The nodule is composed of degenerate collagen (arrow) surrounded by a chronic reaction with macrophages and giant cells, and walled off by fibrosis.
  • 225.
    Juvenile Rheumatoid ArthritisChronic idiopathic arthritis in children Some variants involve few large joints (pauciarticular) Do not have rheumatoid factor Others assoc. w/ HLA-B27 Uveitis may be present Still’s disease Acute febrile onset Leukocytosis Hepatosplenomegaly Lymphoadenopathy & skin rash
  • 226.
    Sjogren’s Syndrome: FeaturesDry eyes (keratoconjunctivitis sicca) & dry mouth (xerostomia) due to immune destruction of the lacrimal and salivary glands Sicca syndrome- this phenomenon occurring as an isolated syndrome Frequently associated with RA, some with SLE or other autoimmune processes Associated with HLA- DR3
  • 227.
    Sjogren’s syndrome: PathogenesisPrimary target is ductal epithelial cells of exocrine glands B-cell hyperactivity  hypergammaglobulinemia, ANAs Primary defect is in T-helper cells (too many) Most have anti -SS-A & anti-SS-B Abs
  • 228.
    Sjogren’s syndrome: Clinicalcourse Primarily in women > 40 Dry mouth, lack of tears Salivary glands enlarged Lacrimal & salivary gland inflammation of any cause (including Sjogren's) is called Mikulicz's syndrome 60% w/ other CTD 1% develop lymphoma, 10% w/ pseudolymphomas
  • 229.
  • 230.
  • 231.
  • 232.
    Sjogren’s syndrome: MorphologyAll secretory glands can be involved Intense lymphoplasmacellular infiltrates 2ndary inflammation of corneal epithelium (due to drying)  ulceration & xerostomia Can develop respiratory symptoms 25% develop extraglandular disease (most with anti-SS-A) CNS, kidneys, skin & muscles
  • 233.
  • 234.
  • 235.
    Systemic Sclerosis (Scleroderma)A chronic disease characterized by Chronic inflammation thought to be a result of autoimmunity Widespread damage to small blood vessels Progressive interstitial and perivascular fibrosis in the skin and multiple organs
  • 236.
    Systemic Sclerosis (Scleroderma)Etiology: Unknown Most common in 3 rd - 5 th decades 3X as frequent in women as in men 95% w/ skin involvement Can be Diffuse or Limited
  • 237.
    Systemic Sclerosis (Scleroderma)Pathogenesis: Abnormal immune responses CD4+ T cells responding to an unidentified antigen accumulates in the skin and release cytokines that activate inflammatory cell and fibroblasts Vascular damage Microvascular disease is consistently present early in the course of systemic sclerosis and may be the initial lesion Collagen deposition
  • 238.
    Possible mechanisms leadingto systemic sclerosis
  • 239.
    Schematic illustration ofthe possible mechanisms leading to systemic sclerosis
  • 240.
    Systemic Sclerosis (Scleroderma)Diffuse Scleroderma: Anti-DNA topoisomerase I (Scl-70) is highly specific in 75% of patients (nucleolar pattern of staining) Limited Scleroderma (CREST): Anti-centromere pattern in 60%-80% of patients Suggested that microvascular disease may play some role in development of fibrosis
  • 241.
    Systemic Sclerosis: Clinical course Raynaud’s phenomenon reversible vasospasm of digital arteries  color changes; sensitivity to cold Fibrosis  joint immobilization Eosphageal fibrosis  dysphagia & GI hypomotility Pulmonary fibrosis  dyspnea & chronic cough  RSHF Malignant HPN (hyperplastic arteriolosclerosis)  renal failure 35%-70% 10 year survival with Diffuse SS
  • 242.
    Systemic Sclerosis: Clinicalcourse CREST (Limited Scleroderma) C alcinosis R aynaud’s phenomenon E sophageal dysmotility S clerodactyly (Dermal fibrosis) T elangiectasia Better long-term survival than Diffuse PSS
  • 243.
    Multisystem manifestations ofSystemic Sclerosis. Systemic Sclerosis affects a wide range of tissues and organ systems, often as a result of vascular obliteration.
  • 244.
    The fingers insome patients with Systemic Sclerosis are narrowed, with tight shiny skin. Subcutaneous calcification (calcinosis cutis) can also be seen as white spots on the edges of the fingers.
  • 245.
  • 246.
  • 247.
  • 248.
    Systemic Sclerosis: MorphologySkin: fingers & distal extremities then spreads, shows edema & inflammation  thickened collagen & epidermal atrophy; subcutaneous calcification (esp in CREST); Morphea- skin fibrosis only GI tract (80% of patients): atrophy & fibrosis of esophageal wall w/ mucosal atrophy, BV thickening
  • 249.
    Systemic Sclerosis: MorphologyMS: inflammatory synovitis  fibrosis  joint destruction; muscle atrophy Lungs: interstitial fibrosis (honeycomb) & BV thickening Kidneys: 66% concentric thickening of vessels 30% malignant hypertension (fibrinoid necrosis of arterioles) Heart: focal interstitial fibrosis & slight inflammation
  • 250.
  • 251.
    Mixed Connective TissueDisease Used to describe a disease with clinical features that are a mixture of the features of SLE, systemic sclerosis, and polymyositis Characterized serologically by high titers of antibodies to ribonucleoprotein particle-containing U1ribonucleoprotein
  • 252.
    Polyarteritis Nodosa andOther Vasculitides Belongs to a group of diseases characterized by necrotizing inflammation of the walls of blood vessels and showing strong evidence of an immunological pathogenetic mechanism
  • 253.
    Polymyositis- Dermatomyositis- inclusionbody myositis Inflammation of skeletal muscle with weakness Sometimes associated w/ skin rash (dermatomyositis) Incidence: 40-60 also in 5-15 y/o, mostly in women Mainly mediated by cytotoxic CD8 cells In dermatomyositis, mainly ICs produce a vasculitis in muscle & skin Adults (10-20%) develop cancer
  • 254.
    Polymyositis- Dermatomyositis- inclusionbody myositis I. Adult polymyositis (w/o skin involvement nor visceral CA; CD8 mediated) II. Adult dermatomyositis (Ab mediated) III. Polymyositis or dermatomyositis w/ malignancy IV. Childhood dermatomyositis V. Polymyositis or dermatomyositis w/ immunologic disease
  • 255.
    Polymyositis- Dermatomyositis- inclusionbody myositis Immunologic abnormality: Anti PM 1 & anti Jo Pathology: Striated muscles: necrosis, regeneration, mononuclear infiltrates & atrophy of symmetric proximal muscle groups Skin: Heliotrope rash; Grottons lesions
  • 256.
    DERMATOMYOSITIS Take noteof the rash affecting the eyelids.
  • 257.
    DERMATOMYOSITIS The histologicappearance of muscle shows fascicular inflammation and atrophy.
  • 258.
    INCLUSION BODY MYOSITISShows a vacuole within a myocyte.
  • 259.
    Polymyositis- Dermatomyositis- inclusionbody myositis: Diagnosis Location of muscles involved Elevation of CPK MM EMG Biopsy Cutaneous lesions
  • 260.
    ANTINUCLEAR ANTIBODIES INVARIOUS AUTOIMMUNE DISEASES
  • 261.
  • 262.
  • 263.
    IMMUNODEFICIENCY SYNDROMES Primaryimmunodeficiency disorders Almost always genetically determined Affect the humoral and/or cellular arms of adaptive immunity or the defense mechanisms of innate immunity Secondary immunodeficiency states May arise as complications of cancers, infections, malnutrition, or side-effects of immunosuppression, irradiation, or chemotherapy for cancer and other diseases
  • 264.
    IMMUNODEFICIENCY SYNDROMES Riskfactors for immune disorders Prematurity Autoimmune diseases (e.g., SLE) Lymphoproliferative disorders Infections (e.g., HIV) Immunosuppressive drugs (e.g., corticosteroids)
  • 265.
    Simplified scheme oflymphocyte development and sites of block in primary immunodeficiency diseases
  • 266.
  • 267.
  • 268.
    PRIMARY IMMUNODEFICIENCIES X-linkedAgammaglobulinemia of Bruton ◘ Failure of B-cell precursors ( pro-B cells and pre-B cells) to differentiate into B cells ◘ maturation stops after the rearrangement of heavy- chain genes; light chains are not produced ◘ the block in differentiation is due to mutations in a cytoplasmic tyrosine kinase – Bruton tyrosinase kinase ( btk )
  • 269.
    PRIMARY IMMUNODEFICIENCIES X-linkedAgammaglobulinemia of Bruton ◘ seen almost entirely in males but sporadic cases seen in females ◘ does not become apparent until about 6 months of life ◘ recurrent bacterial infections of the respiratory tract call attention to the underlying immune defect – H. influenzae, S. pneumoniae, or S. aureus ◘ 35% of children develop arthritis that respond to Ig therapy ◘ SLE and Dermatomyositis occur with increased frequency ◘ Treatment is replacement therapy with Ig
  • 270.
    PRIMARY IMMUNODEFICIENCIES X-linkedAgammaglobulinemia of Bruton Characteristics: ◘ B cells are absent or remarkably decreased and serum classes of all Ig are depressed ◘ Germinal centers of LN, Peyer’s patches, the appendix, and tonsils are underdeveloped or rudimentary ◘ there is remarkable absence of plasma cells throughout the body ◘ T cell-mediated reactions are entirely normal
  • 271.
    PRIMARY IMMUNODEFICIENCIES 2. Common Variable Immunodeficiency ◘ Feature common to all patients is hypogammaglobulinemia, generally affecting all classes of antibody but sometimes only IgG ◘ Diagnosis is based on exclusion of other well-defined causes of decreased antibody synthesis ◘ No evidence of any intrinsic B cell defect
  • 272.
    PRIMARY IMMUNODEFICIENCIES CommonVariable Immunodeficiency ◘ Clinical manifestations resemble X-linked agammaglobulinemia ◘ 20% of patients have recurrent herpesvirus infections ◘ Affects both sexes equally ◘ Onset of symptoms is later – in childhood or adolescence ◘ Histologically, B cell areas of lymphoid tissues are hyperplasplastic ◘ Increased incidence of RA, PA, HA, lymphoid malignancy, and gastric cancer (50-fold)
  • 273.
    PRIMARY IMMUNODEFICIENCIES 3.Isolated IgA deficiency ◘ Affected individuals have extremely low levels of both serum and secretory IgA ◘ Most individuals with this disease are completely asymptomatic ◘ Mucosal defenses are weakend and infections occur in the respiratory, gastrointestinal and urogenital tracts ◘ Symptomatic patients commonly present with recurrent sino-pulmonary infections and diarrhea
  • 274.
    PRIMARY IMMUNODEFICIENCIES IsolatedIgA deficiency ◘ Basic defect is in the differentiation of IgA B lymphocytes ◘ In most patients, the number of IgA positive B cells is normal, but only few of these cells can be induced to transform into IgA plasma cells in vitro ◘ Serum antibodies to IgA are found in approximately 40% of the patients ◘ Fatal anaphylactic reactions occur if transfused with blood containing normal IgA
  • 275.
    PRIMARY IMMUNODEFICIENCIES 4.Hyper IgM Syndrome ◘ Affected patients make IgM antibodies but are deficient in their ability to produce IgG, IgA, and IgE antibodies ◘ A T cell disorder in which functionally abnormal T cells fail to induce B cells to make antibodies of isotypes other than IgM ◘ Clinically, male patients with the X-linked form present with recurrent pyogenic infections, susceptible to Pneumocystis carinii pneumonia ◘ Serum of patients contains normal or elevated levels of IgM and IgD but no IgA or IgE and extremely low levels of IgG
  • 276.
    PRIMARY IMMUNODEFICIENCIES 5.DiGeorge Syndrome (Thymic Hypoplasia) ◘ T cell deficiency that derives from failure of development of the 3 rd and 4 th pharyngeal pouches – thymus, parathyroids, some clear cells of the thyroid, and ultimobranchial body ◘ Variable loss of T cell-mediated immunity, tetany, congenital defects of the heart and great vessels ◘ Appearance of the mouth, ears, and facies maybe abnormal
  • 277.
    PRIMARY IMMUNODEFICIENCIES DiGeorgeSyndrome (Thymic Hypoplasia) ◘ Low levels of circulating T lymphocytes and a poor defense against certain fungal and viral infections ◘ Plasma cells are present in normal numbers in lymphoid tissues; depleted in paracortical areas of the LN and periateriolar sheaths of spleen ◘ Ig levels maybe normal or reduced, depending on the severity of the T cell deficiency
  • 278.
    PRIMARY IMMUNODEFICIENCIES DiGeorgeSyndrome (Thymic Hypoplasia) ◘ Partial DiGeorge syndrome – small but histologically normal thymus, T cell function improves with age ◘ Complete absence of thymus – transplantation of fetal thymus may be of benefit ◘ A component of 22q11 deletion syndrome
  • 279.
    PRIMARY IMMUNODEFICIENCIES 6. Severe Combined Immunodeficiency Diseases ◘ Involves both humoral and cell-mediated immune responses ◘ Affected infants present with oral candidiasis, extensive diaper rash, and failure to thrive ◘ Definitive treatment – bone marrow transplantation
  • 280.
    PRIMARY IMMUNODEFICIENCIES SevereCombined Immunodeficiency Diseases ◘ Classic Form – defect in the common lymphoid stem cell ◘ X-linked – genetic defect is mutation in the common γ chain subunit ( γ c) of several cytokine receptors ◘ Autosomal recesive – deficiency of the adenosine deaminase (ADA) enzyme = leads to accumulation of deoxyadenosine and its derivatives which are toxic to immature lymphocytes esp. of T cell lineage ***histologic findings = small thymus devoid of lymphoid cells
  • 281.
    PRIMARY IMMUNODEFICIENCIES 7.Immunodeficiency with Thrombocytopenia and Eczema (Wiskott-Aldrich Syndrome) ◘ X-linked recessive disease char. by thrombocytopenia, eczema, and a marked vulnerability to recurrent infection ending in early death ◘ Thymus is morphologically normal, but there is progressive secondary depletion of T lymphocytes in the peripheral blood and in the paracortical areas of LN ◘ IgM is low; IgG normal; IgA & IgE elevated ◘ The syndrome maps to Xp11.23 – inc. lymphoma ◘ Treatment is bone marrow transplantation
  • 282.
    PRIMARY IMMUNODEFICIENCIES 8.Genetic Deficiencies of the Complement System ◘ Deficiency of C2 is the most common = inc. incidence of SLE-like disease ◘ Deficiency of C3 = serious and recurrent pyogenic infections = immune complex-mediated GN ◘ C5, 6, 7, 8, and 9 = increased susceptibility to recurrent neisserial infections ◘ C1 inhibitor deficiency = hereditary angioedema
  • 283.
  • 284.
  • 285.
  • 286.
    ACQUIRED IMMUNODEFICIENCY SYNDROME◘ A retroviral disease characterized by by profound immunosuppression that leads to opportunistic infections, secondary neoplasms, and neurologic manifestations ◘ Second leading cause of death in men 25-44 years old ◘ 3 rd leading cause of death in women
  • 287.
    HUMAN IMMUNODEFICIENCY VIRUS(HIV) Etiologic agent of AIDS Discovered independently by Luc Montagnier of France and Robert Gallo of the US in 1983-1984 Former names of the virus include : Human T cell Lymphotrophic virus (HTLV-III) Lymphadenopathy associated virus (LAV) AIDS associated retrovirus (ARV) ***HIV-2 discovered in 1986, antigenically distinct virus endemic in West Africa
  • 288.
    ACQUIRED IMMUNODEFICIENCY SYNDROME◘ Groups at risk of developing AIDS 1. Homosexual or bisexual men – over 50% 2. Intravenous drug abusers – 20% 3. Hemophiliacs – 0.5% 4. Recipients of blood and blood components – 1.0% 5. Heterosexual contacts of members of other high-risk groups – 10%
  • 289.
    ACQUIRED IMMUNODEFICIENCY SYNDROME◘ 2% of all cases occurs under 13 years old, 90% of these resulted from transmission of the virus from mother to child, remaining 10% are hemophiliacs or received blood/blood products ◘ 3 major routes of transmission 1. sexual transmission – 75% 2. parenteral transmission  IV drug users, hemophiliacs, BT 3. mother-to-infant transmission
  • 290.
    ACQUIRED IMMUNODEFICIENCY SYNDROME◘ mother-to-infant transmission – pediatric AIDS 1. in utero by transplacental spread 2. during delivery through an infected birth canal 3. after birth by ingestion of breast milk ☻☻ Extensive studies indicate that HIV infection cannot be transmitted by casual personal contact in the household, workplace, or school ☻☻ Seroconversion after needle-stick injury – 0.3%
  • 291.
    ACQUIRED IMMUNODEFICIENCY SYNDROME◘ Etiology: 1. HIV-1 – most common type associated with AIDS in the US, Europe, and Central Africa 2. HIV-2 – West Africa and India
  • 292.
    ACQUIRED IMMUNODEFICIENCY SYNDROME◘ Contents of the viral core 1. major capsid protein p24 2. nucleocapsid protein p7/p9 3. two copies of genomic RNA 4. three viral enzymes – protease, reverse transcriptase, and integrase ۞ p24 most readily detected viral antigen hence the target for the antibodies used for diagnosis
  • 293.
  • 294.
    HIV proviral genome.Several viral genes and their corresponding functions
  • 295.
    Life cycle ofHIV, showing the steps from viral entry to production of infectious virions
  • 296.
    Molecular basis ofHIV entry into host cells.
  • 297.
  • 298.
  • 299.
    Mechanisms of CD4+T-cell loss in HIV infection
  • 300.
    Multiple effects ofloss of CD4 + T cells as a result of HIV infection
  • 301.
  • 302.
    CDC Classification Categoriesof HIV infection AIDS, indicator conditions: constitutional disease, neurologic disease, or neoplasm B3 B2 B1 Symptomatic, not A nor C conditions A3 A2 A1 Asymptomatic, acute (primary) HIV, or persistent generalized lymphadenopathy 3 <200 cells/uL 2 200-499 cells/uL 1 > 500 cells/uL Clinical Categories
  • 303.
  • 304.
  • 305.
    Typical course ofHIV infection
  • 306.
  • 307.
  • 308.
  • 309.
    Algorithm for SerologicTesting for AIDS
  • 310.
  • 311.
    AMYLOIDOSIS ◘ Amyloid is a pathologic proteinaceous substance, deposited in between cells in various tissues and organs of the body in a wide variety of clinical settings ◘ Appears as an amorphous, eosinophilic, hyaline, extracellular substances that, with progressive accumulation, encroaches on and produces pressure atrophy of adjacent cells
  • 312.
    Structure of anamyloid fibril
  • 313.
  • 314.
    A section ofthe liver stained with Congo Red Yellow-green birefringence of the deposits observed under polarizing microscope
  • 315.
    AMYLOIDOSIS ◘ Chemical nature - 95% consist of fibril proteins, 5% P component and other glycoproteins - 3 most common amyloid proteins 1. AL (amyloid light chain) – derived from plasma cells and contains Ig light chains 2. AA (amyloid-associated) – non-Ig protein synthesized by the liver 3. A β amyloid – found in Alzheimer disease ◘ Other biochemical distinct proteins found in amyloid deposits - Transthyretin (TTR), β 2-microglobulin, prion proteins
  • 316.
    Types of Amyloidosis1. Systemic Similar tissue involvement in both primary and secondary types Primary amyloidosis AL amyloid deposition Associated with multiple myeloma (30% of cases) Secondary (reactive) AA amyloid Associated with chronic inflammation (e.g., RA, Tb)
  • 317.
    Types of Amyloidosis2. Localized Confined to a single organ (e.g. brain) Alzheimer’s disease A ß Most common cause of dementia 3. Hereditary Autosomal recessive disorder involving AA amyloid (e.g., Familial Mediterranean fever)
  • 318.
  • 319.
    AMYLOIDOSIS Pathogenesis Abnormalfolding of proteins, which are deposited as fibrils in extracellular tissues and disrupt normal function
  • 320.
    Proposed mechanisms inthe pathogenesis of amyloidosis
  • 321.
    Amyloidosis - Morphology◘ Gross – Affected organs are often enlarged and firm and have a waxy appearance. - Painting the cut surface with iodine imparts a yellow color that is transformed to blue violet after application of sulfuric acid ◘ Microscopic – Based almost entirely on its staining characteristics (Congo Red)
  • 322.
    Amyloidosis - Morphology◘ Kidney - most common and potentially the most serious form of organ involvement - may appear normal in size and color or it may be enlarged in advanced cases - it may be shrunken and contracted due to vascular narrowing induced by amyloid deposits - deposited primarily in glomeruli, but also affected are the interstitial peritubular tissue, arteries, and arterioles
  • 323.
    Amyloidosis - Morphology◘ Kidney  thickening of the mesangial matrix + uneven widening of the basement membrane of glomerular capillaries  capillary narrowing and distortion of glomerular vascular tuft  obliteration of capillary lumens  masses or interlacing broad ribbons of amyloid
  • 324.
    Amyloidosis of thekidney. The glomerular architecture is almost totally obliterated by the massive accumulation of amyloid
  • 325.
    Amyloidosis - Morphology◘ Spleen - inapparent grossly or may cause moderate to marked splenomegaly (up tp 800 grams) - Sago spleen  deposit limited largely the the splenic follicles, producing tapioca-like granules on gross inspection - Lardaceous spleen  involves the walls of the splenic sinuses and connective tissue framework in the red pulp. Fusion of the early deposits gives rise to large, maplike areas of amyloidosis
  • 326.
    Amyloidosis - Morphology◘ Liver - grossly inapparent or cause moderate to marked hepatomegaly - appears first in the space of Disse  encroach on adjacent hepatic parenchymal cells and sinusoids  deformity, pressure atrophy, disappearance of hepatocytes - Vascular involvement and Kupffer cell depositions are frequent - Normal liver function is usually preserved
  • 327.
    Amyloidosis - Morphology◘ Heart - may be enlarged and firm, shows no significant changes on cross-section of the myocardium - deposits begin in subendocardial accumulations and within the myocardium between the muscle fibers  expansion  pressure atrophy - conduction system damaged leads to electrocardiographic abnormalities
  • 328.
    Amyloidosis - Morphology◘ Other organs - encountered in systemic disease - adrenals, thyroid, and pituitary - GIT - tongue – tumor-forming amyloid of the tongue - Respiratory tract - Brain – Alzheimer’s disease - Peripheral and Autonomic nerves - median nerve – carpal tunnel syndrome
  • 329.

Editor's Notes

  • #70 Inflammation of the airways not only causes symptoms associated with widespread but variable airflow obstruction, it also results in an increase in airway hyperresponsiveness to a variety of stimuli (triggers) Environmental and genetic influences in asthma (inducers) act mainly by provoking airway inflammation, rather than directly stimulating airway hyperresponsiveness Triggers of bronchoconstriction, which are factors that provoke contraction of the sensitised airway wall, include a wide range of stimuli, such as exercise, cold air and pollen Allergens can act as both inducers and triggers
  • #187 Table-5: Revised Criteria for the Classification of Systemic Lupus Erythematosus Criterion: Definition: 1. Malar rash Fixed erythema, flat or raised, over the malar eminences, tending to spare the nasolabial folds 2. Discoid rash Erythematous raised patches with adherent keratotic scaling and follicular plugging; atrophic scarring may occur in older lesions 3.Photosensitivity Skin rash as a result of unusual reaction to sunlight, by patient history or physician observation 4. Oral ulcers Oral or nasopharyngeal ulceration, usually painless, observed by a physician 5. Arthritis Nonerosive arthritis involving two or more peripheral joints, characterized by tenderness, swelling, or effusion 6. Serositis Pleuritis - convincing history or pleuritic pain or rub heard by a physician or evidence of pleural effusion, or Pericarditis - documented by ECG or rub or evidence of pericardial effusion 7. Renal disorder Persistent proteinuria greater than 0.5 grams per day or greater than 3+ if quantitation not performed, or Cellular casts - may be red cell, hemoglobin, granular, tubular, or mixed 8. Neurologic disorder Seizures - in the absence of offending drugs or known metabolic derangements, e.g., uremia, ketoacidosis, or electrolyte imbalance, or Psychosis - in the absence of offending drugs or known metabolic derangements, e.g., uremia, ketoacidosis, or electrolyte imbalance 9. Hematologic disorder Hemolytic anemia - with reticulocytosis, or Leukopenia - less than 4,000/mm^3 (4.0x10^9/L) on two or more occasions, or Lymphopenia - less than 1,500/mm^3 (1.5x10^9/L) on two or more occasions, or Thrombocytopenia - less than 100,000/mm^3 (100x10^9/L) in the absence of offending drugs 10. Immunologic disorder Positive LE cell preparation, or Anti-DNA: antibody to native DNA in abnormal titer, or Anti-Sm: presence of antibody to Sm nuclear antigen, or False positive serologic test for syphilis known to be positive for at least 6 months and confirmed by Treponema pallidum immobilization or fluorescent treponemal antibody absorption test 11. Antinuclear antibody An abnormal titer of antinuclear antibody by immunofluorescence or an equivalent assay at any point in time and in the absence of drugs known to be associated with &amp;quot;drug-induced lupus&amp;quot; syndrome   The proposed classification is based on 11 criteria. For the purpose of identifying patients in clinical studies, a person shall be said to have systemic lupus erythematosus if any 4 or more of the 11 criteria are present, serially or simultaneously, during any interval of observation. In 1997, anti-phospholipid antibody was added to the list of criteria for the classification of SLE (Hochberg, M.C., Arthritis Rheum 40: 1725, 1997). ( From: Tan, E.M., Cohen, A.S., Fries, J.F., et al. The 1982 revised criteria for the classification of systemic lupus erythematosus (SLE). Arthritis Rheum. 25: 1271-1277, 1982)
  • #188 Table-5: Revised Criteria for the Classification of Systemic Lupus Erythematosus Criterion: Definition: 1. Malar rash Fixed erythema, flat or raised, over the malar eminences, tending to spare the nasolabial folds 2. Discoid rash Erythematous raised patches with adherent keratotic scaling and follicular plugging; atrophic scarring may occur in older lesions 3.Photosensitivity Skin rash as a result of unusual reaction to sunlight, by patient history or physician observation 4. Oral ulcers Oral or nasopharyngeal ulceration, usually painless, observed by a physician 5. Arthritis Nonerosive arthritis involving two or more peripheral joints, characterized by tenderness, swelling, or effusion 6. Serositis Pleuritis - convincing history or pleuritic pain or rub heard by a physician or evidence of pleural effusion, or Pericarditis - documented by ECG or rub or evidence of pericardial effusion 7. Renal disorder Persistent proteinuria greater than 0.5 grams per day or greater than 3+ if quantitation not performed, or Cellular casts - may be red cell, hemoglobin, granular, tubular, or mixed 8. Neurologic disorder Seizures - in the absence of offending drugs or known metabolic derangements, e.g., uremia, ketoacidosis, or electrolyte imbalance, or Psychosis - in the absence of offending drugs or known metabolic derangements, e.g., uremia, ketoacidosis, or electrolyte imbalance 9. Hematologic disorder Hemolytic anemia - with reticulocytosis, or Leukopenia - less than 4,000/mm^3 (4.0x10^9/L) on two or more occasions, or Lymphopenia - less than 1,500/mm^3 (1.5x10^9/L) on two or more occasions, or Thrombocytopenia - less than 100,000/mm^3 (100x10^9/L) in the absence of offending drugs 10. Immunologic disorder Positive LE cell preparation, or Anti-DNA: antibody to native DNA in abnormal titer, or Anti-Sm: presence of antibody to Sm nuclear antigen, or False positive serologic test for syphilis known to be positive for at least 6 months and confirmed by Treponema pallidum immobilization or fluorescent treponemal antibody absorption test 11. Antinuclear antibody An abnormal titer of antinuclear antibody by immunofluorescence or an equivalent assay at any point in time and in the absence of drugs known to be associated with &amp;quot;drug-induced lupus&amp;quot; syndrome   The proposed classification is based on 11 criteria. For the purpose of identifying patients in clinical studies, a person shall be said to have systemic lupus erythematosus if any 4 or more of the 11 criteria are present, serially or simultaneously, during any interval of observation. In 1997, anti-phospholipid antibody was added to the list of criteria for the classification of SLE (Hochberg, M.C., Arthritis Rheum 40: 1725, 1997). ( From: Tan, E.M., Cohen, A.S., Fries, J.F., et al. The 1982 revised criteria for the classification of systemic lupus erythematosus (SLE). Arthritis Rheum. 25: 1271-1277, 1982)
  • #193 Table-5: Revised Criteria for the Classification of Systemic Lupus Erythematosus Criterion: Definition: 1. Malar rash Fixed erythema, flat or raised, over the malar eminences, tending to spare the nasolabial folds 2. Discoid rash Erythematous raised patches with adherent keratotic scaling and follicular plugging; atrophic scarring may occur in older lesions 3.Photosensitivity Skin rash as a result of unusual reaction to sunlight, by patient history or physician observation 4. Oral ulcers Oral or nasopharyngeal ulceration, usually painless, observed by a physician 5. Arthritis Nonerosive arthritis involving two or more peripheral joints, characterized by tenderness, swelling, or effusion 6. Serositis Pleuritis - convincing history or pleuritic pain or rub heard by a physician or evidence of pleural effusion, or Pericarditis - documented by ECG or rub or evidence of pericardial effusion 7. Renal disorder Persistent proteinuria greater than 0.5 grams per day or greater than 3+ if quantitation not performed, or Cellular casts - may be red cell, hemoglobin, granular, tubular, or mixed 8. Neurologic disorder Seizures - in the absence of offending drugs or known metabolic derangements, e.g., uremia, ketoacidosis, or electrolyte imbalance, or Psychosis - in the absence of offending drugs or known metabolic derangements, e.g., uremia, ketoacidosis, or electrolyte imbalance 9. Hematologic disorder Hemolytic anemia - with reticulocytosis, or Leukopenia - less than 4,000/mm^3 (4.0x10^9/L) on two or more occasions, or Lymphopenia - less than 1,500/mm^3 (1.5x10^9/L) on two or more occasions, or Thrombocytopenia - less than 100,000/mm^3 (100x10^9/L) in the absence of offending drugs 10. Immunologic disorder Positive LE cell preparation, or Anti-DNA: antibody to native DNA in abnormal titer, or Anti-Sm: presence of antibody to Sm nuclear antigen, or False positive serologic test for syphilis known to be positive for at least 6 months and confirmed by Treponema pallidum immobilization or fluorescent treponemal antibody absorption test 11. Antinuclear antibody An abnormal titer of antinuclear antibody by immunofluorescence or an equivalent assay at any point in time and in the absence of drugs known to be associated with &amp;quot;drug-induced lupus&amp;quot; syndrome   The proposed classification is based on 11 criteria. For the purpose of identifying patients in clinical studies, a person shall be said to have systemic lupus erythematosus if any 4 or more of the 11 criteria are present, serially or simultaneously, during any interval of observation. In 1997, anti-phospholipid antibody was added to the list of criteria for the classification of SLE (Hochberg, M.C., Arthritis Rheum 40: 1725, 1997). ( From: Tan, E.M., Cohen, A.S., Fries, J.F., et al. The 1982 revised criteria for the classification of systemic lupus erythematosus (SLE). Arthritis Rheum. 25: 1271-1277, 1982)