Autoimmune
Diseases I
DR. HADI MUNIB
ORAL AND MAXILLOFACIAL
SURGERY RESIDENT
Outline
▪ Immunologic Tolerance
▪ Mechanisms of Autoimmunity: General Principles
▪ Systemic Lupus Erythematosus
▪ Rheumatoid Arthritis
▪ Sjogren Syndrome
▪ Systemic Sclerosis (Scleroderma)
▪ Inflammatory Myopathies
▪ Mixed Connective Tissue Disease
▪ Polyarteritis Nodosa and Other Vasculitides
▪ IgG4-Related Disease
▪ References
Autoimmune Diseases
▪ Autoimmunity refers to immune reactions against self (“auto”) antigens.
▪ Estimated to affect at least 1% to 2% of the U.S. population.
▪ The evidence that these diseases are indeed the result of autoimmune
reactions is more persuasive for some than for others.
▪ In many of these disorders, high-affinity autoantibodies have been identified,
and in some cases these antibodies are known to cause pathologic
abnormalities.
▪ There is also growing evidence for the activation of pathogenic self-reactive T
cells in some of these diseases.
▪ Experimental models have proved very informative, providing circumstantial
evidence supporting an autoimmune etiology.
Autoimmune Diseases
▪ For many disorders traditionally classified as autoimmune, this etiology is
suspected but not proved.
▪ Autoimmune diseases may be organ-specific and result in localized tissue
damage, or systemic; characterized by lesions in many organs
▪ In systemic diseases that are caused by immune complexes and autoantibodies,
the lesions principally affect the connective tissues and blood vessels of involved
organs.
▪ These diseases are often referred to as collagen vascular diseases or connective
tissue diseases, even though the immunologic reactions are not specifically
directed against constituents of connective tissue or blood vessels.
▪ Normal persons are unresponsive (tolerant) to their own (self) antigens, and
autoimmunity results from a failure of self-tolerance. Therefore, understanding the
pathogenesis of autoimmunity requires familiarity with the mechanisms of normal
immunologic tolerance.
Immunologic Tolerance
▪ A state of unresponsiveness to an antigen that is induced by exposure of
specific lymphocytes to that antigen.
▪ Self-tolerance refers to lack of immune responsiveness to one’s own tissue
antigens.
▪ Billions of different antigen receptors are randomly generated in developing T
lymphocytes and B lymphocytes; receptors are produced that can recognize
self antigens.
▪ These antigens cannot all be concealed from the immune system, there must
be a means of eliminating or controlling self-recognizing lymphocytes.
▪ Several mechanisms work in concert to select against self-reactivity and to
thus prevent immune reactions against the body’s own antigens.
▪ Central tolerance and peripheral tolerance
Immunologic Tolerance
▪ Central Tolerance
▪ The principal mechanism is the antigen-induced deletion (death) of self-
reactive T lymphocytes and B lymphocytes during their maturation in central
(generative) lymphoid organs (i.e., in the thymus for T cells and in the bone
marrow for B cells).
▪ In the thymus, many autologous (self) protein antigens are processed and
presented by thymic APCs.
▪ Any immature T cell that encounters such a self antigen undergoes apoptosis
(a process called deletion, or negative selection), and the T cells that complete
their maturation are thereby depleted of self-reactive cells.
▪ An exciting advance has been the identification of a protein called AIRE
(autoimmune regulator), which stimulates expression of some peripheral
tissue-restricted self antigens in the thymus and is thus critical for deletion of
immature T cells specific for these antigens.
Immunologic Tolerance – Central Tolerance
▪ Mutations in the AIRE gene are the cause of an autoimmune poly-
endocrinopathy.
▪ Not all immature T cells that see self antigens in the thymus are
deleted.
▪ Some CD4+ T cells survive and develop into regulatory T cells.
▪ Immature B cells that recognize self antigens with high affinity in
the bone marrow also may die by apoptosis.
▪ Other self-reactive B cells are not deleted but instead undergo a
second round of rearrangement of antigen receptor genes and
then express new receptors that are no longer self-reactive (a
process called receptor editing).
Immunologic Tolerance – Central Tolerance
▪ Central tolerance is imperfect.
▪ Not all self antigens are present in the thymus or bone marrow,
and hence lymphocytes bearing receptors for such autoantigens
escape into the periphery.
▪ Self-reactive lymphocytes that escape negative selection can inflict
tissue injury unless they are eliminated or muzzled in the
peripheral tissues
Immunologic Tolerance – Peripheral Tolerance
▪ Several mechanisms silence potentially autoreactive T cells and B cells in
peripheral tissues; these are best defined for T cells. These mechanisms
include the following:
▪ Anergy; functional inactivation (rather than death) of lymphocytes that is
induced by encounter with antigens under certain conditions; activation of T
cells requires two signals: recognition of peptide antigen in association with
MHC molecules on APCs, and a set of second costimulatory signals provided
by the APCs.
▪ If the costimulatory signals are not delivered, or if an inhibitory receptor on
the T cell (rather than the costimulatory receptor) is engaged when the cell
encounters self antigen, the T cell becomes anergic and cannot respond to
the antigen.
▪ Because costimulatory molecules are expressed at low levels or not at all on
APCs presenting self antigens, the encounter between autoreactive T cells
and self antigens in tissues may result in anergy.
▪ It is believed that if mature B cells encounter self antigen in peripheral
tissues, especially in the absence of specific helper T cells, these B cells
become unable to respond to the antigen.
▪ B lymphocytes also express inhibitory receptors that may play a role in
limiting their activation and preventing responses to self antigens.
Immunologic Tolerance – Peripheral Tolerance
▪ Suppression by regulatory T cells; regulatory T cells function to prevent immune
reactions against self antigens; develop mainly in the thymus, but they also may be
induced in peripheral lymphoid tissues.
▪ The best defined regulatory T cells are CD4+ cells that express high levels of CD25,
the α chain of the IL-2 receptor, and a transcription factor of the forkhead family,
called FOXP3.
▪ Both IL-2 and FOXP3 are required for the development and maintenance of
functional CD4+ regulatory T cells.
▪ In humans, these mutations are the cause of a systemic autoimmune disease called
IPEX (Immune dysregulation, polyendocrinopathy, enteropathy, X-linked).
▪ The mechanisms by which regulatory T cells suppress immune responses are not
fully defined, but their inhibitory activity may be mediated in part by the secretion of
immunosuppressive cytokines such as IL-10 and TGF-β, which inhibit lymphocyte
activation and effector functions.
▪ Regulatory T cells also express CTLA-4, which may bind to B7 molecules on APCs
and reducetheir ability to activate T cells via CD28.
Immunologic Tolerance – Peripheral Tolerance
▪ Deletion by apoptosis; T cells that recognize self antigens may receive signals that
promote their death by apoptosis.
▪ Two mechanisms of deletion of mature T cells have been proposed, based mainly on
studies in mice.
▪ It is postulated that if T cells recognize self antigens, they upregulate a pro-apoptotic
member of the Bcl-2 family called Bim, which triggers apoptosis by the
mitochondrial pathway.
▪ Another mechanism of apoptosis involves the death receptor Fas (a member of the
TNF receptor family), which can be engaged by its ligand co-expressed on the same
or neighboring cells.
▪ The importance of this pathway of self-tolerance is illustrated by the discovery that
FAS mutations are responsible for an autoimmune disease called the autoimmune
lymphoproliferative syndrome (ALPS), characterized by lymphadenopathy and
production of autoantibodies.
Immunologic Tolerance – Peripheral Tolerance
Immunologic Tolerance – Peripheral Tolerance
▪ Some self antigens are hidden (sequestered) from the immune system,
because the tissues in which these antigens are located do not
communicate with the blood and lymph.
▪ As a result, unless released into the circulation, these antigens fail to elicit
immune responses and are essentially ignored by the immune system.
▪ This is believed to be the case for antigens that are only found in the testis,
eye, and brain, all of which are called immune-privileged sites because
antigens located in these sites tend to be shielded from the immune
system.
▪ If the antigens are released from these tissues; as a consequence of
trauma or infection, the result may be an immune response that leads to
prolonged tissue inflammation and injury.
▪ This is the postulated mechanism for post-traumatic orchitis and uveitis.
Mechanisms of Autoimmunity – General Principles
▪ Breakdown of self-tolerance and development of autoimmunity result
from the combined effects of:
▪ Susceptibility genes, which influence lymphocyte tolerance
▪ Environmental factors, such as infections or tissue injury
▪ Together they alter the display of and responses to self antigens
Genetic Factors in Autoimmunity
▪ Most autoimmune diseases are complex multigenic disorders.
▪ There is abundant evidence that inherited genes play a role in the
development of autoimmune diseases.
▪ Autoimmune diseases have a tendency to run in families, and there is a
greater incidence of the same disease in monozygotic than in dizygotic
twins.
▪ Several autoimmune diseases are linked to the HLA locus, especially class II
alleles (HLA-DR, HLA-DQ).
▪ The frequency of a disease in individuals with a particular HLA allele
compared with those who do not inherit that allele, is called the odds ratio
or relative risk.
▪ The relative risk ranges from 3 or 4 for rheumatoid arthritis (RA) and HLA-
DR4 to 100 or more for ankylosing spondylitis and HLA-B27.
Genetic Factors in Autoimmunity
▪ How MHC genes influence the development of autoimmunity is still not clear.
▪ Most individuals with a susceptibility-related MHC allele never develop disease,
and, conversely, individuals without the relevant MHC gene may get it.
▪ Expression of a particular MHC gene is therefore but one variable that
contributes to autoimmunity.
▪ Genome-wide association (GWAS) studies and linkage studies in families are
revealing many genetic polymorphisms that are associated with different
autoimmune diseases.
▪ Some of these genetic variants are disease-specific, but many of the
associations are seen in multiple disorders, suggesting that they affect general
mechanisms of immune regulation and self-tolerance.
▪ However, the mechanism by which most of these genetic variants contribute to
particular autoimmune diseases is not established.
Role of Infections, Tissue Injury, and Other
Environmental Factors
▪ A variety of microbes, including bacteria, mycoplasmas, and viruses, have
been implicated as triggers for autoimmunity.
▪ Microbes may induce autoimmune reactions by several mechanisms:
▪ Microbial infections with resultant tissue necrosis and inflammation can
stimulate expression of costimulatory molecules on APCs in the tissue, thus
favoring a breakdown of T cell tolerance and subsequent T cell activation.
▪ Viruses and other microbes may share cross-reacting epitopes with self
antigens, and as a result responses induced by the microbe may extend to
self tissues, a phenomenon called molecular mimicry.
▪ The best example of a pathogenic immunologic cross-reaction is rheumatic
heart disease, in which an antibody response against streptococci cross-
targets cardiac antigens.
▪ It is not known if mimicry has a role in more common autoimmune diseases.
▪ Recently, there has been great interest in the idea that the development of
autoimmunity is influenced by the normal gut and skin microbiome
▪ Microbiome; The diverse collection of commensal microbes that live with us
in a symbiotic relationship.
▪ It is possible that different commensal microbes affect the relative
proportions of effector and regulatory T cells, and shape the host response
toward or away from aberrant activation.
▪ It is still not clear which microbes contribute to specific diseases in humans,
or if the microbiome can be manipulated to prevent or treat these disorders.
▪ Recent observations suggesting that infections paradoxically protect
individuals from some autoimmune diseases, notably type 1 diabetes,
multiple sclerosis, and Crohn disease.
▪ The possible mechanisms underlying this effect are not understood.
Role of Infections, Tissue Injury, and Other
Environmental Factors
▪ In addition to infections, the display of tissue antigens also may be altered
by a variety of environmental insults.
▪ Ultraviolet (UV) radiation causes cell death and may lead to the exposure of
nuclear antigens, which elicit pathologic immune responses in lupus; the
association of lupus flares with exposure to sunlight.
▪ Smoking is a risk factor for RA, perhaps because it leads to chemical
modification of self antigens.
▪ Local tissue injury for any reason may lead to the release of self antigens
and autoimmune responses.
Role of Infections, Tissue Injury, and Other
Environmental Factors
▪ There is a strong gender bias of autoimmunity, with many of these diseases
being more common in women than in men.
▪ The underlying mechanisms are not well understood, but may involve the
effects of hormones and other factors.
▪ An autoimmune response may itself promote further autoimmune attack.
▪ Tissue injury caused by an autoimmune response or any other cause may
lead to exposure of self antigen epitopes that were previously concealed
but are now presented to T cells in an immunogenic form.
▪ The activation of such autoreactive T cells is called epitope spreading,
because the immune response spreads to epitopes that were not
recognized initially.
▪ This is one of the mechanisms that may contribute to the chronicity of
autoimmune diseases.
Role of Infections, Tissue Injury, and Other
Environmental Factors
Systemic Lupus Erythromatosus
▪ An autoimmune disease involving multiple organs.
▪ Characterized by a vast array of autoantibodies, particularly antinuclear
antibodies (ANAs), in which injury is caused mainly by deposition of immune
complexes and binding of antibodies to various cells and tissues.
▪ Injury to the skin, joints, kidney, and serosal membranes is prominent, but
virtually every organ in the body may be affected.
▪ The disease is very heterogeneous, and any patient may present with any
number of these features.
▪ SLE is a fairly common disease, with a prevalence that may be as high as 400
per 100,000 in certain populations.
▪ Often presents when a person is in the twenties or thirties, it may manifest at
any age, even in early childhood.
Systemic Lupus Erythromatosus
▪ Similar to many autoimmune diseases, SLE predominantly affects women,
with a female-to-male ratio of 9 : 1 for the reproductive age group of 17 to
55 years.
▪ By comparison, the female-to-male ratio is only 2 : 1 for disease developing
during childhood or after 65 years of age.
▪ The prevalence of the disease is 2- to 3-fold higher in blacks and Hispanics
than in whites.
Systemic Lupus Erythromatosus
▪ Spectrum of Autoantibodies in SLE
▪ The hallmark of SLE is the production of autoantibodies.
▪ Some antibodies recognize nuclear and cytoplasmic components, while
others are directed against cell surface antigens of blood cells.
▪ Autoantibodies are of major pathogenic significance in the immune
complex–mediated glomerulonephritis so typical of this disease.
▪ Autoantibodies also are found in other autoimmune diseases, many of
which tend to be associated with specific types of autoantibodies
Systemic Lupus Erythromatosus
▪ Anti-Nuclear Antibodies; can be grouped into four categories:
1. Antibodies to DNA
2. Antibodies to histones
3. Antibodies to Non-histone proteins bound to RNA.
4. Antibodies to nucleolar antigens.
▪ The most widely used method for detecting ANAs is indirect
immunofluorescence, which can identify antibodies that bind to a variety
of nuclear antigens, including DNA, RNA, and proteins (generic ANAs).
▪ The pattern of nuclear fluorescence suggests the type of antibody present
in the patient’s serum.
▪ Several basic patterns are recognized
Systemic Lupus Erythromatosus
▪ A homogeneous or diffuse staining pattern usually reflects the presence
of antibodies to chromatin, histones, and, occasionally, double-stranded
DNA.
▪ A rim or peripheral staining pattern is most often indicative of antibodies
to double-stranded DNA and sometimes to nuclear envelope proteins.
▪ A centromeric pattern is indicative of antibodies specific for centromeres.
This pattern is often observed in patients with systemic sclerosis.
▪ A speckled pattern refers to the presence of uniform or variable-sized
speckles. This is one of the most commonly observed patterns of
fluorescence and therefore the least specific.
▪ It reflects the presence of antibodies to non-DNA nuclear constituents
such as Sm antigen, ribonucleoprotein, and SS-A and SS-B reactive
antigens.
Systemic Lupus Erythromatosus
▪ A nucleolar pattern refers to the presence of a few discrete spots of
fluorescence within the nucleus and represents antibodies to RNA. This
pattern is reported most often in patients with systemic sclerosis.
▪ The fluorescence patterns are not absolutely specific for the type of
antibody, and because many autoantibodies may be present,
combinations of patterns are frequent.
▪ Attempts are ongoing to replace microscopic assays with quantitative
assays for antibodies against specific nuclear and other antigens.
▪ Antibodies to double-stranded DNA and the so-called “Smith (Sm)
antigen” can be detected by more quantitative assays and are virtually
diagnostic of SLE.
▪ The staining pattern has diagnostic value, and the test remains in use.
Systemic Lupus Erythromatosus
▪ Other Autoantibodies
▪ In addition to ANAs, lupus patients have a host of other autoantibodies. Some are
directed against blood cells, such as red cells, platelets, and lymphocytes. Anti-
phospholipid antibodies are present in 30% to 40% of lupus patients.
▪ They are actually directed against epitopes of various plasma proteins that are
revealed when the proteins are in complex with phospholipids.
▪ Antibodies against the phospholipid– β2-glycoprotein complex also bind to
cardiolipin antigen, used in syphilis serology, and therefore lupus patients may
have a false-positive test result for syphilis.
▪ These antibodies bind to phospholipids, they may prolong the PTT, an in vitro
clotting test that requires phospholipids; these antibodies are sometimes referred
to as lupus anti-coagulant.
▪ Despite the observed clotting delays in vitro, patients with antiphospholipid
antibodies have complications related to excessive clotting (a hypercoagulable
state), such as thrombosis.
Pathogenesis
▪ The fundamental defect in SLE is a failure of the mechanisms that
maintain self-tolerance.
▪ Both genetic and environmental factors play a role.
▪ Genetic Factors;
▪ Familial association; up to 20% of unaffected first-degree relatives have
autoantibodies. There is a higher rate of concordance in monozygotic
twins (25%) than in dizygotic twins (1%–3%).
▪ HLA association. The odds ratio (relative risk) for persons with HLA-DR2 or
HLA-DR3 is 2 to 3, and if both haplotypes are present, the risk is about 5.
▪ Other genes. Genetic deficiencies of classical pathway complement
proteins, especially C1q, C2, or C4, are seen in about 10% of patients with
SLE
Pathogenesis
▪ Environmental Factors
▪ Exposure to UV light exacerbates the disease in many individuals.
UV irradiation may induce apoptosis and also may alter DNA and
make it immunogenic.
▪ The gender bias of SLE is partly attributable to actions of sex
hormones and partly related to genes on the X- chromosome,
independent of hormone effects.
▪ Drugs such as hydralazine, procainamide, and D-penicillamine can
induce an SLE-like disorder.
Pathogenesis
▪ Immunologic Factors; Several immunologic aberrations that collectively may result in
the persistent and uncontrolled activation of selfreactive lymphocytes.
▪ Failure of self-tolerance in B cells results from defective elimination of self-reactive B
cells in the bone marrow or defects in peripheral tolerance mechanisms.
▪ CD4+ helper T cells specific for nucleosomal antigens also escape tolerance and
contribute to the production of high-affinity pathogenic autoantibodies.
▪ The autoantibodies in SLE show characteristics of T cell–dependent antibodies
produced in germinal centers, and increased numbers of follicular helper T cells have
been detected in the blood of SLE patients.
▪ Type I interferons. Blood cells show a striking molecular signature that indicates
exposure to interferon-α (IFN- α), a type I interferon that is produced mainly by
plasmacytoid DCs. Some studies have shown that such cells from SLE
Pathogenesis – Immunologic Factors
▪ TLR signals; TLRs that recognize DNA and RNA, notably the DNA-
recognizing
▪ TLR9 and the RNA-recognizing TLR7,
▪ produce signals that activate B cells specific for self nuclear antigens.
▪ Other cytokines that may play a role in unregulated B-cell activation
include the TNF family member BAFF, which promotes survival of B cells.
▪ In some patients and animal models, increased production of BAFF has
been reported, and this has led to modest success of an antibody that
blocks BAFF as a therapy for SLE.
Mechanisms of Tissue Injury
▪ Different autoantibodies are the cause of most of the lesions of SLE.
▪ Most of the systemic lesions are caused by immune complexes (type III
hypersensitivity).
▪ DNA-anti-DNA complexes can be detected in the glomeruli and small blood
vessels.
▪ Low levels of serum complement (secondary to consumption of complement
proteins) and granular deposits of complement and immunoglobulins in the
glomeruli further support the immune complex nature of the disease.
▪ T cell infiltrates are also frequently seen in the kidneys.
▪ Autoantibodies of different specificities contribute to the pathology and clinical
manifestations of SLE (type II hypersensitivity).
▪ Autoantibodies specific for red blood cells, white blood cells, and platelets
opsonize these cells and promote their phagocytosis, resulting in cytopenias.
Mechanisms of Tissue Injury
▪ Anti-phospholipid antibody syndrome. Patients with antiphospholipid
antibodies may develop venous and arterial thromboses, which may be
associated with recurrent spontaneous miscarriages and focal cerebral or
ocular ischemia.
▪ This constellation of clinical features, in association with lupus, is referred
to as the secondary antiphospholipid antibody syndrome.
▪ Some patients develop these autoantibodies and the clinical syndrome
without associated SLE; primary anti-phospholipid antibody syndrome
▪ The neuropsychiatric manifestations of SLE have been attributed to
antibodies that cross the blood-brain barrier and react with neurons or
receptors for various neurotransmitters.
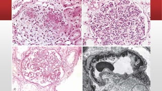
Lupus nephritis. (A) Focal proliferative glomerulonephritis, with two focal necrotizing
lesions at the 11 o’clock and 2 o’clock positions (H&E stain).
Extracapillary proliferation is not prominent in this case. (B) Diffuse proliferative
glomerulonephritis. Note the marked increase in cellularity throughout the
glomerulus (H&E stain). (C) Lupus nephritis showing a glomerulus with several “wire-
loop” lesions representing extensive subendothelial deposits of immune complexes
(periodic acid-Schiff stain). (D) Electron micrograph of a renal glomerular capillary loop
from a patient with SLE nephritis. Subendothelial dense deposits (arrowheads) on
basement membrane (arrow) correspond to “wire loops” seen by light microscopy. (E)
Deposition of IgG antibody in a granular pattern, detected by immunofluorescence.
Clinical Features
▪ Anemia/ Thrombocytopenia
▪ It may be acute or insidious in its onset.
▪ In many patients, the presentation is
subtle and puzzling, taking forms such
as:
▪ Fever of unknown origin, abnormal
urinary findings, or joint disease
masquerading as rheumatoid arthritis
or rheumatic fever.
▪ Generic ANAs, detected by
immunofluorescence assays, are found
in virtually 100% of patients, but these
are not specific for SLE.
▪ The patient is a young woman with some or all of
the following features:
▪ A butterfly rash on the face.
▪ Fever.
▪ Pain without deformity in one or more joints
▪ Pleuritic chest pain
▪ Photosensitivity.
▪ Renal involvement may produce a variety of
findings, including
▪ Hematuria
▪ Red blood cell casts.
▪ Proteinuria
▪ Nephrotic syndrome
Management
▪ The course of SLE is variable and unpredictable. Rare acute cases result in death within
weeks to months.
▪ With appropriate therapy, SLE follows a relapsing and remitting course over a period of
years or decades.
▪ During acute flares, increased formation of immune complexes results in complement
activation, often leading to hypocomplementemia.
▪ Disease flares are usually treated with corticosteroids or other immunosuppressive
drugs.
▪ Even without therapy, in some patients the disease runs an indolent course for years
with relatively mild manifestations, such as skin changes and mild hematuria.
▪ The overall 5-year and 10-year survivals are approximately 90% and 80%, respectively.
▪ The most common causes of death are renal failure and intercurrent infections.
Coronary artery disease also is becoming an important cause of death.
▪ Patients treated with steroids and immunosuppressive drugs incur the usual risks
associated with such therapy
Chronic Discoid Lupus Erythromatosus
▪ A disease in which the skin manifestations may mimic SLE, but systemic
manifestations are rare.
▪ It is characterized by the presence of skin plaques, most often on the
face and scalp, showing varying degrees of edema, erythema, scaliness,
follicular plugging, and skin atrophy surrounded by an elevated
erythematous border.
▪ It progresses to SLE in 5% to 10% of patients, usually after many years.
▪ Some patients with SLE may have prominent discoid lesions in the skin.
▪ Approximately 35% of patients have a positive test for generic ANAs, but
antibodies to double-stranded DNA are rarely present.
▪ Immunofluorescence studies of skin biopsy specimens show deposition
of immunoglobulin and C3 at the dermoepidermal junction similar to
that in SLE.
▪ Subacute cutaneous lupus erythematosus refers to a group
intermediate between SLE and lupus erythematosus localized only
to skin.
▪ The skin rash in this disease tends to be widespread and
superficial.
▪ Most patients have mild systemic symptoms similar to those in
SLE.
▪ There is a strong association with antibodies to the SS-A antigen
and with the HLA-DR3 genotype.
Chronic Discoid Lupus Erythromatosus
Drug-Induced Lupus Erythromatosus
▪ An SLE-like syndrome may develop in patients receiving a variety
of drugs;
▪ Hydralazine, procainamide, isoniazid, and D-penicillamine.
▪ Anti-TNF therapy, which is effective in rheumatoid arthritis and
other autoimmune diseases, also can cause drug-induced lupus.
▪ Many of these drugs are associated with the development of ANAs,
especially antibodies specific for histones.
▪ The disease remits after withdrawal of the offending drug.
Rheumatoid Arthritis
▪ An autoimmune disease that affects primarily the joints but also
may involve but also may involve extra-articular tissues such as the
skin, blood vessels, lungs, and heart.
▪ The principal manifestations of the disease are in the joints.
Sjögren's Syndrome
▪ A chronic disease characterized by dry eyes (keratoconjunctivitis sicca)
and dry mouth (xerostomia) resulting from immunologically mediated
destruction of the lacrimal and salivary glands.
▪ Primary form/sicca syndrome; Isolated Disorder
▪ Secondary Form; in association with another autoimmune disease. [More
common 60% RA]
▪ Rheumatoid Arthritis is the most common associated disorder, while
other patients have SLE, polymyositis, scleroderma, vasculitis, mixed
connective tissue disease, or autoimmune thyroid disease.
▪ The lacrimal and salivary glands characteristically show dense
lymphocytic infiltration consisting mainly of activated CD4+ helper T cells
and some B cells, including plasma cells.
▪ Serologic studies frequently reveal Antibodies against two
ribonucleoprotein antigens, SS-A (Ro) and SS-B (La) can be detected in as
many as 90% of patients by sensitive techniques.
▪ High titers of antibodies to SS-A are associated with early disease onset,
longer disease duration, and extraglandular manifestations, such as
cutaneous vasculitis and nephritis.
▪ These autoantibodies also are present in a smaller percentage of patients
with SLE and hence are not diagnostic of Sjögren syndrome.
▪ About 75% of patients have rheumatoid factor (an antibody reactive with
self IgG), and 50% to 80% of patients have ANAs.
Sjögren's Syndrome
▪ Pathogenesis; remains obscure, but the pathology and serology, as well
as an association, albeit weak, with HLA alleles, all point to activation of
autoreactive T cells and B cells.
▪ The initiating trigger may be a viral infection of the salivary glands, which
causes local cell death and release of tissue self antigens.
▪ In genetically susceptible individuals, CD4+ T cells and B cells specific for
these self antigens may escape tolerance and participate in immune
reactions that lead to tissue damage and fibrosis.
▪ The role of particular cytokines or T cell subsets, and the nature of the
autoantigens recognized by these lymphocytes, remain mysterious.
Sjögren's Syndrome
▪ Clinical Features; Most commonly in women between 50 and 60 years of age.
▪ Symptoms result from inflammatory destruction of the exocrine glands.
▪ Keratoconjunctivitis produces blurred vision, burning, and itching, and thick
secretions that accumulate in the conjunctival sac.
▪ Xerostomia results in difficulty in swallowing solid foods, a decrease in taste,
cracks and fissures in the mouth, and dryness of the buccal mucosa.
▪ Parotid gland enlargement is present in half the patients; dryness of the nasal
mucosa, epistaxis, recurrent bronchitis, and pneumonitis are other symptoms.
▪ Manifestations of extra-glandular disease are seen in one third of patients and
include synovitis, pulmonary fibrosis, and peripheral neuropathy.
▪ Glomerular lesions are rare in Sjögren syndrome.
Sjögren's Syndrome
Sjögren's Syndrome
▪ An immunologic disorder characterized by excessive fibrosis in multiple
tissues, obliterative vascular disease, and evidence of autoimmunity,
mainly the production of multiple autoantibodies.
▪ Scleroderma is ingrained in clinical medicine, the name systemic
sclerosis is preferred because excessive fibrosis is seen in multiple
organs.
▪ Cutaneous involvement is the usual presenting manifestation and
appears in approximately 95% of cases.
▪ It is the visceral involvement of the gastrointestinal tract, lungs, kidneys,
heart, and skeletal muscles that is responsible for most of the morbidity
and mortality.
▪ Disease limited to the skin is also called localized scleroderma.
Scleroderma – Systemic Sclerosis
Systemic Sclerosis
▪ Systemic sclerosis is classified into two groups on the basis of its
course:
▪ Diffuse systemic sclerosis; characterized by initial widespread skin
involvement, with rapid progression and early visceral involvement
▪ Limited systemic sclerosis; with relatively mild skin involvement,
often confined to the fingers and face.
▪ Involvement of the viscera occurs late, so the disease generally
follows a fairly benign course.
▪ Called CREST syndrome because of its frequent features of
calcinosis, Raynaud phenomenon, esophageal dysmotility,
sclerodactyly, and telangiectasia.
Systemic Sclerosis
▪ Pathogenesis; The cause of systemic sclerosis is not known.
▪ The disease likely results from three interrelated processes; autoimmune
responses, vascular damage, and collagen deposition.
▪ Autoimmunity; It is proposed that CD4+ T cells responding to an as yet
unidentified antigen accumulate in the skin and release cytokines that
activate inflammatory cells and fibroblasts.
▪ Vascular damage; Microvascular disease is consistently present early in the
course of systemic sclerosis. Telltale signs of endothelial activation and injury
and increased platelet activation have been noted.
▪ Fibrosis; The progressive fibrosis characteristic of the disease may be the
culmination of multiple abnormalities including the accumulation of
alternatively activated macrophages, actions of fibrogenic cytokines
produced by infiltrating leukocytes
Systemic Sclerosis
▪ Clinical Features
▪ Female-to-male ratio of 3 : 1 and a peak incidence in the 50- to 60-
year age group.
▪ Systemic sclerosis shares features with SLE, rheumatoid Arthritis and
polymyositis, it is distinguished by the striking cutaneous changes,
notably skin thickening.
▪ Raynaud phenomenon, caused by episodic vasoconstriction of the
arteries and arterioles of the extremities, is seen in virtually all
patients and precedes other symptoms in 70% of cases.
▪ Progressive collagen deposition in the skin leads to increasing
stiffness, especially of the hands, with eventually complete
immobilization of the joints.
Systemic Sclerosis
▪ Nailfold capillary loops are distorted early in the disease, and later
disappear.
▪ Dysphagia attributable to esophageal fibrosis and its resultant
hypomotility are present in more than 50% of patients.
▪ Destruction of the esophageal wall leads to atony and dilation, especially
at its lower end.
▪ Abdominal pain, intestinal obstruction, or malabsorption syndrome reflect
involvement of the small intestine.
▪ Respiratory difficulties caused by the pulmonary fibrosis may result in
right-sided cardiac dysfunction, and myocardial fibrosis may cause either
arrhythmias or cardiac failure
Systemic Sclerosis
▪ Mild proteinuria occurs in as many as 30% of patients, but rarely is
severe enough to cause nephrotic syndrome.
▪ The most ominous manifestation is malignant hypertension, with the
subsequent development of fatal renal failure.
▪ In most patients the disease pursues a steady downhill course over
the span of many years, although life span is improving with better
treatment of the complications.
▪ The disease tends to be more severe in blacks, especially women.
▪ As treatment of the renal complications has improved, pulmonary and
cardiac complications have become the major cause of death.
Systemic Sclerosis
▪ Two ANAs are strongly associated with systemic sclerosis.
▪ One directed against DNA topoisomerase I (anti-Scl 70) is highly specific
and is associated with a greater likelihood of pulmonary fibrosis and
peripheral vascular disease.
▪ The other, an anticentromere antibody, is associated with a higher
likelihood of CREST syndrome.
▪ Patients with this syndrome have relatively limited skin disease, often
confined to fingers, forearms and face, and subcutaneous calcifications.
▪ Involvement of the viscera, including esophageal lesions, pulmonary
hypertension, and biliary cirrhosis, may not occur at all or occur late.
▪ These patients live longer than those with systemic sclerosis with diffuse
visceral involvement from the outset.
Inflammatory Myopathies
▪ Comprise an uncommon, heterogeneous group of disorders
characterized by injury and inflammation of mainly the skeletal
muscles that are probably immunologically mediated.
▪ Based on clinical, morphologic, and immunologic features, three
disorders have been discovered
▪ Polymyositis, Dermatomyositis, and inclusion body Myositis.
▪ Each may occur alone or with other immune-mediated diseases,
particularly systemic sclerosis
Mixed Connective Tissue Disease
▪ A disorder with clinical features that overlap those of SLE, systemic sclerosis, and
polymyositis.
▪ Characterized serologically by high titers of antibodies to U1 ribonucleoprotein.
▪ It presents with synovitis of the fingers, Raynaud phenomenon, and mild myositis.
▪ Renal involvement is modest, and there is a favorable response to corticosteroids,
at least in the short term.
▪ It may evolve over time into classic SLE or systemic sclerosis.
▪ Progression to other autoimmune disorders is not universal, and there may be a
form of mixed connective tissue disease that is distinct from other autoimmune
diseases.
▪ Serious complications of mixed connective tissue disease include pulmonary
hypertension, interstitial lung disease, and renal disease.
Polyarteritis Nodosa and Other Vasculitides
▪ Polyarteritis Nodosa belongs to a group of disorders characterized
by necrotizing inflammation of the walls of blood vessels that show
strong evidence of an immunologic basis.
▪ Any type of vessel may be involved; arteries, arterioles, veins, or
capillaries
IgG4-Related Disease
▪ A newly recognized constellation of fibro-inflammatory disorders
characterized by tissue infiltrates rich in IgG4 antibody-producing
plasma cells and lymphocytes, particularly T cells, associated with
fibrosis and obliterative phlebitis.
▪ The disorder is often, but not always, associated with elevated serum
IgG4 concentrations.
▪ Increased numbers of IgG4-producing plasma cells in tissue are a sine
qua non of this disorder.
▪ IgG4-related disease has now been described in virtually every organ
system, including the biliary tree, salivary glands, periorbital tissues,
kidneys, lungs, lymph nodes, meninges, aorta, breast, prostate, thyroid,
pericardium, and skin.
IgG4 - Related Diseases
▪ Many conditions long viewed as disorders of single organs are now part of
the IgG4-RD spectrum.
▪ These include Mikulicz syndrome (enlargement and fibrosis of salivary and
lacrimal glands),
▪ Riedel thyroiditis, idiopathic retroperitoneal fibrosis, autoimmune
pancreatitis, and inflammatory pseudotumors of the orbit, lungs, and
kidneys, to name a few.
▪ Most often affects middle-aged and older men.
▪ The pathogenesis of this condition is not understood, and although IgG4
production is a hallmark of the disease, it is not known if this antibody type
contributes to the pathology.
▪ The key role of B cells is supported by clinical trials in which depletion of B
cells by anti–B-cell reagents such as rituximab provided clinical benefit.
References
▪ Chapter 5: Diseases of the Immune System
THANK YOU!

Basic Features of Autoimmune Diseases

  • 1.
    Autoimmune Diseases I DR. HADIMUNIB ORAL AND MAXILLOFACIAL SURGERY RESIDENT
  • 2.
    Outline ▪ Immunologic Tolerance ▪Mechanisms of Autoimmunity: General Principles ▪ Systemic Lupus Erythematosus ▪ Rheumatoid Arthritis ▪ Sjogren Syndrome ▪ Systemic Sclerosis (Scleroderma) ▪ Inflammatory Myopathies ▪ Mixed Connective Tissue Disease ▪ Polyarteritis Nodosa and Other Vasculitides ▪ IgG4-Related Disease ▪ References
  • 3.
    Autoimmune Diseases ▪ Autoimmunityrefers to immune reactions against self (“auto”) antigens. ▪ Estimated to affect at least 1% to 2% of the U.S. population. ▪ The evidence that these diseases are indeed the result of autoimmune reactions is more persuasive for some than for others. ▪ In many of these disorders, high-affinity autoantibodies have been identified, and in some cases these antibodies are known to cause pathologic abnormalities. ▪ There is also growing evidence for the activation of pathogenic self-reactive T cells in some of these diseases. ▪ Experimental models have proved very informative, providing circumstantial evidence supporting an autoimmune etiology.
  • 4.
    Autoimmune Diseases ▪ Formany disorders traditionally classified as autoimmune, this etiology is suspected but not proved. ▪ Autoimmune diseases may be organ-specific and result in localized tissue damage, or systemic; characterized by lesions in many organs ▪ In systemic diseases that are caused by immune complexes and autoantibodies, the lesions principally affect the connective tissues and blood vessels of involved organs. ▪ These diseases are often referred to as collagen vascular diseases or connective tissue diseases, even though the immunologic reactions are not specifically directed against constituents of connective tissue or blood vessels. ▪ Normal persons are unresponsive (tolerant) to their own (self) antigens, and autoimmunity results from a failure of self-tolerance. Therefore, understanding the pathogenesis of autoimmunity requires familiarity with the mechanisms of normal immunologic tolerance.
  • 6.
    Immunologic Tolerance ▪ Astate of unresponsiveness to an antigen that is induced by exposure of specific lymphocytes to that antigen. ▪ Self-tolerance refers to lack of immune responsiveness to one’s own tissue antigens. ▪ Billions of different antigen receptors are randomly generated in developing T lymphocytes and B lymphocytes; receptors are produced that can recognize self antigens. ▪ These antigens cannot all be concealed from the immune system, there must be a means of eliminating or controlling self-recognizing lymphocytes. ▪ Several mechanisms work in concert to select against self-reactivity and to thus prevent immune reactions against the body’s own antigens. ▪ Central tolerance and peripheral tolerance
  • 8.
    Immunologic Tolerance ▪ CentralTolerance ▪ The principal mechanism is the antigen-induced deletion (death) of self- reactive T lymphocytes and B lymphocytes during their maturation in central (generative) lymphoid organs (i.e., in the thymus for T cells and in the bone marrow for B cells). ▪ In the thymus, many autologous (self) protein antigens are processed and presented by thymic APCs. ▪ Any immature T cell that encounters such a self antigen undergoes apoptosis (a process called deletion, or negative selection), and the T cells that complete their maturation are thereby depleted of self-reactive cells. ▪ An exciting advance has been the identification of a protein called AIRE (autoimmune regulator), which stimulates expression of some peripheral tissue-restricted self antigens in the thymus and is thus critical for deletion of immature T cells specific for these antigens.
  • 9.
    Immunologic Tolerance –Central Tolerance ▪ Mutations in the AIRE gene are the cause of an autoimmune poly- endocrinopathy. ▪ Not all immature T cells that see self antigens in the thymus are deleted. ▪ Some CD4+ T cells survive and develop into regulatory T cells. ▪ Immature B cells that recognize self antigens with high affinity in the bone marrow also may die by apoptosis. ▪ Other self-reactive B cells are not deleted but instead undergo a second round of rearrangement of antigen receptor genes and then express new receptors that are no longer self-reactive (a process called receptor editing).
  • 10.
    Immunologic Tolerance –Central Tolerance ▪ Central tolerance is imperfect. ▪ Not all self antigens are present in the thymus or bone marrow, and hence lymphocytes bearing receptors for such autoantigens escape into the periphery. ▪ Self-reactive lymphocytes that escape negative selection can inflict tissue injury unless they are eliminated or muzzled in the peripheral tissues
  • 11.
    Immunologic Tolerance –Peripheral Tolerance ▪ Several mechanisms silence potentially autoreactive T cells and B cells in peripheral tissues; these are best defined for T cells. These mechanisms include the following: ▪ Anergy; functional inactivation (rather than death) of lymphocytes that is induced by encounter with antigens under certain conditions; activation of T cells requires two signals: recognition of peptide antigen in association with MHC molecules on APCs, and a set of second costimulatory signals provided by the APCs. ▪ If the costimulatory signals are not delivered, or if an inhibitory receptor on the T cell (rather than the costimulatory receptor) is engaged when the cell encounters self antigen, the T cell becomes anergic and cannot respond to the antigen. ▪ Because costimulatory molecules are expressed at low levels or not at all on APCs presenting self antigens, the encounter between autoreactive T cells and self antigens in tissues may result in anergy.
  • 12.
    ▪ It isbelieved that if mature B cells encounter self antigen in peripheral tissues, especially in the absence of specific helper T cells, these B cells become unable to respond to the antigen. ▪ B lymphocytes also express inhibitory receptors that may play a role in limiting their activation and preventing responses to self antigens. Immunologic Tolerance – Peripheral Tolerance
  • 13.
    ▪ Suppression byregulatory T cells; regulatory T cells function to prevent immune reactions against self antigens; develop mainly in the thymus, but they also may be induced in peripheral lymphoid tissues. ▪ The best defined regulatory T cells are CD4+ cells that express high levels of CD25, the α chain of the IL-2 receptor, and a transcription factor of the forkhead family, called FOXP3. ▪ Both IL-2 and FOXP3 are required for the development and maintenance of functional CD4+ regulatory T cells. ▪ In humans, these mutations are the cause of a systemic autoimmune disease called IPEX (Immune dysregulation, polyendocrinopathy, enteropathy, X-linked). ▪ The mechanisms by which regulatory T cells suppress immune responses are not fully defined, but their inhibitory activity may be mediated in part by the secretion of immunosuppressive cytokines such as IL-10 and TGF-β, which inhibit lymphocyte activation and effector functions. ▪ Regulatory T cells also express CTLA-4, which may bind to B7 molecules on APCs and reducetheir ability to activate T cells via CD28. Immunologic Tolerance – Peripheral Tolerance
  • 14.
    ▪ Deletion byapoptosis; T cells that recognize self antigens may receive signals that promote their death by apoptosis. ▪ Two mechanisms of deletion of mature T cells have been proposed, based mainly on studies in mice. ▪ It is postulated that if T cells recognize self antigens, they upregulate a pro-apoptotic member of the Bcl-2 family called Bim, which triggers apoptosis by the mitochondrial pathway. ▪ Another mechanism of apoptosis involves the death receptor Fas (a member of the TNF receptor family), which can be engaged by its ligand co-expressed on the same or neighboring cells. ▪ The importance of this pathway of self-tolerance is illustrated by the discovery that FAS mutations are responsible for an autoimmune disease called the autoimmune lymphoproliferative syndrome (ALPS), characterized by lymphadenopathy and production of autoantibodies. Immunologic Tolerance – Peripheral Tolerance
  • 15.
    Immunologic Tolerance –Peripheral Tolerance ▪ Some self antigens are hidden (sequestered) from the immune system, because the tissues in which these antigens are located do not communicate with the blood and lymph. ▪ As a result, unless released into the circulation, these antigens fail to elicit immune responses and are essentially ignored by the immune system. ▪ This is believed to be the case for antigens that are only found in the testis, eye, and brain, all of which are called immune-privileged sites because antigens located in these sites tend to be shielded from the immune system. ▪ If the antigens are released from these tissues; as a consequence of trauma or infection, the result may be an immune response that leads to prolonged tissue inflammation and injury. ▪ This is the postulated mechanism for post-traumatic orchitis and uveitis.
  • 16.
    Mechanisms of Autoimmunity– General Principles ▪ Breakdown of self-tolerance and development of autoimmunity result from the combined effects of: ▪ Susceptibility genes, which influence lymphocyte tolerance ▪ Environmental factors, such as infections or tissue injury ▪ Together they alter the display of and responses to self antigens
  • 18.
    Genetic Factors inAutoimmunity ▪ Most autoimmune diseases are complex multigenic disorders. ▪ There is abundant evidence that inherited genes play a role in the development of autoimmune diseases. ▪ Autoimmune diseases have a tendency to run in families, and there is a greater incidence of the same disease in monozygotic than in dizygotic twins. ▪ Several autoimmune diseases are linked to the HLA locus, especially class II alleles (HLA-DR, HLA-DQ). ▪ The frequency of a disease in individuals with a particular HLA allele compared with those who do not inherit that allele, is called the odds ratio or relative risk. ▪ The relative risk ranges from 3 or 4 for rheumatoid arthritis (RA) and HLA- DR4 to 100 or more for ankylosing spondylitis and HLA-B27.
  • 19.
    Genetic Factors inAutoimmunity ▪ How MHC genes influence the development of autoimmunity is still not clear. ▪ Most individuals with a susceptibility-related MHC allele never develop disease, and, conversely, individuals without the relevant MHC gene may get it. ▪ Expression of a particular MHC gene is therefore but one variable that contributes to autoimmunity. ▪ Genome-wide association (GWAS) studies and linkage studies in families are revealing many genetic polymorphisms that are associated with different autoimmune diseases. ▪ Some of these genetic variants are disease-specific, but many of the associations are seen in multiple disorders, suggesting that they affect general mechanisms of immune regulation and self-tolerance. ▪ However, the mechanism by which most of these genetic variants contribute to particular autoimmune diseases is not established.
  • 22.
    Role of Infections,Tissue Injury, and Other Environmental Factors ▪ A variety of microbes, including bacteria, mycoplasmas, and viruses, have been implicated as triggers for autoimmunity. ▪ Microbes may induce autoimmune reactions by several mechanisms: ▪ Microbial infections with resultant tissue necrosis and inflammation can stimulate expression of costimulatory molecules on APCs in the tissue, thus favoring a breakdown of T cell tolerance and subsequent T cell activation. ▪ Viruses and other microbes may share cross-reacting epitopes with self antigens, and as a result responses induced by the microbe may extend to self tissues, a phenomenon called molecular mimicry. ▪ The best example of a pathogenic immunologic cross-reaction is rheumatic heart disease, in which an antibody response against streptococci cross- targets cardiac antigens. ▪ It is not known if mimicry has a role in more common autoimmune diseases.
  • 23.
    ▪ Recently, therehas been great interest in the idea that the development of autoimmunity is influenced by the normal gut and skin microbiome ▪ Microbiome; The diverse collection of commensal microbes that live with us in a symbiotic relationship. ▪ It is possible that different commensal microbes affect the relative proportions of effector and regulatory T cells, and shape the host response toward or away from aberrant activation. ▪ It is still not clear which microbes contribute to specific diseases in humans, or if the microbiome can be manipulated to prevent or treat these disorders. ▪ Recent observations suggesting that infections paradoxically protect individuals from some autoimmune diseases, notably type 1 diabetes, multiple sclerosis, and Crohn disease. ▪ The possible mechanisms underlying this effect are not understood. Role of Infections, Tissue Injury, and Other Environmental Factors
  • 24.
    ▪ In additionto infections, the display of tissue antigens also may be altered by a variety of environmental insults. ▪ Ultraviolet (UV) radiation causes cell death and may lead to the exposure of nuclear antigens, which elicit pathologic immune responses in lupus; the association of lupus flares with exposure to sunlight. ▪ Smoking is a risk factor for RA, perhaps because it leads to chemical modification of self antigens. ▪ Local tissue injury for any reason may lead to the release of self antigens and autoimmune responses. Role of Infections, Tissue Injury, and Other Environmental Factors
  • 25.
    ▪ There isa strong gender bias of autoimmunity, with many of these diseases being more common in women than in men. ▪ The underlying mechanisms are not well understood, but may involve the effects of hormones and other factors. ▪ An autoimmune response may itself promote further autoimmune attack. ▪ Tissue injury caused by an autoimmune response or any other cause may lead to exposure of self antigen epitopes that were previously concealed but are now presented to T cells in an immunogenic form. ▪ The activation of such autoreactive T cells is called epitope spreading, because the immune response spreads to epitopes that were not recognized initially. ▪ This is one of the mechanisms that may contribute to the chronicity of autoimmune diseases. Role of Infections, Tissue Injury, and Other Environmental Factors
  • 27.
    Systemic Lupus Erythromatosus ▪An autoimmune disease involving multiple organs. ▪ Characterized by a vast array of autoantibodies, particularly antinuclear antibodies (ANAs), in which injury is caused mainly by deposition of immune complexes and binding of antibodies to various cells and tissues. ▪ Injury to the skin, joints, kidney, and serosal membranes is prominent, but virtually every organ in the body may be affected. ▪ The disease is very heterogeneous, and any patient may present with any number of these features. ▪ SLE is a fairly common disease, with a prevalence that may be as high as 400 per 100,000 in certain populations. ▪ Often presents when a person is in the twenties or thirties, it may manifest at any age, even in early childhood.
  • 28.
    Systemic Lupus Erythromatosus ▪Similar to many autoimmune diseases, SLE predominantly affects women, with a female-to-male ratio of 9 : 1 for the reproductive age group of 17 to 55 years. ▪ By comparison, the female-to-male ratio is only 2 : 1 for disease developing during childhood or after 65 years of age. ▪ The prevalence of the disease is 2- to 3-fold higher in blacks and Hispanics than in whites.
  • 29.
    Systemic Lupus Erythromatosus ▪Spectrum of Autoantibodies in SLE ▪ The hallmark of SLE is the production of autoantibodies. ▪ Some antibodies recognize nuclear and cytoplasmic components, while others are directed against cell surface antigens of blood cells. ▪ Autoantibodies are of major pathogenic significance in the immune complex–mediated glomerulonephritis so typical of this disease. ▪ Autoantibodies also are found in other autoimmune diseases, many of which tend to be associated with specific types of autoantibodies
  • 32.
    Systemic Lupus Erythromatosus ▪Anti-Nuclear Antibodies; can be grouped into four categories: 1. Antibodies to DNA 2. Antibodies to histones 3. Antibodies to Non-histone proteins bound to RNA. 4. Antibodies to nucleolar antigens. ▪ The most widely used method for detecting ANAs is indirect immunofluorescence, which can identify antibodies that bind to a variety of nuclear antigens, including DNA, RNA, and proteins (generic ANAs). ▪ The pattern of nuclear fluorescence suggests the type of antibody present in the patient’s serum. ▪ Several basic patterns are recognized
  • 33.
    Systemic Lupus Erythromatosus ▪A homogeneous or diffuse staining pattern usually reflects the presence of antibodies to chromatin, histones, and, occasionally, double-stranded DNA. ▪ A rim or peripheral staining pattern is most often indicative of antibodies to double-stranded DNA and sometimes to nuclear envelope proteins. ▪ A centromeric pattern is indicative of antibodies specific for centromeres. This pattern is often observed in patients with systemic sclerosis. ▪ A speckled pattern refers to the presence of uniform or variable-sized speckles. This is one of the most commonly observed patterns of fluorescence and therefore the least specific. ▪ It reflects the presence of antibodies to non-DNA nuclear constituents such as Sm antigen, ribonucleoprotein, and SS-A and SS-B reactive antigens.
  • 34.
    Systemic Lupus Erythromatosus ▪A nucleolar pattern refers to the presence of a few discrete spots of fluorescence within the nucleus and represents antibodies to RNA. This pattern is reported most often in patients with systemic sclerosis. ▪ The fluorescence patterns are not absolutely specific for the type of antibody, and because many autoantibodies may be present, combinations of patterns are frequent. ▪ Attempts are ongoing to replace microscopic assays with quantitative assays for antibodies against specific nuclear and other antigens. ▪ Antibodies to double-stranded DNA and the so-called “Smith (Sm) antigen” can be detected by more quantitative assays and are virtually diagnostic of SLE. ▪ The staining pattern has diagnostic value, and the test remains in use.
  • 35.
    Systemic Lupus Erythromatosus ▪Other Autoantibodies ▪ In addition to ANAs, lupus patients have a host of other autoantibodies. Some are directed against blood cells, such as red cells, platelets, and lymphocytes. Anti- phospholipid antibodies are present in 30% to 40% of lupus patients. ▪ They are actually directed against epitopes of various plasma proteins that are revealed when the proteins are in complex with phospholipids. ▪ Antibodies against the phospholipid– β2-glycoprotein complex also bind to cardiolipin antigen, used in syphilis serology, and therefore lupus patients may have a false-positive test result for syphilis. ▪ These antibodies bind to phospholipids, they may prolong the PTT, an in vitro clotting test that requires phospholipids; these antibodies are sometimes referred to as lupus anti-coagulant. ▪ Despite the observed clotting delays in vitro, patients with antiphospholipid antibodies have complications related to excessive clotting (a hypercoagulable state), such as thrombosis.
  • 37.
    Pathogenesis ▪ The fundamentaldefect in SLE is a failure of the mechanisms that maintain self-tolerance. ▪ Both genetic and environmental factors play a role. ▪ Genetic Factors; ▪ Familial association; up to 20% of unaffected first-degree relatives have autoantibodies. There is a higher rate of concordance in monozygotic twins (25%) than in dizygotic twins (1%–3%). ▪ HLA association. The odds ratio (relative risk) for persons with HLA-DR2 or HLA-DR3 is 2 to 3, and if both haplotypes are present, the risk is about 5. ▪ Other genes. Genetic deficiencies of classical pathway complement proteins, especially C1q, C2, or C4, are seen in about 10% of patients with SLE
  • 38.
    Pathogenesis ▪ Environmental Factors ▪Exposure to UV light exacerbates the disease in many individuals. UV irradiation may induce apoptosis and also may alter DNA and make it immunogenic. ▪ The gender bias of SLE is partly attributable to actions of sex hormones and partly related to genes on the X- chromosome, independent of hormone effects. ▪ Drugs such as hydralazine, procainamide, and D-penicillamine can induce an SLE-like disorder.
  • 39.
    Pathogenesis ▪ Immunologic Factors;Several immunologic aberrations that collectively may result in the persistent and uncontrolled activation of selfreactive lymphocytes. ▪ Failure of self-tolerance in B cells results from defective elimination of self-reactive B cells in the bone marrow or defects in peripheral tolerance mechanisms. ▪ CD4+ helper T cells specific for nucleosomal antigens also escape tolerance and contribute to the production of high-affinity pathogenic autoantibodies. ▪ The autoantibodies in SLE show characteristics of T cell–dependent antibodies produced in germinal centers, and increased numbers of follicular helper T cells have been detected in the blood of SLE patients. ▪ Type I interferons. Blood cells show a striking molecular signature that indicates exposure to interferon-α (IFN- α), a type I interferon that is produced mainly by plasmacytoid DCs. Some studies have shown that such cells from SLE
  • 40.
    Pathogenesis – ImmunologicFactors ▪ TLR signals; TLRs that recognize DNA and RNA, notably the DNA- recognizing ▪ TLR9 and the RNA-recognizing TLR7, ▪ produce signals that activate B cells specific for self nuclear antigens. ▪ Other cytokines that may play a role in unregulated B-cell activation include the TNF family member BAFF, which promotes survival of B cells. ▪ In some patients and animal models, increased production of BAFF has been reported, and this has led to modest success of an antibody that blocks BAFF as a therapy for SLE.
  • 42.
    Mechanisms of TissueInjury ▪ Different autoantibodies are the cause of most of the lesions of SLE. ▪ Most of the systemic lesions are caused by immune complexes (type III hypersensitivity). ▪ DNA-anti-DNA complexes can be detected in the glomeruli and small blood vessels. ▪ Low levels of serum complement (secondary to consumption of complement proteins) and granular deposits of complement and immunoglobulins in the glomeruli further support the immune complex nature of the disease. ▪ T cell infiltrates are also frequently seen in the kidneys. ▪ Autoantibodies of different specificities contribute to the pathology and clinical manifestations of SLE (type II hypersensitivity). ▪ Autoantibodies specific for red blood cells, white blood cells, and platelets opsonize these cells and promote their phagocytosis, resulting in cytopenias.
  • 43.
    Mechanisms of TissueInjury ▪ Anti-phospholipid antibody syndrome. Patients with antiphospholipid antibodies may develop venous and arterial thromboses, which may be associated with recurrent spontaneous miscarriages and focal cerebral or ocular ischemia. ▪ This constellation of clinical features, in association with lupus, is referred to as the secondary antiphospholipid antibody syndrome. ▪ Some patients develop these autoantibodies and the clinical syndrome without associated SLE; primary anti-phospholipid antibody syndrome ▪ The neuropsychiatric manifestations of SLE have been attributed to antibodies that cross the blood-brain barrier and react with neurons or receptors for various neurotransmitters.
  • 47.
    Lupus nephritis. (A)Focal proliferative glomerulonephritis, with two focal necrotizing lesions at the 11 o’clock and 2 o’clock positions (H&E stain). Extracapillary proliferation is not prominent in this case. (B) Diffuse proliferative glomerulonephritis. Note the marked increase in cellularity throughout the glomerulus (H&E stain). (C) Lupus nephritis showing a glomerulus with several “wire- loop” lesions representing extensive subendothelial deposits of immune complexes (periodic acid-Schiff stain). (D) Electron micrograph of a renal glomerular capillary loop from a patient with SLE nephritis. Subendothelial dense deposits (arrowheads) on basement membrane (arrow) correspond to “wire loops” seen by light microscopy. (E) Deposition of IgG antibody in a granular pattern, detected by immunofluorescence.
  • 48.
    Clinical Features ▪ Anemia/Thrombocytopenia ▪ It may be acute or insidious in its onset. ▪ In many patients, the presentation is subtle and puzzling, taking forms such as: ▪ Fever of unknown origin, abnormal urinary findings, or joint disease masquerading as rheumatoid arthritis or rheumatic fever. ▪ Generic ANAs, detected by immunofluorescence assays, are found in virtually 100% of patients, but these are not specific for SLE. ▪ The patient is a young woman with some or all of the following features: ▪ A butterfly rash on the face. ▪ Fever. ▪ Pain without deformity in one or more joints ▪ Pleuritic chest pain ▪ Photosensitivity. ▪ Renal involvement may produce a variety of findings, including ▪ Hematuria ▪ Red blood cell casts. ▪ Proteinuria ▪ Nephrotic syndrome
  • 49.
    Management ▪ The courseof SLE is variable and unpredictable. Rare acute cases result in death within weeks to months. ▪ With appropriate therapy, SLE follows a relapsing and remitting course over a period of years or decades. ▪ During acute flares, increased formation of immune complexes results in complement activation, often leading to hypocomplementemia. ▪ Disease flares are usually treated with corticosteroids or other immunosuppressive drugs. ▪ Even without therapy, in some patients the disease runs an indolent course for years with relatively mild manifestations, such as skin changes and mild hematuria. ▪ The overall 5-year and 10-year survivals are approximately 90% and 80%, respectively. ▪ The most common causes of death are renal failure and intercurrent infections. Coronary artery disease also is becoming an important cause of death. ▪ Patients treated with steroids and immunosuppressive drugs incur the usual risks associated with such therapy
  • 50.
    Chronic Discoid LupusErythromatosus ▪ A disease in which the skin manifestations may mimic SLE, but systemic manifestations are rare. ▪ It is characterized by the presence of skin plaques, most often on the face and scalp, showing varying degrees of edema, erythema, scaliness, follicular plugging, and skin atrophy surrounded by an elevated erythematous border. ▪ It progresses to SLE in 5% to 10% of patients, usually after many years. ▪ Some patients with SLE may have prominent discoid lesions in the skin. ▪ Approximately 35% of patients have a positive test for generic ANAs, but antibodies to double-stranded DNA are rarely present. ▪ Immunofluorescence studies of skin biopsy specimens show deposition of immunoglobulin and C3 at the dermoepidermal junction similar to that in SLE.
  • 51.
    ▪ Subacute cutaneouslupus erythematosus refers to a group intermediate between SLE and lupus erythematosus localized only to skin. ▪ The skin rash in this disease tends to be widespread and superficial. ▪ Most patients have mild systemic symptoms similar to those in SLE. ▪ There is a strong association with antibodies to the SS-A antigen and with the HLA-DR3 genotype. Chronic Discoid Lupus Erythromatosus
  • 52.
    Drug-Induced Lupus Erythromatosus ▪An SLE-like syndrome may develop in patients receiving a variety of drugs; ▪ Hydralazine, procainamide, isoniazid, and D-penicillamine. ▪ Anti-TNF therapy, which is effective in rheumatoid arthritis and other autoimmune diseases, also can cause drug-induced lupus. ▪ Many of these drugs are associated with the development of ANAs, especially antibodies specific for histones. ▪ The disease remits after withdrawal of the offending drug.
  • 54.
    Rheumatoid Arthritis ▪ Anautoimmune disease that affects primarily the joints but also may involve but also may involve extra-articular tissues such as the skin, blood vessels, lungs, and heart. ▪ The principal manifestations of the disease are in the joints.
  • 55.
    Sjögren's Syndrome ▪ Achronic disease characterized by dry eyes (keratoconjunctivitis sicca) and dry mouth (xerostomia) resulting from immunologically mediated destruction of the lacrimal and salivary glands. ▪ Primary form/sicca syndrome; Isolated Disorder ▪ Secondary Form; in association with another autoimmune disease. [More common 60% RA] ▪ Rheumatoid Arthritis is the most common associated disorder, while other patients have SLE, polymyositis, scleroderma, vasculitis, mixed connective tissue disease, or autoimmune thyroid disease. ▪ The lacrimal and salivary glands characteristically show dense lymphocytic infiltration consisting mainly of activated CD4+ helper T cells and some B cells, including plasma cells.
  • 56.
    ▪ Serologic studiesfrequently reveal Antibodies against two ribonucleoprotein antigens, SS-A (Ro) and SS-B (La) can be detected in as many as 90% of patients by sensitive techniques. ▪ High titers of antibodies to SS-A are associated with early disease onset, longer disease duration, and extraglandular manifestations, such as cutaneous vasculitis and nephritis. ▪ These autoantibodies also are present in a smaller percentage of patients with SLE and hence are not diagnostic of Sjögren syndrome. ▪ About 75% of patients have rheumatoid factor (an antibody reactive with self IgG), and 50% to 80% of patients have ANAs. Sjögren's Syndrome
  • 57.
    ▪ Pathogenesis; remainsobscure, but the pathology and serology, as well as an association, albeit weak, with HLA alleles, all point to activation of autoreactive T cells and B cells. ▪ The initiating trigger may be a viral infection of the salivary glands, which causes local cell death and release of tissue self antigens. ▪ In genetically susceptible individuals, CD4+ T cells and B cells specific for these self antigens may escape tolerance and participate in immune reactions that lead to tissue damage and fibrosis. ▪ The role of particular cytokines or T cell subsets, and the nature of the autoantigens recognized by these lymphocytes, remain mysterious. Sjögren's Syndrome
  • 58.
    ▪ Clinical Features;Most commonly in women between 50 and 60 years of age. ▪ Symptoms result from inflammatory destruction of the exocrine glands. ▪ Keratoconjunctivitis produces blurred vision, burning, and itching, and thick secretions that accumulate in the conjunctival sac. ▪ Xerostomia results in difficulty in swallowing solid foods, a decrease in taste, cracks and fissures in the mouth, and dryness of the buccal mucosa. ▪ Parotid gland enlargement is present in half the patients; dryness of the nasal mucosa, epistaxis, recurrent bronchitis, and pneumonitis are other symptoms. ▪ Manifestations of extra-glandular disease are seen in one third of patients and include synovitis, pulmonary fibrosis, and peripheral neuropathy. ▪ Glomerular lesions are rare in Sjögren syndrome. Sjögren's Syndrome
  • 59.
  • 60.
    ▪ An immunologicdisorder characterized by excessive fibrosis in multiple tissues, obliterative vascular disease, and evidence of autoimmunity, mainly the production of multiple autoantibodies. ▪ Scleroderma is ingrained in clinical medicine, the name systemic sclerosis is preferred because excessive fibrosis is seen in multiple organs. ▪ Cutaneous involvement is the usual presenting manifestation and appears in approximately 95% of cases. ▪ It is the visceral involvement of the gastrointestinal tract, lungs, kidneys, heart, and skeletal muscles that is responsible for most of the morbidity and mortality. ▪ Disease limited to the skin is also called localized scleroderma. Scleroderma – Systemic Sclerosis
  • 61.
    Systemic Sclerosis ▪ Systemicsclerosis is classified into two groups on the basis of its course: ▪ Diffuse systemic sclerosis; characterized by initial widespread skin involvement, with rapid progression and early visceral involvement ▪ Limited systemic sclerosis; with relatively mild skin involvement, often confined to the fingers and face. ▪ Involvement of the viscera occurs late, so the disease generally follows a fairly benign course. ▪ Called CREST syndrome because of its frequent features of calcinosis, Raynaud phenomenon, esophageal dysmotility, sclerodactyly, and telangiectasia.
  • 62.
    Systemic Sclerosis ▪ Pathogenesis;The cause of systemic sclerosis is not known. ▪ The disease likely results from three interrelated processes; autoimmune responses, vascular damage, and collagen deposition. ▪ Autoimmunity; It is proposed that CD4+ T cells responding to an as yet unidentified antigen accumulate in the skin and release cytokines that activate inflammatory cells and fibroblasts. ▪ Vascular damage; Microvascular disease is consistently present early in the course of systemic sclerosis. Telltale signs of endothelial activation and injury and increased platelet activation have been noted. ▪ Fibrosis; The progressive fibrosis characteristic of the disease may be the culmination of multiple abnormalities including the accumulation of alternatively activated macrophages, actions of fibrogenic cytokines produced by infiltrating leukocytes
  • 64.
    Systemic Sclerosis ▪ ClinicalFeatures ▪ Female-to-male ratio of 3 : 1 and a peak incidence in the 50- to 60- year age group. ▪ Systemic sclerosis shares features with SLE, rheumatoid Arthritis and polymyositis, it is distinguished by the striking cutaneous changes, notably skin thickening. ▪ Raynaud phenomenon, caused by episodic vasoconstriction of the arteries and arterioles of the extremities, is seen in virtually all patients and precedes other symptoms in 70% of cases. ▪ Progressive collagen deposition in the skin leads to increasing stiffness, especially of the hands, with eventually complete immobilization of the joints.
  • 65.
    Systemic Sclerosis ▪ Nailfoldcapillary loops are distorted early in the disease, and later disappear. ▪ Dysphagia attributable to esophageal fibrosis and its resultant hypomotility are present in more than 50% of patients. ▪ Destruction of the esophageal wall leads to atony and dilation, especially at its lower end. ▪ Abdominal pain, intestinal obstruction, or malabsorption syndrome reflect involvement of the small intestine. ▪ Respiratory difficulties caused by the pulmonary fibrosis may result in right-sided cardiac dysfunction, and myocardial fibrosis may cause either arrhythmias or cardiac failure
  • 66.
    Systemic Sclerosis ▪ Mildproteinuria occurs in as many as 30% of patients, but rarely is severe enough to cause nephrotic syndrome. ▪ The most ominous manifestation is malignant hypertension, with the subsequent development of fatal renal failure. ▪ In most patients the disease pursues a steady downhill course over the span of many years, although life span is improving with better treatment of the complications. ▪ The disease tends to be more severe in blacks, especially women. ▪ As treatment of the renal complications has improved, pulmonary and cardiac complications have become the major cause of death.
  • 67.
    Systemic Sclerosis ▪ TwoANAs are strongly associated with systemic sclerosis. ▪ One directed against DNA topoisomerase I (anti-Scl 70) is highly specific and is associated with a greater likelihood of pulmonary fibrosis and peripheral vascular disease. ▪ The other, an anticentromere antibody, is associated with a higher likelihood of CREST syndrome. ▪ Patients with this syndrome have relatively limited skin disease, often confined to fingers, forearms and face, and subcutaneous calcifications. ▪ Involvement of the viscera, including esophageal lesions, pulmonary hypertension, and biliary cirrhosis, may not occur at all or occur late. ▪ These patients live longer than those with systemic sclerosis with diffuse visceral involvement from the outset.
  • 70.
    Inflammatory Myopathies ▪ Comprisean uncommon, heterogeneous group of disorders characterized by injury and inflammation of mainly the skeletal muscles that are probably immunologically mediated. ▪ Based on clinical, morphologic, and immunologic features, three disorders have been discovered ▪ Polymyositis, Dermatomyositis, and inclusion body Myositis. ▪ Each may occur alone or with other immune-mediated diseases, particularly systemic sclerosis
  • 71.
    Mixed Connective TissueDisease ▪ A disorder with clinical features that overlap those of SLE, systemic sclerosis, and polymyositis. ▪ Characterized serologically by high titers of antibodies to U1 ribonucleoprotein. ▪ It presents with synovitis of the fingers, Raynaud phenomenon, and mild myositis. ▪ Renal involvement is modest, and there is a favorable response to corticosteroids, at least in the short term. ▪ It may evolve over time into classic SLE or systemic sclerosis. ▪ Progression to other autoimmune disorders is not universal, and there may be a form of mixed connective tissue disease that is distinct from other autoimmune diseases. ▪ Serious complications of mixed connective tissue disease include pulmonary hypertension, interstitial lung disease, and renal disease.
  • 72.
    Polyarteritis Nodosa andOther Vasculitides ▪ Polyarteritis Nodosa belongs to a group of disorders characterized by necrotizing inflammation of the walls of blood vessels that show strong evidence of an immunologic basis. ▪ Any type of vessel may be involved; arteries, arterioles, veins, or capillaries
  • 73.
    IgG4-Related Disease ▪ Anewly recognized constellation of fibro-inflammatory disorders characterized by tissue infiltrates rich in IgG4 antibody-producing plasma cells and lymphocytes, particularly T cells, associated with fibrosis and obliterative phlebitis. ▪ The disorder is often, but not always, associated with elevated serum IgG4 concentrations. ▪ Increased numbers of IgG4-producing plasma cells in tissue are a sine qua non of this disorder. ▪ IgG4-related disease has now been described in virtually every organ system, including the biliary tree, salivary glands, periorbital tissues, kidneys, lungs, lymph nodes, meninges, aorta, breast, prostate, thyroid, pericardium, and skin.
  • 74.
    IgG4 - RelatedDiseases ▪ Many conditions long viewed as disorders of single organs are now part of the IgG4-RD spectrum. ▪ These include Mikulicz syndrome (enlargement and fibrosis of salivary and lacrimal glands), ▪ Riedel thyroiditis, idiopathic retroperitoneal fibrosis, autoimmune pancreatitis, and inflammatory pseudotumors of the orbit, lungs, and kidneys, to name a few. ▪ Most often affects middle-aged and older men. ▪ The pathogenesis of this condition is not understood, and although IgG4 production is a hallmark of the disease, it is not known if this antibody type contributes to the pathology. ▪ The key role of B cells is supported by clinical trials in which depletion of B cells by anti–B-cell reagents such as rituximab provided clinical benefit.
  • 77.
    References ▪ Chapter 5:Diseases of the Immune System
  • 78.