Dr. Snehil Agrawal
Three requirements should be met before a disorder is
categorized as autoimmunity:
(1) the presence of an immune reaction specific for some self
antigen or self tissue
(2) Reaction is not secondary to tissue damage but is of primary
pathogenic significance
(3) Absence of another well-defined cause of the disease.
• Immunologic tolerance is the phenomenon of
unresponsiveness to an antigen induced by exposure of
lymphocytes to that antigen.
• Self-tolerance refers to lack of responsiveness to an
individual’s own antigens, and it underlies our ability to live in
harmony with our cells and tissues.
antigen receptors of
lymphocytes are
generated by random
somatic recombination
of genes
lymphocytes with
receptors capable of
recognizing self
antigens are generated
eliminated or
inactivated as soon as
they recognize self
antigens
Immature self-reactive T and B lymphocyte clones that recognize
self antigens during their maturation in the central (or generative)
lymphoid organs (the thymus for T cells and the bone marrow for
B cells) are killed or rendered harmless.
Immature lymphocytes
encounter antigen
Many of the cells die by
apoptosis.
negative selection/ deletion
Some of the CD4+ T cells
that see self antigens in the
thymus do not die but
develop into regulatory
T cells
Random somatic gene
rearrangements
antigen-independent
Diverse TCR generation
produces many
lymphocytes that express
high-affinity receptors for
self antigens
immature lymphocytes
encounter the antigens in
the thymus
T- lymphocytes
• AIRE (autoimmune regulator) stimulates expression of some
“peripheral tissue-restricted” self antigens in the thymus and is
thus critical for deletion of immature T cells specific for these
antigens.
developing
cells strongly
recognize self
antigens in the
bone marrow
many of the
cells reactivate
the machinery
of antigen
receptor gene
rearrangement
begin to
express new
antigen
receptors-
receptor
editing
If Receptor
editing does
not occur
Apoptosis of
self reactive
cells
• Central tolerance is imperfect.
• Not all self antigens may be present in the thymus.
• Similar “slippage” in the B-cell system.
• Self-reactive lymphocytes that escape negative selection can
inflict tissue injury unless they are deleted or muzzled in the
peripheral tissues.
• Several mechanisms silence potentially autoreactive T and B
cells in peripheral tissues.
• Rendered functionally unresponsive
• If the antigen is presented to T cells
without adequate levels of co-
stimulators, the cells become anergic.
• Costimulatory molecules are not
expressed or are weakly expressed on
resting dendritic cells in normal tissues.
• T cells that recognize self antigens
receive an inhibitory signal from
receptors that are competitive inhibitor
of these costimulatory molecules.
• Eg. CTLA-4 and PD-1
• B cells encounter self antigen in peripheral tissues, especially
in the absence of specific helper T cells, the B cells become
unable to respond to subsequent antigenic stimulation and may
be excluded from lymphoid follicles, resulting in their death.
• B lymphocytes also express inhibitory receptors.
• A population of T cells called regulatory T cells functions to
prevent immune reactions against self antigens.
• Mechanisms - secretion of immunosuppressive cytokines such
as IL-10 and TGF-β.
• Regulatory T cells may play a role in the acceptance of the
fetus.
• T cells that recognize self antigens may receive signals that
promote their death by apoptosis.
• The immune system normally exists in an equilibrium in which
lymphocyte activation, which is required for defense against
pathogens, is balanced by the mechanisms of tolerance, which
prevent reactions against self antigens.
• The underlying cause of autoimmune diseases is the failure of
tolerance.
• Defective tolerance or regulation- Fundamental to the
development of autoimmune diseases is failure of the
mechanism that maintain self tolerance.
• Abnormal display of self antigens-
• Inflammation or an initial innate immune response.
Intolerance to
these epitopes,
thus allowing anti-
self responses to
develop.
Display of
antigenic epitopes
that are not
expressed
normally
structural changes
in these from
enzymatic
modification/
cellular stress/
injury
increased
expression and
persistence of self
antigens that are
normally cleared
Autoimmunity
• Some antigens are hidden (sequestered) from the immune
system, because the tissues in which these antigens are located
do not communicate with the blood and lymph.
• As a result, self antigens in these tissues fail to elicit immune
responses and are essentially ignored by the immune system.
• testis, eye, and brain
Damage to immunologically
privileged sites can lead to
autoimmunity
1) Tissue destruction
Diabetes: CTLs destroy insulin-producing b-cells in pancreas
2) Antibodies block normal function
Myasthenia gravis: Ab binds acetylcholine receptors
3) Antibodies stimulate inappropriate function
Graves’ disease: Ab binds TSH receptor-- Mimics thyroid-
stimulating hormone-- Activates unregulated thyroid hormone
production
4) Antigen-antibody complexes affect function
Rheumatoid arthritis: IgM specific for Fc portion of IgG
IgM-IgG complexes deposited in joints inflammation
Effects of autoimmunity
• SLE is an autoimmune disease involving multiple organs,
characterized by a vast array of autoantibodies,
particularly antinuclear antibodies (ANAs), in which injury
is caused mainly by deposition of immune complexes and
binding of antibodies to various cells and tissues.
• Lupus = wolf
• 2 forms :
1. Systemic or disseminated form
2. Discoid form
• Systemic or disseminated form –
characterised by acute and chronic inflammatory lesions
widely scattered in the body
presence of various nuclear and cytoplasmic autoantibodies in
the plasma
• Discoid form –
characterised by chronic and localised skin lesions
involving the bridge of nose and adjacent cheeks
Etiology :
• Exact etiology unknown
• autoantibodies against nuclear and cytoplasmic components of
the cells are demonstrable in plasma by immunofluorescence
tests
• Antibodies identified against a host of nuclear and cytoplasmic
components of the cell are -
1. Antinuclear antibodies :
• antibodies against common nuclear antigen that includes DNA as
well as RNA
• demonstrable in about 98% cases
• Best screening test
2. Antibodies to double-stranded DNA (anti-dsDNA)
• Most specific
• Present in 70% cases
3. Anti-Smith antibodies (anti-Sm)
• Antibodies against smith antigen which is part of
ribonucleoproteins
• Seen in 25% cases
4. Other non-specific antibodies
i. Anti ribonucleoproteins
ii. Anti-histone antibody
iii. Antiphospholipid antibodies or lupus anticoagulant
iv. Anti ribosomal P antibody
• Source of the autoantibodies and hypergammaglobulinemia –
polyclonal activation of B cells
• Brought about by the following
1. Immunologic factors
• an inherited defect in B cells;
• stimulation of B cells by micro-organisms;
• T helper cell hyperactivity; and
• T suppressor cell defect
2. Genetic factors
• Due to immunoregulatory function of class II HLA genes
• Familial
3. Other factors –
• certain drugs e.g. penicillamine D;
• certain viral infections e.g. EBV infection
• certain hormones e.g. oestrogen
• UV rays, smoking
• Pathogenesis:
• Autoantibodies – mediators of injury
• 2 types of immunologic tissue injury
Type 3 hypersensitivity
Type 2 hypersensitivity
• LE cell phenomenon
• first diagnostic laboratory test
• principle - ANAs cannot penetrate the intact cells and thus cell
nuclei should be exposed to bind them with the ANAs
• results in homogeneous mass of nuclear chromatin material -
LE body or haematoxylin body.
• LE cell is a phagocytic leucocyte
• commonly polymorphonuclear neutrophil, sometimes monocyte
• engulfs the homogeneous nuclear material of the injured cell.
• In vitro demo- the blood sample is traumatised to expose the nuclei
of blood leucocytes to ANAs
• results in binding of denatured and damaged nucleus with
ANAs
• chemotactic for phagocytic cells
If this mass is engulfed by a neutrophil, displacing the nucleus
of neutrophil to the rim of the cell, it is called LE cell
If the mass, more often an intact lymphocyte, is phagocytosed
by a monocyte, it is called Tart cell
• Morphological features:
• Principal lesions – renal, vascular, cutaneous, cardiac
Other organs and tissues –
• serosal linings (pleuritis,pericarditis);
• joints (synovitis);
• spleen (vasculitis); liver (portal triaditis); lungs (interstitial
pneumonitis, fibrosing alveolitis), CNS (vasculitis)
• blood (autoimmune haemolytic anaemia, thrombocytopaenia).
• Histologically – characteristic: fibrinoid necrosis
• Seen in –
a) Connective tissue beneath endothelium
b) Under mesothelial lining of pleura and pericardium
c) Under endothelium in endocardium
d) Under synovial lining of joints
• EM-shows large deposits in mesangium, subepithelial or
subendothelial.
• IF-shows granular deposits of immune complex (IgG and C3)
on capillaries, mesangium and tubular basement membranes
• 6 WHO classes -
1. CLASS I – MINIMAL DISEASE LUPUS NEPHRITIS
• < 5%
• LM shows no change.
• IF shows mesangial deposits
2. CLASS II – MESANGIAL PROLIFERATIVE LUPUS
NEPHRITIS
• 10-25%
• LM shows mesangial expansion; pure mesangial
hypercellularity.
• IF shows subepithelial or subendothelial deposits.
3. CLASS III – FOCAL LUPUS NEPHRITIS
• 20-35%
• LM shows focal or segmental endothelial and mesangial cell
proliferation in <50% glomeruli.
• IF shows focal subendothelial deposits.
Three subclasses:
i. Class IIIA: Active lesions (focal proliferative).
ii. Class IIIA/C: Active on chronic lesions (focal proliferative
and sclerosing).
iii. Class IIIC: Chronic inactive lesions with scars (focal
sclerosing).
4. CLASS IV – DIFFUSE LUPUS NEPHRITIS
• 35-60%
• LM shows diffuse, segmental or global involvement of >50%
glomeruli; proliferation of endothelial, mesangial and epithelial
cells; epithelial crescents.
• IF shows diffuse subendothelial deposits.
Two subclasses:
i. Class IV-S: 50% of involved glomeruli have segmental
lesions.
ii. Class IV-G: 50% of involved glomeruli have global lesions.
5. CLASS V – MEMBRANOUS LUPUS NEPHRITIS
• 10-15%
• LM shows diffuse basement membrane thickening.
• IF shows global or segmental subepithelial deposits.
• May be seen in combination with class III or IV
6. CLASS VI – ADVANCED SCLEROTIC LUPUS
NEPHRITIS
• LM shows global sclerosis of > 90% of glomeruli
• small arteries and arterioles
• characterized by necrosis and by fibrinoid deposits within
vessel walls
• transmural and perivascular leukocytic infiltrate
• Chronic stages - fibrous thickening with luminal narrowing.
• Butterfly area on nose and cheek.
• LM shows liquefactive degeneration of basal layer of
epidermis; oedema at dermoepidermal junction; acute
necrotising vasculitis in dermis.
• IF shows immune complex deposits (IgG and C3) at
dermoepidermal junction
• Vegetations on mitral and tricuspid valves, may extend to
mural endocardium, chordae tendineae.
• LM of vegetations shows fibrinoid material, necrotic debris,
inflammatory cells, haematoxylin bodies may be present;
• Connective tissue of endocardium and myocardium may show
focal inflammation and necrotising vasculitis.
Spleen –
• moderately enlarged, Capsular fibrous thickening
• follicular hyperplasia with numerous plasma cells
• thickening and perivascular fibrosis – onion skin lesions.
Joints –
• swelling and a nonspecific mononuclear cell infiltration in the
synovial membranes
CNS –
• vascular lesions causing ischemia or multifocal cerebral
microinfarcts
• Small vessel angiopathy with noninflammatory intimal
proliferation – most frequent
• angiopathy - thrombosis caused by antiphospholipid antibodies
• Clinical features -
• systemic vasculitis of small or medium-sized muscular arteries
• involves the renal and visceral vessels and spares the
pulmonary circulation
• more commonly in adult males
• no association with ANCAs
• Cause unknown, 1/3rd patients have chronic hepB infection
• segmental transmural necrotizing inflammation of small to
medium-sized arteries
• often with superimposed thrombosis
• Kidney > heart > liver >gastrointestinal tract vessels
• usually involve only part of the vessel circumference with
predilection for branching points
• Impaired perfusion - ulcerations, infarcts, ischemic atrophy, or
hemorrhages in the distribution of affected vessels
• inflammatory process weakens the arterial wall - aneurysms
and rupture
• Microscopically – 3 stages
a) Acute stage
b) Healing stage
c) Healed stage
• Acute phase – mixed inflammatory infiltrate, fibrinoid necrosis
and luminal thrombosis
• Healing stage – marked fibroblastic proliferation producing
firm nodularity, inflammatory infiltrate
• Healed stage – fibrous thickening of vessel wall
• Characteristic - all stages of activity (from early to late) coexist
in different vessels or within the same vessel
• Suggests ongoing and recurrent pathogenic insults
• Clinical features –
disease of young adults, can occur in all age groups
acute to chronic but typically is episodic
systemic findings—malaise, fever, weight loss
classic presentation - combination of rapidly accelerating
hypertension, abdominal pain and bloody stools, diffuse
muscular aches and pains and peripheral neuritis
• If untreated – fatal
• immunosuppression can yield remission or cure in 90% of the
cases
SCLERODERMA
• immunologic disorder characterized by excessive fibrosis in
multiple tissues, obliterative vascular disease
• evidence of autoimmunity, mainly the production of multiple
autoantibodies.
• Cutaneous involvement - usual presenting manifestation
• visceral involvement - morbidity and mortality
• classified into two groups on the basis of its clinical course:
1. Diffuse scleroderma
2. Limited scleroderma (CREST syndrome)
• Pathogenesis – cause unknown
• Postulated sequence of events
Injury to endothelial cells
T cells
Endothelial proliferation and intimal fibrosis
B cell activation
autoimmune
responses,
collagen
deposition
vascular
damage
SKIN -
• diffuse, sclerotic atrophy of the skin
• beginning in the fingers and distal regions of the upper
extremities
• extends proximally to involve the upper arms, shoulders, neck,
and face.
• Early stages – affected skin edematous, doughy consistency
• Histologic findings - edema and perivascular infiltrates
containing CD4+ T cells
• Capillaries and small arteries show thickening of the basal
lamina, endothelial cell damage, and partial occlusion
• Edematous phase is replaced by progressive fibrosis of the
dermis
• marked increase of compact collagen in the dermis along with
thinning of the epidermis,
• atrophy of the dermal appendages, and hyaline thickening of
the walls of dermal arterioles and capillaries
• Focal and diffuse subcutaneous calcifications may develop
• Advanced stages - fingers have tapered, claw like appearance
with limitation of motion in the joints
• Loss of blood supply - cutaneous ulcerations and atrophic
changes in the terminal phalanges, including auto amputation.
• 90% patients
• Progressive atrophy and collagenous fibrous replacement of the
muscularis
• mucosa is thinned and may be ulcerated, and there is excessive
collagenization of the lamina propria and submucosa
• Loss of villi and microvilli in the small bowel
• Synovial hyperplasia and inflammation – early stages, later –
fibrosis
• Joint destruction – uncommon
• 50% patients
• pulmonary hypertension and/or interstitial fibrosis
• Pulmonary vasospasm from pulmonary vascular endothelial
dysfunction – imp in pathogenesis of pulm HTN
• 2/3rd of patients
• associated with thickening of the vessel walls of interlobular
arteries
• intimal cell proliferation with deposition of various
glycoproteins and acid mucopolysaccharides
• alterations in SS are restricted to vessels 150 to 500 μm in
diameter
• HTN – 30%
• vascular alterations more pronounced and associated with
fibrinoid necrosis, thrombosis, infarction
• Patchy myocardial fibrosis, along with thickening of
intramyocardial arterioles
• caused by microvascular injury and resultant ischemia
• right ventricular hypertrophy and failure (cor pulmonale)
frequent
• affects women three times more often than men
• 50- to 60-years
• distinctive feature of SS is the striking cutaneous involvement
• exhibit Raynaud phenomenon
• Progressive collagen deposition in the skin - atrophy of the
hands, increasing stiffness and eventually complete
immobilization of the joints
• Difficulty in swallowing - esophageal fibrosis and resultant
hypomotility
• Malabsorption
• Dyspnea and chronic cough
• secondary pulmonary hypertension
• Renal functional impairment
• overall 10-year survival rate - 35% to 70%.
• survival better for patients with localized scleroderma
• CREST syndrome
• Calcinosis
• Raynaud’s
• Esophageal dysmotility
• Sclerodactyly
• Telangiectases
• The buildup of calcium deposits in the tissues.
• It may occur under the skin of the fingers, arms, feet, and
knees, causing pain and infection if the calcium deposits pierce
the surface of the skin.
• is a problem of poor blood flow to fingers and toes.
• Blood flow decreases because blood vessels in these areas
become narrow for a short time, in response to cold or to
emotional stress.
• Results in: finger sensitivity, toe sensitivity cold sensitivity,
changes in skin color, finger pain, toe pain, fingertip ulcers, toe
ulcers
• The digestive system includes the mouth, esophagus, stomach,
and bowels.
• Scleroderma can weaken the esophagus and the bowels.
• It can also build-up of scar tissue in the esophagus, which
narrows the tube.
• When the fingers become tight, stretched, wax-like,
and hardened
• Telangiectasias are small enlarged blood vessels near the
surface of the skin, usually they measure only a few
millimetres.
• They can develop anywhere on the body but commonly on
the face around the nose, cheeks and chin
• Systemic autoimmune disease
• Proximal muscle weakness and skin changes
Pathogenesis –
• Damage to small vessels
• Vasculopathic changes – telangiectasis ( nail folds, eyelids,
gums ) and as dropout of capillary vessels (skeletal muscles)
• Biopsy – deposition of complement membrane attack complex
• Inflammatory infiltrate – B lymphocytes and plasma cells
• Various autoantibodies –
• Anti-Mi2 antibodies show a strong association
with prominent Gottron papules and
heliotrope rash.
• Anti-Jo1 antibodies are associated with
interstitial lung disease, nonerosive arthritis,
and a skin rash described as “mechanic’s
hands.”
• Anti-P155/P140 antibodies are associated
with paraneoplastic and juvenile cases of
dermatomyositis.
• Certain autoantibodies associated with specific clinical features
Anti – Mi2 antibodies : prominent gottron papules and
helicotrope rash
Anti – Jo1 antibodies : associated with interstitial lung disease,
non erosive arthritis and skin rash (mechanics hand)
Anti – P155/P140 antibodies : associated with paraneoplastic
and juvenile cases
Morphology –
• Biopsy – mononuclear inflammatory cell infiltrate
• Pronounced in perimysial connective tissue and around blood
vessels
• Distinctive pattern – perifascicular atrophy
• Segmental fiber necrosis and regeneration
• IHC – infiltrate rich in CD4+ T-helper cells and deposition of
C5b-9 in capillary vessels
• EM – tubuloreticular endothelial cell inclusions
• Clinical features –
• Slow onset, symmetric, accompanied by myalgias
• Affects proximal muscles first
• Fine movements – affected late
• Myopathic changes on electrophysiologic studies and elevation
in serum creatine kinase levels – muscle damage
• Various rashes :
Helicotrope rash – lilac coloured discolouration of upper eyelids
associated with periorbital edema
Gottron papules – scaling erythematous eruption or dusky red
patches over knuckles, elbows and knees
• Dysphagia
• Interstitial lung disease
• Juvenile and adult forms recognised
• Juvenile – 7 yrs, adult – 4th to 6th decade
• Childhood disease – associated with calcinosis and
lipodystrophy
• Prognosis better in children
• Autoimmune disorder, adult onset
• Myalgia and weekness
• Lacks cutaneous features of dermatomyositis
• Symmetrical proximal muscle involvement
• Inflammatory involvement of heart and lungs
• Pathogenesis –
• Uncertain, immunologic basis
• increased expression of MHC class I molecules on myofibers
• predominantly endomysial inflammatory infiltrates containing
CD8+ cytotoxic T cells
• Unlike dermatomyositis, vascular injury is not believed to have
a major role in polymyositis.
• leads to myofiber necrosis and subsequent regeneration
• treated with corticosteroids or other immunosuppressive agents
• Morphology –
• Mononuclear inflammatory cell infiltrate
• Endomysial in location
• Degenerating necrotic, regenerating and atrophic myofibers –
random/patchy distribution
• Sjögren syndrome is a chronic disease characterized by dry
eyes (keratoconjunctivitis sicca) and dry mouth (xerostomia)
resulting from immunologically mediated destruction of the
lacrimal and salivary glands.
Types:
• Isolated disorder (primary form), also known as the sicca
syndrome
• Association with another autoimmune disease (secondary
form) Eg. rheumatoid arthritis, SLE, polymyositis,
scleroderma, vasculitis, mixed connective tissue disease, or
thyroiditis.
• The initiating trigger may be a viral infection of the salivary
glands, which causes local cell death and release of tissue self
antigens.
• In genetically susceptible individuals, CD4+ T cells and B cells
specific for these self antigens may have escaped tolerance and
are able to react.
• The result is inflammation, tissue damage, and, eventually,
fibrosis.
• 75% of patients have rheumatoid factor
• ANAs are detected in 50% to 80% of patients.
• Antibodies directed against two ribonucleoprotein antigens,
SS-A (Ro) and SS-B (La) in 90% of patients.
• Patients with high titers of antibodies to SS-A are more likely
to have early disease onset, longer disease duration, and
extraglandular manifestations, such as cutaneous vasculitis and
nephritis.
• Lacrimal and salivary glands are the major targets of the disease, although other
exocrine glands, including those lining the respiratory and gastrointestinal tracts and
the vagina, may also be involved.
• Earliest histologic finding – Periductal and perivascular lymphocytic infiltration.
• Eventually - lymphocytic infiltrate becomes extensive and in larger salivary glands
may form lymphoid follicles with germinal centres. The ductal lining epithelial cells
may show hyperplasia, obstructing the ducts.
• Later - atrophy of the acini, fibrosis, and hyalinization
• Still later- atrophy and replacement of parenchyma with fat.
• Patients with extensive lymphocytic infiltration are at high risk
for development of B-cell lymphomas.
• The lack of tears - drying of the corneal epithelium, which
becomes inflamed, eroded, and ulcerated.
• The oral mucosa may atrophy, with inflammatory fissuring and
ulceration.
• Women between the ages of 50 and 60.
• The keratoconjunctivitis produces blurring of vision, burning,
and itching, and thick secretions accumulate in the conjunctival
sac.
• Difficulty in swallowing solid foods, a decrease in the ability to
taste, cracks and fissures in the mouth, and dryness of the
buccal mucosa.
• Parotid gland enlargement is present in half the patients
• Dryness of the nasal mucosa, epistaxis, recurrent bronchitis,
and pneumonitis are other symptoms.
• Defects of tubular function including renal tubular acidosis, uricosuria, and
phosphaturia, are often seen and are associated histologically with
tubulointerstitial nephritis
• The combination of lacrimal and salivary gland inflammatory involvement
is Mikulicz syndrome.
• Biopsy of the lip (to examine minor salivary glands) is essential for the
diagnosis of Sjögren syndrome.
• In early stages of the disease, this immune infiltrate consists of a mixture of
polyclonal T and B cells. However, there is a strong tendency of B cells to
gain a somatic mutations, indicative of the development of a marginal zone
lymphoma.
Autoimmune disease

Autoimmune disease

  • 1.
  • 4.
    Three requirements shouldbe met before a disorder is categorized as autoimmunity: (1) the presence of an immune reaction specific for some self antigen or self tissue (2) Reaction is not secondary to tissue damage but is of primary pathogenic significance (3) Absence of another well-defined cause of the disease.
  • 7.
    • Immunologic toleranceis the phenomenon of unresponsiveness to an antigen induced by exposure of lymphocytes to that antigen. • Self-tolerance refers to lack of responsiveness to an individual’s own antigens, and it underlies our ability to live in harmony with our cells and tissues.
  • 8.
    antigen receptors of lymphocytesare generated by random somatic recombination of genes lymphocytes with receptors capable of recognizing self antigens are generated eliminated or inactivated as soon as they recognize self antigens
  • 9.
    Immature self-reactive Tand B lymphocyte clones that recognize self antigens during their maturation in the central (or generative) lymphoid organs (the thymus for T cells and the bone marrow for B cells) are killed or rendered harmless.
  • 10.
    Immature lymphocytes encounter antigen Manyof the cells die by apoptosis. negative selection/ deletion Some of the CD4+ T cells that see self antigens in the thymus do not die but develop into regulatory T cells Random somatic gene rearrangements antigen-independent Diverse TCR generation produces many lymphocytes that express high-affinity receptors for self antigens immature lymphocytes encounter the antigens in the thymus T- lymphocytes
  • 11.
    • AIRE (autoimmuneregulator) stimulates expression of some “peripheral tissue-restricted” self antigens in the thymus and is thus critical for deletion of immature T cells specific for these antigens.
  • 12.
    developing cells strongly recognize self antigensin the bone marrow many of the cells reactivate the machinery of antigen receptor gene rearrangement begin to express new antigen receptors- receptor editing If Receptor editing does not occur Apoptosis of self reactive cells
  • 14.
    • Central toleranceis imperfect. • Not all self antigens may be present in the thymus. • Similar “slippage” in the B-cell system. • Self-reactive lymphocytes that escape negative selection can inflict tissue injury unless they are deleted or muzzled in the peripheral tissues.
  • 15.
    • Several mechanismssilence potentially autoreactive T and B cells in peripheral tissues.
  • 16.
    • Rendered functionallyunresponsive • If the antigen is presented to T cells without adequate levels of co- stimulators, the cells become anergic. • Costimulatory molecules are not expressed or are weakly expressed on resting dendritic cells in normal tissues. • T cells that recognize self antigens receive an inhibitory signal from receptors that are competitive inhibitor of these costimulatory molecules. • Eg. CTLA-4 and PD-1
  • 17.
    • B cellsencounter self antigen in peripheral tissues, especially in the absence of specific helper T cells, the B cells become unable to respond to subsequent antigenic stimulation and may be excluded from lymphoid follicles, resulting in their death. • B lymphocytes also express inhibitory receptors.
  • 18.
    • A populationof T cells called regulatory T cells functions to prevent immune reactions against self antigens. • Mechanisms - secretion of immunosuppressive cytokines such as IL-10 and TGF-β. • Regulatory T cells may play a role in the acceptance of the fetus.
  • 19.
    • T cellsthat recognize self antigens may receive signals that promote their death by apoptosis.
  • 21.
    • The immunesystem normally exists in an equilibrium in which lymphocyte activation, which is required for defense against pathogens, is balanced by the mechanisms of tolerance, which prevent reactions against self antigens. • The underlying cause of autoimmune diseases is the failure of tolerance.
  • 24.
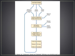
    • Defective toleranceor regulation- Fundamental to the development of autoimmune diseases is failure of the mechanism that maintain self tolerance. • Abnormal display of self antigens- • Inflammation or an initial innate immune response. Intolerance to these epitopes, thus allowing anti- self responses to develop. Display of antigenic epitopes that are not expressed normally structural changes in these from enzymatic modification/ cellular stress/ injury increased expression and persistence of self antigens that are normally cleared
  • 26.
  • 27.
    • Some antigensare hidden (sequestered) from the immune system, because the tissues in which these antigens are located do not communicate with the blood and lymph. • As a result, self antigens in these tissues fail to elicit immune responses and are essentially ignored by the immune system. • testis, eye, and brain
  • 28.
    Damage to immunologically privilegedsites can lead to autoimmunity
  • 31.
    1) Tissue destruction Diabetes:CTLs destroy insulin-producing b-cells in pancreas 2) Antibodies block normal function Myasthenia gravis: Ab binds acetylcholine receptors 3) Antibodies stimulate inappropriate function Graves’ disease: Ab binds TSH receptor-- Mimics thyroid- stimulating hormone-- Activates unregulated thyroid hormone production 4) Antigen-antibody complexes affect function Rheumatoid arthritis: IgM specific for Fc portion of IgG IgM-IgG complexes deposited in joints inflammation Effects of autoimmunity
  • 34.
    • SLE isan autoimmune disease involving multiple organs, characterized by a vast array of autoantibodies, particularly antinuclear antibodies (ANAs), in which injury is caused mainly by deposition of immune complexes and binding of antibodies to various cells and tissues. • Lupus = wolf • 2 forms : 1. Systemic or disseminated form 2. Discoid form
  • 35.
    • Systemic ordisseminated form – characterised by acute and chronic inflammatory lesions widely scattered in the body presence of various nuclear and cytoplasmic autoantibodies in the plasma
  • 36.
    • Discoid form– characterised by chronic and localised skin lesions involving the bridge of nose and adjacent cheeks
  • 37.
    Etiology : • Exactetiology unknown • autoantibodies against nuclear and cytoplasmic components of the cells are demonstrable in plasma by immunofluorescence tests
  • 38.
    • Antibodies identifiedagainst a host of nuclear and cytoplasmic components of the cell are - 1. Antinuclear antibodies : • antibodies against common nuclear antigen that includes DNA as well as RNA • demonstrable in about 98% cases • Best screening test
  • 39.
    2. Antibodies todouble-stranded DNA (anti-dsDNA) • Most specific • Present in 70% cases 3. Anti-Smith antibodies (anti-Sm) • Antibodies against smith antigen which is part of ribonucleoproteins • Seen in 25% cases
  • 40.
    4. Other non-specificantibodies i. Anti ribonucleoproteins ii. Anti-histone antibody iii. Antiphospholipid antibodies or lupus anticoagulant iv. Anti ribosomal P antibody • Source of the autoantibodies and hypergammaglobulinemia – polyclonal activation of B cells
  • 41.
    • Brought aboutby the following 1. Immunologic factors • an inherited defect in B cells; • stimulation of B cells by micro-organisms; • T helper cell hyperactivity; and • T suppressor cell defect 2. Genetic factors • Due to immunoregulatory function of class II HLA genes • Familial
  • 42.
    3. Other factors– • certain drugs e.g. penicillamine D; • certain viral infections e.g. EBV infection • certain hormones e.g. oestrogen • UV rays, smoking • Pathogenesis: • Autoantibodies – mediators of injury • 2 types of immunologic tissue injury Type 3 hypersensitivity Type 2 hypersensitivity
  • 44.
    • LE cellphenomenon • first diagnostic laboratory test • principle - ANAs cannot penetrate the intact cells and thus cell nuclei should be exposed to bind them with the ANAs • results in homogeneous mass of nuclear chromatin material - LE body or haematoxylin body.
  • 45.
    • LE cellis a phagocytic leucocyte • commonly polymorphonuclear neutrophil, sometimes monocyte • engulfs the homogeneous nuclear material of the injured cell. • In vitro demo- the blood sample is traumatised to expose the nuclei of blood leucocytes to ANAs
  • 46.
    • results inbinding of denatured and damaged nucleus with ANAs • chemotactic for phagocytic cells If this mass is engulfed by a neutrophil, displacing the nucleus of neutrophil to the rim of the cell, it is called LE cell If the mass, more often an intact lymphocyte, is phagocytosed by a monocyte, it is called Tart cell
  • 47.
    • Morphological features: •Principal lesions – renal, vascular, cutaneous, cardiac Other organs and tissues – • serosal linings (pleuritis,pericarditis); • joints (synovitis); • spleen (vasculitis); liver (portal triaditis); lungs (interstitial pneumonitis, fibrosing alveolitis), CNS (vasculitis) • blood (autoimmune haemolytic anaemia, thrombocytopaenia).
  • 48.
    • Histologically –characteristic: fibrinoid necrosis • Seen in – a) Connective tissue beneath endothelium b) Under mesothelial lining of pleura and pericardium c) Under endothelium in endocardium d) Under synovial lining of joints
  • 49.
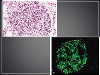
    • EM-shows largedeposits in mesangium, subepithelial or subendothelial. • IF-shows granular deposits of immune complex (IgG and C3) on capillaries, mesangium and tubular basement membranes • 6 WHO classes -
  • 50.
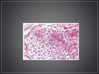
    1. CLASS I– MINIMAL DISEASE LUPUS NEPHRITIS • < 5% • LM shows no change. • IF shows mesangial deposits 2. CLASS II – MESANGIAL PROLIFERATIVE LUPUS NEPHRITIS • 10-25% • LM shows mesangial expansion; pure mesangial hypercellularity. • IF shows subepithelial or subendothelial deposits.
  • 51.
    3. CLASS III– FOCAL LUPUS NEPHRITIS • 20-35% • LM shows focal or segmental endothelial and mesangial cell proliferation in <50% glomeruli. • IF shows focal subendothelial deposits. Three subclasses: i. Class IIIA: Active lesions (focal proliferative). ii. Class IIIA/C: Active on chronic lesions (focal proliferative and sclerosing). iii. Class IIIC: Chronic inactive lesions with scars (focal sclerosing).
  • 53.
    4. CLASS IV– DIFFUSE LUPUS NEPHRITIS • 35-60% • LM shows diffuse, segmental or global involvement of >50% glomeruli; proliferation of endothelial, mesangial and epithelial cells; epithelial crescents. • IF shows diffuse subendothelial deposits. Two subclasses: i. Class IV-S: 50% of involved glomeruli have segmental lesions. ii. Class IV-G: 50% of involved glomeruli have global lesions.
  • 55.
    5. CLASS V– MEMBRANOUS LUPUS NEPHRITIS • 10-15% • LM shows diffuse basement membrane thickening. • IF shows global or segmental subepithelial deposits. • May be seen in combination with class III or IV 6. CLASS VI – ADVANCED SCLEROTIC LUPUS NEPHRITIS • LM shows global sclerosis of > 90% of glomeruli
  • 56.
    • small arteriesand arterioles • characterized by necrosis and by fibrinoid deposits within vessel walls • transmural and perivascular leukocytic infiltrate • Chronic stages - fibrous thickening with luminal narrowing.
  • 58.
    • Butterfly areaon nose and cheek. • LM shows liquefactive degeneration of basal layer of epidermis; oedema at dermoepidermal junction; acute necrotising vasculitis in dermis. • IF shows immune complex deposits (IgG and C3) at dermoepidermal junction
  • 60.
    • Vegetations onmitral and tricuspid valves, may extend to mural endocardium, chordae tendineae. • LM of vegetations shows fibrinoid material, necrotic debris, inflammatory cells, haematoxylin bodies may be present; • Connective tissue of endocardium and myocardium may show focal inflammation and necrotising vasculitis.
  • 62.
    Spleen – • moderatelyenlarged, Capsular fibrous thickening • follicular hyperplasia with numerous plasma cells • thickening and perivascular fibrosis – onion skin lesions. Joints – • swelling and a nonspecific mononuclear cell infiltration in the synovial membranes
  • 63.
    CNS – • vascularlesions causing ischemia or multifocal cerebral microinfarcts • Small vessel angiopathy with noninflammatory intimal proliferation – most frequent • angiopathy - thrombosis caused by antiphospholipid antibodies
  • 64.
  • 67.
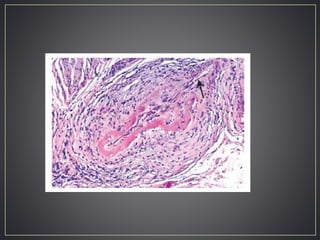
    • systemic vasculitisof small or medium-sized muscular arteries • involves the renal and visceral vessels and spares the pulmonary circulation • more commonly in adult males • no association with ANCAs • Cause unknown, 1/3rd patients have chronic hepB infection
  • 68.
    • segmental transmuralnecrotizing inflammation of small to medium-sized arteries • often with superimposed thrombosis • Kidney > heart > liver >gastrointestinal tract vessels • usually involve only part of the vessel circumference with predilection for branching points
  • 69.
    • Impaired perfusion- ulcerations, infarcts, ischemic atrophy, or hemorrhages in the distribution of affected vessels • inflammatory process weakens the arterial wall - aneurysms and rupture • Microscopically – 3 stages a) Acute stage b) Healing stage c) Healed stage
  • 70.
    • Acute phase– mixed inflammatory infiltrate, fibrinoid necrosis and luminal thrombosis • Healing stage – marked fibroblastic proliferation producing firm nodularity, inflammatory infiltrate • Healed stage – fibrous thickening of vessel wall
  • 72.
    • Characteristic -all stages of activity (from early to late) coexist in different vessels or within the same vessel • Suggests ongoing and recurrent pathogenic insults
  • 73.
    • Clinical features– disease of young adults, can occur in all age groups acute to chronic but typically is episodic systemic findings—malaise, fever, weight loss classic presentation - combination of rapidly accelerating hypertension, abdominal pain and bloody stools, diffuse muscular aches and pains and peripheral neuritis
  • 74.
    • If untreated– fatal • immunosuppression can yield remission or cure in 90% of the cases
  • 76.
  • 77.
    • immunologic disordercharacterized by excessive fibrosis in multiple tissues, obliterative vascular disease • evidence of autoimmunity, mainly the production of multiple autoantibodies. • Cutaneous involvement - usual presenting manifestation
  • 78.
    • visceral involvement- morbidity and mortality • classified into two groups on the basis of its clinical course: 1. Diffuse scleroderma 2. Limited scleroderma (CREST syndrome)
  • 79.
    • Pathogenesis –cause unknown • Postulated sequence of events Injury to endothelial cells T cells Endothelial proliferation and intimal fibrosis B cell activation
  • 80.
  • 83.
    SKIN - • diffuse,sclerotic atrophy of the skin • beginning in the fingers and distal regions of the upper extremities • extends proximally to involve the upper arms, shoulders, neck, and face.
  • 84.
    • Early stages– affected skin edematous, doughy consistency • Histologic findings - edema and perivascular infiltrates containing CD4+ T cells • Capillaries and small arteries show thickening of the basal lamina, endothelial cell damage, and partial occlusion
  • 85.
    • Edematous phaseis replaced by progressive fibrosis of the dermis • marked increase of compact collagen in the dermis along with thinning of the epidermis, • atrophy of the dermal appendages, and hyaline thickening of the walls of dermal arterioles and capillaries
  • 87.
    • Focal anddiffuse subcutaneous calcifications may develop • Advanced stages - fingers have tapered, claw like appearance with limitation of motion in the joints • Loss of blood supply - cutaneous ulcerations and atrophic changes in the terminal phalanges, including auto amputation.
  • 90.
    • 90% patients •Progressive atrophy and collagenous fibrous replacement of the muscularis • mucosa is thinned and may be ulcerated, and there is excessive collagenization of the lamina propria and submucosa • Loss of villi and microvilli in the small bowel
  • 91.
    • Synovial hyperplasiaand inflammation – early stages, later – fibrosis • Joint destruction – uncommon
  • 92.
    • 50% patients •pulmonary hypertension and/or interstitial fibrosis • Pulmonary vasospasm from pulmonary vascular endothelial dysfunction – imp in pathogenesis of pulm HTN
  • 93.
    • 2/3rd ofpatients • associated with thickening of the vessel walls of interlobular arteries • intimal cell proliferation with deposition of various glycoproteins and acid mucopolysaccharides
  • 94.
    • alterations inSS are restricted to vessels 150 to 500 μm in diameter • HTN – 30% • vascular alterations more pronounced and associated with fibrinoid necrosis, thrombosis, infarction
  • 95.
    • Patchy myocardialfibrosis, along with thickening of intramyocardial arterioles • caused by microvascular injury and resultant ischemia • right ventricular hypertrophy and failure (cor pulmonale) frequent
  • 96.
    • affects womenthree times more often than men • 50- to 60-years • distinctive feature of SS is the striking cutaneous involvement
  • 97.
    • exhibit Raynaudphenomenon • Progressive collagen deposition in the skin - atrophy of the hands, increasing stiffness and eventually complete immobilization of the joints • Difficulty in swallowing - esophageal fibrosis and resultant hypomotility
  • 98.
    • Malabsorption • Dyspneaand chronic cough • secondary pulmonary hypertension • Renal functional impairment • overall 10-year survival rate - 35% to 70%. • survival better for patients with localized scleroderma
  • 101.
    • CREST syndrome •Calcinosis • Raynaud’s • Esophageal dysmotility • Sclerodactyly • Telangiectases
  • 102.
    • The buildupof calcium deposits in the tissues. • It may occur under the skin of the fingers, arms, feet, and knees, causing pain and infection if the calcium deposits pierce the surface of the skin.
  • 103.
    • is aproblem of poor blood flow to fingers and toes. • Blood flow decreases because blood vessels in these areas become narrow for a short time, in response to cold or to emotional stress. • Results in: finger sensitivity, toe sensitivity cold sensitivity, changes in skin color, finger pain, toe pain, fingertip ulcers, toe ulcers
  • 104.
    • The digestivesystem includes the mouth, esophagus, stomach, and bowels. • Scleroderma can weaken the esophagus and the bowels. • It can also build-up of scar tissue in the esophagus, which narrows the tube.
  • 105.
    • When thefingers become tight, stretched, wax-like, and hardened
  • 106.
    • Telangiectasias aresmall enlarged blood vessels near the surface of the skin, usually they measure only a few millimetres. • They can develop anywhere on the body but commonly on the face around the nose, cheeks and chin
  • 109.
    • Systemic autoimmunedisease • Proximal muscle weakness and skin changes Pathogenesis – • Damage to small vessels • Vasculopathic changes – telangiectasis ( nail folds, eyelids, gums ) and as dropout of capillary vessels (skeletal muscles)
  • 110.
    • Biopsy –deposition of complement membrane attack complex • Inflammatory infiltrate – B lymphocytes and plasma cells • Various autoantibodies – • Anti-Mi2 antibodies show a strong association with prominent Gottron papules and heliotrope rash. • Anti-Jo1 antibodies are associated with interstitial lung disease, nonerosive arthritis, and a skin rash described as “mechanic’s hands.” • Anti-P155/P140 antibodies are associated with paraneoplastic and juvenile cases of dermatomyositis.
  • 111.
    • Certain autoantibodiesassociated with specific clinical features Anti – Mi2 antibodies : prominent gottron papules and helicotrope rash
  • 112.
    Anti – Jo1antibodies : associated with interstitial lung disease, non erosive arthritis and skin rash (mechanics hand)
  • 113.
    Anti – P155/P140antibodies : associated with paraneoplastic and juvenile cases
  • 114.
    Morphology – • Biopsy– mononuclear inflammatory cell infiltrate • Pronounced in perimysial connective tissue and around blood vessels • Distinctive pattern – perifascicular atrophy • Segmental fiber necrosis and regeneration
  • 117.
    • IHC –infiltrate rich in CD4+ T-helper cells and deposition of C5b-9 in capillary vessels • EM – tubuloreticular endothelial cell inclusions
  • 118.
    • Clinical features– • Slow onset, symmetric, accompanied by myalgias • Affects proximal muscles first • Fine movements – affected late
  • 119.
    • Myopathic changeson electrophysiologic studies and elevation in serum creatine kinase levels – muscle damage
  • 120.
    • Various rashes: Helicotrope rash – lilac coloured discolouration of upper eyelids associated with periorbital edema
  • 121.
    Gottron papules –scaling erythematous eruption or dusky red patches over knuckles, elbows and knees
  • 122.
  • 123.
    • Juvenile andadult forms recognised • Juvenile – 7 yrs, adult – 4th to 6th decade • Childhood disease – associated with calcinosis and lipodystrophy • Prognosis better in children
  • 127.
    • Autoimmune disorder,adult onset • Myalgia and weekness • Lacks cutaneous features of dermatomyositis • Symmetrical proximal muscle involvement • Inflammatory involvement of heart and lungs
  • 128.
    • Pathogenesis – •Uncertain, immunologic basis • increased expression of MHC class I molecules on myofibers • predominantly endomysial inflammatory infiltrates containing CD8+ cytotoxic T cells • Unlike dermatomyositis, vascular injury is not believed to have a major role in polymyositis.
  • 129.
    • leads tomyofiber necrosis and subsequent regeneration • treated with corticosteroids or other immunosuppressive agents
  • 130.
    • Morphology – •Mononuclear inflammatory cell infiltrate • Endomysial in location • Degenerating necrotic, regenerating and atrophic myofibers – random/patchy distribution
  • 133.
    • Sjögren syndromeis a chronic disease characterized by dry eyes (keratoconjunctivitis sicca) and dry mouth (xerostomia) resulting from immunologically mediated destruction of the lacrimal and salivary glands.
  • 134.
    Types: • Isolated disorder(primary form), also known as the sicca syndrome • Association with another autoimmune disease (secondary form) Eg. rheumatoid arthritis, SLE, polymyositis, scleroderma, vasculitis, mixed connective tissue disease, or thyroiditis.
  • 135.
    • The initiatingtrigger may be a viral infection of the salivary glands, which causes local cell death and release of tissue self antigens. • In genetically susceptible individuals, CD4+ T cells and B cells specific for these self antigens may have escaped tolerance and are able to react. • The result is inflammation, tissue damage, and, eventually, fibrosis.
  • 136.
    • 75% ofpatients have rheumatoid factor • ANAs are detected in 50% to 80% of patients. • Antibodies directed against two ribonucleoprotein antigens, SS-A (Ro) and SS-B (La) in 90% of patients. • Patients with high titers of antibodies to SS-A are more likely to have early disease onset, longer disease duration, and extraglandular manifestations, such as cutaneous vasculitis and nephritis.
  • 137.
    • Lacrimal andsalivary glands are the major targets of the disease, although other exocrine glands, including those lining the respiratory and gastrointestinal tracts and the vagina, may also be involved. • Earliest histologic finding – Periductal and perivascular lymphocytic infiltration. • Eventually - lymphocytic infiltrate becomes extensive and in larger salivary glands may form lymphoid follicles with germinal centres. The ductal lining epithelial cells may show hyperplasia, obstructing the ducts. • Later - atrophy of the acini, fibrosis, and hyalinization • Still later- atrophy and replacement of parenchyma with fat.
  • 139.
    • Patients withextensive lymphocytic infiltration are at high risk for development of B-cell lymphomas. • The lack of tears - drying of the corneal epithelium, which becomes inflamed, eroded, and ulcerated. • The oral mucosa may atrophy, with inflammatory fissuring and ulceration.
  • 140.
    • Women betweenthe ages of 50 and 60. • The keratoconjunctivitis produces blurring of vision, burning, and itching, and thick secretions accumulate in the conjunctival sac. • Difficulty in swallowing solid foods, a decrease in the ability to taste, cracks and fissures in the mouth, and dryness of the buccal mucosa. • Parotid gland enlargement is present in half the patients • Dryness of the nasal mucosa, epistaxis, recurrent bronchitis, and pneumonitis are other symptoms.
  • 141.
    • Defects oftubular function including renal tubular acidosis, uricosuria, and phosphaturia, are often seen and are associated histologically with tubulointerstitial nephritis • The combination of lacrimal and salivary gland inflammatory involvement is Mikulicz syndrome. • Biopsy of the lip (to examine minor salivary glands) is essential for the diagnosis of Sjögren syndrome. • In early stages of the disease, this immune infiltrate consists of a mixture of polyclonal T and B cells. However, there is a strong tendency of B cells to gain a somatic mutations, indicative of the development of a marginal zone lymphoma.