Radiological anatomy of the 
brain and pituitary gland. 
Dr/ ABD ALLAH NAZEER. MD.
Normal Brain Anatomy. 
The advent of high-resolution computed tomography (CT) and 
magnetic resonance imaging (MRI) scanners has allowed the 
fine anatomic structure to be seen in detail. 
The brain is semisolid and conforms to the shape of the skull. 
Its hemispheric surface is convoluted and has gyri and sulci. The 
brain consists of the cerebrum, cerebellum, and brain stem. 
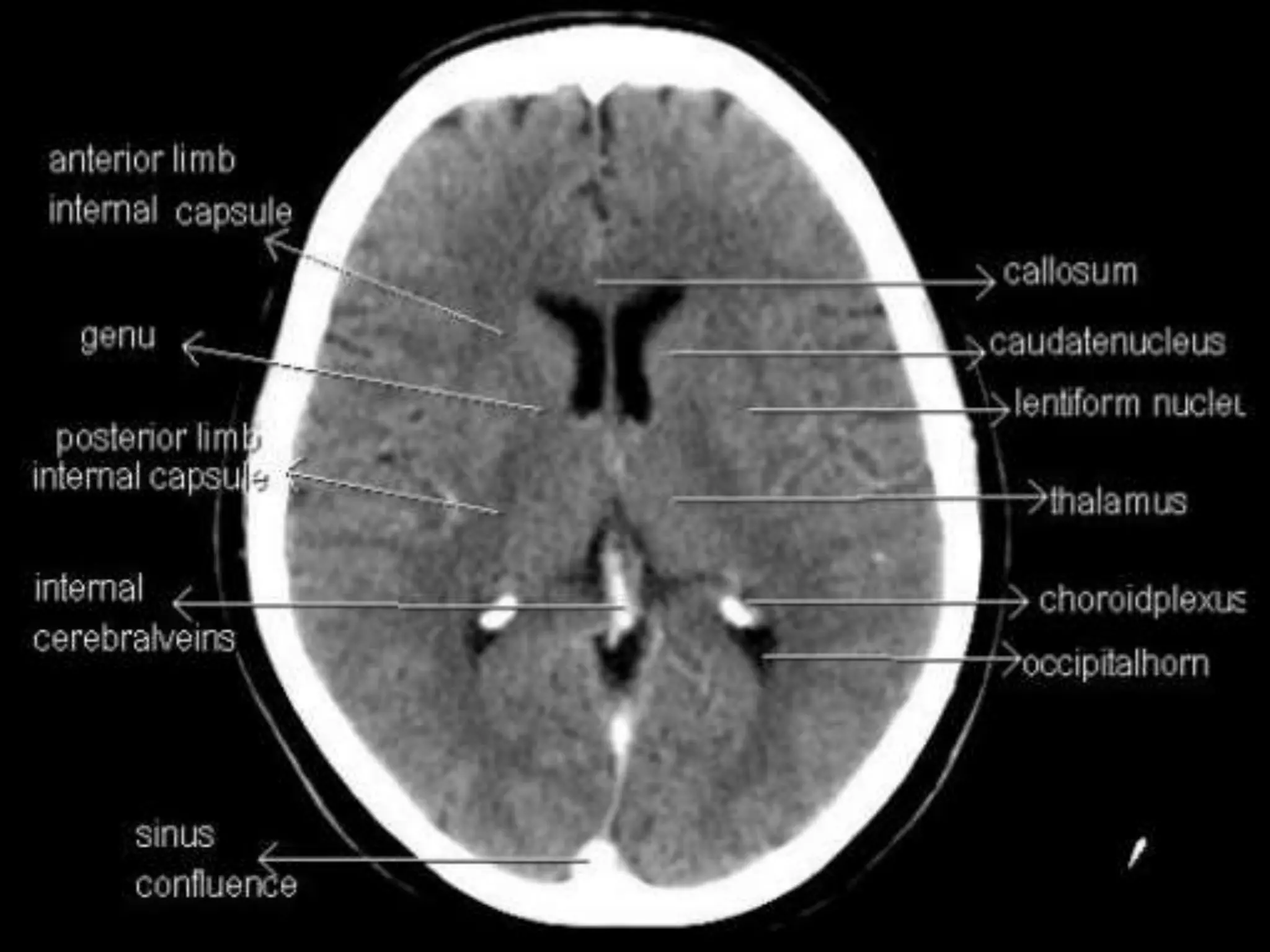
There are four ventricles within the brain. They are lined 
with ependyma and contain the CSF, produced by the choroid 
plexus. Lateral ventricles are formed by the two ependyma-lined 
cavities of the cerebral hemisphere and communicate with the 
third ventricle via the midline foramen of Monro. They can be 
divided into five parts: the anterior (frontal) horn, the 
ventricular body, the collateral (atrium) trigone, the inferior 
(temporal) horn, and the posterior (occipital) horn.
The third ventricle is a slit like ventricle midline cavity of 
the diencephalons. It communicates with the lateral ventricles 
via the interventricular foramina of Monro and with the fourth 
ventricle via the cerebral aqueduct. It contains choroid plexus 
in its roof. 
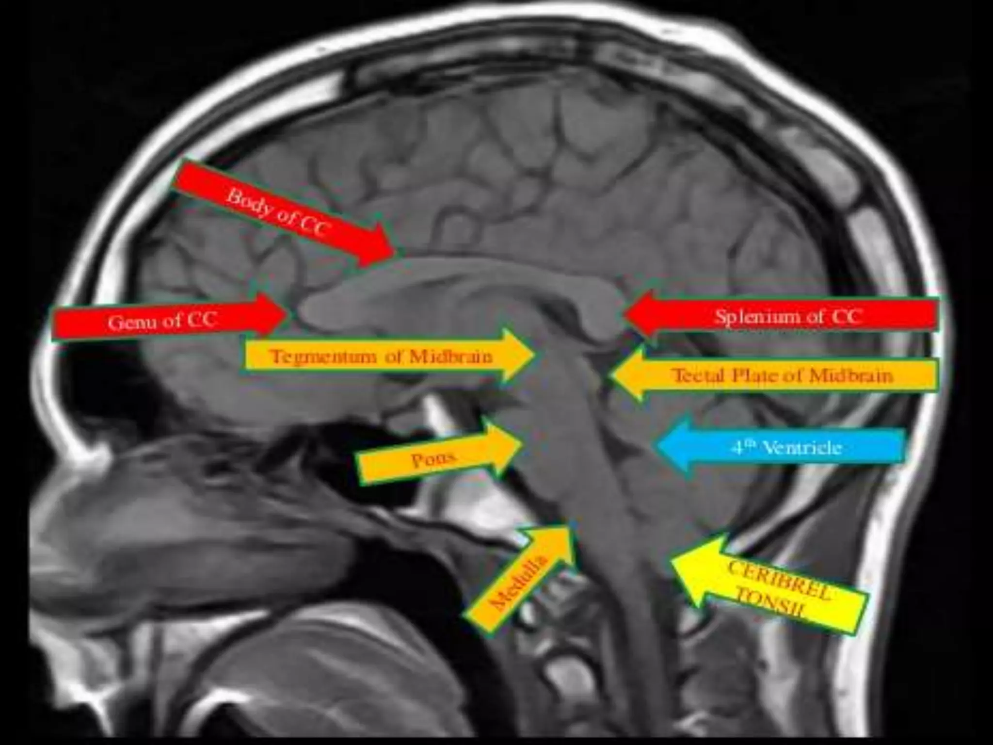
The fourth ventricle is a rhomboid-shaped cavity overlying 
the pons and medulla, extending from the central canal of the 
upper cervical spinal cord to the cerebral aqueduct of the 
midbrain. There is a small lateral recess on each side of the 
fourth ventricle, which contains choroid plexus that protrudes 
through the foramina of Luschka into the subarachnoid space. 
A small median aperture in the caudal part of the ventricle is 
known as the foramen of Magendie. Via the two lateral 
foramina of Luschka and the single medial foramen of 
Magendie, CSF flows into the ventricular system into the 
subarachnoid spaces.
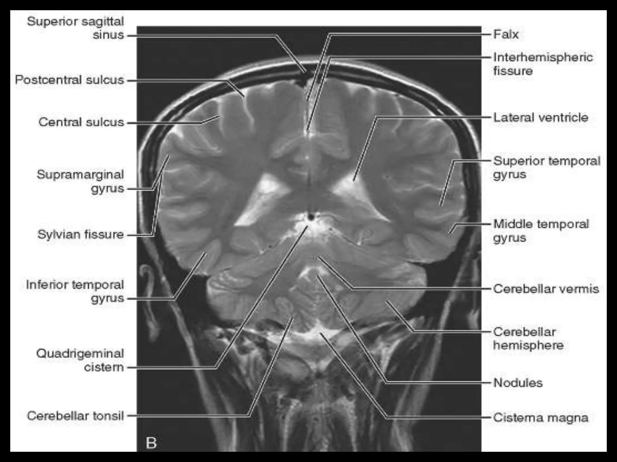
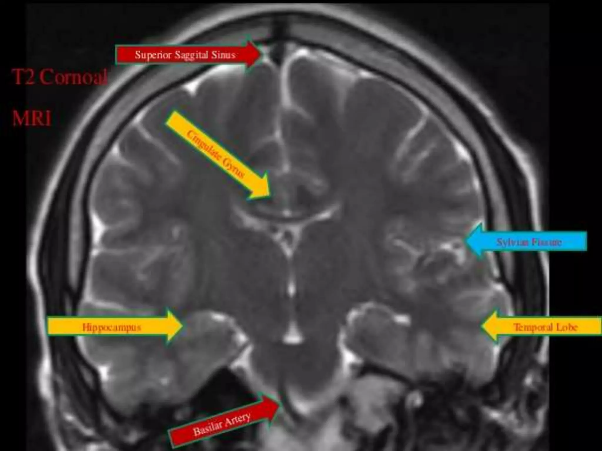
The two cerebral hemispheres are separated by 
interhemispheric fissures and falx cerebri. On the lateral surface of the 
brain, the sylvian fissure (lateral fissure) and the rolandic fissure (central 
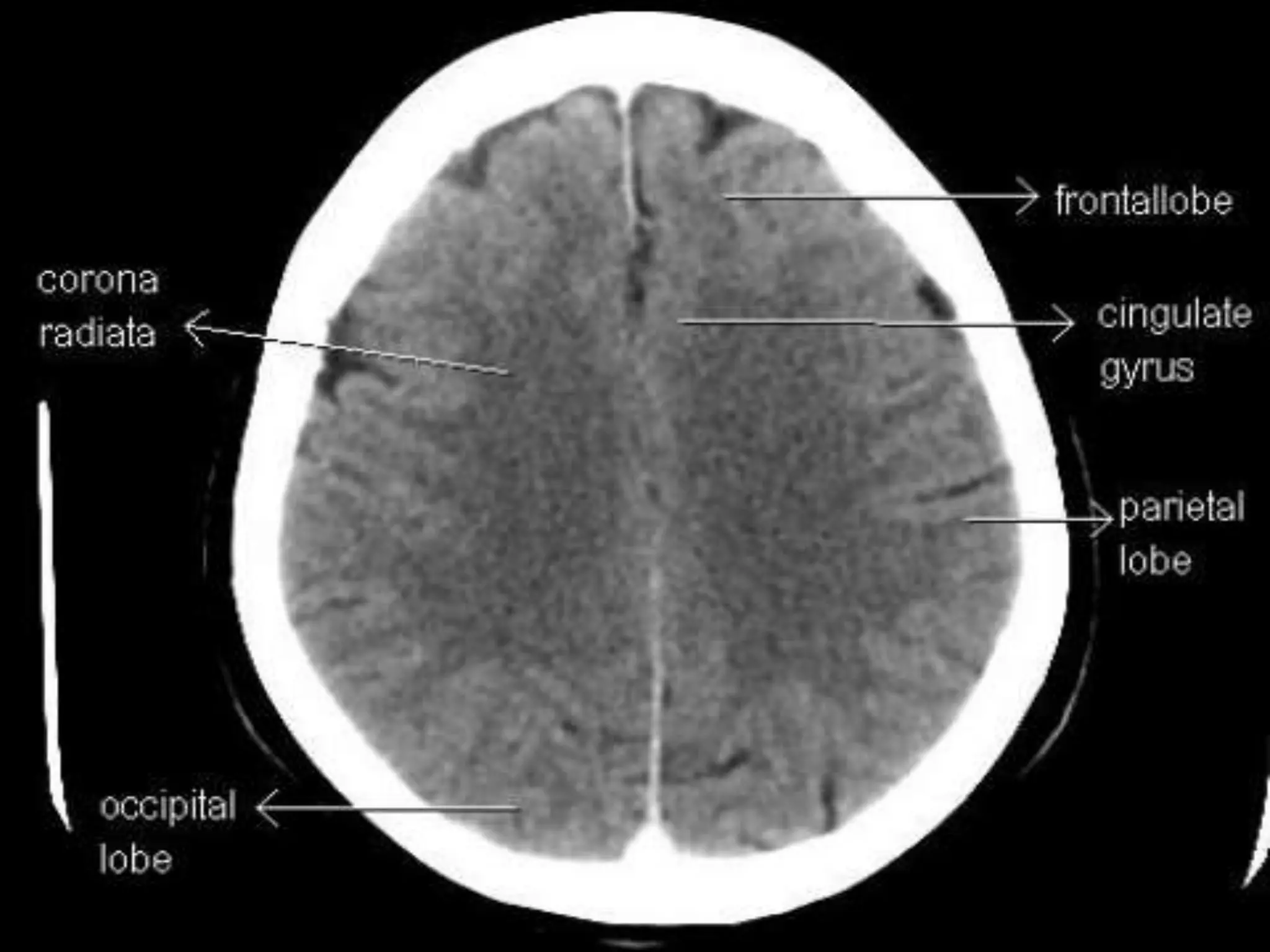
fissure) separate the cerebral hemisphere into the frontal lobe, temporal 
lobe, parietal lobe, and a line drawn from the parieto-occipital sulcus 
onto the preoccipital notch, delineating the boundaries of the parietal 
and temporal lobes from that of the occipital lobe. 
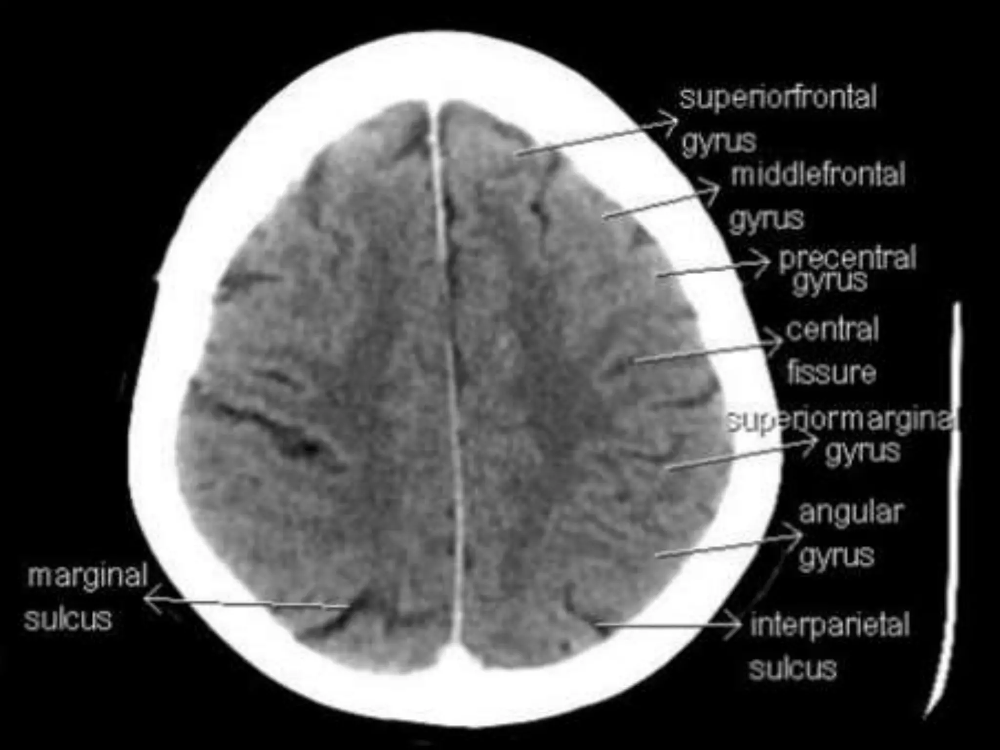
The frontal lobe, the largest of all the brain, has four principal 
gyri: the precentral gyrus and the superior frontal, middle frontal, and 
inferior frontal gyri. The precentral gyrus, parallel to the central sulcus, 
together with the anterior bank of the central sulcus, comprises the 
primary motor area, which is one of the most important cortical areas 
for movement. Rostral to the precentral sulcus is the premotor area, 
another important area for movement. The middle frontal gyrus contains 
Brodmann’s area 8, known as the frontal eye field, which is important for 
conjugate eye movements. Another important motor area for speech 
called Broca’s area, is located at the triangular and the opercular parts of 
the inferior frontal gyrus in the dominant hemisphere.
In the parietal lobe, there are a postcentral gyrus, a superior 
parietal lobule, and an inferior parietal lobule. The postcentral gyrus 
is a primary somesthetic area involved in general body sensation. 
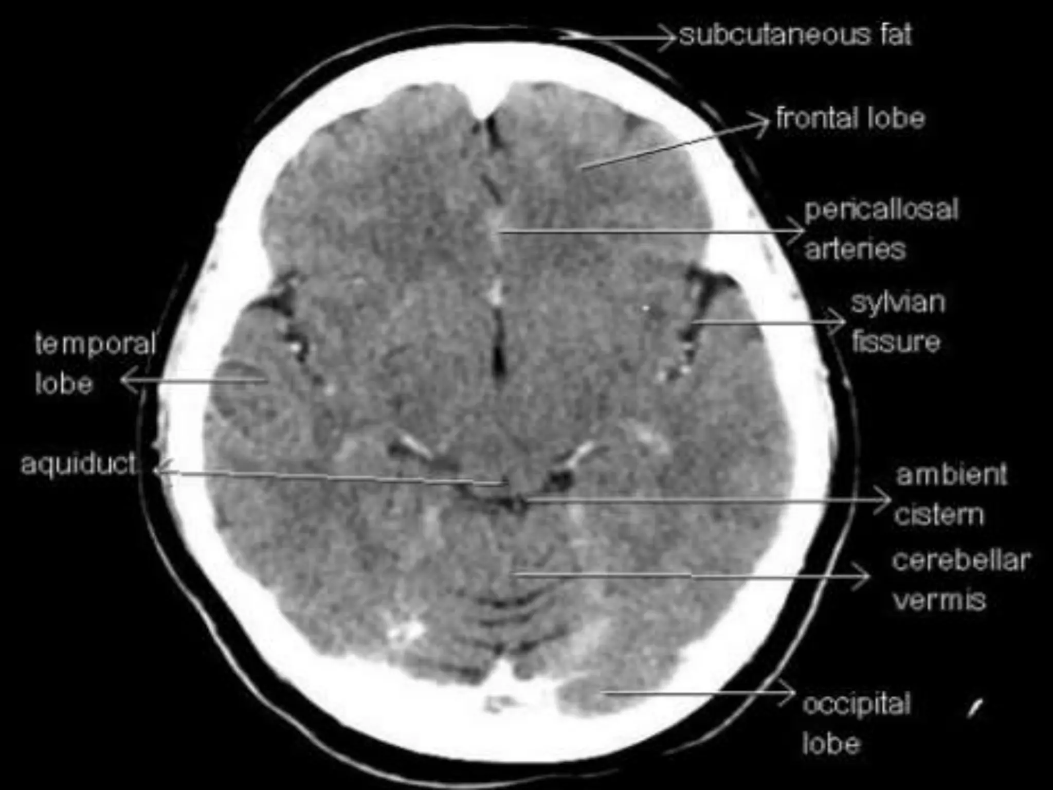
In the temporal lobe, the superior, middle, and inferior temporal 
gyri are separated by the two transverse sulci. The posterior fossa 
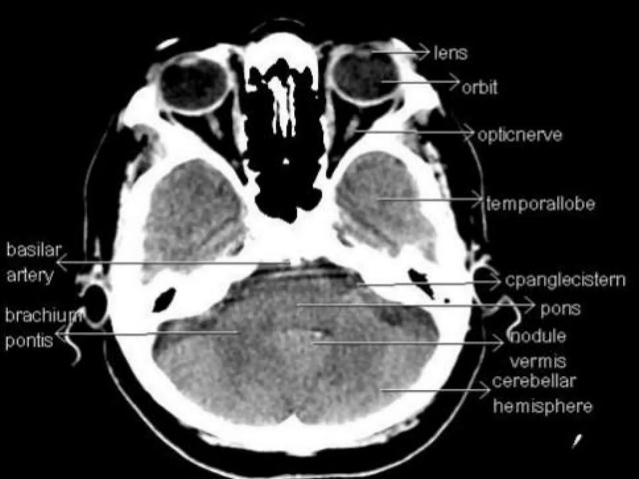
contains the cerebellum and brain stem. 
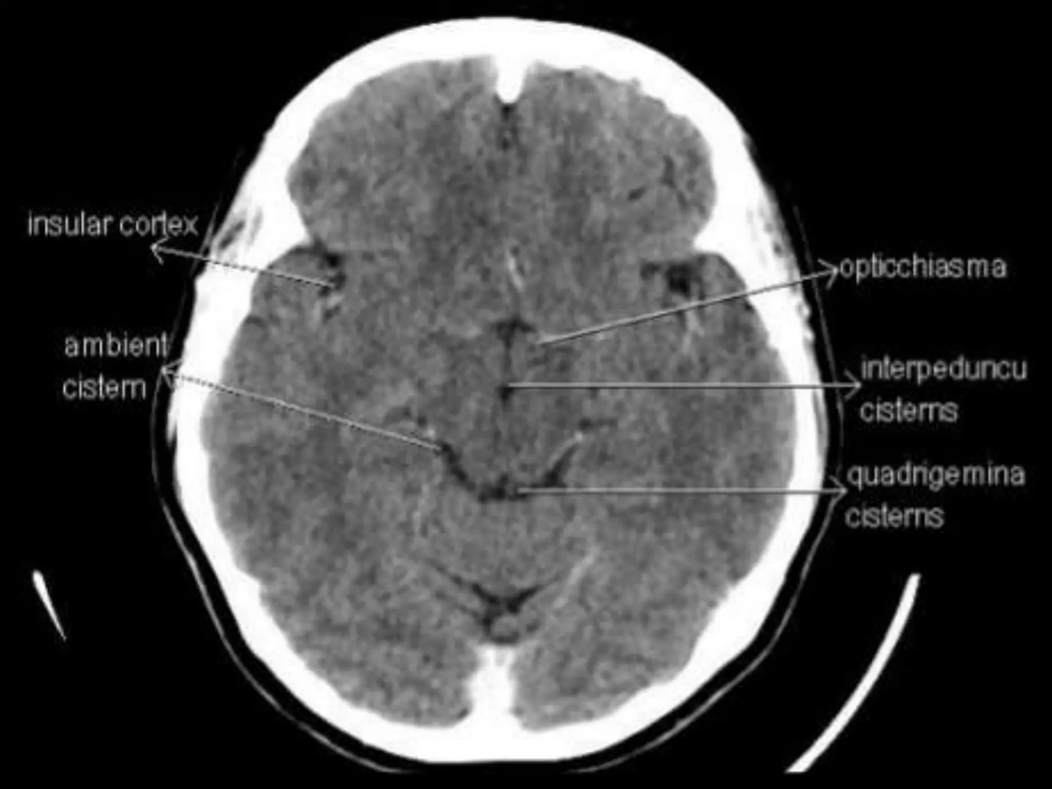
The posterior fossa is outlined by the clivus and petrous bones 
anteroinferiorly, the tentorium cerebelli superiorly, and the occipital 
bone posteroinferiorly. The cerebellum is located posteriorly in the 
two thirds of the posterior fossa, separated from the brain stem by 
the fourth ventricle. The brain stem occupies the anterior third of 
the posterior fossa, including the midbrain, pons, and medulla 
oblongata. 
The brain derives its vascular supply via two carotid and two 
vertebral arteries. The internal carotid artery bifurcates terminally into 
the anterior and middle cerebral arteries. The two vertebral arteries 
unite at the caudal border of the pons to form the basilar artery.
Sectional Anatomy: 
Normal Axial CT and MRI Anatomy. 
On CT and MR scans, the brain has been briefly viewed in 
infratentorial and supratentorial sections, as described below. 
CT scans are performed with a 15- to 20-degree angulation to 
the canthomeatal line at 8-mm increments. MRI scans are 
generally obtained parallel to the AC-PC line in the axial plane 
with 6-mm slice thickness. Using the sagittal view, the coronal 
sections are acquired parallel to the brain stem, and the 
sagittal sections are obtained perpendicular to the axial 
section. 
On MRI studies, cranial nerves IX and X can be demonstrated 
at this level because they emerge from the postolivary sulcus. 
The posterior aspect of the cerebellar hemispheres is outlined 
by the inferior portion of the cisterna magna.
Axial CT Anatomy.
The Corpus Callosum.
The Foramina of Magendie and Luschka. 
4th 
FM 
4th
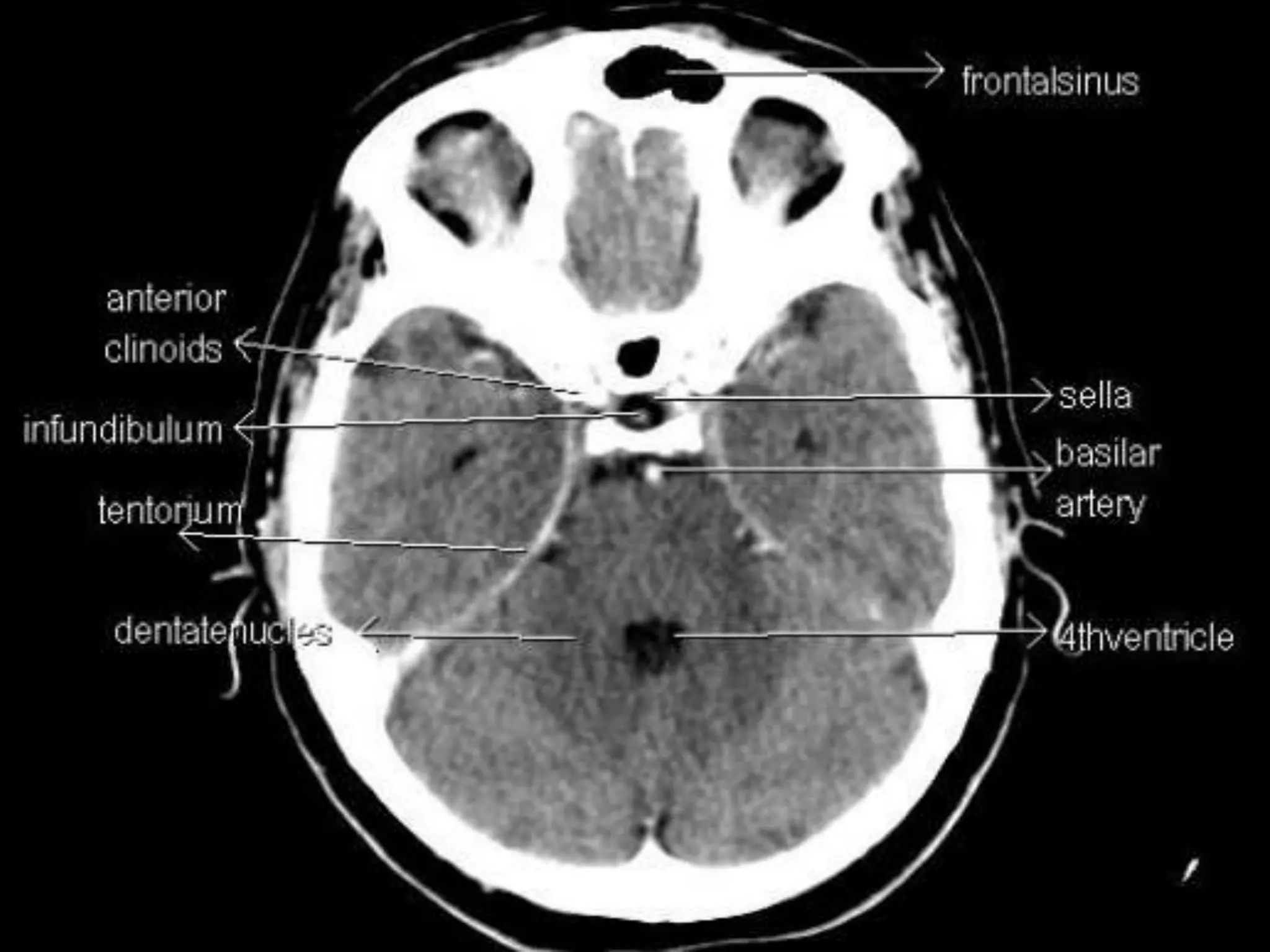
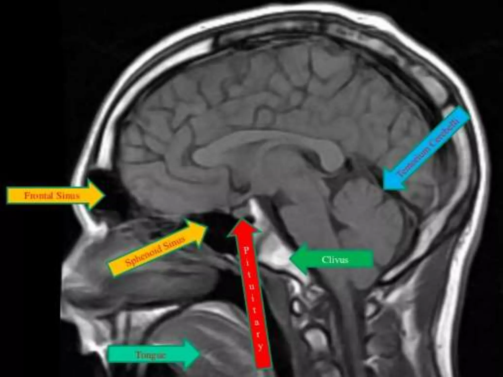
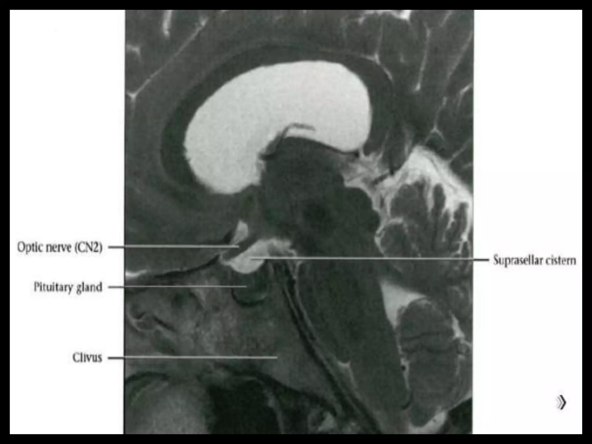
Pituitary Fossa.
Suprasellar Cistern 
And Optic Apparatus.
Thank You.

Presentation1.pptx, radiological anatomy of the brain and pituitary gland

  • 1.
    Radiological anatomy ofthe brain and pituitary gland. Dr/ ABD ALLAH NAZEER. MD.
  • 13.
    Normal Brain Anatomy. The advent of high-resolution computed tomography (CT) and magnetic resonance imaging (MRI) scanners has allowed the fine anatomic structure to be seen in detail. The brain is semisolid and conforms to the shape of the skull. Its hemispheric surface is convoluted and has gyri and sulci. The brain consists of the cerebrum, cerebellum, and brain stem. There are four ventricles within the brain. They are lined with ependyma and contain the CSF, produced by the choroid plexus. Lateral ventricles are formed by the two ependyma-lined cavities of the cerebral hemisphere and communicate with the third ventricle via the midline foramen of Monro. They can be divided into five parts: the anterior (frontal) horn, the ventricular body, the collateral (atrium) trigone, the inferior (temporal) horn, and the posterior (occipital) horn.
  • 14.
    The third ventricleis a slit like ventricle midline cavity of the diencephalons. It communicates with the lateral ventricles via the interventricular foramina of Monro and with the fourth ventricle via the cerebral aqueduct. It contains choroid plexus in its roof. The fourth ventricle is a rhomboid-shaped cavity overlying the pons and medulla, extending from the central canal of the upper cervical spinal cord to the cerebral aqueduct of the midbrain. There is a small lateral recess on each side of the fourth ventricle, which contains choroid plexus that protrudes through the foramina of Luschka into the subarachnoid space. A small median aperture in the caudal part of the ventricle is known as the foramen of Magendie. Via the two lateral foramina of Luschka and the single medial foramen of Magendie, CSF flows into the ventricular system into the subarachnoid spaces.
  • 15.
    The two cerebralhemispheres are separated by interhemispheric fissures and falx cerebri. On the lateral surface of the brain, the sylvian fissure (lateral fissure) and the rolandic fissure (central fissure) separate the cerebral hemisphere into the frontal lobe, temporal lobe, parietal lobe, and a line drawn from the parieto-occipital sulcus onto the preoccipital notch, delineating the boundaries of the parietal and temporal lobes from that of the occipital lobe. The frontal lobe, the largest of all the brain, has four principal gyri: the precentral gyrus and the superior frontal, middle frontal, and inferior frontal gyri. The precentral gyrus, parallel to the central sulcus, together with the anterior bank of the central sulcus, comprises the primary motor area, which is one of the most important cortical areas for movement. Rostral to the precentral sulcus is the premotor area, another important area for movement. The middle frontal gyrus contains Brodmann’s area 8, known as the frontal eye field, which is important for conjugate eye movements. Another important motor area for speech called Broca’s area, is located at the triangular and the opercular parts of the inferior frontal gyrus in the dominant hemisphere.
  • 16.
    In the parietallobe, there are a postcentral gyrus, a superior parietal lobule, and an inferior parietal lobule. The postcentral gyrus is a primary somesthetic area involved in general body sensation. In the temporal lobe, the superior, middle, and inferior temporal gyri are separated by the two transverse sulci. The posterior fossa contains the cerebellum and brain stem. The posterior fossa is outlined by the clivus and petrous bones anteroinferiorly, the tentorium cerebelli superiorly, and the occipital bone posteroinferiorly. The cerebellum is located posteriorly in the two thirds of the posterior fossa, separated from the brain stem by the fourth ventricle. The brain stem occupies the anterior third of the posterior fossa, including the midbrain, pons, and medulla oblongata. The brain derives its vascular supply via two carotid and two vertebral arteries. The internal carotid artery bifurcates terminally into the anterior and middle cerebral arteries. The two vertebral arteries unite at the caudal border of the pons to form the basilar artery.
  • 17.
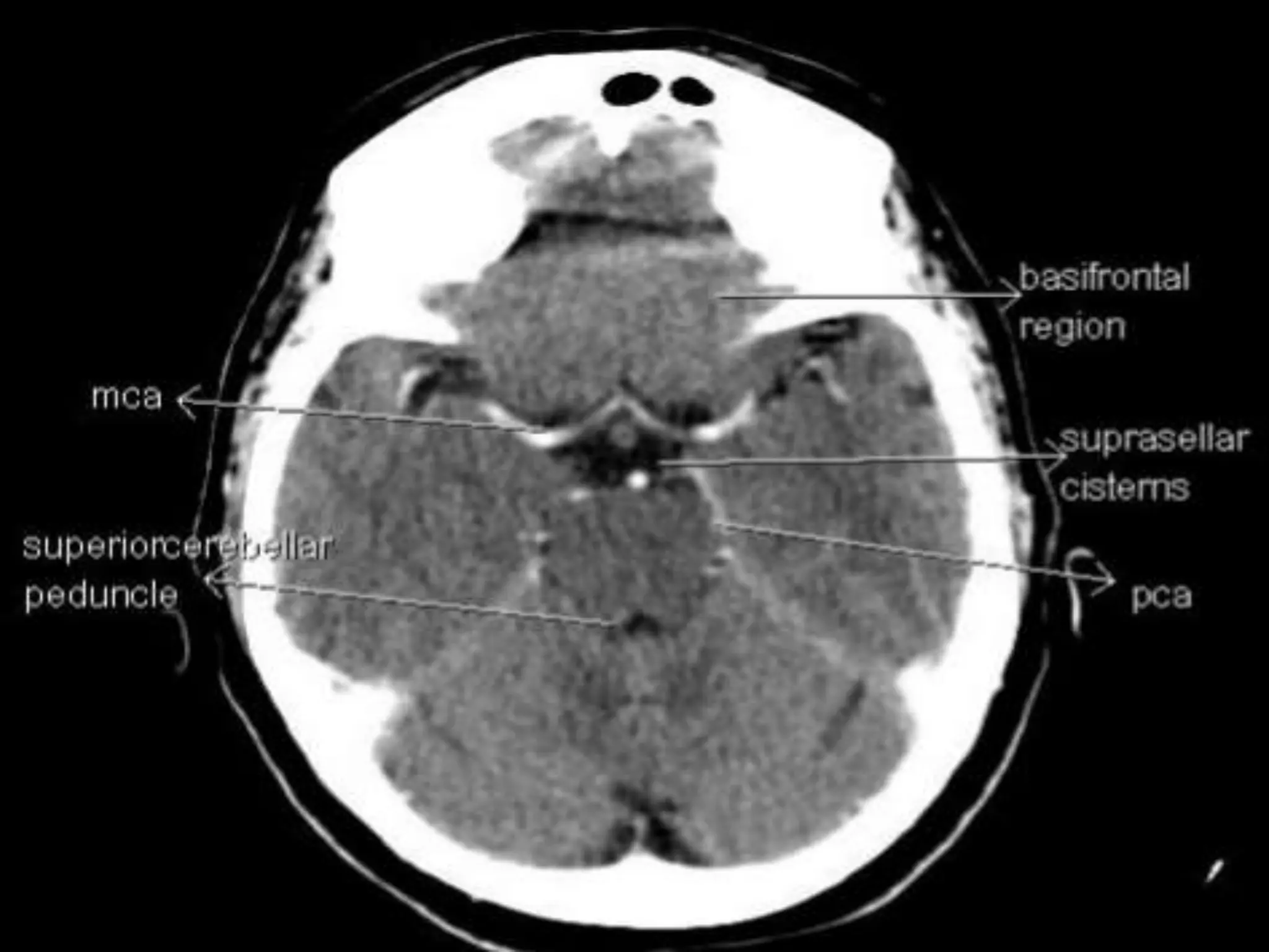
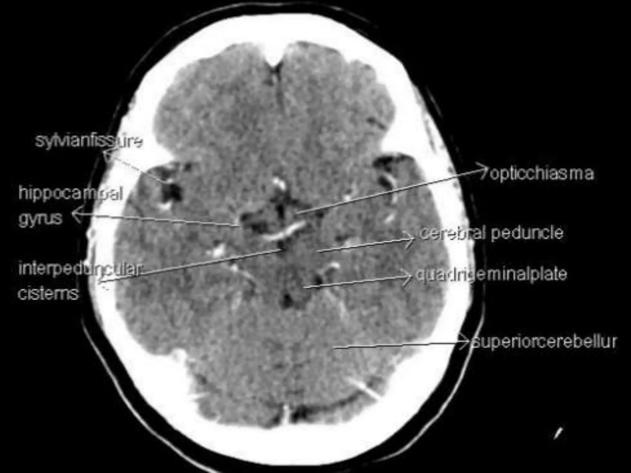
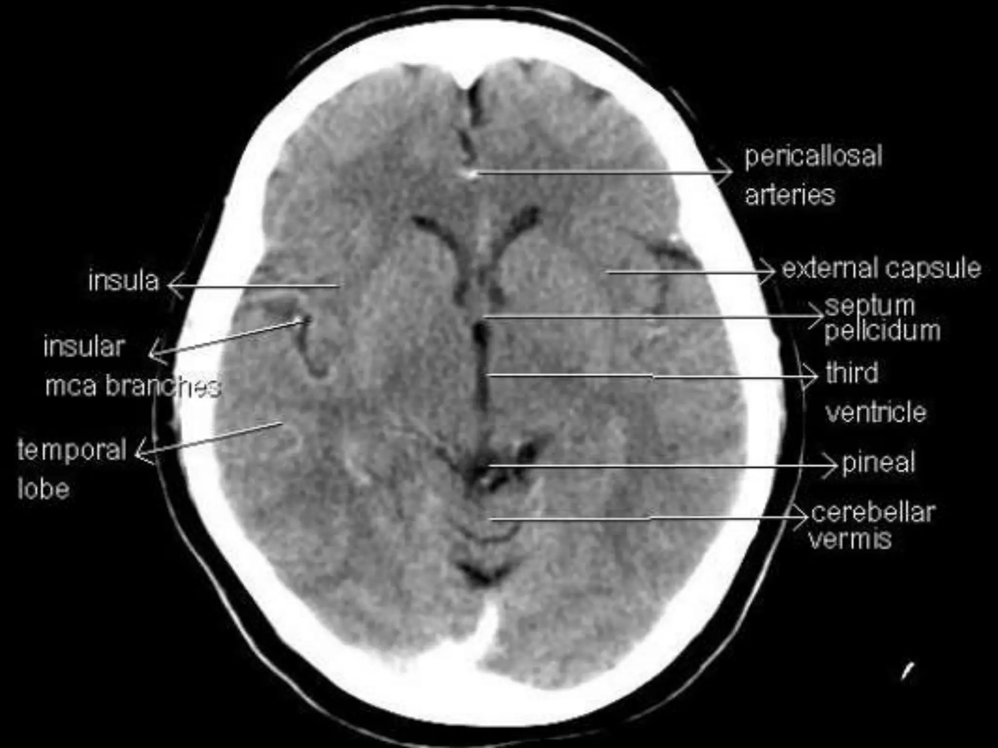
    Sectional Anatomy: NormalAxial CT and MRI Anatomy. On CT and MR scans, the brain has been briefly viewed in infratentorial and supratentorial sections, as described below. CT scans are performed with a 15- to 20-degree angulation to the canthomeatal line at 8-mm increments. MRI scans are generally obtained parallel to the AC-PC line in the axial plane with 6-mm slice thickness. Using the sagittal view, the coronal sections are acquired parallel to the brain stem, and the sagittal sections are obtained perpendicular to the axial section. On MRI studies, cranial nerves IX and X can be demonstrated at this level because they emerge from the postolivary sulcus. The posterior aspect of the cerebellar hemispheres is outlined by the inferior portion of the cisterna magna.
  • 18.
  • 34.
  • 49.
    The Foramina ofMagendie and Luschka. 4th FM 4th
  • 98.
  • 99.
    Suprasellar Cistern AndOptic Apparatus.
  • 116.