Course Name: Biomedical Instrumentation
Course Code: MC1652
Wednesday, March 30, 2016 1
Wednesday, March 30, 2016 2
Books/References
 J. G. Webster , Medical Instrumentation: Application And
Design, 3rd edition ,Wiley Publishers
 D Reddy, Biomedical Signal Processing, Tata Mcgraw
Hill Publications.
 Sergio Cerutti Advanced Methods of Biomedical Signal
Processing, Oxford Publications.
 B. Jacobson, J.G. Webster, Medical and Clinical Engineering,
Prentice Hall, International.
 Cromwell, Biomedical Instrumentation and Measurements,
Prentice Hall, International.
 R.S. Khandupur, Handbook of Biomedical Instrumentation, -
Tata McGraw Hill
Introduction
Instrumentation : Instrumentation is the use
of measuring instruments to monitor and
control a process. It is the art and science of
measurement and control of process variables
within a production, laboratory, or
manufacturing area.
Wednesday, March 30, 2016 3
Introduction
Biomedical Instrumentation : Biomedical
Instrumentation is the field of creating such
instruments that help us to measure, record
and transmit data to or from the body
Wednesday, March 30, 2016 4
COMPONENT OF MAN INSTRUMENT SYSTEM
Basic Objectives of Instrumentation System
 Information Gathering
 Diagnosis
 Evaluation
 Monitoring
 Control
Wednesday, March 30, 2016 5
Classification of Bio Medical Instrumentation
System
 Clinical Instrumentation
Basically devoted to the area of
 Diagnosis
 Patient care
 Treatment of Patients ( Therapeutic use )
Wednesday, March 30, 2016 6
Classification of Bio Medical Instrumentation
System
 Research Instrumentation
 It is used primarily in the search for new knowledge
related to various systems that compose the human
organism.
 Some instruments can be used in both areas.
Wednesday, March 30, 2016 7
Classification of Instruments Used
CLASSIFICATION OF INSTRUMENTS
Engineering
Indicating
Recording
Monitoring
Data Logging
Analysis
Control
Medical
Diagnostic
Therapeutic
Supplementary
Wednesday, March 30, 2016 8
Engineering Classification of Biomedical
Instruments
 Measuring Instruments.
 Audiometer
 Blood cell counter
 Blood Pressure meter
 Blood PH meter
 Blood flow meter
 Digital BP meter
 GSR meter
 Stethoscope
Wednesday, March 30, 2016 9
Recording Instruments
 Electrocardiograph
 Electromyograph
 Electro encephalograph
 Expirograph
 Phonocardiograph
 Plethysmograph
 Thermograph
 Tomograph
 Ultra sonograph
 Radio graph ( x-ray)
Wednesday, March 30, 2016 10
Monitoring Instruments
 Bed – side monitor
 Bio – monitor
 Foetal monitor
Wednesday, March 30, 2016 11
Analysing Instruments
 Colorimeter
 Spectrometer
 Flame photo meter
Wednesday, March 30, 2016 12
Data Logging and Controlling
Instruments
 Data Logging
- Computer
 Controlling
- Defibrillator
- Dialysis instrument
- Heart lung machine
Wednesday, March 30, 2016 13
A) Medical Classification of BMI
 Diagnostic instruments
 Endoscope
 Stethoscope
 Microscope
Wednesday, March 30, 2016 14
B)Therapeutic Instruments
 Shortwave diathermy
 Ultrasound therapy
 Electro surgery
 Nuclear Medicine
Wednesday, March 30, 2016 15
B)Supplimentary Instruments
 Aid for blind
 Hearing aid
 Pace maker
Wednesday, March 30, 2016 16
Functional Classification of
Instruments
A] BLOOD INSTRUMENTS
1. Blood Pressure meter
2. Blood PH meter
3. Blood flow meter
4. Blood cell counter
5. Calorimeter
6. Spectra – Photometer
7. Flame photometer
8. Digital BP meter
Wednesday, March 30, 2016 17
Contd…
B] HEART INSTRUMENT
1. ECG
2. Pace Maker
3. Defibrillator
4. Heart Lung Machine
5. Bed side monitor
6. Plethysmograph
7. Electronic stethoscope
8. Phonocardiograph
Wednesday, March 30, 2016 18
Contd….
C] BRAIN INSTRUMENTS
1. EEG
2. Tomo-graph
D] MUSCLE INSTRUMENTS
1. EMG
2. Muscle Stimulator
Wednesday, March 30, 2016 19
Contd….
E) KIDNEY INSTRUMENTS
1. Dialysis Instrument
2. Lithotripsy
F] EAR INSTRUMENTS
1. Audiometer
2. Hearing aid
Wednesday, March 30, 2016 20
Contd….
G) EYE INSTRUMENTS
1.Occulometer
2.Aid for blind
H] LUNG INSTRUMENT
1. Spirometer
Wednesday, March 30, 2016 21
Contd….
I) BODY INSTRUMENTS
1. Ultra Sonography
2. Thermograph
3. Radiograph
4. Endoscope
Wednesday, March 30, 2016 22
Contd….
J) PHYSIOTHERAPY
INSTRUMENTS
1. Diathermy, Short wave
2. Vibrator ( Massage type )
3. U.V. Lymph
4. Microwave diathermy
Wednesday, March 30, 2016 23
Anatomy and Physiology
The science of structure of the body is
known as ANATOMY
Classification :
Gross ANATOMY
Topographical ANATOMY
Microscopic ANATOMY
Wednesday, March 30, 2016 24
Anatomy and Physiology
Physiology which relates to the normal
function of the organs of the body .
Example :
 Cell Physiology
 Pathaphysiology
- Circulatory Physiology
- Respiratory Physiology
Wednesday, March 30, 2016 25
Physiological Systems of the body
 Human body contains various systems
such as electrical ,mechanical, hydraulic,
pneumatic, chemical and thermal etc.
 Systems communicate internally with each
other and with external environment.
 With this, enable to perform useful tasks,
sustain life and reproduce itself.
Wednesday, March 30, 2016 26
Major Subsystems of the body
1. Cardiovascular System
 Cardio = “heart”
Vascular = “vessels”
It performs the essential service of transportation of oxygen, carbon dioxide
numerous chemical compounds and the blood cells.
 System made up of “heart” , “vessels and “blood”
Wednesday, March 30, 2016 27
Major Subsystems of the body
Function of Cardiovascular System
 Delivering materials to cells
 Carrying wastes away
 In addition, blood contains cells that fight disease.
Wednesday, March 30, 2016 28
Major Subsystems of the body
Heart
 Heart is divided into two parts right and Left-each part
has two chambers called atrium and ventricle.
 Heart has four valves:
-Tricuspid valve or Right Ventricle valve
- Bicuspid Mitral or Left Ventricle Valve
- Pulmonary Valve
- Aortic Valve
 Heart wall consist of three layers:
- Pericardium
- Myocardium
- Endocardium
Wednesday, March 30, 2016 29
4) Right Ventricle
The right ventricle
pumps oxygen-poor
blood to the lungs.
3) Right Atrium
The right atrium
receives blood from
the body that is low
in oxygen and high
in carbon dioxide.
The Heart
1
2
3
5
6
7
8
94
1) Major vessel from
upper body to heart
2) Vessels from
lung to heart
5) The. aorta carries
blood from the left
ventricle to the body
6) Vessel from
heart to lungs
7) Vessels from
lung to heart
8) Left Atrium
Oxygen-rich blood is
carried from the lungs
to the left atrium.
9) Left Ventricle
The left ventricle
pumps oxygen-rich
blood from the heart.
Pathways of Blood
Wednesday, March 30, 2016
Major Subsystems of the body
Three types of blood vessels
 Arteries - move blood away from the heart
-Most arteries carry oxygen-rich blood
-The largest artery in the body is the Aaorta
have thick walls that are both strong and flexible.
Veins - move blood toward the heart
 Capillaries - tiny blood vessels that connect arteries and
veins
-Branching from the smallest arteries are capillaries, the
smallest blood vessels in your body.
-As blood flows through the capillaries, oxygen and
dissolved nutrients diffuse through the capillary walls and
into your body’s cells.
-Capillaries are involved in temperature regulation.
Wednesday, March 30, 2016 31
Major Subsystems of the body
Function of the blood
 Carries oxygen from lungs to all body cells and removes carbon dioxide from the
cells
Carries waste products of cell activity to the kidneys to be removed from the body
Transports nutrients from the digestive system to body cells
Red blood cell
White blood cell
Wednesday, March 30, 2016 32
Major Subsystems of the body
Conduction System of the heart
 Cardiac conduction system: The electrical conduction system
controls the heart rate
 This system creates the electrical impulses and sends them
throughout the heart. These impulses make the heart
contract and pump blood.
Wednesday, March 30, 2016 33
Major Subsystems of the body
2. Respiratory System
 The Primary function of respiratory system is to supplies the blood
with oxygen so that the blood can deliver oxygen to all parts of the
body.
 It also removes carbon dioxide waste that cells produce.
Wednesday, March 30, 2016 35
Amazing Facts About the Respiratory System
Did you know that...
 Your right lung has three lobes and your left lung
only has two?
 The right lung is a little larger than the left lung?
 A person sleeping almost always breathes twelve
or fifteen times a minute?
More Amazing Facts About the Respiratory System
Did You Know That...
 The exhaling rate is faster in kids than in adults?
 The trachea is made out of cartilage shaped rings?
 The fastest recorded “ sneeze speed” is 165 km per
hour?
 It is healthier to breathe through your nose than
your mouth, because your nose hairs and mucus
clean the air.
Major Subsystems of the body
3. Nervous System
 Control center for all body activities.
 Responds and adapts to changes that occur both
inside and outside the body
(Ex: pain, temperature, pregnancy)
Wednesday, March 30, 2016 38
Wednesday, March 30, 2016 39
your nervous system
is divided into the central
nervous system
(CNS)
and the
peripheral nervous
system (PNS)
which is the brain and
spinal cord
which connects everything
to the brain and spinal
cord
Central Nervous System
Wednesday, March 30, 2016 40
 Brain : a mass of 100 billion neurons located inside the
skull.
- Cerebrum : largest part of human brain
- Cerebellum : at base of brain
- Brain Stem : connects brain to spinal cord
 Spinal Cord : Column of nerves from brain to tailbone –
protected by vertebrae of spine
-Responsible for:
- Conducting impulses between the brain and the rest of
the body
*Impulses may travel as fast at 268 miles/hr.
 Neurons
Credit:MarkLythgoe&ChloeHutton,WellcomeImages
different regions have different
functions
Cerebral cortex
Functions include:
planning; reasoning;
language; recognising
sounds and images;
memory.
Corpus
callosum
connects the brain’s
right and left
hemispheres
Cerebellum
important for
coordination,
precision and timing
of movement
Brain stem
regulates heart
rate, breathing,
sleep cycles
and emotions
Peripheral Nervous System
Wednesday, March 30, 2016 42
Nerves : visible bundles of
axons and dendrites that
entend from the brain and
spinal cord to all other parts
of the body
- Motory Nerves
- Sensory Nerves
the cells of the nervous system are called neurones
cell body
axon
myelin sheath
dendrites nerve endings
nucleus
structure of a neurone
there are different typesof neurone
sensory neuronemotor neurone relay neurone
direction of
electrical
signal
sends signals to your muscles
to tell them to move
sends signals from
your sense organs
connects neurones to
other neurones
dendrites
cell body
axon
myelin
sheath
nerve
endings
neurones communicate with each other using a
mixture of electrical & chemical signals
cell body
axon
myelin sheath
dendrites nerve endings
nucleus an electrical
signal is
transmitted
along the axon
But what happens when the signal
reaches the end of the axon?
What do you think can change
neurons and their connections?
• Accidents
• Drugs
• Alcohol
• Disease
Accidents
• Physical injury of your neurons
Drugs and alcohol bind important receptors on neurons
Drugs = neuron death
Alcohol damages dendrites - can
repair after abstinence
Alcohol blocks
receptors and slows
down transmission
•Parkinson's Disease
•ALS - Lou Gehrig’s Disease
•Huntington’s Disease
•Multiple Sclerosis
•Alzheimer's
•Cerebral Palsy
•Epilepsy
•? SIDS
Facts-Did you know
Wednesday, March 30, 2016 52
There are around 47 miles of nerves in
your body.
One nerve cell may be connected to 1000
more.
Your nerve impulses can travel up to 390
feet per second.
Thousands of nerve cells die each day
What if
neurons die
here?
or hereor here
or here
or here
Transducers
• Transducer
– a device that converts primary form of energy into other different
energy form only for measurement purposes.
• Primary Energy Forms: mechanical, thermal, electromagnetic, optical,
chemical, etc.
• Sensor
– It is a wide term which covers almost everything from human eye
to trigger of a pistol.
– Senses the change in parameter(specific).
CLASSIFICATION OF TRANSDUCERS
 Active & Passive Transducers
 Analog & Digital Transducers
 Primary & secondary Transducers
 On the basis of principle used
Active vs Passive Transducers:
Passive Transducers:
 Add energy to the measurement environment as part of the
measurement process.
 Requires external power supply.
Strain gauge, potentiometer & etc.
Active Transducers :
 Do not add energy as part of the measurement process but may remove
energy in their operation.
 Does not require external power supply
Thermocouple, photo-voltaic cell & etc.
ANALOG & DIGITAL TRANSDUCERS
ANALOG TRANSDUCER - The
transducers which convert the input
quantity into an analog output which is a
continuous function of time.
DIGITAL TRANSDUCERS - The
transducers which convert the input
quantity into digital form means in the form
of pulses.
PRIMARY vs SECONDARY
TRANSDUCERS
 PRIMARY TRANSDUCERS - Some transducers contain
the mechanical as well as electrical device. The mechanical
device converts the physical quantity to be measured into a
mechanical signal. Such mechanical device are called as
the primary transducers.
 SECONDARY TRANSDUCERS - The electrical device
then convert this mechanical signal into a corresponding
electrical signal. Such electrical device are known as
secondary transducers
CLASSIFICATION ON THE BASIS OF
PRINCIPLE USED
 Capacitive
 Inductive
 Resistive
 Electromagnetic
 Piezoelectric
 Photoconductive
 Photovoltaic
Selecting a Transducer
 What is the physical quantity to be measured?
 Which transducer principle can best be used to measure this quantity?
 What accuracy is required for this measurement?
 Fundamental transducer parameters
 Physical conditions
 Environmental conditions
 Compatibility of the associated equipment
 Reducing the total measurement error :
 Using in-place system calibration with corrections performed in the
data reduction
 Artificially controlling the environment to minimize possible errors
Transducers for Physiological Variable
Measurements
• A variable is any quantity whose value changes
with time. A variable associated with the
physiological processes of the body is known as
a physiological variable.
• Physiological variables occur in many forms: as
ionic potential, mechanical movements,
hydraulic pressure ,flows and body temperature
etc.
• Different transducers are used for different
physiological variables.
Bio-Electric Potential
Wednesday, March 30,
2016
62
Electrical Activity Measurement
• Electrodes:
– Electrodes convert ionic potential into electrical signals.
– Used for EEG, ECG, EMG, ERG and EOG etc.
– Different types of Electrodes are:
1) Surface Electrodes(no. Of muscles)
These electrodes are used to obtain bioelectric potentials from the surface of the
body.
2) Needle electrodes(specific to a muscle)
These electrodes are inserted into body to obtain localized measurement of potentials
from a specific muscle.
3) Microelectrodes(cellular level record)
Electrodes have tips sufficiently small to penetrate a single cell in order to obtain
readings from within cell.
Electrical Activity Measurement(cont.)
• Working of Electrodes:
• When metal electrodes come in contact with electrolyte then ion-electron exchange
takes place as a result of electro-chemical reaction.
One cation M+
out of the electrolyte
becomes one neutral
atom M
taking off one free
electron
from the metal
One atom M out
of the metal
is oxidized to form
one cation M+ and
giving off one free
electron e- to the
metal.
Half-cell potential
Oxidation and reduction processes take place when metal comes in contact
with Electrolyte .
Net current flow is zero but there exists a potential difference depends upon
the position of equilibrium and concentration of ions. That p.d. is known as
half-cell potential.
Over-potential
If there is a current between the electrode and electrolyte then half-cell
potential altered due to polarization is known as over-potential.
Electrical Activity
Measurement(cont.)
Electrical Activity
Measurement(cont.)
Types of Electrodes:
 Perfectly Polarizable Electrodes
- only displacement current, electrode behave like a capacitor
example: noble metals like platinum Pt
 Perfectly Non-Polarizable electrode
- current passes freely across interface,
- no overpotential
examples:
- silver/silver chloride (Ag/AgCl),
- mercury/mercurous chloride
ECG
Wednesday, March 30,
2016
67
EEG
Wednesday, March 30,
2016
68
Electrode Placement
Wednesday, March 30,
2016
69
Block Diagram of ECG
Wednesday, March 30,
2016
70
Effects of Artefacts on ECG Recording
Wednesday, March 30,
2016
71
 Power Line Interference
Shifting of the baseline
Muscle tremors
Types of ECG Recorder
Wednesday, March 30,
2016
72
 Single-channel Recorders
 Three –channel Recorders
 Vector electrocardiographs( vector-cardiography)
 Electrocardiograph systems for stress testing
 Electrocardiographs for computer processing
 Continuous ECG recording (Holter Recording )
Phonocardiograph (PCG)
Wednesday, March 30,
2016
73
• A Phonocardiogram is a recording of the heart sounds and
murmurs.
• Eliminates subjective interpretation of the heart sounds
• Enables evaluation of the heart sounds and murmurs with
respect to the electric and mechanical events in the cardiac
cycle.
• Evaluation of the result is based on the basis of changes in the
wave shape and various timing parameters.
74
• S1 – onset of the ventricular contraction
• S2 – closure of the semilunar valves
• S3 – ventricular gallop
• S4 – atrial gallop
• Other – opening snap, ejection sound
• Murmurs
Heart Sounds
75
• The phonocardiograph transducer is a contact or air-
coupled acoustical microphone held against the
patient's chest (shown in fig).
• Various types of microphones are used, but most are
the piezoelectric crystal or dynamic type of
construction.
Microphones for Phonocardiography
76
• The crystal microphone generally costs less and is more
rugged than the dynamic type.
• Also, the crystal microphone produces a larger output signal
for a given level of stimulus
• The dynamic microphone uses a moving coil coupled to
the acoustical diaphragm.
• The dynamic microphone is used when it is desirable to
have a signal frequency response similar to that of the
medical stethoscope.
• An air-coupled microphone with a 2-s time constant is
often used in apex phonocardiography.
Microphones for Phonocardiography
EEG
Wednesday, March 30,
2016
77
 Electrical Activity of the brain
EEG electrodes are smaller than ECG
It is an Effective method for diagnosing
many neurological, disorder such as
epilepsy, tumour etc.
EEG Electrode Placement
Wednesday, March 30,
2016
78
Brain Wave Classification
Wednesday, March 30,
2016
79
EEG rhythms correlate with patterns of behavior (level of attentiveness,
sleeping, waking, seizures, coma).
Rhythms occur in distinct frequency ranges:
Gamma: 20-60 Hz (“cognitive” frequency band)
Beta: 14-20 Hz (activated cortex)
Alpha: 8-13 Hz (quiet waking)
Theta: 4-7 Hz (sleep stages)
Delta: less than 4 Hz (sleep stages, especially “deep sleep”)
Higher frequencies: active processing, relatively de-synchronized activity
(alert wakefulness, dream sleep).
Lower frequencies: strongly synchronized activity (nondreaming sleep,
coma).
Brain Wave Classification
Wednesday, March 30,
2016
80
The period of High Frequency EEG that occurs during sleep is called
Paradoxical sleep or REM (Rapid Eye Movement).
Effects of Artefacts on EEG
Wednesday, March 30,
2016
81
 Biological Artefacts
 Eye Induced Artefacts
 Cardiac Artefacts
 Muscle Artefacts
 Respiration Artefacts
Physiological Artefacts
 60 Hz Interference
 EEG Electrodes
 Environmental Artefacts
Non Physiological Artefacts
Block Diagram of EEG
Wednesday, March 30,
2016
82
Evoked Potential
Wednesday, March 30,
2016
83
If an external stimulus is applied to the sensory area of
brain, it responds by producing a electrical potential
known as Evoked Potential.
 Classification:
Visual Evoked Potential
Auditory Evoked Potential
SomatoSensory Evoked Potential
Blood Pressure
Wednesday, March 30,
2016
84
Blood pressure is indicates your heart health
It is determined by the contractions of the heart
Your pressure varies depending on the condition of your
heart and blood vessels
Pressure is measured in millimeters of mercury (mm Hg)
Blood Pressure
Wednesday, March 30,
2016
85
86
Blood Pressure Risks
12/3/2013
• High blood pressure (hypertension) increases the risk of:
 Chest pain (angina).
 Heart attack.
 Heart failure.
 Kidney failure.
 Stroke.
 Blocked arteries in the legs or arms (peripheral arterial disease.
 Eye damage .
 Aneurysms (permanent cardiac or arterial dilatation).
87
Cont. Blood Pressure Risks
BMTS 353 88
Cont. Blood Pressure Risks
12/3/2013
• Low blood pressure (hypotension) increases the risk of:
 Reduces the blood flow to the brain and other vital organs.
 Dizziness or fainting.
 Lack of concentration.
 Blurred vision.
 Fatigue.
 Cold and clammy skin.
 Rapid shallow breathing.
Blood Pressure Measurement
 Blood pressure measurement techniques are generally put into two broad
classes:
1) DIRECT TECHNIQUES
Direct techniques of blood pressure measurement, which are also known as
invasive techniques, involve a catheter to be inserted into the vascular system.
eg. Percutaneos insertion, Catheterization etc
2) INDIRECT TECHNIQUES
The indirect techniques are non-invasive, with improved patient comfort and
safety, but at the expense of accuracy. eg. Sphygmomanometer, Rheographic
Method, Oscillometric Method, Ultrasonic Doppler Method etc
Blood Pressure (Sphygmomanometer/ Auscultatoy
Method)
Wednesday, March 30,
2016
90
Auscultatory Method (cont.)
-) The observations differ from observer to another
-) A mechanical error might be introduced into the system e.g. mercury
leakage, air leakage, obstruction in the cuff etc.
-) The observations do not always correspond with intra-arterial pressure
-) Auscultatory tecnique cannot be used in noisy environment
+) Auscultatory technique is simple and does not require much
equipment
ADVANTAGES
DISADVANTAGES
-) The technique does not give accurate results for infants and
hypotensive patients
March 30, 2016 Blood Pressure - Biomedical Signal Processing Page 15
How to measure?
 Non-invasive blood pressure
 Auscultation
 Oscillometry
Mercury sphygmomanometer
+ stethoscope
Mechanical manometer
+ stethoscope
March 30, 2016 Blood Pressure - Biomedical Signal Processing Page 17
The auscultation method
March 30, 2016 Blood Pressure - Biomedical Signal Processing Page 18
The auscultation method
March 30, 2016 Blood Pressure - Biomedical Signal Processing Page 19
The auscultation method
Systolic BP
Diastolic BP
March 30, 2016 Blood Pressure - Biomedical Signal Processing Page 20
The oscillometric method
March 30, 2016 Blood Pressure - Biomedical Signal Processing Page 21
The oscillometric method
 It is based on the
change of the
magnitude of
oscillation
 MAP – Mean Arterial
Pressure
Oscillometric Method
http://colin-europe.com/docpdfdemos/oscillo0104.wmv
The intra-arterial pulsation is
transmitted via cuff to transducer (e.g.
piezo-electric)
The arterial pressure oscillations
(which can be detected throughout the
measurement i.e. when P > SP and
P < DP) are superimposed on the cuff
pressure
SP and DP are estimated from the amplitudes of the oscillation by using a (proprietary)
empirical algorithm.
cuff
cuff
The cuff pressure is deflated either
linearly or stepwise
Oscillometric Method (cont.)
DISADVANTAGE
-) Many devices use fixed
algorithms leading to
large variance in blood
pressures
+) In the recent years,
oscillometric methods have
become popular for their
simplicity of use and
reliability.
ADVANTAGES
+) MP can be measured
reliably even in the case of
hypotension
Ultrasonic Method
A transcutaneous (through the skin)
Doppler sensor is applied here.
The motion of blood-vessel walls in
various states of occlusion is
measured.
The frequency difference between
transmitted (8 MHz) and received
signal is 40-500 Hz and it is
proportional to velocities of the wall motion and the blood.
The vessel opens and closes with each
heartbeat when
DP < P < SPcuff
Ultrasonic Method (cont.)
+) Can be also used in noisy environment
ADVANTAGES & DISADVANTAGES
+) Can be used with infants and hypotensive individuals
-) Subject’s movements change the path from sensor to vessel
As the cuff pressure is increased, the time between opening and closing
decreases until they coincide Systolic pressure
Again as the cuff pressure is decreased, the time between opening and closing
increases until they coincide Diastolic pressure
Direct Methods
in
Blood Pressure Measurements
General Facts
Direct measurement = Invasive measurement
Used only when essential to determine the blood pressure continuously and
accurately in dynamic circumstances
A vessel is punctured and a catheter (a flexible tube) is guided in
The most common sites are brachial and radial arteries but
also other sites can be used e.g. femoral artery
A division is made into extravascular and intravascular
sensor systems
This method is precise but it is
also a complex procedure
involving many risks….
Extravascular Sensor
The sensor is located behind the
catheter and the vascular pressure is
transmitted via this liquid-filled
catheter.
The ’normal’ measuring system
The actual pressure sensor can be e.g.
strain gage
variable inductance
variable capacitance
optoelectronic
piezoelectric, etc…
Extravascular Sensor (cont.)
The hydraylic link is the major source of errors. The system’s natural frequency
may be damped and degraded due (e.g.):
too narrow catheter
too long tubing
various narrow connections
air bubbles in the catheter
The catheter-sensor system must be flushed
with saline-heparine solution every few
minutes in order to prevent blood from
clotting at the tip.
.
Extravascular Sensor (cont.)
Normally the interesting frequency range is 0 – 100 Hz.
If only MP is measured the bandwidth is 20 Hz (harmonics > 10 are ignored)
Intravascular Sensor
The sensor is located in the tip of the catheter. This way the hydraulic connection is
replaced with an electrical or optical connection
+) The frequency response is not limited
by the hydraulic properties of the system.
No time delay.
-) Breaks easily
-) More expensive
+) Electrical safety and isolation when
using fiber optics
The dispacement of the diaphragm is
measured
Blood Pressure
Blood pressure is an important signal in determining the functional integrity of the
cardiovascular system. Scientists and physicians have been interested in blood
pressure measurement for a long time.
Transducers for Blood Pressure
Measurement
Strain Gauges
Resistance is related to length and area of cross-section of the
resistor and resistivity of the material as
By taking logarithms and differentiating both sides, the equation
becomes
Dimension
al
piezoresistanc
e
Strain gage component can be related by poisson’s ratio as
Transducers for Blood Pressure
Measurement(cont.)
Gage Factor of a strain gage
G is a measure of
sensitivity
Think of this as a
Transfer Function!
Input is strain
 Output is dR
Put mercury strain gauge around an arm or chest to measure force of muscle
contraction or respiration, respectively
 Used in prosthesis or neonatal apnea detection, respectively
Strain Gauges
Transducers for Blood Pressure
Measurement(cont.)
Strain Gauges
Transducers for Blood Pressure
Measurement(cont.)
An inductor is basically a coil of
wire over a “core” (usually ferrous)
It responds to electric or magnetic
fields
A transformer is made of at least
two coils wound over the core: one
is primary and another is secondary
Primary Secondary Displacement Sensor
Inductors and tranformers work only for ac signals
Inductive Pressure Sensors ( LVDT)
Transducers for Blood Pressure
Measurement(cont.)
Capacitive Pressure Sensors
When there is difference in P1 & P2
then diaphragm moves toward low
pressure side and accordingly
capacitance varies. So, capacitance
becomes function of pressure and
that pressure can be measured by
using bridge ckt.
It can be used for blood pressure
measurent.
Transducers for Blood Pressure
Measurement(cont.)
Capacitive Pressure Sensors
Pressure
An example of a capacitive sensor is a pressure sensor.
In parts a, the thin sensor diaphragm remains parallel to the
fixed electrode and in part b, the diaphragm deflects under
applied pressure resulting in capacitance change
Transducers for Blood Pressure
Measurement(cont.)
The other pressure sensing approach, characterized by a
diaphragm in front of the fibre optic link, is based on the
light intensity modulation of the reflected light caused by
the pressure-induced position of the diaphragm.
Fibre-optic pressure sensor
116
Blood Flow
• Blood flow helps to understand basic physiological
processes and e.g. the dissolution of a medicine into the
body.
• Blood flow and changes in blood volume, are usually
correlated with concentration of nutrients and other
substance in the blood.
• Also, Blood Flow measurement reflects the
concentration of O2.
Blood Flow
• A measure of the velocity of blood in a major vessel. In a
vessel of known diameter , this can be calibrated as flow and
is most successful accomplished in arterial vessels. Used to
estimate heart output and circulation. Requires exposure of
the vessel. Flow transducer surrounds vessel. Methods of
measurement include
• Electro-magnetic
• Ultrasonic principles
• Fibre-optic laser Doppler flowmetry
• Thermal Convection
• Blood Flow Determination by Radiographic Method
Blood Flow Measurement
• Based on Faraday’s law of induction that a conductor that moves through a
uniform magnetic field, or a stationary conductor placed in a varying
magnetic field generates emf on the conductor:
• When blood flows in the vessel with velocity u and passes through the
magnetic field B, the induced emf e measured at the electrodes is.
 
L
de
0
LBu
For uniform B and uniform velocity profile
u, the induced emf is e=BLu. Flow can be
obtained by multiplying the blood velocity u
with the vessel cross section A.
Electromagnetic Flow meters
Blood Flow Measurement(cont.)
Electromagnetic Flow meter Probes
• Comes in 1 mm increments for
1 ~ 24 mm diameter blood vessels
• Individual probes cost $500 each
•Only used with arteries, not veins,
as collapsed veins during diastole
lose contact with the electrodes
• Needless to say, this is an
INVASIVE measurement!!!
• A major advantage is that it can
measure instantaneous blood
flow, not just average flow.
Blood Flow Measurement(cont.)
Ultrasonic Flow meters
 Based on the principle of measuring the time it takes for an
acoustic wave launched from a transducer to bounce off red blood
cells and reflect back to the receiver.
 All UT transducers, whether used for flowmeter or other
applications, invariably consists of a piezoelectric material, which
generates an acoustic (mechanical) wave when excited by an
electrical force (the converse is also true)
 UT transducers are typically used with a gel that fills the air gaps
between the transducer and the object examined
Blood Flow Measurement(cont.)
Ultrasonic Flow meters
The Doppler blood-flow measurement
Doppler blood flow detectors
operate by means of continuous
sinusoidal excitation. The
frequency difference calibrated
for flow velocity can be
displayed or transformed by a
loudspeaker into an audio
output.
122
Cont. Blood Flow
Normal blood flow velocity 0,5 m/s 1 m/s (Systolic, large vessel)
123
Blood Flow Measurement
Blood Pressure
124
Ultrasonic Doppler Method
Blood Pressure
• The blood cells in the fluid
reflects the ultrasound signal
with a shift in the ultrasonic
frequency due to its movement.
• In the recent years ultrasound contrast agents have been used in
order to increase the echoes.
c
v
ff cd 2
f = 2 – 10 MHzc
c = 1500 - 1600 m/s (1540 m/s)
f = 1,3 – 13 kHzd
125
Laser Doppler Flowmetry
Blood Pressure
• The principle of measurement is the
same as with ultrasound Doppler.
• The laser parameter may have e.g.
the following properties:
5 mW
He-Ne-laser
632,8 nm wavelength
• The method is used for capillary
(microvascular) blood flow
measurements.
(1) Bios current => Thermister heating
(2) T2 Thermister is cooled by thermal convection.
Invasive, probe positioning is difficult.
The stronger F gets, The sharper the temperatur
is decreased.
(cf.) respiratory monitoring by thermister
Temp. of inspiration is 25˚C.
Temp. of expiration is 36.5˚C.
Thermal convection flowmeter
Radiographic Method
 Blood is not normally visible on an X-ray image because it has about the same
radio density as the surrounding tissue.
 By the injection of a medium into the blood vessel, the circulation pattern can
be made locally visible.
 On a sequential record of the X- ray image, the progress of the contrast
medium can be followed,obstructions can be detected and the blood flow in the
blood vessels can be estimated known as CINE or ANGIOGRAPHY.
128
Plethysmography Method
(Strain Gage)
Blood Pressure
Plethysmography means the methods
for recording volume changes of an
organ or a body part.
• Strain gage is made of silicone rubber tubes, which are filled with
conductive liquid (e.g. mercury) whose impedance changes with
volume.
• Venous occlusion cuff is inflated to 40 – 50 mmHg. In this way
there will be the arterial inflow into the limb but no venous outflow.
129
Plethysmography Method
(Electric-Impedance)
Blood Pressure
• Different tissues in a body have a different resistivity. Blood is one
of the best conductors in a body.
• A constant current is applied
via skin electrodes.
• The change in the impedance
is measured.
• The accuracy is often poor.
130
Plethysmography Method
(Photoelectric)
Blood Pressure
• A beam of IR-light is directed to
the part of the tissue which is to
be measured for blood flow (e.g.
a finger or ear lobe).
• The blood flow modulates the attenuated / reflected light which is
recorded.
• The light that is transmitted / reflected is collected with a photo
detector.
Poor measure for changes in volume
Very sensitive to motion artefacts
Method is simple
Heart rate is clearly seen
Pulse sensors
Heart rate measurement is one of the very important parameters of the human
cardiovascular system. The heart rate of a healthy adult at rest is around 72 beats
per minute (bpm).
Basically, the device consists of an infrared transmitter LED and an infrared
sensor photo-transistor. The transmitter-sensor pair is clipped on one of the
fingers of the subject. The LED emits infrared light to the finger of the subject. The
photo-transistor detects this light beam and measures the change of blood volume
through the finger artery. This signal, which is in the form of pulses is then
amplified and filtered suitably and is fed to a low-cost microcontroller for analysis
and display
Pulse Sensor(cont.)
The microcontroller counts the number of pulses over a fixed time interval
and thus obtains the heart rate of the subject. Several such readings are
obtained over a known period of time and the results are averaged to give a
more accurate reading of the heart rate. The calculated heart rate is displayed
on an LCD in beats-per-minute in the following format:
Rate = nnn bpm
133
Blood Flow Measurement
Blood Pressure
134
Indicator Dilution Methods
(Dye Dilution)
Blood Pressure
• A bolus of indicator, a colored dye (indocyanine green),
is rapidly injected in to the vessel.
• The concentration is measured in the downstream
• The blood is drawn through a colorimetric cuvette and
the concentration is measured using the principle of
absorption photometry.
135
Indicator Dilution Methods
(Thermal Dilution)
Blood Pressure
• A bolus of chilled saline solution is injected into the
blood circulation system (right atrium).
• This causes decrease in the artery temperature.
• Catheter-tip probes are used to measure the change in
tempreture.
Cardiac Output
Whenthe heartcontracts
CardiacOutput
Cardiac Output is the volume of blood pumped
each minute, and is expressed by the following
equation:
• CO = SV xHR
• Where:
• CO is cardiac output expressed in L/min
(normal ~5 L/min)
• SV is stroke volume per beat
• HR is the number of beats per minute
140
Cardiac Output Measurement
(Fick Technique)
Blood Pressure
141
Cardiac Output Measurement
(Fick Technique)
Blood Pressurehttps://www.youtube.com/watch?v=nAgmCoqAoPo
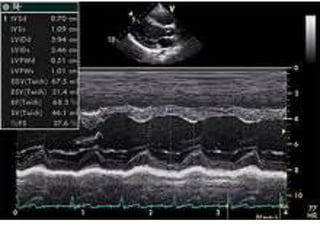
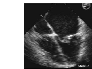
Echocardiogram
• An echocardiogram is a test in which ultrasound is
used to examine the heart.
• Displaying a cross-sectional "slice" of the beating
heart, including the chambers, valves and the
major blood vessels that exit from the left and
right ventricle
• M-mode
• two- dimensional (2-D) Echo
• Doppler Examination
• 3-D echo
What information does
Echocardiography and Doppler
provide?
• Size of the chambers of the heart
• Pumping function of the heart
• Valve Function
• Volume status
• Other Uses: fluid in the pericardium,
congenital heart diseases, blood clots or
tumors within the heart
3-D Echo
Electromyography(EMG)
• Electromyogram (EMG) is a technique for
evaluating and recording the activation signal of
muscles.
• EMG is performed by an electromyograph,
which records an electromyogram.
• Electromyograph detects the electrical potential
generated by muscle cells when these cells
contract and relax.
INTRODUCTION Contd.
EMG Apparatus Muscle Structure/EMG
ELECTRICAL
CHARACTERITICS
• The electrical source is the muscle membrane
potential of about -70mV.
• Measured EMG potentials range between
< 50 μV up to 20 to 30 mV, depending on the
muscle under observation.
• Typical repetition rate of muscle unit firing is
about 7-20 Hz.
• Damage to motor units can be expected at
ranges between 450 and 780 mV
ELECTRODE TYPES
Intramuscular -
Needle Electrodes
Extramuscular - Surface
Electrodes
EMG PROCEDURE
• Clean the site of application
of electrode;
• Insert needle/place surface
electrodes at muscle belly;
• Record muscle activity at rest;
• Record muscle activity upon
voluntary contraction of the
muscle.
EMG Contd.
• Muscle Signals are
Analog in nature.
• EMG signals are also
collected over a
specific period of
time.
Analog Signal
EMG Contd.
EMG processing:
Amplification
& Filtering
Signal pick up
Conversion of Analog
signals to Digital signals
Computer
APPLICATION OF EMG
• EMG can be used for diagnosis of
Neurogenic or Myogenic Diseases.
• You tube link of EMG
155
Patient Care, Monitoring and Safety Measures
Blood Pressure
 The Patient Monitoring System (PMS) is a very critical monitoring systems,
it is used for monitoring physiological signals including Electrocardiograph
(ECG), Respiration , Invasive and Non-Invasive Blood Pressure, Oxygen
Saturation in Human Blood (SpO2), Body Temperature and other Gases etc.
 In PMS, the multiple sensor and electrodes is used for receiving
physiological signals like as ECG Electrodes, SpO2Finger Sensor, Blood
Pressure Cuff and Temperature Probe to measure the physiological signals.
156
Patient Care, Monitoring and Safety Measures
Blood Pressure
 During treatment, it is highly important to continuously monitor the vital
physiological signs of the patient. Therefore , patient monitoring systems has
always been occupying a very important position in the field of medical devices.
 The continuous improvement of technologies not only helps us transmit the vital
physiological signs to the medical personnel but also simplifies the measurement
and as a result raises the monitoring efficiency of patients.
157
Classes of Patient Monitoring System
Blood Pressure
In the past, the dominant products manufactured by
medical device manufacturers are mainly those for
single parameter measurement. Nowadays however,
a multi-parameter patient monitor is commonly
used.
1.Single-Parameters Monitoring Systems
2.Multi-Parameter Patient Monitoring Systems
158
Single Parameter Monitoring System
Blood Pressure
The single parameter monitoring system
is available for measuring blood pressure
of a human body, ECG
(Electrocardiograph) monitor, SpO2
(Oxygen Saturation in Blood) monitor etc..
159
Multi- Parameter Monitoring System
Blood Pressure
 A multi-parameter Patient Monitoring System (PMS) is used for multiple
critical physiological signs of the patient to transmit the vital information
like Electro cardiograph , Respiration Rate, Blood pressure etc. Therefore,
multi parameter PMS has always been occupying a very significant
position in the field of medical devices.
 Most diseases of the heart and of the circulatory system , referred to as
cardiovascular diseases, strike with out warning and prompt treatment is
required .
 Such treatment is best provided in a specialized area of hospital referred
to as “intensive care unit.”(ICU).
 These specialized hospital units provide constant observation of the
subject, constant monitoring of the subject’s physiological condition
and provide immediate emergency treatment whenever it is required.
160
Three Important Intensive Care Units
Blood Pressure
 Coronary intensive care: units used for treatment of
diseases of the heart such as the heart attacks
 Stroke intensive care: Units used for treatment of
diseases of the circulatory system such as stroke.
 Pulmonary intensive care units: Pulmonary
intensive care unit s are used for treatment
of respiratory diseases.
161
PHYSIOLOGICAL FUNCTIONS TO BE MONITOR DURING
INTENSIVE CARE UNIT
Blood Pressure
 Cardiac monitoring
 Hemodynamic monitoring,
 Respiratory monitoring
 Neurological monitoring
 Blood glucose monitoring
 Childbirth monitoring
 Body temperature
ECG MONITORING
• The principal physiological signal monitored in an intensive
care unit is often the electrocardiogram. The electrocardiogram
is usually monitored in the lead-II configuration with two active
electrodes.
• These two electrodes are placed approximately 12inches apart
along the maximum potential axis of the subject’s heart.
• A third electrode (ground) should be located elsewhere on the
chest. This electrocardiogram monitoring configuration is
referred to as three-lead chest cluster.
• The electrodes used for ECG monitoring during intensive care
must be suited for long term monitoring applications.
• The set of leads used for monitoring purpose is called ‘rhythm’
• strip and its purpose is just to note the heart beat and not for
analyzing it.
Blood Pressure Monitoring
• The second physiological parameter often of prime importance
in intensive care monitoring is blood pressure.
• Korotkoff system-Riva-Rocci Method
• Blood pressure can be monitored using the automatic cuff pump
and Korotkoff microphone blood- pressure measurement
system this system is occasionally used in intensive care units. ,
• It also possesses the disadvantage of it does not provide a
continuous record of the subject’s blood pressure.
• Thus, if for some reason the subjects blood pressure were to
suddenly drop, this system may take some minutes or so to
detect this pressure drop.
•
Blood Pressure Monitoring……
• PLETHYSMOGRAPH
• Blood pressure monitoring with plethysmograph
offers the least discomfort to the subject; however, it
provides only a relative indication of the well being
of the circulatory system rather than providing
absolute values for diastolic and systolic pressure.
• Digital blood pressure monitors are now-a-days often
used in many intensive care units. Any intensive care
unit may employ one or more of these techniques
and indeed all three may be available if required.
BLOOD PRESSURE MONITORING
RESPIRATION MONITORING
• It is often desirable to monitor the subject’s
respiratory activity during intensive care ;
• this may be accomplished with
thermistor pneumograph placed in the subject’s
nostril.
• BODY TEMPERATURE
•
• It is often also desirable to monitor body temperature
in intensive care subjects via a rectal or armpit
thermistor probe
CENTRAL NURSE’S STATION
CENTRAL NURSE’S STATION….
• Multi connector cable connects the output form the four
subject- monitoring sites located beside each intensive care bed
to the central nurse’s station.
• Each subject’s ECG is continuously displayed via a four channel
CRT display. And also these signals are being recorded
continuously on a memory loop tape recorder.
• This tape recorder contains the previous one-minute ECG
history for each subject by recording the ECG on a
tape loop“one minute” in length
Present Parameters in Patient
Monitoring System
• ECG 3/5/10 leads
• Respiration
• Invasive Blood Pressure (IBP)
• Non Invasive Blood Pressure(NIBP)
• Pulse Oxy Meter (SpO2)
Non invasive
Blood pressure
ECG
MONITOR
PULSE
OXYMETER
Hemodynamic monitoring
• Cardiac output and flow rate ;
• The heart is the driver of the circulatory system, pumping blood
through rhythmic contraction and relaxation.
• The rate of blood flow out of the heart meaning literally "blood
flow, motion and equilibrium under the action of external
forces", is the study of blood flow or the circulation. It explains
the physical laws that govern the flow of blood in the blood
vessels.
Respiratory monitoring
• Measurement of airway pressure (Paw), flow (F) and volume (Vol)
during mechanical ventilation assists in the differential diagnosis of
respiratory failure. Airway occlusion technique makes possible to
carefully characterize the mechanics of the lung, chest wall, and the
total respiratory monitoring system
• Pulse oximetry ;which involves measurement of the saturated
percentage of oxygen in the blood, referred to as SpO2, and
measured by an infrared finger cuff,
• Capnography ;, which involves CO2 measurements, referred to as
(EtCO2) or end-tidal carbon dioxide concentration. The respiratory
rate monitored as such is called AWRR or (airway respiratory rate).
Neurological monitoring - EEG
• Intracranial pressure. Also, there are special
patient monitors which incorporate the
monitoring of brain waves
• Blood glucose meter ; is an electronic device
for measuring the blood glucose level
• Childbirth; also known as labour, delivery,
birth,
Body temperature monitoring
• Body temperature" redirects here. For
information regarding normal human
body temperature,
Components of Medical monitor
• Sensor
• Translating component
• Display device
• Communication links
• Alarm
Spo2 sensor
Spo2 sensor board
Invasive BP sensor
ECG sensor
ECG placement
ECG sensor board
Temp sensor
Hospitals may have ICUs that cater to a specific
medical specialty below using all medical monitor
Neonatal intensive care unit (NICU)
Pediatric intensive care unit (PICU)
Psychiatric intensive care unit (PICU)
Coronary care unit (CCU):
Medical intensive care unit (MICU)
Neurological intensive care unit (Neuro ICU)
Trauma intensive care unit (Trauma ICU).
Post-anesthesia care unit (PACU):
Surgical Intensive Care Unit (SICU):
Mobile Intensive Care Unit (MICU)
Use of computers for patient
monitoring
real-time monitoring
Wherever you are – in the hospital, at home, or on the
road – you have access to the patient information you
need to make informed clinical decisions viaWeb and
iPad access. IntelliVue Information Center iX offers
virtually anywhere, anytime access to key patient
monitoring information.
Use of computers for patient monitoring
Automatic
control
Patient equipment Computer DBMS
Reports
Mouse and
keyboard
Display
Transducers
Clinician
ICU
Bed Bed BedBed
Nurse station
Telemetry
WEB
connection
FUTURE TRENDS IN PATIENT
MONITORINGSY STEM
• Blood Gas Analyzer
• Drug Dosage calculator
• Drug Management System
• Wearable PMS
• Telemetry / Telemedicine
189
Patient Safety
Blood Pressure
 The main objective of any healthcare system should be the safe progress
of the patients through all parts of the system.
 Harm from their care as well as from the environment in which it is
carried out, must be avoided and risk minimized in care delivery
processes.
 Electrical shocks, burns and fire hazards caused by medical equipment
are one of the highest risks that may harm the patient.
 Electric shock: When the human body comes in contact with the live
wire and an uninsulated electric power, the power flows naturally and
easily through the body and we experience it as an E-shock.
Electrical safety
Medical procedures usually expose the patient to more hazards than
the typical home or workplace, because :-
1. In medical environments the skin and mucous membranes are
frequently penetrated or altered.
2. There are many sources of potentially hazardous substances and
energy forms that could injure either the patient or the medical
staff.
These sources of hazards include:-
 fire, air, earth, water, chemicals, drugs, microorganisms
 Waste products
 Sound and electricity
 Natural and unnatural disasters surroundings, gravity, mechanical
stress
 People responsible for acts of omission and operation
Physiological effects of electricity
 For a physiological effect to occur, the
body must become part of an electric
circuit. Current must enter the body at
one point and leave at some other point
 The magnitude of the current is equal to
the applied voltage divided by the sum
of the series impedances of the body
tissues and the two interfaces at the
entry points
Three phenomena can occur when electric
current flows through biological tissue:
(1) Electric stimulation of excitable tissue
(nerve and muscle)
(2) Resistive heating of tissue
(3) Electrochemical burns and tissue
damage for direct current and very
high voltages
psychophysical and physiological effects
of electrical current in humans:-
70 kg
AWGNo.8copperwires
psychophysical and physiological effects of electrical current in humans:-
Threshold of perception = the minimal current that an individual can detect.
This threshold varies considerably among individuals and with the measurement
conditions (wet or dry skin)
Thresholds for dc current range from 2 to 10 mA, and slight warming of the skin is
perceived (realized)
Let-go current:-
Is defined as the maximal current at which the subject can withdraw
voluntarily.
Involuntary contractions of muscles or reflex withdrawals is occur
The minimal threshold for the let-go current is 6 mA
Respiratory paralysis, pain, and fatigue:-
 respiratory arrest has been observed at 18 to 22mA
 Strong involuntary contractions of the muscles and stimulation of the
nerves can be painful and cause fatigue if there is long exposure.
psychophysical and physiological effects of electrical curren
in humans:-
Ventricular fibrillation
Ventricular fibrillation:-
Is a rapid and disorganized cardiac rhythm.
If the magnitude of the current is sufficient to excite only part of the heart
muscle and disrupted the heart rate
The heart rate can rise to 300 beats/min
The fibrillation does not stop when the current that triggered it is
removed.
Ventricular fibrillation is the major cause of death due to electric shock.
The threshold for ventricular fibrillation for an average-sized human
varies from about 75 to 400 mA
Normal rhythmic activity returns only if a brief high-current pulse from a
defibrillator is applied to depolarize all the cells of the heart muscle the
cells relax together, a normal rhythm usually returns
Body weight and fibrillation, duration of the current
Several studies using animals of various
sizes have shown that the fibrillation
threshold increases with body weight
Fibrillating current increases from 50 mA
rms for 6 kg dogs to 130 mA rms for 24
kg dogs.
196
Types of Shocks
Blood Pressure
Gross Shock/Macro Shock: The current flows through the
body of the subject ,e.g. as from arm to arm.
Micro current Shock: The current passes directly through the
heart wall. This is the case when cardiac catheters may be
present in the heart chambers.
Point of entry (macroshock and microshock)
Macroshock:-
When current is applied at two points on
the surface of the body, only a small
fraction of the total current flows through
the heart (macroshock).
The magnitude of current needed to
fibrillate the heart is far greater when the
current is applied on the surface of the
body than it would be if the current were
applied directly to the heart
Microshock:-
All the current applied through an
intracardiac catheter flows through the
heart
small currents called microshocks can
induce Ventricle fibrillation
Current of about 20 µA can cause
microshock .
The widely accepted safety limit to prevent
microshocks is 10 mA.
Distribution of electric power
Electric power is needed in health-care
facilities for :-
1. The operation of medical
instruments
2. Lighting, maintenance appliances
3. Patient conveniences (such as
television, hair curlers, and electric
toothbrushes)
4. Clocks, nurse call buttons, and an
endless list of other electric devices
• So the first step on providing
electrical safety is to control the
availability of electric power and the
grounds in the patients’ environment
Safe distribution of power in health-care
facilities:-
High voltage (4800 V)
enters the building—
usually via underground
cables
Patients’ electrical environment
 A shock hazard exists between the two
conductors supplying either a 240 V or
a 120 V appliance.
 Because the neutral wire on a 120 V
circuit is connected to ground, a
connection between the hot conductor
and any grounded object poses a shock
hazard.
 Microshocks can occur if sufficient
potentials exist between exposed
conductive surfaces in the patients’
environment
THE maximal potentials permitted
between any two exposed conductive
surfaces in the vicinity of the patient are
specified by the 2006 NEC, Article 517-
15:
1. General-care areas, 500 mV under
normal operation
2. Critical-care areas, 40 mV under
normal operation
Things must be done:-
1. All exposed conductive surfaces in
the vicinity of the patient must be
grounded at a single patient
grounding point.
2. Periodic testing for continuity
between the patient ground and all
grounded surfaces is required
3. Each patient-bed location in general-
care areas must have at least four
single or two duplex receptacles ,the
receptacle must be grounded
4. At least two branch circuits with
separate automatic overcurrent
devices must supply the location of
each patient bed.
5. For critical-care areas at least six
single or three duplex receptacles are
required for each location of a patient
bed
Isolated-power systems
Any ground faults can posses hazard .
A ground fault :-
Is a short circuit between the hot
conductor and ground that injects large
currents into the grounding system.
 Isolation of both conductors from
ground is commonly achieved with an
isolation transformer
isolation transformer + line isolation monitor
Measures the total possible resistive and
capacitive leakage current (total hazard current)
that would flow through a low impedance if it
were connected between either isolated
conductor and ground.
When the total hazard current exceeds 3.7 to 5.0
mA for normal line voltage, a red light and an
audible alarm are activated
Checking the lines by the LIM can interfere
with (ECG,EEG ,ect.) ,or it can trigger
synchronized defibrillators
Microshock hazards
Leakage currents:-
Small currents (usually on µA) that flow between any adjacent insulated
conductors that are at different potentials
The leakage current in line operated equipment flows through:
1. The stray capacitance between the two conductors.
2. Resistive leakage current flows through insulation, dust, and moisture.
If the ground wire is broken, then the chassis potential rises above ground,
and a patient who touches the chassis and has a grounded electric
connection to the heart may receive a micro shock
Electrical-safety codes and standards
A code
is a document that contains only mandatory requirements.
A standard
also contains only mandatory requirements, but compliance
tends to be voluntary, and more detailed notes and explanations
are given.
Standards are designed for voluntary use and do not impose any
regulations.
However, laws and regulations may refer to certain standards
and make compliance with them compulsory.
A manual or guide
is a document that is informative and tutorial but does not
contain requirements
Limits on Leakage Current
Limits on Leakage Current for Electric
Appliances
one fault is applied to the equipment to see
what happens
Basic approaches to protection against shock
There are two fundamental methods of
protecting patients against shock:-
1. The patient should be completely
isolated and insulated from all
grounded objects.
2. All sources of electric current and all
conductive surfaces within reach of
the patient can be maintained at the
same potential, which is not
necessarily ground potential
 In practical neither of these approaches
can be fully achieved so we used :-
 Grounding system
 Isolated power-distribution system
 Ground-fault circuit interrupters
(GFCI)
 Reliable grounding for equipment
 Reduction of leakage current
 Double-insulated equipment
 Operation at low voltages
 Electrical isolation
 Isolated heart connections
For the power distribution
 For the equipment
Protection: power distribution
The patient equipment grounding point
is connected individually to all :-
receptacle grounds
Metal beds
Metal door and window frames
Water pipes
Any other conductive surface.
These connections should not exceed
resistance of 0.15 Ω
The difference in potential between
receptacle grounds and conductive
surfaces should not exceed 40 mV
Chassis leakage current
Chassis leakage current:-
Leakage current emanating from the chassis should not exceed :-
500 mA for appliances with single fault not intended to contact
patients .
300 mA for appliances that are intended for use in the patient care
vicinity.
These are limits on rms current for sinusoids from dc to 1 kHz,
and they should be obtained with a current-measuring device of
1000 Ω or less
Chassis leakage-current test
Leakage current in patient leads
Limits on leakage current in patient leads should be 50 µA.
Isolated patient leads must have leakage current that is less than 10 µA.
leakage current between any pair of leads or between any single lead and all
the other patient leads should be measured.
Test for leakage current from patient leads to ground
Test for leakage current between patient leads
Test for leakage current between patient leads
leakage current between any pair of leads or
between any single lead and all the other patient
leads should be measured
PACEMAKERS
ELECTRICAL SYSTEM IN THE
HEART
WHEN DO WE NEED A PACEMAKER
???
• Bradycardia – a condition in which the heart
beats too slowly – less than 60 beats per
minute
• Tachycardia – a condition in which the heart
beats too fast – more than 80 beats per
minute
• Atrial fibrillation – the upper chambers of
the heart beat rapidly
WHAT IS A PACEMAKER
The basic parts :
• Power source
• Pulse generator
• Electrodes

Biomedical Instrumentation

  • 1.
    Course Name: BiomedicalInstrumentation Course Code: MC1652 Wednesday, March 30, 2016 1
  • 2.
    Wednesday, March 30,2016 2 Books/References  J. G. Webster , Medical Instrumentation: Application And Design, 3rd edition ,Wiley Publishers  D Reddy, Biomedical Signal Processing, Tata Mcgraw Hill Publications.  Sergio Cerutti Advanced Methods of Biomedical Signal Processing, Oxford Publications.  B. Jacobson, J.G. Webster, Medical and Clinical Engineering, Prentice Hall, International.  Cromwell, Biomedical Instrumentation and Measurements, Prentice Hall, International.  R.S. Khandupur, Handbook of Biomedical Instrumentation, - Tata McGraw Hill
  • 3.
    Introduction Instrumentation : Instrumentationis the use of measuring instruments to monitor and control a process. It is the art and science of measurement and control of process variables within a production, laboratory, or manufacturing area. Wednesday, March 30, 2016 3
  • 4.
    Introduction Biomedical Instrumentation :Biomedical Instrumentation is the field of creating such instruments that help us to measure, record and transmit data to or from the body Wednesday, March 30, 2016 4 COMPONENT OF MAN INSTRUMENT SYSTEM
  • 5.
    Basic Objectives ofInstrumentation System  Information Gathering  Diagnosis  Evaluation  Monitoring  Control Wednesday, March 30, 2016 5
  • 6.
    Classification of BioMedical Instrumentation System  Clinical Instrumentation Basically devoted to the area of  Diagnosis  Patient care  Treatment of Patients ( Therapeutic use ) Wednesday, March 30, 2016 6
  • 7.
    Classification of BioMedical Instrumentation System  Research Instrumentation  It is used primarily in the search for new knowledge related to various systems that compose the human organism.  Some instruments can be used in both areas. Wednesday, March 30, 2016 7
  • 8.
    Classification of InstrumentsUsed CLASSIFICATION OF INSTRUMENTS Engineering Indicating Recording Monitoring Data Logging Analysis Control Medical Diagnostic Therapeutic Supplementary Wednesday, March 30, 2016 8
  • 9.
    Engineering Classification ofBiomedical Instruments  Measuring Instruments.  Audiometer  Blood cell counter  Blood Pressure meter  Blood PH meter  Blood flow meter  Digital BP meter  GSR meter  Stethoscope Wednesday, March 30, 2016 9
  • 10.
    Recording Instruments  Electrocardiograph Electromyograph  Electro encephalograph  Expirograph  Phonocardiograph  Plethysmograph  Thermograph  Tomograph  Ultra sonograph  Radio graph ( x-ray) Wednesday, March 30, 2016 10
  • 11.
    Monitoring Instruments  Bed– side monitor  Bio – monitor  Foetal monitor Wednesday, March 30, 2016 11
  • 12.
    Analysing Instruments  Colorimeter Spectrometer  Flame photo meter Wednesday, March 30, 2016 12
  • 13.
    Data Logging andControlling Instruments  Data Logging - Computer  Controlling - Defibrillator - Dialysis instrument - Heart lung machine Wednesday, March 30, 2016 13
  • 14.
    A) Medical Classificationof BMI  Diagnostic instruments  Endoscope  Stethoscope  Microscope Wednesday, March 30, 2016 14
  • 15.
    B)Therapeutic Instruments  Shortwavediathermy  Ultrasound therapy  Electro surgery  Nuclear Medicine Wednesday, March 30, 2016 15
  • 16.
    B)Supplimentary Instruments  Aidfor blind  Hearing aid  Pace maker Wednesday, March 30, 2016 16
  • 17.
    Functional Classification of Instruments A]BLOOD INSTRUMENTS 1. Blood Pressure meter 2. Blood PH meter 3. Blood flow meter 4. Blood cell counter 5. Calorimeter 6. Spectra – Photometer 7. Flame photometer 8. Digital BP meter Wednesday, March 30, 2016 17
  • 18.
    Contd… B] HEART INSTRUMENT 1.ECG 2. Pace Maker 3. Defibrillator 4. Heart Lung Machine 5. Bed side monitor 6. Plethysmograph 7. Electronic stethoscope 8. Phonocardiograph Wednesday, March 30, 2016 18
  • 19.
    Contd…. C] BRAIN INSTRUMENTS 1.EEG 2. Tomo-graph D] MUSCLE INSTRUMENTS 1. EMG 2. Muscle Stimulator Wednesday, March 30, 2016 19
  • 20.
    Contd…. E) KIDNEY INSTRUMENTS 1.Dialysis Instrument 2. Lithotripsy F] EAR INSTRUMENTS 1. Audiometer 2. Hearing aid Wednesday, March 30, 2016 20
  • 21.
    Contd…. G) EYE INSTRUMENTS 1.Occulometer 2.Aidfor blind H] LUNG INSTRUMENT 1. Spirometer Wednesday, March 30, 2016 21
  • 22.
    Contd…. I) BODY INSTRUMENTS 1.Ultra Sonography 2. Thermograph 3. Radiograph 4. Endoscope Wednesday, March 30, 2016 22
  • 23.
    Contd…. J) PHYSIOTHERAPY INSTRUMENTS 1. Diathermy,Short wave 2. Vibrator ( Massage type ) 3. U.V. Lymph 4. Microwave diathermy Wednesday, March 30, 2016 23
  • 24.
    Anatomy and Physiology Thescience of structure of the body is known as ANATOMY Classification : Gross ANATOMY Topographical ANATOMY Microscopic ANATOMY Wednesday, March 30, 2016 24
  • 25.
    Anatomy and Physiology Physiologywhich relates to the normal function of the organs of the body . Example :  Cell Physiology  Pathaphysiology - Circulatory Physiology - Respiratory Physiology Wednesday, March 30, 2016 25
  • 26.
    Physiological Systems ofthe body  Human body contains various systems such as electrical ,mechanical, hydraulic, pneumatic, chemical and thermal etc.  Systems communicate internally with each other and with external environment.  With this, enable to perform useful tasks, sustain life and reproduce itself. Wednesday, March 30, 2016 26
  • 27.
    Major Subsystems ofthe body 1. Cardiovascular System  Cardio = “heart” Vascular = “vessels” It performs the essential service of transportation of oxygen, carbon dioxide numerous chemical compounds and the blood cells.  System made up of “heart” , “vessels and “blood” Wednesday, March 30, 2016 27
  • 28.
    Major Subsystems ofthe body Function of Cardiovascular System  Delivering materials to cells  Carrying wastes away  In addition, blood contains cells that fight disease. Wednesday, March 30, 2016 28
  • 29.
    Major Subsystems ofthe body Heart  Heart is divided into two parts right and Left-each part has two chambers called atrium and ventricle.  Heart has four valves: -Tricuspid valve or Right Ventricle valve - Bicuspid Mitral or Left Ventricle Valve - Pulmonary Valve - Aortic Valve  Heart wall consist of three layers: - Pericardium - Myocardium - Endocardium Wednesday, March 30, 2016 29
  • 30.
    4) Right Ventricle Theright ventricle pumps oxygen-poor blood to the lungs. 3) Right Atrium The right atrium receives blood from the body that is low in oxygen and high in carbon dioxide. The Heart 1 2 3 5 6 7 8 94 1) Major vessel from upper body to heart 2) Vessels from lung to heart 5) The. aorta carries blood from the left ventricle to the body 6) Vessel from heart to lungs 7) Vessels from lung to heart 8) Left Atrium Oxygen-rich blood is carried from the lungs to the left atrium. 9) Left Ventricle The left ventricle pumps oxygen-rich blood from the heart. Pathways of Blood Wednesday, March 30, 2016
  • 31.
    Major Subsystems ofthe body Three types of blood vessels  Arteries - move blood away from the heart -Most arteries carry oxygen-rich blood -The largest artery in the body is the Aaorta have thick walls that are both strong and flexible. Veins - move blood toward the heart  Capillaries - tiny blood vessels that connect arteries and veins -Branching from the smallest arteries are capillaries, the smallest blood vessels in your body. -As blood flows through the capillaries, oxygen and dissolved nutrients diffuse through the capillary walls and into your body’s cells. -Capillaries are involved in temperature regulation. Wednesday, March 30, 2016 31
  • 32.
    Major Subsystems ofthe body Function of the blood  Carries oxygen from lungs to all body cells and removes carbon dioxide from the cells Carries waste products of cell activity to the kidneys to be removed from the body Transports nutrients from the digestive system to body cells Red blood cell White blood cell Wednesday, March 30, 2016 32
  • 33.
    Major Subsystems ofthe body Conduction System of the heart  Cardiac conduction system: The electrical conduction system controls the heart rate  This system creates the electrical impulses and sends them throughout the heart. These impulses make the heart contract and pump blood. Wednesday, March 30, 2016 33
  • 35.
    Major Subsystems ofthe body 2. Respiratory System  The Primary function of respiratory system is to supplies the blood with oxygen so that the blood can deliver oxygen to all parts of the body.  It also removes carbon dioxide waste that cells produce. Wednesday, March 30, 2016 35
  • 36.
    Amazing Facts Aboutthe Respiratory System Did you know that...  Your right lung has three lobes and your left lung only has two?  The right lung is a little larger than the left lung?  A person sleeping almost always breathes twelve or fifteen times a minute?
  • 37.
    More Amazing FactsAbout the Respiratory System Did You Know That...  The exhaling rate is faster in kids than in adults?  The trachea is made out of cartilage shaped rings?  The fastest recorded “ sneeze speed” is 165 km per hour?  It is healthier to breathe through your nose than your mouth, because your nose hairs and mucus clean the air.
  • 38.
    Major Subsystems ofthe body 3. Nervous System  Control center for all body activities.  Responds and adapts to changes that occur both inside and outside the body (Ex: pain, temperature, pregnancy) Wednesday, March 30, 2016 38
  • 39.
    Wednesday, March 30,2016 39 your nervous system is divided into the central nervous system (CNS) and the peripheral nervous system (PNS) which is the brain and spinal cord which connects everything to the brain and spinal cord
  • 40.
    Central Nervous System Wednesday,March 30, 2016 40  Brain : a mass of 100 billion neurons located inside the skull. - Cerebrum : largest part of human brain - Cerebellum : at base of brain - Brain Stem : connects brain to spinal cord  Spinal Cord : Column of nerves from brain to tailbone – protected by vertebrae of spine -Responsible for: - Conducting impulses between the brain and the rest of the body *Impulses may travel as fast at 268 miles/hr.  Neurons
  • 41.
    Credit:MarkLythgoe&ChloeHutton,WellcomeImages different regions havedifferent functions Cerebral cortex Functions include: planning; reasoning; language; recognising sounds and images; memory. Corpus callosum connects the brain’s right and left hemispheres Cerebellum important for coordination, precision and timing of movement Brain stem regulates heart rate, breathing, sleep cycles and emotions
  • 42.
    Peripheral Nervous System Wednesday,March 30, 2016 42 Nerves : visible bundles of axons and dendrites that entend from the brain and spinal cord to all other parts of the body - Motory Nerves - Sensory Nerves
  • 43.
    the cells ofthe nervous system are called neurones cell body axon myelin sheath dendrites nerve endings nucleus structure of a neurone
  • 44.
    there are differenttypesof neurone sensory neuronemotor neurone relay neurone direction of electrical signal sends signals to your muscles to tell them to move sends signals from your sense organs connects neurones to other neurones dendrites cell body axon myelin sheath nerve endings
  • 45.
    neurones communicate witheach other using a mixture of electrical & chemical signals cell body axon myelin sheath dendrites nerve endings nucleus an electrical signal is transmitted along the axon But what happens when the signal reaches the end of the axon?
  • 46.
    What do youthink can change neurons and their connections? • Accidents • Drugs • Alcohol • Disease
  • 47.
  • 48.
    Drugs and alcoholbind important receptors on neurons
  • 49.
  • 50.
    Alcohol damages dendrites- can repair after abstinence Alcohol blocks receptors and slows down transmission
  • 51.
    •Parkinson's Disease •ALS -Lou Gehrig’s Disease •Huntington’s Disease •Multiple Sclerosis •Alzheimer's •Cerebral Palsy •Epilepsy •? SIDS
  • 52.
    Facts-Did you know Wednesday,March 30, 2016 52 There are around 47 miles of nerves in your body. One nerve cell may be connected to 1000 more. Your nerve impulses can travel up to 390 feet per second. Thousands of nerve cells die each day
  • 53.
    What if neurons die here? orhereor here or here or here
  • 54.
    Transducers • Transducer – adevice that converts primary form of energy into other different energy form only for measurement purposes. • Primary Energy Forms: mechanical, thermal, electromagnetic, optical, chemical, etc. • Sensor – It is a wide term which covers almost everything from human eye to trigger of a pistol. – Senses the change in parameter(specific).
  • 55.
    CLASSIFICATION OF TRANSDUCERS Active & Passive Transducers  Analog & Digital Transducers  Primary & secondary Transducers  On the basis of principle used
  • 56.
    Active vs PassiveTransducers: Passive Transducers:  Add energy to the measurement environment as part of the measurement process.  Requires external power supply. Strain gauge, potentiometer & etc. Active Transducers :  Do not add energy as part of the measurement process but may remove energy in their operation.  Does not require external power supply Thermocouple, photo-voltaic cell & etc.
  • 57.
    ANALOG & DIGITALTRANSDUCERS ANALOG TRANSDUCER - The transducers which convert the input quantity into an analog output which is a continuous function of time. DIGITAL TRANSDUCERS - The transducers which convert the input quantity into digital form means in the form of pulses.
  • 58.
    PRIMARY vs SECONDARY TRANSDUCERS PRIMARY TRANSDUCERS - Some transducers contain the mechanical as well as electrical device. The mechanical device converts the physical quantity to be measured into a mechanical signal. Such mechanical device are called as the primary transducers.  SECONDARY TRANSDUCERS - The electrical device then convert this mechanical signal into a corresponding electrical signal. Such electrical device are known as secondary transducers
  • 59.
    CLASSIFICATION ON THEBASIS OF PRINCIPLE USED  Capacitive  Inductive  Resistive  Electromagnetic  Piezoelectric  Photoconductive  Photovoltaic
  • 60.
    Selecting a Transducer What is the physical quantity to be measured?  Which transducer principle can best be used to measure this quantity?  What accuracy is required for this measurement?  Fundamental transducer parameters  Physical conditions  Environmental conditions  Compatibility of the associated equipment  Reducing the total measurement error :  Using in-place system calibration with corrections performed in the data reduction  Artificially controlling the environment to minimize possible errors
  • 61.
    Transducers for PhysiologicalVariable Measurements • A variable is any quantity whose value changes with time. A variable associated with the physiological processes of the body is known as a physiological variable. • Physiological variables occur in many forms: as ionic potential, mechanical movements, hydraulic pressure ,flows and body temperature etc. • Different transducers are used for different physiological variables.
  • 62.
  • 63.
    Electrical Activity Measurement •Electrodes: – Electrodes convert ionic potential into electrical signals. – Used for EEG, ECG, EMG, ERG and EOG etc. – Different types of Electrodes are: 1) Surface Electrodes(no. Of muscles) These electrodes are used to obtain bioelectric potentials from the surface of the body. 2) Needle electrodes(specific to a muscle) These electrodes are inserted into body to obtain localized measurement of potentials from a specific muscle. 3) Microelectrodes(cellular level record) Electrodes have tips sufficiently small to penetrate a single cell in order to obtain readings from within cell.
  • 64.
    Electrical Activity Measurement(cont.) •Working of Electrodes: • When metal electrodes come in contact with electrolyte then ion-electron exchange takes place as a result of electro-chemical reaction. One cation M+ out of the electrolyte becomes one neutral atom M taking off one free electron from the metal One atom M out of the metal is oxidized to form one cation M+ and giving off one free electron e- to the metal.
  • 65.
    Half-cell potential Oxidation andreduction processes take place when metal comes in contact with Electrolyte . Net current flow is zero but there exists a potential difference depends upon the position of equilibrium and concentration of ions. That p.d. is known as half-cell potential. Over-potential If there is a current between the electrode and electrolyte then half-cell potential altered due to polarization is known as over-potential. Electrical Activity Measurement(cont.)
  • 66.
    Electrical Activity Measurement(cont.) Types ofElectrodes:  Perfectly Polarizable Electrodes - only displacement current, electrode behave like a capacitor example: noble metals like platinum Pt  Perfectly Non-Polarizable electrode - current passes freely across interface, - no overpotential examples: - silver/silver chloride (Ag/AgCl), - mercury/mercurous chloride
  • 67.
  • 68.
  • 69.
  • 70.
    Block Diagram ofECG Wednesday, March 30, 2016 70
  • 71.
    Effects of Artefactson ECG Recording Wednesday, March 30, 2016 71  Power Line Interference Shifting of the baseline Muscle tremors
  • 72.
    Types of ECGRecorder Wednesday, March 30, 2016 72  Single-channel Recorders  Three –channel Recorders  Vector electrocardiographs( vector-cardiography)  Electrocardiograph systems for stress testing  Electrocardiographs for computer processing  Continuous ECG recording (Holter Recording )
  • 73.
    Phonocardiograph (PCG) Wednesday, March30, 2016 73 • A Phonocardiogram is a recording of the heart sounds and murmurs. • Eliminates subjective interpretation of the heart sounds • Enables evaluation of the heart sounds and murmurs with respect to the electric and mechanical events in the cardiac cycle. • Evaluation of the result is based on the basis of changes in the wave shape and various timing parameters.
  • 74.
    74 • S1 –onset of the ventricular contraction • S2 – closure of the semilunar valves • S3 – ventricular gallop • S4 – atrial gallop • Other – opening snap, ejection sound • Murmurs Heart Sounds
  • 75.
    75 • The phonocardiographtransducer is a contact or air- coupled acoustical microphone held against the patient's chest (shown in fig). • Various types of microphones are used, but most are the piezoelectric crystal or dynamic type of construction. Microphones for Phonocardiography
  • 76.
    76 • The crystalmicrophone generally costs less and is more rugged than the dynamic type. • Also, the crystal microphone produces a larger output signal for a given level of stimulus • The dynamic microphone uses a moving coil coupled to the acoustical diaphragm. • The dynamic microphone is used when it is desirable to have a signal frequency response similar to that of the medical stethoscope. • An air-coupled microphone with a 2-s time constant is often used in apex phonocardiography. Microphones for Phonocardiography
  • 77.
    EEG Wednesday, March 30, 2016 77 Electrical Activity of the brain EEG electrodes are smaller than ECG It is an Effective method for diagnosing many neurological, disorder such as epilepsy, tumour etc.
  • 78.
  • 79.
    Brain Wave Classification Wednesday,March 30, 2016 79 EEG rhythms correlate with patterns of behavior (level of attentiveness, sleeping, waking, seizures, coma). Rhythms occur in distinct frequency ranges: Gamma: 20-60 Hz (“cognitive” frequency band) Beta: 14-20 Hz (activated cortex) Alpha: 8-13 Hz (quiet waking) Theta: 4-7 Hz (sleep stages) Delta: less than 4 Hz (sleep stages, especially “deep sleep”) Higher frequencies: active processing, relatively de-synchronized activity (alert wakefulness, dream sleep). Lower frequencies: strongly synchronized activity (nondreaming sleep, coma).
  • 80.
    Brain Wave Classification Wednesday,March 30, 2016 80 The period of High Frequency EEG that occurs during sleep is called Paradoxical sleep or REM (Rapid Eye Movement).
  • 81.
    Effects of Artefactson EEG Wednesday, March 30, 2016 81  Biological Artefacts  Eye Induced Artefacts  Cardiac Artefacts  Muscle Artefacts  Respiration Artefacts Physiological Artefacts  60 Hz Interference  EEG Electrodes  Environmental Artefacts Non Physiological Artefacts
  • 82.
    Block Diagram ofEEG Wednesday, March 30, 2016 82
  • 83.
    Evoked Potential Wednesday, March30, 2016 83 If an external stimulus is applied to the sensory area of brain, it responds by producing a electrical potential known as Evoked Potential.  Classification: Visual Evoked Potential Auditory Evoked Potential SomatoSensory Evoked Potential
  • 84.
    Blood Pressure Wednesday, March30, 2016 84 Blood pressure is indicates your heart health It is determined by the contractions of the heart Your pressure varies depending on the condition of your heart and blood vessels Pressure is measured in millimeters of mercury (mm Hg)
  • 85.
  • 86.
    86 Blood Pressure Risks 12/3/2013 •High blood pressure (hypertension) increases the risk of:  Chest pain (angina).  Heart attack.  Heart failure.  Kidney failure.  Stroke.  Blocked arteries in the legs or arms (peripheral arterial disease.  Eye damage .  Aneurysms (permanent cardiac or arterial dilatation).
  • 87.
  • 88.
    BMTS 353 88 Cont.Blood Pressure Risks 12/3/2013 • Low blood pressure (hypotension) increases the risk of:  Reduces the blood flow to the brain and other vital organs.  Dizziness or fainting.  Lack of concentration.  Blurred vision.  Fatigue.  Cold and clammy skin.  Rapid shallow breathing.
  • 89.
    Blood Pressure Measurement Blood pressure measurement techniques are generally put into two broad classes: 1) DIRECT TECHNIQUES Direct techniques of blood pressure measurement, which are also known as invasive techniques, involve a catheter to be inserted into the vascular system. eg. Percutaneos insertion, Catheterization etc 2) INDIRECT TECHNIQUES The indirect techniques are non-invasive, with improved patient comfort and safety, but at the expense of accuracy. eg. Sphygmomanometer, Rheographic Method, Oscillometric Method, Ultrasonic Doppler Method etc
  • 90.
    Blood Pressure (Sphygmomanometer/Auscultatoy Method) Wednesday, March 30, 2016 90
  • 91.
    Auscultatory Method (cont.) -)The observations differ from observer to another -) A mechanical error might be introduced into the system e.g. mercury leakage, air leakage, obstruction in the cuff etc. -) The observations do not always correspond with intra-arterial pressure -) Auscultatory tecnique cannot be used in noisy environment +) Auscultatory technique is simple and does not require much equipment ADVANTAGES DISADVANTAGES -) The technique does not give accurate results for infants and hypotensive patients
  • 92.
    March 30, 2016Blood Pressure - Biomedical Signal Processing Page 15 How to measure?  Non-invasive blood pressure  Auscultation  Oscillometry Mercury sphygmomanometer + stethoscope Mechanical manometer + stethoscope
  • 93.
    March 30, 2016Blood Pressure - Biomedical Signal Processing Page 17 The auscultation method
  • 94.
    March 30, 2016Blood Pressure - Biomedical Signal Processing Page 18 The auscultation method
  • 95.
    March 30, 2016Blood Pressure - Biomedical Signal Processing Page 19 The auscultation method Systolic BP Diastolic BP
  • 96.
    March 30, 2016Blood Pressure - Biomedical Signal Processing Page 20 The oscillometric method
  • 97.
    March 30, 2016Blood Pressure - Biomedical Signal Processing Page 21 The oscillometric method  It is based on the change of the magnitude of oscillation  MAP – Mean Arterial Pressure
  • 98.
    Oscillometric Method http://colin-europe.com/docpdfdemos/oscillo0104.wmv The intra-arterialpulsation is transmitted via cuff to transducer (e.g. piezo-electric) The arterial pressure oscillations (which can be detected throughout the measurement i.e. when P > SP and P < DP) are superimposed on the cuff pressure SP and DP are estimated from the amplitudes of the oscillation by using a (proprietary) empirical algorithm. cuff cuff The cuff pressure is deflated either linearly or stepwise
  • 99.
    Oscillometric Method (cont.) DISADVANTAGE -)Many devices use fixed algorithms leading to large variance in blood pressures +) In the recent years, oscillometric methods have become popular for their simplicity of use and reliability. ADVANTAGES +) MP can be measured reliably even in the case of hypotension
  • 100.
    Ultrasonic Method A transcutaneous(through the skin) Doppler sensor is applied here. The motion of blood-vessel walls in various states of occlusion is measured. The frequency difference between transmitted (8 MHz) and received signal is 40-500 Hz and it is proportional to velocities of the wall motion and the blood. The vessel opens and closes with each heartbeat when DP < P < SPcuff
  • 101.
    Ultrasonic Method (cont.) +)Can be also used in noisy environment ADVANTAGES & DISADVANTAGES +) Can be used with infants and hypotensive individuals -) Subject’s movements change the path from sensor to vessel As the cuff pressure is increased, the time between opening and closing decreases until they coincide Systolic pressure Again as the cuff pressure is decreased, the time between opening and closing increases until they coincide Diastolic pressure
  • 102.
  • 103.
    General Facts Direct measurement= Invasive measurement Used only when essential to determine the blood pressure continuously and accurately in dynamic circumstances A vessel is punctured and a catheter (a flexible tube) is guided in The most common sites are brachial and radial arteries but also other sites can be used e.g. femoral artery A division is made into extravascular and intravascular sensor systems This method is precise but it is also a complex procedure involving many risks….
  • 104.
    Extravascular Sensor The sensoris located behind the catheter and the vascular pressure is transmitted via this liquid-filled catheter. The ’normal’ measuring system The actual pressure sensor can be e.g. strain gage variable inductance variable capacitance optoelectronic piezoelectric, etc…
  • 105.
    Extravascular Sensor (cont.) Thehydraylic link is the major source of errors. The system’s natural frequency may be damped and degraded due (e.g.): too narrow catheter too long tubing various narrow connections air bubbles in the catheter The catheter-sensor system must be flushed with saline-heparine solution every few minutes in order to prevent blood from clotting at the tip. .
  • 106.
    Extravascular Sensor (cont.) Normallythe interesting frequency range is 0 – 100 Hz. If only MP is measured the bandwidth is 20 Hz (harmonics > 10 are ignored)
  • 107.
    Intravascular Sensor The sensoris located in the tip of the catheter. This way the hydraulic connection is replaced with an electrical or optical connection +) The frequency response is not limited by the hydraulic properties of the system. No time delay. -) Breaks easily -) More expensive +) Electrical safety and isolation when using fiber optics The dispacement of the diaphragm is measured
  • 108.
    Blood Pressure Blood pressureis an important signal in determining the functional integrity of the cardiovascular system. Scientists and physicians have been interested in blood pressure measurement for a long time.
  • 109.
    Transducers for BloodPressure Measurement Strain Gauges Resistance is related to length and area of cross-section of the resistor and resistivity of the material as By taking logarithms and differentiating both sides, the equation becomes Dimension al piezoresistanc e Strain gage component can be related by poisson’s ratio as
  • 110.
    Transducers for BloodPressure Measurement(cont.) Gage Factor of a strain gage G is a measure of sensitivity Think of this as a Transfer Function! Input is strain  Output is dR Put mercury strain gauge around an arm or chest to measure force of muscle contraction or respiration, respectively  Used in prosthesis or neonatal apnea detection, respectively Strain Gauges
  • 111.
    Transducers for BloodPressure Measurement(cont.) Strain Gauges
  • 112.
    Transducers for BloodPressure Measurement(cont.) An inductor is basically a coil of wire over a “core” (usually ferrous) It responds to electric or magnetic fields A transformer is made of at least two coils wound over the core: one is primary and another is secondary Primary Secondary Displacement Sensor Inductors and tranformers work only for ac signals Inductive Pressure Sensors ( LVDT)
  • 113.
    Transducers for BloodPressure Measurement(cont.) Capacitive Pressure Sensors When there is difference in P1 & P2 then diaphragm moves toward low pressure side and accordingly capacitance varies. So, capacitance becomes function of pressure and that pressure can be measured by using bridge ckt. It can be used for blood pressure measurent.
  • 114.
    Transducers for BloodPressure Measurement(cont.) Capacitive Pressure Sensors Pressure An example of a capacitive sensor is a pressure sensor. In parts a, the thin sensor diaphragm remains parallel to the fixed electrode and in part b, the diaphragm deflects under applied pressure resulting in capacitance change
  • 115.
    Transducers for BloodPressure Measurement(cont.) The other pressure sensing approach, characterized by a diaphragm in front of the fibre optic link, is based on the light intensity modulation of the reflected light caused by the pressure-induced position of the diaphragm. Fibre-optic pressure sensor
  • 116.
    116 Blood Flow • Bloodflow helps to understand basic physiological processes and e.g. the dissolution of a medicine into the body. • Blood flow and changes in blood volume, are usually correlated with concentration of nutrients and other substance in the blood. • Also, Blood Flow measurement reflects the concentration of O2.
  • 117.
    Blood Flow • Ameasure of the velocity of blood in a major vessel. In a vessel of known diameter , this can be calibrated as flow and is most successful accomplished in arterial vessels. Used to estimate heart output and circulation. Requires exposure of the vessel. Flow transducer surrounds vessel. Methods of measurement include • Electro-magnetic • Ultrasonic principles • Fibre-optic laser Doppler flowmetry • Thermal Convection • Blood Flow Determination by Radiographic Method
  • 118.
    Blood Flow Measurement •Based on Faraday’s law of induction that a conductor that moves through a uniform magnetic field, or a stationary conductor placed in a varying magnetic field generates emf on the conductor: • When blood flows in the vessel with velocity u and passes through the magnetic field B, the induced emf e measured at the electrodes is.   L de 0 LBu For uniform B and uniform velocity profile u, the induced emf is e=BLu. Flow can be obtained by multiplying the blood velocity u with the vessel cross section A. Electromagnetic Flow meters
  • 119.
    Blood Flow Measurement(cont.) ElectromagneticFlow meter Probes • Comes in 1 mm increments for 1 ~ 24 mm diameter blood vessels • Individual probes cost $500 each •Only used with arteries, not veins, as collapsed veins during diastole lose contact with the electrodes • Needless to say, this is an INVASIVE measurement!!! • A major advantage is that it can measure instantaneous blood flow, not just average flow.
  • 120.
    Blood Flow Measurement(cont.) UltrasonicFlow meters  Based on the principle of measuring the time it takes for an acoustic wave launched from a transducer to bounce off red blood cells and reflect back to the receiver.  All UT transducers, whether used for flowmeter or other applications, invariably consists of a piezoelectric material, which generates an acoustic (mechanical) wave when excited by an electrical force (the converse is also true)  UT transducers are typically used with a gel that fills the air gaps between the transducer and the object examined
  • 121.
    Blood Flow Measurement(cont.) UltrasonicFlow meters The Doppler blood-flow measurement Doppler blood flow detectors operate by means of continuous sinusoidal excitation. The frequency difference calibrated for flow velocity can be displayed or transformed by a loudspeaker into an audio output.
  • 122.
    122 Cont. Blood Flow Normalblood flow velocity 0,5 m/s 1 m/s (Systolic, large vessel)
  • 123.
  • 124.
    124 Ultrasonic Doppler Method BloodPressure • The blood cells in the fluid reflects the ultrasound signal with a shift in the ultrasonic frequency due to its movement. • In the recent years ultrasound contrast agents have been used in order to increase the echoes. c v ff cd 2 f = 2 – 10 MHzc c = 1500 - 1600 m/s (1540 m/s) f = 1,3 – 13 kHzd
  • 125.
    125 Laser Doppler Flowmetry BloodPressure • The principle of measurement is the same as with ultrasound Doppler. • The laser parameter may have e.g. the following properties: 5 mW He-Ne-laser 632,8 nm wavelength • The method is used for capillary (microvascular) blood flow measurements.
  • 126.
    (1) Bios current=> Thermister heating (2) T2 Thermister is cooled by thermal convection. Invasive, probe positioning is difficult. The stronger F gets, The sharper the temperatur is decreased. (cf.) respiratory monitoring by thermister Temp. of inspiration is 25˚C. Temp. of expiration is 36.5˚C. Thermal convection flowmeter
  • 127.
    Radiographic Method  Bloodis not normally visible on an X-ray image because it has about the same radio density as the surrounding tissue.  By the injection of a medium into the blood vessel, the circulation pattern can be made locally visible.  On a sequential record of the X- ray image, the progress of the contrast medium can be followed,obstructions can be detected and the blood flow in the blood vessels can be estimated known as CINE or ANGIOGRAPHY.
  • 128.
    128 Plethysmography Method (Strain Gage) BloodPressure Plethysmography means the methods for recording volume changes of an organ or a body part. • Strain gage is made of silicone rubber tubes, which are filled with conductive liquid (e.g. mercury) whose impedance changes with volume. • Venous occlusion cuff is inflated to 40 – 50 mmHg. In this way there will be the arterial inflow into the limb but no venous outflow.
  • 129.
    129 Plethysmography Method (Electric-Impedance) Blood Pressure •Different tissues in a body have a different resistivity. Blood is one of the best conductors in a body. • A constant current is applied via skin electrodes. • The change in the impedance is measured. • The accuracy is often poor.
  • 130.
    130 Plethysmography Method (Photoelectric) Blood Pressure •A beam of IR-light is directed to the part of the tissue which is to be measured for blood flow (e.g. a finger or ear lobe). • The blood flow modulates the attenuated / reflected light which is recorded. • The light that is transmitted / reflected is collected with a photo detector. Poor measure for changes in volume Very sensitive to motion artefacts Method is simple Heart rate is clearly seen
  • 131.
    Pulse sensors Heart ratemeasurement is one of the very important parameters of the human cardiovascular system. The heart rate of a healthy adult at rest is around 72 beats per minute (bpm). Basically, the device consists of an infrared transmitter LED and an infrared sensor photo-transistor. The transmitter-sensor pair is clipped on one of the fingers of the subject. The LED emits infrared light to the finger of the subject. The photo-transistor detects this light beam and measures the change of blood volume through the finger artery. This signal, which is in the form of pulses is then amplified and filtered suitably and is fed to a low-cost microcontroller for analysis and display
  • 132.
    Pulse Sensor(cont.) The microcontrollercounts the number of pulses over a fixed time interval and thus obtains the heart rate of the subject. Several such readings are obtained over a known period of time and the results are averaged to give a more accurate reading of the heart rate. The calculated heart rate is displayed on an LCD in beats-per-minute in the following format: Rate = nnn bpm
  • 133.
  • 134.
    134 Indicator Dilution Methods (DyeDilution) Blood Pressure • A bolus of indicator, a colored dye (indocyanine green), is rapidly injected in to the vessel. • The concentration is measured in the downstream • The blood is drawn through a colorimetric cuvette and the concentration is measured using the principle of absorption photometry.
  • 135.
    135 Indicator Dilution Methods (ThermalDilution) Blood Pressure • A bolus of chilled saline solution is injected into the blood circulation system (right atrium). • This causes decrease in the artery temperature. • Catheter-tip probes are used to measure the change in tempreture.
  • 136.
  • 137.
    CardiacOutput Cardiac Output isthe volume of blood pumped each minute, and is expressed by the following equation: • CO = SV xHR • Where: • CO is cardiac output expressed in L/min (normal ~5 L/min) • SV is stroke volume per beat • HR is the number of beats per minute
  • 140.
    140 Cardiac Output Measurement (FickTechnique) Blood Pressure
  • 141.
    141 Cardiac Output Measurement (FickTechnique) Blood Pressurehttps://www.youtube.com/watch?v=nAgmCoqAoPo
  • 142.
    Echocardiogram • An echocardiogramis a test in which ultrasound is used to examine the heart. • Displaying a cross-sectional "slice" of the beating heart, including the chambers, valves and the major blood vessels that exit from the left and right ventricle • M-mode • two- dimensional (2-D) Echo • Doppler Examination • 3-D echo
  • 143.
    What information does Echocardiographyand Doppler provide? • Size of the chambers of the heart • Pumping function of the heart • Valve Function • Volume status • Other Uses: fluid in the pericardium, congenital heart diseases, blood clots or tumors within the heart
  • 144.
  • 147.
    Electromyography(EMG) • Electromyogram (EMG)is a technique for evaluating and recording the activation signal of muscles. • EMG is performed by an electromyograph, which records an electromyogram. • Electromyograph detects the electrical potential generated by muscle cells when these cells contract and relax.
  • 148.
  • 149.
    ELECTRICAL CHARACTERITICS • The electricalsource is the muscle membrane potential of about -70mV. • Measured EMG potentials range between < 50 μV up to 20 to 30 mV, depending on the muscle under observation. • Typical repetition rate of muscle unit firing is about 7-20 Hz. • Damage to motor units can be expected at ranges between 450 and 780 mV
  • 150.
    ELECTRODE TYPES Intramuscular - NeedleElectrodes Extramuscular - Surface Electrodes
  • 151.
    EMG PROCEDURE • Cleanthe site of application of electrode; • Insert needle/place surface electrodes at muscle belly; • Record muscle activity at rest; • Record muscle activity upon voluntary contraction of the muscle.
  • 152.
    EMG Contd. • MuscleSignals are Analog in nature. • EMG signals are also collected over a specific period of time. Analog Signal
  • 153.
    EMG Contd. EMG processing: Amplification &Filtering Signal pick up Conversion of Analog signals to Digital signals Computer
  • 154.
    APPLICATION OF EMG •EMG can be used for diagnosis of Neurogenic or Myogenic Diseases. • You tube link of EMG
  • 155.
    155 Patient Care, Monitoringand Safety Measures Blood Pressure  The Patient Monitoring System (PMS) is a very critical monitoring systems, it is used for monitoring physiological signals including Electrocardiograph (ECG), Respiration , Invasive and Non-Invasive Blood Pressure, Oxygen Saturation in Human Blood (SpO2), Body Temperature and other Gases etc.  In PMS, the multiple sensor and electrodes is used for receiving physiological signals like as ECG Electrodes, SpO2Finger Sensor, Blood Pressure Cuff and Temperature Probe to measure the physiological signals.
  • 156.
    156 Patient Care, Monitoringand Safety Measures Blood Pressure  During treatment, it is highly important to continuously monitor the vital physiological signs of the patient. Therefore , patient monitoring systems has always been occupying a very important position in the field of medical devices.  The continuous improvement of technologies not only helps us transmit the vital physiological signs to the medical personnel but also simplifies the measurement and as a result raises the monitoring efficiency of patients.
  • 157.
    157 Classes of PatientMonitoring System Blood Pressure In the past, the dominant products manufactured by medical device manufacturers are mainly those for single parameter measurement. Nowadays however, a multi-parameter patient monitor is commonly used. 1.Single-Parameters Monitoring Systems 2.Multi-Parameter Patient Monitoring Systems
  • 158.
    158 Single Parameter MonitoringSystem Blood Pressure The single parameter monitoring system is available for measuring blood pressure of a human body, ECG (Electrocardiograph) monitor, SpO2 (Oxygen Saturation in Blood) monitor etc..
  • 159.
    159 Multi- Parameter MonitoringSystem Blood Pressure  A multi-parameter Patient Monitoring System (PMS) is used for multiple critical physiological signs of the patient to transmit the vital information like Electro cardiograph , Respiration Rate, Blood pressure etc. Therefore, multi parameter PMS has always been occupying a very significant position in the field of medical devices.  Most diseases of the heart and of the circulatory system , referred to as cardiovascular diseases, strike with out warning and prompt treatment is required .  Such treatment is best provided in a specialized area of hospital referred to as “intensive care unit.”(ICU).  These specialized hospital units provide constant observation of the subject, constant monitoring of the subject’s physiological condition and provide immediate emergency treatment whenever it is required.
  • 160.
    160 Three Important IntensiveCare Units Blood Pressure  Coronary intensive care: units used for treatment of diseases of the heart such as the heart attacks  Stroke intensive care: Units used for treatment of diseases of the circulatory system such as stroke.  Pulmonary intensive care units: Pulmonary intensive care unit s are used for treatment of respiratory diseases.
  • 161.
    161 PHYSIOLOGICAL FUNCTIONS TOBE MONITOR DURING INTENSIVE CARE UNIT Blood Pressure  Cardiac monitoring  Hemodynamic monitoring,  Respiratory monitoring  Neurological monitoring  Blood glucose monitoring  Childbirth monitoring  Body temperature
  • 162.
    ECG MONITORING • Theprincipal physiological signal monitored in an intensive care unit is often the electrocardiogram. The electrocardiogram is usually monitored in the lead-II configuration with two active electrodes. • These two electrodes are placed approximately 12inches apart along the maximum potential axis of the subject’s heart. • A third electrode (ground) should be located elsewhere on the chest. This electrocardiogram monitoring configuration is referred to as three-lead chest cluster. • The electrodes used for ECG monitoring during intensive care must be suited for long term monitoring applications. • The set of leads used for monitoring purpose is called ‘rhythm’ • strip and its purpose is just to note the heart beat and not for analyzing it.
  • 163.
    Blood Pressure Monitoring •The second physiological parameter often of prime importance in intensive care monitoring is blood pressure. • Korotkoff system-Riva-Rocci Method • Blood pressure can be monitored using the automatic cuff pump and Korotkoff microphone blood- pressure measurement system this system is occasionally used in intensive care units. , • It also possesses the disadvantage of it does not provide a continuous record of the subject’s blood pressure. • Thus, if for some reason the subjects blood pressure were to suddenly drop, this system may take some minutes or so to detect this pressure drop. •
  • 164.
    Blood Pressure Monitoring…… •PLETHYSMOGRAPH • Blood pressure monitoring with plethysmograph offers the least discomfort to the subject; however, it provides only a relative indication of the well being of the circulatory system rather than providing absolute values for diastolic and systolic pressure. • Digital blood pressure monitors are now-a-days often used in many intensive care units. Any intensive care unit may employ one or more of these techniques and indeed all three may be available if required.
  • 165.
  • 166.
    RESPIRATION MONITORING • Itis often desirable to monitor the subject’s respiratory activity during intensive care ; • this may be accomplished with thermistor pneumograph placed in the subject’s nostril. • BODY TEMPERATURE • • It is often also desirable to monitor body temperature in intensive care subjects via a rectal or armpit thermistor probe
  • 167.
  • 168.
    CENTRAL NURSE’S STATION…. •Multi connector cable connects the output form the four subject- monitoring sites located beside each intensive care bed to the central nurse’s station. • Each subject’s ECG is continuously displayed via a four channel CRT display. And also these signals are being recorded continuously on a memory loop tape recorder. • This tape recorder contains the previous one-minute ECG history for each subject by recording the ECG on a tape loop“one minute” in length
  • 170.
    Present Parameters inPatient Monitoring System • ECG 3/5/10 leads • Respiration • Invasive Blood Pressure (IBP) • Non Invasive Blood Pressure(NIBP) • Pulse Oxy Meter (SpO2)
  • 171.
  • 172.
    Hemodynamic monitoring • Cardiacoutput and flow rate ; • The heart is the driver of the circulatory system, pumping blood through rhythmic contraction and relaxation. • The rate of blood flow out of the heart meaning literally "blood flow, motion and equilibrium under the action of external forces", is the study of blood flow or the circulation. It explains the physical laws that govern the flow of blood in the blood vessels.
  • 173.
    Respiratory monitoring • Measurementof airway pressure (Paw), flow (F) and volume (Vol) during mechanical ventilation assists in the differential diagnosis of respiratory failure. Airway occlusion technique makes possible to carefully characterize the mechanics of the lung, chest wall, and the total respiratory monitoring system • Pulse oximetry ;which involves measurement of the saturated percentage of oxygen in the blood, referred to as SpO2, and measured by an infrared finger cuff, • Capnography ;, which involves CO2 measurements, referred to as (EtCO2) or end-tidal carbon dioxide concentration. The respiratory rate monitored as such is called AWRR or (airway respiratory rate).
  • 174.
    Neurological monitoring -EEG • Intracranial pressure. Also, there are special patient monitors which incorporate the monitoring of brain waves • Blood glucose meter ; is an electronic device for measuring the blood glucose level • Childbirth; also known as labour, delivery, birth,
  • 175.
    Body temperature monitoring •Body temperature" redirects here. For information regarding normal human body temperature,
  • 176.
    Components of Medicalmonitor • Sensor • Translating component • Display device • Communication links • Alarm
  • 177.
  • 178.
  • 179.
  • 180.
  • 181.
  • 182.
  • 183.
  • 184.
    Hospitals may haveICUs that cater to a specific medical specialty below using all medical monitor Neonatal intensive care unit (NICU) Pediatric intensive care unit (PICU) Psychiatric intensive care unit (PICU) Coronary care unit (CCU): Medical intensive care unit (MICU) Neurological intensive care unit (Neuro ICU) Trauma intensive care unit (Trauma ICU). Post-anesthesia care unit (PACU): Surgical Intensive Care Unit (SICU): Mobile Intensive Care Unit (MICU)
  • 185.
    Use of computersfor patient monitoring real-time monitoring Wherever you are – in the hospital, at home, or on the road – you have access to the patient information you need to make informed clinical decisions viaWeb and iPad access. IntelliVue Information Center iX offers virtually anywhere, anytime access to key patient monitoring information.
  • 186.
    Use of computersfor patient monitoring Automatic control Patient equipment Computer DBMS Reports Mouse and keyboard Display Transducers Clinician
  • 187.
    ICU Bed Bed BedBed Nursestation Telemetry WEB connection
  • 188.
    FUTURE TRENDS INPATIENT MONITORINGSY STEM • Blood Gas Analyzer • Drug Dosage calculator • Drug Management System • Wearable PMS • Telemetry / Telemedicine
  • 189.
    189 Patient Safety Blood Pressure The main objective of any healthcare system should be the safe progress of the patients through all parts of the system.  Harm from their care as well as from the environment in which it is carried out, must be avoided and risk minimized in care delivery processes.  Electrical shocks, burns and fire hazards caused by medical equipment are one of the highest risks that may harm the patient.  Electric shock: When the human body comes in contact with the live wire and an uninsulated electric power, the power flows naturally and easily through the body and we experience it as an E-shock.
  • 190.
    Electrical safety Medical proceduresusually expose the patient to more hazards than the typical home or workplace, because :- 1. In medical environments the skin and mucous membranes are frequently penetrated or altered. 2. There are many sources of potentially hazardous substances and energy forms that could injure either the patient or the medical staff. These sources of hazards include:-  fire, air, earth, water, chemicals, drugs, microorganisms  Waste products  Sound and electricity  Natural and unnatural disasters surroundings, gravity, mechanical stress  People responsible for acts of omission and operation
  • 191.
    Physiological effects ofelectricity  For a physiological effect to occur, the body must become part of an electric circuit. Current must enter the body at one point and leave at some other point  The magnitude of the current is equal to the applied voltage divided by the sum of the series impedances of the body tissues and the two interfaces at the entry points Three phenomena can occur when electric current flows through biological tissue: (1) Electric stimulation of excitable tissue (nerve and muscle) (2) Resistive heating of tissue (3) Electrochemical burns and tissue damage for direct current and very high voltages psychophysical and physiological effects of electrical current in humans:- 70 kg AWGNo.8copperwires
  • 192.
    psychophysical and physiologicaleffects of electrical current in humans:- Threshold of perception = the minimal current that an individual can detect. This threshold varies considerably among individuals and with the measurement conditions (wet or dry skin) Thresholds for dc current range from 2 to 10 mA, and slight warming of the skin is perceived (realized)
  • 193.
    Let-go current:- Is definedas the maximal current at which the subject can withdraw voluntarily. Involuntary contractions of muscles or reflex withdrawals is occur The minimal threshold for the let-go current is 6 mA Respiratory paralysis, pain, and fatigue:-  respiratory arrest has been observed at 18 to 22mA  Strong involuntary contractions of the muscles and stimulation of the nerves can be painful and cause fatigue if there is long exposure. psychophysical and physiological effects of electrical curren in humans:-
  • 194.
    Ventricular fibrillation Ventricular fibrillation:- Isa rapid and disorganized cardiac rhythm. If the magnitude of the current is sufficient to excite only part of the heart muscle and disrupted the heart rate The heart rate can rise to 300 beats/min The fibrillation does not stop when the current that triggered it is removed. Ventricular fibrillation is the major cause of death due to electric shock. The threshold for ventricular fibrillation for an average-sized human varies from about 75 to 400 mA Normal rhythmic activity returns only if a brief high-current pulse from a defibrillator is applied to depolarize all the cells of the heart muscle the cells relax together, a normal rhythm usually returns
  • 195.
    Body weight andfibrillation, duration of the current Several studies using animals of various sizes have shown that the fibrillation threshold increases with body weight Fibrillating current increases from 50 mA rms for 6 kg dogs to 130 mA rms for 24 kg dogs.
  • 196.
    196 Types of Shocks BloodPressure Gross Shock/Macro Shock: The current flows through the body of the subject ,e.g. as from arm to arm. Micro current Shock: The current passes directly through the heart wall. This is the case when cardiac catheters may be present in the heart chambers.
  • 197.
    Point of entry(macroshock and microshock) Macroshock:- When current is applied at two points on the surface of the body, only a small fraction of the total current flows through the heart (macroshock). The magnitude of current needed to fibrillate the heart is far greater when the current is applied on the surface of the body than it would be if the current were applied directly to the heart Microshock:- All the current applied through an intracardiac catheter flows through the heart small currents called microshocks can induce Ventricle fibrillation Current of about 20 µA can cause microshock . The widely accepted safety limit to prevent microshocks is 10 mA.
  • 198.
    Distribution of electricpower Electric power is needed in health-care facilities for :- 1. The operation of medical instruments 2. Lighting, maintenance appliances 3. Patient conveniences (such as television, hair curlers, and electric toothbrushes) 4. Clocks, nurse call buttons, and an endless list of other electric devices • So the first step on providing electrical safety is to control the availability of electric power and the grounds in the patients’ environment Safe distribution of power in health-care facilities:- High voltage (4800 V) enters the building— usually via underground cables
  • 200.
    Patients’ electrical environment A shock hazard exists between the two conductors supplying either a 240 V or a 120 V appliance.  Because the neutral wire on a 120 V circuit is connected to ground, a connection between the hot conductor and any grounded object poses a shock hazard.  Microshocks can occur if sufficient potentials exist between exposed conductive surfaces in the patients’ environment THE maximal potentials permitted between any two exposed conductive surfaces in the vicinity of the patient are specified by the 2006 NEC, Article 517- 15: 1. General-care areas, 500 mV under normal operation 2. Critical-care areas, 40 mV under normal operation Things must be done:- 1. All exposed conductive surfaces in the vicinity of the patient must be grounded at a single patient grounding point. 2. Periodic testing for continuity between the patient ground and all grounded surfaces is required 3. Each patient-bed location in general- care areas must have at least four single or two duplex receptacles ,the receptacle must be grounded 4. At least two branch circuits with separate automatic overcurrent devices must supply the location of each patient bed. 5. For critical-care areas at least six single or three duplex receptacles are required for each location of a patient bed
  • 201.
    Isolated-power systems Any groundfaults can posses hazard . A ground fault :- Is a short circuit between the hot conductor and ground that injects large currents into the grounding system.  Isolation of both conductors from ground is commonly achieved with an isolation transformer isolation transformer + line isolation monitor Measures the total possible resistive and capacitive leakage current (total hazard current) that would flow through a low impedance if it were connected between either isolated conductor and ground. When the total hazard current exceeds 3.7 to 5.0 mA for normal line voltage, a red light and an audible alarm are activated Checking the lines by the LIM can interfere with (ECG,EEG ,ect.) ,or it can trigger synchronized defibrillators
  • 202.
    Microshock hazards Leakage currents:- Smallcurrents (usually on µA) that flow between any adjacent insulated conductors that are at different potentials The leakage current in line operated equipment flows through: 1. The stray capacitance between the two conductors. 2. Resistive leakage current flows through insulation, dust, and moisture. If the ground wire is broken, then the chassis potential rises above ground, and a patient who touches the chassis and has a grounded electric connection to the heart may receive a micro shock
  • 203.
    Electrical-safety codes andstandards A code is a document that contains only mandatory requirements. A standard also contains only mandatory requirements, but compliance tends to be voluntary, and more detailed notes and explanations are given. Standards are designed for voluntary use and do not impose any regulations. However, laws and regulations may refer to certain standards and make compliance with them compulsory. A manual or guide is a document that is informative and tutorial but does not contain requirements
  • 204.
    Limits on LeakageCurrent Limits on Leakage Current for Electric Appliances one fault is applied to the equipment to see what happens
  • 205.
    Basic approaches toprotection against shock There are two fundamental methods of protecting patients against shock:- 1. The patient should be completely isolated and insulated from all grounded objects. 2. All sources of electric current and all conductive surfaces within reach of the patient can be maintained at the same potential, which is not necessarily ground potential  In practical neither of these approaches can be fully achieved so we used :-  Grounding system  Isolated power-distribution system  Ground-fault circuit interrupters (GFCI)  Reliable grounding for equipment  Reduction of leakage current  Double-insulated equipment  Operation at low voltages  Electrical isolation  Isolated heart connections For the power distribution  For the equipment
  • 206.
    Protection: power distribution Thepatient equipment grounding point is connected individually to all :- receptacle grounds Metal beds Metal door and window frames Water pipes Any other conductive surface. These connections should not exceed resistance of 0.15 Ω The difference in potential between receptacle grounds and conductive surfaces should not exceed 40 mV
  • 207.
    Chassis leakage current Chassisleakage current:- Leakage current emanating from the chassis should not exceed :- 500 mA for appliances with single fault not intended to contact patients . 300 mA for appliances that are intended for use in the patient care vicinity. These are limits on rms current for sinusoids from dc to 1 kHz, and they should be obtained with a current-measuring device of 1000 Ω or less Chassis leakage-current test
  • 208.
    Leakage current inpatient leads Limits on leakage current in patient leads should be 50 µA. Isolated patient leads must have leakage current that is less than 10 µA. leakage current between any pair of leads or between any single lead and all the other patient leads should be measured. Test for leakage current from patient leads to ground
  • 209.
    Test for leakagecurrent between patient leads Test for leakage current between patient leads leakage current between any pair of leads or between any single lead and all the other patient leads should be measured
  • 210.
  • 211.
  • 213.
    WHEN DO WENEED A PACEMAKER ??? • Bradycardia – a condition in which the heart beats too slowly – less than 60 beats per minute • Tachycardia – a condition in which the heart beats too fast – more than 80 beats per minute • Atrial fibrillation – the upper chambers of the heart beat rapidly
  • 214.
    WHAT IS APACEMAKER The basic parts : • Power source • Pulse generator • Electrodes