Akut Mezenter İskemi Dr Hakan Yanar İstanbul Üniversitesi  İstanbul Tıp Fakültesi  Genel Cerrahi Anabilim Dalı 16 Nisan 2009
Amaç İ n sidens Pa tofizyoloji Tanı Tedavi Tedavi algoritması
İnsidens 1-2/1000  hastaneye başvurularının %  1   gastrointestinal nedenle başvuruların Morbidit e K ardiopu lmoner, MOF Uzamış yatış süresi, TPN bağımlılığı, kısa barsak send, infeksiyonlar R ekürrens % 50 1  Ann Surg  2001;233(6):801-808 2  Ann Surg 1982;195:554-565 3  Ann Surg 1978;188;721-731 4  Ann Vasc Surg 2003;17:72-9
Cokkinis (1921):   “ occlusion of the mesenteric vessels is regarded as one of those conditions of which the diagnosis is impossible, the prognosis hopeless, and the treatment almost useless .” Cokkinis. AJ. Proc R. Soc Lond.B.Biol.Sci
Mortalite 1970………………… % 80-90  1990 ……………..… % 60-70   Erken tanı Anjiyografide gelişmeler  Kan akımı restorasyon tekniklerinde gelişme Second-look prosedürler Yoğun bakım koşullarında artan kalite Duron JJ  et al.  Chirurgie 1998; 123:335-342. Mamode N  et al . Eur J Surg 1999; 165:203-208. Seshadri PA  et al . Surg Laparosc Endosc Percutan Tech 1999; 9:286-289
J Vasc Surg 2002;35:445-52
Patofizyoloji : E tyoloji Oklüzif ya da nonoklüzif  m ekanizma ->mezenterik damarlarda hipoperfüzyon Arter iye l  e mboli  Arteri ye l  t romboz Venöz tromboz Non-o klüziv mezenterik iskemi
Patofizyoloji Arteri ye l Emboli Olguların (>%50): SMA  oklüzyonu Lo kalizasyon :  Kolika media orjininde  (pro ksim al jejun u m  ->  spleni k  fle ks ur a ) Emboli  kaynağı:   K ardia k  (%80), aorti k  pla klar Çöliak ve  IMA o klüzyonları genelde tolere edilebilir
Patofizyoloji Arteri ye l  Tromboz %   15 At ero sklerotik hastalık K roni k  me z ente rik  i skemi SMA   ostium  S e mptom lar geç
Patofizyoloji Ven öz   T romboz %   5-10 Genç hasta populasyonu %80   h i per k oag ülabilite-> Risk fa k t örleri :  OK ,  geçirilmiş  DVT/PE, mali gnite , portal HTN,  nefrotik sendrom
 
 
 
Patofizyoloji Non-O k lu ziv hastalık   % 20-30   Sistemik hipoperfüzyona cevap  Viseral  VK/ cerebral  perfüzyon ->  şant Nedenler :  ciddi sistemik hastalıklar ,  Kr KC hast,  deh i dr atasyon ,  ilaçlar  ( k o kain , ergot alkaloid leri , di jital ,  β -blo kerler ,   α -agonist ) ,  hemodializ
Risk Fa ktörleri J Vasc Surg 2002;35:445-52
Risk Fa ktörleri Ann Surg 2001;233(6):801-808
Risk fa ktörleri Ann Surg 2001;233(6):801-808
Fizik Muayene Arteriyel  emboli,  NOMİ Şiddetli karın ağrısı Ani başlangıç Venöz tromboz Daha az şiddetli karın ağrısı Subakut başlangıç
Labora tuvar Sınırlı  Lökositoz   A rte riyel  la ktat A m ilaz CK, CK -BB Serum  fosfat Diğer : LDH, PAF, TNF- α , AST/ALT,  α -glutathione
Klinik prezentasyon Ann Vasc Surg 2003;17:72-79
Klinik prezentasyon Ann Surg 2001;233(6):801-808
Tanı Önceki yıllar:  klinik tanı, konvansiyonel anjiografi ,  DPL Günümüzde:  BT anjiografi,  Sensitivit e :  %  96 Multidetektör - multislice  Spe s i f i te : %   94 Avantajlar Vasküler anatomi Ayırt edici tan ı
BT Anjiografi: Multidete k t ö r  BT akut ve kronik mezenterik iskeminin tanısında idealdir   Horton KM, et al.  Radiol Clin North Am. 2007 Mar;45(2):275-88. Review
BT bulguları Kirkpatrick IDC et al., Radiology 2003 Pneumatosis intestinalis 11 0 42 100 Arterial embolism 3 0 12 100 SMA or portal venous gas 3 0 12 100 Focal lack of bowel wall 11 1 42  97 enhancement Free intraperitoneal air 5 2 19 94 Mesenteric vein thrombosis 4 2 15 94 Bowel dilatation 17 6 65 83 Bowel wall thickening 22   10   85   72 CT Finding  n=26  n=36  (%)  (%) Patients with AMI  Control Group  Sensitivity  Specifity
CTA: SMA Emboli
SMV Trombozu
Dupplex SMA  da h igh-grade steno z   yada  oklüzyon SMA steno z -> Sensitivit e :  %   96  (1993)  Prospe ktif , n=100 Cerrahi konfirme edilmiş  emboli/t rombus SMA steno z /o klüzyon   -> Sensitivit e :  %   100  (1999) Spe sifite :  98% n =82, prospe k ti f Anjiografi ile konfirme 1  J Vasc Surg 1993;17:780-788 2  Radiol 1999;211:405-410
Anjiografi Vasküler anatomi- kolleteraller R evas külarizasyon p lan ı Trombolitik, VD tedavi 1  Ann Surg 2001;233(6):801-808
 
 
Tedavi Suportif: IV  sıvı Kardiak destek Geniş spektrumlu antibiyotik  ( veri yok ) Na z ogastri k  de k omp resyon
Kan akımı restorasyonu : Trombolitik tedavi ya da cerrahi trombektom i Non viable dokuların rezeksiyon anastomoz / stoma Laparoskopik second look
Doku  pla z mino j en a k tivat örü  (tPA) ……… trombolitik  MI ve stroke ta etkinliği ispatlanmış
Alternatif / Neoadjuvan
Trombolitik tedavi  (rt-PA )  Mezenter arter kateteriz asyondan  re k ombinant  doku plazm ino j en a k tivat ö r ü  (rt-PA )  5   mg bolus 10 dakika içinde , 1-1.5  mg /st  perfüzyon en fazla 24  saat  T rombolitik tedavi sonrası  (ya rı ömrü 20 d k)  ameliyat yapılabilir  A ritmi  veya  tansiyon değişikl iğine  yol açabilmeleri nedeni ile monitorize hastalarda uygulanmalıdır.
Trombolitik tedavi etkinliği Prim er: Anjiografik başarı Se k ond er: Klinik başarı peritonit ve karın ağrısı  Ter siyer: Laparoskopik olarak iskeminin gerilemesi
t-PA öncesi 24 saat sonra
Cerrahi embolektomi ± rezeksiyon
 
 
???
Second look 1965 yılında Shaw….second-look laparotomi  Tromboembolektomi sonrası barsak canlılığı? veya anastomoz? Açık ya da laparoskopik? Shaw RS. Current Surgical Management. Philadelphia:  W. B. Sounders Company, 1965, p 509.
Anadol  ve ark.  açık   ve laparoskopik second look   Açık SL:  41  hasta ,  karın kapatıldı- relaparatomi  Lap SC:  36  hasta ,  port bırakıldı  Açık SL: R e-laparotomi  %70 gereksiz   Lap SC: %8 re-rezeksiyon gerekti ve hastaların %87 gereksiz laparotomiden kurtuldu. Anadol AZ,  et al.  Surg Laparosc Endosc Percutan Tech   2004;  14 : 191-193  
Laparoscopic  management  of  A MI Minor ischemia Necrosis Complete  resolution
World Journal of Gastroenterology  2007 Jun 28;13(24):3350-053.
 
Second-look laparos k op i / t-PA M inimal inva z iv,  basit, tanı ve tedavi amaçlı  Gereksiz laparotomiyi önler Hasta başında  YBÜ de uygulanabilir ne zaman yapılacağı ??? t-PA rezeke edilen barsak segmentini kısaltarak kısa barsak sendromu gelişimine engel olabilir.
Non viable dokuların rezeksiyonu + anastomoz / stoma
5. Gün 7. Gün
7. Gün Duodeno- ileostomi Transvers kolon Duodenum  İleum
 
 
F.T.  70/E Şikayet :Karın ağrısı Hikaye: 3 gündür devam eden karın  a ğrısı  Ek hastalık: İskemik kalp hastalığı ve HT Kullandığı ilaçlar :  Co-diovan tb  FM:  TA:130/70 Nb:84,sol alt kadranda hassasiyet (+) defans (-) rebound(-) barsak sesleri dört kadranda normoaktif  Lab: Lök:22.000   Hb:8,6 Hct:29,7 PLT:367000 BK:Normal Lac:1,2 Direk Grafiler:  İnce barsak tipi hava sıvı seviyeleri
KLİNİK Yapılan tetkiklerinde SMA distalinde parsiyel trombüs saptanması üzerine diagnostik laparoskopi yapıldı. Low flow state saptandı .
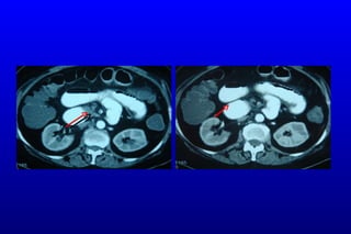
Çölyak trunkus Süperior mezenterik arter
Hastaya  anjiografi yapıldı. SMA total oklüde / çölyak trunkusta %90-95 darlık saptandı. Çölyak trunkustaki darlığa stent uygulandı.
Süperior mezenterik arter Çölyak trunkus
Çölyak trunkusa stent sonrası
Hasta ameliyata alınarak  second look  yapıldı. Laparoskopik e xp.  da terminal ileumdan 20 cm proksimale kadar peteşial alanlar tespit edildi. Hastanın perop ST  depresyonları olması üzerine yapılan tetkiklerinde akut koroner sendrom tespit edildi. Hastaya heparin infüzyonu başlandı.
Çekum Terminal ileum
Hastaya üçüncül bakı yapıldı. Laparoskopik eksplorasyonda iskeminin kaybolduğu görüldü.
Üçüncül Bakı Terminal ileum Apandiks Çekum Terminal ileum
T.A.  55/K Şikayet:  K arın ağrısı Hikaye: 3 gündür devam eden karın  a ğrısı  Ek hastalık:   HT ve atrial fibrilasyon  Kullandığı ilaçlar :  Tarka 180 mg tb 1x1 Coumadin tb 1x1 FM:  TA:130/70 Nb:84,   sol alt kadranda hassasiyet (+) defans (-) rebound(-) barsak sesleri dört kadranda normoaktif  Lab: Lök:15600   Hb:8,6 Hct:29,7 PLT:367000 BK:Normal l a ktat :2,8  Batın BT anjio:  SMA distalinde parsiyel trombüs ve ince barsak tipi hava sıvı seviyeleri
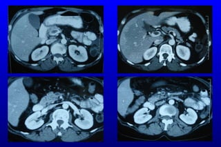
KLİNİK 15/03/2009 :Hasta acil cerrahi kliniğine kabul edildi. Yapılan tetkiklerinde SMA distalinde parsiyel trombüs saptanması üzerine diagnostik laparoskopi yapıldı. Low flow state saptandı. Ameliyat sonrası anjiografi yapılarak tPA  uygulandı. İşlem sonrası yoğun bakıma alınan hastanın sorunu olmadı. 16/03/2009 :Hastaya kontrol anjiografi yapıldı parsiyel trombüs görüntüsü devam ediyor. Hastaya tedavi dozunda DMAH başlandı.
 
 
tPA öncesi tPA sonrası
17/03/2009 :Hasta ameliyata alınarak ikincil bakı yapıldı. Laparoskopik eksplorasyonda ince barsaklarda skip tarzında iskemik alanlar saptandı. Üçüncül bakı yapılasına karar verildi.
İKİNCİL BAKI
19/03/2009 :Hastaya üçüncül bakı yapıldı. Laparoskopik eksplorasyonda iskeminin kaybolduğu görüldü.Hasta ekstübe edildi. Takiplerinde sorunu olmadı.
ÜÇÜNCÜ BAKI
22/03/2009:Hastanın takiplerinde vital bulguları stabil olması üzerine hasta servise alındı.Lok:12,000 CRP:292,5 Lac:2,7 BE:4,8
 
TEŞEKKÜRLER…

Akut mezenter iskemi

  • 1.
    Akut Mezenter İskemiDr Hakan Yanar İstanbul Üniversitesi İstanbul Tıp Fakültesi Genel Cerrahi Anabilim Dalı 16 Nisan 2009
  • 2.
    Amaç İ nsidens Pa tofizyoloji Tanı Tedavi Tedavi algoritması
  • 3.
    İnsidens 1-2/1000 hastaneye başvurularının % 1 gastrointestinal nedenle başvuruların Morbidit e K ardiopu lmoner, MOF Uzamış yatış süresi, TPN bağımlılığı, kısa barsak send, infeksiyonlar R ekürrens % 50 1 Ann Surg 2001;233(6):801-808 2 Ann Surg 1982;195:554-565 3 Ann Surg 1978;188;721-731 4 Ann Vasc Surg 2003;17:72-9
  • 4.
    Cokkinis (1921): “ occlusion of the mesenteric vessels is regarded as one of those conditions of which the diagnosis is impossible, the prognosis hopeless, and the treatment almost useless .” Cokkinis. AJ. Proc R. Soc Lond.B.Biol.Sci
  • 5.
    Mortalite 1970………………… %80-90 1990 ……………..… % 60-70 Erken tanı Anjiyografide gelişmeler Kan akımı restorasyon tekniklerinde gelişme Second-look prosedürler Yoğun bakım koşullarında artan kalite Duron JJ et al. Chirurgie 1998; 123:335-342. Mamode N et al . Eur J Surg 1999; 165:203-208. Seshadri PA et al . Surg Laparosc Endosc Percutan Tech 1999; 9:286-289
  • 6.
    J Vasc Surg2002;35:445-52
  • 7.
    Patofizyoloji : Etyoloji Oklüzif ya da nonoklüzif m ekanizma ->mezenterik damarlarda hipoperfüzyon Arter iye l e mboli Arteri ye l t romboz Venöz tromboz Non-o klüziv mezenterik iskemi
  • 8.
    Patofizyoloji Arteri yel Emboli Olguların (>%50): SMA oklüzyonu Lo kalizasyon : Kolika media orjininde (pro ksim al jejun u m -> spleni k fle ks ur a ) Emboli kaynağı: K ardia k (%80), aorti k pla klar Çöliak ve IMA o klüzyonları genelde tolere edilebilir
  • 9.
    Patofizyoloji Arteri yel Tromboz % 15 At ero sklerotik hastalık K roni k me z ente rik i skemi SMA ostium S e mptom lar geç
  • 10.
    Patofizyoloji Ven öz T romboz % 5-10 Genç hasta populasyonu %80 h i per k oag ülabilite-> Risk fa k t örleri : OK , geçirilmiş DVT/PE, mali gnite , portal HTN, nefrotik sendrom
  • 11.
  • 12.
  • 13.
  • 14.
    Patofizyoloji Non-O klu ziv hastalık % 20-30 Sistemik hipoperfüzyona cevap Viseral VK/ cerebral perfüzyon -> şant Nedenler : ciddi sistemik hastalıklar , Kr KC hast, deh i dr atasyon , ilaçlar ( k o kain , ergot alkaloid leri , di jital , β -blo kerler , α -agonist ) , hemodializ
  • 15.
    Risk Fa ktörleriJ Vasc Surg 2002;35:445-52
  • 16.
    Risk Fa ktörleriAnn Surg 2001;233(6):801-808
  • 17.
    Risk fa ktörleriAnn Surg 2001;233(6):801-808
  • 18.
    Fizik Muayene Arteriyel emboli, NOMİ Şiddetli karın ağrısı Ani başlangıç Venöz tromboz Daha az şiddetli karın ağrısı Subakut başlangıç
  • 19.
    Labora tuvar Sınırlı Lökositoz A rte riyel la ktat A m ilaz CK, CK -BB Serum fosfat Diğer : LDH, PAF, TNF- α , AST/ALT, α -glutathione
  • 20.
    Klinik prezentasyon AnnVasc Surg 2003;17:72-79
  • 21.
    Klinik prezentasyon AnnSurg 2001;233(6):801-808
  • 22.
    Tanı Önceki yıllar: klinik tanı, konvansiyonel anjiografi , DPL Günümüzde: BT anjiografi, Sensitivit e : % 96 Multidetektör - multislice Spe s i f i te : % 94 Avantajlar Vasküler anatomi Ayırt edici tan ı
  • 23.
    BT Anjiografi: Multidetek t ö r BT akut ve kronik mezenterik iskeminin tanısında idealdir Horton KM, et al. Radiol Clin North Am. 2007 Mar;45(2):275-88. Review
  • 24.
    BT bulguları KirkpatrickIDC et al., Radiology 2003 Pneumatosis intestinalis 11 0 42 100 Arterial embolism 3 0 12 100 SMA or portal venous gas 3 0 12 100 Focal lack of bowel wall 11 1 42 97 enhancement Free intraperitoneal air 5 2 19 94 Mesenteric vein thrombosis 4 2 15 94 Bowel dilatation 17 6 65 83 Bowel wall thickening 22 10 85 72 CT Finding n=26 n=36 (%) (%) Patients with AMI Control Group Sensitivity Specifity
  • 25.
  • 26.
  • 27.
    Dupplex SMA da h igh-grade steno z yada oklüzyon SMA steno z -> Sensitivit e : % 96 (1993) Prospe ktif , n=100 Cerrahi konfirme edilmiş emboli/t rombus SMA steno z /o klüzyon -> Sensitivit e : % 100 (1999) Spe sifite : 98% n =82, prospe k ti f Anjiografi ile konfirme 1 J Vasc Surg 1993;17:780-788 2 Radiol 1999;211:405-410
  • 28.
    Anjiografi Vasküler anatomi-kolleteraller R evas külarizasyon p lan ı Trombolitik, VD tedavi 1 Ann Surg 2001;233(6):801-808
  • 29.
  • 30.
  • 31.
    Tedavi Suportif: IV sıvı Kardiak destek Geniş spektrumlu antibiyotik ( veri yok ) Na z ogastri k de k omp resyon
  • 32.
    Kan akımı restorasyonu: Trombolitik tedavi ya da cerrahi trombektom i Non viable dokuların rezeksiyon anastomoz / stoma Laparoskopik second look
  • 33.
    Doku plaz mino j en a k tivat örü (tPA) ……… trombolitik MI ve stroke ta etkinliği ispatlanmış
  • 34.
  • 35.
    Trombolitik tedavi (rt-PA ) Mezenter arter kateteriz asyondan re k ombinant doku plazm ino j en a k tivat ö r ü (rt-PA ) 5 mg bolus 10 dakika içinde , 1-1.5 mg /st perfüzyon en fazla 24 saat T rombolitik tedavi sonrası (ya rı ömrü 20 d k) ameliyat yapılabilir A ritmi veya tansiyon değişikl iğine yol açabilmeleri nedeni ile monitorize hastalarda uygulanmalıdır.
  • 36.
    Trombolitik tedavi etkinliğiPrim er: Anjiografik başarı Se k ond er: Klinik başarı peritonit ve karın ağrısı Ter siyer: Laparoskopik olarak iskeminin gerilemesi
  • 37.
    t-PA öncesi 24saat sonra
  • 38.
  • 39.
  • 40.
  • 41.
  • 42.
    Second look 1965yılında Shaw….second-look laparotomi Tromboembolektomi sonrası barsak canlılığı? veya anastomoz? Açık ya da laparoskopik? Shaw RS. Current Surgical Management. Philadelphia: W. B. Sounders Company, 1965, p 509.
  • 43.
    Anadol veark. açık ve laparoskopik second look Açık SL: 41 hasta , karın kapatıldı- relaparatomi Lap SC: 36 hasta , port bırakıldı Açık SL: R e-laparotomi %70 gereksiz Lap SC: %8 re-rezeksiyon gerekti ve hastaların %87 gereksiz laparotomiden kurtuldu. Anadol AZ, et al. Surg Laparosc Endosc Percutan Tech 2004; 14 : 191-193  
  • 44.
    Laparoscopic management of A MI Minor ischemia Necrosis Complete resolution
  • 45.
    World Journal ofGastroenterology 2007 Jun 28;13(24):3350-053.
  • 46.
  • 47.
    Second-look laparos kop i / t-PA M inimal inva z iv, basit, tanı ve tedavi amaçlı Gereksiz laparotomiyi önler Hasta başında YBÜ de uygulanabilir ne zaman yapılacağı ??? t-PA rezeke edilen barsak segmentini kısaltarak kısa barsak sendromu gelişimine engel olabilir.
  • 48.
    Non viable dokularınrezeksiyonu + anastomoz / stoma
  • 49.
  • 50.
    7. Gün Duodeno-ileostomi Transvers kolon Duodenum İleum
  • 51.
  • 52.
  • 53.
    F.T. 70/EŞikayet :Karın ağrısı Hikaye: 3 gündür devam eden karın a ğrısı Ek hastalık: İskemik kalp hastalığı ve HT Kullandığı ilaçlar : Co-diovan tb FM: TA:130/70 Nb:84,sol alt kadranda hassasiyet (+) defans (-) rebound(-) barsak sesleri dört kadranda normoaktif Lab: Lök:22.000 Hb:8,6 Hct:29,7 PLT:367000 BK:Normal Lac:1,2 Direk Grafiler: İnce barsak tipi hava sıvı seviyeleri
  • 54.
    KLİNİK Yapılan tetkiklerindeSMA distalinde parsiyel trombüs saptanması üzerine diagnostik laparoskopi yapıldı. Low flow state saptandı .
  • 55.
  • 56.
    Hastaya anjiografiyapıldı. SMA total oklüde / çölyak trunkusta %90-95 darlık saptandı. Çölyak trunkustaki darlığa stent uygulandı.
  • 57.
  • 58.
  • 59.
    Hasta ameliyata alınarak second look yapıldı. Laparoskopik e xp. da terminal ileumdan 20 cm proksimale kadar peteşial alanlar tespit edildi. Hastanın perop ST depresyonları olması üzerine yapılan tetkiklerinde akut koroner sendrom tespit edildi. Hastaya heparin infüzyonu başlandı.
  • 60.
  • 61.
    Hastaya üçüncül bakıyapıldı. Laparoskopik eksplorasyonda iskeminin kaybolduğu görüldü.
  • 62.
    Üçüncül Bakı Terminalileum Apandiks Çekum Terminal ileum
  • 63.
    T.A. 55/KŞikayet: K arın ağrısı Hikaye: 3 gündür devam eden karın a ğrısı Ek hastalık: HT ve atrial fibrilasyon Kullandığı ilaçlar : Tarka 180 mg tb 1x1 Coumadin tb 1x1 FM: TA:130/70 Nb:84, sol alt kadranda hassasiyet (+) defans (-) rebound(-) barsak sesleri dört kadranda normoaktif Lab: Lök:15600 Hb:8,6 Hct:29,7 PLT:367000 BK:Normal l a ktat :2,8 Batın BT anjio: SMA distalinde parsiyel trombüs ve ince barsak tipi hava sıvı seviyeleri
  • 64.
    KLİNİK 15/03/2009 :Hastaacil cerrahi kliniğine kabul edildi. Yapılan tetkiklerinde SMA distalinde parsiyel trombüs saptanması üzerine diagnostik laparoskopi yapıldı. Low flow state saptandı. Ameliyat sonrası anjiografi yapılarak tPA uygulandı. İşlem sonrası yoğun bakıma alınan hastanın sorunu olmadı. 16/03/2009 :Hastaya kontrol anjiografi yapıldı parsiyel trombüs görüntüsü devam ediyor. Hastaya tedavi dozunda DMAH başlandı.
  • 65.
  • 66.
  • 67.
  • 68.
    17/03/2009 :Hasta ameliyataalınarak ikincil bakı yapıldı. Laparoskopik eksplorasyonda ince barsaklarda skip tarzında iskemik alanlar saptandı. Üçüncül bakı yapılasına karar verildi.
  • 69.
  • 70.
    19/03/2009 :Hastaya üçüncülbakı yapıldı. Laparoskopik eksplorasyonda iskeminin kaybolduğu görüldü.Hasta ekstübe edildi. Takiplerinde sorunu olmadı.
  • 71.
  • 72.
    22/03/2009:Hastanın takiplerinde vitalbulguları stabil olması üzerine hasta servise alındı.Lok:12,000 CRP:292,5 Lac:2,7 BE:4,8
  • 73.
  • 74.

Editor's Notes

  • #3 150 yıl önce tanımlanmış ancak 30 gün mortalite günümüzde %32-60 arasında. Bu oran sadece gecikmiş tanı ve eşlik eden hastalıklardan değil barsak iskemisinin lokal ve sistemik etkilerinden kaynaklanır. Barsaklar low flow sonrası metabolik, hormaonal ve vazoaktif düzenleyici görevlerini yerine getiremez.
  • #4 Why worry about it? TPN dependence 30% Early diagnosis improved these rates and hallmark of care of these patients Incidence likely to increase with care of older population Underestimation: subclinical disease Mortality high because diagnosis made after infarciton, gut damage proceeds even after revascularization, concomitant medcal problems and poor distal mesenteric circulation
  • #15 Can become irreversible even after cause reversed (esp in presence of atherosclerotic disease). Often stenotitc arteries present (acute on chronic disease)
  • #20 Limited clinical utility due to low sensitivity, low specificity, and markers only appear after gut infarction.
  • #23 pneumatosis venous gas SMA/celiac/IMA occlusion w/distal disease arterial embolism OR bowel wall thickening + one of following: lack of bowel wall enhancement solid organ infarction venous thrombosis
  • #34 In 1996 the U.S. Food and Drug Administration (FDA) approved the use of tPA to treat ischemic stroke in the first three hours after the start of symptoms.
  • #38 Kontrol angiografi: SMA’ da %70 rekanalizasyon, proksimal jejunal ve ileokolik dalların açıldığı görüldü
  • #44 Department of Surgery, School of Medicine, Gazi University, Ankara