TRAVMATİK DUODENUM ve PANKREAS YARALANMALARINA YAKLAŞIMDr. Hakan Yanarİstanbul Tıp Fakültesi Genel Cerrahi Anabilim Dalı
Çıkar çatışması açıklamasıHiçbir biyomedikal ya da ilaç firması ile finansal ya da finansal olmayan bir ilişkim yokturBu kongre için kongre katılımı ve konaklama giderlerim “Ulusal Cerrahi Derneği” tarafından, ulaşım giderlerim “kendim” tarafından karşılanmıştır
DUODENAL YARALANMA“Uncommon, but unforgiving”Nadir ama affetmez !!!Sessiz, atlanabilir, ölümcül !!!Mortalite:%6 -29Sıklıkla= erken dönem yandaş yaralanmalar nedeni ileMorbidite:%30-%60 Ivatury R, et al. Ann Surg 56(2):90-95,1990Martin T, et al. Arch Surg 118:631-635,1983
1881  Larreypenetranduodenal yaralanmada ilk başarılı tedavi1886 Herczelküntduodenalrüptürde başarılı cerrahi tedavi
Çalışmalar– Duodenal YaralanmaDegiannis E, World J Surg,1993Ballard RB, J Trauma, 1997Fang J, J Trauma, 1998Fang JF, Eur J Surg, 1999Velmahos GC, Am Surg, 1999Ladd AP, Surgery, 2002Jansen M, Injury, 2002Asensio JA, JACS, 2003BlocksomJM, Am Surg, 2004Lopez P, Am Surg, 2005Talving P, World J Surg, 2006Seamon MJ, J Trauma, 2007Velmahos GC, World J Surg, 2007Lucas CE, J Trauma, 1975Graham JM, J Trauma, 1979Stone HH, J Trauma, 1979Flint LM, Ann Surg, 1980Snyder WH 3rd, Arch Surg, 1983Kashuk JL, Surgery, 1982Martin TD, Arch Surg, 1983Levison MA, J Trauma, 1984Ivatury RR, Ann Surg, 1985Feliciano DV, Ann Surg, 1987Flynn WJ Jr, Arch Surg, 1990Cogbill TH, J Trauma, 1990Buck JR, Am Surg, 1992
SıklıkMekanizmaRetroperitoneal yerleşimAbdominal travmaların %3-5 inde%75 penetran%25 küntDemetriades D &Asensio JA: 2000,TraumaManagementYandaş yaralanma%85
Anatomik lokalizasyonEn sık duodenum 2. kıta: %333. ve 4. kısım: %20Birinci kısım: %14Multipl: %14Asensio JA, et al. Textbook of Trauma 2001
TanıAnamnez
Serum amilazı sıklıkla ↑↑
Amilaz ile yaralanma ciddiyeti arasında korelasyon YOK
Gastrografin ile duodenumdan kaçak
BT- pankreas çevresi, retroperitoneal serbest hava, kontrast ekstravazasyonuTanıDÜZ GRAFİAlt torasik- Üst lombervertebra kırığı
Sağ psoas kası boyunca veya sağ böbrek hizasında hava
TanıUSGKarın içi serbest sıvıERCP ve MRCPPankreastan kontrast ekstravazasyonuBTEkstraperitoneal sıvı
Lasser Sac’da sıvı
Hematom
Anteriorrenalfasyanın kalınlaşması veya kopması
Duodenum yaralanması  evrelemeEvre    Yaralanma tipi   YaralanmaI	HematomDuodenumbir bölümünde lokalizeLaserasyonDuodenum duvarının kısmi yaralanmasıII	Hematom	Birden fazla duodenum bir bölümü kapsayanLaserasyonDuodenum çapının %50 den azındaIII	LaserasyonDuodenum II. bölümde çapın %50-75                                                 D1, D3, D4 bölümde çapın %50-100 i IV             Laserasyon            D2 lümen çapının >%75’i Ampullave distal safra yollarını içerenV	LaserasyonDuodenopankreatikkompleksin bozulmasıDuodenumundevaskülarizasyonu(AAST Organ InjuryScore)
TedaviPrimer tamirEksizyon, anastomozRoux limb coverageWhippleÇok nadir
KCSK
Tamir koruma“Triple” tubeLateral duodenostomiRetrogradeDuodenal DivertikülizasyonPilorik Ekslüzyon
KomplikasyonlarYüksek gradeli yaralanmaların % 66 sında 48. saat sonrası duodenal komplikasyon gelişir Risk faktörleri:Yaralanma grade/ lokalizasyonMekanizmaTamire kadar geçen intervalYandaş yaralanma(pankreas)Velmahos GC, et al. World J Surg,  2007
PANKREAS YARALANMALARI• Yüksek mortalite ve morbiditeMortalite %19(%12-23)Morbidite %40(%30-60)MekanizmaKünt %20-25Penenetran %75-801827 posta arabası altında kalan kişide  ilk pankreas yaralanması  otopsi belgesi
Yandaş Yaralanma %90-95•Karaciğer %42-32•Dalak %25-40• Mide  %20-40• Major damarlar %25-35• Toraks %22-31• Kalın bağırsak %10-29• Santral sinir sistemi %25• Duodenum %18
Ana hepatik kanal yaralanması %15Kapsül sağlam olsa bile pankreatik kanal yaralanması olasılığı VARDIR
– Nekroz, kanama, abse, fistül, psödokist– Endokrin %20• Ana pankreas kanal rüptürükünt travmalarda %1.6 görülür
Akut BT bulguları• Direk bulgular– Pankreatik genişleme– Laserasyon– Heterojen kontrastlanma• Sekonder bulgular– Peripankreatik çizgilenme– Peripankreatik sıvı kolleksiyonu– Splenikvenve pankreas arasında sıvı kolleksiyonu– Kanama
Pankreas yaralanma skalası(AAST Organ InjuryScore)
Grade I• Kontüzyon• Duktusu içermeyen yüzeyel yaralanmaGrade II• Gövde ve kuyrukta ana kanalda tamlaserasyonGrade IIIBaş bölgesinde ezilme ve kesilme• DuodenumintaktGrade IVPankreas başı ve duodenum yaralanması
Grade III: Distaltranseksiyon yada kanal yaralanması ile birlikte parankim yaralanması
Ana pankreatik kanalın değerlendirilmesiIntraoperatifpankreatografiTransduodenalkanulasyonDistalkanulasyonKolesisto-kolanjiografiIntraoperatif ERCP
ERCP/MRCPStabil hastada erken görüntüleme
Pankreatik kanal yaralanmasına göre tedavi planı
Yaralanma yoksa = Konservatif tedavi
Major ductus yaralanması = cerrahi
? Duodenal yaralanmaLaparotomiOrta hat kesisiKanama ve kontaminasyon kontrolüPankreas kanal bütünlüğünün değerlendirilmesiTransvers  kolonun ve hepatikfleksuranın serbestleştirilmesiGenişletilmiş Kocher manevrasıOmentumun kolondan ayrılmasıPankreasın görünür hale getirilmesiOmentumminusun açılması, Duodenum 2. kısmın tam kocherizasyonu
Çoğu olguda sadece drenaj, debritman
Distal kanal yaralanması– distal pankreatektomiCerrahi tedaviKontüzyon ve LaserasyonlarHemostazDrenajFibrin glueNOT: Eğer pankreas kanalı bütünlüğünü koruyorsa
KANALIN KESİLDİĞİ DİSTAL YARALANMALARDistal pankreatektomiSplenektomiRoux-en-Y anastomozuMultitravmalı hastalarda zaman açısından uygun değildir.
WirsungAntrumSAGJSVDuodenumJejenumSMV
38
Muhtemel kanal hasarı olan proksimal yaralanmalarAmpulla sağlam ise         Eksternal drenaj          Nütrisyonal destek          İnfeksiyon kontrolü
Kombine Pankreatikoduodenal YaralanmalarPrimer duodenal onarımPankreatik drenajDuodenal dekompresyon              Üç tüp dekompresyonu              Gastrostomi ve duodenostomi              Duodenal divertikülizasyon
OCTEROTİDEPosttravmatik veya postop fistül tedavisiPosttravmatik veya postop fistül profilaksisi
Pankreas travması: PankreatikoduodenektomiendikasyonlarıPankreas başından ve/veya yandaş damarsal yapılardan  masif, kontrol edilemeyen kanamaPankreas başında masif ve rekonstrükte edilemeyecek duktal yaralanmaRekonstrükte edilemeyecek kombine yaralanmalar:Duodenum ve pankreas başıDuodenum, pankreas başı ve koledok
HepatoduodenalligamanPankreasDuodenum 2. kıta
PortalvenSMV
Portal venKoledokSplenik venDudenumSMVPankreas başı
KOMPLİKASYONLARSepsisMultiorgan yetmezliğiPankreas fistülüAbseKanamaPsödokistPankreatitNadiren endokrin veya egzokrin yetmezlik
KOMPLİKASYON TEDAVİSİFİSTÜL: Drenaj, nütrisyonal destek ve uygun bakımABSE: Perkütan veya cerrahi drenajPSÖDOKİST: Perkütan aspirasyon, endoskopik kistogatrostomi - kistoduodenostomi, cerrahi drenaj veya distalpankreatektomi, laparoskopik yada açık kistogastrostomi
TO WHIPPLE or NOT TO WHIPPLETHAT’S THE QUESTION
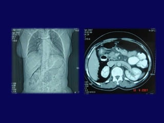
SK 6,E20 Gün önce bisikletten düşme dış merkezde taip batın distansiyonu gelişmesi üzerine İTF ne sevkFM: Distansiyon ve yaygın hassasiyet
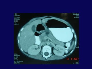
 BT: pankreas orta hatta laserasyon ve peripankreatik sıvı
SK 6,E
Peripankreatik sıvıya perkütan drenaj kateteri . İlk gün 750 cc drenajİşlem sonrası 2. gün genel durum iyi.  Dren debisi 200 ccDren debisi giderek azalan hastanın 4. günde debisi 100 cc. Dren kültürü steril.7. gün kontrole gelmek üzere taburcu
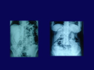
Hasta işlem sonrası 23. gününde ateş, bulantı, kusma şikayetleriyle yeniden yatırıldı.BT’ de karaciğer ve mide arasında 6x5 cm’lik bir koleksiyon tespit edildi. Perkütan drenaj uygulandı. 200 cc geleni oldu.
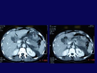
Hastanın ilk konan dreninden geleni olmaması üzerine çekildi. Yeni drenden 150 cc geldi. Hasta işlem sonrası 3. gününde kontrole gelmek üzere taburcu edildi. 3. hafta kontrolde debi olmaması üzerine dren çekildi

Travmatik pankreas ve duodenum yaralanmaları 2010