VASKÜLİTLER
 Dr. Özlem Canöz
2
Vaskülit
• Damar duvarının inflamatuar hastalığı
• Çok çeşitli hastalığı içine alır
• Hemen her organda her tip damar
  tutulabilir




                                          3
Vaskülit
        Sınıflandırma

• Etyolojik ajana göre√
• Etkilenen damarın büyüklüğüne göre
• Mikroskobik değişikliklere göre




                                       4
Enfeksiyon
• Bakteriyel (ör. Neisseria)
• Riketsiyal (ör. Kayalık dağlar
  humması)
• Spiroketal (ör. Sfiliz)
• Fungal (ör. Aspergilloz,
  mukormukozis)
• Viral (ör. Herpes zoster-varisella)

                                        5
İmmünolojik1
• İmmün kompleks aracılı
  –   Enfeksiyona bağlı (HBV,HCV)
  –   H-Schölein purpurası
  –   SLE ve RA
  –   İlaca bağlı
  –   Kriyoglobulinemi
  –   Serum hast


                                    6
İmmünolojik2
– Antinötrofil sitoplazmik antikorlar
  • Wegener granülomatozisi
  • Churge-Strauss sendromu
  • Mikroskobik polianjiitis




                                        7
İmmünolojik3
• Hücre aracılı
  – Organ allograft reddi




                            8
İmmünolojik4
• Doğrudan antikor aracılı
  – Goodpasture sendromu
  – Kawasaki hastalığı




                             9
İmmünolojik5
• İnflamatuar barsak hastalığı
• Paraneoplastik vaskülit




                                 10
bilinmeyen
• Dev hücreli arterit
• Takayasu hastalığı
• PAN




                        11
• DAMAR BÜYÜKLÜĞÜNE GÖRE




                           12
13
Büyük damar vaskülitleri


 – Dev Hücreli (temporal) arterit
 – Takayasu arteriti




                                    14
Orta büyüklükteki damar
      vaskülitleri

 – Poliarteritis nodosa
 – Kawasaki Sendromu




                          15
Küçük damar Vaskülitleri
• Wegener granülomatozisi
• Churge-Strauss sendromu
• Mikroskobik polianjiitis


•   Jennette JC, et al. Nomenclature of systemic vasculitides: The
    proposal of an international consensus conference. Arthritis
    Rheum 37:187, 1994.



                                                                     16
Etyoloji
• En sık iki neden
  – Enfeksiyon
  – İmmün aracılı enflamasyon

  Ayrıca: radyasyon, travma, toksinler vs.




                                             17
• İMMUN ARACILI MEKANİZMA
 – İmmün kompleks birikimi
 – Antinötrofil sitoplazmik antikorlar
 – Doğrudan antikor aracılı
 – Hücre aracılı

                                         18
İmmün kompleksler
• Serumda ve damar duvarında
  immünreaktanlar ve C’
• Vaskülitik deri lezyonlarının %10’undan
  ilaca bağlı gelişen hipersensitivite sorumlu
• Bazı vaskülit hastalarının serumlarında
  HbsAg-Anti HbsAg immunkompleksi ve C’




                                                 19
Antinötrofil Sitoplazmik
    Antikor (ANCA)
• Heterojen bir grup antikor
  – C-ANCA: sitoplazmik boyanma paterni
    • Proteinaz 3
  – P-ANCA: perinükleer boyanma paterni
    • myeloperoksidaz




                                          20
C-ANCA




         P-ANCA
             21
Endotel hücre antikorları
• İmmün regülasyonda defekt
• Kawasaki
• SLE




                              22
Diğer Mekanizmalar
• Anti-glomerüler bazal membran
  antikoru (Good-Pasture Sendromu)
• Coxaki, Herpes virüsleri




                                     23
DEV HÜCRELİ ARTERİT
(temporal arterit, kranial arterit,
       Horton hastalığı)


– En sık temporal, serebral, vertebral
  ve oftalmik arteri tutar
– Bazan tüm vücuttaki arterleri,
  bazan aortik arkusu tutar
– Akut veya kronik
– Genellikle 50 yaş sonrası

                                         24
Klinik gidiş
• Ateş kırıklık, kilo kaybı
• Bazan tek taraflı olan yüz ve baş
  ağrısı (temporal arter üzerinde)
• Diplopi, görme kaybı
• SSS semptomları
• Myokard iskemisi, GiS bozuklukları


                                       25
Patogenez
• Tam olarak bilinmemekte
• Arteriel duvarın elastin gibi bir
  komponentine karşı immünolojik bir
  reaksiyon?




                                       26
Mikroskobi
• Segmenter, nodüler kalınlaşmalar
• İnternal elastik membran merkezli,
  dev hücreli, granülomatöz
  inflamasyon
• Bazı vakalarda nonspesifik panarterit
• İyileşme döneminde skar oluşumu


                                          27
28
TAKAYASU ARTERİTİ
•   Kadınlarda
•   40 yaşından önce
•   Asya ülkelerinde
•   Klasik olarak aortik ark tutulumu
•   1/3 vakada aortun diğer kısımları ve
    pulmoner arter


                                           29
Klinik gidiş
• Üst ekstremite nabızlarında
  zayıflama
• Görme bozukluğu
• Nörolojik defisitler
• Ht
  – Ölüm en sık KKY ve MI nedeniyledir


                                         30
Mikroskobi

• Erken dönemde vazovazorumda
  perivasküler iltihabi hücre birikimi ve
  adventisiada MNH infiltrasyonu
• Daha sonraki dönemde mediada
  mononükleer infiltrasyon ve bazan
  granülomatöz reaksiyon



                                            31
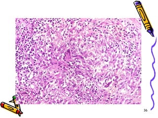
32
33
34
35
36
POLİARTERİTİS
         NODOSA
• PAN, küçük ve orta büyüklükteki arterlerin
  transmural nekrotik iltihabı ile giden
  sistemik bir vaskülit
• Özellikle muskuler arterlerin dallanma
  noktalarını tutar
• Tutulum, fokal, dağınık ve epizodik
• Lezyonların yaşı değişken
• Genç erişkin hastalığı


                                               37
Klinik Gidiş
• Akut, subakut veya kronik
• Sıklıkla tekrarlayıcı
• En sık böbrek tutulur, takiben kalp, kc, gis
• Ateş, kilo kaybı, ht, karın ağrısı, melena,
  kas ağrıları, periferal nörit
• En sık ölüm nedeni böbrek tutulumudur
• 1/3 vakada serumda Hbs Ag +
• ANCA ilişkisi genellikle yok


                                                 38
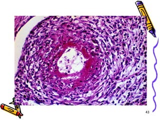
Mikroskopi
• Lezyonlar keskin sınırlı ve segmentaldir
• Fibrinoid nekrozla birlikte lökositik
  inflamasyon ve tromboz
• İnflamasyon nedeni ile duvarda zayıflama
  ve anevrizmal dilatasyon
• Damarın beslediği dokularda infarktüs,
  atrofi, hemoraji


                                             39
40
41
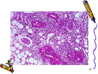
42
43
44
KAWASAKİ SENDROMU
• Büyük, orta büyüklükte ve küçük
  arterler
• Erken çocukluk ve infantlar
• Sebebi? İmmün regülasyon defekti?
• Bir toksin veya viral ajan
  “süperantijen” olarak rol almış olabilir
• Japonya’da epidemik

                                             45
Klinik gidiş
• Ateş
• Ağızda eritem, erezyon
• El ve ayaklarda şişme
• Avuç içi ve ayak tabanlarında eritem,
  deskuamasyon
• Servikal lenfadenopati
• %20 vakada kardiovasküler sekel
• MI, ani ölüm olabilir


                                          46
47
Mikroskobi
• PAN-benzeri vaskülit
• Koroner veya diğer arterlerin
  mediasında reaktif proliferatif
  değişiklikler
• Panarterit
• Anevrizmal dilatasyon


                                    48
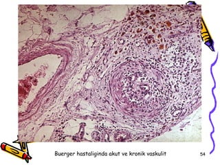
Buerger Hastalığı
 Tromboanjiitis Obliterans
• Orta büyüklükte ve küçük arterlerin
  segmental, trombozan inflamasyonu
• Tibial ve radial arterler
• Sigara içen erkekler
• 20-35 yaş
• Ven ve sinirler de sekonder olarak
  tutulur

                                        49
Patogenez

• İntradermal olarak enjekte edilen
  tütün ekstrelerine karşı hassasiyet
• HLA-A9, HLA-B5




                                        50
Klinik Gidiş

• Yüzeyel nodüler flebit
• Ellerde Reynaud tipinde soğuk
  hassasiyeti
• Egzersizle artan ayak ağrısı
• Ayak ve parmaklarda kronik
  ülserasyonlar


                                  51
Mikroskobi
• Tromboz ile birlikte panarterit
• Karakteristik olarak trombüs içinde,
  mikroabseler
• Trombüs organizasyonu ve
  rekanalizasyonu




                                         52
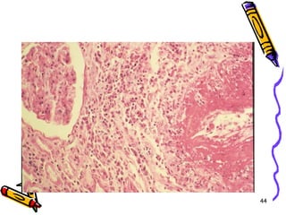
53
Buerger hastaliginda akut ve kronik vaskulit   54
MİKROSKOBİK
        POLİANJİİTİS
• Mikroskobik PAN
• Arteriol, kapiller, venül
• PAN ın aksine lezyonlar aynı yaşta olmaya
  meyillidir
• %60 vakada p-ANCA +
• Hipersensitivite reaksiyonu
• Bazı hastalarda otoantikorlar
• Deri, müköz membranlar, akciğer, beyin, kalp, GİS,
  böbrek, kas



                                                       55
PAN’dan ayrımı:
•   Hızlı gelisen GN
•   Pulmoner tutulum
•   P-ANCA
•   Normal visseral anjiografi
•   HB antijenemisi ile birliktelik yok



                                          56
En sık görülen 5 klinik
           tutulum
•   Böbrek tutulumu (%80)
•   Kilo kaybI (>%70)
•   Deri lezyonlarI (>%60)
•   Periferik sinir tutulumu (%60)
•   Ateş (%55)



                                     57
Mikroskopik polianjiitis




                           58
Klinik Gidiş
•   Hemoptizi
•   Hematüri, proteinüri
•   Karın ağrısı, melena
•   Kas ağrısı
•   Deri tutulumu sıktır; palpabl purpura



                                            59
Mikroskobi
• Damar duvarında nekrotizan
  inflamasyon birlikte lökositoklasis
• Böbreklerde fokal segmental
  nekrotizan glomerülonefrit-şiddetli
  diffüz kresentik glomerülonefrit
• İmmün kompleksler görülemez (pauci-
  immune)


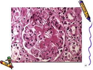
                                        60
61
WEGENER
GRANÜLOMATOZİSİ
Üç temel TRİAD:
 1- Üst ve/veya alt solunum yollarının
 akut nekrotizan granülomu
 2- Küçük ve orta büyüklükteki damarları
 etkileyen nekrotizan ve granülomatöz
 vaskülit
 3- Fokal, nekrotizan, kresentik GN


                                           62
Wegener granülomatozisi
•   Erkeklerde daha sık
•   4-5. dekad
•   c- ANCA %90 +
•   C-ANCA serum seviyesi hastalık
    aktivitesi ile yakın ilişkili



                                     63
Patogenez
• Hipersensitivitenin bazı tipleri ile ilişkili
• Bazı hastalarda glomerüller ve damar
  duvarında immün kompleksler
• Granülomların varlığı ve immünsüpresif
  tedaviye dramatik cevap immünolojik
  mekanizmaya destek




                                                  64
Klinik Gidiş
• Bilateral nodüler ve kaviter lezyonlarla
  karakterize pnömonitis (%95)
• Kronik sinüzit (%90)
• Nazofarinkste ülserasyonlar (%75)
• Böbrek tutulumu bulguları (%80)
• Deri döküntüsü, kas ağrısı, polinörit vs.
• Tedavi edilmezse hızlı gidiş, fatal*
• Siklofosfamid ve kortikosteroid ile remisyon,
  ancak %50 relaps



                                                  65
66
CHURGE-STRAUSS
       SENDROMU
• Alerjik rinit, astm ve eozinofili ile sıkı birliktelik
• Damar lezyonları histolojik olarak PAN ve
  mikroskobik polianjiit ile benzer
• Akciğer, kalp, dalak, periferik sinirler ve deri
  damarları
• İntra ve ekstravasküler granülomlar, yoğun
  eozinofil
• Ciddi renal tutulum nadir
• %70 p-ANCA +



                                                           67
• SIK ETKILENEN ORGANLAR
  –   Burun
  –   Akcigerler
  –   Deri
  –   Bobrek
  –   GIS
  –   Kalp
  –   sinir


                           68
MPA                                    WG                      PAN

 BLOOD VESSEL SIZE            Small to Medium                        Small to Medium               Medium
BLOOD VESSEL TYPE    Arterioles to venules, And sometimes   Arterioles to venules, And sometimes   Muscular
                               Arteries and veins                     Arteries and veins           Arteries
  GRANULOMATOUS                      NO                                    YES                       NO
   INFLAMMATION
  LUNG SYMPTOMS                     YES1                                   YES1                      NO
GLOMERULONEPHRITIS                  YES                                    YES                       NO
RENAL HYPERTENSION                   NO                                     NO                      YES
   MONONEURITIS                   COMMON                               OCCASIONAL                  COMMON
    MULTIPLEX
   SKIN LESIONS                     YES2                                   YES2                     YES2
   GI SYMPTOMS                       NO                                     NO                      YES3
   EYE SYMPTOMS                     YES4                                   YES4                      NO
  ANCA-POSITIVITY                   75%                                  65-90%                      NO
CONSTITUTIONALSYMP                  YES5                                   YES5                     YES5
       TOMS
NECROTIZING TISSUE                  YES                                    YES                      YES
 MICROANEURYSMS                   RARELY                                 RARELY                    TYPICAL




                                                                                                              69
Diğer hastalıklarla ilişkili
       vaskülitler
• Romatoid artrit
   – Romatoid vaskülit-küçük-orta büyüklükte arterleri etkiler, visseral
     infarkt, aortit
• SLE
• Kanser
• Sistemik hastalıklar (mikst cryoglobulinemia,
  antiphospholipid antibody syndrome, and Henoch-Schönlein
  purpura)
   – Altta yatan patolojiyi belirlemek önemli, Ör. klasik immune kompleks
     lupus vasküliti and antiphospholipid antibody syndrome morfolojik
     olarak benzer olmasına rağmen tedavileri çok farklıdır




                                                                            70
HENOCH-SCHÖNLEİN
     PURPURASI
• Küçük damarlarda IgA dominant
  immün birikim ile karakterize
• Çocuklarda (5y da pik)
• Deri-barsak-glomerül birlikte artrit




                                         71
Patogenez
• Öncesinde enfeksiyöz hastalık, üsye*
• Normalden fazla mukozal IgA yapımı
  ve lökosit reaktivitesi
• Vasküler immünkompleksler




                                         72
Klinik Gidiş
•   Ateş
•   Artralji
•   Purpura
•   Kolik tarzı karın ağrısı
•   Kanlı gaita
•   Hematüri-proteinüri


                               73
Mikroskobi
• Postkapiller venül, kapiller ve
  arteriolleri etkileyen lökositoklastik
  vaskülit
• Dermis ve barsak duvarında bu lezyon
  sık
• Böbrekte proliferatif glomerulonefrit


                                           74
75
76
KRİYOGLOBULİNEMİK
      VASKÜLİT
• Kriyoglobulinler anormal serum
  proteinleridir, 4℃ de çöker ve 37 ℃ de
  erirler
• Üç tipi var: tip I tek bir monoklonal Igden
  oluşur ve çoğunlukla MM gibi hematolojik
  malignitelerle ilişkilidir, tip II en az iki Ig
  den oluşur (biri monoklonal), tip III te her
  iki Ig komponent de poliklonal


                                                    77
• Mikst kriyoglobulinler (tip II ve III):
  –   Bazı lenfoproliferatif hastalıklar
  –   Kronik enfeksiyonlar
  –   Kr kc hast.
  –   Otoimmün hastalıklar (SLE gibi) ile
      ilişkili

  – %30 vakada idiopatik kriyoglobulinemi



                                            78
Klinik Gidiş
•   Halsizlik
•   Purpura
•   Artralji
•   HSM
•   LAP
•   Glomerülonefrit
•   Kadınlarda ve 4-5. dekatta


                                 79
Mikroskobi
• Diffüz proliferatif GN
• Akut vakalarda birikim trombüs
  görünümü verir
• Etkilenen tüm dokularda vaskülit
  temel lezyon




                                     80
Behçet Hastalığı
• 1930 yılında Hulusi Behçet
  tanımlamış:
  – Aftöz oral ülserler
  – Genital ülserler
  – Tekrarlayan göz enfeksiyonları




                                     81
epidemiyoloji
• Orta Dogu ve Akdeniz
• Japonya’da körlüğun önemli bir nedeni
• Tuttugu organlar: göz, ağız, deri, ac,
  eklem, beyin, genital, GIS




                                           82
83
•   HLAB5
•   Enfeksiyon, viral ajan?
•   Çevresel
•   %5 ailevi




                              84
85

Vaskulitler (fazlası için www.tipfakultesi.org )

  • 1.
  • 2.
  • 3.
    Vaskülit • Damar duvarınıninflamatuar hastalığı • Çok çeşitli hastalığı içine alır • Hemen her organda her tip damar tutulabilir 3
  • 4.
    Vaskülit Sınıflandırma • Etyolojik ajana göre√ • Etkilenen damarın büyüklüğüne göre • Mikroskobik değişikliklere göre 4
  • 5.
    Enfeksiyon • Bakteriyel (ör.Neisseria) • Riketsiyal (ör. Kayalık dağlar humması) • Spiroketal (ör. Sfiliz) • Fungal (ör. Aspergilloz, mukormukozis) • Viral (ör. Herpes zoster-varisella) 5
  • 6.
    İmmünolojik1 • İmmün kompleksaracılı – Enfeksiyona bağlı (HBV,HCV) – H-Schölein purpurası – SLE ve RA – İlaca bağlı – Kriyoglobulinemi – Serum hast 6
  • 7.
    İmmünolojik2 – Antinötrofil sitoplazmikantikorlar • Wegener granülomatozisi • Churge-Strauss sendromu • Mikroskobik polianjiitis 7
  • 8.
    İmmünolojik3 • Hücre aracılı – Organ allograft reddi 8
  • 9.
    İmmünolojik4 • Doğrudan antikoraracılı – Goodpasture sendromu – Kawasaki hastalığı 9
  • 10.
    İmmünolojik5 • İnflamatuar barsakhastalığı • Paraneoplastik vaskülit 10
  • 11.
    bilinmeyen • Dev hücreliarterit • Takayasu hastalığı • PAN 11
  • 12.
  • 13.
  • 14.
    Büyük damar vaskülitleri – Dev Hücreli (temporal) arterit – Takayasu arteriti 14
  • 15.
    Orta büyüklükteki damar vaskülitleri – Poliarteritis nodosa – Kawasaki Sendromu 15
  • 16.
    Küçük damar Vaskülitleri •Wegener granülomatozisi • Churge-Strauss sendromu • Mikroskobik polianjiitis • Jennette JC, et al. Nomenclature of systemic vasculitides: The proposal of an international consensus conference. Arthritis Rheum 37:187, 1994. 16
  • 17.
    Etyoloji • En sıkiki neden – Enfeksiyon – İmmün aracılı enflamasyon Ayrıca: radyasyon, travma, toksinler vs. 17
  • 18.
    • İMMUN ARACILIMEKANİZMA – İmmün kompleks birikimi – Antinötrofil sitoplazmik antikorlar – Doğrudan antikor aracılı – Hücre aracılı 18
  • 19.
    İmmün kompleksler • Serumdave damar duvarında immünreaktanlar ve C’ • Vaskülitik deri lezyonlarının %10’undan ilaca bağlı gelişen hipersensitivite sorumlu • Bazı vaskülit hastalarının serumlarında HbsAg-Anti HbsAg immunkompleksi ve C’ 19
  • 20.
    Antinötrofil Sitoplazmik Antikor (ANCA) • Heterojen bir grup antikor – C-ANCA: sitoplazmik boyanma paterni • Proteinaz 3 – P-ANCA: perinükleer boyanma paterni • myeloperoksidaz 20
  • 21.
    C-ANCA P-ANCA 21
  • 22.
    Endotel hücre antikorları •İmmün regülasyonda defekt • Kawasaki • SLE 22
  • 23.
    Diğer Mekanizmalar • Anti-glomerülerbazal membran antikoru (Good-Pasture Sendromu) • Coxaki, Herpes virüsleri 23
  • 24.
    DEV HÜCRELİ ARTERİT (temporalarterit, kranial arterit, Horton hastalığı) – En sık temporal, serebral, vertebral ve oftalmik arteri tutar – Bazan tüm vücuttaki arterleri, bazan aortik arkusu tutar – Akut veya kronik – Genellikle 50 yaş sonrası 24
  • 25.
    Klinik gidiş • Ateşkırıklık, kilo kaybı • Bazan tek taraflı olan yüz ve baş ağrısı (temporal arter üzerinde) • Diplopi, görme kaybı • SSS semptomları • Myokard iskemisi, GiS bozuklukları 25
  • 26.
    Patogenez • Tam olarakbilinmemekte • Arteriel duvarın elastin gibi bir komponentine karşı immünolojik bir reaksiyon? 26
  • 27.
    Mikroskobi • Segmenter, nodülerkalınlaşmalar • İnternal elastik membran merkezli, dev hücreli, granülomatöz inflamasyon • Bazı vakalarda nonspesifik panarterit • İyileşme döneminde skar oluşumu 27
  • 28.
  • 29.
    TAKAYASU ARTERİTİ • Kadınlarda • 40 yaşından önce • Asya ülkelerinde • Klasik olarak aortik ark tutulumu • 1/3 vakada aortun diğer kısımları ve pulmoner arter 29
  • 30.
    Klinik gidiş • Üstekstremite nabızlarında zayıflama • Görme bozukluğu • Nörolojik defisitler • Ht – Ölüm en sık KKY ve MI nedeniyledir 30
  • 31.
    Mikroskobi • Erken dönemdevazovazorumda perivasküler iltihabi hücre birikimi ve adventisiada MNH infiltrasyonu • Daha sonraki dönemde mediada mononükleer infiltrasyon ve bazan granülomatöz reaksiyon 31
  • 32.
  • 33.
  • 34.
  • 35.
  • 36.
  • 37.
    POLİARTERİTİS NODOSA • PAN, küçük ve orta büyüklükteki arterlerin transmural nekrotik iltihabı ile giden sistemik bir vaskülit • Özellikle muskuler arterlerin dallanma noktalarını tutar • Tutulum, fokal, dağınık ve epizodik • Lezyonların yaşı değişken • Genç erişkin hastalığı 37
  • 38.
    Klinik Gidiş • Akut,subakut veya kronik • Sıklıkla tekrarlayıcı • En sık böbrek tutulur, takiben kalp, kc, gis • Ateş, kilo kaybı, ht, karın ağrısı, melena, kas ağrıları, periferal nörit • En sık ölüm nedeni böbrek tutulumudur • 1/3 vakada serumda Hbs Ag + • ANCA ilişkisi genellikle yok 38
  • 39.
    Mikroskopi • Lezyonlar keskinsınırlı ve segmentaldir • Fibrinoid nekrozla birlikte lökositik inflamasyon ve tromboz • İnflamasyon nedeni ile duvarda zayıflama ve anevrizmal dilatasyon • Damarın beslediği dokularda infarktüs, atrofi, hemoraji 39
  • 40.
  • 41.
  • 42.
  • 43.
  • 44.
  • 45.
    KAWASAKİ SENDROMU • Büyük,orta büyüklükte ve küçük arterler • Erken çocukluk ve infantlar • Sebebi? İmmün regülasyon defekti? • Bir toksin veya viral ajan “süperantijen” olarak rol almış olabilir • Japonya’da epidemik 45
  • 46.
    Klinik gidiş • Ateş •Ağızda eritem, erezyon • El ve ayaklarda şişme • Avuç içi ve ayak tabanlarında eritem, deskuamasyon • Servikal lenfadenopati • %20 vakada kardiovasküler sekel • MI, ani ölüm olabilir 46
  • 47.
  • 48.
    Mikroskobi • PAN-benzeri vaskülit •Koroner veya diğer arterlerin mediasında reaktif proliferatif değişiklikler • Panarterit • Anevrizmal dilatasyon 48
  • 49.
    Buerger Hastalığı TromboanjiitisObliterans • Orta büyüklükte ve küçük arterlerin segmental, trombozan inflamasyonu • Tibial ve radial arterler • Sigara içen erkekler • 20-35 yaş • Ven ve sinirler de sekonder olarak tutulur 49
  • 50.
    Patogenez • İntradermal olarakenjekte edilen tütün ekstrelerine karşı hassasiyet • HLA-A9, HLA-B5 50
  • 51.
    Klinik Gidiş • Yüzeyelnodüler flebit • Ellerde Reynaud tipinde soğuk hassasiyeti • Egzersizle artan ayak ağrısı • Ayak ve parmaklarda kronik ülserasyonlar 51
  • 52.
    Mikroskobi • Tromboz ilebirlikte panarterit • Karakteristik olarak trombüs içinde, mikroabseler • Trombüs organizasyonu ve rekanalizasyonu 52
  • 53.
  • 54.
    Buerger hastaliginda akutve kronik vaskulit 54
  • 55.
    MİKROSKOBİK POLİANJİİTİS • Mikroskobik PAN • Arteriol, kapiller, venül • PAN ın aksine lezyonlar aynı yaşta olmaya meyillidir • %60 vakada p-ANCA + • Hipersensitivite reaksiyonu • Bazı hastalarda otoantikorlar • Deri, müköz membranlar, akciğer, beyin, kalp, GİS, böbrek, kas 55
  • 56.
    PAN’dan ayrımı: • Hızlı gelisen GN • Pulmoner tutulum • P-ANCA • Normal visseral anjiografi • HB antijenemisi ile birliktelik yok 56
  • 57.
    En sık görülen5 klinik tutulum • Böbrek tutulumu (%80) • Kilo kaybI (>%70) • Deri lezyonlarI (>%60) • Periferik sinir tutulumu (%60) • Ateş (%55) 57
  • 58.
  • 59.
    Klinik Gidiş • Hemoptizi • Hematüri, proteinüri • Karın ağrısı, melena • Kas ağrısı • Deri tutulumu sıktır; palpabl purpura 59
  • 60.
    Mikroskobi • Damar duvarındanekrotizan inflamasyon birlikte lökositoklasis • Böbreklerde fokal segmental nekrotizan glomerülonefrit-şiddetli diffüz kresentik glomerülonefrit • İmmün kompleksler görülemez (pauci- immune) 60
  • 61.
  • 62.
    WEGENER GRANÜLOMATOZİSİ Üç temel TRİAD: 1- Üst ve/veya alt solunum yollarının akut nekrotizan granülomu 2- Küçük ve orta büyüklükteki damarları etkileyen nekrotizan ve granülomatöz vaskülit 3- Fokal, nekrotizan, kresentik GN 62
  • 63.
    Wegener granülomatozisi • Erkeklerde daha sık • 4-5. dekad • c- ANCA %90 + • C-ANCA serum seviyesi hastalık aktivitesi ile yakın ilişkili 63
  • 64.
    Patogenez • Hipersensitivitenin bazıtipleri ile ilişkili • Bazı hastalarda glomerüller ve damar duvarında immün kompleksler • Granülomların varlığı ve immünsüpresif tedaviye dramatik cevap immünolojik mekanizmaya destek 64
  • 65.
    Klinik Gidiş • Bilateralnodüler ve kaviter lezyonlarla karakterize pnömonitis (%95) • Kronik sinüzit (%90) • Nazofarinkste ülserasyonlar (%75) • Böbrek tutulumu bulguları (%80) • Deri döküntüsü, kas ağrısı, polinörit vs. • Tedavi edilmezse hızlı gidiş, fatal* • Siklofosfamid ve kortikosteroid ile remisyon, ancak %50 relaps 65
  • 66.
  • 67.
    CHURGE-STRAUSS SENDROMU • Alerjik rinit, astm ve eozinofili ile sıkı birliktelik • Damar lezyonları histolojik olarak PAN ve mikroskobik polianjiit ile benzer • Akciğer, kalp, dalak, periferik sinirler ve deri damarları • İntra ve ekstravasküler granülomlar, yoğun eozinofil • Ciddi renal tutulum nadir • %70 p-ANCA + 67
  • 68.
    • SIK ETKILENENORGANLAR – Burun – Akcigerler – Deri – Bobrek – GIS – Kalp – sinir 68
  • 69.
    MPA WG PAN BLOOD VESSEL SIZE Small to Medium Small to Medium Medium BLOOD VESSEL TYPE Arterioles to venules, And sometimes Arterioles to venules, And sometimes Muscular Arteries and veins Arteries and veins Arteries GRANULOMATOUS NO YES NO INFLAMMATION LUNG SYMPTOMS YES1 YES1 NO GLOMERULONEPHRITIS YES YES NO RENAL HYPERTENSION NO NO YES MONONEURITIS COMMON OCCASIONAL COMMON MULTIPLEX SKIN LESIONS YES2 YES2 YES2 GI SYMPTOMS NO NO YES3 EYE SYMPTOMS YES4 YES4 NO ANCA-POSITIVITY 75% 65-90% NO CONSTITUTIONALSYMP YES5 YES5 YES5 TOMS NECROTIZING TISSUE YES YES YES MICROANEURYSMS RARELY RARELY TYPICAL 69
  • 70.
    Diğer hastalıklarla ilişkili vaskülitler • Romatoid artrit – Romatoid vaskülit-küçük-orta büyüklükte arterleri etkiler, visseral infarkt, aortit • SLE • Kanser • Sistemik hastalıklar (mikst cryoglobulinemia, antiphospholipid antibody syndrome, and Henoch-Schönlein purpura) – Altta yatan patolojiyi belirlemek önemli, Ör. klasik immune kompleks lupus vasküliti and antiphospholipid antibody syndrome morfolojik olarak benzer olmasına rağmen tedavileri çok farklıdır 70
  • 71.
    HENOCH-SCHÖNLEİN PURPURASI • Küçük damarlarda IgA dominant immün birikim ile karakterize • Çocuklarda (5y da pik) • Deri-barsak-glomerül birlikte artrit 71
  • 72.
    Patogenez • Öncesinde enfeksiyözhastalık, üsye* • Normalden fazla mukozal IgA yapımı ve lökosit reaktivitesi • Vasküler immünkompleksler 72
  • 73.
    Klinik Gidiş • Ateş • Artralji • Purpura • Kolik tarzı karın ağrısı • Kanlı gaita • Hematüri-proteinüri 73
  • 74.
    Mikroskobi • Postkapiller venül,kapiller ve arteriolleri etkileyen lökositoklastik vaskülit • Dermis ve barsak duvarında bu lezyon sık • Böbrekte proliferatif glomerulonefrit 74
  • 75.
  • 76.
  • 77.
    KRİYOGLOBULİNEMİK VASKÜLİT • Kriyoglobulinler anormal serum proteinleridir, 4℃ de çöker ve 37 ℃ de erirler • Üç tipi var: tip I tek bir monoklonal Igden oluşur ve çoğunlukla MM gibi hematolojik malignitelerle ilişkilidir, tip II en az iki Ig den oluşur (biri monoklonal), tip III te her iki Ig komponent de poliklonal 77
  • 78.
    • Mikst kriyoglobulinler(tip II ve III): – Bazı lenfoproliferatif hastalıklar – Kronik enfeksiyonlar – Kr kc hast. – Otoimmün hastalıklar (SLE gibi) ile ilişkili – %30 vakada idiopatik kriyoglobulinemi 78
  • 79.
    Klinik Gidiş • Halsizlik • Purpura • Artralji • HSM • LAP • Glomerülonefrit • Kadınlarda ve 4-5. dekatta 79
  • 80.
    Mikroskobi • Diffüz proliferatifGN • Akut vakalarda birikim trombüs görünümü verir • Etkilenen tüm dokularda vaskülit temel lezyon 80
  • 81.
    Behçet Hastalığı • 1930yılında Hulusi Behçet tanımlamış: – Aftöz oral ülserler – Genital ülserler – Tekrarlayan göz enfeksiyonları 81
  • 82.
    epidemiyoloji • Orta Doguve Akdeniz • Japonya’da körlüğun önemli bir nedeni • Tuttugu organlar: göz, ağız, deri, ac, eklem, beyin, genital, GIS 82
  • 83.
  • 84.
    HLAB5 • Enfeksiyon, viral ajan? • Çevresel • %5 ailevi 84
  • 85.

Editor's Notes

  • #3 Regional specializations of the vasculature. Although the basic organization of the vasculature is constant, the thickness and composition of the various layers differ according to hemodynamic forces and tissue requirements.