ACUTE LEFT LOWER QUADRANT
PAlN
Hisham AlKhatib, M.D.
Consultant Radiologist
•‫اله‬ ‫وعلى‬ ‫هللا‬ ‫رسول‬ ‫على‬ ‫والسالم‬ ‫والصالة‬ ‫هلل‬ ‫الحمد‬
‫اجمعين‬ ‫م‬ّ‫ل‬‫وس‬ ‫وصحبه‬
•، ‫علما‬ ‫وزدني‬ ‫ينفعني‬ ‫بما‬ ‫وعلمني‬ ‫علمتني‬ ‫بما‬ ‫انفعني‬ ‫اللهم‬
‫الحكيم‬ ‫العليم‬ ‫انك‬
• Praise be to Allah and prayers be upon the
Messenger of Allah and his family and
companions.
• Oh God, give me the benefit of what you
have taught me and teach me what benefits
me.
DIFFERENTIAL DIAGNOSIS
Common Causes
• Diverticulitis
• Colon Carcinoma
• Epiploic Appendagitis
• Pseudomembranous Colitis
• Infectious Colitis
• Ulcerative Colitis
Common Causes
• Gynecologic Causes
– Adnexal Torsion
– Endometriosis
– Salpingitis
– Tubo-Ovarian Abscess
– Uterine Fibroids
• Urolithiasis
• Post-Operative State, Bowel
Key Differential Diagnosis Issues
• Most etiologies are of bowel origin, but
consider genitourinary; don't forget to check
the mesentery & omentum
• CECT is the imaging modality of choice, after
pregnancy is taken into account
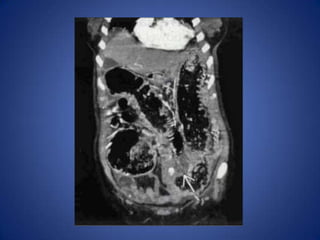
Diverticulitis
• Most common cause in middle-aged and
elderly
– Can affect patients as young as 25
• Usually long ( 10- 1 5 cm) segment of wall
thickening, luminal narrowing, pericolonic
infiltration
• Extraluminal collections of gas or fluid help
confirm diagnosis
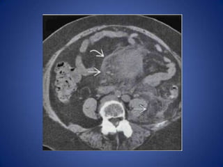
Colon Carcinoma
• Usually short segment without much
pericolonic infiltration
• Regional lymphadenopathy has strong
association with carcinoma, rarely seen in
diverticulitis
• Acute symptoms may be due to colonic
obstruction ± colitis proximal to the
obstructing mass
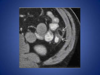
Epiploic Appendagitis
• Small oval, fatty lesion (2-4 cm) with
infiltration of omental fat
• Lies immediately adjacent to colonic surface
• Important to distinguish from diverticulitis, as
epiploic appendagitis resolves without specific
treatment
Pseudomembranous or Infectious
Colitis
• Usually diffuse, pancolonic with impressive
colonic wall thickening ("accordion sign")
• May be segmental, including distal colon
• Very common, especially in hospitalized
patients, and those in nursing homes
Ulcerative Colitis
• Favors rectum and distal colon
• Colonic wall is usually not very thickened
• Look for loss of haustral pattern, infiltration of
pericolonic fat
• Ask about history of prior episodes
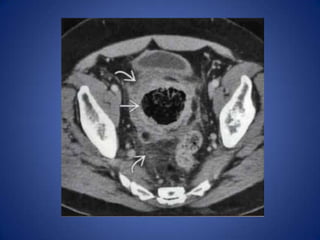
Gynecologic Causes
• Many, including adnexal infection & masses,
torsed ovary, endometriosis, etc.
• Look for evidence of mass &/or inflammation
centered on adnexa, rather than bowel
• Uterine Fibroids
– May torse , undergo degeneration or infarction,
lead to acute pain
– Heterogeneous soft tissue masses within enlarged
uterus, ± focal calcifications within masses
Urolithiasis
• Distal left ureteral stone may cause left lower
quadrant pain
• Diagnosis usually evident on CT
– Ureteral calculus, hydronephrosis, perinephric
stranding
Post-Operative State, Bowel
• Following bowel (& other surgeries) ileus may
result in bowel distention & pain
• May see just bowel distention on CT, but small
amount of peritoneal fluid is common in
immediate post-op state
• Anastomotic site narrowing & pericolonic
infiltration are also expected in post-op period
Less Common Causes
• Ischemic Colitis
• Omental Infarct
• Uterine Fibroids
• Sclerosing Mesenteritis
• Crohn Disease
• Abdominal Abscess
• Sigmoid Volvulus
• Appendicitis
• Fecal Impaction
Less Common Causes
• Peritonitis
• Pyelonephritis
• Renal Cell Carcinoma
• Renal Infarction
• Coagulopathic ("Retroperitoneal")
Hemorrhage
• Spigelian Hernia
• Inguinal Hernia
Rare but Important
• Bladder Fistulas
Helpful Clues for Less Common
Diagnoses
Ischemic Colitis
• Sigmoid colon is 2nd most common site for
hypoperfusion-induced ischemia
• Wall thickening & luminal narrowing
• Ask about prior hypotensive episode or
cardiac disease
Omental Infarct
• Primary omental infarction occurs near the
ascending colon
• Secondary form may occur anywhere near site
of surgery, infection, radiation, etc.
• Heterogeneous fatty mass, larger than epiploic
appendagitis
– Usually farther removed from surface of colon
than for epiploic appendagitis
• Usually resolves without specific treatment
Sclerosing Mesenteritis
• Being diagnosed much more commonly as
cause of recurrent abdominal pain, usually
poorly localized
• "Misty mesentery" with cluster of jejunal
mesentery nodes with surrounding thin
capsule
• Often with history of prior similar episodes
• May respond to steroid therapy or resolve on
its own
Abdominal Abscess
• Usually in post-operative patient, or following
appendicitis, diverticulitis
Sigmoid Volvulus
• Very elongated & dilated sigmoid colon,
folded back on itself ("coffee bean" or
"football" signs)
• Colon proximal to sigmoid will be dilated, but
not as much as sigmoid
• CT will show twisting of vessels in base of
sigmoid mesocolon
Appendicitis
• Appendix may be very long or may arise from
a malrotated colon, lead to left-sided
symptoms
Fecal Impaction
• Common, but can lead to stercoral ulceration
with erosion through colonic wall
THANK YOU

ACUTE LEFT LOWER QUADRANT PAIN

  • 1.
    ACUTE LEFT LOWERQUADRANT PAlN Hisham AlKhatib, M.D. Consultant Radiologist
  • 2.
    •‫اله‬ ‫وعلى‬ ‫هللا‬‫رسول‬ ‫على‬ ‫والسالم‬ ‫والصالة‬ ‫هلل‬ ‫الحمد‬ ‫اجمعين‬ ‫م‬ّ‫ل‬‫وس‬ ‫وصحبه‬ •، ‫علما‬ ‫وزدني‬ ‫ينفعني‬ ‫بما‬ ‫وعلمني‬ ‫علمتني‬ ‫بما‬ ‫انفعني‬ ‫اللهم‬ ‫الحكيم‬ ‫العليم‬ ‫انك‬ • Praise be to Allah and prayers be upon the Messenger of Allah and his family and companions. • Oh God, give me the benefit of what you have taught me and teach me what benefits me.
  • 3.
  • 4.
    Common Causes • Diverticulitis •Colon Carcinoma • Epiploic Appendagitis • Pseudomembranous Colitis • Infectious Colitis • Ulcerative Colitis
  • 5.
    Common Causes • GynecologicCauses – Adnexal Torsion – Endometriosis – Salpingitis – Tubo-Ovarian Abscess – Uterine Fibroids • Urolithiasis • Post-Operative State, Bowel
  • 6.
    Key Differential DiagnosisIssues • Most etiologies are of bowel origin, but consider genitourinary; don't forget to check the mesentery & omentum • CECT is the imaging modality of choice, after pregnancy is taken into account
  • 7.
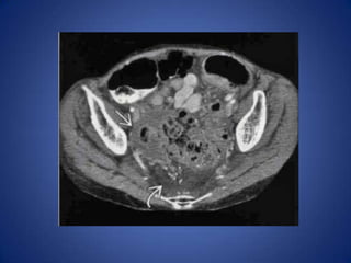
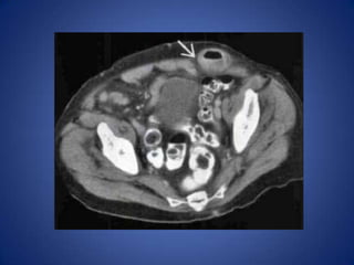
    Diverticulitis • Most commoncause in middle-aged and elderly – Can affect patients as young as 25 • Usually long ( 10- 1 5 cm) segment of wall thickening, luminal narrowing, pericolonic infiltration • Extraluminal collections of gas or fluid help confirm diagnosis
  • 10.
    Colon Carcinoma • Usuallyshort segment without much pericolonic infiltration • Regional lymphadenopathy has strong association with carcinoma, rarely seen in diverticulitis • Acute symptoms may be due to colonic obstruction ± colitis proximal to the obstructing mass
  • 13.
    Epiploic Appendagitis • Smalloval, fatty lesion (2-4 cm) with infiltration of omental fat • Lies immediately adjacent to colonic surface • Important to distinguish from diverticulitis, as epiploic appendagitis resolves without specific treatment
  • 15.
    Pseudomembranous or Infectious Colitis •Usually diffuse, pancolonic with impressive colonic wall thickening ("accordion sign") • May be segmental, including distal colon • Very common, especially in hospitalized patients, and those in nursing homes
  • 18.
    Ulcerative Colitis • Favorsrectum and distal colon • Colonic wall is usually not very thickened • Look for loss of haustral pattern, infiltration of pericolonic fat • Ask about history of prior episodes
  • 20.
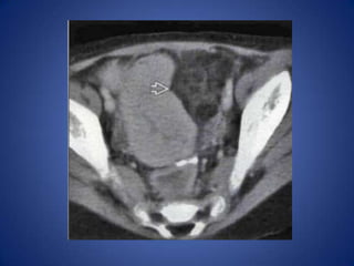
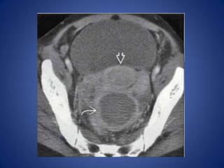
    Gynecologic Causes • Many,including adnexal infection & masses, torsed ovary, endometriosis, etc. • Look for evidence of mass &/or inflammation centered on adnexa, rather than bowel • Uterine Fibroids – May torse , undergo degeneration or infarction, lead to acute pain – Heterogeneous soft tissue masses within enlarged uterus, ± focal calcifications within masses
  • 24.
    Urolithiasis • Distal leftureteral stone may cause left lower quadrant pain • Diagnosis usually evident on CT – Ureteral calculus, hydronephrosis, perinephric stranding
  • 26.
    Post-Operative State, Bowel •Following bowel (& other surgeries) ileus may result in bowel distention & pain • May see just bowel distention on CT, but small amount of peritoneal fluid is common in immediate post-op state • Anastomotic site narrowing & pericolonic infiltration are also expected in post-op period
  • 27.
    Less Common Causes •Ischemic Colitis • Omental Infarct • Uterine Fibroids • Sclerosing Mesenteritis • Crohn Disease • Abdominal Abscess • Sigmoid Volvulus • Appendicitis • Fecal Impaction
  • 28.
    Less Common Causes •Peritonitis • Pyelonephritis • Renal Cell Carcinoma • Renal Infarction • Coagulopathic ("Retroperitoneal") Hemorrhage • Spigelian Hernia • Inguinal Hernia
  • 29.
    Rare but Important •Bladder Fistulas
  • 30.
    Helpful Clues forLess Common Diagnoses
  • 31.
    Ischemic Colitis • Sigmoidcolon is 2nd most common site for hypoperfusion-induced ischemia • Wall thickening & luminal narrowing • Ask about prior hypotensive episode or cardiac disease
  • 33.
    Omental Infarct • Primaryomental infarction occurs near the ascending colon • Secondary form may occur anywhere near site of surgery, infection, radiation, etc. • Heterogeneous fatty mass, larger than epiploic appendagitis – Usually farther removed from surface of colon than for epiploic appendagitis • Usually resolves without specific treatment
  • 35.
    Sclerosing Mesenteritis • Beingdiagnosed much more commonly as cause of recurrent abdominal pain, usually poorly localized • "Misty mesentery" with cluster of jejunal mesentery nodes with surrounding thin capsule • Often with history of prior similar episodes • May respond to steroid therapy or resolve on its own
  • 37.
    Abdominal Abscess • Usuallyin post-operative patient, or following appendicitis, diverticulitis
  • 39.
    Sigmoid Volvulus • Veryelongated & dilated sigmoid colon, folded back on itself ("coffee bean" or "football" signs) • Colon proximal to sigmoid will be dilated, but not as much as sigmoid • CT will show twisting of vessels in base of sigmoid mesocolon
  • 41.
    Appendicitis • Appendix maybe very long or may arise from a malrotated colon, lead to left-sided symptoms
  • 42.
    Fecal Impaction • Common,but can lead to stercoral ulceration with erosion through colonic wall
  • 49.