Rechter fossa syndroom
5/12/2013
Terugkomdag Heelkunde
 Casus 1 – Nils Veressen
– Man, 22 jaar
• Huidig probleem
–Gisteren op werk abdominale last en algemene
malaise. Vandaag voelde hij zich beter, maar
ging toch naar de huisarts. Deze stuurde hem
door naar echografie, omwille van heel lichte
gevoeligheid in het rechter hypogastrium.
–Deze echo toonde het beeld van een
beginnende acute appendicitis, waarna de
patiënt naar spoed verwezen werd
• Anamnese
–Welke ?...
History
Common Complaints:
Abdominal pain
Change in appetite
Dysphagia/Odynophagia
Nausea/Vomiting
Jaundice
Change in bowel habits
Melena/Hematochezia
Hemorrhoids
3
 Casus 1 – Nils Veressen
– Man, 22 jaar
• Anamnese
–Er is geen nausea of braken. Er is ook geen
ziektegevoel. De patiënt heeft vandaag ook geen
abdominale last meer gehad.
–Normale eetlust en normale stoelgang zijn
aanwezig.
–De patiënt heeft 4 pakjaren (sporadisch gebruik
van cannabis) en een lichte allergie voor
huisstofmijt. De patiënt heeft geen vervoerspijn.
• Verdere anamnese, welke ?...
 Casus 1 – Nils Veressen
– Man, 22 jaar
• Medicatie
–Xyzall
• Voorgeschiedenis
–IBS
• Familiale voorgeschiedenis
– “moeder heeft slechte bloedvaten”
• Klinisch onderzoek
–Welke ?...
Anatomy
Regions (Anatomical) Quadrants (Clinical)
6
Surface Anatomy
7
Exam Order
Inspection
Auscultation
Percussion or palpation can alter bowel sound
frequency
Percussion
Palpation
9
Abdominal Physical Exam
Palpation
Start farthest from pain and move towards it
4 abdominal quadrants
Light palpation
Deep palpation
Peritoneal inflammation
Pain with coughing, gentle palpation
Involuntary rigidity
Rebound tenderness
10
Abdominal Physical Exam
Palpation - Right Lower Quadrant
Cecum
Vermiform appendix
McBurney’s point
Rovsing’s sign
Psoas sign
Obturator sign
Most of ileum
Ascending colon: inferior part
Right ovary
Right uterine tube
Right spermatic cord
Uterus (if enlarged)
Urinary bladder (if full)
11
Abdominal Physical Exam
Palpation - Right Lower Quadrant
Cecum
Vermiform appendix
McBurney’s point
Rovsing’s sign
Psoas sign
Obturator sign
Most of ileum
Ascending colon: inferior part
Right ovary
Right uterine tube
Right spermatic cord
Uterus (if enlarged)
Urinary bladder (if full)
12
Abdominal Physical Exam
Palpation - Right Lower Quadrant
13
 Casus 1 – Nils Veressen
– Man, 22 jaar
• Klinisch onderzoek
 Casus 1 – Nils Veressen
– Man, 22 jaar
• Klinisch onderzoek
–Geen koorts (36,4°C)
–Hartritme: 80; Bloeddruk: 11,7, normale
capillaire refill
–Comfortabele patiënt
–Soepel abdomen, geen diepe drukpijn.
–Geen loslaatpijn, geen percussiepijn
–Rovsing, Mc Burney negatief
–Geen nierslagpijn
• Labo
–Welke ?...
 Casus 1 – Nils Veressen
– Man, 22 jaar
• Labo
• Extern uitgevoerd, nog niet alle waarden werden
bepaald:
–Leukocyten, leukocytenformule, MCH, MCHC,
thrombocyten waren normaal
–Nog niet bepaald: CRP, ijzer, ferritine, B12,
glucose, creatinine, GFR, SGOT, SGPT, gamma-
GT, alk. fosf., LDH, VIT D-25
• Differentieel diagnose ?...
More common in adults More common
in the elderly
Adult females Genitourinary Medical
Appendicitis,
Appendix
abscess
Inflammatory
bowel disease
Caecal tumour Ruptured ectopic
pregnancy
Ureteric calculus Pneumonia
Gastroenteritis Epiploic
appendagitis
Caecal perforation Adnexal torsion Urinary tract
infection
Diabetic
ketoacidosis
Intestinal
obstruction
Acute
cholecystitis/
ascending
cholangitis
Acute diverticulitis Ruptured/
torsion
ovarian cyst
Pyelonephritis Nerve root
entrapment
Pancreatitis,
Peptic ulcer
perforation
Inguinal or femoral
hernia
Caecal or sigmoid
volvulus
Pelvic
inflammatory
disease
Testicular torsion Herpes zoster
Carcinoid Ischaemic bowel Abdominal aortic
aneurysm
Endometriosis Acute porphyria
Lymphoma Constipation Ruptured ovarian
follicle
Acute appendicitis
 Most common cause of acute RIF pain
 Clinical diagnosis on patient history and physical
examination
– Any age, but most common 10-20 years
– Abdominal pain
• Colicky, central abdominal pain
• Followed by vomiting and migration of pain to RIF (50%)
– Loss of appetite, constipation, nausea
– Pyrexia, tachycardia and localized tenderness
– Accuracy for clinical diagnosis
• Men : 80-90% Women : 60-80%
 Conventional surgical wisdom is based on the
belief that an inverse relationship exists between
the negative appendectomy rate (NAR), i.e.
removal of a non-inflamed appendix, and the
perforation rate
 Thus, a false-negative appendectomy rate of 15–
23% is regarded as an index of appropriate
management and the failure to maintain such a
surgical threshold is an indication of insufficient
surgical aggression, with an attendant risk of an
excessive rate of perforation
Acute appendicitis
Crohn’s disease
 Although inflammatory bowel disease is usually a
chronic condition, flare-ups may present acutely
 Peak age of onset 15-30 years
 Many cases of Crohn’s diagnosed during work-up of
acute LRQP since ileocecal region is most commonly
affected
– Apposed to ulcerative colitis which dominates the left colon
 CT best imaging modality
– Two most common imaging findings
• Eccentric wall thickening
• Mucosal hyperenhancement
Crohn’s disease
 CT imaging
– Presence of intramural fat indicates chronic changes
– Segmental involvement with skipped (normal) regions
• vs ulcerative colitis – involves bowel in more continuous fashion
– Comb sign
• Engorgement of the vasa recta penetrating the bowel wall
• Advanced, extensive and active Chron’s disease
– Creeping fat sign
• Fibrofatty proliferation along the mesenteric border of the affected
bowel - almost pathagnomonic
– Complications
• Small bowel strictures causing obstruction
• Fistulas and abscesses
Crohn’s disease : Thickened terminal
ileum ; diagnosis confirmed at histology
Thickened terminal ileum ; strictures ;
mucosal hyperenhancement ;
proliferation of mesenteric fat (black
arrow)
Y shaped fistula : Cecum
(arrowhead) ; terminal ileum (white
arrow) ; psoas abscess (*)
Infectious enterocolitis
 Infectious enterocolitis have symptoms similar to viral
gastroenteritis
 Most cases require no imaging
– In cases of severe or persistent imaging is helpful for
differentiation from alternative diagnosis
 Most common organisms
– Yersinia enterocolitica
– Campylobacter jejeni
– Salmonella enteritidis
 Non-specific CT findings
– Circumferencial mural thickening
of terminal ileum and cecum
– Homogenous mural enhancement
– Adjacent lymphadenopathy
Neutropenic colitis (Typhlitis)
 Neutropenic patient undergoing chemotherapy
 RLQP, fever, diarrhoea, ± peritonitis
 CT is study of choice if suspected
– Risk of bowel perforation with contrast enema or
colonoscopy
 Typhlitis usually involves the right colon, but
terminal ileum and transverse colon may be
involved
 CT findings
– Cecal distension
– Circumferential wall thickening with areas of low
attenuation due to edema or necrosis
– Inflammatory stranding of adjacent mesenteric fat, ±
lymphadenopathy
Neutropenic colitis (Typhlitis) : cecal mural
thickening (white arrow) ; normal left colon wall (black arrow) ;
pericecal lymphadenopathy (arrowhead)
Diverticulitis
 One of the most common causes of acute
abdominal pain in the elderly
 Left and sigmoid colon predominantly affected
 Less commonly right colon and cecum may be
affected – mimicking appendicitis
 CT investigation of choice
– Asymmetric or circumferential colonic wall thickening
– Associated focal pericolic fat stranding
– Inflammed diverticulum often visible at level of
maximal fat stranding
– Normal appendix is important in differentiating from
appendicitis
– Pericolic lymphnodes suggests malignancy rather than
diverticulitis
Diverticulitis
 Rare causes
– Aquired small bowel diverticula
• Mucosal herniation of bowel at sites of vscular entry
• Mesenteric border of terminal ileum < 7,5 cm from
ileocecal valve
– Meckel diverticulum
• Most common congenital abnormality of the GI tract
• Omphalomesenteric duct does not obliterate during
development
• Anti-mesenteric border of ileum, ± 100 cm from
ileocecal valve
• May contain ectopic gastric mucosa
– Mucosal ulceration and GIT bleeding
Diverticulitis : Multiple right
colonic diverticula ; adjacent fat
stranding (arrow) ; sigmoid diverticula
with no fat stranding (arrowheads)
Diverticulitis : Multiple sigmoid diverticula
(straight white arrows) ; thick walled sigmoid colon
(curved white arrow) ; mesenteric fat stranding (black
arrow)
Epiploic appendagitis
 Round fat containing peritoneal pouches
arising from serosal surface of the colon
– 0,5 – 5 cm in lentgh
– More common in left and sigmoid colon
 Uncommon and self limiting condition
 Mostly middle aged men
 Caused by torsion or
venous thrombosis of
the epiploic appendages
 CT findings
– Pericolic, round tot oval lesion
of fat attenuation with a
hyperattenuating rim
Mesenteric adenitis
 Primary mesenteric adenitis defined as
– Clustered (>3) right sided lymphnodes in small
bowel mesentery or anterior to psoas muscle
– Larger than 5mm
– No identifiable acute inflammatory condition
 More common in children
– Acute RLQP, fever, leukocytosis
 Diagnosis of exclusion
Malignancies
 LRQP may be the intial presentation of
malignancy involving the ileocecal region
 Especially in event of complications
like perforation or abscess
 Adenocarcinoma
– >95% of all malignant cecal masses
– Focal concentric mass with overhanging
shoulders
– Associated enlarged pericolic nodes
 Lymphoma
– 80% of lymphoma of ileum and colon occur in ileocecal
region
• Peyer patches (lymphoid tissue) develop in terminal ileum
– Older patients 50-70 yrs
Malignancies
 Lymphoma
– Non-specific symptoms (weight
loss and abd pain), so often
presents late
– Four forms of ileocecal lymphoma
• Circumferential or constrictive
– Most common and may mimic
adenocarcinoma
– Usually longer segment affected
more gradual transition from
tumor to normal bowel
– Lack of bowel obstruction in
presence of a large massshould
raise suspicion of lymphoma
• Polypoid
• Ulcerative
• Aneurysmal
Intussusception
 Rare in adults (<5%)
– Mostly idiopathic in children ; <2yrs (40% 3-6mnths)
– Adults secondary to lead point – benign or malignant neoplasm
 Target shaped bowel-within-bowel appearance is the classic
appearance on axial scans and is pathognomonic
Cecal volvulus
 Rare condition in patients with abnormally mobile
cecum
– Due to congenital or acquired abnormal fixation to the
posterior parietal peritoneum
 Predisposing or triggering factors
– Previous laparotomy, distal
obstruction, neoplasm, constipation
and pregnancy
 Presents with acute constant or cramping RLQP
 Three types
– type I : Axial torsion type
• the cecum twists in the axial plane, rotating along its long axis
– type II : Loop type
• the distended cecum twists and inverts
– type III : Cecal bascule
• the distended cecum folds anteriorly without any torsion
Cecal volvulus
 Diagnosis on plain radiography < 50% of cases
 MDCT can recognize subtypes and
complications (ischemia and obstruction)
– combination of a distended ectopic cecum and the
swirl of the mesenteric vessels is seen in type I and
II
– type II volvulus (the loop type), the cecum usually
occupies the left upper quadrant
– in the bascule type, the swirl of the vessels is not
present
 Casus 1 – Nils Veressen
– Man, 22 jaar
• Beleid
– Omwille van deze zeer weinige klinische last, en normaal
bloedbeeld (huidig moment een alvaradoscore van 0)
werd door de assistent heelkunde beslist om de
echografie opnieuw uit te voeren.
– Echo: Deze toonde opnieuw een beeld van een acute
beginnende appendicitis. (verdikte eerste 2 cm aan de
basis van appendix met een transversale dikte van 7,4mm
met verdikte wand en hyperreflectief mucosareliëf)
 Casus 1 – Nils Veressen
– Man, 22 jaar
• Diagnose
–Acute beginnende appendicitis (van echo)
–Opname voor laparoscopische appendectomie
• APO
–Beperkte eosinofilie
• Bedenkingen ?...
 Casus 1 – Nils Veressen
– Man, 22 jaar
• Vragen casus
–Wat is de waarde van de Alvaradoscore?
–Is het aangewezen een echo opnieuw uit te
voeren, indien deze extern gebeurd is door een
onbekende arts, indien de Alvaradoscore 0 is
• The Alvarado score for predicting acute appendicitis:
a systematic review, Ohle et al.BMC Medicine 9:139
(2011)
 Casus 1 – Nils Veressen
– Man, 22 jaar
 Casus 1 – Nils Veressen
– Man, 22 jaar
 Casus 2 – Anke Van Hauwaert
– Vrouw, 36 jaar
• Anamnese
–Sinds gisteren stekende pijn t.h.v rechter fossa,
nu eerder een continu zeurend karakter.
–Geen nausea, geen braken, normale eetlust
–Normaal stoelgangspatroon, normale mictie
–Koorts, koude rillingen
–Tijdens laatste pilvrije periode geen bloeding
gehad, laatste bloeding 5weken geleden
–Regelmatige cyclus onder Yaz, geen
intermenstrueel bloedverlies
–Geen postcoïtaal bloedverlies, geen abnormaal
vaginaal verlies, laatst gegeten om 16u00
 Casus 2 – Anke Van Hauwaert
– Vrouw, 36 jaar
• Medische voorgeschiedenis
–Borstingreep
–Endometriose
–Hypothyroïdie
• Medicatie
–Anticonceptie
–L-thyroxine
 Casus 2 – Anke Van Hauwaert
– Vrouw, 36 jaar
• Klinisch onderzoek
–Abdomen:
 Uitlokbare drukpijn over punt van Mc
Burney
 Geen loslaatpijn
 Geen spierverzet
 Geen percussiepijn
 Rovsing: negatief
 Psoasteken: negatief
 Casus 2 – Anke Van Hauwaert
– Vrouw, 36 jaar
• Klinisch onderzoek
–Gynaecologisch:
 Inspectie vulva/vagina: normaal
 In speculo: gave cervix, wisser werd
afgenomen
 Bimanueel vaginaal onderzoek: uterus
in AVF, adnexen palpatoir negatief
–Urologisch:
 NSP rechts (niet zeer duidelijk)
 Casus 2 – Anke Van Hauwaert
– Vrouw, 36 jaar
• Labo
–CRP: 6.2 mg/dl
–HCG: negatief
–Creatinine: 0.95mg/dl
–Leukocytose: 11 x 10^3/microliter
–LDH: 213U/L
–Bilirubine totaal: 0.27mg/dl
–Na+, K+, Cl-, HCO3-: ok
 Casus 2 – Anke Van Hauwaert
– Vrouw, 36 jaar
• Labo
• Microbiologie cervicale wisser:
–aerobe cultuur: normale vaginale flora
• Urinestaal midstream:
–WBC: +++
–RBC/Hb/myoglobuline: ++
• Microscopie:
–RBC: 76/microliter
–WBC: 20/microliter
• Aerobe cultuur: enterococcus species
 Casus 2 – Anke Van Hauwaert
– Vrouw, 36 jaar
• Technische onderzoeken:
–Transvaginale echografie
 Uterus in AVF, normaal aspect
 Endometrium goed aflijnbaar en dun
(3mm)
 Linker ovarium: normaal aspect
 Rechter ovarium: normaal aspect
 Geen vrij vocht, geen evidentie voor
massa, niet-pijnlijk onderzoek
 Casus 2 – Anke Van Hauwaert
– Vrouw, 36 jaar
• Technische onderzoeken:
–Echografie abdomen
 Normaal volume en reflectiepatroon
van de lever. Cholecystolithiasis.
 Normaal kaliber galwegen. Normaal
voorkomen pancreas, milt en nieren.
 Geen vrij vocht. Geen pathologische
darmwandverdikking.
 De appendix is niet visualiseerbaar,
Geen indirecte argumenten voor
appendicitis.
 Casus 2 – Anke Van Hauwaert
– Vrouw, 36 jaar
• Alvarado-score 6
• Differentieel diagnose ?...
• Diagnose en beleid ?...
More common in adults More common
in the elderly
Adult females Genitourinary Medical
Appendicitis,
Appendix
abscess
Inflammatory
bowel disease
Caecal tumour Ruptured ectopic
pregnancy
Ureteric calculus Pneumonia
Gastroenteritis Epiploic
appendagitis
Caecal perforation Adnexal torsion Urinary tract
infection
Diabetic
ketoacidosis
Intestinal
obstruction
Acute
cholecystitis/
ascending
cholangitis
Acute diverticulitis Ruptured/
torsion
ovarian cyst
Pyelonephritis Nerve root
entrapment
Pancreatitis,
Peptic ulcer
perforation
Inguinal or femoral
hernia
Caecal or sigmoid
volvulus
Pelvic
inflammatory
disease
Testicular torsion Herpes zoster
Carcinoid Ischaemic bowel Abdominal aortic
aneurysm
Endometriosis Acute porphyria
Lymphoma Constipation Ruptured ovarian
follicle
More common in adults More common
in the elderly
Adult females Genitourinary Medical
Appendicitis,
Appendix
abscess
Inflammatory
bowel disease
Caecal tumour Ruptured ectopic
pregnancy
Ureteric calculus Pneumonia
Gastroenteritis Epiploic
appendagitis
Caecal perforation Adnexal torsion Urinary tract
infection
Diabetic
ketoacidosis
Intestinal
obstruction
Acute
cholecystitis/
ascending
cholangitis
Acute diverticulitis Ruptured/
torsion
ovarian cyst
Pyelonephritis Nerve root
entrapment
Pancreatitis,
Peptic ulcer
perforation
Inguinal or femoral
hernia
Caecal or sigmoid
volvulus
Pelvic
inflammatory
disease
Testicular torsion Herpes zoster
Carcinoid Ischaemic bowel Abdominal aortic
aneurysm
Endometriosis Acute porphyria
Lymphoma Constipation Ruptured ovarian
follicle
Adult (reproductive age) females
 Ruptured ectopic pregnancy
– Ultrasound usually used to confirm intra-uterine
pregnancy and exclude ectopic pregnancy
– Identification of extrauterine gestational sac is
uncommon
– Ultrasound findings
• Empty uterus,(+ β-hCG), adnexal mass
• Complex fluid in the Pouch of Douglas is the only positive
finding in up to ¼ of patients
Ectopic pregnancy : Complicated adnexal
mass (arrow) in a 25-yearold woman with a positive
pregnancy test ; adjacent uterus (curved arrowhead) did
not contain a gestational sac
Adult (reproductive age) females
 Adnexal torsion
– Complete or partial rotation of
the adnexa along the vascular pedicle
• Predisposing factors in half of pt
– Ipsilateral functional cyst or neoplasm
– Ultrasound findings
• Incomplete torsion
– Massive ovarian edema
– Enlarged ovary with multiple peripheral
fluid filled spaces
• Complete torsion
– Similar picture, but complex cystic regions
due to ischemic necrosis
– Fluid in the Pouch of Douglas
Adult (reproductive age) females
 Ovarian cysts
– May cause pain by
• Predisposing to ovarian torsion
• Intra cystic hemorrhage
• Rupture
 Pelvic inflammatory disease
– Ascending spread of infection from the female genital
tract- Chlamydia trachomatis, Neisseria gonorrhoeae
– Inflammatory change of the fallopian tube is the
hallmark of PID
• Normally fallopian tubes are not seen on U/S
• If infection spread to ovary a tubo-ovarian complex forms
Pelvic Inflammatory
Disease : Occluded tube (thick
arrow) ; purulent peritoneal fluid
(thin arrow)
Adult (reproductive age) females
 Endometriosis
– Most common cause of chronic pelvic pain
• May occasionally present acutely
– Endometrial tissue present outside the uterus
• Pouch of Douglas, ovaries, pelvic peritoneum
• GIT
– Rectosigmoid colon
– Ileum, jejunum and cecum
– Appendix <1%
– Transvaginal U/S of value in acute setting if suspected
– MRI of pelvis in more elective situation
• Endometriomas high signal on T1 and heterogenous high
T2
• Fat-Sat increases sensitivity
• Lesions > 1cm routinely seen
Adult (reproductive age) females
 Ruptured ovarian follicle
– During mid cycle rupture may realease small
amount of blood
– Resultant peritoneal irritation may cause transient
pain – mittelschmertz
Food for thought
 Diagnostic laparoscopy in the evaluation of right lower abdominal pain: a one-year audit.
 Authors : Lim GH, Shabbir A, So JB Institution Department of Surgery, National University Hospital,Singapore.
 Source : Singapore Med J 2008 Jun; 49(6) :451-3.Abstract
 INTRODUCTION
Acute appendicitis is the commonest cause for right lower abdominal pain. Clinical features, laboratory and
imaging investigations are either not very sensitive or specific, and neither is therapeutic. We aimed to define
the role of diagnostic laparoscopy in patients with right lower abdominal pain.
METHODS
Data was collected retrospectively from January 1, 2005 to December 31, 2005. Patients admitted to the
Emergency Department and subsequently transferred to the Department of Surgery, National University
Hospital, Singapore, with right lower abdominal pain and who eventually underwent diagnostic laparoscopy
were evaluated.
RESULTS
691 patients with right lower abdominal pain were admitted with suspected diagnosis of appendicitis.
Diagnostic laparoscopy was undertaken in 103 patients aged 17-71 years old. Of the 83 females, 78 (94
percent) were premenopausal . Histology-proven acute appendicitis was diagnosed in 78 (75.7 percent)
patients. Interestingly, within this group, 25.6 percent had other concomitant pathologies found on
laparoscopy. 25 patients had a normal appendix; gynaecological causes accounted for pain in 15 of these 25 (60
percent) cases. In four (3.9 percent) patients, no pathology was found. Complication rate was 1.9 percent,
which included ileus in two patients. In 32 (31.1 percent) patients, diagnostic laparoscopy altered the
management plan, requiring either intervention or care by a subspecialty.
CONCLUSION
Diagnostic laparoscopy is useful in evaluating patients with right lower abdominal pain, especially in those with
equivocal signs of acute appendicitis. It also has the additional benefit of being therapeutic. Premenopausal
women benefit the most from this procedure.
Food for thought
 Right iliac fossa pain in women. Conventional diagnostic approach versus
primary laparoscopy. A controlled study (65 cases)
Authors Champault G, Rizk N, Lauroy J, et al.
 Institution Service de Chirurgie Générale et Digestive, Hôpital Jean-Verdier,
Bondy.
Source Ann Chir 1993; 47(4) :316-9. Abstract
In a series of 187 patients with acute abdominal pain syndrome, 65 young
women reported non specific pain in right iliac or pelvic area. A controlled
study compared 33 patients with immediate laparoscopy and 32 explored
with a laboratory contrast or imaging approach. In the laparoscopic group,
an exact diagnosis was made in 97% of the patients, allowing in 2/3 of cases
the endoscopic treatment. Only 28% in the second group had an exact
diagnosis. Hospital stay was shorter in the laparoscopic group (4.18 vs 6.16
days; p = 0.01) decreasing the hospital cost. The authors suggest that
immediate laparoscopy should be performed in young women presenting
with non-specific abdominal pain.
 Casus 3 – Carolien Dreeskens
– Man, 41 jaar
• Medische voorgeschiedenis
–In 1999: PCI/stent, in stent trombose,
CABG, redo PCI
• Anamnese
–Uw patiënt bood zich aan via de dienst
spoedgevallen omwille van buikpijn. De
pijn was die nacht rond 1.30u opgekomen.
Hij werd er wakker van.
–De pijn was stekend van aard en
lokaliseerde zich epigastrisch.
 Casus 3 – Carolien Dreeskens
– Man, 41 jaar
• Anamnese
–Momenteel lokaliseert de pijn zich eerder
thv de rechter fossa. Flatus is nog
aanwezig. Geen ontlasting gehad. Rond 3u
heeft hij een Dafalgan Codeïne genomen.
–Gisteren was zijn ontlasting normaal.
–Geen mictiedrang.
 Casus 3 – Carolien Dreeskens
– Man, 41 jaar
• Klinisch onderzoek
– Algemeen: ziet er niet ziek uit
– Parameters: 139/86, 74 bpm, 36.8°C, 100 % sat
– Cor: S1S2, regelmatig ritme, geen souffle
– Longen: normaal bilateraal vesiculair ademgeruis,
geen bijgeluiden
– Abdomen: bewaarde peristaltiek, weerstand thv de
onderbuik > globus ? > appendiculair plastron ?,
geen loslaatpijn, percussie niet gedempt sondage
150 cc geconcentreerde urine
– Geen nierslagpijn, bij slaan op rechter nierloge pijn
in de buik
 Casus 3 – Carolien Dreeskens
– Man, 41 jaar
• Labo
–Parameters infectie / inflammatie:
CRP + 85.0 mg/L
–Celtelling: Witte bloedcellen + 21.0 x10*3/µL
–Celdifferentiatie:
–Neutrofielen segmentkernig + 81.1 %
–Lymfocyten - 8.7 % 20.0 – 45.0
–Stolling: Normaal
• Biochemie:
–Licht afwijkend natrium - 135.8 mmol/L
–Bilirubine direct/geconjugeerd + 0.3 mg/dL
 Casus 3 – Carolien Dreeskens
– Man, 41 jaar
• CT abdomen
–Beeld van acute appendicitis met wat peri-
appendiculaire inflammatie.
–Pathologische opzetting van de appendix
–Verdikte aankleurende wand
–Vergrijzing van het peri-appendiculair vetweefsel
–Geen perforatie, want er is geen vrije lucht te
weerhouden. Geen abcesvorming.
• D/ acute retrocaecale appendicitis => lap
appendectomie
 Casus 3 – Carolien Dreeskens
– Man, 41 jaar
• Bedenkingen
–Is een echo een nuttig onderzoek in de diagnose
van appendicitis? Want ik merkte in de praktijk
dat dit onderzoek vaak vals negatief is. Ten slotte
kost dit onderzoek ook geld.
–De Alvarado-score, biochemie en een CT zijn in
de praktijk betere manieren om een appendicitis
met grote waarschijnlijkheid vast te stellen
–Imaging rechter fossa syndroom
Selection of the most appropriate
imaging modality
 Depends on
– 1) Patient age and body habitus
• < 20 years
– Ultrasound initially, regardless of suspected pathology
– Then CT or MRI if additional information is required
• > 20 years
– Ultrasound initially in young, slim adults
» Particularly women of reproductive age
• Older or obese patients
– CT
 Depends on
– 2) Suspected pathology, based on clinical and
laboratory findings
• Appendicitis
• Renal colic
• Gynaecological
• Hernia
• Bowel related
• Vascular
Selection of the most appropriate
imaging modality
 XRA
– Feacal sign caecum
– Otherwise unhelpful (caecal volculus)
Acute appendicitis
 Ultrasound
– Advantages
• Widely available and inexpensive
• Avoidance of ionizing radiation
– Especially women of reproductive age and children
– Gynecological disease gives further reason for U/S evaluation
• Useful in identifying an alternative diagnosis
– Disadvantages
• Operator dependant
– Technique
• Graded compression with high frequency linear probe
– gradual and constant increase in the compression by the US probe
in the right iliac fossa
– displaces normal, air-filled bowel, or compresses it against the
posterior abdominal wall
– abnormal, non-compressible appendix is thus revealed
Acute appendicitis
Acute appendicitis
Transverse U/S : Inflammed
appendix (between calipers) ;
adjacent inflamed fat (arrow) ;
terminal ileum with air (curved arrow)
Longitudinal U/S : inflammed
appendix with proximal
appendicolith
Acute appendicitis
 CT
– Technique
• Variety of techniques in an attempt to
– Reduce radiation dose
– Maximize diagnostic yield
– Minimize preparation time for the scan
• Variation in
– Amount of abdomen imaged
– Use of IV, oral and rectal contrast
• All share same basic concept
– Acquiring thin collimation images (5mm or less) in a single breath
hold
• Unenhanced CT abdomen (No IVI, oral or rectal contrast)
– Reduces delay for patient preparation and reduces per patient cost
– Relies on intra-abdominal fat to provide contrast
» Difficult to obtain good results in thin patients
» More difficult to interpret initially, but just as accurate when
experienced (reasonably high sensitivity and specificity for clinical
decision-making 93% and 96% respectively)
Acute appendicitis
 CT
– Appearance on CT
• Filling of appendix with oral contrast is an important negative feature
• Normal appendix wall 1-2mm in thickness
• Periappendiceal fat should appear homogenous
– CT diagnosis of acute appendicitis can be made if
• Abnormal appendix identified
– Appendix diameter > 6mm
– With homogenously enhancing wall
– Mural edema may produce a target sign
– Periappendiceal inflammation in 98%
» Fat stranding
• Calcified appendicolith with pericecal inflammation
– Perforated appendicitis
• Accompanied by pericecal phlegmon or abscess
• Associated findings
– Extraluminal air
– Ileocecal thickening
– Localized lymphadenopathy
– Peritoneal enhancement
– Small bowel obstruction
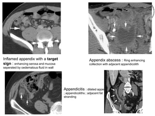
Inflamed appendix with a target
sign : enhancing serosa and mucosa
seperated by oedematous fluid in wall
Appendix abscess : Ring enhancing
collection with adjacent appendicolith
Appendicitis : dilated appendix
; appendicoliths ; adjacent fat
stranding
Acute appendicitis
 MRI
– Currently limited to patients with
right iliac fossa pain during pregnancy
• Avoiding ionizing radiation is of prime
importance
– Limited information available
• small number of studies with little
patient numbers
– Imaging techniques used
• no IV contrast
• axial, coronal and sagittal noncontiguous T2-weighted single-shot fast
spin-echo (SE) sequences
• axial fat-suppressed T2-weighted fast SE sequences
• axial T1-weighted gradient-recalled-echo sequences
• axial and coronal inversion-recovery sequences performed through the
lower abdomen and pelvis
– Illustrates normal and abnormal appendix
• May be useful in diagnosing adnexal pathology
Appendicitis : dilated appendix (black
arrowhead) ; appendicolith (black arrow) ;
adjacent fat stranding (white arrowheads)
 Conclusies
– Rechter fossa syndroom
• Uitgebreide differentieel diagnose
• Combinatie anamnese / klinisch onderzoek /
biochemie en beeldvorming noodzakelijk !
• Vrouwen gynaecologische pathologie
• Multidisciplinair overleg pediater – internist
– chirurg – gynaecoloog – radioloog
 Vragen ?

Rechter fossa syndroom

  • 1.
  • 2.
     Casus 1– Nils Veressen – Man, 22 jaar • Huidig probleem –Gisteren op werk abdominale last en algemene malaise. Vandaag voelde hij zich beter, maar ging toch naar de huisarts. Deze stuurde hem door naar echografie, omwille van heel lichte gevoeligheid in het rechter hypogastrium. –Deze echo toonde het beeld van een beginnende acute appendicitis, waarna de patiënt naar spoed verwezen werd • Anamnese –Welke ?...
  • 3.
    History Common Complaints: Abdominal pain Changein appetite Dysphagia/Odynophagia Nausea/Vomiting Jaundice Change in bowel habits Melena/Hematochezia Hemorrhoids 3
  • 4.
     Casus 1– Nils Veressen – Man, 22 jaar • Anamnese –Er is geen nausea of braken. Er is ook geen ziektegevoel. De patiënt heeft vandaag ook geen abdominale last meer gehad. –Normale eetlust en normale stoelgang zijn aanwezig. –De patiënt heeft 4 pakjaren (sporadisch gebruik van cannabis) en een lichte allergie voor huisstofmijt. De patiënt heeft geen vervoerspijn. • Verdere anamnese, welke ?...
  • 5.
     Casus 1– Nils Veressen – Man, 22 jaar • Medicatie –Xyzall • Voorgeschiedenis –IBS • Familiale voorgeschiedenis – “moeder heeft slechte bloedvaten” • Klinisch onderzoek –Welke ?...
  • 6.
  • 7.
  • 8.
    Exam Order Inspection Auscultation Percussion orpalpation can alter bowel sound frequency Percussion Palpation 9
  • 9.
    Abdominal Physical Exam Palpation Startfarthest from pain and move towards it 4 abdominal quadrants Light palpation Deep palpation Peritoneal inflammation Pain with coughing, gentle palpation Involuntary rigidity Rebound tenderness 10
  • 10.
    Abdominal Physical Exam Palpation- Right Lower Quadrant Cecum Vermiform appendix McBurney’s point Rovsing’s sign Psoas sign Obturator sign Most of ileum Ascending colon: inferior part Right ovary Right uterine tube Right spermatic cord Uterus (if enlarged) Urinary bladder (if full) 11
  • 11.
    Abdominal Physical Exam Palpation- Right Lower Quadrant Cecum Vermiform appendix McBurney’s point Rovsing’s sign Psoas sign Obturator sign Most of ileum Ascending colon: inferior part Right ovary Right uterine tube Right spermatic cord Uterus (if enlarged) Urinary bladder (if full) 12
  • 12.
    Abdominal Physical Exam Palpation- Right Lower Quadrant 13
  • 13.
     Casus 1– Nils Veressen – Man, 22 jaar • Klinisch onderzoek
  • 14.
     Casus 1– Nils Veressen – Man, 22 jaar • Klinisch onderzoek –Geen koorts (36,4°C) –Hartritme: 80; Bloeddruk: 11,7, normale capillaire refill –Comfortabele patiënt –Soepel abdomen, geen diepe drukpijn. –Geen loslaatpijn, geen percussiepijn –Rovsing, Mc Burney negatief –Geen nierslagpijn • Labo –Welke ?...
  • 15.
     Casus 1– Nils Veressen – Man, 22 jaar • Labo • Extern uitgevoerd, nog niet alle waarden werden bepaald: –Leukocyten, leukocytenformule, MCH, MCHC, thrombocyten waren normaal –Nog niet bepaald: CRP, ijzer, ferritine, B12, glucose, creatinine, GFR, SGOT, SGPT, gamma- GT, alk. fosf., LDH, VIT D-25 • Differentieel diagnose ?...
  • 16.
    More common inadults More common in the elderly Adult females Genitourinary Medical Appendicitis, Appendix abscess Inflammatory bowel disease Caecal tumour Ruptured ectopic pregnancy Ureteric calculus Pneumonia Gastroenteritis Epiploic appendagitis Caecal perforation Adnexal torsion Urinary tract infection Diabetic ketoacidosis Intestinal obstruction Acute cholecystitis/ ascending cholangitis Acute diverticulitis Ruptured/ torsion ovarian cyst Pyelonephritis Nerve root entrapment Pancreatitis, Peptic ulcer perforation Inguinal or femoral hernia Caecal or sigmoid volvulus Pelvic inflammatory disease Testicular torsion Herpes zoster Carcinoid Ischaemic bowel Abdominal aortic aneurysm Endometriosis Acute porphyria Lymphoma Constipation Ruptured ovarian follicle
  • 17.
    Acute appendicitis  Mostcommon cause of acute RIF pain  Clinical diagnosis on patient history and physical examination – Any age, but most common 10-20 years – Abdominal pain • Colicky, central abdominal pain • Followed by vomiting and migration of pain to RIF (50%) – Loss of appetite, constipation, nausea – Pyrexia, tachycardia and localized tenderness – Accuracy for clinical diagnosis • Men : 80-90% Women : 60-80%
  • 18.
     Conventional surgicalwisdom is based on the belief that an inverse relationship exists between the negative appendectomy rate (NAR), i.e. removal of a non-inflamed appendix, and the perforation rate  Thus, a false-negative appendectomy rate of 15– 23% is regarded as an index of appropriate management and the failure to maintain such a surgical threshold is an indication of insufficient surgical aggression, with an attendant risk of an excessive rate of perforation Acute appendicitis
  • 19.
    Crohn’s disease  Althoughinflammatory bowel disease is usually a chronic condition, flare-ups may present acutely  Peak age of onset 15-30 years  Many cases of Crohn’s diagnosed during work-up of acute LRQP since ileocecal region is most commonly affected – Apposed to ulcerative colitis which dominates the left colon  CT best imaging modality – Two most common imaging findings • Eccentric wall thickening • Mucosal hyperenhancement
  • 20.
    Crohn’s disease  CTimaging – Presence of intramural fat indicates chronic changes – Segmental involvement with skipped (normal) regions • vs ulcerative colitis – involves bowel in more continuous fashion – Comb sign • Engorgement of the vasa recta penetrating the bowel wall • Advanced, extensive and active Chron’s disease – Creeping fat sign • Fibrofatty proliferation along the mesenteric border of the affected bowel - almost pathagnomonic – Complications • Small bowel strictures causing obstruction • Fistulas and abscesses
  • 21.
    Crohn’s disease :Thickened terminal ileum ; diagnosis confirmed at histology Thickened terminal ileum ; strictures ; mucosal hyperenhancement ; proliferation of mesenteric fat (black arrow) Y shaped fistula : Cecum (arrowhead) ; terminal ileum (white arrow) ; psoas abscess (*)
  • 22.
    Infectious enterocolitis  Infectiousenterocolitis have symptoms similar to viral gastroenteritis  Most cases require no imaging – In cases of severe or persistent imaging is helpful for differentiation from alternative diagnosis  Most common organisms – Yersinia enterocolitica – Campylobacter jejeni – Salmonella enteritidis  Non-specific CT findings – Circumferencial mural thickening of terminal ileum and cecum – Homogenous mural enhancement – Adjacent lymphadenopathy
  • 23.
    Neutropenic colitis (Typhlitis) Neutropenic patient undergoing chemotherapy  RLQP, fever, diarrhoea, ± peritonitis  CT is study of choice if suspected – Risk of bowel perforation with contrast enema or colonoscopy  Typhlitis usually involves the right colon, but terminal ileum and transverse colon may be involved  CT findings – Cecal distension – Circumferential wall thickening with areas of low attenuation due to edema or necrosis – Inflammatory stranding of adjacent mesenteric fat, ± lymphadenopathy
  • 24.
    Neutropenic colitis (Typhlitis): cecal mural thickening (white arrow) ; normal left colon wall (black arrow) ; pericecal lymphadenopathy (arrowhead)
  • 25.
    Diverticulitis  One ofthe most common causes of acute abdominal pain in the elderly  Left and sigmoid colon predominantly affected  Less commonly right colon and cecum may be affected – mimicking appendicitis  CT investigation of choice – Asymmetric or circumferential colonic wall thickening – Associated focal pericolic fat stranding – Inflammed diverticulum often visible at level of maximal fat stranding – Normal appendix is important in differentiating from appendicitis – Pericolic lymphnodes suggests malignancy rather than diverticulitis
  • 26.
    Diverticulitis  Rare causes –Aquired small bowel diverticula • Mucosal herniation of bowel at sites of vscular entry • Mesenteric border of terminal ileum < 7,5 cm from ileocecal valve – Meckel diverticulum • Most common congenital abnormality of the GI tract • Omphalomesenteric duct does not obliterate during development • Anti-mesenteric border of ileum, ± 100 cm from ileocecal valve • May contain ectopic gastric mucosa – Mucosal ulceration and GIT bleeding
  • 27.
    Diverticulitis : Multipleright colonic diverticula ; adjacent fat stranding (arrow) ; sigmoid diverticula with no fat stranding (arrowheads) Diverticulitis : Multiple sigmoid diverticula (straight white arrows) ; thick walled sigmoid colon (curved white arrow) ; mesenteric fat stranding (black arrow)
  • 28.
    Epiploic appendagitis  Roundfat containing peritoneal pouches arising from serosal surface of the colon – 0,5 – 5 cm in lentgh – More common in left and sigmoid colon  Uncommon and self limiting condition  Mostly middle aged men  Caused by torsion or venous thrombosis of the epiploic appendages  CT findings – Pericolic, round tot oval lesion of fat attenuation with a hyperattenuating rim
  • 29.
    Mesenteric adenitis  Primarymesenteric adenitis defined as – Clustered (>3) right sided lymphnodes in small bowel mesentery or anterior to psoas muscle – Larger than 5mm – No identifiable acute inflammatory condition  More common in children – Acute RLQP, fever, leukocytosis  Diagnosis of exclusion
  • 30.
    Malignancies  LRQP maybe the intial presentation of malignancy involving the ileocecal region  Especially in event of complications like perforation or abscess  Adenocarcinoma – >95% of all malignant cecal masses – Focal concentric mass with overhanging shoulders – Associated enlarged pericolic nodes  Lymphoma – 80% of lymphoma of ileum and colon occur in ileocecal region • Peyer patches (lymphoid tissue) develop in terminal ileum – Older patients 50-70 yrs
  • 31.
    Malignancies  Lymphoma – Non-specificsymptoms (weight loss and abd pain), so often presents late – Four forms of ileocecal lymphoma • Circumferential or constrictive – Most common and may mimic adenocarcinoma – Usually longer segment affected more gradual transition from tumor to normal bowel – Lack of bowel obstruction in presence of a large massshould raise suspicion of lymphoma • Polypoid • Ulcerative • Aneurysmal
  • 32.
    Intussusception  Rare inadults (<5%) – Mostly idiopathic in children ; <2yrs (40% 3-6mnths) – Adults secondary to lead point – benign or malignant neoplasm  Target shaped bowel-within-bowel appearance is the classic appearance on axial scans and is pathognomonic
  • 33.
    Cecal volvulus  Rarecondition in patients with abnormally mobile cecum – Due to congenital or acquired abnormal fixation to the posterior parietal peritoneum  Predisposing or triggering factors – Previous laparotomy, distal obstruction, neoplasm, constipation and pregnancy  Presents with acute constant or cramping RLQP  Three types – type I : Axial torsion type • the cecum twists in the axial plane, rotating along its long axis – type II : Loop type • the distended cecum twists and inverts – type III : Cecal bascule • the distended cecum folds anteriorly without any torsion
  • 34.
    Cecal volvulus  Diagnosison plain radiography < 50% of cases  MDCT can recognize subtypes and complications (ischemia and obstruction) – combination of a distended ectopic cecum and the swirl of the mesenteric vessels is seen in type I and II – type II volvulus (the loop type), the cecum usually occupies the left upper quadrant – in the bascule type, the swirl of the vessels is not present
  • 36.
     Casus 1– Nils Veressen – Man, 22 jaar • Beleid – Omwille van deze zeer weinige klinische last, en normaal bloedbeeld (huidig moment een alvaradoscore van 0) werd door de assistent heelkunde beslist om de echografie opnieuw uit te voeren. – Echo: Deze toonde opnieuw een beeld van een acute beginnende appendicitis. (verdikte eerste 2 cm aan de basis van appendix met een transversale dikte van 7,4mm met verdikte wand en hyperreflectief mucosareliëf)
  • 37.
     Casus 1– Nils Veressen – Man, 22 jaar • Diagnose –Acute beginnende appendicitis (van echo) –Opname voor laparoscopische appendectomie • APO –Beperkte eosinofilie • Bedenkingen ?...
  • 38.
     Casus 1– Nils Veressen – Man, 22 jaar • Vragen casus –Wat is de waarde van de Alvaradoscore? –Is het aangewezen een echo opnieuw uit te voeren, indien deze extern gebeurd is door een onbekende arts, indien de Alvaradoscore 0 is • The Alvarado score for predicting acute appendicitis: a systematic review, Ohle et al.BMC Medicine 9:139 (2011)
  • 39.
     Casus 1– Nils Veressen – Man, 22 jaar
  • 40.
     Casus 1– Nils Veressen – Man, 22 jaar
  • 41.
     Casus 2– Anke Van Hauwaert – Vrouw, 36 jaar • Anamnese –Sinds gisteren stekende pijn t.h.v rechter fossa, nu eerder een continu zeurend karakter. –Geen nausea, geen braken, normale eetlust –Normaal stoelgangspatroon, normale mictie –Koorts, koude rillingen –Tijdens laatste pilvrije periode geen bloeding gehad, laatste bloeding 5weken geleden –Regelmatige cyclus onder Yaz, geen intermenstrueel bloedverlies –Geen postcoïtaal bloedverlies, geen abnormaal vaginaal verlies, laatst gegeten om 16u00
  • 42.
     Casus 2– Anke Van Hauwaert – Vrouw, 36 jaar • Medische voorgeschiedenis –Borstingreep –Endometriose –Hypothyroïdie • Medicatie –Anticonceptie –L-thyroxine
  • 43.
     Casus 2– Anke Van Hauwaert – Vrouw, 36 jaar • Klinisch onderzoek –Abdomen:  Uitlokbare drukpijn over punt van Mc Burney  Geen loslaatpijn  Geen spierverzet  Geen percussiepijn  Rovsing: negatief  Psoasteken: negatief
  • 44.
     Casus 2– Anke Van Hauwaert – Vrouw, 36 jaar • Klinisch onderzoek –Gynaecologisch:  Inspectie vulva/vagina: normaal  In speculo: gave cervix, wisser werd afgenomen  Bimanueel vaginaal onderzoek: uterus in AVF, adnexen palpatoir negatief –Urologisch:  NSP rechts (niet zeer duidelijk)
  • 45.
     Casus 2– Anke Van Hauwaert – Vrouw, 36 jaar • Labo –CRP: 6.2 mg/dl –HCG: negatief –Creatinine: 0.95mg/dl –Leukocytose: 11 x 10^3/microliter –LDH: 213U/L –Bilirubine totaal: 0.27mg/dl –Na+, K+, Cl-, HCO3-: ok
  • 46.
     Casus 2– Anke Van Hauwaert – Vrouw, 36 jaar • Labo • Microbiologie cervicale wisser: –aerobe cultuur: normale vaginale flora • Urinestaal midstream: –WBC: +++ –RBC/Hb/myoglobuline: ++ • Microscopie: –RBC: 76/microliter –WBC: 20/microliter • Aerobe cultuur: enterococcus species
  • 47.
     Casus 2– Anke Van Hauwaert – Vrouw, 36 jaar • Technische onderzoeken: –Transvaginale echografie  Uterus in AVF, normaal aspect  Endometrium goed aflijnbaar en dun (3mm)  Linker ovarium: normaal aspect  Rechter ovarium: normaal aspect  Geen vrij vocht, geen evidentie voor massa, niet-pijnlijk onderzoek
  • 48.
     Casus 2– Anke Van Hauwaert – Vrouw, 36 jaar • Technische onderzoeken: –Echografie abdomen  Normaal volume en reflectiepatroon van de lever. Cholecystolithiasis.  Normaal kaliber galwegen. Normaal voorkomen pancreas, milt en nieren.  Geen vrij vocht. Geen pathologische darmwandverdikking.  De appendix is niet visualiseerbaar, Geen indirecte argumenten voor appendicitis.
  • 49.
     Casus 2– Anke Van Hauwaert – Vrouw, 36 jaar • Alvarado-score 6 • Differentieel diagnose ?... • Diagnose en beleid ?...
  • 50.
    More common inadults More common in the elderly Adult females Genitourinary Medical Appendicitis, Appendix abscess Inflammatory bowel disease Caecal tumour Ruptured ectopic pregnancy Ureteric calculus Pneumonia Gastroenteritis Epiploic appendagitis Caecal perforation Adnexal torsion Urinary tract infection Diabetic ketoacidosis Intestinal obstruction Acute cholecystitis/ ascending cholangitis Acute diverticulitis Ruptured/ torsion ovarian cyst Pyelonephritis Nerve root entrapment Pancreatitis, Peptic ulcer perforation Inguinal or femoral hernia Caecal or sigmoid volvulus Pelvic inflammatory disease Testicular torsion Herpes zoster Carcinoid Ischaemic bowel Abdominal aortic aneurysm Endometriosis Acute porphyria Lymphoma Constipation Ruptured ovarian follicle
  • 51.
    More common inadults More common in the elderly Adult females Genitourinary Medical Appendicitis, Appendix abscess Inflammatory bowel disease Caecal tumour Ruptured ectopic pregnancy Ureteric calculus Pneumonia Gastroenteritis Epiploic appendagitis Caecal perforation Adnexal torsion Urinary tract infection Diabetic ketoacidosis Intestinal obstruction Acute cholecystitis/ ascending cholangitis Acute diverticulitis Ruptured/ torsion ovarian cyst Pyelonephritis Nerve root entrapment Pancreatitis, Peptic ulcer perforation Inguinal or femoral hernia Caecal or sigmoid volvulus Pelvic inflammatory disease Testicular torsion Herpes zoster Carcinoid Ischaemic bowel Abdominal aortic aneurysm Endometriosis Acute porphyria Lymphoma Constipation Ruptured ovarian follicle
  • 52.
    Adult (reproductive age)females  Ruptured ectopic pregnancy – Ultrasound usually used to confirm intra-uterine pregnancy and exclude ectopic pregnancy – Identification of extrauterine gestational sac is uncommon – Ultrasound findings • Empty uterus,(+ β-hCG), adnexal mass • Complex fluid in the Pouch of Douglas is the only positive finding in up to ¼ of patients Ectopic pregnancy : Complicated adnexal mass (arrow) in a 25-yearold woman with a positive pregnancy test ; adjacent uterus (curved arrowhead) did not contain a gestational sac
  • 53.
    Adult (reproductive age)females  Adnexal torsion – Complete or partial rotation of the adnexa along the vascular pedicle • Predisposing factors in half of pt – Ipsilateral functional cyst or neoplasm – Ultrasound findings • Incomplete torsion – Massive ovarian edema – Enlarged ovary with multiple peripheral fluid filled spaces • Complete torsion – Similar picture, but complex cystic regions due to ischemic necrosis – Fluid in the Pouch of Douglas
  • 54.
    Adult (reproductive age)females  Ovarian cysts – May cause pain by • Predisposing to ovarian torsion • Intra cystic hemorrhage • Rupture  Pelvic inflammatory disease – Ascending spread of infection from the female genital tract- Chlamydia trachomatis, Neisseria gonorrhoeae – Inflammatory change of the fallopian tube is the hallmark of PID • Normally fallopian tubes are not seen on U/S • If infection spread to ovary a tubo-ovarian complex forms
  • 55.
    Pelvic Inflammatory Disease :Occluded tube (thick arrow) ; purulent peritoneal fluid (thin arrow)
  • 56.
    Adult (reproductive age)females  Endometriosis – Most common cause of chronic pelvic pain • May occasionally present acutely – Endometrial tissue present outside the uterus • Pouch of Douglas, ovaries, pelvic peritoneum • GIT – Rectosigmoid colon – Ileum, jejunum and cecum – Appendix <1% – Transvaginal U/S of value in acute setting if suspected
  • 57.
    – MRI ofpelvis in more elective situation • Endometriomas high signal on T1 and heterogenous high T2 • Fat-Sat increases sensitivity • Lesions > 1cm routinely seen
  • 58.
    Adult (reproductive age)females  Ruptured ovarian follicle – During mid cycle rupture may realease small amount of blood – Resultant peritoneal irritation may cause transient pain – mittelschmertz
  • 59.
    Food for thought Diagnostic laparoscopy in the evaluation of right lower abdominal pain: a one-year audit.  Authors : Lim GH, Shabbir A, So JB Institution Department of Surgery, National University Hospital,Singapore.  Source : Singapore Med J 2008 Jun; 49(6) :451-3.Abstract  INTRODUCTION Acute appendicitis is the commonest cause for right lower abdominal pain. Clinical features, laboratory and imaging investigations are either not very sensitive or specific, and neither is therapeutic. We aimed to define the role of diagnostic laparoscopy in patients with right lower abdominal pain. METHODS Data was collected retrospectively from January 1, 2005 to December 31, 2005. Patients admitted to the Emergency Department and subsequently transferred to the Department of Surgery, National University Hospital, Singapore, with right lower abdominal pain and who eventually underwent diagnostic laparoscopy were evaluated. RESULTS 691 patients with right lower abdominal pain were admitted with suspected diagnosis of appendicitis. Diagnostic laparoscopy was undertaken in 103 patients aged 17-71 years old. Of the 83 females, 78 (94 percent) were premenopausal . Histology-proven acute appendicitis was diagnosed in 78 (75.7 percent) patients. Interestingly, within this group, 25.6 percent had other concomitant pathologies found on laparoscopy. 25 patients had a normal appendix; gynaecological causes accounted for pain in 15 of these 25 (60 percent) cases. In four (3.9 percent) patients, no pathology was found. Complication rate was 1.9 percent, which included ileus in two patients. In 32 (31.1 percent) patients, diagnostic laparoscopy altered the management plan, requiring either intervention or care by a subspecialty. CONCLUSION Diagnostic laparoscopy is useful in evaluating patients with right lower abdominal pain, especially in those with equivocal signs of acute appendicitis. It also has the additional benefit of being therapeutic. Premenopausal women benefit the most from this procedure.
  • 60.
    Food for thought Right iliac fossa pain in women. Conventional diagnostic approach versus primary laparoscopy. A controlled study (65 cases) Authors Champault G, Rizk N, Lauroy J, et al.  Institution Service de Chirurgie Générale et Digestive, Hôpital Jean-Verdier, Bondy. Source Ann Chir 1993; 47(4) :316-9. Abstract In a series of 187 patients with acute abdominal pain syndrome, 65 young women reported non specific pain in right iliac or pelvic area. A controlled study compared 33 patients with immediate laparoscopy and 32 explored with a laboratory contrast or imaging approach. In the laparoscopic group, an exact diagnosis was made in 97% of the patients, allowing in 2/3 of cases the endoscopic treatment. Only 28% in the second group had an exact diagnosis. Hospital stay was shorter in the laparoscopic group (4.18 vs 6.16 days; p = 0.01) decreasing the hospital cost. The authors suggest that immediate laparoscopy should be performed in young women presenting with non-specific abdominal pain.
  • 61.
     Casus 3– Carolien Dreeskens – Man, 41 jaar • Medische voorgeschiedenis –In 1999: PCI/stent, in stent trombose, CABG, redo PCI • Anamnese –Uw patiënt bood zich aan via de dienst spoedgevallen omwille van buikpijn. De pijn was die nacht rond 1.30u opgekomen. Hij werd er wakker van. –De pijn was stekend van aard en lokaliseerde zich epigastrisch.
  • 62.
     Casus 3– Carolien Dreeskens – Man, 41 jaar • Anamnese –Momenteel lokaliseert de pijn zich eerder thv de rechter fossa. Flatus is nog aanwezig. Geen ontlasting gehad. Rond 3u heeft hij een Dafalgan Codeïne genomen. –Gisteren was zijn ontlasting normaal. –Geen mictiedrang.
  • 63.
     Casus 3– Carolien Dreeskens – Man, 41 jaar • Klinisch onderzoek – Algemeen: ziet er niet ziek uit – Parameters: 139/86, 74 bpm, 36.8°C, 100 % sat – Cor: S1S2, regelmatig ritme, geen souffle – Longen: normaal bilateraal vesiculair ademgeruis, geen bijgeluiden – Abdomen: bewaarde peristaltiek, weerstand thv de onderbuik > globus ? > appendiculair plastron ?, geen loslaatpijn, percussie niet gedempt sondage 150 cc geconcentreerde urine – Geen nierslagpijn, bij slaan op rechter nierloge pijn in de buik
  • 64.
     Casus 3– Carolien Dreeskens – Man, 41 jaar • Labo –Parameters infectie / inflammatie: CRP + 85.0 mg/L –Celtelling: Witte bloedcellen + 21.0 x10*3/µL –Celdifferentiatie: –Neutrofielen segmentkernig + 81.1 % –Lymfocyten - 8.7 % 20.0 – 45.0 –Stolling: Normaal • Biochemie: –Licht afwijkend natrium - 135.8 mmol/L –Bilirubine direct/geconjugeerd + 0.3 mg/dL
  • 65.
     Casus 3– Carolien Dreeskens – Man, 41 jaar • CT abdomen –Beeld van acute appendicitis met wat peri- appendiculaire inflammatie. –Pathologische opzetting van de appendix –Verdikte aankleurende wand –Vergrijzing van het peri-appendiculair vetweefsel –Geen perforatie, want er is geen vrije lucht te weerhouden. Geen abcesvorming. • D/ acute retrocaecale appendicitis => lap appendectomie
  • 66.
     Casus 3– Carolien Dreeskens – Man, 41 jaar • Bedenkingen –Is een echo een nuttig onderzoek in de diagnose van appendicitis? Want ik merkte in de praktijk dat dit onderzoek vaak vals negatief is. Ten slotte kost dit onderzoek ook geld. –De Alvarado-score, biochemie en een CT zijn in de praktijk betere manieren om een appendicitis met grote waarschijnlijkheid vast te stellen –Imaging rechter fossa syndroom
  • 67.
    Selection of themost appropriate imaging modality  Depends on – 1) Patient age and body habitus • < 20 years – Ultrasound initially, regardless of suspected pathology – Then CT or MRI if additional information is required • > 20 years – Ultrasound initially in young, slim adults » Particularly women of reproductive age • Older or obese patients – CT
  • 68.
     Depends on –2) Suspected pathology, based on clinical and laboratory findings • Appendicitis • Renal colic • Gynaecological • Hernia • Bowel related • Vascular Selection of the most appropriate imaging modality
  • 69.
     XRA – Feacalsign caecum – Otherwise unhelpful (caecal volculus) Acute appendicitis
  • 70.
     Ultrasound – Advantages •Widely available and inexpensive • Avoidance of ionizing radiation – Especially women of reproductive age and children – Gynecological disease gives further reason for U/S evaluation • Useful in identifying an alternative diagnosis – Disadvantages • Operator dependant – Technique • Graded compression with high frequency linear probe – gradual and constant increase in the compression by the US probe in the right iliac fossa – displaces normal, air-filled bowel, or compresses it against the posterior abdominal wall – abnormal, non-compressible appendix is thus revealed Acute appendicitis
  • 71.
  • 72.
    Transverse U/S :Inflammed appendix (between calipers) ; adjacent inflamed fat (arrow) ; terminal ileum with air (curved arrow) Longitudinal U/S : inflammed appendix with proximal appendicolith
  • 73.
    Acute appendicitis  CT –Technique • Variety of techniques in an attempt to – Reduce radiation dose – Maximize diagnostic yield – Minimize preparation time for the scan • Variation in – Amount of abdomen imaged – Use of IV, oral and rectal contrast • All share same basic concept – Acquiring thin collimation images (5mm or less) in a single breath hold • Unenhanced CT abdomen (No IVI, oral or rectal contrast) – Reduces delay for patient preparation and reduces per patient cost – Relies on intra-abdominal fat to provide contrast » Difficult to obtain good results in thin patients » More difficult to interpret initially, but just as accurate when experienced (reasonably high sensitivity and specificity for clinical decision-making 93% and 96% respectively)
  • 74.
    Acute appendicitis  CT –Appearance on CT • Filling of appendix with oral contrast is an important negative feature • Normal appendix wall 1-2mm in thickness • Periappendiceal fat should appear homogenous – CT diagnosis of acute appendicitis can be made if • Abnormal appendix identified – Appendix diameter > 6mm – With homogenously enhancing wall – Mural edema may produce a target sign – Periappendiceal inflammation in 98% » Fat stranding • Calcified appendicolith with pericecal inflammation – Perforated appendicitis • Accompanied by pericecal phlegmon or abscess • Associated findings – Extraluminal air – Ileocecal thickening – Localized lymphadenopathy – Peritoneal enhancement – Small bowel obstruction
  • 75.
    Inflamed appendix witha target sign : enhancing serosa and mucosa seperated by oedematous fluid in wall Appendix abscess : Ring enhancing collection with adjacent appendicolith Appendicitis : dilated appendix ; appendicoliths ; adjacent fat stranding
  • 77.
    Acute appendicitis  MRI –Currently limited to patients with right iliac fossa pain during pregnancy • Avoiding ionizing radiation is of prime importance – Limited information available • small number of studies with little patient numbers – Imaging techniques used • no IV contrast • axial, coronal and sagittal noncontiguous T2-weighted single-shot fast spin-echo (SE) sequences • axial fat-suppressed T2-weighted fast SE sequences • axial T1-weighted gradient-recalled-echo sequences • axial and coronal inversion-recovery sequences performed through the lower abdomen and pelvis – Illustrates normal and abnormal appendix • May be useful in diagnosing adnexal pathology
  • 78.
    Appendicitis : dilatedappendix (black arrowhead) ; appendicolith (black arrow) ; adjacent fat stranding (white arrowheads)
  • 79.
     Conclusies – Rechterfossa syndroom • Uitgebreide differentieel diagnose • Combinatie anamnese / klinisch onderzoek / biochemie en beeldvorming noodzakelijk ! • Vrouwen gynaecologische pathologie • Multidisciplinair overleg pediater – internist – chirurg – gynaecoloog – radioloog
  • 80.