By Navdeep Singh
 Fat stranding refers to an abnormal increased
attenuation in fat.
 Abdominal fat stranding can produce various
appearances. Mild inflammation may cause a subtle
hazy increased attenuation of the fat (ground-glass
like), increasing severity of the inflammation can
produce a reticular pattern, with more well-defined
linear areas of increased attenuation.
 The underlying pathophysiologic process is increased
edema and engorgement of lymphatics.
 What is the location of the fat stranding?
 What other structures are involved in the process?
 Are there other characteristic CT findings of the
diagnostic possibilities that suggest the most likely
cause?
 “Disproportionate” Fat stranding—that is, much
greater than the degree of bowel wall thickening.
 Suggests a narrower differential diagnosis:
diverticulitis, epiploic appendagitis, omental
infarction, and appendicitis.
 Diverticula are small sacculations of mucosa
and submucosa through the muscularis of the
colonic wall.
 They develop where the nerve and blood
vessel pierce the muscularis between the teniae
coli and mesentery, an origin that accounts for
their propensity to bleed.
 predominantly in the descending and sigmoid
colon but not in a rectum.
 Diverticulitis occurs when the neck of a
diverticulum becomes occluded, resulting in
inflammation, erosion, and microperforation.
 Microperforation results in pericolonic
inflammation that typically is more severe than
the inflammation of the colon.
 CT finding - disproportionate paracolic fat
stranding.
- comma sign
- engorgement of the mesenteric vessels, which
appears as the ―centipede sign‖.
 Axial CT image of a man with left-sided diverticulitis shows severe pericolonic fat
stranding (arrowheads) that is greater than the degree of wall thickening of the
descending colon (curved arrow). A ―normal‖ diverticulum (open arrow) and a ill-
defined (fuzzy) diverticulum (solid straight arrow) are also seen.
 Appendices epiploicae are pedunculated adipose
structures protruding from the external surface of
the colon into the peritoneal cavity.
 Normally invisible on CT scans because they blend
with the surrounding fat unless they are
surrounded by ascites.
 Each is supplied by one or two small end arteries
branching from the vasa recta longa of the colon.
 Their limited blood supply, together with their
pedunculated shape and excessive mobility, make
appendices epiploicae prone to torsion and
ischemia.
 Axial CT image shows normal appendices epiploicae
(arrows) of the sigmoid colon, which appear as fingerlike
projections of pericolic fat floating within ascites (∗).
 Acute torsion of an appendage results in a focal
inflammatory process called epiploic
appendagitis.
 IMAGING - a paracolonic oval fatty mass
representing the infarcted or inflamed
appendix epiploica,
- Well-circumscribed hyperattenuated rim that
surrounds the mass and represents the
inflamed visceral peritoneal lining
- High-attenuation central dot representing
engorged or thrombosed central vessels or
central areas of hemorrhage
 Axial contrast-
enhanced CT image
shows an ovoid mass
(solid arrow) of fat
attenuation anterior to
the wall of the
descending colon. The
mass is surrounded by
a hyperattenuated rim
(representing
thickened visceral
peritoneum) and
contains a central high-
attenuation dot (most
likely representing
thrombosed central
vessels). Note the
moderate fat stranding
(arrowhead) and mild
focal thickening of the
adjacent colonic wall
(open arrow).
 Segmental omental infarction typically occurs
on the right, a predilection that has been
attributed to an embryologic variant of the
blood supply.
 Risk factors include obesity and recent surgery.
 On CT scans, the infarcted omentum appears
as a large, cakelike, high-attenuation fatty mass
centered in the omentum.
 Reactive bowel wall thickening may occur, but
the inflammatory process in the omentum
usually is disproportionately more severe.
 Omental infarction and epiploic appendagitis
may have similar appearances on CT scans.
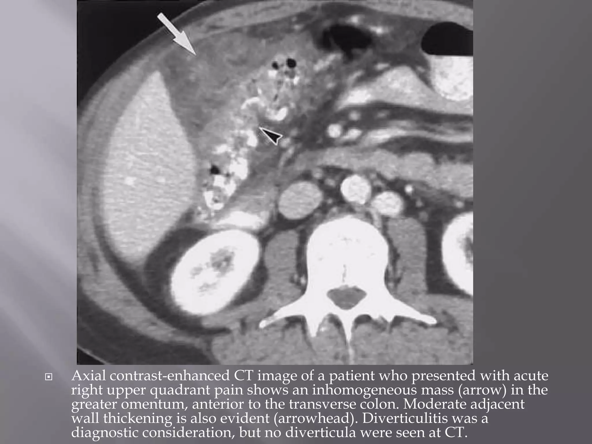
 Axial contrast-enhanced CT image of a patient who presented with acute
right upper quadrant pain shows an inhomogeneous mass (arrow) in the
greater omentum, anterior to the transverse colon. Moderate adjacent
wall thickening is also evident (arrowhead). Diverticulitis was a
diagnostic consideration, but no diverticula were seen at CT.
 Axial contrast-
enhanced CT
images (a
obtained at a
higher level
than b) show
an
inhomogeneou
s round, high-
attenuation
fatty mass
(arrowheads)
in the greater
omentum,
anterior to and
exerting mass
effect on the
transverse
colon (arrow in
b).
 Is the most common cause of acute abdominal
pain that requires surgical intervention.
 The primary pathogenic event in the majority
of cases is luminal obstruction caused by
fecaliths and lymphoid hyperplasia.
 Once obstruction occurs, the continued
secretion of mucus results in elevated
intraluminal pressure and luminal distention,
with consequent venous engorgement, arterial
compromise, and tissue ischemia. Luminal
bacteria multiply and invade the appendiceal
wall, causing transmural inflammation.
 CT Findings - Direct visualization of a dilated
(>6 mm in maximum diameter), fluid-filled
appendix is the most specific.
 Other direct signs include an abnormally
thickened appendix, increased attenuation of
the appendix after contrast material
administration, and periappendicular fat
stranding.
 Secondary signs include appendicolith(s) or
thickening of the cecal apex (cecal bar sign).
 Axial
nonenhance
d CT image
shows a
thickened
appendix
(white
arrows)
surrounded
by marked
fat
stranding
(arrowhead
s). Note the
high-
attenuation
appendicoli
th (black
arrow).
 Axial contrast-
enhanced CT images (a
obtained at a higher
level than b) show the
high-attenuation wall
of the dilated fluid-
filled appendix (white
arrow). Surrounding
fat stranding is severe
(arrowheads). Note
mild posterolateral
wall thickening of the
cecum (cecal bar sign)
(solid straight black
arrow) and also the
arrowhead-shaped
collection of contrast
agent (arrowhead sign)
(curved arrow) formed
as contrast material
funnels into the
partially coapted cecal
wall adjacent to the
occluded appendiceal
orifice. An
appendicolith is also
seen (open arrow).
 Bowel ischemia—Ischemia and infarction of the
gastrointestinal tract are a heterogeneous group of
disorders that have the unifying theme of hypoxia
of the small bowel or colon.
 more common in the geriatric population,
especially in those with comorbid cardiovascular
disease.
 CT can accurately show ischemic bowel segments
and often aids in determining the primary
underlying cause
 CT Findings - wall thickening, which may be
hypoattenuating when there is submucosal
edema or hyperattenuating when there is
intramural hemorrhage from a reperfusion
injury.
 Other findings are bowel dilatation, lack of
bowel wall enhancement, mesenteric fat
stranding, vascular
engorgement, ascites, pneumatosis and portal
venous gas.
 There is abnormal
loop of ileum in right
lower quadrant (thick
arrows). Wall of
affected bowel is
thickened with low-
density center
representing
submucosal edema.
There is mild
surrounding fat
stranding (thin arrows).
 Filling defect in
superior mesenteric
vein (arrow)
represents
thrombus. Rim of
enhancement
around thrombus
represents
enhancing vessel
wall, and fat
stranding around
affected vessel is due
to edema.
 Complicated bowel obstruction, the
visualization of mesenteric fat stranding,
mesenteric fluid, and ascites can strongly
suggest the diagnosis of partial or transmural
bowel ischemia.
 If two of these three findings are present, the
specificity of this diagnosis is reported to be
about 95%.
 single best predictor of ischemia is lack of
bowel wall enhancement.
 There is
pneumato
sis of right
colon
(arrows).
 May cause fat stranding that is difficult to
differentiate from that seen with acute
diverticulitis.
 The degree of bowel wall thickening can be a
helpful differential feature.
 The bowel wall thickening is of soft-tissue
attenuation and does not display the target
sign or mural stratification signifying bowel
wall edema that is seen in inflammatory
processes or ischemia.
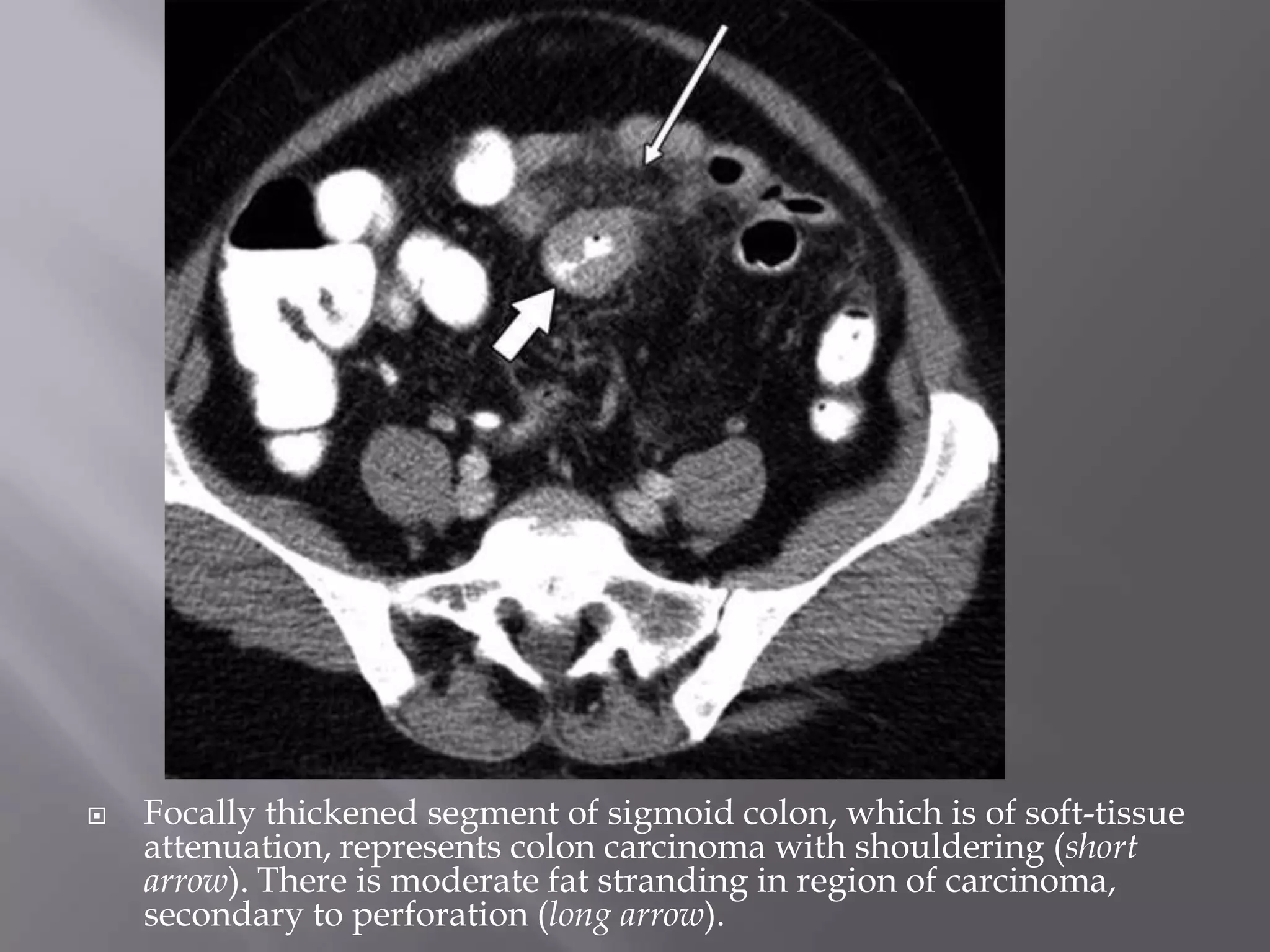
 Focally thickened segment of sigmoid colon, which is of soft-tissue
attenuation, represents colon carcinoma with shouldering (short
arrow). There is moderate fat stranding in region of carcinoma,
secondary to perforation (long arrow).
 Ulcerative colitis primarily affects the colon
(rectum and left colon), occasionally also
involving the terminal ileum with backwash
ileitis.
 In contrast, Crohn disease usually affects the
small bowel (almost always the terminal ileum)
with or without colonic or anal involvement.
 Bowel wall thickening is the most common CT finding.
 Hazy (ground-glass) fat stranding in the mesentery results in a
―misty‖ mesentery.
 Ulcerative colitis – diffuse symmetric colonic
thickening.
- asymmetric inflammation along the mesenteric
border.
- halo sign, which is due to the deposition of
submucosal fat that results in a low-attenuation ring
in the bowel wall.
 Crohn disease - eccentric and segmental
- Pseudodiverticula develop on the antimesenteric border
of the colon opposite regions of fibrosis and scarring.
- Asymmetric Fibrofatty proliferation along the mesentric
border. - Creeping fat sign
 Coronal
reformatted
image shows
thickened
terminal ileal
wall (short
arrows) and
coned cecum.
Small
mesenteric
nodes are
also present
in right iliac
fossa (long
arrows).
 Coronal
reformatted
image shows
mild fat
stranding
around
abnormal
thickened
terminal ileum
(arrows).
 Axial image
of right
lower
quadrant
again shows
thickening
of terminal
ileum, with
abscess
formation
deep in
pelvis (thick
arrows), with
diffuse
infiltration
of
surrounding
fat (thin
arrows).
 Acute Pancreatitis - the pancreas appears
enlarged.
 The pancreatic parenchyma may not enhance after
IV contrast administration in the setting of
pancreatic necrosis, which can be focal or diffuse.
 In addition to fat stranding in the peripancreatic
tissues, other secondary findings include free fluid
in the paracolic gutters and pleural effusions.
 There is severe peripancreatic fat stranding (thick arrows). Focal area of
parenchyma in pancreatic neck is not enhancing due to necrosis (thin
arrows).
 Severe fat stranding extends from peripancreatic region to left paracolic
gutter and anterior pararenal space (arrows). There is residual enhancing
pancreatic parenchyma in head of pancreas (arrowheads).
 Acute pyelonephritis -
- The nephrographic phase of contrast enhancement is
superior.
- Typically ill-defined wedge-shaped areas of low density
are noted radiating from the papilla to the cortical
surface.
- These sites represent poor- or nonfunctioning
parenchyma due to vasospasm, tubular obstruction, or
interstitial edema.
- The striated nephrogram—bands of alternating high-
and low-density parallel to the axes of the tubules,
characteristic of acute pyelonephritis.
- Perinephric fat stranding is usually seen adjacent to the
abnormal areas because of an inflammatory reaction
with leukocytes forming an infection or infarction.
 Contrast-
enhanced
coronal
reformatted
image shows
bilateral striated
nephrograms
and ill-defined
wedged-shaped
areas of low
density in upper
poles of both
kidneys, radiatin
g from papilla to
cortical surface
(arrows).
 There is moderate right hydronephrosis (long arrows) and
mild perinephric fat stranding due to edema (short arrow).
 Dilated right ureter with mild fat stranding (arrow)
 Wall of
gallbladder is
thickened (thin
arrows), and there
is mild
pericholecystic
fat standing (thick
arrows).
 Multiple small
hyperdense
foci in
gallbladder
represent
gallstones (thin
arrow). There is
severe
pericholecystic
fat stranding
(thick arrows).
 idiopathic fibroinflammatory disorder that
affects the small-bowel mesentery.
 Categorized as mesenteric panniculitis (chronic
inflammation), mesenteric lipodystrophy (fat
necrosis), and retractile mesenteritis (fibrosis).
 sixth and seventh decades of life.
 has a poorly understood association with
underlying malignancy and paraneoplastic
condition.
 CT appearance - well-defined soft-tissue mass
containing areas of fat attenuation to an ill-defined
area of increased attenuation in the root of the
small-bowel mesentery.
 the changes of sclerosing mesenteritis occur
around the mesenteric vessels and do not displace
them.
 The CT appearance of a ―fat ring‖ sign—a thin
radiolucent rim of fat between the mesenteric
vessel and the mass in the mesentery.
 There is
moderate fat
stranding in
mesentery
above
mesenteric
mass
(arrows).
 Mesenteric
mass
displaces
loops of small
bowel (thin
arrows). There
is dystrophic
calcification
(black
arrow), uncom
mon finding
in this
condition.
Diffuse mild
mesenteric fat
stranding is
also seen
(thick arrows).
 Involves terminal ileum and cecum (90% )
 The disease causes circumferential thickening of
the bowel wall, with adjacent mild fat stranding
and lymphadenopathy.
 In advanced ileocecal disease, small-bowel loops
may become adherent in the right iliac fossa.
 Peritoneal tuberculosis may affect the
peritoneal cavity, mesentery, and omentum.
 The most frequent form (90% of cases) is the
―wet‖ type with ascites or pockets of loculated
fluid.
 The ―dry‖ type is characterized by fat
stranding in the mesentery, dense
adhesions, and adenopathy.
 There is extensive fat stranding of greater omentum (long arrows). Peritoneum is thickened and
hyperenhancing (short arrows), and pockets of fluid are present (arrowheads)
 There is moderate ascites (long arrow) and enhancement
of thickened peritoneum (short arrows).

Fat stranding

  • 1.
  • 2.
     Fat strandingrefers to an abnormal increased attenuation in fat.  Abdominal fat stranding can produce various appearances. Mild inflammation may cause a subtle hazy increased attenuation of the fat (ground-glass like), increasing severity of the inflammation can produce a reticular pattern, with more well-defined linear areas of increased attenuation.  The underlying pathophysiologic process is increased edema and engorgement of lymphatics.
  • 3.
     What isthe location of the fat stranding?  What other structures are involved in the process?  Are there other characteristic CT findings of the diagnostic possibilities that suggest the most likely cause?
  • 4.
     “Disproportionate” Fatstranding—that is, much greater than the degree of bowel wall thickening.  Suggests a narrower differential diagnosis: diverticulitis, epiploic appendagitis, omental infarction, and appendicitis.
  • 5.
     Diverticula aresmall sacculations of mucosa and submucosa through the muscularis of the colonic wall.  They develop where the nerve and blood vessel pierce the muscularis between the teniae coli and mesentery, an origin that accounts for their propensity to bleed.  predominantly in the descending and sigmoid colon but not in a rectum.
  • 6.
     Diverticulitis occurswhen the neck of a diverticulum becomes occluded, resulting in inflammation, erosion, and microperforation.  Microperforation results in pericolonic inflammation that typically is more severe than the inflammation of the colon.  CT finding - disproportionate paracolic fat stranding. - comma sign - engorgement of the mesenteric vessels, which appears as the ―centipede sign‖.
  • 7.
     Axial CTimage of a man with left-sided diverticulitis shows severe pericolonic fat stranding (arrowheads) that is greater than the degree of wall thickening of the descending colon (curved arrow). A ―normal‖ diverticulum (open arrow) and a ill- defined (fuzzy) diverticulum (solid straight arrow) are also seen.
  • 8.
     Appendices epiploicaeare pedunculated adipose structures protruding from the external surface of the colon into the peritoneal cavity.  Normally invisible on CT scans because they blend with the surrounding fat unless they are surrounded by ascites.  Each is supplied by one or two small end arteries branching from the vasa recta longa of the colon.  Their limited blood supply, together with their pedunculated shape and excessive mobility, make appendices epiploicae prone to torsion and ischemia.
  • 9.
     Axial CTimage shows normal appendices epiploicae (arrows) of the sigmoid colon, which appear as fingerlike projections of pericolic fat floating within ascites (∗).
  • 10.
     Acute torsionof an appendage results in a focal inflammatory process called epiploic appendagitis.  IMAGING - a paracolonic oval fatty mass representing the infarcted or inflamed appendix epiploica, - Well-circumscribed hyperattenuated rim that surrounds the mass and represents the inflamed visceral peritoneal lining - High-attenuation central dot representing engorged or thrombosed central vessels or central areas of hemorrhage
  • 11.
     Axial contrast- enhancedCT image shows an ovoid mass (solid arrow) of fat attenuation anterior to the wall of the descending colon. The mass is surrounded by a hyperattenuated rim (representing thickened visceral peritoneum) and contains a central high- attenuation dot (most likely representing thrombosed central vessels). Note the moderate fat stranding (arrowhead) and mild focal thickening of the adjacent colonic wall (open arrow).
  • 12.
     Segmental omentalinfarction typically occurs on the right, a predilection that has been attributed to an embryologic variant of the blood supply.  Risk factors include obesity and recent surgery.
  • 13.
     On CTscans, the infarcted omentum appears as a large, cakelike, high-attenuation fatty mass centered in the omentum.  Reactive bowel wall thickening may occur, but the inflammatory process in the omentum usually is disproportionately more severe.  Omental infarction and epiploic appendagitis may have similar appearances on CT scans.
  • 15.
     Axial contrast-enhancedCT image of a patient who presented with acute right upper quadrant pain shows an inhomogeneous mass (arrow) in the greater omentum, anterior to the transverse colon. Moderate adjacent wall thickening is also evident (arrowhead). Diverticulitis was a diagnostic consideration, but no diverticula were seen at CT.
  • 16.
     Axial contrast- enhancedCT images (a obtained at a higher level than b) show an inhomogeneou s round, high- attenuation fatty mass (arrowheads) in the greater omentum, anterior to and exerting mass effect on the transverse colon (arrow in b).
  • 17.
     Is themost common cause of acute abdominal pain that requires surgical intervention.  The primary pathogenic event in the majority of cases is luminal obstruction caused by fecaliths and lymphoid hyperplasia.
  • 18.
     Once obstructionoccurs, the continued secretion of mucus results in elevated intraluminal pressure and luminal distention, with consequent venous engorgement, arterial compromise, and tissue ischemia. Luminal bacteria multiply and invade the appendiceal wall, causing transmural inflammation.
  • 19.
     CT Findings- Direct visualization of a dilated (>6 mm in maximum diameter), fluid-filled appendix is the most specific.  Other direct signs include an abnormally thickened appendix, increased attenuation of the appendix after contrast material administration, and periappendicular fat stranding.  Secondary signs include appendicolith(s) or thickening of the cecal apex (cecal bar sign).
  • 20.
     Axial nonenhance d CTimage shows a thickened appendix (white arrows) surrounded by marked fat stranding (arrowhead s). Note the high- attenuation appendicoli th (black arrow).
  • 21.
     Axial contrast- enhancedCT images (a obtained at a higher level than b) show the high-attenuation wall of the dilated fluid- filled appendix (white arrow). Surrounding fat stranding is severe (arrowheads). Note mild posterolateral wall thickening of the cecum (cecal bar sign) (solid straight black arrow) and also the arrowhead-shaped collection of contrast agent (arrowhead sign) (curved arrow) formed as contrast material funnels into the partially coapted cecal wall adjacent to the occluded appendiceal orifice. An appendicolith is also seen (open arrow).
  • 22.
     Bowel ischemia—Ischemiaand infarction of the gastrointestinal tract are a heterogeneous group of disorders that have the unifying theme of hypoxia of the small bowel or colon.  more common in the geriatric population, especially in those with comorbid cardiovascular disease.  CT can accurately show ischemic bowel segments and often aids in determining the primary underlying cause
  • 23.
     CT Findings- wall thickening, which may be hypoattenuating when there is submucosal edema or hyperattenuating when there is intramural hemorrhage from a reperfusion injury.  Other findings are bowel dilatation, lack of bowel wall enhancement, mesenteric fat stranding, vascular engorgement, ascites, pneumatosis and portal venous gas.
  • 24.
     There isabnormal loop of ileum in right lower quadrant (thick arrows). Wall of affected bowel is thickened with low- density center representing submucosal edema. There is mild surrounding fat stranding (thin arrows).
  • 25.
     Filling defectin superior mesenteric vein (arrow) represents thrombus. Rim of enhancement around thrombus represents enhancing vessel wall, and fat stranding around affected vessel is due to edema.
  • 26.
     Complicated bowelobstruction, the visualization of mesenteric fat stranding, mesenteric fluid, and ascites can strongly suggest the diagnosis of partial or transmural bowel ischemia.  If two of these three findings are present, the specificity of this diagnosis is reported to be about 95%.  single best predictor of ischemia is lack of bowel wall enhancement.
  • 27.
     There is pneumato sisof right colon (arrows).
  • 28.
     May causefat stranding that is difficult to differentiate from that seen with acute diverticulitis.  The degree of bowel wall thickening can be a helpful differential feature.  The bowel wall thickening is of soft-tissue attenuation and does not display the target sign or mural stratification signifying bowel wall edema that is seen in inflammatory processes or ischemia.
  • 29.
     Focally thickenedsegment of sigmoid colon, which is of soft-tissue attenuation, represents colon carcinoma with shouldering (short arrow). There is moderate fat stranding in region of carcinoma, secondary to perforation (long arrow).
  • 30.
     Ulcerative colitisprimarily affects the colon (rectum and left colon), occasionally also involving the terminal ileum with backwash ileitis.  In contrast, Crohn disease usually affects the small bowel (almost always the terminal ileum) with or without colonic or anal involvement.
  • 31.
     Bowel wallthickening is the most common CT finding.  Hazy (ground-glass) fat stranding in the mesentery results in a ―misty‖ mesentery.  Ulcerative colitis – diffuse symmetric colonic thickening. - asymmetric inflammation along the mesenteric border. - halo sign, which is due to the deposition of submucosal fat that results in a low-attenuation ring in the bowel wall.  Crohn disease - eccentric and segmental - Pseudodiverticula develop on the antimesenteric border of the colon opposite regions of fibrosis and scarring. - Asymmetric Fibrofatty proliferation along the mesentric border. - Creeping fat sign
  • 32.
     Coronal reformatted image shows thickened terminalileal wall (short arrows) and coned cecum. Small mesenteric nodes are also present in right iliac fossa (long arrows).
  • 33.
     Coronal reformatted image shows mildfat stranding around abnormal thickened terminal ileum (arrows).
  • 34.
     Axial image ofright lower quadrant again shows thickening of terminal ileum, with abscess formation deep in pelvis (thick arrows), with diffuse infiltration of surrounding fat (thin arrows).
  • 35.
     Acute Pancreatitis- the pancreas appears enlarged.  The pancreatic parenchyma may not enhance after IV contrast administration in the setting of pancreatic necrosis, which can be focal or diffuse.  In addition to fat stranding in the peripancreatic tissues, other secondary findings include free fluid in the paracolic gutters and pleural effusions.
  • 36.
     There issevere peripancreatic fat stranding (thick arrows). Focal area of parenchyma in pancreatic neck is not enhancing due to necrosis (thin arrows).
  • 37.
     Severe fatstranding extends from peripancreatic region to left paracolic gutter and anterior pararenal space (arrows). There is residual enhancing pancreatic parenchyma in head of pancreas (arrowheads).
  • 38.
     Acute pyelonephritis- - The nephrographic phase of contrast enhancement is superior. - Typically ill-defined wedge-shaped areas of low density are noted radiating from the papilla to the cortical surface. - These sites represent poor- or nonfunctioning parenchyma due to vasospasm, tubular obstruction, or interstitial edema. - The striated nephrogram—bands of alternating high- and low-density parallel to the axes of the tubules, characteristic of acute pyelonephritis. - Perinephric fat stranding is usually seen adjacent to the abnormal areas because of an inflammatory reaction with leukocytes forming an infection or infarction.
  • 39.
     Contrast- enhanced coronal reformatted image shows bilateralstriated nephrograms and ill-defined wedged-shaped areas of low density in upper poles of both kidneys, radiatin g from papilla to cortical surface (arrows).
  • 40.
     There ismoderate right hydronephrosis (long arrows) and mild perinephric fat stranding due to edema (short arrow).
  • 41.
     Dilated rightureter with mild fat stranding (arrow)
  • 42.
     Wall of gallbladderis thickened (thin arrows), and there is mild pericholecystic fat standing (thick arrows).
  • 43.
     Multiple small hyperdense fociin gallbladder represent gallstones (thin arrow). There is severe pericholecystic fat stranding (thick arrows).
  • 44.
     idiopathic fibroinflammatorydisorder that affects the small-bowel mesentery.  Categorized as mesenteric panniculitis (chronic inflammation), mesenteric lipodystrophy (fat necrosis), and retractile mesenteritis (fibrosis).  sixth and seventh decades of life.  has a poorly understood association with underlying malignancy and paraneoplastic condition.
  • 45.
     CT appearance- well-defined soft-tissue mass containing areas of fat attenuation to an ill-defined area of increased attenuation in the root of the small-bowel mesentery.  the changes of sclerosing mesenteritis occur around the mesenteric vessels and do not displace them.  The CT appearance of a ―fat ring‖ sign—a thin radiolucent rim of fat between the mesenteric vessel and the mass in the mesentery.
  • 46.
     There is moderatefat stranding in mesentery above mesenteric mass (arrows).
  • 47.
     Mesenteric mass displaces loops ofsmall bowel (thin arrows). There is dystrophic calcification (black arrow), uncom mon finding in this condition. Diffuse mild mesenteric fat stranding is also seen (thick arrows).
  • 48.
     Involves terminalileum and cecum (90% )  The disease causes circumferential thickening of the bowel wall, with adjacent mild fat stranding and lymphadenopathy.  In advanced ileocecal disease, small-bowel loops may become adherent in the right iliac fossa.
  • 49.
     Peritoneal tuberculosismay affect the peritoneal cavity, mesentery, and omentum.  The most frequent form (90% of cases) is the ―wet‖ type with ascites or pockets of loculated fluid.  The ―dry‖ type is characterized by fat stranding in the mesentery, dense adhesions, and adenopathy.
  • 50.
     There isextensive fat stranding of greater omentum (long arrows). Peritoneum is thickened and hyperenhancing (short arrows), and pockets of fluid are present (arrowheads)
  • 51.
     There ismoderate ascites (long arrow) and enhancement of thickened peritoneum (short arrows).