Bilateral Hyperlucent
Hemithorax
Hisham AlKhatib, M.D.
Consultant Radiologist
•‫اله‬ ‫وعلى‬ ‫هللا‬ ‫رسول‬ ‫على‬ ‫والسالم‬ ‫والصالة‬ ‫هلل‬ ‫الحمد‬
‫اجمعين‬ ‫م‬ّ‫ل‬‫وس‬ ‫وصحبه‬
•، ‫علما‬ ‫وزدني‬ ‫ينفعني‬ ‫بما‬ ‫وعلمني‬ ‫علمتني‬ ‫بما‬ ‫انفعني‬ ‫اللهم‬
‫الحكيم‬ ‫العليم‬ ‫انك‬
• Praise be to Allah and prayers be upon the
Messenger of Allah and his family and
companions.
• Oh God, give me the benefit of what you
have taught me and teach me what benefits
me.
ESSENTIAL INFORMATION
Key Differential Diagnosis Issues
• Pulmonary causes
– Usually related to airways disease
– Pulmonary vascular causes much less common
• Extrapulmonary causes
– Congenital or developmental lack of chest wall
soft tissue
– Bilateral mastectomy
Key Differential Diagnosis Issues
• Technical
– Overexposure
• Uncommon with digital radiography
– Incorrect window and level settings on CT
DIFFERENTIAL DIAGNOSIS
Common Causes
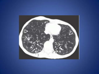
• Centrilobular Emphysema
• Panlobular Emphysema
• Bronchiectasis
• Bronchiolitis
Helpful Clues for Common
Diagnoses
Centrilobular Emphysema
– Most common type of emphysema
– Almost always smoking related
– Predominates in upper lobes and superior
segments of lower lobes
– Radiography: Hyperinflation, attenuation of
vessels in affected areas
– CT: Centrilobular foci of low attenuation without
perceptible walls
– Bulla: Emphysematous space > 1 cm
Panlobular Emphysema
– Most commonly associated with α-1-antitrypsin
deficiency
– Rarely associated with intravenous drug abuse
(e.g., methylphenidate [Ritalin])
– Predominates in basal portions of lungs
Panlobular Emphysema
– Radiography
• Hyperinflation
• Attenuation of vessels in affected areas, particularly
lower lung zones
– CT
• Hyperinflation, particularly of lower lobes
• Diffusely decreased attenuation of affected lung
parenchyma with small vessels
Bronchiectasis
– Hyperinflation and air-trapping from associated
small airways disease
– Related to chronic or recurrent infection
• Rarely result of congenital cartilage abnormality
(Williams-Campbell syndrome)
Bronchiectasis
– Radiography
• Pulmonary hyperinflation
• Dilated bronchi
• “Tram-tracking”: Parallel lines representing nontapering
walls of ectatic bronchi seen in profile
• Mucoid impaction may be present
Bronchiectasis
– CT
• Bronchial abnormalities clearly shown
• Diffuse low attenuation and small vessels often present
in parenchyma supplied by dilated and inflamed
bronchi
• Extensive air-trapping may be apparent on expiratory
CT
Bronchiolitis
– Usually infectious
• Viral
• Mycoplasma
– Radiography: Hyperinflation, small lung nodules
– CT: Centrilobular nodules, tree in bud opacities
Less Common Causes
• Constrictive Bronchiolitis
• Asthma
• Pulmonary Langerhans Cell Histiocytosis
• Lymphangiomyomatosis
Helpful Clues for Less Common
Diagnoses
Constrictive Bronchiolitis
– Submucosal and peribronchial fibrosis resulting in
luminal narrowing or occlusion
– Numerous causes
• Infection: Viral (adenovirus and respiratory syncytial
virus), Mycoplasma, Pneumocystis
• Connective tissue diseases, especially rheumatoid
arthritis and Sjögren syndrome
• Drug reaction
• Inhalational injury (toxic fumes, smoke)
• Transplant: Lung and blood stem cell
Constrictive Bronchiolitis
– Radiography: Normal lung volume to
hyperinflation
– CT: Heterogeneity of lung with smaller vessels in
areas of low attenuation
• Expiratory imaging confirms presence of air-trapping
Asthma
– Chronic airway inflammation with remodeling
– Radiography
• Most patients have normal or near normal radiographs
• Bronchial wall thickening may be evident
• Pulmonary hyperinflation in severe cases
Asthma
– CT
• Bronchial wall thickening
• Bronchial luminal narrowing
• Air-trapping (expiratory CT)
• Allergic bronchopulmonary aspergillosis should be
considered with central bronchiectasis and mucoid
impaction
Pulmonary Langerhans Cell
Histiocytosis
– Nearly all patients are smokers
– Radiography
• Hyperinflation
• Reticular or reticulonodular abnormality sparing
costophrenic sulci
Pulmonary Langerhans Cell
Histiocytosis
– CT
• Upper lobe predominant cysts: Vary in size and shape
• Small nodules ± central lucency progressing to cysts
over time
• Ground-glass opacity
– Spontaneous pneumothorax in < 10%
Lymphangiomyomatosis
– Occurs exclusively in women of child-bearing age
or patients with tuberous sclerosis
– Radiography
• Hyperinflation
• Diffuse reticular abnormality (from superimposition of
cysts)
• Pleural effusion (chylous)
Lymphangiomyomatosis
– CT
• Diffuse lung cysts ranging 2-20 mm with thin, smooth
walls
• Associated findings: Renal angiomyolipomas,
retroperitoneal and mediastinal lymphangiomas,
chylous pleural effusion
– Patients may present with recurrent or chronic
pneumothoraces
Rare but Important
• Pulmonary Atresia
Helpful Clues for Rare Diagnoses
Pulmonary Atresia
– Presents in neonatal period: Cyanosis
– Associated with other congenital cardiac
malformations (e.g., tetralogy of Fallot)
– Radiography
• Cardiomegaly
• Concave pulmonary artery segment
• Pulmonary oligemia
– Diagnosis usually confirmed by echocardiography
or cardiac MR
THANK YOU

Bilateral hyperlucent hemithorax

  • 1.
  • 2.
    •‫اله‬ ‫وعلى‬ ‫هللا‬‫رسول‬ ‫على‬ ‫والسالم‬ ‫والصالة‬ ‫هلل‬ ‫الحمد‬ ‫اجمعين‬ ‫م‬ّ‫ل‬‫وس‬ ‫وصحبه‬ •، ‫علما‬ ‫وزدني‬ ‫ينفعني‬ ‫بما‬ ‫وعلمني‬ ‫علمتني‬ ‫بما‬ ‫انفعني‬ ‫اللهم‬ ‫الحكيم‬ ‫العليم‬ ‫انك‬ • Praise be to Allah and prayers be upon the Messenger of Allah and his family and companions. • Oh God, give me the benefit of what you have taught me and teach me what benefits me.
  • 3.
  • 4.
    Key Differential DiagnosisIssues • Pulmonary causes – Usually related to airways disease – Pulmonary vascular causes much less common • Extrapulmonary causes – Congenital or developmental lack of chest wall soft tissue – Bilateral mastectomy
  • 5.
    Key Differential DiagnosisIssues • Technical – Overexposure • Uncommon with digital radiography – Incorrect window and level settings on CT
  • 6.
  • 7.
    Common Causes • CentrilobularEmphysema • Panlobular Emphysema • Bronchiectasis • Bronchiolitis
  • 8.
    Helpful Clues forCommon Diagnoses
  • 9.
    Centrilobular Emphysema – Mostcommon type of emphysema – Almost always smoking related – Predominates in upper lobes and superior segments of lower lobes – Radiography: Hyperinflation, attenuation of vessels in affected areas – CT: Centrilobular foci of low attenuation without perceptible walls – Bulla: Emphysematous space > 1 cm
  • 12.
    Panlobular Emphysema – Mostcommonly associated with α-1-antitrypsin deficiency – Rarely associated with intravenous drug abuse (e.g., methylphenidate [Ritalin]) – Predominates in basal portions of lungs
  • 13.
    Panlobular Emphysema – Radiography •Hyperinflation • Attenuation of vessels in affected areas, particularly lower lung zones – CT • Hyperinflation, particularly of lower lobes • Diffusely decreased attenuation of affected lung parenchyma with small vessels
  • 16.
    Bronchiectasis – Hyperinflation andair-trapping from associated small airways disease – Related to chronic or recurrent infection • Rarely result of congenital cartilage abnormality (Williams-Campbell syndrome)
  • 17.
    Bronchiectasis – Radiography • Pulmonaryhyperinflation • Dilated bronchi • “Tram-tracking”: Parallel lines representing nontapering walls of ectatic bronchi seen in profile • Mucoid impaction may be present
  • 18.
    Bronchiectasis – CT • Bronchialabnormalities clearly shown • Diffuse low attenuation and small vessels often present in parenchyma supplied by dilated and inflamed bronchi • Extensive air-trapping may be apparent on expiratory CT
  • 21.
    Bronchiolitis – Usually infectious •Viral • Mycoplasma – Radiography: Hyperinflation, small lung nodules – CT: Centrilobular nodules, tree in bud opacities
  • 23.
    Less Common Causes •Constrictive Bronchiolitis • Asthma • Pulmonary Langerhans Cell Histiocytosis • Lymphangiomyomatosis
  • 24.
    Helpful Clues forLess Common Diagnoses
  • 25.
    Constrictive Bronchiolitis – Submucosaland peribronchial fibrosis resulting in luminal narrowing or occlusion – Numerous causes • Infection: Viral (adenovirus and respiratory syncytial virus), Mycoplasma, Pneumocystis • Connective tissue diseases, especially rheumatoid arthritis and Sjögren syndrome • Drug reaction • Inhalational injury (toxic fumes, smoke) • Transplant: Lung and blood stem cell
  • 26.
    Constrictive Bronchiolitis – Radiography:Normal lung volume to hyperinflation – CT: Heterogeneity of lung with smaller vessels in areas of low attenuation • Expiratory imaging confirms presence of air-trapping
  • 28.
    Asthma – Chronic airwayinflammation with remodeling – Radiography • Most patients have normal or near normal radiographs • Bronchial wall thickening may be evident • Pulmonary hyperinflation in severe cases
  • 29.
    Asthma – CT • Bronchialwall thickening • Bronchial luminal narrowing • Air-trapping (expiratory CT) • Allergic bronchopulmonary aspergillosis should be considered with central bronchiectasis and mucoid impaction
  • 31.
    Pulmonary Langerhans Cell Histiocytosis –Nearly all patients are smokers – Radiography • Hyperinflation • Reticular or reticulonodular abnormality sparing costophrenic sulci
  • 32.
    Pulmonary Langerhans Cell Histiocytosis –CT • Upper lobe predominant cysts: Vary in size and shape • Small nodules ± central lucency progressing to cysts over time • Ground-glass opacity – Spontaneous pneumothorax in < 10%
  • 35.
    Lymphangiomyomatosis – Occurs exclusivelyin women of child-bearing age or patients with tuberous sclerosis – Radiography • Hyperinflation • Diffuse reticular abnormality (from superimposition of cysts) • Pleural effusion (chylous)
  • 36.
    Lymphangiomyomatosis – CT • Diffuselung cysts ranging 2-20 mm with thin, smooth walls • Associated findings: Renal angiomyolipomas, retroperitoneal and mediastinal lymphangiomas, chylous pleural effusion – Patients may present with recurrent or chronic pneumothoraces
  • 39.
    Rare but Important •Pulmonary Atresia
  • 40.
    Helpful Clues forRare Diagnoses
  • 41.
    Pulmonary Atresia – Presentsin neonatal period: Cyanosis – Associated with other congenital cardiac malformations (e.g., tetralogy of Fallot) – Radiography • Cardiomegaly • Concave pulmonary artery segment • Pulmonary oligemia – Diagnosis usually confirmed by echocardiography or cardiac MR
  • 43.