High Frequency Oscillatory Ventilation Who  Why  When  Where What  How ?
Neonatal Uses of HFOV Hyaline membrane disease Persistent pulmonary hypertension Pulmonary interstitial emphysema (prevention and treatment) Sepsis / Pneumonia Congenital diaphragmatic hernia Meconium aspiration syndrome
HFOV “Adult” Indications ARDS PCIRV Paralysis High FiO 2   Air Leak Syndrome ECMO Candidates
Oxygenation Index OI =  FiO 2  x Paw PaO 2 Predictor of mortality High value = bad outcome
MV won’t cure cancer HFOV won’t help with: COPD IPF Asthma Sarcoidosis HFOV Adult Patient Selection
HFOV - Why
HFOV Objectives Support Lung Oxygenation CO 2  Removal Reduce Vent Induced Lung Injury
Carney, CCM 2005
CMV vs HFOV
HFOV- When Timing is everything ASAP 1-5 days of CMV Not as a last resort
53% 67% 31%  37% 31% 30% 30 day mortality 5.1 5.7 7.2 2.7 4 # of days CV pre HFOV 49 33 28 24 12 29 OI 23 22 27 22 25 APACHE II 17 24 16 75 432 70 n Fort (1997) Mehta (2001) Anderson (2002) MOAT II (2002) ARDS Net (2000) Duke (2005)
 
HFOV - Where? ICU  Transport Limitation
HFOV - What?
HFOV  “Where is the PEEP, tidal volume, graphics, and respiratory rate on this machine!?”…….  Anonymous   Surgeon
HFOV Design Magnet Bias Flow CPAP with a wiggle Expiratory Resistance ACTIVE EXHALATION
Ventilator Settings Hertz = BPM Power (Amplitude   P)  Paw FiO 2 Bias Flow Inspiratory time %
CO 2  Removal Hertz Amplitude (   P)
Primary control of CO 2  is by the stroke volume produced by the Power Setting
CO 2  Removal
.
HFOV Settings: Inspiratory Time % 33%= 1:2 I:E Ratio Default 50%= 1:1 I:E Ratio Caution
Oxygenation Paw FiO 2 “What was that Oxygenation Index thing?”
Oxygenation The Paw is used to inflate the lung Paw = Lung Volume    Paw =    PaO 2 (usually) Use blender to adjust FiO 2
HFOV Controls PaO 2 PaCO 2
Bias Flow CDP Control Balloon x
Pressure to Lung
HFOV Pressure Attenuation
 
Mechanisms of Gas Exchange
HFOV - How     Initial Settings FiO 2  =  1.0 Hz  = 5.0 Power setting =  5 Paw =  CMV + 5 Insp Time = 33% Flow = 30
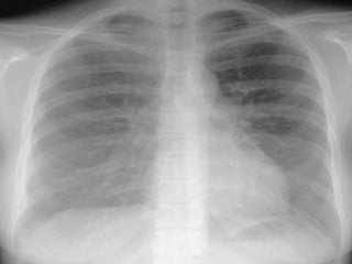
Clinical Observations Chest Wiggle Factor  CXR T8-9 Pulse oximetery TCO 2 ABG
Weaning   Wean FiO 2  for Sat’s > 90% When FiO 2  60%, wean Paw by 1 Return to CMV when: FiO 2  < 40% Paw 15-20 Amplitude < 40
HFOV: Conversion Pressure limited ventilation Delivered tidal volume ~6 ml/kg PEEP ~10 cm H 2 O  Adjust for Paw   same as HFOV FiO 2  ~40 - 50%
Signs of Failure OI > 42 at 48 hrs HFOV Unable to wean FiO 2  > 10% within 24 hours Unable to PaCO 2  <100 with pH 7.25
“ On Patient” Issues Inability to increase Paw Fluctuating Paw Changes in settings  Inappropriate patient response
Inappropriate Patient Response Need for ETT suctioning Low lung volume Overdistended lung Marginal cardiovascular status
Tricks Prone positioning ETT Leak Bronchoscopy
HFOV   Case Study Putting it all together
 
Day 16 CMV Pressure limited A/C FiO 2     70% Vt    296 VE    9.2 RR    32 PEEP    12 Paw    24 PIP    36 I:E  1:1  Arterial blood gases pH  7.09 PaCO 2   200 HCO 3   49 PaO 2   80 BE  26 SaO 2   91 A-a gradient 169.1 OI 21
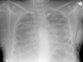
“ Oh yeah, did I mention…?” 23 y/o female ARDS 3 CT Prone  iNO ECMO candidate
HFOV: Indications Indication: OI   >  15 FiO 2  >   60% PEEP  >  10 PIP   >  35 Paw  >  15 Respiratory acidosis Inadequate alveolar ventilation Pt. Values: OI   21 FiO 2  70% PEEP  12 PIP   36 Paw  24 pH  7.09 PaCO 2   200
HFOV: Initiation Initial HFOV settings FiO 2   100% Paw   30 Amplitude  62 Hz    5.0 It%   33% Bias flow  30 Arterial blood gases pH  7.26  *7.09 PaCO 2   114  *200 PaO 2  184  *80 HCO 3  52 BE  22 SaO 2   95.2 *ABG prior to HFOV
Management: Strategy HFOV settings FiO 2   80% Paw   30 Amplitude  62 Hz   4.0 It%   50% Bias flow  30 Arterial blood gases pH  7.35  * 7.26 PaCO 2   88  * 114 PaO 2  104  * 88 HCO 3  49 BE  22 SaO 2   96 * ABG prior to changes in parameters
Management: 24 hours HFOV settings FiO 2   60% Paw   26 Amplitude  62 Hz   4.0 It%   50% Bias flow  30 Arterial blood gases pH  7.44 PaCO 2   74 PaO 2  97 HCO 3  50 BE  24 SaO 2   95
HFOV Day 7  HFOV settings FiO 2   50% Paw   16 Amplitude  50 Hz   5.0 It%   40% Bias flow  40 Arterial blood gases pH  7.41 PaCO 2   66 PaO 2  83 HCO 3  43 BE  16 SaO 2   95
 
Why did HFOV succeed? Low pressure swings allowed air leaks to seal Paw recruited collapsed lung
Derdak AJRCCM 2002
HFOV Summary CPAP Small pressure swings Lung protection Lung support Ultimate low Vt strategy Start early Be aggressive

5 High Frequency Oscillatory Ventilation

  • 1.
    High Frequency OscillatoryVentilation Who Why When Where What How ?
  • 2.
    Neonatal Uses ofHFOV Hyaline membrane disease Persistent pulmonary hypertension Pulmonary interstitial emphysema (prevention and treatment) Sepsis / Pneumonia Congenital diaphragmatic hernia Meconium aspiration syndrome
  • 3.
    HFOV “Adult” IndicationsARDS PCIRV Paralysis High FiO 2 Air Leak Syndrome ECMO Candidates
  • 4.
    Oxygenation Index OI= FiO 2 x Paw PaO 2 Predictor of mortality High value = bad outcome
  • 5.
    MV won’t curecancer HFOV won’t help with: COPD IPF Asthma Sarcoidosis HFOV Adult Patient Selection
  • 6.
  • 7.
    HFOV Objectives SupportLung Oxygenation CO 2 Removal Reduce Vent Induced Lung Injury
  • 8.
  • 9.
  • 10.
    HFOV- When Timingis everything ASAP 1-5 days of CMV Not as a last resort
  • 11.
    53% 67% 31% 37% 31% 30% 30 day mortality 5.1 5.7 7.2 2.7 4 # of days CV pre HFOV 49 33 28 24 12 29 OI 23 22 27 22 25 APACHE II 17 24 16 75 432 70 n Fort (1997) Mehta (2001) Anderson (2002) MOAT II (2002) ARDS Net (2000) Duke (2005)
  • 12.
  • 13.
    HFOV - Where?ICU Transport Limitation
  • 14.
  • 15.
    HFOV “Whereis the PEEP, tidal volume, graphics, and respiratory rate on this machine!?”……. Anonymous Surgeon
  • 16.
    HFOV Design MagnetBias Flow CPAP with a wiggle Expiratory Resistance ACTIVE EXHALATION
  • 17.
    Ventilator Settings Hertz= BPM Power (Amplitude  P) Paw FiO 2 Bias Flow Inspiratory time %
  • 18.
    CO 2 Removal Hertz Amplitude (  P)
  • 19.
    Primary control ofCO 2 is by the stroke volume produced by the Power Setting
  • 20.
    CO 2 Removal
  • 21.
  • 22.
    HFOV Settings: InspiratoryTime % 33%= 1:2 I:E Ratio Default 50%= 1:1 I:E Ratio Caution
  • 23.
    Oxygenation Paw FiO2 “What was that Oxygenation Index thing?”
  • 24.
    Oxygenation The Pawis used to inflate the lung Paw = Lung Volume  Paw =  PaO 2 (usually) Use blender to adjust FiO 2
  • 25.
  • 26.
    Bias Flow CDPControl Balloon x
  • 27.
  • 28.
  • 29.
  • 30.
  • 31.
    HFOV - How Initial Settings FiO 2 = 1.0 Hz = 5.0 Power setting = 5 Paw = CMV + 5 Insp Time = 33% Flow = 30
  • 32.
    Clinical Observations ChestWiggle Factor CXR T8-9 Pulse oximetery TCO 2 ABG
  • 33.
    Weaning Wean FiO 2 for Sat’s > 90% When FiO 2 60%, wean Paw by 1 Return to CMV when: FiO 2 < 40% Paw 15-20 Amplitude < 40
  • 34.
    HFOV: Conversion Pressurelimited ventilation Delivered tidal volume ~6 ml/kg PEEP ~10 cm H 2 O Adjust for Paw same as HFOV FiO 2 ~40 - 50%
  • 35.
    Signs of FailureOI > 42 at 48 hrs HFOV Unable to wean FiO 2 > 10% within 24 hours Unable to PaCO 2 <100 with pH 7.25
  • 36.
    “ On Patient”Issues Inability to increase Paw Fluctuating Paw Changes in settings Inappropriate patient response
  • 37.
    Inappropriate Patient ResponseNeed for ETT suctioning Low lung volume Overdistended lung Marginal cardiovascular status
  • 38.
    Tricks Prone positioningETT Leak Bronchoscopy
  • 39.
    HFOV Case Study Putting it all together
  • 40.
  • 41.
    Day 16 CMVPressure limited A/C FiO 2 70% Vt 296 VE 9.2 RR 32 PEEP 12 Paw 24 PIP 36 I:E 1:1 Arterial blood gases pH 7.09 PaCO 2 200 HCO 3 49 PaO 2 80 BE 26 SaO 2 91 A-a gradient 169.1 OI 21
  • 42.
    “ Oh yeah,did I mention…?” 23 y/o female ARDS 3 CT Prone iNO ECMO candidate
  • 43.
    HFOV: Indications Indication:OI > 15 FiO 2 > 60% PEEP > 10 PIP > 35 Paw > 15 Respiratory acidosis Inadequate alveolar ventilation Pt. Values: OI 21 FiO 2 70% PEEP 12 PIP 36 Paw 24 pH 7.09 PaCO 2 200
  • 44.
    HFOV: Initiation InitialHFOV settings FiO 2 100% Paw 30 Amplitude 62 Hz 5.0 It% 33% Bias flow 30 Arterial blood gases pH 7.26 *7.09 PaCO 2 114 *200 PaO 2 184 *80 HCO 3 52 BE 22 SaO 2 95.2 *ABG prior to HFOV
  • 45.
    Management: Strategy HFOVsettings FiO 2 80% Paw 30 Amplitude 62 Hz 4.0 It% 50% Bias flow 30 Arterial blood gases pH 7.35 * 7.26 PaCO 2 88 * 114 PaO 2 104 * 88 HCO 3 49 BE 22 SaO 2 96 * ABG prior to changes in parameters
  • 46.
    Management: 24 hoursHFOV settings FiO 2 60% Paw 26 Amplitude 62 Hz 4.0 It% 50% Bias flow 30 Arterial blood gases pH 7.44 PaCO 2 74 PaO 2 97 HCO 3 50 BE 24 SaO 2 95
  • 47.
    HFOV Day 7 HFOV settings FiO 2 50% Paw 16 Amplitude 50 Hz 5.0 It% 40% Bias flow 40 Arterial blood gases pH 7.41 PaCO 2 66 PaO 2 83 HCO 3 43 BE 16 SaO 2 95
  • 48.
  • 49.
    Why did HFOVsucceed? Low pressure swings allowed air leaks to seal Paw recruited collapsed lung
  • 50.
  • 51.
    HFOV Summary CPAPSmall pressure swings Lung protection Lung support Ultimate low Vt strategy Start early Be aggressive