Basics Of Echocardiography
Presenter
Dr. Prem Mohan Jha
DNB Nephro Resident
Max Super Speciality Hospital, Vaishali
ECHO
• Echo is something you experience all
the time.
• If you shout into a well, the echo comes
back a moment later.
• The echo occurs because some of the
sound waves in your shout reflect off a
surface (either the water at the bottom
of the well or the wall on the far side)
and travel back to your ears.
• A similar principle applies in cardiac
ultrasound.
2
HISTORY
1. Dr. Helmut Hertz of Sweden in 1953 obtained a commercial
ultrasonoscope, which was being used for nondestructive
testing.
2. He then collaborated with Dr. Inge Edler who was a practicing
cardiologist in Sweden.
3. The two of them began to use this commercial
ultrasonoscope to examine the heart.
4. This collaboration is commonly accepted as the beginning of
clinical echocardiography as we know it today.
GENERATION OF AN ULTRASOUND
IMAGE
• Echocardiography (echo or
echocardiogram) is a type of ultrasound
test that uses high-pitched sound waves to
produce an image of the heart.
•The sound waves are sent through a
device called a transducer and are reflected
off the various structures of the heart.
•These echoes are converted into pictures
of the heart that can be seen on a video
monitor..
•There is no special preparation for the
test.
GENERATION OF AN ULTRASOUND
IMAGE
• The transducer
transforms the echo
(mechanical energy) into
an electrical signal which
is processed and
displayed as an image on
the screen.
• The conversion of
sound to electrical
energy is called the
piezoelectric effect.
MACHINES
There are 5 basic components
of an ultrasound scanner that
are required for…
Generation
Display
Storage
of an ultrasound image.
1. Pulse generator - applies
high amplitude voltage to
energize the crystals
2. Transducer - converts
electrical energy to
mechanical (ultrasound)
energy and vice versa
3. Receiver - detects and
amplifies weak signals
4. Display - displays
ultrasound signals in a
variety of modes
5. Memory - stores video
display
THE TRANSDUCER
THE TRANSDUCER
 The transducer is responsible for both transmitting and
receiving the ultrasoundsignal.
 The transducer consist of a electrode and a piezo-electric
crystal whose ionic structure results in deformation of shape
when exposed toan electric current.
THE TRANSDUCER
 Piezo electric(PE) crystals are composed of synthetic material
such as barium titanate which when exposed to electric
current from the electrodes, alternatelyexpand and contract
to create sound waves.
 When subjected to the mechanical energy of sound from a
returning surface, the same PE element change the shape
thereby generating an electrical signal detected by the
electrodes.
INDICATIONS
STRUCTURAL HEMODYNAMIC
STRUCTURAL
PERICARDIUM
MUSCLE
CHAMBERS
SEPTUM
VALVES
VESSELS
OTHERS
FUNCTIONAL
SYSTOLIC
FUNCTION
DIASTOLIC
FUNCTION
BLOOD
FLOW
TYPES
• Suprasternal
• Parasternal
• Subcostal
TRANSTHORACIC
TRANSESOPHAGEAL
INTRACARDIAC
TRANSTHORASIC / STANDARD ECHO
POSITION OF PATIENT
VIEWING THE HEART
Parasternal Long-Axis View (PLAX)
1. Transducer position: left sternal
edge;
2. 2nd – 4th intercostal space
3. Marker dot direction: points
towards right shoulder
4. Most echo studies begin with
this view
5. It sets the stage for subsequent
echo views
6. Many structures seen from this
view
PARASTERNAL LONG AXIS
VIEW
Parasternal Short Axis View (PSAX)
Transducer position: left sternal
edge; 2nd – 4th intercostal space
Marker dot direction: points
towards left shoulder(900
clockwise from PLAX view)
By tilting transducer on an axis
between the left hip and right
shoulder, short axis views are
obtained at different levels, from
the aorta to the LV apex.
Many structures seen
22
Short-axis views
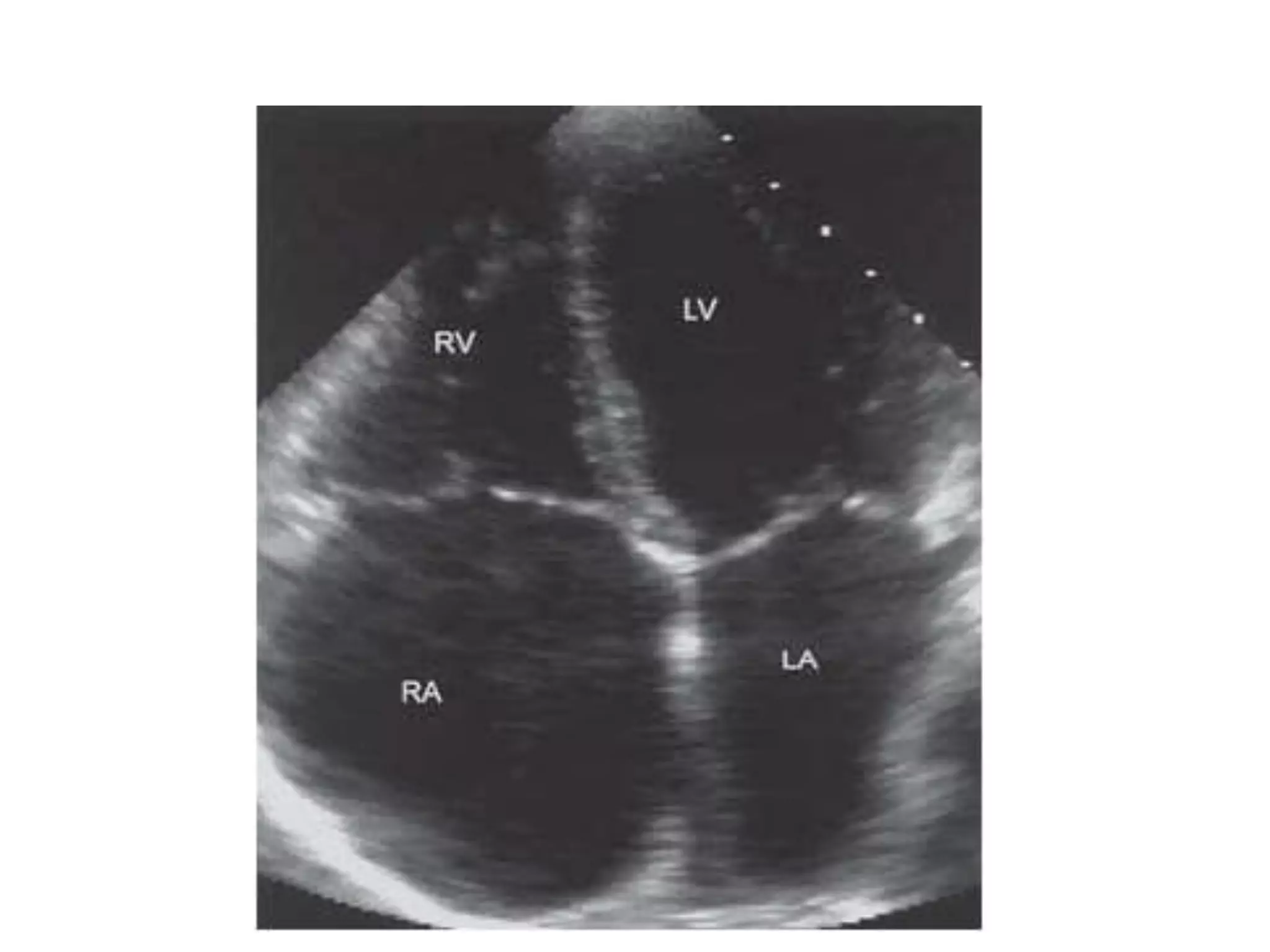
Apical 4-Chamber View (AP4CH)
APICAL VIEW
Apical 2-Chamber View (AP2CH)
Sub–Costal 4 Chamber View(SC4CH)
1. Transducer position: under the
xiphisternum
2. Marker dot position: points towards left
shoulder.
3. The subject lies supine with head slightly low (no pillow). With
feet on the bed, the knees are slightly elevated
4. Better images are obtained with the abdomen relaxed and
during inspiration
5. Interatrial septum, pericardial effusion, desc abdominal aorta
Sub–Costal 4 Chamber View(SC4CH)
Suprasternal View
• Transducer position: suprasternal notch
• Marker dot direction: points towards left jaw
• The subject lies supine with the neck
hyperexrended. The head is rotated slightly
towards the left
• The position of arms or legs and the phase of
respiration have no bearing on this echo window
• Arch of aorta
ECHO TECHNIQUES
Three echo methods are in common clinical
usage:
• Two-dimensional (2-D) or ‘cross-sectional’
• Motion or m-mode
• Doppler –
• Continuous wave,
• Pulsed wave and
• Colour
2D- ECHO
M MODE
DOPPLER
Summary Of Echo Modalities And Their Main
Uses
2-D echo
• ● Anatomy
• ● Ventricular and valvular
movement
• ● Positioning for m-mode and
doppler echo
M-mode echo
• ● Measurement of dimensions
• ● Timing cardiac events
Pulsed wave Doppler
• ● Normal valve flow patterns
• ● LV diastolic function
• ● Stroke volume and cardiac output.
Continuous wave
• ● Severity of valvular
stenosis
• ● Severity of valvular
regurgitation
• ● Velocity of flow in shunts
Colour flow mapping
• ● Assessment of
regurgitation and shunts.
NORMAL VALUES
Some Other Normal Findings
• Mild tricuspid and mitral regurgitation (MR) are found in
many normal hearts.
• Some degree of thickening of AV leaflets with ageing is normal
without significant aortic stenosis.
• Mitral annulus (ring) calcification is sometimes seen in older
subjects.
– It is often of no consequence but may be misdiagnosed as
a stenosed valve, a vegetation (inflammatory mass),
thrombus (clot) or myxoma (cardiac tumour).
– It is important to examine the leaflets carefully. It may be
associated with MR.
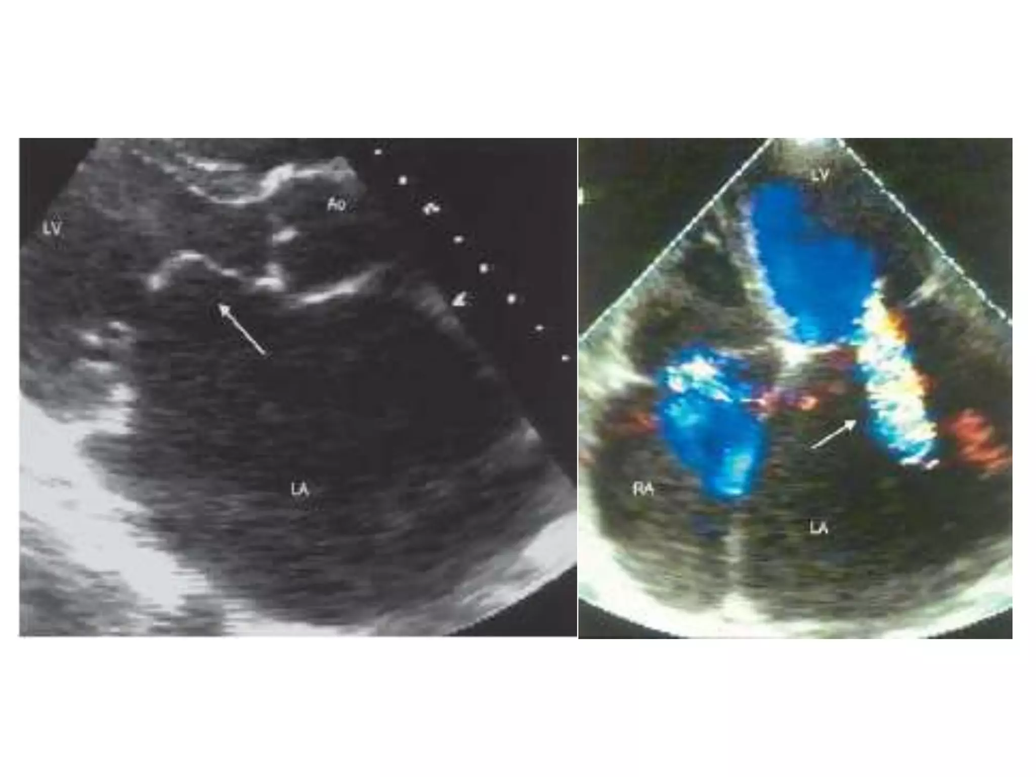
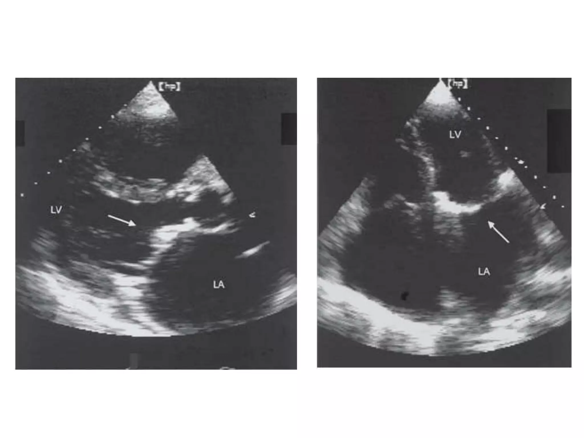
MITRAL VALVE
MS
Changes in MV area with severity of
MS
Normal valve : 4–6 cm2
Mild MS : 2–4 cm2
Moderate MS : 1–2 cm2
Severe MS : <1 cm2.
Criteria for diagnosis of severe
MS (many derived from
Doppler)
• Measured valve orifice area <1 cm2
• Mean pressure gradient >10 mmHg
• Pressure half-time >200 ms
• Pulmonary artery systolic pressure
>35 mmHg.
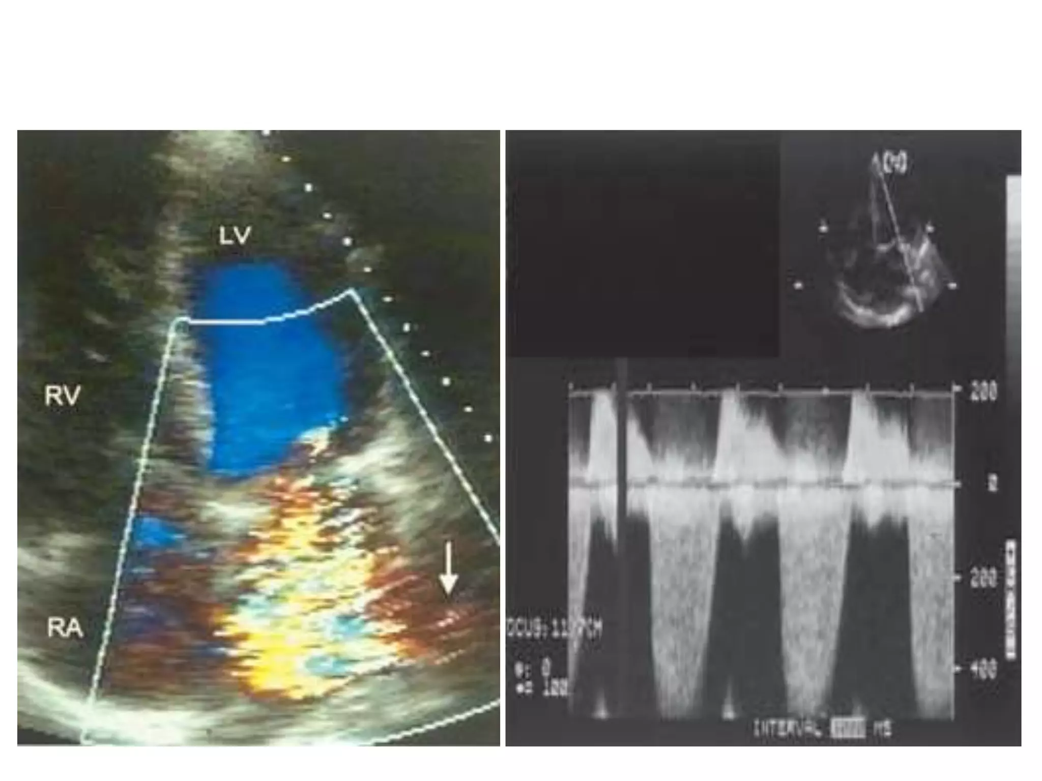
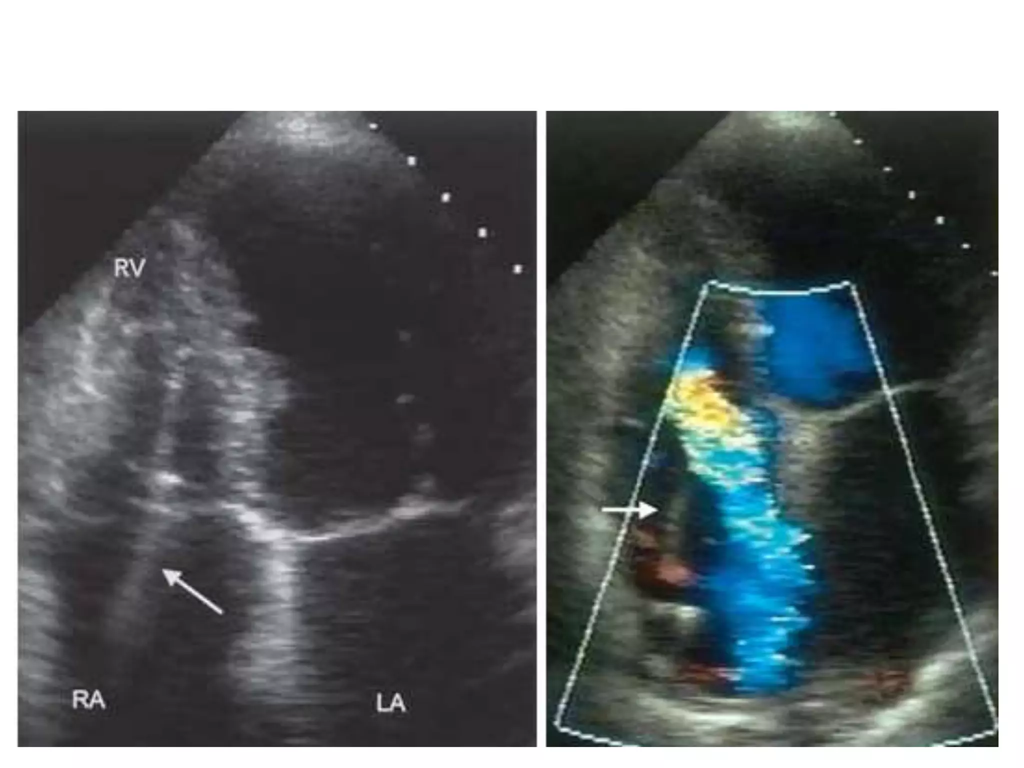
MR
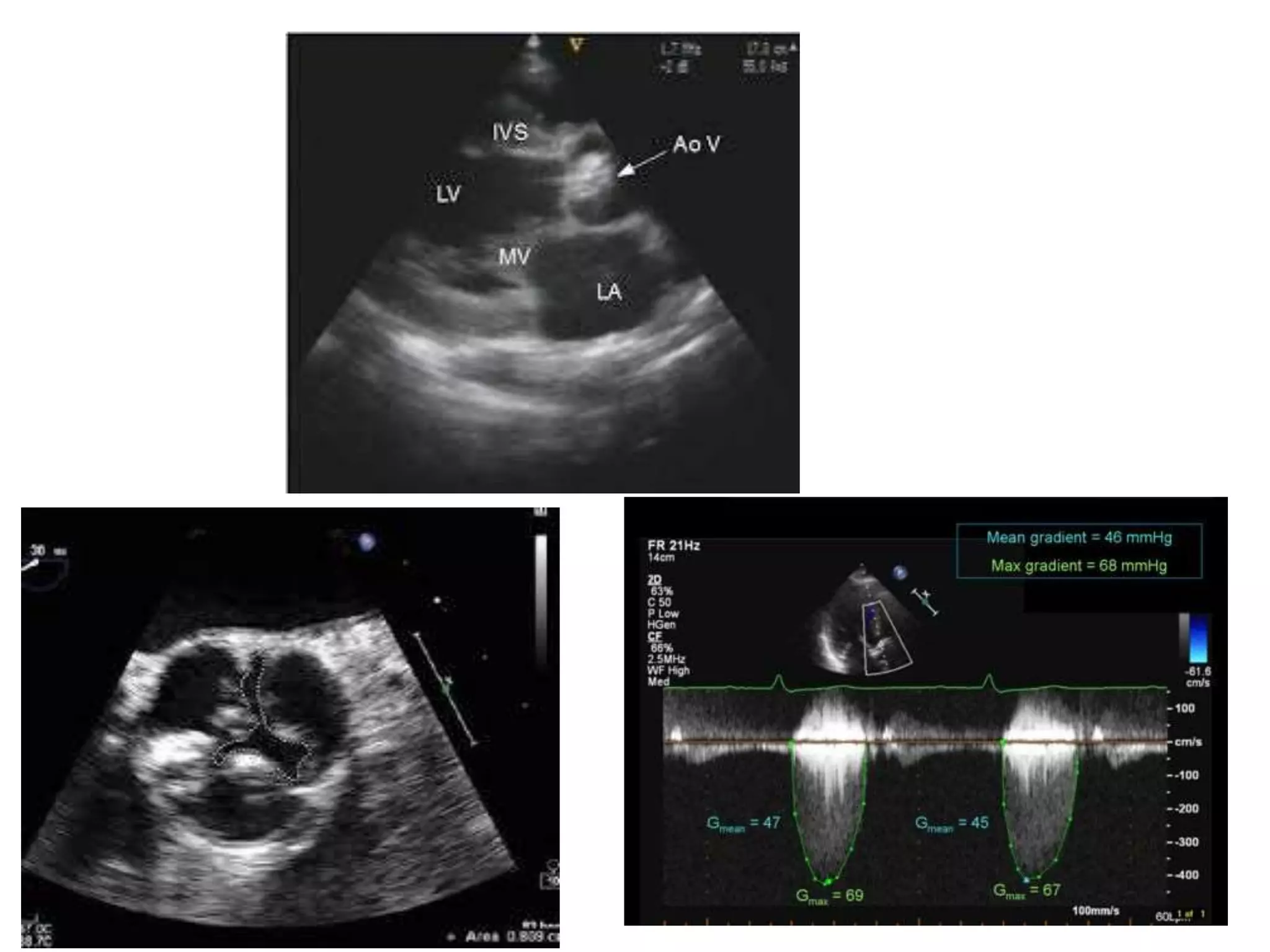
AORTIC VALVE
AS
AS
AR
AR
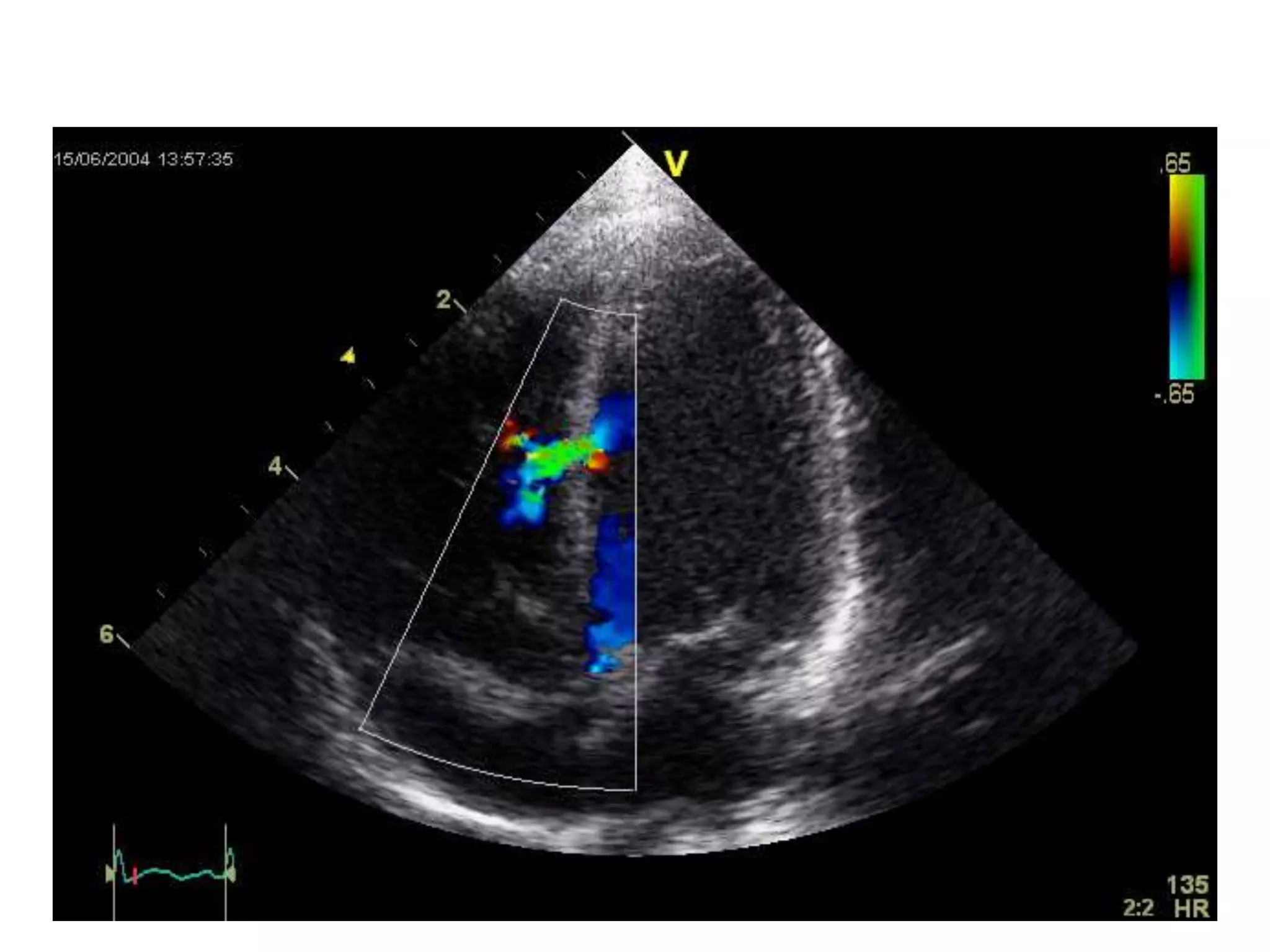
TR
The peak Doppler velocities in
normal adults
LV APICAL CLOT
HCM
DCMP
AMYLOIDOSIS
TISSUE DOPPLER IMAGING (TDI)
Pulmonary hypertension
• This is defined as an abnormal increase in PA pressure
above:
– 30/20 mmHg (normal 25/10 mmHg)
– Mean 20 mmHg at rest
– Mean 30 mmHg during exercise.
• In those aged over 50 years, PHT is the third most
frequent cardiovascular problem after coronary artery
disease and systemic hypertension.
• Echo is useful in assessing the underlying cause and
severity of PHT, but echo examination can be technically
more difficult since many of these individuals have
underlying lung disease. This is especially true if the lungs
are hyperinflated or there is pulmonary fibrosis.
The echo features of PHT
M-mode
– Abnormal M-mode of the pulmonary valve leaflets with
absent A-wave or mid-systolic notch
– Dilated RV with normal LV
– Abnormal IVS motion (‘right ventricularization’ of IVS)
– Underlying cause, e.g. MS (PA systolic pressure is an index
of severity).
• 2-D echo
– Dilated PA (e.g. parasternal short-axis view at aortic
level). The PA diameter should normally not be greater
than aortic diameter
– RV dilatation and/or hypertrophy
– RA dilatation
– Abnormal IVS motion
– Underlying cause, e.g. MV or AV disease, ASD, VSD, LV
dysfunction.
• Doppler
– This is the best method to assess PA systolic pressure
using TR velocity (as described in Ch. 3), or short PA
acceleration time as a surrogate of PHT.
PERICARDIAL EFFUSION
CAD / RWMA
INFECTIVE ENDOCARDITIS
VSD
ASD
Patent Foramen Of Ovale
Bicuspid Aortic Valve
TOF
IVC
IVC
IVC
THANK
YOU…

2D ECHO Basics

  • 1.
    Basics Of Echocardiography Presenter Dr.Prem Mohan Jha DNB Nephro Resident Max Super Speciality Hospital, Vaishali
  • 2.
    ECHO • Echo issomething you experience all the time. • If you shout into a well, the echo comes back a moment later. • The echo occurs because some of the sound waves in your shout reflect off a surface (either the water at the bottom of the well or the wall on the far side) and travel back to your ears. • A similar principle applies in cardiac ultrasound. 2
  • 3.
    HISTORY 1. Dr. HelmutHertz of Sweden in 1953 obtained a commercial ultrasonoscope, which was being used for nondestructive testing. 2. He then collaborated with Dr. Inge Edler who was a practicing cardiologist in Sweden. 3. The two of them began to use this commercial ultrasonoscope to examine the heart. 4. This collaboration is commonly accepted as the beginning of clinical echocardiography as we know it today.
  • 4.
    GENERATION OF ANULTRASOUND IMAGE • Echocardiography (echo or echocardiogram) is a type of ultrasound test that uses high-pitched sound waves to produce an image of the heart. •The sound waves are sent through a device called a transducer and are reflected off the various structures of the heart. •These echoes are converted into pictures of the heart that can be seen on a video monitor.. •There is no special preparation for the test.
  • 5.
    GENERATION OF ANULTRASOUND IMAGE • The transducer transforms the echo (mechanical energy) into an electrical signal which is processed and displayed as an image on the screen. • The conversion of sound to electrical energy is called the piezoelectric effect.
  • 6.
    MACHINES There are 5basic components of an ultrasound scanner that are required for… Generation Display Storage of an ultrasound image. 1. Pulse generator - applies high amplitude voltage to energize the crystals 2. Transducer - converts electrical energy to mechanical (ultrasound) energy and vice versa 3. Receiver - detects and amplifies weak signals 4. Display - displays ultrasound signals in a variety of modes 5. Memory - stores video display
  • 7.
  • 8.
    THE TRANSDUCER  Thetransducer is responsible for both transmitting and receiving the ultrasoundsignal.  The transducer consist of a electrode and a piezo-electric crystal whose ionic structure results in deformation of shape when exposed toan electric current.
  • 9.
    THE TRANSDUCER  Piezoelectric(PE) crystals are composed of synthetic material such as barium titanate which when exposed to electric current from the electrodes, alternatelyexpand and contract to create sound waves.  When subjected to the mechanical energy of sound from a returning surface, the same PE element change the shape thereby generating an electrical signal detected by the electrodes.
  • 10.
  • 11.
  • 12.
  • 13.
    TYPES • Suprasternal • Parasternal •Subcostal TRANSTHORACIC TRANSESOPHAGEAL INTRACARDIAC
  • 14.
  • 15.
  • 16.
  • 17.
    Parasternal Long-Axis View(PLAX) 1. Transducer position: left sternal edge; 2. 2nd – 4th intercostal space 3. Marker dot direction: points towards right shoulder 4. Most echo studies begin with this view 5. It sets the stage for subsequent echo views 6. Many structures seen from this view
  • 18.
  • 19.
    Parasternal Short AxisView (PSAX) Transducer position: left sternal edge; 2nd – 4th intercostal space Marker dot direction: points towards left shoulder(900 clockwise from PLAX view) By tilting transducer on an axis between the left hip and right shoulder, short axis views are obtained at different levels, from the aorta to the LV apex. Many structures seen 22
  • 20.
  • 23.
  • 24.
  • 27.
  • 28.
    Sub–Costal 4 ChamberView(SC4CH) 1. Transducer position: under the xiphisternum 2. Marker dot position: points towards left shoulder. 3. The subject lies supine with head slightly low (no pillow). With feet on the bed, the knees are slightly elevated 4. Better images are obtained with the abdomen relaxed and during inspiration 5. Interatrial septum, pericardial effusion, desc abdominal aorta
  • 29.
  • 30.
    Suprasternal View • Transducerposition: suprasternal notch • Marker dot direction: points towards left jaw • The subject lies supine with the neck hyperexrended. The head is rotated slightly towards the left • The position of arms or legs and the phase of respiration have no bearing on this echo window • Arch of aorta
  • 31.
    ECHO TECHNIQUES Three echomethods are in common clinical usage: • Two-dimensional (2-D) or ‘cross-sectional’ • Motion or m-mode • Doppler – • Continuous wave, • Pulsed wave and • Colour
  • 33.
  • 34.
  • 37.
  • 38.
    Summary Of EchoModalities And Their Main Uses 2-D echo • ● Anatomy • ● Ventricular and valvular movement • ● Positioning for m-mode and doppler echo M-mode echo • ● Measurement of dimensions • ● Timing cardiac events Pulsed wave Doppler • ● Normal valve flow patterns • ● LV diastolic function • ● Stroke volume and cardiac output. Continuous wave • ● Severity of valvular stenosis • ● Severity of valvular regurgitation • ● Velocity of flow in shunts Colour flow mapping • ● Assessment of regurgitation and shunts.
  • 39.
  • 40.
    Some Other NormalFindings • Mild tricuspid and mitral regurgitation (MR) are found in many normal hearts. • Some degree of thickening of AV leaflets with ageing is normal without significant aortic stenosis. • Mitral annulus (ring) calcification is sometimes seen in older subjects. – It is often of no consequence but may be misdiagnosed as a stenosed valve, a vegetation (inflammatory mass), thrombus (clot) or myxoma (cardiac tumour). – It is important to examine the leaflets carefully. It may be associated with MR.
  • 42.
  • 45.
    MS Changes in MVarea with severity of MS Normal valve : 4–6 cm2 Mild MS : 2–4 cm2 Moderate MS : 1–2 cm2 Severe MS : <1 cm2. Criteria for diagnosis of severe MS (many derived from Doppler) • Measured valve orifice area <1 cm2 • Mean pressure gradient >10 mmHg • Pressure half-time >200 ms • Pulmonary artery systolic pressure >35 mmHg.
  • 46.
  • 47.
  • 48.
  • 49.
  • 50.
  • 51.
  • 53.
  • 56.
    The peak Dopplervelocities in normal adults
  • 57.
  • 58.
  • 59.
  • 60.
  • 61.
  • 64.
    Pulmonary hypertension • Thisis defined as an abnormal increase in PA pressure above: – 30/20 mmHg (normal 25/10 mmHg) – Mean 20 mmHg at rest – Mean 30 mmHg during exercise. • In those aged over 50 years, PHT is the third most frequent cardiovascular problem after coronary artery disease and systemic hypertension. • Echo is useful in assessing the underlying cause and severity of PHT, but echo examination can be technically more difficult since many of these individuals have underlying lung disease. This is especially true if the lungs are hyperinflated or there is pulmonary fibrosis.
  • 65.
    The echo featuresof PHT M-mode – Abnormal M-mode of the pulmonary valve leaflets with absent A-wave or mid-systolic notch – Dilated RV with normal LV – Abnormal IVS motion (‘right ventricularization’ of IVS) – Underlying cause, e.g. MS (PA systolic pressure is an index of severity).
  • 66.
    • 2-D echo –Dilated PA (e.g. parasternal short-axis view at aortic level). The PA diameter should normally not be greater than aortic diameter – RV dilatation and/or hypertrophy – RA dilatation – Abnormal IVS motion – Underlying cause, e.g. MV or AV disease, ASD, VSD, LV dysfunction. • Doppler – This is the best method to assess PA systolic pressure using TR velocity (as described in Ch. 3), or short PA acceleration time as a surrogate of PHT.
  • 69.
  • 71.
  • 74.
  • 75.
  • 77.
  • 78.
  • 79.
  • 82.
  • 84.
  • 87.
  • 88.
  • 89.