BASICS OF
ECHOCARDIOG
RAGHY
Dr Ramachandra Barik,
DNB(Cardiology)
NIMS,Hydearabad-500082,India.
First, ultrasound can be directed as a beam
and focused
It obeys the laws of reflection and refraction
It is poorly transmitted through a gaseous
medium and attenuation occurs rapidly,
especially at higher frequencies.
The amount of reflection, refraction, and
attenuation depends on the acoustic
properties of the various media through which
the ultrasound beam passes.
Within soft tissue, velocity of sound is
fairly constant at approximately 1,540
m/sec (or 1.54 m/msec, or 1.54 mm/µsec).
 Wave length(in millimeters) = 1.54/f,
where f is the transducer frequency (in
megahertz).
higher frequency ultrasound has less
penetration compared with lower
frequency ultrasound.
The loss of ultrasound as it propagates
through a medium is referred to as
attenuation.
Attenuation has three components:
absorption, scattering, and reflection.
Attenuation always increases with depth
and is also affected by the frequency and
Attenuation may be expressed as “half-
value layer”or “half-power distance”which
is a measure of the distance that
ultrasound travels before its amplitude is
decreased to one half its original value
As a rule of thumb, the attenuation of
ultrasound in tissue is between 0.5 and
1.0 dB/cm/MHz.
The velocity and direction of the
ultrasound beam as it passes through a
medium are a function of the acoustic
impedance of that medium.
Acoustic impedance (Z, measured in
rayls) is simply the product of velocity (in
meters per second) and physical density
(in kilograms per cubic meter).
The phenomena of reflection and
refraction obey the laws of optics and
depend on the angle of incidence as well
as the acoustic mismatch.
 Small differences in velocity also
determine refraction.
These properties explain the importance
of using an acoustic coupling gel during
transthoracic imaging.
This is primarily due to the very high
acoustic impedance of air.
Specular echoes are produced by reflectors
that are large relative to ultrasound
wavelength. Eg: endocardial and epicardial
surfaces, valves, and pericardium.
Targets that are small relative to the
wavelength of the transmitted ultrasound
produce scattering, and such objects are
sometimes referred to as Rayleigh scatterers.
Scattered echoes provide the substrate for
visualizing the texture of gray-scale images.
 The term speckle is used to describe the
Most commercial transducers employ
ceramics, such as ferroelectrics, barium
titanate, and lead zirconate titanate.
Dampening (or backing) material, which
shortens the ringing response of the
piezoelectric material after the brief
excitation pulse. An excessive ringing
response lengthens the ultrasonic pulse
and decreases range resolution.
 At the surface of the transducer,
An important feature of ultrasound is the
ability to direct or focus the beam .
The proximal or cylindrical portion of the
beam is referred to as the near field or
Fresnel zone.
When it begins to diverge, it is called the
far field or Fraunhofer zone.
Maximizing the length of the near field is
an important goal of echocardiography.
The ultrasound beam is both focused
and steered electronically, beam
manipulation can be achieved through
the use of phased array transducer.
By adjusting the timing of excitation and
adjustments in the timing allow the beam
to be steered through a sector arc,
resulting in a two-dimensional image.
electronic transmit focusing of the beam
Focusing concentrates the acoustic
energy into a smaller area, resulting in
increased intensity .
 By increasing beam intensity within the
near field, the strength of returning signals
is enhanced. An undesirable effect of
focusing is its effect on beam divergence
in the far field
Intensity varies
across the lateral
dimensions of the
beam
It is customary to
measure the beam
width at its half
amplitude or intens.
 At high gain settings,
the weaker portion of
the ultrasound beam
is recorded and
Resolution has at least two components:
spatial and temporal.
Spatial resolution - smallest distance that
two targets can be separated .
Axial resolution
lateral resolution
Commercial echographs have repetition
rates between 200 and 5,000 per second.
 M-mode , pulse repetition rates of
between 1,000 and 2,000 per second are
used.
For two-dimensional imaging, repetition
rates of 3,000 to 5,000 per second are
necessary to create the 90-degree sector
scan.
Because all the pulses are devoted to a
• Requires more than one position.
• Tilting pt to left improves ultrasound
windows.
• Rt lat decubitus-record aortic flow &
congen disease.
• Subcostal imaging
• Suprasternal notch
• Sitting position
• Mid portion & base of lv ,both leaflets of
MV ,AV ,AO root ,LA &RV.
• imaging plane is aligned parallel to long
axis of lv.
• Reduced endocardial definition & wall
motion analysis difficult.
• Medial angulation of the scan plane – RA
& RV seen.
• one of the most important components of
quantitation of ventricular function.
• Qualitative and quantitative data derived from
echocardiography, e.g., LV dimensions and wall
thickness, can influence patient management and
serve as potent predictors of outcomes
• Chronic stable coronary artery disease, there is a
consistent relationship between heart size and
outcomes
• The same applies to patients without heart failure.
• Framingham Heart Study patients without a history
of heart failure or myocardial infarction, LV size (by
M-mode echocardiography) was an important
predictor of subsequent risk of heart failure.
• M-mode line perpendicular to long
axis of the heart and immediately
distal to the tips of the mitral leaflets
in thePLAX view
• diastolic measurements
septal wall thickness, the
LV internal diameter at end diastole
(LVIDd) and posterior wall thickness.
In systole, the LV systolic diameter(LVIDs)
• clockwise rotation of 90 degrees
• Pts lateral wall I placed to the observer”s
right
• LV is displayed as if viewed from apex
• Apical level
• Papillary muscle level -
• Mitral valve level- Precise recording of
mitral orifice in pts with MS.
-Basal level- aortic annulus, AV, coronory
ostia, LA, TV, RVOT, PV & prox pa.
-annulus
regarded as clock face- LMCA at 4 & RCA
at 11
-with slight superior angulation-bifurcation
of PA
• Apical 4 chamber-After location of apical
window ,all 4 chambers are optimally
visualised when ful excursion of MV & TV
leaflets occurs & true apex is seen.
-false tendons of LV & moderator band
of RV are normal variants.
–crux of heart.
• Apical 5 chamber –tilt the transducer into
a shallower angle
• Apical 2 chamber- rotating the transducer
CCW approx 60 deg.
Similar orientation to RAO
angiographic view LA
APPENDAGE IS VIEWED.
• Apical long axis view –transducer rotated
CW 60 similar to PLAX.
LV walls &
ultrasound beam are parallel.
Quantifying aortic valvular & subvalvular
obstruction including HOCM.
• beam is oriented perpendicular to long
axis of LV
• better endocardial definition
• septal defects are better delineated.
• Only view that visualises superior portion
of IAS
• proximity of RV free wallto the
transducer(pericardial tamponade)
• IVC & hepatic veins are viewed.
Far Posterior tilt to visualise pulmonary veins
Anterior tilt to image entire length of LVOT
Tilting the plane far anteriorly
LVOT not seen
Trabeculated &outflow of RV, pulm valve, part of PA
• Depending on orientation of imaging
planeto arch
• PARALLEL- asc & des segments of aorta,
origin of innominate, lt cca, lt sca, rpa are
viewed.
• PERPENDICULAR- RPA & LA are viewed
• fractional shortening and EF
• Fractional shortening—the percentage change in
the LV minor axis in a symmetrically contracting
ventricle
• FS(%)= (LVIDd – LVIDs)/LVIDd × 100%
• FS = 25% – 45% (normal range)
• LV volumes by 2D:
1. Prolate ellipsoid method.
2. Hemi-ellipsoid (bullet) method.
3. Biplane method of discs (modified
Simpson’s)
• LV DIMENSIONS
• SHORT AXIS
diastole 3.5- 6.0
systole 2.1- 4.0
Long axis
diastole 6.3- 10.3
systole 4.6- 8.4
LV volume women men
Diastolic
volume, mL
59-138 96-155
Diastolic
volume/BSA,
mL/m2
61+_ 13 67+_9
Systolic volume,
mL
18-65 33-68
Systolic
• Fractional shortening—the % change in
the LV minor axis in a symmetrically
contracting ventricle
• FS(%)= (LVIDd – LVIDs)/LVIDd × 100%
• FS = 25% – 45% (normal range)
measu
re
wome
n
men
Range mil
d
mo
d
seve
re
rang
e
mild mod sever
e
Linear
metho
d
Endoca
rdial FS
%
27-45 22-
26
17-
21
≤16 25-
43
20-
24
15-
19
≤14
2D
metho
d
• AORTA
annulus : 1.4- 2.6 cm
at leaflet tips: 2.2- 3.6
asc aorta : 2.1- 3.4
LA
PLAX : 2.3- 4.5
A4C med-lat : 2.5- 4.5
sup-inf 3.4-6.1
MITRAL ANNULUS
end diastole: 2.7 +_ 0.4
end systole 2.9+_ 0.3
• RV
wall thickness 0.2- 0.5
minor dimension 2.2- 4.4
length
diastole 5.5-9.5
systole 4.2-8.1
PA
annulus 1.0- 2.2
Main PA 0.9- 2.9
IVC diametre 1.2- 2.3
• Left ventricular mass (MassLV) = 0.8 ×
[1.04 (IVS + PWT + LVIDd)3 – LVIDd3] +
0.6 g
wo
men
men
mild Mod Seve
re
Mild Mod Seve
re
LV
mass
67-
162
163-
186
187-
210
≥211 88-
224
225-
258
259-
292
≥293
LV
mass
/BSA
43-
95
96-
108
109-
121
≥122 49-
115
116-
131
132-
148
≥149
Sept
al
thick
ness,
cm
.6-.9 .9-
1.2
1.3-
1.5
≥1.6 .6-.9 .9-
1.3
1.4-
1.6
≥1.7
THREE
DIMENSIONAL
ECHOCARDIOG
RAPHY
• One of the most significant developments of
the last decades was the introduction of 3-
dimensional (3D) imaging and its evolution
from slow and labor-intense off-line
reconstruction to real-time volumetric imaging
• The major proven advantage of this
technique is the improvement in the accuracy
of the echocardiographic evaluation of
cardiac chamber volumes.
• Another benefit of 3D imaging is the realistic
and unique comprehensive views of cardiac
valves and congenital abnormalities
• The major breakthrough that allowed
quality real-time imaging was the
development of a microbeam former
• When the entire crystal of the transducer
head is sampled or covered with
elements, the transducer is a dense array
• The microbeam former is required for this
arrangement to provide a communication
of all of the approximately 3000 elements
to the ultrasound system
• Transducer design
• 2 D Matrix array of transducer elements
helps generate the third dimension
• The significant innovation that actually
allows steering is making the elements
electrically independent from each other
• This allows generating a scan line that
varies azimuthally and elevationally
• Modern 2D
transducers
therefore consist of
thousands of
electrically active
elements that steer
a scan line left and
right as well as up
and down
• Beam forming in three spatial dimensions
1. Beam forming constitutes the steering and focusing
of transmitted and received scan lines
2. Significant portion of the beam steering is done
within the transducer in highly specialized integrated
circuit
3. The main system steers at coarse angles, but the
transducer circuits steer in fine increments in a
process termed microbeam forming
4. Summing is the act of combining raw acoustic
information from each element to generate a scan
line and by summing these in a sequence (first in
the transducer and then subsequently in the system)
• There are two major black and white modes run
in an electronically steered 3D system
• Live mode where the system scans in realtime
three dimension
• Gating, this time only four to eight beats, allows
a technique to generate wider volumes while
maintaining frame rate
• 3 D modes
1.Live 3D mode–instantaneous
2.3D zoom–instantaneous
3.Full-volume–gated
4.3D color Doppler–gated
• Display of 3D information
1.A 3D data set consists of bricks of pixels
called volume elements or voxels
• A process known as cropping can be used
to cut into the volume and make some
voxels invisible
• 3D data sets of voxels are turned into 2D
images in a process known as volume
rendering
• All 3D echocardiography is subject to the
laws of physics.
• Artifacts such as ringing, reverberations,
shadowing, and attenuation occur in three
and two dimensions.
• . The constraints of a 3D image are
bounded by:
(1)Frame rate,
(2) 3D volume size,
(3) Image resolution.
• 1) Direct evaluation of cardiac chamber volumes without
the need for geometric modeling
• 2) Noninvasive realistic views of cardiac valves and
congenital abnormalities , helpful for showing a variety of
pathologies and assessing the effectiveness of surgical
or percutaneous transcatheter interventions
• 3) Direct3D assessment of regional LV wall motion
aimed at objective detection of ischemic heart disease at
rest and during stress testing ,as well as quantification of
systolic asynchrony to guide ventricular
resynchronization therapy
• 4) 3D color Doppler imaging with volumetric
quantification of regurgitant lesions shunts ,and cardiac
output
• 5) Volumetric imaging and quantification of myocardial
perfusion
• True myocardial motion occurs in three
dimensions, and traditional 2D scanning
planes do not capture the entire motion of
the heart
• Quantifying implies segmenting structures
of interest from the 3D voxel set
• 3D quantification of the left ventricle
typically employs a surface- rendered
mesh
• This allows accurate computation of
• Most studies have
been done on
mitral valve.
Understanding
about the mitral
valve annulus,
leaflet tethering,
tenting volumes
has improved with
the advent of 3 D
echocardiography
M-MODE ECHOCARDIOGRPHY
• B mode echoes from an interface
that changes position will be
seen as echoes moving towards
and away from the transducer.
• If a trace line is placed on this
interface and the resulting trace
is made to drift across the face of
• The resulting display shows
motion of a reflector over
distance and time – a distance
time graph
• The change in distance (dy) over
a period of time dt is represented
by the slope of the reflector line
of motion.
• If this motion pattern is obtained
on moving cardiac structures
then the resulting images
constitute M-mode
echocardiography.
• M-mode echocardiography is use
to evaluate the morphology of
structures, movement and
velocity of cardiac valves and
Distance
Time
• Amplitude
• Velocity
• Time intervals
• Morphology
Amplitude = Y2 –Y1
Y1
Y2
Distance
Time
Time interval = T2 – T1
T2T1
Distance
Time
dy = Y2 –Y1
Y1
Y2
T1 T2
dt = T2 – T1
Slope = dy/dt = velocity
• The mitral valve has 2 leaflets –
anterior and posterior.
• Specific letters corresponding
to systole and diastole are
assigned to the m-mode
tracing of the mitral valve.
EKG Tracing
T-wave
QRS complex
P wave
Systole Diastole
Distance
SystoleDiastole
Time
Phase of Cardiac
Cycle
Assigned Letters
Diastole d,e,f, and a
Systole c and d
Systole
Diastole
d
c
a
f
e
d
Time
Distance
Systole
Diastole
e
d Time
Distance
d-e amplitude
Systole
Diastole
Septum
e
Time
Distance
EPSS
Systole
Diastole
e
d Time
Distance
d-e slope
Systole
Diastole
f
e
Time
Distance
e-f slope
M-mode at the Mitral Valve
Amplitude Description
Normal
Value
EPSS Measure e point to septal
separation
< 5 mm
d-e Measures the maximum
excusion of the mitral valve
following diastolic opening.
17 to 30 mm
M-mode at the Mitral Valve
Slope Description Normal Value
d-e Measure rate of initial
opening of the mitral valve
in early diastole.
240 to 380
mm/s
e-f Measures the rate of early
closure of the mitral valve
following diastolic
opening.
50 to 180 mm/s
• Flail PMVL
• Fluttering of the AMVL
• Mitral Stenosis
• LA myxoma
Distance
SystoleDiastole
Time
B-bump on the
AC shoulder.
Distance
SystoleDiastole
Time
Premature Closure
Premature Closure- closure
on or before the onset of the
QRS complex.
Distance
SystoleDiastole
Time
Systolic anterior motion
of the AMVL
Distance
SystoleDiastole
Time
MV prolapse
posterior leaflet
Distance
SystoleDiastole
Time
MV Prolapse –
both leaflet
Distance
SystoleDiastole
Time
Flail posterior leaflet
Distance
SystoleDiastole
Time
Aortic Regurgitation
Distance
SystoleDiastole
Time
Sinus Rhythm
Mitral Stenosis
Distance
SystoleDiastole
Time
Atrial Fibrillation
Mitral Stenosis
Distance
SystoleDiastole
Time
Atrial Myxoma
Distance
SystoleDiastole
Time
Vegetation
Distance
SystoleDiastole
Time
Distance
SystoleDiastole
Time
• The aortic valve has 3 cusps –
right coronary, left coronary
and non-coronary cusps.
• The cusps imaged in the PLAX
view are the right coronary and
the non-coronary cusps.
M-mode at the Aortic Valve
Coronary
cusp
Non-coronary cusp
Anterior aortic root
Posterior aortic root
Left Atrium
M-mode at the Aortic Valve
LA dimension
Cusp Separation
Aortic root
M-mode at the Aortic Valve
LA dimension
Cusp SeparationAortic root Measurements are made
from leading edge to
leading edge.
• Dilated LA
• Dilated aortic root
• Decreased excursion
• Premature opening
• Premature closing
• Exaggerated anterior motion of
Aortic Root
• Reduced anterior motion of
Aortic Root
• Thickening
• Calcification
• Vegetations
• Bicuspid valve
• Prosthetic valve
• Aortic Regurgitation
M-mode at the Aortic Valve
Premature Opening
Opening of the AV before
the onset of the QRS
complex
Seen in Elevated LV-EDP
M-mode at the Aortic Valve
Premature Closure
Closure of the AV
before
the onset of the T
wave
Seen in IHSS
M-mode at the Aortic Valve
Bicuspid Valve
Eccentric closure
line
Seen when there is
a Bicuspid aortic
valve
M-mode at the Aortic Valve
Decreased Cusp
Separation
Seen in Aortic Stenosis
M-mode at the Aortic Valve
Seen in aortic sclerosis
Thickened, calcified aortic
valve leaflet.
M-mode at the Aortic Valve
Seen in Mitral Stenosis
Reduced anterior
motion of aortic root
M-mode at the Aortic Valve
Exaggerated anterior
motion of aortic root
Seen in Mitral Regurgitation
Aortic
Regurgitation
Aortic
Regurgitation
Aortic
Regurgitation
LVPW excursion
LVPW max velocity
= slope
Post Infarct
Pericardial Effusion
• Thickening of the IVS and
LVPW
• Movement of the IVS and
LVPW
• IVSd
• IVS excursion
• IVSs
M-mode Measurement
• LVIDd
• LVIDd index
• LVIDs
• LVIDs index
M-mode Measurement
• LVPWd
• LVPW excursion
• LVPW max excursion velocity
• LVPWs
M-mode Measurement
• % IVS thickening
• % LVPW thickening
• IVS/LVPW ratio
M-mode LV Calculation
M-mode LV Calculation
FS = LVIDd – LVIDs
LVIDd
M-mode LV Calculation
EF = LVIDd3
– LVIDs3
LVIDd3
M-mode LV Calculation
IVS % thickening = (IVSs – IVSd) x 100
IVSd
M-mode LV Calculation
LVPW % thickening = (LVPWs – LVPWd) x 100
LVPWd
M-mode LV Calculation
LV Mass = 1.04 {(LVIDd + IVSd + LVPWd)3
– (LVIDd)3
} x 0.8 + 0.6g
Basics of echocardiograghy

Basics of echocardiograghy

  • 1.
    BASICS OF ECHOCARDIOG RAGHY Dr RamachandraBarik, DNB(Cardiology) NIMS,Hydearabad-500082,India.
  • 2.
    First, ultrasound canbe directed as a beam and focused It obeys the laws of reflection and refraction It is poorly transmitted through a gaseous medium and attenuation occurs rapidly, especially at higher frequencies. The amount of reflection, refraction, and attenuation depends on the acoustic properties of the various media through which the ultrasound beam passes.
  • 3.
    Within soft tissue,velocity of sound is fairly constant at approximately 1,540 m/sec (or 1.54 m/msec, or 1.54 mm/µsec).  Wave length(in millimeters) = 1.54/f, where f is the transducer frequency (in megahertz).
  • 5.
    higher frequency ultrasoundhas less penetration compared with lower frequency ultrasound. The loss of ultrasound as it propagates through a medium is referred to as attenuation. Attenuation has three components: absorption, scattering, and reflection. Attenuation always increases with depth and is also affected by the frequency and
  • 6.
    Attenuation may beexpressed as “half- value layer”or “half-power distance”which is a measure of the distance that ultrasound travels before its amplitude is decreased to one half its original value As a rule of thumb, the attenuation of ultrasound in tissue is between 0.5 and 1.0 dB/cm/MHz.
  • 8.
    The velocity anddirection of the ultrasound beam as it passes through a medium are a function of the acoustic impedance of that medium. Acoustic impedance (Z, measured in rayls) is simply the product of velocity (in meters per second) and physical density (in kilograms per cubic meter).
  • 9.
    The phenomena ofreflection and refraction obey the laws of optics and depend on the angle of incidence as well as the acoustic mismatch.  Small differences in velocity also determine refraction. These properties explain the importance of using an acoustic coupling gel during transthoracic imaging. This is primarily due to the very high acoustic impedance of air.
  • 10.
    Specular echoes areproduced by reflectors that are large relative to ultrasound wavelength. Eg: endocardial and epicardial surfaces, valves, and pericardium. Targets that are small relative to the wavelength of the transmitted ultrasound produce scattering, and such objects are sometimes referred to as Rayleigh scatterers. Scattered echoes provide the substrate for visualizing the texture of gray-scale images.  The term speckle is used to describe the
  • 14.
    Most commercial transducersemploy ceramics, such as ferroelectrics, barium titanate, and lead zirconate titanate. Dampening (or backing) material, which shortens the ringing response of the piezoelectric material after the brief excitation pulse. An excessive ringing response lengthens the ultrasonic pulse and decreases range resolution.  At the surface of the transducer,
  • 15.
    An important featureof ultrasound is the ability to direct or focus the beam . The proximal or cylindrical portion of the beam is referred to as the near field or Fresnel zone. When it begins to diverge, it is called the far field or Fraunhofer zone. Maximizing the length of the near field is an important goal of echocardiography.
  • 17.
    The ultrasound beamis both focused and steered electronically, beam manipulation can be achieved through the use of phased array transducer. By adjusting the timing of excitation and adjustments in the timing allow the beam to be steered through a sector arc, resulting in a two-dimensional image. electronic transmit focusing of the beam
  • 19.
    Focusing concentrates theacoustic energy into a smaller area, resulting in increased intensity .  By increasing beam intensity within the near field, the strength of returning signals is enhanced. An undesirable effect of focusing is its effect on beam divergence in the far field
  • 21.
    Intensity varies across thelateral dimensions of the beam It is customary to measure the beam width at its half amplitude or intens.  At high gain settings, the weaker portion of the ultrasound beam is recorded and
  • 23.
    Resolution has atleast two components: spatial and temporal. Spatial resolution - smallest distance that two targets can be separated . Axial resolution lateral resolution
  • 25.
    Commercial echographs haverepetition rates between 200 and 5,000 per second.  M-mode , pulse repetition rates of between 1,000 and 2,000 per second are used. For two-dimensional imaging, repetition rates of 3,000 to 5,000 per second are necessary to create the 90-degree sector scan. Because all the pulses are devoted to a
  • 29.
    • Requires morethan one position. • Tilting pt to left improves ultrasound windows. • Rt lat decubitus-record aortic flow & congen disease. • Subcostal imaging • Suprasternal notch • Sitting position
  • 32.
    • Mid portion& base of lv ,both leaflets of MV ,AV ,AO root ,LA &RV. • imaging plane is aligned parallel to long axis of lv. • Reduced endocardial definition & wall motion analysis difficult. • Medial angulation of the scan plane – RA & RV seen.
  • 38.
    • one ofthe most important components of quantitation of ventricular function. • Qualitative and quantitative data derived from echocardiography, e.g., LV dimensions and wall thickness, can influence patient management and serve as potent predictors of outcomes • Chronic stable coronary artery disease, there is a consistent relationship between heart size and outcomes • The same applies to patients without heart failure. • Framingham Heart Study patients without a history of heart failure or myocardial infarction, LV size (by M-mode echocardiography) was an important predictor of subsequent risk of heart failure.
  • 39.
    • M-mode lineperpendicular to long axis of the heart and immediately distal to the tips of the mitral leaflets in thePLAX view • diastolic measurements septal wall thickness, the LV internal diameter at end diastole (LVIDd) and posterior wall thickness. In systole, the LV systolic diameter(LVIDs)
  • 40.
    • clockwise rotationof 90 degrees • Pts lateral wall I placed to the observer”s right • LV is displayed as if viewed from apex • Apical level • Papillary muscle level - • Mitral valve level- Precise recording of mitral orifice in pts with MS.
  • 41.
    -Basal level- aorticannulus, AV, coronory ostia, LA, TV, RVOT, PV & prox pa. -annulus regarded as clock face- LMCA at 4 & RCA at 11 -with slight superior angulation-bifurcation of PA
  • 47.
    • Apical 4chamber-After location of apical window ,all 4 chambers are optimally visualised when ful excursion of MV & TV leaflets occurs & true apex is seen. -false tendons of LV & moderator band of RV are normal variants. –crux of heart. • Apical 5 chamber –tilt the transducer into a shallower angle
  • 50.
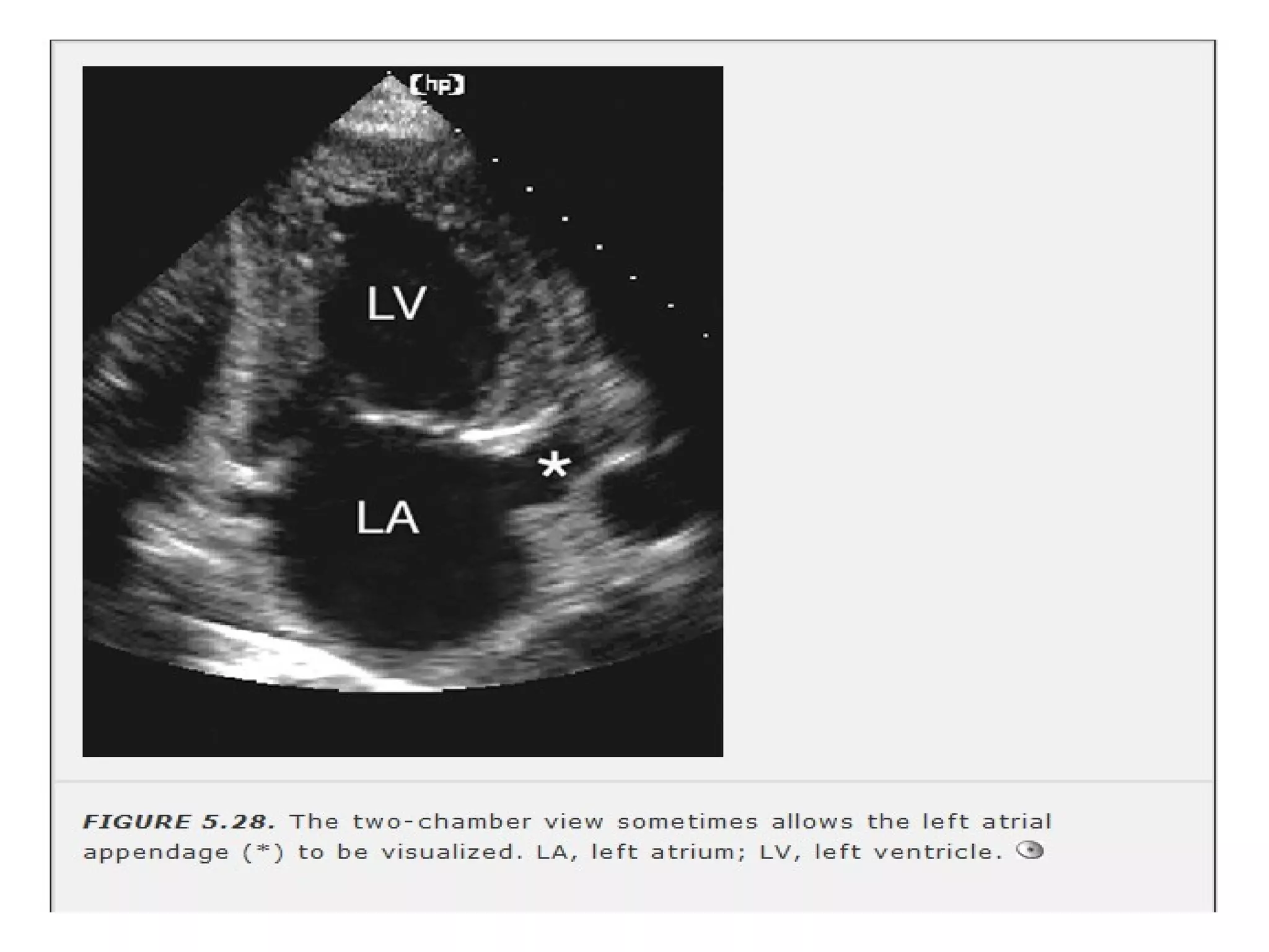
    • Apical 2chamber- rotating the transducer CCW approx 60 deg. Similar orientation to RAO angiographic view LA APPENDAGE IS VIEWED. • Apical long axis view –transducer rotated CW 60 similar to PLAX. LV walls & ultrasound beam are parallel. Quantifying aortic valvular & subvalvular obstruction including HOCM.
  • 54.
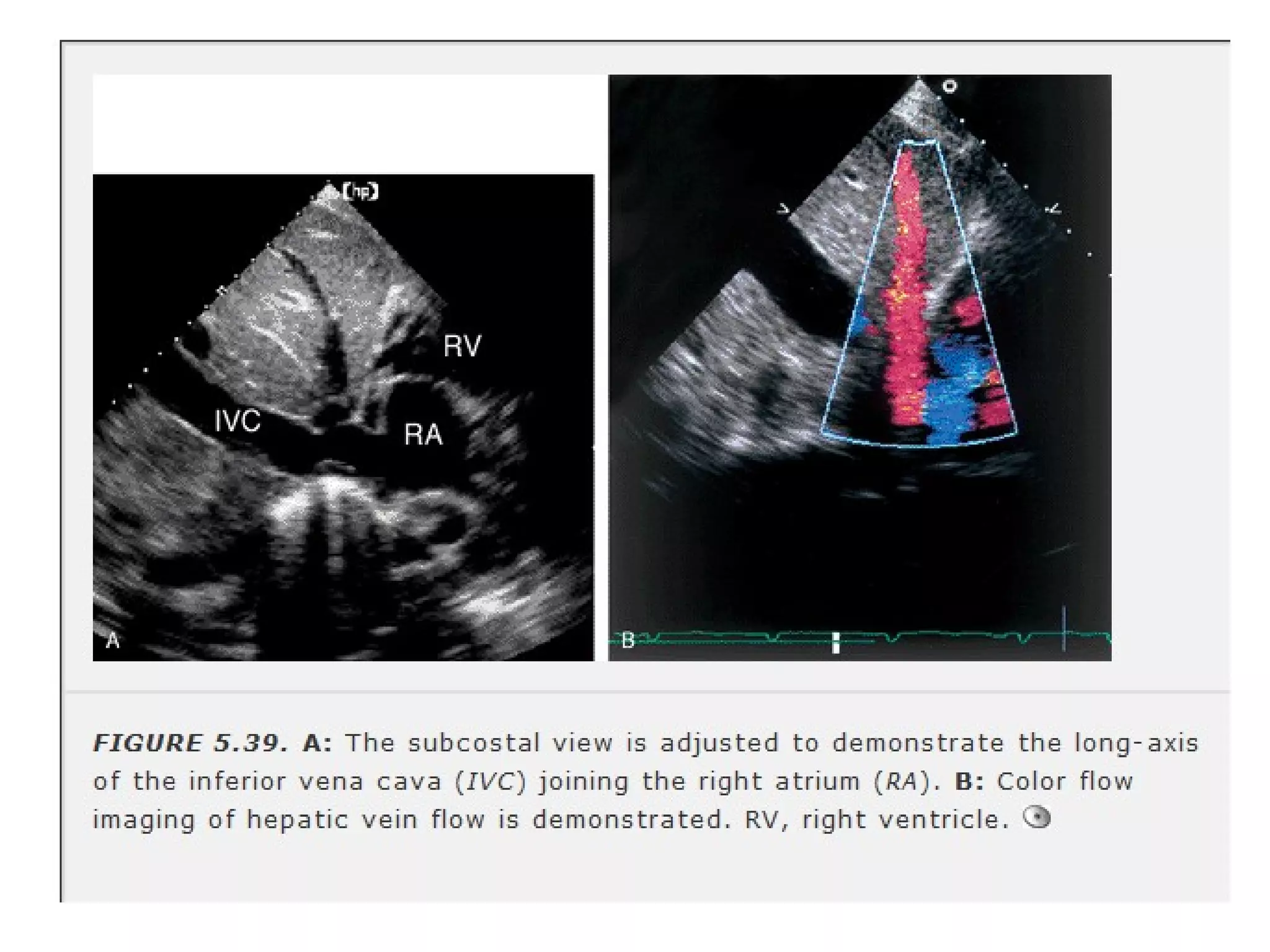
    • beam isoriented perpendicular to long axis of LV • better endocardial definition • septal defects are better delineated. • Only view that visualises superior portion of IAS • proximity of RV free wallto the transducer(pericardial tamponade) • IVC & hepatic veins are viewed.
  • 57.
    Far Posterior tiltto visualise pulmonary veins
  • 58.
    Anterior tilt toimage entire length of LVOT
  • 59.
    Tilting the planefar anteriorly LVOT not seen Trabeculated &outflow of RV, pulm valve, part of PA
  • 62.
    • Depending onorientation of imaging planeto arch • PARALLEL- asc & des segments of aorta, origin of innominate, lt cca, lt sca, rpa are viewed. • PERPENDICULAR- RPA & LA are viewed
  • 65.
    • fractional shorteningand EF • Fractional shortening—the percentage change in the LV minor axis in a symmetrically contracting ventricle • FS(%)= (LVIDd – LVIDs)/LVIDd × 100% • FS = 25% – 45% (normal range) • LV volumes by 2D: 1. Prolate ellipsoid method. 2. Hemi-ellipsoid (bullet) method. 3. Biplane method of discs (modified Simpson’s)
  • 66.
    • LV DIMENSIONS •SHORT AXIS diastole 3.5- 6.0 systole 2.1- 4.0 Long axis diastole 6.3- 10.3 systole 4.6- 8.4
  • 68.
    LV volume womenmen Diastolic volume, mL 59-138 96-155 Diastolic volume/BSA, mL/m2 61+_ 13 67+_9 Systolic volume, mL 18-65 33-68 Systolic
  • 70.
    • Fractional shortening—the% change in the LV minor axis in a symmetrically contracting ventricle • FS(%)= (LVIDd – LVIDs)/LVIDd × 100% • FS = 25% – 45% (normal range)
  • 71.
    measu re wome n men Range mil d mo d seve re rang e mild modsever e Linear metho d Endoca rdial FS % 27-45 22- 26 17- 21 ≤16 25- 43 20- 24 15- 19 ≤14 2D metho d
  • 72.
    • AORTA annulus :1.4- 2.6 cm at leaflet tips: 2.2- 3.6 asc aorta : 2.1- 3.4 LA PLAX : 2.3- 4.5 A4C med-lat : 2.5- 4.5 sup-inf 3.4-6.1 MITRAL ANNULUS end diastole: 2.7 +_ 0.4 end systole 2.9+_ 0.3
  • 73.
    • RV wall thickness0.2- 0.5 minor dimension 2.2- 4.4 length diastole 5.5-9.5 systole 4.2-8.1 PA annulus 1.0- 2.2 Main PA 0.9- 2.9 IVC diametre 1.2- 2.3
  • 74.
    • Left ventricularmass (MassLV) = 0.8 × [1.04 (IVS + PWT + LVIDd)3 – LVIDd3] + 0.6 g
  • 75.
    wo men men mild Mod Seve re MildMod Seve re LV mass 67- 162 163- 186 187- 210 ≥211 88- 224 225- 258 259- 292 ≥293 LV mass /BSA 43- 95 96- 108 109- 121 ≥122 49- 115 116- 131 132- 148 ≥149 Sept al thick ness, cm .6-.9 .9- 1.2 1.3- 1.5 ≥1.6 .6-.9 .9- 1.3 1.4- 1.6 ≥1.7
  • 81.
  • 82.
    • One ofthe most significant developments of the last decades was the introduction of 3- dimensional (3D) imaging and its evolution from slow and labor-intense off-line reconstruction to real-time volumetric imaging • The major proven advantage of this technique is the improvement in the accuracy of the echocardiographic evaluation of cardiac chamber volumes. • Another benefit of 3D imaging is the realistic and unique comprehensive views of cardiac valves and congenital abnormalities
  • 83.
    • The majorbreakthrough that allowed quality real-time imaging was the development of a microbeam former • When the entire crystal of the transducer head is sampled or covered with elements, the transducer is a dense array • The microbeam former is required for this arrangement to provide a communication of all of the approximately 3000 elements to the ultrasound system
  • 86.
    • Transducer design •2 D Matrix array of transducer elements helps generate the third dimension • The significant innovation that actually allows steering is making the elements electrically independent from each other • This allows generating a scan line that varies azimuthally and elevationally
  • 89.
    • Modern 2D transducers thereforeconsist of thousands of electrically active elements that steer a scan line left and right as well as up and down
  • 90.
    • Beam formingin three spatial dimensions 1. Beam forming constitutes the steering and focusing of transmitted and received scan lines 2. Significant portion of the beam steering is done within the transducer in highly specialized integrated circuit 3. The main system steers at coarse angles, but the transducer circuits steer in fine increments in a process termed microbeam forming 4. Summing is the act of combining raw acoustic information from each element to generate a scan line and by summing these in a sequence (first in the transducer and then subsequently in the system)
  • 91.
    • There aretwo major black and white modes run in an electronically steered 3D system • Live mode where the system scans in realtime three dimension • Gating, this time only four to eight beats, allows a technique to generate wider volumes while maintaining frame rate • 3 D modes 1.Live 3D mode–instantaneous 2.3D zoom–instantaneous 3.Full-volume–gated 4.3D color Doppler–gated
  • 92.
    • Display of3D information 1.A 3D data set consists of bricks of pixels called volume elements or voxels • A process known as cropping can be used to cut into the volume and make some voxels invisible • 3D data sets of voxels are turned into 2D images in a process known as volume rendering
  • 93.
    • All 3Dechocardiography is subject to the laws of physics. • Artifacts such as ringing, reverberations, shadowing, and attenuation occur in three and two dimensions. • . The constraints of a 3D image are bounded by: (1)Frame rate, (2) 3D volume size, (3) Image resolution.
  • 94.
    • 1) Directevaluation of cardiac chamber volumes without the need for geometric modeling • 2) Noninvasive realistic views of cardiac valves and congenital abnormalities , helpful for showing a variety of pathologies and assessing the effectiveness of surgical or percutaneous transcatheter interventions • 3) Direct3D assessment of regional LV wall motion aimed at objective detection of ischemic heart disease at rest and during stress testing ,as well as quantification of systolic asynchrony to guide ventricular resynchronization therapy • 4) 3D color Doppler imaging with volumetric quantification of regurgitant lesions shunts ,and cardiac output • 5) Volumetric imaging and quantification of myocardial perfusion
  • 95.
    • True myocardialmotion occurs in three dimensions, and traditional 2D scanning planes do not capture the entire motion of the heart • Quantifying implies segmenting structures of interest from the 3D voxel set • 3D quantification of the left ventricle typically employs a surface- rendered mesh • This allows accurate computation of
  • 100.
    • Most studieshave been done on mitral valve. Understanding about the mitral valve annulus, leaflet tethering, tenting volumes has improved with the advent of 3 D echocardiography
  • 107.
  • 108.
    • B modeechoes from an interface that changes position will be seen as echoes moving towards and away from the transducer. • If a trace line is placed on this interface and the resulting trace is made to drift across the face of
  • 109.
    • The resultingdisplay shows motion of a reflector over distance and time – a distance time graph • The change in distance (dy) over a period of time dt is represented by the slope of the reflector line of motion.
  • 110.
    • If thismotion pattern is obtained on moving cardiac structures then the resulting images constitute M-mode echocardiography. • M-mode echocardiography is use to evaluate the morphology of structures, movement and velocity of cardiac valves and
  • 111.
  • 112.
    • Amplitude • Velocity •Time intervals • Morphology
  • 113.
    Amplitude = Y2–Y1 Y1 Y2 Distance Time
  • 114.
    Time interval =T2 – T1 T2T1 Distance Time
  • 115.
    dy = Y2–Y1 Y1 Y2 T1 T2 dt = T2 – T1 Slope = dy/dt = velocity
  • 117.
    • The mitralvalve has 2 leaflets – anterior and posterior. • Specific letters corresponding to systole and diastole are assigned to the m-mode tracing of the mitral valve.
  • 118.
    EKG Tracing T-wave QRS complex Pwave Systole Diastole
  • 119.
  • 120.
    Phase of Cardiac Cycle AssignedLetters Diastole d,e,f, and a Systole c and d
  • 121.
  • 122.
  • 123.
  • 124.
  • 125.
  • 126.
    M-mode at theMitral Valve Amplitude Description Normal Value EPSS Measure e point to septal separation < 5 mm d-e Measures the maximum excusion of the mitral valve following diastolic opening. 17 to 30 mm
  • 127.
    M-mode at theMitral Valve Slope Description Normal Value d-e Measure rate of initial opening of the mitral valve in early diastole. 240 to 380 mm/s e-f Measures the rate of early closure of the mitral valve following diastolic opening. 50 to 180 mm/s
  • 128.
    • Flail PMVL •Fluttering of the AMVL • Mitral Stenosis • LA myxoma
  • 129.
  • 130.
    Distance SystoleDiastole Time Premature Closure Premature Closure-closure on or before the onset of the QRS complex.
  • 131.
  • 132.
  • 133.
  • 134.
  • 135.
  • 136.
  • 137.
  • 138.
  • 139.
  • 140.
  • 141.
  • 142.
    • The aorticvalve has 3 cusps – right coronary, left coronary and non-coronary cusps. • The cusps imaged in the PLAX view are the right coronary and the non-coronary cusps.
  • 144.
    M-mode at theAortic Valve Coronary cusp Non-coronary cusp Anterior aortic root Posterior aortic root Left Atrium
  • 145.
    M-mode at theAortic Valve LA dimension Cusp Separation Aortic root
  • 146.
    M-mode at theAortic Valve LA dimension Cusp SeparationAortic root Measurements are made from leading edge to leading edge.
  • 147.
    • Dilated LA •Dilated aortic root • Decreased excursion • Premature opening • Premature closing • Exaggerated anterior motion of Aortic Root
  • 148.
    • Reduced anteriormotion of Aortic Root • Thickening • Calcification • Vegetations • Bicuspid valve • Prosthetic valve • Aortic Regurgitation
  • 149.
    M-mode at theAortic Valve Premature Opening Opening of the AV before the onset of the QRS complex Seen in Elevated LV-EDP
  • 150.
    M-mode at theAortic Valve Premature Closure Closure of the AV before the onset of the T wave Seen in IHSS
  • 151.
    M-mode at theAortic Valve Bicuspid Valve Eccentric closure line Seen when there is a Bicuspid aortic valve
  • 152.
    M-mode at theAortic Valve Decreased Cusp Separation Seen in Aortic Stenosis
  • 153.
    M-mode at theAortic Valve Seen in aortic sclerosis Thickened, calcified aortic valve leaflet.
  • 154.
    M-mode at theAortic Valve Seen in Mitral Stenosis Reduced anterior motion of aortic root
  • 155.
    M-mode at theAortic Valve Exaggerated anterior motion of aortic root Seen in Mitral Regurgitation
  • 156.
  • 157.
  • 158.
  • 162.
  • 163.
  • 164.
  • 165.
  • 167.
    • Thickening ofthe IVS and LVPW • Movement of the IVS and LVPW
  • 168.
    • IVSd • IVSexcursion • IVSs M-mode Measurement
  • 169.
    • LVIDd • LVIDdindex • LVIDs • LVIDs index M-mode Measurement
  • 170.
    • LVPWd • LVPWexcursion • LVPW max excursion velocity • LVPWs M-mode Measurement
  • 171.
    • % IVSthickening • % LVPW thickening • IVS/LVPW ratio M-mode LV Calculation
  • 172.
    M-mode LV Calculation FS= LVIDd – LVIDs LVIDd
  • 173.
    M-mode LV Calculation EF= LVIDd3 – LVIDs3 LVIDd3
  • 174.
    M-mode LV Calculation IVS% thickening = (IVSs – IVSd) x 100 IVSd
  • 175.
    M-mode LV Calculation LVPW% thickening = (LVPWs – LVPWd) x 100 LVPWd
  • 176.
    M-mode LV Calculation LVMass = 1.04 {(LVIDd + IVSd + LVPWd)3 – (LVIDd)3 } x 0.8 + 0.6g