BASICS OF ECHOCARDIOGRAPHYAND PRINCIPLES OF DOPPLER ECHOAbraha HailuAugust 29, 2010
Topic  outline
1. BASICSultrasound (1923) vibrations of the same physical nature as sound but with frequencies above the range of human hearing, namely frequencies greater than 20,000 cycles per second.the diagnostic or therapeutic use of ultrasound and esp. a noninvasive technique involving the formation of a two-dimensional image used for the examination and measurement of internal body structures and the detection of bodily abnormalitiesa diagnostic examination using ultrasound
Medical ultrasound imaging typically uses sound waves at frequencies of 1,000,000 to 20,000,000 Hz (1.0 to 20 MHz). In contrast, the human auditory spectrum (between 20 and 20,000 Hz)Frequency and wavelength are mathematically related to the velocity of the ultrasound beam within the tissue:                           Velocity =  Wavelength (mm)  x  frequency (Hz)The speed with which an acoustic wave moves through a medium is dependent upon the density and resistance of the medium. Media that are dense will transmit a mechanical wave with greater speed than those that are less dense.The resolution of a recording, ie, the ability to distinguish two objects that are spatially close together, varies directly with the frequency and inversely with the wavelengthHigh frequency, short wavelength ultrasound can separate objects that are less than 1 mm apart.
Imaging with higher frequency (and lower wavelength) transducers permits enhanced spatial resolutionHowever, because of attenuation, the depth of tissue penetration or the ability to transmit sufficient ultrasonic energy into the chest is directly related to wavelength and therefore inversely related to transducer frequency
As a result, the trade-off for use of higher frequency transducers is reduced tissue penetrationThe trade-off between tissue resolution and penetration guides the choice of transducer frequency for clinical imaging. As an example, higher frequency transducers can be used in echocardiography for imaging of structures close to the transducer or the chest wall, such as the apex of the left ventricle with transthoracic imaging.INTERACTION OF ULTRASOUND WAVES WITH TISSUESWhen an ultrasonic wave travels through a homogeneous medium, its path is a straight line. However, when the medium is not homogeneous or when the wave travels through a medium with two or more interfaces, its path is altered; either of the ff: Scattering:Small structures, eg, less than 1 wavelength in lateral dimension, result in scattering of the ultrasound signal
Unlike a reflected beam, scattering results in the US beam being radiated in all directions, with minimal signal returning to the transducerRefraction: Attenuation:Signal strength is progressively reduced due to absorption of the US energy by conversion to heat (frequency and, wavelength dependent)
The depth of penetration:
30 cm for a 1 MHz transducer,
12 cm for 2.5 MHz transducer, and
6 cm for a 5 MHz transducer
Air has a very high acoustic impedance, resulting in significant signal attenuation when imaging through lung tissue, especially emphysematous lung, or pathologic conditions such as pneumomediastinum or subcutaneous emphysema
In contrast, filling of the pleural space with fluid, generally enhances ultrasound imagingUltrasound waves sent from chest wall
ULTRASOUND TRANSDUCERS US transducers use a piezoelectric crystal to generate and receive ultrasound wavesImage formation: is related to the distance of a structure from the transducer,  based upon the time interval between ultrasound transmission and arrival of the reflected signalThe amplitude is proportional to the incident angle and acoustic impedance, and timing is proportional to the distance from the transducer
SECOND HARMONIC IMAGING(improving resolution)An ultrasound wave traveling through tissue becomes distorted, which generates additional sound frequencies that are harmonics of the original or fundamental frequencyproduces more harmonics the further it travels through tissue
uses broadband transducers that receive double the transmitted frequencyWhen compared to conventional imaging, it reduces variations in ultrasound intensity along endocardial and myocardial surfaces, enhancing these structures of particular benefit for patients in whom optimal echocardiographic images are technically difficult to obtainharmonic imaging improves interphase definition
2. IMAGING MODALITIESTwo dimensional (2-D) imaging :A 2D image is generated from data obtained mechanically (mechanical transducer) or electronically (phased-array transducer)The signal received undergoes a complex manipulation to form the final image displayed on the monitor including signal amplification, time-gain compensation, filtering, compression and rectification.M-mode:Motion or "M"-mode echocardiography is among the earliest forms of cardiac ultrasound The very high temporal resolution by M-mode imaging permits:identification of subtle abnormalities such as fluttering of the anterior mitral leaflet due to aortic insufficiency or movement of a vegetation. dimensional measurements or changes, such as chamber size and endocardial thickening, can be readily appreciated
A.  2-D  ECHOCARDIOGRAPHY
OPTIMIZATION OF 2-D IMAGESTechnical Factors ITRANSDUCER:High frequency increases backscatter and resolution but lacks depth penetration
Low-frequency transducers permit good penetration but reduced image resolutionDEPTH:The deeper the field of the image, the slower the frame rate
The smallest depth that permits display of the region of interest should be employedFOCUS:Indicates the region of the image in which the ultrasound beam is narrowest
Resolution is greatest in this regionGAIN:This function adjusts the displayed amplitude of all received signalsTRANSTHORACIC ACOUSTIC WINDOWS
IMAGING PLANESThe long-axis plane is the plane perpendicular to the posterior and anterior surfaces of the body and parallel to the long axis of the heart
Sweeping begins at the base of the heart which appears on the rt of the screenThe left atrium, the mitral valve and the right ventricular outflow tract are seen.
Parasternal WindowRight Long-Axis ViewSweeping begins at the right atrium which is on the right of the screen. In this view we can see the right atrium and the right ventricle, with the tricuspid valve in between
The short-axis plane is the plane that runs parallel to the posterior and anterior surfaces of the body and transects the heart from its apex to its base encompassing all four cardiac chambers
                       Parasternal Short-Axis ViewsObtained from the parasternal window by rotating the transducer clockwise by 90ºHence, the image index marker is pointed toward the patient´s right supraclavicularfossa. A series of sweeps transect the heart from the base to the apex by changes in transducer position and angulation. There are three characteristic levels: 1) great vessels, 2) mitral valve, 3) ventricles.
Parasternal Short-Axis ViewGreat Arteries LevelSweeping begins at the left edge of the atrium which appears on the right of the screen
At aortic valve level it demonstrates all three aortic valve leaflets. The pulmonary valve, the right ventricular outflow tract, the right atrium and the left atrium are seen in this view.
Parasternal Short-Axis ViewGreat Arteries LevelIn this view we can see the pulmonary valve (PV) and pulmonary artery (PA) with right (RPA) and left branches (LPA).
Parasternal Short-Axis ViewMitral Valve LevelThe anterior and posterior mitral leaflets are seen as they open in diastole and close in systole
Parasternal Short-Axis ViewMitral Valve Level
The four-chamber plane is the plane that runs parallel to the posterior and anterior surfaces of the body and transects the heart from its apex to its base encompassing all four cardiac chambers
Apical WindowSweeping begins at the left edge of the heart which appears on the right of the screen.
4-Chamber ViewIn this view we can see the left ventricle, the right ventricle, the left atrium and the right atrium. The tricuspid annulus lies slightly (up to 10 mm) closer to the apex than the mitral annulus. The septal and posterior tricuspid leaflets are seen in this view.
Apical Window5-Chamber ViewBy tilting the transducer anteriorly, the aortic root is seen in an oblique long view.
Apical Window2-Chamber ViewSweeping begins at the anterior face of the left ventricle which appears on the right of the screen. From the four-chamber view, the transducer is rotated anti-clockwise by 60º to obtain the two-chamber view of the left ventricle, the mitral valve and the left atrium.
Apical Window2-Chamber ViewThis view shows the LV, the LA and the MV. The LV shows the inferior wall on the left and the anterior wall on the right.
Subcostal Window4-Chamber ViewSweeping starts at the apex which appears on the right of the screen. A view of all four chambers shows the right ventricular free wall, the midsection of the interventricular septum and the posterolateral left ventricular wall. In this view, the interatrial septum is perpendicular to the direction of the ultrasound beam
Subcostal WindowThe inferior vena cava as it enters the right atrium and the central hepatic vein are seen.
Suprasternal Notch WindowSweeping begins at the descending aorta which appears on the right of the screen. The long-axis view shows the ascending aorta, the arch, the proximal descending aorta and the origins of the right brachiocephalic and left common carotid and subclavian arteries.
Suprasternal Notch Window
B.  M-MODE ECHOCARDIOGRAPHYa single line of sight is included, the repetition frequency of the pulse transmission is very high and sampling rates of around 1800 cycles/sec are usedContinuously-moving structures may be identified more accurately when motion versus time, as well as depth, is displayed clearly on the M-mode recording
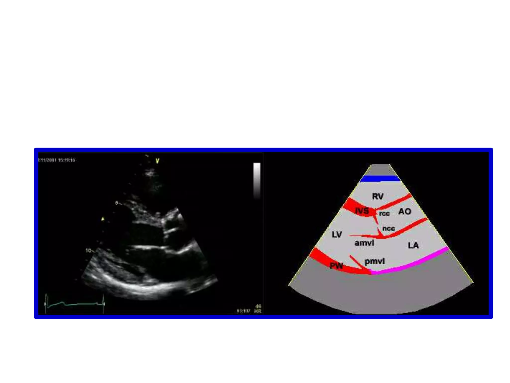
AORTIC VALVE AND LEFT ATRIUM
AORTIC VALVE AND LEFT ATRIUMThe aortic root is moving anteriorly in systole and posteriorly in diastole. The left atrium is posterior to the aortic root. The aortic leaflet coaptation point is seen as a thin line in diastole. AO is measured in end-diastole and LA in end-systole.
In early diastole, the leaflets separate widely, with the maximum early diastolic motion of the anterior leaflet termed the E point. The leaflets move together in mid-diastole and then separate again with atrial systole, the A point. Closure at the end of diastole is termed C point.
M-mode recording perpendicular to the long axis of and through the centre of the left ventricle at papillary muscle level provides standard measurements of systolic and diastolic thickness and chamber dimensions:
Normal ValuesLeft ventricular end-diastole:  37 - 57 mm (23 -31 mm/m²)Left ventricular end-systole:  21 - 40 mm (14 -21 mm/m²)Interventricular septum:  7 - 11 mmPosterior wall:  7 - 11 mm
3. DOPPLER ECHOCARDIOGRAPHYBASIC PRINCIPLES:utilizes ultrasound to record blood flow within the cardiovascular system (While M-mode and 2D echo create ultrasonic images of the heart)is based upon the changes in frequency of the backscatter signal from small moving structures, ie, red blood cells, intercepted by the ultrasound beam
A moving target will backscatter an ultrasound beam to the transducer so that the frequency observed when the target is moving toward the transducer is higher and the frequency observed when the target is moving away from the transducer is lower than the original transmitter frequencyThis Doppler phenomenon is familiar to us as the sound of a train whistle as it moves toward (higher frequency) or away (lower frequency) from the observer
This difference in frequency between the transmitted frequency (F[t]) and received frequency (F[r]) is the Doppler shift:
  Doppler shift (F[d]) = F[r] - F[t]Doppler effect(Pairs of transmitting (T) and receiving (R) transducers):
  With a stationary target (panel A): the carrier frequency [f(t)] from the transmitting transducer strikes the target and is reflected back to the receiving transducer at the reflected frequency [f(r)], which is unaltered
  with a target moving toward the transducer (panel B):  An increase in f(r) is seen
  with a target moving away from the transducer (panel C): f(r) is reduced
In all cases, the extent to which f(t) is increased or reduced is proportional to the velocity of the targetA flow moving toward the transducer has a higher observed frequency than a flow moving away from the transducer.
Blood flow velocity (V) is related to the Doppler shift by the speed of sound in blood (C) and ø (the intercept angle between the ultrasound beam and the direction of blood flow)A factor of 2 is used to correct for the "round-trip" transit time to and from the transducer.
  F[d] = 2 x F[t] x [(Vx cos ø)] ÷ CThis equation can be solved for V, by substituting (F[r] - F[t]) for F[d]:  V = [(F[r] -F[t]) x C] ÷ (2 x F[t] x cos ø)the angle of the ultrasound beam and the direction of blood flow are critically important in the calculationFor ø of 0º and 180º (parallel with blood flow), cosine ø = 1
For ø of 90º (perpendicular to blood flow), cosine ø = 0 and the Doppler shift is 0
For ø up to 20º, cos ø results in a minimal (<10 percent) change in the Doppler shift
For ø of 60º, cosine ø = 0.50 The value of ø is particularly important for accurate assessment of high velocity jets, which occur in aortic stenosis or pulmonary artery hypertensionIt is generally assumed that ø is 0º and cos ø is therefore 1Ideally, the beam should be placed parallel to blood flow
When the beam does not lie parallel, it is possible to introduce a correction into the calculation of flow velocity by measuring the cosine of the angle of interrogation and introducing this value into the Doppler equationSPECTRAL ANALYSIS When the backscattered signal is received by the transducer, the difference between the transmitted and backscattered signal is determined by comparing the two waveforms with the frequency content analyzed by:                     fast Fourier transform (FFT)The display generated by this frequency analysis is termed spectral analysis
By convention, time is displayed on the x axis and frequency shift on the y axis
Shifts toward the transducer are represented as "positive" deflections from the "zero" baseline, and shifts away from the transducer are displayed as "negative" deflections  Spectral information can be displayed in real time (Doppler figure)The Doppler signal portrays the entire period of flow, ie: acceleration (a), peak flow (pf), and deceleration (d).
Right Ventricular InflowCan be recorded from an apical approach. The pattern is similar to mitral flow.
Left Ventricular OutflowAn apical window is used with a pulsed Doppler sample volume positioned on the left ventricular side of the aortic valve. Note the narrow band of the systolic velocities.
Right Ventricular OutflowFrom a parasternal short-axis view, the sample volume is located in the right ventricular outflow tract. The Doppler shape is similar to the left ventricular outflow curve
Suprahepatic Vein FlowFrom the longitudinal subcostal view, the sample volume is located at the main suprahepatic vein. There are two positive waves, (A) and (V), and two negative ones, (X) and (Y).
DOPPLER MODALITIES Doppler methods used for cardiac evaluation :continuous wave dopplerPulsed  wave dopplercolor flow doppler
CONTINUOUS WAVE DOPPLERemploys two dedicated ultrasound crystals, one for continuous transmission and a second for continuous receptionThis permits measurement of very high frequency Doppler shifts or velocitiesLimitations of this technique: It receives a continuous signal along the entire length of the US beam
Thus, there may be overlap in certain settings, such as:
stenoses in series (eg, left ventricular outflow tract gradient and aortic stenosis) or
flows that are in close proximity/alignment (eg, AS and MR)
An ideal Doppler profile is one with a smooth "outer" contour, well-defined edge and maximum velocity, and abrupt onset and termination
PULSED DOPPLER permits sampling of blood flow velocities from a specific region In contrast to continuous wave Doppler which records signal along the entire length of the ultrasound beamis always performed with 2D guidance to determine the sample volume positionParticularly useful for assessing the relatively low velocity flows associated with:transmitral or transtricuspid blood flow, pulmonary venous flow, left atrial appendage flow, or for confirming the location of eccentric jets of aortic insufficiency or mitral regurgitation
From a four-chamber view, a pulse wave Doppler signal is placed in the superior portion of the left atrium at the entry site of the right upper pulmonary veinNote that the outline of pulmonary flow signal is seen S: systolic wave;       D: diastolic wave.
Because PWD repeatedly samples the returning signal, there is a maximum limit to the frequency shift that can be measured unambiguouslyThe maximum detectable frequency shift (the Nyquist limit) is one-half the PRFIf velocity exceeds the Nyquist limit, signal aliasing is seen with the signal cut off at the edge of the display and the top of the waveform appearing in the reverse partHigh-PRF increases the number of sample volumes
COLOR FLOW IMAGINGWith CF imaging, velocities are displayed using a color scale:
with flow toward the transducer displayed in orange/red
flow away from the transducer displayed as blueColour DopplerThe option of displaying “variance” allows an additional colour (usually green) to be added to indicate that a mean velocity has excessive variability (turbulent flow).
apical four chamber view with color flow Doppler during diastole This color signal is used to position a pulsed wave Doppler sample volume so that quantitatable signals of flow can be obtained from the pulmonary veins and from the mitral leaflet tips

Basics of echo & principles of doppler echocardiography

  • 1.
    BASICS OF ECHOCARDIOGRAPHYANDPRINCIPLES OF DOPPLER ECHOAbraha HailuAugust 29, 2010
  • 2.
  • 3.
    1. BASICSultrasound (1923)vibrations of the same physical nature as sound but with frequencies above the range of human hearing, namely frequencies greater than 20,000 cycles per second.the diagnostic or therapeutic use of ultrasound and esp. a noninvasive technique involving the formation of a two-dimensional image used for the examination and measurement of internal body structures and the detection of bodily abnormalitiesa diagnostic examination using ultrasound
  • 4.
    Medical ultrasound imagingtypically uses sound waves at frequencies of 1,000,000 to 20,000,000 Hz (1.0 to 20 MHz). In contrast, the human auditory spectrum (between 20 and 20,000 Hz)Frequency and wavelength are mathematically related to the velocity of the ultrasound beam within the tissue: Velocity =  Wavelength (mm)  x  frequency (Hz)The speed with which an acoustic wave moves through a medium is dependent upon the density and resistance of the medium. Media that are dense will transmit a mechanical wave with greater speed than those that are less dense.The resolution of a recording, ie, the ability to distinguish two objects that are spatially close together, varies directly with the frequency and inversely with the wavelengthHigh frequency, short wavelength ultrasound can separate objects that are less than 1 mm apart.
  • 5.
    Imaging with higherfrequency (and lower wavelength) transducers permits enhanced spatial resolutionHowever, because of attenuation, the depth of tissue penetration or the ability to transmit sufficient ultrasonic energy into the chest is directly related to wavelength and therefore inversely related to transducer frequency
  • 6.
    As a result,the trade-off for use of higher frequency transducers is reduced tissue penetrationThe trade-off between tissue resolution and penetration guides the choice of transducer frequency for clinical imaging. As an example, higher frequency transducers can be used in echocardiography for imaging of structures close to the transducer or the chest wall, such as the apex of the left ventricle with transthoracic imaging.INTERACTION OF ULTRASOUND WAVES WITH TISSUESWhen an ultrasonic wave travels through a homogeneous medium, its path is a straight line. However, when the medium is not homogeneous or when the wave travels through a medium with two or more interfaces, its path is altered; either of the ff: Scattering:Small structures, eg, less than 1 wavelength in lateral dimension, result in scattering of the ultrasound signal
  • 7.
    Unlike a reflectedbeam, scattering results in the US beam being radiated in all directions, with minimal signal returning to the transducerRefraction: Attenuation:Signal strength is progressively reduced due to absorption of the US energy by conversion to heat (frequency and, wavelength dependent)
  • 8.
    The depth ofpenetration:
  • 9.
    30 cm fora 1 MHz transducer,
  • 10.
    12 cm for2.5 MHz transducer, and
  • 11.
    6 cm fora 5 MHz transducer
  • 12.
    Air has avery high acoustic impedance, resulting in significant signal attenuation when imaging through lung tissue, especially emphysematous lung, or pathologic conditions such as pneumomediastinum or subcutaneous emphysema
  • 13.
    In contrast, fillingof the pleural space with fluid, generally enhances ultrasound imagingUltrasound waves sent from chest wall
  • 14.
    ULTRASOUND TRANSDUCERS UStransducers use a piezoelectric crystal to generate and receive ultrasound wavesImage formation: is related to the distance of a structure from the transducer, based upon the time interval between ultrasound transmission and arrival of the reflected signalThe amplitude is proportional to the incident angle and acoustic impedance, and timing is proportional to the distance from the transducer
  • 15.
    SECOND HARMONIC IMAGING(improvingresolution)An ultrasound wave traveling through tissue becomes distorted, which generates additional sound frequencies that are harmonics of the original or fundamental frequencyproduces more harmonics the further it travels through tissue
  • 16.
    uses broadband transducersthat receive double the transmitted frequencyWhen compared to conventional imaging, it reduces variations in ultrasound intensity along endocardial and myocardial surfaces, enhancing these structures of particular benefit for patients in whom optimal echocardiographic images are technically difficult to obtainharmonic imaging improves interphase definition
  • 17.
    2. IMAGING MODALITIESTwodimensional (2-D) imaging :A 2D image is generated from data obtained mechanically (mechanical transducer) or electronically (phased-array transducer)The signal received undergoes a complex manipulation to form the final image displayed on the monitor including signal amplification, time-gain compensation, filtering, compression and rectification.M-mode:Motion or "M"-mode echocardiography is among the earliest forms of cardiac ultrasound The very high temporal resolution by M-mode imaging permits:identification of subtle abnormalities such as fluttering of the anterior mitral leaflet due to aortic insufficiency or movement of a vegetation. dimensional measurements or changes, such as chamber size and endocardial thickening, can be readily appreciated
  • 18.
    A. 2-D ECHOCARDIOGRAPHY
  • 19.
    OPTIMIZATION OF 2-DIMAGESTechnical Factors ITRANSDUCER:High frequency increases backscatter and resolution but lacks depth penetration
  • 20.
    Low-frequency transducers permitgood penetration but reduced image resolutionDEPTH:The deeper the field of the image, the slower the frame rate
  • 21.
    The smallest depththat permits display of the region of interest should be employedFOCUS:Indicates the region of the image in which the ultrasound beam is narrowest
  • 22.
    Resolution is greatestin this regionGAIN:This function adjusts the displayed amplitude of all received signalsTRANSTHORACIC ACOUSTIC WINDOWS
  • 23.
    IMAGING PLANESThe long-axisplane is the plane perpendicular to the posterior and anterior surfaces of the body and parallel to the long axis of the heart
  • 24.
    Sweeping begins atthe base of the heart which appears on the rt of the screenThe left atrium, the mitral valve and the right ventricular outflow tract are seen.
  • 26.
    Parasternal WindowRight Long-AxisViewSweeping begins at the right atrium which is on the right of the screen. In this view we can see the right atrium and the right ventricle, with the tricuspid valve in between
  • 28.
    The short-axis planeis the plane that runs parallel to the posterior and anterior surfaces of the body and transects the heart from its apex to its base encompassing all four cardiac chambers
  • 29.
    Parasternal Short-Axis ViewsObtained from the parasternal window by rotating the transducer clockwise by 90ºHence, the image index marker is pointed toward the patient´s right supraclavicularfossa. A series of sweeps transect the heart from the base to the apex by changes in transducer position and angulation. There are three characteristic levels: 1) great vessels, 2) mitral valve, 3) ventricles.
  • 30.
    Parasternal Short-Axis ViewGreatArteries LevelSweeping begins at the left edge of the atrium which appears on the right of the screen
  • 31.
    At aortic valvelevel it demonstrates all three aortic valve leaflets. The pulmonary valve, the right ventricular outflow tract, the right atrium and the left atrium are seen in this view.
  • 32.
    Parasternal Short-Axis ViewGreatArteries LevelIn this view we can see the pulmonary valve (PV) and pulmonary artery (PA) with right (RPA) and left branches (LPA).
  • 33.
    Parasternal Short-Axis ViewMitralValve LevelThe anterior and posterior mitral leaflets are seen as they open in diastole and close in systole
  • 34.
  • 35.
    The four-chamber planeis the plane that runs parallel to the posterior and anterior surfaces of the body and transects the heart from its apex to its base encompassing all four cardiac chambers
  • 36.
    Apical WindowSweeping beginsat the left edge of the heart which appears on the right of the screen.
  • 37.
    4-Chamber ViewIn thisview we can see the left ventricle, the right ventricle, the left atrium and the right atrium. The tricuspid annulus lies slightly (up to 10 mm) closer to the apex than the mitral annulus. The septal and posterior tricuspid leaflets are seen in this view.
  • 38.
    Apical Window5-Chamber ViewBytilting the transducer anteriorly, the aortic root is seen in an oblique long view.
  • 39.
    Apical Window2-Chamber ViewSweepingbegins at the anterior face of the left ventricle which appears on the right of the screen. From the four-chamber view, the transducer is rotated anti-clockwise by 60º to obtain the two-chamber view of the left ventricle, the mitral valve and the left atrium.
  • 40.
    Apical Window2-Chamber ViewThisview shows the LV, the LA and the MV. The LV shows the inferior wall on the left and the anterior wall on the right.
  • 41.
    Subcostal Window4-Chamber ViewSweepingstarts at the apex which appears on the right of the screen. A view of all four chambers shows the right ventricular free wall, the midsection of the interventricular septum and the posterolateral left ventricular wall. In this view, the interatrial septum is perpendicular to the direction of the ultrasound beam
  • 42.
    Subcostal WindowThe inferiorvena cava as it enters the right atrium and the central hepatic vein are seen.
  • 43.
    Suprasternal Notch WindowSweepingbegins at the descending aorta which appears on the right of the screen. The long-axis view shows the ascending aorta, the arch, the proximal descending aorta and the origins of the right brachiocephalic and left common carotid and subclavian arteries.
  • 44.
  • 45.
    B. M-MODEECHOCARDIOGRAPHYa single line of sight is included, the repetition frequency of the pulse transmission is very high and sampling rates of around 1800 cycles/sec are usedContinuously-moving structures may be identified more accurately when motion versus time, as well as depth, is displayed clearly on the M-mode recording
  • 47.
    AORTIC VALVE ANDLEFT ATRIUM
  • 48.
    AORTIC VALVE ANDLEFT ATRIUMThe aortic root is moving anteriorly in systole and posteriorly in diastole. The left atrium is posterior to the aortic root. The aortic leaflet coaptation point is seen as a thin line in diastole. AO is measured in end-diastole and LA in end-systole.
  • 50.
    In early diastole,the leaflets separate widely, with the maximum early diastolic motion of the anterior leaflet termed the E point. The leaflets move together in mid-diastole and then separate again with atrial systole, the A point. Closure at the end of diastole is termed C point.
  • 51.
    M-mode recording perpendicularto the long axis of and through the centre of the left ventricle at papillary muscle level provides standard measurements of systolic and diastolic thickness and chamber dimensions:
  • 52.
    Normal ValuesLeft ventricularend-diastole: 37 - 57 mm (23 -31 mm/m²)Left ventricular end-systole: 21 - 40 mm (14 -21 mm/m²)Interventricular septum: 7 - 11 mmPosterior wall: 7 - 11 mm
  • 53.
    3. DOPPLER ECHOCARDIOGRAPHYBASICPRINCIPLES:utilizes ultrasound to record blood flow within the cardiovascular system (While M-mode and 2D echo create ultrasonic images of the heart)is based upon the changes in frequency of the backscatter signal from small moving structures, ie, red blood cells, intercepted by the ultrasound beam
  • 54.
    A moving targetwill backscatter an ultrasound beam to the transducer so that the frequency observed when the target is moving toward the transducer is higher and the frequency observed when the target is moving away from the transducer is lower than the original transmitter frequencyThis Doppler phenomenon is familiar to us as the sound of a train whistle as it moves toward (higher frequency) or away (lower frequency) from the observer
  • 55.
    This difference infrequency between the transmitted frequency (F[t]) and received frequency (F[r]) is the Doppler shift:
  • 56.
      Doppler shift (F[d])= F[r] - F[t]Doppler effect(Pairs of transmitting (T) and receiving (R) transducers):
  • 57.
    Witha stationary target (panel A): the carrier frequency [f(t)] from the transmitting transducer strikes the target and is reflected back to the receiving transducer at the reflected frequency [f(r)], which is unaltered
  • 58.
    witha target moving toward the transducer (panel B): An increase in f(r) is seen
  • 59.
    witha target moving away from the transducer (panel C): f(r) is reduced
  • 60.
    In all cases,the extent to which f(t) is increased or reduced is proportional to the velocity of the targetA flow moving toward the transducer has a higher observed frequency than a flow moving away from the transducer.
  • 61.
    Blood flow velocity(V) is related to the Doppler shift by the speed of sound in blood (C) and ø (the intercept angle between the ultrasound beam and the direction of blood flow)A factor of 2 is used to correct for the "round-trip" transit time to and from the transducer.
  • 62.
      F[d] = 2x F[t] x [(Vx cos ø)] ÷ CThis equation can be solved for V, by substituting (F[r] - F[t]) for F[d]:  V = [(F[r] -F[t]) x C] ÷ (2 x F[t] x cos ø)the angle of the ultrasound beam and the direction of blood flow are critically important in the calculationFor ø of 0º and 180º (parallel with blood flow), cosine ø = 1
  • 63.
    For ø of90º (perpendicular to blood flow), cosine ø = 0 and the Doppler shift is 0
  • 64.
    For ø upto 20º, cos ø results in a minimal (<10 percent) change in the Doppler shift
  • 65.
    For ø of60º, cosine ø = 0.50 The value of ø is particularly important for accurate assessment of high velocity jets, which occur in aortic stenosis or pulmonary artery hypertensionIt is generally assumed that ø is 0º and cos ø is therefore 1Ideally, the beam should be placed parallel to blood flow
  • 66.
    When the beamdoes not lie parallel, it is possible to introduce a correction into the calculation of flow velocity by measuring the cosine of the angle of interrogation and introducing this value into the Doppler equationSPECTRAL ANALYSIS When the backscattered signal is received by the transducer, the difference between the transmitted and backscattered signal is determined by comparing the two waveforms with the frequency content analyzed by: fast Fourier transform (FFT)The display generated by this frequency analysis is termed spectral analysis
  • 67.
    By convention, timeis displayed on the x axis and frequency shift on the y axis
  • 68.
    Shifts toward thetransducer are represented as "positive" deflections from the "zero" baseline, and shifts away from the transducer are displayed as "negative" deflections Spectral information can be displayed in real time (Doppler figure)The Doppler signal portrays the entire period of flow, ie: acceleration (a), peak flow (pf), and deceleration (d).
  • 73.
    Right Ventricular InflowCanbe recorded from an apical approach. The pattern is similar to mitral flow.
  • 74.
    Left Ventricular OutflowAnapical window is used with a pulsed Doppler sample volume positioned on the left ventricular side of the aortic valve. Note the narrow band of the systolic velocities.
  • 75.
    Right Ventricular OutflowFroma parasternal short-axis view, the sample volume is located in the right ventricular outflow tract. The Doppler shape is similar to the left ventricular outflow curve
  • 76.
    Suprahepatic Vein FlowFromthe longitudinal subcostal view, the sample volume is located at the main suprahepatic vein. There are two positive waves, (A) and (V), and two negative ones, (X) and (Y).
  • 77.
    DOPPLER MODALITIES Doppler methodsused for cardiac evaluation :continuous wave dopplerPulsed wave dopplercolor flow doppler
  • 78.
    CONTINUOUS WAVE DOPPLERemploystwo dedicated ultrasound crystals, one for continuous transmission and a second for continuous receptionThis permits measurement of very high frequency Doppler shifts or velocitiesLimitations of this technique: It receives a continuous signal along the entire length of the US beam
  • 79.
    Thus, there maybe overlap in certain settings, such as:
  • 80.
    stenoses in series(eg, left ventricular outflow tract gradient and aortic stenosis) or
  • 81.
    flows that arein close proximity/alignment (eg, AS and MR)
  • 83.
    An ideal Dopplerprofile is one with a smooth "outer" contour, well-defined edge and maximum velocity, and abrupt onset and termination
  • 86.
    PULSED DOPPLER permits samplingof blood flow velocities from a specific region In contrast to continuous wave Doppler which records signal along the entire length of the ultrasound beamis always performed with 2D guidance to determine the sample volume positionParticularly useful for assessing the relatively low velocity flows associated with:transmitral or transtricuspid blood flow, pulmonary venous flow, left atrial appendage flow, or for confirming the location of eccentric jets of aortic insufficiency or mitral regurgitation
  • 87.
    From a four-chamberview, a pulse wave Doppler signal is placed in the superior portion of the left atrium at the entry site of the right upper pulmonary veinNote that the outline of pulmonary flow signal is seen S: systolic wave; D: diastolic wave.
  • 88.
    Because PWD repeatedlysamples the returning signal, there is a maximum limit to the frequency shift that can be measured unambiguouslyThe maximum detectable frequency shift (the Nyquist limit) is one-half the PRFIf velocity exceeds the Nyquist limit, signal aliasing is seen with the signal cut off at the edge of the display and the top of the waveform appearing in the reverse partHigh-PRF increases the number of sample volumes
  • 89.
    COLOR FLOW IMAGINGWithCF imaging, velocities are displayed using a color scale:
  • 90.
    with flow towardthe transducer displayed in orange/red
  • 91.
    flow away fromthe transducer displayed as blueColour DopplerThe option of displaying “variance” allows an additional colour (usually green) to be added to indicate that a mean velocity has excessive variability (turbulent flow).
  • 92.
    apical four chamberview with color flow Doppler during diastole This color signal is used to position a pulsed wave Doppler sample volume so that quantitatable signals of flow can be obtained from the pulmonary veins and from the mitral leaflet tips
  • 94.
    The long axisparasternal view with superimposed color flow Doppler mapping of the left ventricular inflow and ouflow tracts obtained during diastole
  • 95.
    the long axisparasternal view of the left ventricular outflow tract during systole; a normal color flow signal (red-orange) is seen in the left ventricular outflow tract. The occasional blue patches in the signal represent aliasing and suggest that the signal is at or exceeds the Nyquist limit.
  • 96.
    Short axis viewthrough the base of the heart with CFdoppler imaging short axis view recorded from the base of the heart:Color flow Doppler imaging during systole (panel A), demonstrates normal systolic flow from the right ventricular outflow tract (RVOT) to the main pulmonary artery (MPA). The flow signal is red in the proximal RVOT as it travels towards the transducer. As it moves at right angles to the interrogating beam the signal briefly disappears. When the flow turns away from the transducer and exits into the MPA it is coded blue.short axis view through the base of the heart during diastole:shows diastolic flow signal (red) from pulmonic valve (PV) denoting trivial pulmonary regurgitation (PR) which is found in 90 percent of normals.
  • 97.
    Color Doppler M-modefrom the four-chamber view:In the normal ventricle, the flow propagation is rapid and the slope is steep (panel A)The rate at which flow propagates into the ventricle of a patient with cardiomyopathy and diastolic dysfunction is considerably slower (panel B)This observation is particularly useful when trying to differentiate normal from "pseudonormal" filling patterns in diastolic dysfunction.
  • 98.
    Color flow Dopplerof MRApical four chamber view in systole: Mild MR & TRThe jets are central and do not penetrate the left atrium (LA) beyond the mid cavitysevere MR:the arrows outline the course of a jet during systole that adheres to and follows the contour of the LA(wall hugging jets)
  • 99.
    Five chamber viewfrom a 2-D echo shows a moderate amount of AR and left ventricular enlargement
  • 100.
    The parasternal longaxis view with color Doppler demonstrates severe AR associated with marked dilatation of the aortic root
  • 101.
    DOPPLER VELOCITY ANDPRESSURE GRADIENT Doppler echo can estimate the pressure difference across a stenotic valve or between two chambersThis r/n ship is defined by the Bernoulli equation and is dependent on :velocity proximal to a stenosis (V1)
  • 102.
    velocity in thestenotic jet (V2)
  • 103.
    density of blood(p), acceleration of blood through the orifice (dv/dt), and viscous losses (R[v]): The pressure gradient (Δ P) can be calculated from:  Δ P = [0.5 x p x (V2 x V2 - V1 x V1)] + [p x (dv/dt)] + R[v](If one assumes that the last two terms (acceleration and viscous losses) are small, and then enter the constants, the formula is simplified to):  Δ P (mmHg) = 4 x (V2 x V2 - V1 x V1)Thus, the Bernoulli formula may be further simplified:  Δ P (mmHg) = 4V2
  • 104.
    InTR, a CW Doppler can be passed from the apex to base across the tricuspid valve in the apical four chamber view & the Doppler shift caused by the TR displayedIn this example, the peak velocity of the TR jet is 3 M/sec ( 36 mm Hg grad. b/n RV & RA) If the RA pressure is known or can be estimated, the sum of RA pressure and the RA to RV gradient is equal to the peak PAP (assuming no PS ) The CW Doppler obtained across the mitral orifice records a peak velocity of 2.8 m/sec( Bernoulli equation: an initial diastolic gradient across the mitral valve of 31 mmHg)
  • 106.
    REFERENCESCLINICAL ECHOCARDIOGRAPHY; HOSPITALUNIVERSITARI VALL D´ HEBRON BARCELONA, Arturo Evangelista and HerminioGarcía del CastilloCo-authors: Teresa González-Alujas, Gustavo Avegliano, ZamiraGómez-Bosch; February 2004UpToDate 17.3
  • 107.