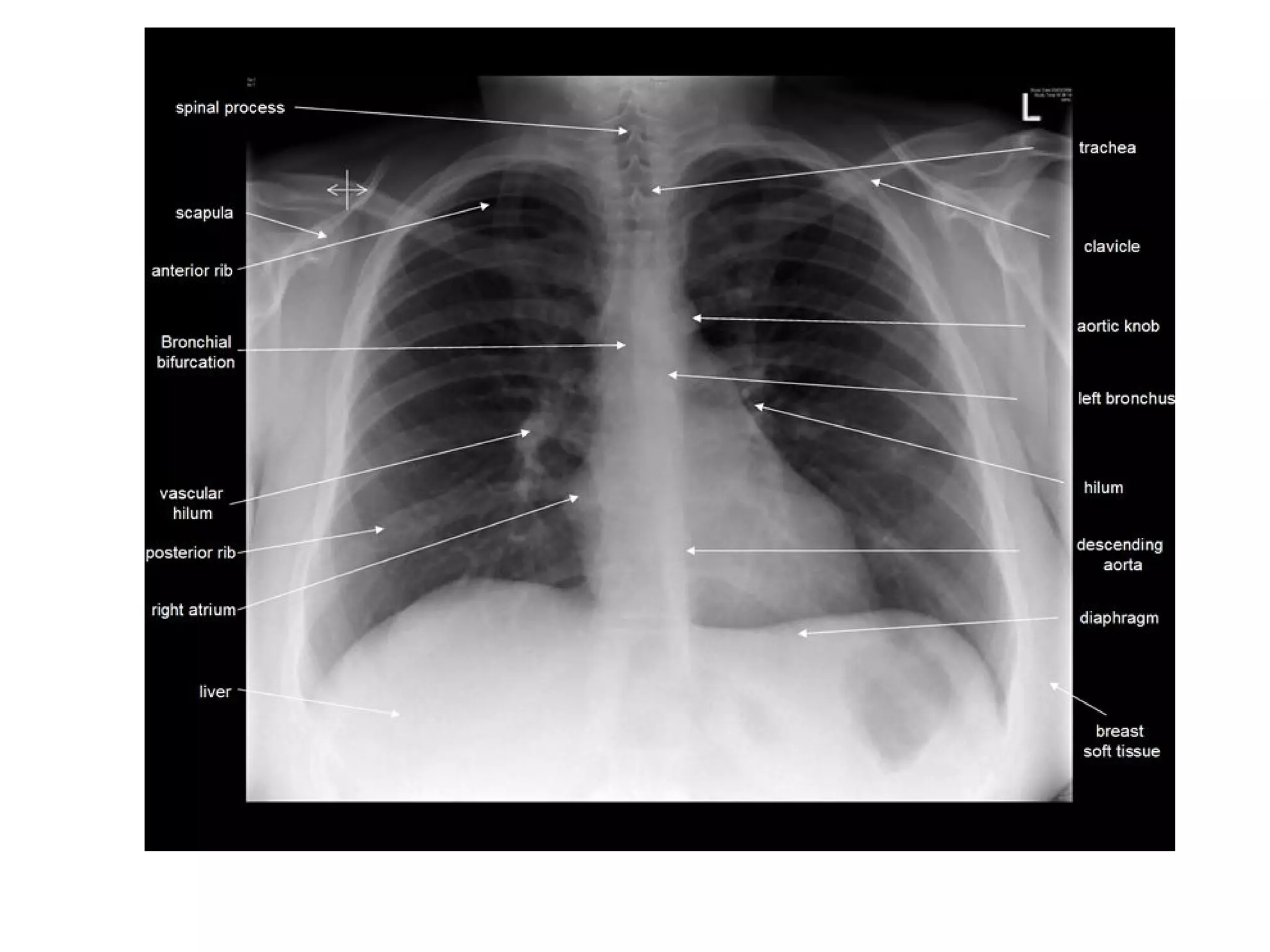
The Normal CXR
       By
Dr. Hayam Yousif
   Radiologist
                   Muhammad Jalal
                   Abdulsamad
The Plain Film
• The PA view
• Exposure is made on full inspiration
PA film
PA view                   AP view
                          • The posterior chest wall
                            is well shown
                          • The scapulae overlie the
                            upper lungs and the
                            clavicles are projected
                            more cranially over the
                            apices
• The neural arches are   • The disc spaces of the
  visualised                lower cervical spine are
                            more clearly seen
AP film   PA film
AP & LATERAL
PA
Viewing the PA Film
Request form
Name
Age
Date
Sex
Clinical information
Viewing the PA Film
Technical aspects
Centering
Penetration the vertebral body and spaces
  should be just visible through the cardiac
  shadow.
Degree of inspiration on full inspiration the
  anterior ends of 6th ribs or the posterior ends of
  10th are above the right hemidiaphragm.
Trachea it is in the midline then deviates
  slightly to the right side at level of aortic
  knuckle
Narrowing
Displacement
Intraluminal lesion
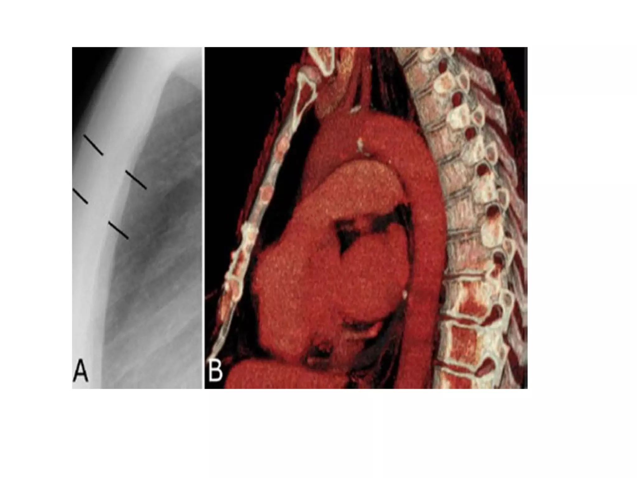
The mediastinum and heart
The central dense shadow seen on PA CXR
comprises the mediastinum, heart, spine and
  sternum
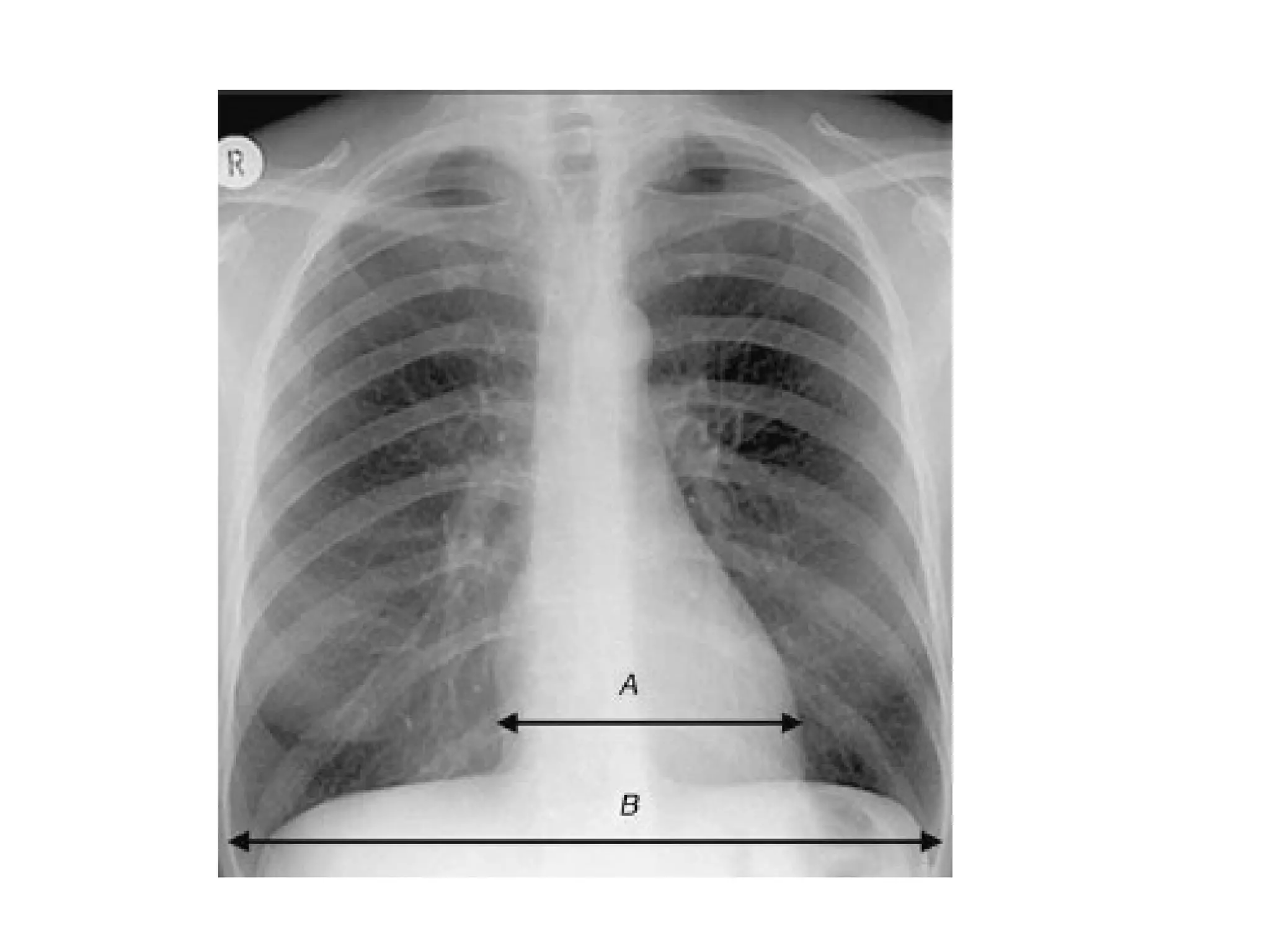
The cardiac shadow lies to the left of the midline
  and 1/3 to the right although it is quite variable
The transverse cardiac diameter normal for female
  < 14.5 cm and for males < 15.5 cm.
The normal cardiothoracic ratio is < 50% on PA
  film and < 60% in AP film.
An increase in excess of 1.5 cm in the transverse
  diameter on comparable serial films is
  significant.
All borders of the heart and mediastinum
  should be clearly defined
In babies and young children the normal
  thymus is a triangular sail shaped
  structure with well defined borders which
  may be wavy.
Superior
              Vessels
Vena
Cava          Aortic Arch
Ascending
Aorta        Pulmonary Artery

Right          Left Atrium
Atrium
  Inferior        Left Ventricle
  Vena
  Cava
Aortic
                 Knob/Arch

Descending                          Ascending
Aorta                               Aorta
    Left
    Atrium
                                     Right
   Left                              Ventricle
   Ventricle

               Inferior Vena Cava
Diaphragm
In most patients the right hemidiaphragm is
  higher than the left. May lie at the same
  level, and in small percentage the left side
  is higher.
A difference of > 3 cm in height is significant
Loss of outline indicates that the adjacent
  tissue does not contain air.
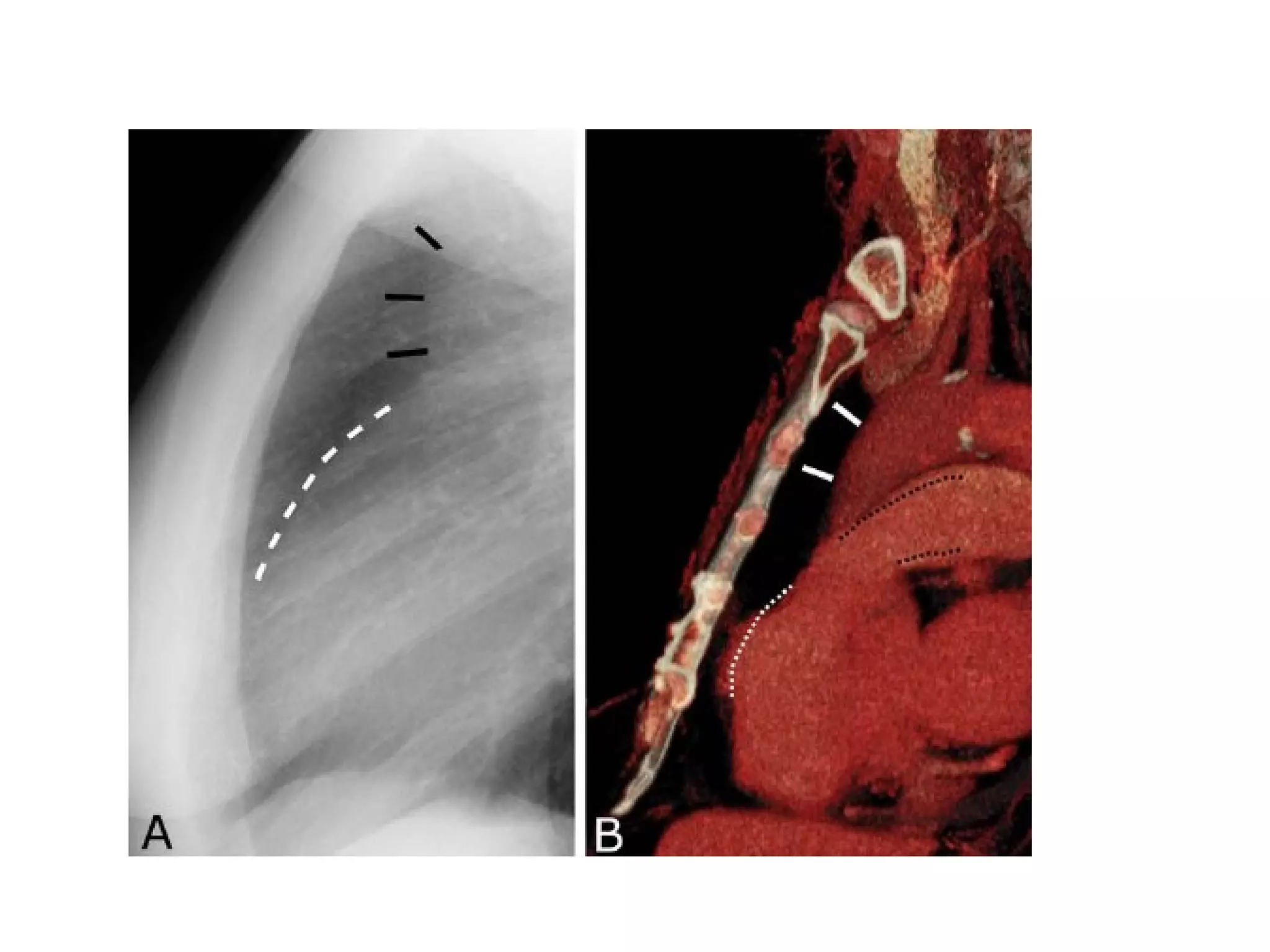
The fissures
The main fissures
The horizontal fissure is seen often incompletely
  on PA film
The oblique fissures are seen on lateral film
  commence posteriorly at the level of T4 or T5
  passing through the hilum. The left is steeper
  and finishes 5cm behind the anterior
  costophrenic angle, where as the right ends just
  behind the angle.
Accessory fissures, the azygos fissure is
  comma shaped and nearly always right sided.
Right Oblique
Fissure



    Horizontal
    Fissure

    Left
    Oblique
    Fissure
RUL




             LUL

            RML

RLL


LLL
Azygos
fissure
Costophrenic angles

The normal costophrenic angles are acute
The lungs
By comparing the lungs, areas of abnormal
 translucency or uneven distribution of lung
 markings are more easily detected.
The hila
In 97% of subjects the left hilum is higher
  than the right. The hila should be of equal
  density and similar size with clearly
  defined concave lateral borders.

The lower lobe vessels are larger than those
 of the upper lobes in erect position.
The right main bronchus is shorter, steeper
 and wider than the left.
Below the diaghragm

Pneumoperitoneum
Dilated bowel
Abscess
Calcified lesion
Chilaiditi’s syndrome
Soft tissue

Chest wall: breast shadow, skin folds,
 shadow of sternomastoid muscle
Shoulders

Lower neck
The bones

Sternum
Clavicles
Scapulae
Ribs
Spine
Image credit: Curry International Tuberculosis Center, University of California, San Francisco   22
Viewing the lateral film
• Routinely the left side is adjacent to the
  film
lateral
• Aortic arch
    • Right pulmonary
      artery
    • Left pulmonary
      artery
    • Trachea & bronchi



Image credit: Curry International Tuberculosis Center, University of California, San Francisco   23
• The clear spaces
Retrosternal space normally this space is less than 3 cm
  deep
Retrocardiac space
• Vertebral translucency
The vertebral bodies become more
  translucent caudally
• Diaphragm outline
Both diaphragms are visible
The posterior costophrenic angles are acute
  and small amounts of pleural fluid may be
  detected.
• The fissures

Loculated interlobar effusions
Displacement
Thickening
• The trachea
This passes down in a slightly posterior
 direction.
• The sternum         should be studied carefully in cases of malignancy or
  when there is a history of trauma.
Interpretation of abnormal film
• Radiological signs
The silhouette sign is the loss of an interface
  by adjacent disease, when air in the
  alveolar space is replaced by fluid or soft
  tissue, there is no longer a difference in
  radiodensity between that part of the lung
  and the adjacent structures. Therfore the
  silhouette is lost and the silhouette sign is
  present.
Silhouette
   sign
• The air bronchogram is an important
  sign showing that the lesion is
  intrapulmonary. The bronchus , if air filled
  but not fluid, become visible when air is
  displaced from the surrounding
  parenchyma. The air bronchogram is
  seen as scattered linear translucencies.
Air bronchogram
1 the normal cxr

1 the normal cxr

  • 1.
    The Normal CXR By Dr. Hayam Yousif Radiologist Muhammad Jalal Abdulsamad
  • 4.
    The Plain Film •The PA view • Exposure is made on full inspiration
  • 7.
  • 8.
    PA view AP view • The posterior chest wall is well shown • The scapulae overlie the upper lungs and the clavicles are projected more cranially over the apices • The neural arches are • The disc spaces of the visualised lower cervical spine are more clearly seen
  • 9.
    AP film PA film
  • 10.
  • 11.
  • 12.
    Viewing the PAFilm Request form Name Age Date Sex Clinical information
  • 13.
    Viewing the PAFilm Technical aspects Centering Penetration the vertebral body and spaces should be just visible through the cardiac shadow. Degree of inspiration on full inspiration the anterior ends of 6th ribs or the posterior ends of 10th are above the right hemidiaphragm.
  • 14.
    Trachea it isin the midline then deviates slightly to the right side at level of aortic knuckle Narrowing Displacement Intraluminal lesion
  • 15.
    The mediastinum andheart The central dense shadow seen on PA CXR comprises the mediastinum, heart, spine and sternum The cardiac shadow lies to the left of the midline and 1/3 to the right although it is quite variable The transverse cardiac diameter normal for female < 14.5 cm and for males < 15.5 cm. The normal cardiothoracic ratio is < 50% on PA film and < 60% in AP film. An increase in excess of 1.5 cm in the transverse diameter on comparable serial films is significant.
  • 16.
    All borders ofthe heart and mediastinum should be clearly defined In babies and young children the normal thymus is a triangular sail shaped structure with well defined borders which may be wavy.
  • 18.
    Superior Vessels Vena Cava Aortic Arch Ascending Aorta Pulmonary Artery Right Left Atrium Atrium Inferior Left Ventricle Vena Cava
  • 19.
    Aortic Knob/Arch Descending Ascending Aorta Aorta Left Atrium Right Left Ventricle Ventricle Inferior Vena Cava
  • 20.
    Diaphragm In most patientsthe right hemidiaphragm is higher than the left. May lie at the same level, and in small percentage the left side is higher. A difference of > 3 cm in height is significant Loss of outline indicates that the adjacent tissue does not contain air.
  • 21.
    The fissures The mainfissures The horizontal fissure is seen often incompletely on PA film The oblique fissures are seen on lateral film commence posteriorly at the level of T4 or T5 passing through the hilum. The left is steeper and finishes 5cm behind the anterior costophrenic angle, where as the right ends just behind the angle. Accessory fissures, the azygos fissure is comma shaped and nearly always right sided.
  • 23.
    Right Oblique Fissure Horizontal Fissure Left Oblique Fissure
  • 24.
    RUL LUL RML RLL LLL
  • 26.
  • 27.
    Costophrenic angles The normalcostophrenic angles are acute
  • 29.
    The lungs By comparingthe lungs, areas of abnormal translucency or uneven distribution of lung markings are more easily detected.
  • 30.
    The hila In 97%of subjects the left hilum is higher than the right. The hila should be of equal density and similar size with clearly defined concave lateral borders. The lower lobe vessels are larger than those of the upper lobes in erect position. The right main bronchus is shorter, steeper and wider than the left.
  • 31.
    Below the diaghragm Pneumoperitoneum Dilatedbowel Abscess Calcified lesion Chilaiditi’s syndrome
  • 32.
    Soft tissue Chest wall:breast shadow, skin folds, shadow of sternomastoid muscle Shoulders Lower neck
  • 33.
  • 36.
    Image credit: CurryInternational Tuberculosis Center, University of California, San Francisco 22
  • 37.
    Viewing the lateralfilm • Routinely the left side is adjacent to the film
  • 38.
  • 39.
    • Aortic arch • Right pulmonary artery • Left pulmonary artery • Trachea & bronchi Image credit: Curry International Tuberculosis Center, University of California, San Francisco 23
  • 46.
    • The clearspaces Retrosternal space normally this space is less than 3 cm deep Retrocardiac space
  • 47.
    • Vertebral translucency Thevertebral bodies become more translucent caudally
  • 48.
    • Diaphragm outline Bothdiaphragms are visible The posterior costophrenic angles are acute and small amounts of pleural fluid may be detected.
  • 49.
    • The fissures Loculatedinterlobar effusions Displacement Thickening
  • 50.
    • The trachea Thispasses down in a slightly posterior direction.
  • 51.
    • The sternum should be studied carefully in cases of malignancy or when there is a history of trauma.
  • 52.
    Interpretation of abnormalfilm • Radiological signs The silhouette sign is the loss of an interface by adjacent disease, when air in the alveolar space is replaced by fluid or soft tissue, there is no longer a difference in radiodensity between that part of the lung and the adjacent structures. Therfore the silhouette is lost and the silhouette sign is present.
  • 53.
  • 54.
    • The airbronchogram is an important sign showing that the lesion is intrapulmonary. The bronchus , if air filled but not fluid, become visible when air is displaced from the surrounding parenchyma. The air bronchogram is seen as scattered linear translucencies.
  • 55.