Normal Chest X- Ray
- Dr Sandeep Singh Awal
Dept of Radiodiagnosis GRMC
The PA View
• Positioning :
• All radio-opaque objects on the patient to
be removed
• Patient ,upright, faces the cassette chin up
• Shoulders rotated forward ,pressed in
contact with the cassette
• side marker
• Centering at T5 at right angles
• Focus to Film Distance of 6 feet
• Exposure made on full inspiration
AP VIEW
• Positioning :
• Patient back against the cassette,
with the upper edge of cassette
above the lung apices.
• Shoulders are rotated laterally and
supported by the side of the trunk
• Centering : middle of the cassette at
right angle
• Side marker
• Exposure made on full inspiration
LATERAL VIEW
• Positioning :
• patient turned to bring the side under
investigation in contact with the cassette
• Arms raised over the head
• Mid-axillary line - coincides with middle
of the film
• Centering : middle of the cassette at right
angles
• EXPOSURE done in full inspiration
Film Quality
1. PA or AP view.
2. Upright/Erect or Supine
3. Breath : Inspiration or Expiration
4. X-ray penetration : Under- or Over-
5. Rotation
PA VIEW AP VIEW
SCAPULA DO NOT OVERLAP THE LUNG FIELDS SCAPULA OVERLAPPING THE LUNG FIELDS
CLAVICLES PROJECT On THE LUNG FIELDS CLAVICLES ARE ABOVE THE APICES OF LUNG
NO CARDIAC MAGNIFICATION CARDIAC MAGNIFICATION
PA view AP view
Viewing the CHEST X RAY
• Patient details,history
• Technical aspects
• Bones
• Trachea and mediastinum
• Diaphragm and costophrenic angles
• Hila
• Lungs
• Soft tissues
TECHNICAL ASPECTS
• CENTERING/ROTATION : medial aspects of clavicles-equidistant from
vertebral spinous processes
Spinous process is closer to right clavicle => left sided rotation seen
L
•ADEQUATE
PENETRATION –
• Vertebral bodies and disc spaces
should be just visible through
the cardiac shadow.
 Underpenetration – miss an
abnormality hidden by another
structure
 Overpenetration – loss of
visibility of low density lesions
• ADEQUATE
INSPIRATORY EFFORT
Good inspiratory film :
6 complete Anterior ribs
10 complete Posterior ribs
Poor Inspiratory film :
Less than 6 anterior ribs
seen
• Poor inspiratory film
4 anterior ribs visible
False postitive findings :
o cardiomegaly (ctr 0.55)
o opacity adjacent to aortic knuckle
o inhomogenous opacification of
bilateral lower lung fields
Bones
• Each rib - anomaly
• Clavicles
• Scapulae and b/l
humerus if visible
• Lower cervical and
thoracic spine
• LOOK FOR ANY
FRACTURES OR LESIONS
Bifid left 4th rib
Fracture clavicle
Soft tissues
• Confirm presence or absence of
breast shadows. Breast shadows
may obscure lung bases or
costophrenic angles
• Skin folds may mimic
pneumothorax
• Lateral chest wall (subcutaneous
emphysema)
Left sided mastectomy
Trachea
• Trachea – midline
translucency, slight
inclination to right in its
lower half
• If Trachea shifted-
pneumothorax
Collapse
fibrosis
HEART
• Position
• Cardiothoracic ratio :ratio betn
the max transverse diam of
heart and max width of the
thorax above the costophrenic
angles
• CTr = A+B / C
• If >0.5(adults) and >0.6(children)
in a good quality film =>
Cardiomegaly
A=3 B = 5
C = 12
A+B = 8 units
CTr = A+B/C
= 8/12
= 0.66
Imp -
Cardiomegaly
• RIGHT HEART BORDER
SVC
RIGHT ATRIUM
IVC
• LEFT HEART BORDER
AORTIC KNUCKLE
PULMONARY TRUNK
LEFT VENTRICLE
svc
RA
IVC
A
P
LV
HILAR REGIONS
• 97% of subjects- left hilum is
higher than right.
formed where superior
pulmonary vein meets the
lower pulmonary artery
Clearly defined CONCAVE
lateral borders
Normal lymph nodes not visible
Lung
• There are 3 lobes in right lung and 2 in left.
Right lung
• Upper lobe
• Middle lobe
• Lower lobe.
Left lung : also contains the lingula,part of the upper lobe.
• Upper lobe; this contains the lingula
• Lower lobe.
LUNG
• On a PA VIEW , for descriptive
purposes the lungs are divided
into three zones separated by
imaginary horizontal lines
• Upper zone - above the anterior
end of the second ribs
• Midzone - between the second
and fourth anterior ribs
• Lower zone - below the level of
the fourth anterior rib.
Analyse each lung separately
Identify any change in density
Compare with opposite lung
Compare upper, mid and lower
zones
Bronchovascular markings –
prominent if present on more
than 2/3rds of lung laterally
Inferior markings are normally
more prominent
Lobes
• Right upper lobe:
• Right middle lobe:
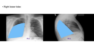
• Right lower lobe:
• Left lower lobe:
• Left upper lobe with Lingula:
• Lingula:
• Left upper lobe - upper division:
Oblique/major fissure – separates
upper lobe from lower lobe
• seen on lateral view
• Extends from T4/T5 posteriorly to
diaphragm anterioinferiorly.
Horizonta/minor fissure – separates
upper and middle lobes of Right lung.
• Can be seen on PA and lateral views
• Seen running from the hilum to sixth
rib in axillary line in pa film.
• Posteriorly ends at the right
major/oblique fissure
Accessory fissures
• Azygous fissure (0.4 % of pop)
– comma shaped, mostly right
sided in the apex of the lung
• Forms due to abnormal
migration of azygous vein
during development.
• invagination of the azygous
vein through the apical portion
of right upper lung.
• Inferior accessory fissure –
oblique line running from the
cardiophrenic angle toward the
hilum. separates medial basal
from other basal segments.
Commoner on right side.
• Superior accessory fissure –
separates the right lower lobe
into superior and basal
segments.
Inferior accessory fissure
Diaphragm
• Right hemidiaphragm is higher than
the left.
• Assess curvature of b/l
hemidiaphragms to identify
diaphragmatic flattening or bulge
• Assess bilateral Costophernic angles-
normally acute & well defined
• Rule out any free gas under
hemidiaphragm
•Thank you

Normal chest x ray- Radiology Basics

  • 1.
    Normal Chest X-Ray - Dr Sandeep Singh Awal Dept of Radiodiagnosis GRMC
  • 3.
    The PA View •Positioning : • All radio-opaque objects on the patient to be removed • Patient ,upright, faces the cassette chin up • Shoulders rotated forward ,pressed in contact with the cassette • side marker • Centering at T5 at right angles • Focus to Film Distance of 6 feet • Exposure made on full inspiration
  • 4.
    AP VIEW • Positioning: • Patient back against the cassette, with the upper edge of cassette above the lung apices. • Shoulders are rotated laterally and supported by the side of the trunk • Centering : middle of the cassette at right angle • Side marker • Exposure made on full inspiration
  • 5.
    LATERAL VIEW • Positioning: • patient turned to bring the side under investigation in contact with the cassette • Arms raised over the head • Mid-axillary line - coincides with middle of the film • Centering : middle of the cassette at right angles • EXPOSURE done in full inspiration
  • 6.
    Film Quality 1. PAor AP view. 2. Upright/Erect or Supine 3. Breath : Inspiration or Expiration 4. X-ray penetration : Under- or Over- 5. Rotation
  • 7.
    PA VIEW APVIEW SCAPULA DO NOT OVERLAP THE LUNG FIELDS SCAPULA OVERLAPPING THE LUNG FIELDS CLAVICLES PROJECT On THE LUNG FIELDS CLAVICLES ARE ABOVE THE APICES OF LUNG NO CARDIAC MAGNIFICATION CARDIAC MAGNIFICATION
  • 8.
  • 9.
    Viewing the CHESTX RAY • Patient details,history • Technical aspects • Bones • Trachea and mediastinum • Diaphragm and costophrenic angles • Hila • Lungs • Soft tissues
  • 10.
    TECHNICAL ASPECTS • CENTERING/ROTATION: medial aspects of clavicles-equidistant from vertebral spinous processes
  • 11.
    Spinous process iscloser to right clavicle => left sided rotation seen L
  • 12.
    •ADEQUATE PENETRATION – • Vertebralbodies and disc spaces should be just visible through the cardiac shadow.  Underpenetration – miss an abnormality hidden by another structure  Overpenetration – loss of visibility of low density lesions
  • 13.
    • ADEQUATE INSPIRATORY EFFORT Goodinspiratory film : 6 complete Anterior ribs 10 complete Posterior ribs Poor Inspiratory film : Less than 6 anterior ribs seen
  • 14.
    • Poor inspiratoryfilm 4 anterior ribs visible False postitive findings : o cardiomegaly (ctr 0.55) o opacity adjacent to aortic knuckle o inhomogenous opacification of bilateral lower lung fields
  • 15.
    Bones • Each rib- anomaly • Clavicles • Scapulae and b/l humerus if visible • Lower cervical and thoracic spine • LOOK FOR ANY FRACTURES OR LESIONS Bifid left 4th rib
  • 16.
  • 17.
    Soft tissues • Confirmpresence or absence of breast shadows. Breast shadows may obscure lung bases or costophrenic angles • Skin folds may mimic pneumothorax • Lateral chest wall (subcutaneous emphysema) Left sided mastectomy
  • 18.
    Trachea • Trachea –midline translucency, slight inclination to right in its lower half • If Trachea shifted- pneumothorax Collapse fibrosis
  • 19.
    HEART • Position • Cardiothoracicratio :ratio betn the max transverse diam of heart and max width of the thorax above the costophrenic angles • CTr = A+B / C • If >0.5(adults) and >0.6(children) in a good quality film => Cardiomegaly
  • 20.
    A=3 B =5 C = 12 A+B = 8 units CTr = A+B/C = 8/12 = 0.66 Imp - Cardiomegaly
  • 21.
    • RIGHT HEARTBORDER SVC RIGHT ATRIUM IVC • LEFT HEART BORDER AORTIC KNUCKLE PULMONARY TRUNK LEFT VENTRICLE svc RA IVC A P LV
  • 23.
    HILAR REGIONS • 97%of subjects- left hilum is higher than right. formed where superior pulmonary vein meets the lower pulmonary artery Clearly defined CONCAVE lateral borders Normal lymph nodes not visible
  • 24.
    Lung • There are3 lobes in right lung and 2 in left. Right lung • Upper lobe • Middle lobe • Lower lobe. Left lung : also contains the lingula,part of the upper lobe. • Upper lobe; this contains the lingula • Lower lobe.
  • 25.
    LUNG • On aPA VIEW , for descriptive purposes the lungs are divided into three zones separated by imaginary horizontal lines • Upper zone - above the anterior end of the second ribs • Midzone - between the second and fourth anterior ribs • Lower zone - below the level of the fourth anterior rib.
  • 26.
    Analyse each lungseparately Identify any change in density Compare with opposite lung Compare upper, mid and lower zones Bronchovascular markings – prominent if present on more than 2/3rds of lung laterally Inferior markings are normally more prominent
  • 27.
  • 28.
  • 29.
  • 30.
  • 31.
    • Left upperlobe with Lingula:
  • 32.
  • 33.
    • Left upperlobe - upper division:
  • 34.
    Oblique/major fissure –separates upper lobe from lower lobe • seen on lateral view • Extends from T4/T5 posteriorly to diaphragm anterioinferiorly. Horizonta/minor fissure – separates upper and middle lobes of Right lung. • Can be seen on PA and lateral views • Seen running from the hilum to sixth rib in axillary line in pa film. • Posteriorly ends at the right major/oblique fissure
  • 35.
    Accessory fissures • Azygousfissure (0.4 % of pop) – comma shaped, mostly right sided in the apex of the lung • Forms due to abnormal migration of azygous vein during development. • invagination of the azygous vein through the apical portion of right upper lung.
  • 36.
    • Inferior accessoryfissure – oblique line running from the cardiophrenic angle toward the hilum. separates medial basal from other basal segments. Commoner on right side. • Superior accessory fissure – separates the right lower lobe into superior and basal segments. Inferior accessory fissure
  • 37.
    Diaphragm • Right hemidiaphragmis higher than the left. • Assess curvature of b/l hemidiaphragms to identify diaphragmatic flattening or bulge • Assess bilateral Costophernic angles- normally acute & well defined • Rule out any free gas under hemidiaphragm
  • 38.