Embed presentation
Downloaded 80 times









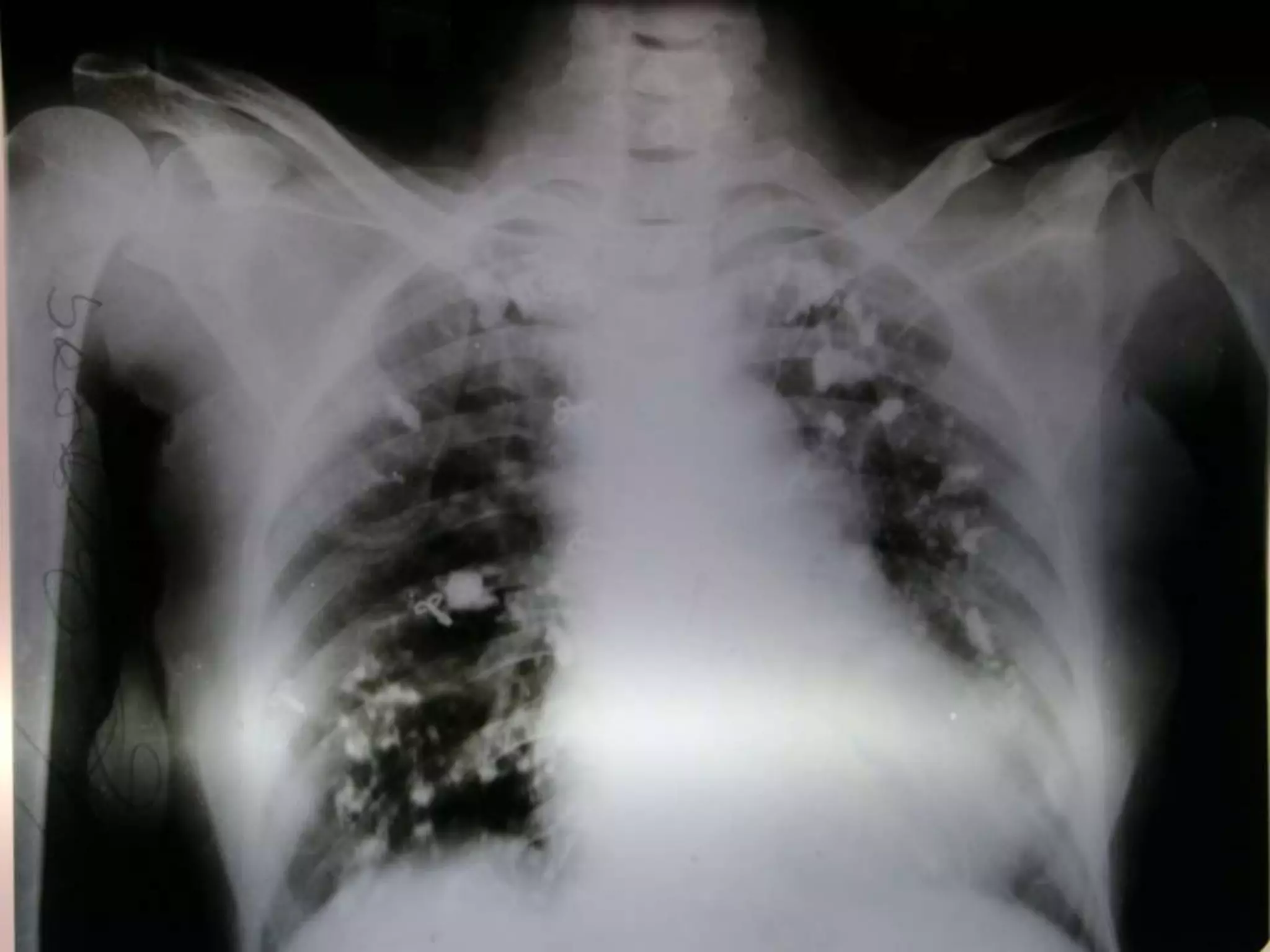
The chest x-ray shows multiple, irregular, dense opacities diffusely over the lung fields, which are indicative of pleural calcification or pulmonary parenchymal calcification. The differential diagnoses for pleural calcification include healed hemothorax/pyothorax, tuberculous effusion, and pneumoconioses. The differential diagnoses for parenchymal calcification include tuberculosis, histoplasmosis, solitary pulmonary nodules, silicosis/talcosis, tuberculosis/histoplasma/varicella, sarcoidosis/amyloidosis, and metastatic disease in the case of dendriform patterns. The cardiomediastinal and bone soft tissue shadows appear








