WILMS TUMOR
Gaurav Nahar
DNB Urology(Std)
MMHRC, Madurai
INTRODUCTION
• Wilms tumor - Nephroblastoma.
• Most common primary malignant renal tumor
of childhood.
• This embryonal tumor develops from remnants
of immature kidney.
EPIDEMIOLOGY
• Accounts for 6% to 7% of all childhood
cancers.
• Children<15 yrs: annual incidence rate 7 to 10
cases per million.
• More than 80% of cases are diagnosed before
5 years of age, with a median age of 3.5 years.
• B/L Wilms tumors present at earlier age.
• Incidence lower in East Asian populations &
higher in black populations compared with
North American and European whites.
• Environmental risk factors play a minor role.
ETIOLOGY
• Majority of Wilms tumors arise from somatic
mutations restricted to tumor tissue.
• A much smaller percentage originate from
germline mutations.
• Several genetic events result in Wilms tumor
development.
• 10% tumors- have coexistent congenital
anomalies and syndromes.
• 5% to 10% tumors- bilateral/multicentric.
• 1% to 2% are familial.
WT1:
• 1st Wilms tumor gene to be identified.
• Gross deletions at chromosome 11p13.
• Associated syndromes:
1.WAGR syndrome
2.Denys-Drash syndrome
3.Frasier syndrome
• WT1 gene is important for normal kidney &
gonadal development.
• WT1 encodes a zinc-finger transcription factor
expressed in kidney, gonads, spleen, &
mesothelium
• WT1 is necessary for ureteric bud outgrowth
and nephrogenesis.
• WAGR (Wilms tumor, Aniridia, Genital
anomalies, mental Retardation) syndrome.
• Aniridia, found in 1.1% of Wilms tumor
patients, is caused by an abnormality of the
PAX6 gene located adjacent to WT1.
• Wilms tumor develops in 40% to 70% of
aniridia patients with deletions of WT1.
• Denys-Drash syndrome (DDS): specific
association of male pseudohermaphroditism,
renal mesangial sclerosis, and nephroblastoma.
• Caused by point mutations in zinc finger DNA
binding region of WT1.
• >90% of DDS patients harbor germline point
mutations in only one WT1 allele.
• WAGR and DDS patients- more likely to have
bilateral tumors & are diagnosed at a younger age.
• WAGR patients- increased risk of renal failure if they
survive into puberty.
• Genitourinary anomalies- renal fusion anomalies,
cryptorchidism, hypospadias are present in 4.5% of
patients with Wilms tumor.
WT2:
• 11p15 locus- LoH(Loss of Heterozygosity)
a/w Beckwith-Wiedemann Syndrome.
• Genes involved- H19 & IGF-2.
• Beckwith-Wiedemann syndrome(BWS)
characterized by excess growth at cellular,
organ (macroglossia, nephromegaly,
hepatomegaly), or body segment
(hemihypertrophy) levels.
• Adrenocortical neoplasms and hepatoblastoma
also occur in BWS.
• Most cases sporadic; 15% heritable- AD.
WTX:
• Tumor suppressor gene, Wilms Tumor gene on
the X chromosome, at Xq11.1,
• Inactivated in up to one third of Wilm's
tumors.
• Targets single X chromosome in males &
active X chromosome in females with tumors.
Familial Wilm's Tumor : (FWT1, FWT2)
• 1% to 2% of Wilms tumor patients have a
family h/o Wilms tumor.
• Earlier age of onset & increased frequency of
B/L disease.
• TP53 mutations- increased frequency in
anaplastic histology.
• LoH at 1p and 16q are associated with an
increased risk of tumor relapse and death.
SCREENING
• Ultrasound surveillance- from time of
diagnosis until 5 years of age, with a
frequency of every 3 to 4 months.
• BWS, Simpson-Golabi-Behmel, and familial
Wilms- continue to 7 years.
• Screening recommended when WT incidence
> 5%.
• Screening of contralateral kidney after
nephrectomy for U/L Wilm's.
• CT or MRI if USG shows any suspicious lesion.
• 7-fold increased risk of Wilm's tumor in HK.
• an increased risk of müllerian duct anomalies in girls
with Wilms tumor- Approx.10% girls will have
abnormalities, such as duplication of cervix or uterus,
or bicornuate uterus.
PATHOLOGY
Favorable-Histology Wilms Tumor(FH):
• Wilms tumor compresses adjacent normal
renal parenchyma, forming an "intrarenal
pseudocapsule."
• Tremendous histologic diversity.
• 90% of all renal tumors have favorable
histology.
• “Classical” Wilms tumor is characterized by
islands of compact undifferentiated blastema,
presence of variable epithelial differentiation
in the form of embryonic tubules, rosettes, and
glomeruloid structures,
separated by a significant stromal component.
• Predominantly epithelial differentiation- low
degree of aggressiveness, majority are stage I
tumors,
• But may be more resistant to therapy, if they
present as advanced-stage disease.
Survival Rates in Patients with Favorable-Histology Wilms
Tumor
Anaplastic Wilms Tumor:
• Anaplasia is characterized by the presence of
three abnormalities:
1.nuclear enlargement to three or more times the
diameter of adjacent cells,
2.hyperchromasia of enlarged nuclei, and
3.abnormal mitotic figures.
• Rarely seen in children< 3 years.
• Resistant to chemotherapy.
• Poor prognosis.
• Further divided into focal & diffuse patterns.
Nephrogenis Rests:
• Precursor lesions; still most don't form Wilm's
tumor.
• A rest can undergo maturation, sclerosis,
involution, or complete disappearance.
• Two types based on location: Perilobar &
Intralobar(PLNRs & ILNRs).
• Perilobar NRs- found only in the lobar
periphery, elaborated late in embryogenesis.
• Subcortical, sharply demarcated, and contain
predominantly blastema & tubules.
• Usually found in BWS, linked to 11p15 locus.
• Intralobar NRs found anywhere within the
lobe, renal sinus and wall of PCS.
• Result of earlier gestational aberrations.
• ILNRs are commonly stroma rich.
• Typically seen in aniridia, WAGR, DDS or
other features a/w WT1.
CLINICAL PRESENTATION
• A palpable smooth abdominal mass- 90%.
Incidentally discovered.
• Abdominal pain, gross hematuria & fever- less
frequent.
• Tumor rupture with hemorrhage into peritoneal
cavity- mimics acute abdomen.
• Extension into renal vein & IVC- varicocoele,
hepatomegaly due to hepatic vein obstruction, ascites,
and congestive heart failure- <10%.
• Hypertension- common at diagnosis, d/t
elevated plasma renin levels; resolves shortly
after removal.
• Acquired von Willebrand disease found in 8%
of newly diagnosed Wilms tumor.
IMAGING
• FOUR FIELD CHEST RADIOGRAPHY:
may show lung metastasis.
RENAL ULTRASOUND:
1st study to evaluate child with abd.mass.
demonstrate solid nature of the lesion.
Doppler USG helps to exclude intracaval
tumor extension, & its proximal extent.
Solid renal tumor: CT demonstrates that lesion is amenable to renal-sparing
surgery
• CT SCAN:
helps to determine origin of the tumor, lymph
node involvement, B/L kidney involvement,
invasion into major vessels (IVC), and liver
metastases.
CT chest to rule out lung metastasis.
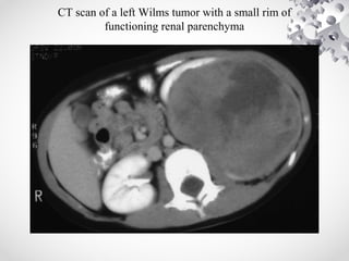
CT scan of a left Wilms tumor with a small rim of
functioning renal parenchyma
• MRI ABDOMEN:
Most sensitive imaging modality for caval
patency, to determine tumor extension into
IVC.
low signal intensity on T1-weighted images
and high signal intensity on T2-weighted
images.
MRI depicting extension of Wilms tumor into the
inferior vena cava.
STAGING
DIFFERENTIAL DIAGNOSIS
• Mesoblastic nephroma - Most common renal tumor in the
first month of life.
• Renal cell carcinoma
• Clear cell sarcoma of the kidney
• Rhabdoid tumor of the kidney
• Nonmalignant mass
• Hydronephrosis
• Multicystic kidney disease
• Renal cyst
• Renal thrombosis
• Dysplastic kidney
• Renal hemorrhage
• Differential Diagnoses
• Neuroblastoma
• Polycystic Kidney Disease
• Rhabdomyosarcoma
PROGNOSTIC FACTORS
• Most Important determinants of outcome:
histopathology & tumor stage.
• Chromosomal Abnormalities: LOH for
chromosome 16q and/or 1p (20% of Wilms
tumors) a/w increased risk for relapse & death.
• High telomerase activity- an unfavourable
prognostic feature.
• DNA Content: Aneuploidy & DNA index .
1.5- strongly a/w anaplastic histology.
• Cytokines: VEGF angiogenic cytokine.
TREAMENT
• Usual approach- nephrectomy followed by
chemotherapy, with or without postoperative
radiotherapy.
• Multiple RCTs to determine therapeutic protocols by:
1. National Wilm's Tumor Study Group/Children's
Oncology Group(NWTSG/COG),
2. International Society of Pediatric Oncology(SIOP),
and
3. United Kingdom Children’s Cancer Study Group
(UKCCSG) .
COG AREN0321 protocol for high risk Wilms
tumor
• Focal anaplastic stage I-III Wilms tumors and diffuse
anaplastic stage I Wilms tumors - Nephrectomy followed by
vincristine, actinomycin-D, and doxorubicin in addition to
local radiotherapy
• Focal anaplastic stage IV Wilms tumors and diffuse
anaplastic stage II-III tumors –Patients undergo the same
treatment, with the addition of cyclophosphamide, etoposide,
and carboplatin
• Stage IV diffuse anaplastic Wilms tumors - More
aggressive treatment is delivered; nephrectomy is followed by
initial irinotecan and vincristine administration, which in turn
is followed by actinomycin-D, doxorubicin,
cyclophosphamide, carboplatin, etoposide, and radiotherapy.
SURGICAL CONSIDERATIONS:
• Radical nephrectomy by transperitoneal approach.
• Thorough exploration of the abdominal cavity to
exclude local tumor extension, liver and nodal
metastases, or peritoneal seeding.
• Accurate staging to determine appropriate
chemotherapy & need for radiation therapy.
• Selective sampling of suspicious nodes is essential.
• Formal RPLND is not recommended.
• Risk factors for local tumor recurrence
(Shamberger):
1.tumor spillage,
2.unfavorable histology,
3.incomplete tumor removal, and
4.absence of any lymph node sampling.
PREOPERATIVE CHEMOTHERAPY:
• Situations where preoperative chemotherapy is
recommended:-
1. Children for whom renal-sparing surgery is planned,
2. Tumors are inoperable at surgical exploration, and
3. There is tumor extension into IVC above hepatic
veins.
• An inoperable tumor should be considered stage III
and treated accordingly.
• Inoperability should not be based on
preoperative imaging studies, which can
overestimate local tumor extension.
• Pretreatment with chemotherapy almost
always reduces the bulk of tumor and renders
it resectable.
• Majority of reduction in tumor volume occurs
in first 4 weeks of chemotherapy.
A, MRI of a Wilms tumor that was pretreated with chemotherapy.
B, After 6 weeks of chemotherapy, the tumor is much smaller in size
MANAGEMENT OF LUNG METASTASIS:
• CXR negative but CT positive: tissue
diagnosis of lung nodules because several
conditions (eg, histoplasmosis, atelectasis,
pseudotumor, intrapulmonary lymph node,
pneumonia) can mimic pulmonary metastases.
• WT FH with lung mets, no other mets/1p or
16q deletion: 6 weeks of actinomycin-D,
doxorubicin, and vincristine.
Complete resolution- No radiation required.
No resolution- cyclophosphamide and
etoposide in addition + radiation therapy.
MANAGEMENT OF B/L WILMS TUMORS:
• No initial radical nephrectomy.
• Preoperative chemotherapy for 6 weeks.
• tumors amenable to renal-sparing procedures
can proceed with surgery.
• Tumors not responding- B/L open biopsy &
additional chemo based on biopsy findings.
• Proceed to Sx at 12 weeks of therapy (no
benefit beyond 12 weeks).
• Partial nephrectomy, tumor enucleation or
wedge excision of tumor.
• In FH tumors, even with positive margins or
large B/L residual masses, adjuvant therapy
provides a good outcome.
LATE EFFECTS OF Rx
RADIATION:
• Musculoskeletal problems like scoliosis.
• Reduction in stature.
• Hypogonadism & temporary azoospermia.
• Delayed sexual maturation.
• Ovarian failure.
• Adverse pregnancy outcomes with increased
risk for miscarriage, LBW, prematurity &
congenital malformations.
• Increased risk of 2nd malignant neoplasms.
CHEMO:
• Congestive heart failure caused by
anthracyclines(DOX)
FOLLOW-UP
THANK
YOU

Wilms tumor

  • 1.
    WILMS TUMOR Gaurav Nahar DNBUrology(Std) MMHRC, Madurai
  • 2.
    INTRODUCTION • Wilms tumor- Nephroblastoma. • Most common primary malignant renal tumor of childhood. • This embryonal tumor develops from remnants of immature kidney.
  • 3.
    EPIDEMIOLOGY • Accounts for6% to 7% of all childhood cancers. • Children<15 yrs: annual incidence rate 7 to 10 cases per million. • More than 80% of cases are diagnosed before 5 years of age, with a median age of 3.5 years.
  • 4.
    • B/L Wilmstumors present at earlier age. • Incidence lower in East Asian populations & higher in black populations compared with North American and European whites. • Environmental risk factors play a minor role.
  • 5.
    ETIOLOGY • Majority ofWilms tumors arise from somatic mutations restricted to tumor tissue. • A much smaller percentage originate from germline mutations. • Several genetic events result in Wilms tumor development.
  • 6.
    • 10% tumors-have coexistent congenital anomalies and syndromes. • 5% to 10% tumors- bilateral/multicentric. • 1% to 2% are familial.
  • 8.
    WT1: • 1st Wilmstumor gene to be identified. • Gross deletions at chromosome 11p13. • Associated syndromes: 1.WAGR syndrome 2.Denys-Drash syndrome 3.Frasier syndrome
  • 9.
    • WT1 geneis important for normal kidney & gonadal development. • WT1 encodes a zinc-finger transcription factor expressed in kidney, gonads, spleen, & mesothelium • WT1 is necessary for ureteric bud outgrowth and nephrogenesis.
  • 10.
    • WAGR (Wilmstumor, Aniridia, Genital anomalies, mental Retardation) syndrome. • Aniridia, found in 1.1% of Wilms tumor patients, is caused by an abnormality of the PAX6 gene located adjacent to WT1. • Wilms tumor develops in 40% to 70% of aniridia patients with deletions of WT1.
  • 11.
    • Denys-Drash syndrome(DDS): specific association of male pseudohermaphroditism, renal mesangial sclerosis, and nephroblastoma. • Caused by point mutations in zinc finger DNA binding region of WT1. • >90% of DDS patients harbor germline point mutations in only one WT1 allele.
  • 12.
    • WAGR andDDS patients- more likely to have bilateral tumors & are diagnosed at a younger age. • WAGR patients- increased risk of renal failure if they survive into puberty. • Genitourinary anomalies- renal fusion anomalies, cryptorchidism, hypospadias are present in 4.5% of patients with Wilms tumor.
  • 13.
    WT2: • 11p15 locus-LoH(Loss of Heterozygosity) a/w Beckwith-Wiedemann Syndrome. • Genes involved- H19 & IGF-2.
  • 14.
    • Beckwith-Wiedemann syndrome(BWS) characterizedby excess growth at cellular, organ (macroglossia, nephromegaly, hepatomegaly), or body segment (hemihypertrophy) levels. • Adrenocortical neoplasms and hepatoblastoma also occur in BWS. • Most cases sporadic; 15% heritable- AD.
  • 15.
    WTX: • Tumor suppressorgene, Wilms Tumor gene on the X chromosome, at Xq11.1, • Inactivated in up to one third of Wilm's tumors. • Targets single X chromosome in males & active X chromosome in females with tumors.
  • 16.
    Familial Wilm's Tumor: (FWT1, FWT2) • 1% to 2% of Wilms tumor patients have a family h/o Wilms tumor. • Earlier age of onset & increased frequency of B/L disease.
  • 17.
    • TP53 mutations-increased frequency in anaplastic histology. • LoH at 1p and 16q are associated with an increased risk of tumor relapse and death.
  • 18.
    SCREENING • Ultrasound surveillance-from time of diagnosis until 5 years of age, with a frequency of every 3 to 4 months. • BWS, Simpson-Golabi-Behmel, and familial Wilms- continue to 7 years. • Screening recommended when WT incidence > 5%. • Screening of contralateral kidney after nephrectomy for U/L Wilm's.
  • 19.
    • CT orMRI if USG shows any suspicious lesion. • 7-fold increased risk of Wilm's tumor in HK. • an increased risk of müllerian duct anomalies in girls with Wilms tumor- Approx.10% girls will have abnormalities, such as duplication of cervix or uterus, or bicornuate uterus.
  • 20.
    PATHOLOGY Favorable-Histology Wilms Tumor(FH): •Wilms tumor compresses adjacent normal renal parenchyma, forming an "intrarenal pseudocapsule." • Tremendous histologic diversity. • 90% of all renal tumors have favorable histology.
  • 21.
    • “Classical” Wilmstumor is characterized by islands of compact undifferentiated blastema, presence of variable epithelial differentiation in the form of embryonic tubules, rosettes, and glomeruloid structures, separated by a significant stromal component.
  • 23.
    • Predominantly epithelialdifferentiation- low degree of aggressiveness, majority are stage I tumors, • But may be more resistant to therapy, if they present as advanced-stage disease.
  • 24.
    Survival Rates inPatients with Favorable-Histology Wilms Tumor
  • 25.
    Anaplastic Wilms Tumor: •Anaplasia is characterized by the presence of three abnormalities: 1.nuclear enlargement to three or more times the diameter of adjacent cells, 2.hyperchromasia of enlarged nuclei, and 3.abnormal mitotic figures. • Rarely seen in children< 3 years.
  • 26.
    • Resistant tochemotherapy. • Poor prognosis. • Further divided into focal & diffuse patterns.
  • 27.
    Nephrogenis Rests: • Precursorlesions; still most don't form Wilm's tumor. • A rest can undergo maturation, sclerosis, involution, or complete disappearance. • Two types based on location: Perilobar & Intralobar(PLNRs & ILNRs).
  • 28.
    • Perilobar NRs-found only in the lobar periphery, elaborated late in embryogenesis. • Subcortical, sharply demarcated, and contain predominantly blastema & tubules. • Usually found in BWS, linked to 11p15 locus.
  • 29.
    • Intralobar NRsfound anywhere within the lobe, renal sinus and wall of PCS. • Result of earlier gestational aberrations. • ILNRs are commonly stroma rich. • Typically seen in aniridia, WAGR, DDS or other features a/w WT1.
  • 31.
    CLINICAL PRESENTATION • Apalpable smooth abdominal mass- 90%. Incidentally discovered. • Abdominal pain, gross hematuria & fever- less frequent. • Tumor rupture with hemorrhage into peritoneal cavity- mimics acute abdomen. • Extension into renal vein & IVC- varicocoele, hepatomegaly due to hepatic vein obstruction, ascites, and congestive heart failure- <10%.
  • 32.
    • Hypertension- commonat diagnosis, d/t elevated plasma renin levels; resolves shortly after removal. • Acquired von Willebrand disease found in 8% of newly diagnosed Wilms tumor.
  • 33.
    IMAGING • FOUR FIELDCHEST RADIOGRAPHY: may show lung metastasis. RENAL ULTRASOUND: 1st study to evaluate child with abd.mass. demonstrate solid nature of the lesion. Doppler USG helps to exclude intracaval tumor extension, & its proximal extent.
  • 34.
    Solid renal tumor:CT demonstrates that lesion is amenable to renal-sparing surgery
  • 35.
    • CT SCAN: helpsto determine origin of the tumor, lymph node involvement, B/L kidney involvement, invasion into major vessels (IVC), and liver metastases. CT chest to rule out lung metastasis.
  • 36.
    CT scan ofa left Wilms tumor with a small rim of functioning renal parenchyma
  • 37.
    • MRI ABDOMEN: Mostsensitive imaging modality for caval patency, to determine tumor extension into IVC. low signal intensity on T1-weighted images and high signal intensity on T2-weighted images.
  • 38.
    MRI depicting extensionof Wilms tumor into the inferior vena cava.
  • 39.
  • 40.
    DIFFERENTIAL DIAGNOSIS • Mesoblasticnephroma - Most common renal tumor in the first month of life. • Renal cell carcinoma • Clear cell sarcoma of the kidney • Rhabdoid tumor of the kidney • Nonmalignant mass • Hydronephrosis • Multicystic kidney disease • Renal cyst • Renal thrombosis • Dysplastic kidney • Renal hemorrhage
  • 41.
    • Differential Diagnoses •Neuroblastoma • Polycystic Kidney Disease • Rhabdomyosarcoma
  • 42.
    PROGNOSTIC FACTORS • MostImportant determinants of outcome: histopathology & tumor stage. • Chromosomal Abnormalities: LOH for chromosome 16q and/or 1p (20% of Wilms tumors) a/w increased risk for relapse & death. • High telomerase activity- an unfavourable prognostic feature. • DNA Content: Aneuploidy & DNA index . 1.5- strongly a/w anaplastic histology. • Cytokines: VEGF angiogenic cytokine.
  • 43.
    TREAMENT • Usual approach-nephrectomy followed by chemotherapy, with or without postoperative radiotherapy. • Multiple RCTs to determine therapeutic protocols by: 1. National Wilm's Tumor Study Group/Children's Oncology Group(NWTSG/COG), 2. International Society of Pediatric Oncology(SIOP), and 3. United Kingdom Children’s Cancer Study Group (UKCCSG) .
  • 45.
    COG AREN0321 protocolfor high risk Wilms tumor • Focal anaplastic stage I-III Wilms tumors and diffuse anaplastic stage I Wilms tumors - Nephrectomy followed by vincristine, actinomycin-D, and doxorubicin in addition to local radiotherapy • Focal anaplastic stage IV Wilms tumors and diffuse anaplastic stage II-III tumors –Patients undergo the same treatment, with the addition of cyclophosphamide, etoposide, and carboplatin • Stage IV diffuse anaplastic Wilms tumors - More aggressive treatment is delivered; nephrectomy is followed by initial irinotecan and vincristine administration, which in turn is followed by actinomycin-D, doxorubicin, cyclophosphamide, carboplatin, etoposide, and radiotherapy.
  • 46.
    SURGICAL CONSIDERATIONS: • Radicalnephrectomy by transperitoneal approach. • Thorough exploration of the abdominal cavity to exclude local tumor extension, liver and nodal metastases, or peritoneal seeding. • Accurate staging to determine appropriate chemotherapy & need for radiation therapy. • Selective sampling of suspicious nodes is essential. • Formal RPLND is not recommended.
  • 47.
    • Risk factorsfor local tumor recurrence (Shamberger): 1.tumor spillage, 2.unfavorable histology, 3.incomplete tumor removal, and 4.absence of any lymph node sampling.
  • 48.
    PREOPERATIVE CHEMOTHERAPY: • Situationswhere preoperative chemotherapy is recommended:- 1. Children for whom renal-sparing surgery is planned, 2. Tumors are inoperable at surgical exploration, and 3. There is tumor extension into IVC above hepatic veins. • An inoperable tumor should be considered stage III and treated accordingly.
  • 49.
    • Inoperability shouldnot be based on preoperative imaging studies, which can overestimate local tumor extension. • Pretreatment with chemotherapy almost always reduces the bulk of tumor and renders it resectable. • Majority of reduction in tumor volume occurs in first 4 weeks of chemotherapy.
  • 50.
    A, MRI ofa Wilms tumor that was pretreated with chemotherapy. B, After 6 weeks of chemotherapy, the tumor is much smaller in size
  • 51.
    MANAGEMENT OF LUNGMETASTASIS: • CXR negative but CT positive: tissue diagnosis of lung nodules because several conditions (eg, histoplasmosis, atelectasis, pseudotumor, intrapulmonary lymph node, pneumonia) can mimic pulmonary metastases.
  • 52.
    • WT FHwith lung mets, no other mets/1p or 16q deletion: 6 weeks of actinomycin-D, doxorubicin, and vincristine. Complete resolution- No radiation required. No resolution- cyclophosphamide and etoposide in addition + radiation therapy.
  • 53.
    MANAGEMENT OF B/LWILMS TUMORS: • No initial radical nephrectomy. • Preoperative chemotherapy for 6 weeks. • tumors amenable to renal-sparing procedures can proceed with surgery. • Tumors not responding- B/L open biopsy & additional chemo based on biopsy findings.
  • 54.
    • Proceed toSx at 12 weeks of therapy (no benefit beyond 12 weeks). • Partial nephrectomy, tumor enucleation or wedge excision of tumor. • In FH tumors, even with positive margins or large B/L residual masses, adjuvant therapy provides a good outcome.
  • 55.
    LATE EFFECTS OFRx RADIATION: • Musculoskeletal problems like scoliosis. • Reduction in stature. • Hypogonadism & temporary azoospermia. • Delayed sexual maturation. • Ovarian failure. • Adverse pregnancy outcomes with increased risk for miscarriage, LBW, prematurity & congenital malformations. • Increased risk of 2nd malignant neoplasms.
  • 56.
    CHEMO: • Congestive heartfailure caused by anthracyclines(DOX)
  • 57.
  • 58.