Ventilatory support
indication  Acute respiratory failure Respiratory pump failure reduce central drive mechanical defect of the chest respiratory muscle fatigue Inefficient gas exchange Reduction in F.R.C Mismatch and shunt Airway protection Support of respiratory system 06/07/09 Dr.husni
ARDS , ALI COPD Bronchial asthma Bronchopleural fistula
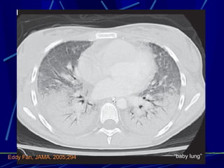
ARDS Acute onset Hypoxia- PaO2/FiO2<200 Bilateral infiltrates on CXR Absence of left atrial hypertension Mortality - 26% to 74%
Eddy Fan, JAMA. 2005;294
“ baby lung” Eddy Fan, JAMA. 2005;294
Ventilation Induced Lung Injury Volutrauma – over distention of alveoli Barotrauma – high inflation pressures Atelectrauma - repetitive opening and closing of alveoli Biotrauma - up-regulated cytokine release Oxygen toxicity
 
Ventilation in ARDS Which mode? How much FiO2? How much PEEP? How much VT? Target? What if refractory ARDS?
Clinical relevant information from key papers over the last decade: optimizing care in ALI/ARDS Solid proof  – restrictive use of sedation – restrictive use of fluids – restrictive use of SG-catheters – use of lower tidal volumes No proof (yet?) – use of high PEEP  – use of corticosteroids Speculative – anticoagulant strategies
How much FiO2? Least FiO2 to achieve Oxygenation goal PaO2 55–80 mm Hg SpO2 88–95% FiO2 > 60% risk of oxygen toxicity.
Restrictive use of fluids  ARDS Network. N EnglJ Med.2006;  354:2564
How much Tidal volume?  ARDS Network   Low tidal volume  -31% (6 mL/kg predicted body weight) Conventional tidal volume -40% (12 mL/kg) Mortality
Use of lower tidal volumes  ARDS Network. N EnglJ Med. 2005;
 
 
 
 
 
PEEP Improves oxygenation by providing movement of fluid from the alveolar to the interstitial space, Prevent cyclical alveolar collapse Recruitment of small airways collapsed alveoli,  Increase in FRC
Open Lung Ventilation (OLV)  Objective - maintenance of adequate oxygenation and avoidance of cyclic opening and closing of alveolar units by selecting a  level of PEEP  that allows the majority of units to remain inflated during tidal ventilation
PEEP…. The lower inflection point on the static pressure–volume curve represents alveolar opening (or “recruitment”).  “ optimal PEEP” - The pressure just above this point, is best for alveolar recruitment  usually 10 to 18 cm H2O
optimal PEEP J J Cordingley, Thorax 2002;57
How much PEEP? Low PEEP(8.3±3.2 cm of water) High PEEP (13.2±3.5 cm) No difference in outcomes if VT- 6ml/kg and Plat. Pressure <30cm N Engl J Med 2004;351
Protective lung ventilation protocol from the ARDSNet study Initial tidal volume  – 6ml/kg Plat. Pressure  <30cm H 2 0 Oxygenation goal  PaO 2  = 55 - 80 mmHg or pulse oximetry oxygen saturation 88–95% I:E ratio  1:1–1:3 Goal arterial pH  = 7.30–7.40  If pH < 7.30, increase respiratory rate up to 35 breaths/min  If pH < 7.30 and respiratory rate = 35, consider starting intravenous bicarbonate
Proven Therapeutic Strategies for ALI/ARDS No solid proof (yet)  ARDS Network. N EnglJ Med.2004;  351:
Refractory hypoxia 1. Neuromuscular blocking agents (if not already in use) 2. Prone position ventilation 3. Recruitment maneuvers 4. Inverse ratio ventilation,  5. Miscellaneous –  nitric oxide,  high-frequency ventilation,  extracorporeal membrane oxygenation, or  partial liquid ventilation
Prone position ventilation Improve oxygenation Better FRC Recruitment of dorsal lung Better clearance of secretion Better ventilation-perfusion matching Potential problems facial oedema, eye damage dislodgment of endotracheal tubes and intravascular catheters Difficulty in resuscitation No differences in clinical outcome
Proven–use of prone position GattinoniL. N EnglJ Med.2001; 345:
 
Sedation Ventilated patients generally require sedation to tolerate both ventilation and the presence of an endotracheal tube. Assessment of sedation + 3 Agitated and restless + 2 Awake and uncomfortable + 1 Aware but calm 0 Roused by voice - 1 Roused by touch - 2 Roused by painful stimuli - 3 Cannot be roused A Natural sleep P Paralysed
Solid proof –restrictive use of sedation  “ daily interruption”shortens duration of MV, also in patients with ALI/ARDS” Kress JP N EnglJ Med.2000;  342:1471
 
Recruitment manoeuvres Sigh function in ventilators By ambu bag Sustained inflation or CPAP of 30-45 cm H 2 0 for 20-120 sec.
Inverse ratio ventilation Prolongation of the inspiratory time as a method of recruitment Pressure control ventilation to increase the I:E ratio to 1:1 or 2:1 hyperinflation and the generation of intrinsic PEEP
Physiotherapy Patients who are intubated cannot clear secretions effectively because of reduced conscious level, poor cough effort, and discomfort. Regular chest physiotherapy and tracheal suction  are essential.
 
Position Regular turning to avoid pressure sores also helps mobilize and  clear secretions.
Pharmacological adjuncts Inhaled nitric oxide may improve oxygenation by dilating  pulmonary vessels passing alongside ventilated alveoli.
The results of blood gas analysis alone are rarely sufficient to determine the need for mechanical ventilation.  Several other factors have to be taken into  consideration:
Degree of respiratory work— Likely normal blood gas tensions for that patient—  Likely course of disease— Adequacy of circulation -
Degree of respiratory work A patient with normal blood gas  tensions who is working to the point of exhaustion is more likely to need ventilating than one with abnormal tensions who is alert, oriented, talking in full sentences, and not working excessively.
Likely normal blood gas tensions for that patient  Some patients  with severe chronic lung disease will lead surprisingly normal lives with blood gas tensions which would suggest the need for ventilation in someone previously fit.
Likely course of disease  If imminent improvement is likely  ventilation can be deferred, although such patients need close observation and frequent blood gas analysis.  Adequacy of circulation—A patient with established or  threatened circulatory failure as well as respiratory failure should be ventilated early in order to gain control of at least one major determinant of tissue oxygen delivery.
Adequacy of circulation  — A patient with established or  threatened circulatory failure as well as respiratory failure should be ventilated early in order to gain control of at least one major determinant of tissue oxygen delivery.
 
Peripheral cyanosis and poor capillary refill indicate failing circulation
 
Indicators of respiratory distress x Tachypnoea, dyspnoea x Sweating x Tachycardia and bounding pulse x Agitation, restlessness, diminished conscious level, unwilling to lie flat x Use of accessory muscles, intercostal recession x Abdominal paradox (abdomen moves inward during inspiration) x Respiratory alternans (thoracic movement then abdominal  movement) x Cyanosis or pallor
Ventilator strategy The choice of ventilatory mode and settings  tidal volume,  respiratory rate, positive end expiratory pressure (PEEP),  ratio of inspiratory to expiratory time depends  on the patient’s illness. Damage to lungs can be exacerbated by mechanical ventilation, possibly because of over distension of alveoli and the repeated opening and collapse of distal airways.
Methods of ventilation No consensus exists on the best method of ventilation.  In volume controlled methods  the ventilator delivers a preset tidal  volume.  The inspiratory pressure depends on the resistance and compliance of the respiratory system.  In pressure controlled ventilation  the delivered pressure is preset. Tidal volume varies according to the resistance and compliance of the respiratory  system.
Pressure controlled ventilation has become popular for severe acute respiratory distress syndrome as part of the lung protective strategy.  As well as limiting peak airway pressure, the distribution of gas may be improved within the lung. Pressure controlled ventilation is often used with a long inspiratory phase (inverse ratio ventilation) to maintain adequate alveolar  recruitment.
Which mode? Volume assist/control commonly used Plateau-pressure goal ≤30 cm of water ARDS Clinical Trials Network
spontaneous Methods of ventilation that allow the patient to breathe spontaneously are thought to be advantageous. Modern ventilators have sensitive triggers and flow patterns that can adapt to the patient’s needs, thus reducing the work of  breathing.
Synchronised intermittent mandatory ventilation  set number of breaths are delivered by the ventilator and the patient can breathe between these breaths. This method is often used during weaning, often with pressure support, by which the ventilator enhances the volume of each spontaneous breath up to a predetermined positive pressure.
Biphasic airway pressure similar to continuous positive airways pressure ventilation but pressure is set at two levels. The ventilator switches between the  levels, thus augmenting alveolar ventilation.
 
 
 
37 years old ,75 kg , had been suffered of car accident , intubated and ventilated , Gcs=7  3days later you have been called for consultation  Ventilator setting
Fio2 = 0.8 Pao2= 60 Paco2=25 What is your differential diagnosis ? What is your final diagnosis.
Ventilator  Mode  ippv cmv Vt  = 750 F  = 12 PEEP = 5 Flow  = 27 lit/min PIP  = 50 Patient = fighting  What is your suggestion ?
Mode of ventilation
Ventilation  Pressure Support Improved alveolar recruitment Reduced shunt and deadspace ventilation Improved venous r eturn Shorter p ostoperative  recovery phase ,  fewer cases of nausea/vomiting Optimal support of breathing and no fighting against the v entilator Spontan eous breathing  equals
Vt
F
PEEP
Flow
PIP
Recruitment
Inspiratory time
Spontaneous + PSV =No fight
Preparation for weaning from the ventilator Ensure x Clear airway x Adequate oxygenation x Adequate carbon dioxide clearance Control of x Precipitating illness x Fever and infection x Pain x Agitation x Depression Optimisation of x Nutritional state x Electrolytes (potassium, phosphate, magnésium) Beware x Excessive carbon dioxide production from overfeeding x Sleep deprivation x Acute left heart failure
 
Obstructive lung disease COPD Asthma
Indications for NIV for  AE-COPD GOLD 2005
Exclusion criteria GOLD 2005
Indications for Invasive Mechanical Ventilation GOLD 2005
Think twice Reversibility of the precipitating event, Patient’s/relative’s wishes, and  Availability of intensive care facilities Failure to wean Mortality among COPD patients with respiratory failure is no greater than mortality among patients ventilated for non-COPD causes GOLD 2005
Post-Intubation hypotension Reduced venous return secondary to positive intrathoracic pressure due to bagging Direct vasodilation and reduced sympathetic tone induced by sedative agents
Mechanical ventilation Avoid overcorrection of respiratory acidosis and life threatening alkalosis. Prolonged expiratory time. I:E – 1:2.5 to 1:3. Low Respiratory Rate- 10-14/mt. Limited tidal volume
PEEP PEEPe beneficial Reduce gas trapping by stenting open the airways Reduce the work to trigger inspiratory flow As PEEPe is applied, tidal volume will increase without an increase in airway pressure until PEEPe exceeds PEEPi
Post extubation NIV Allow early extubation Prevent post extubation respiratory failure
Asthma
NIV in asthma Few trials Trial of NIV over 1–2 hours in an ICU if there are no contraindications
NIV in acute bronchial asthma FEV1<40%, PaCO2 <40mm Hg Conventional medical management Vs BiPAP 15/5 for 3 hours Chest. 2003;123
NIV in asthma…. 80% NIV group increased FEV1 by >50% as compared to baseline, vs 20% of control patients (p < 0.004) alleviate the attack faster, and  significantly reduce the need for hospitalization.
Endotracheal intubation Absolute indications Cardiopulmonary arrest and  Deteriorating consciousness Relative Progressive deterioration, hypercapnia with increasing distress or physical exhaustion
Intubation performed/supervised by experienced anaesthetists or intensivists Use larger endotracheal tube
•  FiO 2   = 1.0 (initially) •  Long expiratory time  (I:E ratio >1:2) •  Low tidal volume  5–7 ml/kg •  Low ventilator rate  (8–10 breaths/min) •  Set  inspiratory pressure  30–35 cm H2O on pressure control ventilation or limit peak inspiratory pressure to <40 cm H2O •  Minimal PEEP  <5 cm H2O
Aerosol delivery Metered dose inhaler (MDI) system •  Spacer or holding chamber •  Location in inspiratory limb rather than Y piece •  No humidification (briefly discontinue) •  Actuate during lung inflation •  Large endotracheal tube internal diameter •  Prolonged inspiratory time
Jet nebuliser system •  Mount nebuliser in inspiratory limb •  Consider continuous nebulisation •  Increase inspiratory time and decrease respiratory rate •  Use a spacer •  Stop humidification •  Delivery may be improved by inspiratory triggering
Ventilator strategies in Bronchopleural fistula
Air escaping through the BPF delays healing of the fistulous track significant loss of tidal volume, jeopardizing the minute ventilation and oxygenation
Measures to reduce  air-leak Limit the amount of PEEP  Limit the effective tidal volume, Shorten inspiratory time,  Reduce  respiratory rate. Use of double-lumen intubation with differential lung ventilation,
Chest tube To add positive intrapleural pressure during the expiratory phase to maintain PEEP Occlusion during the inspiratory phase to decrease BPF flow
High-frequency ventilation (HFV) Useful in patients with normal lung parenchyma and proximal BPF Limited value in patients with distal disease and parenchymal disease.

Ventilatory support

  • 1.
  • 2.
    indication Acuterespiratory failure Respiratory pump failure reduce central drive mechanical defect of the chest respiratory muscle fatigue Inefficient gas exchange Reduction in F.R.C Mismatch and shunt Airway protection Support of respiratory system 06/07/09 Dr.husni
  • 3.
    ARDS , ALICOPD Bronchial asthma Bronchopleural fistula
  • 4.
    ARDS Acute onsetHypoxia- PaO2/FiO2<200 Bilateral infiltrates on CXR Absence of left atrial hypertension Mortality - 26% to 74%
  • 5.
  • 6.
    “ baby lung”Eddy Fan, JAMA. 2005;294
  • 7.
    Ventilation Induced LungInjury Volutrauma – over distention of alveoli Barotrauma – high inflation pressures Atelectrauma - repetitive opening and closing of alveoli Biotrauma - up-regulated cytokine release Oxygen toxicity
  • 8.
  • 9.
    Ventilation in ARDSWhich mode? How much FiO2? How much PEEP? How much VT? Target? What if refractory ARDS?
  • 10.
    Clinical relevant informationfrom key papers over the last decade: optimizing care in ALI/ARDS Solid proof – restrictive use of sedation – restrictive use of fluids – restrictive use of SG-catheters – use of lower tidal volumes No proof (yet?) – use of high PEEP – use of corticosteroids Speculative – anticoagulant strategies
  • 11.
    How much FiO2?Least FiO2 to achieve Oxygenation goal PaO2 55–80 mm Hg SpO2 88–95% FiO2 > 60% risk of oxygen toxicity.
  • 12.
    Restrictive use offluids ARDS Network. N EnglJ Med.2006; 354:2564
  • 13.
    How much Tidalvolume? ARDS Network Low tidal volume -31% (6 mL/kg predicted body weight) Conventional tidal volume -40% (12 mL/kg) Mortality
  • 14.
    Use of lowertidal volumes ARDS Network. N EnglJ Med. 2005;
  • 15.
  • 16.
  • 17.
  • 18.
  • 19.
  • 20.
    PEEP Improves oxygenationby providing movement of fluid from the alveolar to the interstitial space, Prevent cyclical alveolar collapse Recruitment of small airways collapsed alveoli, Increase in FRC
  • 21.
    Open Lung Ventilation(OLV) Objective - maintenance of adequate oxygenation and avoidance of cyclic opening and closing of alveolar units by selecting a level of PEEP that allows the majority of units to remain inflated during tidal ventilation
  • 22.
    PEEP…. The lowerinflection point on the static pressure–volume curve represents alveolar opening (or “recruitment”). “ optimal PEEP” - The pressure just above this point, is best for alveolar recruitment usually 10 to 18 cm H2O
  • 23.
    optimal PEEP JJ Cordingley, Thorax 2002;57
  • 24.
    How much PEEP?Low PEEP(8.3±3.2 cm of water) High PEEP (13.2±3.5 cm) No difference in outcomes if VT- 6ml/kg and Plat. Pressure <30cm N Engl J Med 2004;351
  • 25.
    Protective lung ventilationprotocol from the ARDSNet study Initial tidal volume – 6ml/kg Plat. Pressure <30cm H 2 0 Oxygenation goal PaO 2 = 55 - 80 mmHg or pulse oximetry oxygen saturation 88–95% I:E ratio 1:1–1:3 Goal arterial pH = 7.30–7.40  If pH < 7.30, increase respiratory rate up to 35 breaths/min  If pH < 7.30 and respiratory rate = 35, consider starting intravenous bicarbonate
  • 26.
    Proven Therapeutic Strategiesfor ALI/ARDS No solid proof (yet) ARDS Network. N EnglJ Med.2004; 351:
  • 27.
    Refractory hypoxia 1.Neuromuscular blocking agents (if not already in use) 2. Prone position ventilation 3. Recruitment maneuvers 4. Inverse ratio ventilation, 5. Miscellaneous – nitric oxide, high-frequency ventilation, extracorporeal membrane oxygenation, or partial liquid ventilation
  • 28.
    Prone position ventilationImprove oxygenation Better FRC Recruitment of dorsal lung Better clearance of secretion Better ventilation-perfusion matching Potential problems facial oedema, eye damage dislodgment of endotracheal tubes and intravascular catheters Difficulty in resuscitation No differences in clinical outcome
  • 29.
    Proven–use of proneposition GattinoniL. N EnglJ Med.2001; 345:
  • 30.
  • 31.
    Sedation Ventilated patientsgenerally require sedation to tolerate both ventilation and the presence of an endotracheal tube. Assessment of sedation + 3 Agitated and restless + 2 Awake and uncomfortable + 1 Aware but calm 0 Roused by voice - 1 Roused by touch - 2 Roused by painful stimuli - 3 Cannot be roused A Natural sleep P Paralysed
  • 32.
    Solid proof –restrictiveuse of sedation “ daily interruption”shortens duration of MV, also in patients with ALI/ARDS” Kress JP N EnglJ Med.2000; 342:1471
  • 33.
  • 34.
    Recruitment manoeuvres Sighfunction in ventilators By ambu bag Sustained inflation or CPAP of 30-45 cm H 2 0 for 20-120 sec.
  • 35.
    Inverse ratio ventilationProlongation of the inspiratory time as a method of recruitment Pressure control ventilation to increase the I:E ratio to 1:1 or 2:1 hyperinflation and the generation of intrinsic PEEP
  • 36.
    Physiotherapy Patients whoare intubated cannot clear secretions effectively because of reduced conscious level, poor cough effort, and discomfort. Regular chest physiotherapy and tracheal suction are essential.
  • 37.
  • 38.
    Position Regular turningto avoid pressure sores also helps mobilize and clear secretions.
  • 39.
    Pharmacological adjuncts Inhalednitric oxide may improve oxygenation by dilating pulmonary vessels passing alongside ventilated alveoli.
  • 40.
    The results ofblood gas analysis alone are rarely sufficient to determine the need for mechanical ventilation. Several other factors have to be taken into consideration:
  • 41.
    Degree of respiratorywork— Likely normal blood gas tensions for that patient— Likely course of disease— Adequacy of circulation -
  • 42.
    Degree of respiratorywork A patient with normal blood gas tensions who is working to the point of exhaustion is more likely to need ventilating than one with abnormal tensions who is alert, oriented, talking in full sentences, and not working excessively.
  • 43.
    Likely normal bloodgas tensions for that patient Some patients with severe chronic lung disease will lead surprisingly normal lives with blood gas tensions which would suggest the need for ventilation in someone previously fit.
  • 44.
    Likely course ofdisease If imminent improvement is likely ventilation can be deferred, although such patients need close observation and frequent blood gas analysis. Adequacy of circulation—A patient with established or threatened circulatory failure as well as respiratory failure should be ventilated early in order to gain control of at least one major determinant of tissue oxygen delivery.
  • 45.
    Adequacy of circulation — A patient with established or threatened circulatory failure as well as respiratory failure should be ventilated early in order to gain control of at least one major determinant of tissue oxygen delivery.
  • 46.
  • 47.
    Peripheral cyanosis andpoor capillary refill indicate failing circulation
  • 48.
  • 49.
    Indicators of respiratorydistress x Tachypnoea, dyspnoea x Sweating x Tachycardia and bounding pulse x Agitation, restlessness, diminished conscious level, unwilling to lie flat x Use of accessory muscles, intercostal recession x Abdominal paradox (abdomen moves inward during inspiration) x Respiratory alternans (thoracic movement then abdominal movement) x Cyanosis or pallor
  • 50.
    Ventilator strategy Thechoice of ventilatory mode and settings tidal volume, respiratory rate, positive end expiratory pressure (PEEP), ratio of inspiratory to expiratory time depends on the patient’s illness. Damage to lungs can be exacerbated by mechanical ventilation, possibly because of over distension of alveoli and the repeated opening and collapse of distal airways.
  • 51.
    Methods of ventilationNo consensus exists on the best method of ventilation. In volume controlled methods the ventilator delivers a preset tidal volume. The inspiratory pressure depends on the resistance and compliance of the respiratory system. In pressure controlled ventilation the delivered pressure is preset. Tidal volume varies according to the resistance and compliance of the respiratory system.
  • 52.
    Pressure controlled ventilationhas become popular for severe acute respiratory distress syndrome as part of the lung protective strategy. As well as limiting peak airway pressure, the distribution of gas may be improved within the lung. Pressure controlled ventilation is often used with a long inspiratory phase (inverse ratio ventilation) to maintain adequate alveolar recruitment.
  • 53.
    Which mode? Volumeassist/control commonly used Plateau-pressure goal ≤30 cm of water ARDS Clinical Trials Network
  • 54.
    spontaneous Methods ofventilation that allow the patient to breathe spontaneously are thought to be advantageous. Modern ventilators have sensitive triggers and flow patterns that can adapt to the patient’s needs, thus reducing the work of breathing.
  • 55.
    Synchronised intermittent mandatoryventilation set number of breaths are delivered by the ventilator and the patient can breathe between these breaths. This method is often used during weaning, often with pressure support, by which the ventilator enhances the volume of each spontaneous breath up to a predetermined positive pressure.
  • 56.
    Biphasic airway pressuresimilar to continuous positive airways pressure ventilation but pressure is set at two levels. The ventilator switches between the levels, thus augmenting alveolar ventilation.
  • 57.
  • 58.
  • 59.
  • 60.
    37 years old,75 kg , had been suffered of car accident , intubated and ventilated , Gcs=7 3days later you have been called for consultation Ventilator setting
  • 61.
    Fio2 = 0.8Pao2= 60 Paco2=25 What is your differential diagnosis ? What is your final diagnosis.
  • 62.
    Ventilator Mode ippv cmv Vt = 750 F = 12 PEEP = 5 Flow = 27 lit/min PIP = 50 Patient = fighting What is your suggestion ?
  • 63.
  • 64.
    Ventilation PressureSupport Improved alveolar recruitment Reduced shunt and deadspace ventilation Improved venous r eturn Shorter p ostoperative recovery phase , fewer cases of nausea/vomiting Optimal support of breathing and no fighting against the v entilator Spontan eous breathing equals
  • 65.
  • 66.
  • 67.
  • 68.
  • 69.
  • 70.
  • 71.
  • 72.
  • 73.
    Preparation for weaningfrom the ventilator Ensure x Clear airway x Adequate oxygenation x Adequate carbon dioxide clearance Control of x Precipitating illness x Fever and infection x Pain x Agitation x Depression Optimisation of x Nutritional state x Electrolytes (potassium, phosphate, magnésium) Beware x Excessive carbon dioxide production from overfeeding x Sleep deprivation x Acute left heart failure
  • 74.
  • 75.
  • 76.
    Indications for NIVfor AE-COPD GOLD 2005
  • 77.
  • 78.
    Indications for InvasiveMechanical Ventilation GOLD 2005
  • 79.
    Think twice Reversibilityof the precipitating event, Patient’s/relative’s wishes, and Availability of intensive care facilities Failure to wean Mortality among COPD patients with respiratory failure is no greater than mortality among patients ventilated for non-COPD causes GOLD 2005
  • 80.
    Post-Intubation hypotension Reducedvenous return secondary to positive intrathoracic pressure due to bagging Direct vasodilation and reduced sympathetic tone induced by sedative agents
  • 81.
    Mechanical ventilation Avoidovercorrection of respiratory acidosis and life threatening alkalosis. Prolonged expiratory time. I:E – 1:2.5 to 1:3. Low Respiratory Rate- 10-14/mt. Limited tidal volume
  • 82.
    PEEP PEEPe beneficialReduce gas trapping by stenting open the airways Reduce the work to trigger inspiratory flow As PEEPe is applied, tidal volume will increase without an increase in airway pressure until PEEPe exceeds PEEPi
  • 83.
    Post extubation NIVAllow early extubation Prevent post extubation respiratory failure
  • 84.
  • 85.
    NIV in asthmaFew trials Trial of NIV over 1–2 hours in an ICU if there are no contraindications
  • 86.
    NIV in acutebronchial asthma FEV1<40%, PaCO2 <40mm Hg Conventional medical management Vs BiPAP 15/5 for 3 hours Chest. 2003;123
  • 87.
    NIV in asthma….80% NIV group increased FEV1 by >50% as compared to baseline, vs 20% of control patients (p < 0.004) alleviate the attack faster, and significantly reduce the need for hospitalization.
  • 88.
    Endotracheal intubation Absoluteindications Cardiopulmonary arrest and Deteriorating consciousness Relative Progressive deterioration, hypercapnia with increasing distress or physical exhaustion
  • 89.
    Intubation performed/supervised byexperienced anaesthetists or intensivists Use larger endotracheal tube
  • 90.
    • FiO2 = 1.0 (initially) • Long expiratory time (I:E ratio >1:2) • Low tidal volume 5–7 ml/kg • Low ventilator rate (8–10 breaths/min) • Set inspiratory pressure 30–35 cm H2O on pressure control ventilation or limit peak inspiratory pressure to <40 cm H2O • Minimal PEEP <5 cm H2O
  • 91.
    Aerosol delivery Metereddose inhaler (MDI) system • Spacer or holding chamber • Location in inspiratory limb rather than Y piece • No humidification (briefly discontinue) • Actuate during lung inflation • Large endotracheal tube internal diameter • Prolonged inspiratory time
  • 92.
    Jet nebuliser system• Mount nebuliser in inspiratory limb • Consider continuous nebulisation • Increase inspiratory time and decrease respiratory rate • Use a spacer • Stop humidification • Delivery may be improved by inspiratory triggering
  • 93.
    Ventilator strategies inBronchopleural fistula
  • 94.
    Air escaping throughthe BPF delays healing of the fistulous track significant loss of tidal volume, jeopardizing the minute ventilation and oxygenation
  • 95.
    Measures to reduce air-leak Limit the amount of PEEP Limit the effective tidal volume, Shorten inspiratory time, Reduce respiratory rate. Use of double-lumen intubation with differential lung ventilation,
  • 96.
    Chest tube Toadd positive intrapleural pressure during the expiratory phase to maintain PEEP Occlusion during the inspiratory phase to decrease BPF flow
  • 97.
    High-frequency ventilation (HFV)Useful in patients with normal lung parenchyma and proximal BPF Limited value in patients with distal disease and parenchymal disease.

Editor's Notes