The Urinary System
Department of
histology, cytology and
embryology
Kharkiv National
Medical University
Ukraine 2012
Lecture
for medical students
System Integration
food, water intake oxygen intake
elimination
of carbon
dioxide
Digestive System Respiratory System
Circulatory System
Urinary System
elimination of
excess water
salts, wastes
rapid transport
to and from all
living cells
elimination
of food
residues
nutrients,
water,
salts
carbon
dioxide
water
solutes
oxygen
The Urinary System
• Paired kidneys
• A ureter for
each kidney
• Urinary bladder
• Urethra
• ureters – muscular tubes connecting
renal pelvis to urinary bladder
• urinary bladder – distensible reservoir;
receives bilateral ureters and empties
via midline urethra
smooth muscle forms detrussor
muscle; specialized distally as
internal urethral sphincter
RENAL PARENCHYMA
• RENAL PYRAMIDS
–EXTENSIONS OF CORTEX (RENAL
COLUMNS) DIVIDE MEDULLA INTO 6 – 10
RENAL PYRAMIDS
–PYRAMID + OVERLYING CORTEX = LOBE
–POINT OF PYRAMID = PAPILLA
–PAPILLA NESTED IN CUP (MINOR CALYX)
–2 – 3 MINOR CALICES  MAJOR CALYX
–2 – 3 MAJOR CALICES  RENAL PELVIS
–RENAL PELVIS  URETER
KIDNEY FUNCTIONS
• FILTER BLOOD PLASMA, ELIMINATE WASTES
• REGULATE BLOOD VOLUME, PRESSURE
• REGULATE FLUID OSMOLARITY
• SECRETE RENIN
• SECRETE ERYTHROPOIETIN (EPO)
• REGULATE PCO2, ACID-BASE BALANCE
• SYNTHESIZE CALCITROL (VITAMIN D)
• DETOXIFY FREE RADICALS, DRUGS
• GLUCONEOGENESIS
Kidney Functions
• Regulation of blood ionic composition
• Regulation of blood pH
• Regulation of blood volume
• Regulation of blood pressure
• Maintenance of blood osmolarity
• Production of hormones
• Regulation of blood glucose levels
• Excretion of waste and foreign substances
Urinary System Function
• Removal of toxic waste products
• Regulation of blood volume
• Regulation of electrolyte balance
• Regulation of acid-base balance
• Regulation of fluids/electrolytes in
tissue fluid
• Production of erythropoietin*
9
Cortex
NEPHRONS
• FUNCTIONAL UNITS OF KIDNEY
• ~1.2 MILLION PER KIDNEY
• THREE MAIN PARTS
–BLOOD VESSELS
–RENAL CORPUSCLE
–RENAL TUBULE
Nephron – functional unit of kidney
RENAL CORPUSCLE
• GLOMERULUS PLUS CAPSULE
• GLOMERULUS ENCLOSED IN TWO-
LAYERED GLOMERULAR CAPSULE
–“BOWMAN’S CAPSULE”
• FLUID FILTERS FROM GLOMERULAR
CAPILLARIES
–“GLOMERULAR FILTRATE”
• FLUID COLLECTS IN CAPSULAR SPACE
• FLUID FLOWS INTO RENAL TUBULE
RENAL TUBULE
• LEADS FROM GLOMERULAR CAPSULE
• ENDS AT TIP OF MEDULLARY PYRAMID
• ~3 CM LONG
• FOUR MAJOR REGIONS
–PROXIMAL CONVOLUTED TUBULE
–NEPHRON LOOP
–DISTAL CONVOLUTED TUBULE
–COLLECTING DUCT
URINE FORMATION
OVERVIEW
• BLOOD PLASMA  URINE
• FOUR STEPS
–GLOMERULAR FILTRATION
–TUBULAR REABSORPTION
–TUBULAR SECRETION
–WATER CONSERVATION
Renal Corpuscle
histology of urinary system 19
RENAL CORPUSCLE
III. Renal Corpuscle
Secondary processes interdigitate around glomerular
capillaries. The narrow space between processes is
the filtration slit.
Glomerulus & Podocyte
Structure
• consists of (1) glomerulus and (2) Bowman’s capsule
– glomerulus – tufts of capillaries; fed by afferent arteriole
and drains to efferent arteriole
– Bowman’s capsule – double-walled (visceral and
parietal) epithelial capsule
– ~ 200 micrometers diameter
– urinary pole – leads to proximal convoluted tubule;
route of filtrate
– vascular pole – site of afferent (incoming) and efferent
(outgoing) arterioles supplying glomerulus
Renal Corpuscle – site of filtration
EM structure of Glomerular Filtration Barrier
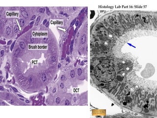
Proximal tubule cells
Structure
tubules formed by simple cuboidal epithelia
apical surface covered with microvilli creating LM
brush border
- increase surface area for ion absorption
 cells tightly bound to one another to seal off
intercellular space from lumen
- tight junctions and zonula adherens apically;
interdigitating plicae (folds) laterally
interdigitating basal processes contain numerous
mitochondria; creates LM basal striations; associated
with ion transport
Proximal convoluted tubule
• located within cortex
• approximately 1/3 as long as proximal
• contacts renal corpuscle at macula densa
to form juxtaglomerular apparatus
(below)
• morphology similar to straight portion
• function: ion exchange
Distal convoluted tubule
Distal convoluted (shorter)
Medulla
The thin limb of the loop of Henle
Histologically the ascending thick limb & the distal
convoluted tubules are the same
Collecting tubules
Collecting duct
Thin limbs of the loop of Henle
Cortical and Juxtamedullary Nephrons
38histology of urinary system
Nephrons
Juxtaglomerular Apparatus
Juxtaglomerular apparatus
Juxtaglomerular apparatus
Ansa(loop)of Henle
Comparison of the tubule
• Start in cortex and descend through medulla
• as ducts coalesce and increase in size, cells of tubes
change from somewhat squamous to cuboidal to
columnar
• terminate at tip of renal pyramid where urine
enters into minor calyx
• distinguishable cell margins
• central nuclei with poorly staining cytoplasm
• At EM level many possess single cilium and sparse
microvilli
Collecting tubules / ducts
Histological structure of calyces, renal pelvis, ureter and
urinary bladder broadly similar
mucosa – lined by transitional epithelium over connect
tissue lamina propria
transitional epithelium – impermeable to water and
salts; distendable
lamina propria- dense irregular collagen fibers
muscularis – smooth muscle layer
bi-laminar: inner longitudinal and outer circular;
produce peristalsis
adventitia / serosa – connective tissue coat with or
without mesothelial covering
Ureter / Bladder
Ureter
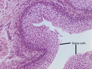
Transitional epithelia changes depending
on how full the urinary bladder is
Dome cells
• fibromuscular tube connecting bladder to external
urethral orifice
• sexually dimorphic
males – terminal duct for both urinary and genital
systems
females – urinary system only
• lining – in both sexes grades from transitional
epithelium adjacent to bladder to stratified
squamous at orifice
males have stratified columnar or pseudostratified
columnar in middle portion
Urethra
Urinary system
Urinary system

Urinary system

  • 1.
    The Urinary System Departmentof histology, cytology and embryology Kharkiv National Medical University Ukraine 2012 Lecture for medical students
  • 2.
    System Integration food, waterintake oxygen intake elimination of carbon dioxide Digestive System Respiratory System Circulatory System Urinary System elimination of excess water salts, wastes rapid transport to and from all living cells elimination of food residues nutrients, water, salts carbon dioxide water solutes oxygen
  • 3.
    The Urinary System •Paired kidneys • A ureter for each kidney • Urinary bladder • Urethra
  • 4.
    • ureters –muscular tubes connecting renal pelvis to urinary bladder • urinary bladder – distensible reservoir; receives bilateral ureters and empties via midline urethra smooth muscle forms detrussor muscle; specialized distally as internal urethral sphincter
  • 5.
    RENAL PARENCHYMA • RENALPYRAMIDS –EXTENSIONS OF CORTEX (RENAL COLUMNS) DIVIDE MEDULLA INTO 6 – 10 RENAL PYRAMIDS –PYRAMID + OVERLYING CORTEX = LOBE –POINT OF PYRAMID = PAPILLA –PAPILLA NESTED IN CUP (MINOR CALYX) –2 – 3 MINOR CALICES  MAJOR CALYX –2 – 3 MAJOR CALICES  RENAL PELVIS –RENAL PELVIS  URETER
  • 6.
    KIDNEY FUNCTIONS • FILTERBLOOD PLASMA, ELIMINATE WASTES • REGULATE BLOOD VOLUME, PRESSURE • REGULATE FLUID OSMOLARITY • SECRETE RENIN • SECRETE ERYTHROPOIETIN (EPO) • REGULATE PCO2, ACID-BASE BALANCE • SYNTHESIZE CALCITROL (VITAMIN D) • DETOXIFY FREE RADICALS, DRUGS • GLUCONEOGENESIS
  • 7.
    Kidney Functions • Regulationof blood ionic composition • Regulation of blood pH • Regulation of blood volume • Regulation of blood pressure • Maintenance of blood osmolarity • Production of hormones • Regulation of blood glucose levels • Excretion of waste and foreign substances
  • 8.
    Urinary System Function •Removal of toxic waste products • Regulation of blood volume • Regulation of electrolyte balance • Regulation of acid-base balance • Regulation of fluids/electrolytes in tissue fluid • Production of erythropoietin*
  • 9.
  • 10.
  • 11.
    NEPHRONS • FUNCTIONAL UNITSOF KIDNEY • ~1.2 MILLION PER KIDNEY • THREE MAIN PARTS –BLOOD VESSELS –RENAL CORPUSCLE –RENAL TUBULE
  • 12.
    Nephron – functionalunit of kidney
  • 13.
    RENAL CORPUSCLE • GLOMERULUSPLUS CAPSULE • GLOMERULUS ENCLOSED IN TWO- LAYERED GLOMERULAR CAPSULE –“BOWMAN’S CAPSULE” • FLUID FILTERS FROM GLOMERULAR CAPILLARIES –“GLOMERULAR FILTRATE” • FLUID COLLECTS IN CAPSULAR SPACE • FLUID FLOWS INTO RENAL TUBULE
  • 14.
    RENAL TUBULE • LEADSFROM GLOMERULAR CAPSULE • ENDS AT TIP OF MEDULLARY PYRAMID • ~3 CM LONG • FOUR MAJOR REGIONS –PROXIMAL CONVOLUTED TUBULE –NEPHRON LOOP –DISTAL CONVOLUTED TUBULE –COLLECTING DUCT
  • 15.
    URINE FORMATION OVERVIEW • BLOODPLASMA  URINE • FOUR STEPS –GLOMERULAR FILTRATION –TUBULAR REABSORPTION –TUBULAR SECRETION –WATER CONSERVATION
  • 18.
  • 19.
    histology of urinarysystem 19 RENAL CORPUSCLE
  • 20.
    III. Renal Corpuscle Secondaryprocesses interdigitate around glomerular capillaries. The narrow space between processes is the filtration slit.
  • 21.
  • 22.
    Structure • consists of(1) glomerulus and (2) Bowman’s capsule – glomerulus – tufts of capillaries; fed by afferent arteriole and drains to efferent arteriole – Bowman’s capsule – double-walled (visceral and parietal) epithelial capsule – ~ 200 micrometers diameter – urinary pole – leads to proximal convoluted tubule; route of filtrate – vascular pole – site of afferent (incoming) and efferent (outgoing) arterioles supplying glomerulus Renal Corpuscle – site of filtration
  • 24.
    EM structure ofGlomerular Filtration Barrier
  • 25.
  • 26.
    Structure tubules formed bysimple cuboidal epithelia apical surface covered with microvilli creating LM brush border - increase surface area for ion absorption  cells tightly bound to one another to seal off intercellular space from lumen - tight junctions and zonula adherens apically; interdigitating plicae (folds) laterally interdigitating basal processes contain numerous mitochondria; creates LM basal striations; associated with ion transport Proximal convoluted tubule
  • 28.
    • located withincortex • approximately 1/3 as long as proximal • contacts renal corpuscle at macula densa to form juxtaglomerular apparatus (below) • morphology similar to straight portion • function: ion exchange Distal convoluted tubule
  • 29.
  • 31.
  • 32.
    The thin limbof the loop of Henle
  • 33.
    Histologically the ascendingthick limb & the distal convoluted tubules are the same
  • 34.
  • 35.
  • 36.
    Thin limbs ofthe loop of Henle
  • 37.
  • 38.
    38histology of urinarysystem Nephrons
  • 40.
  • 41.
  • 42.
  • 43.
  • 44.
  • 45.
    • Start incortex and descend through medulla • as ducts coalesce and increase in size, cells of tubes change from somewhat squamous to cuboidal to columnar • terminate at tip of renal pyramid where urine enters into minor calyx • distinguishable cell margins • central nuclei with poorly staining cytoplasm • At EM level many possess single cilium and sparse microvilli Collecting tubules / ducts
  • 46.
    Histological structure ofcalyces, renal pelvis, ureter and urinary bladder broadly similar mucosa – lined by transitional epithelium over connect tissue lamina propria transitional epithelium – impermeable to water and salts; distendable lamina propria- dense irregular collagen fibers muscularis – smooth muscle layer bi-laminar: inner longitudinal and outer circular; produce peristalsis adventitia / serosa – connective tissue coat with or without mesothelial covering Ureter / Bladder
  • 47.
  • 50.
    Transitional epithelia changesdepending on how full the urinary bladder is
  • 51.
  • 52.
    • fibromuscular tubeconnecting bladder to external urethral orifice • sexually dimorphic males – terminal duct for both urinary and genital systems females – urinary system only • lining – in both sexes grades from transitional epithelium adjacent to bladder to stratified squamous at orifice males have stratified columnar or pseudostratified columnar in middle portion Urethra

Editor's Notes

  • #3 Main Idea of This Slide – Significance of Urinary system