Thoracic injury
Dr Gokul Nachiketh G
DNB gen sug
• Thoracic injury accounts for 25% of all injuries.
• In a further 25%, It may be a significant
contributor to the subsequent death of the
patient.
• In most of these patients, the cause of death
is haemorrhage.
Clinical indicators of bleeding
•
•
•
•

Physiological
Increasing respiratory rate
Increasing pulse rate
Falling blood pressure
Rising serum lactate
Anatomical
Visible bleeding
Injury in close proximity to major vessels
Penetrating injury with a retained weapon
• About 80% of patients with chest injury can be
managed non-operatively,
• and the key is early physiological
resuscitation followed by diagnosis.
investigation
• Routine investigation in the emergency
department of injury to the chest is based on
clinical examination, supplemented by chest
radiography
• In the unstable patient, chest radiography is
the investigation of first choice, provided that
it does not interfere with resuscitation
• Ultrasound can be used to differentiate
between contusion and the actual presence of
blood.
• A chest tube can be a diagnostic procedure as
well as a therapeutic one
pitfalls of investigation are:
• failure to auscultate both front and back
(an inflated lung will‘float’ on a haemothorax, so
auscultation from the front may sound normal
• failure to check whether the trachea is central
• failure to pass a nasogastric tube if rupture of the
diaphragm is suspected
• pursuing radiological investigation (radiography or
CT scan)before, or instead of, resuscitation if the
patient is haemodynamicallyunstable.
Computerised tomography scan
• has become the principal and most reliable
examination for major injury in thoracic
trauma.
• In blunt chest trauma the CT scan will allow
the definition of rib and vertebral fractures, as
haematomas,
• pneumothoraces and
pulmonary contusion
Management
• Penetrating injury managed with appropriate
resuscitation and drainage of haematoma.
• sucking chest wound is present, this should
not be fully closed but should be covered with
a piece of plastic, closed on three sides, to
form a one-way valve, and then an
underwater drain should .be placed
• In blunt injury most bleeding occurs from the
intercostal or internal mammary vessels and it
is relatively rare for these to require surgery
• Life-threatening injuries can be remembered
as the dozen. Six are immediately lifethreatening and should be soughtduring the
primary survey and six are potentially life
threatening and should be detected during
the secondary survey
Immediately life threatening
•
•
•
•
•
•

Airway obstruction
Tension pneumothorax
Pericardial tamponade
Open pneumothorax
Massive haemothorax
Flail chest
Potentially life threatening
•
•
•
•
•
•

Aortic injuries
Tracheo bronchial injuries
Myocardial contusion
Rupture of diaphram
Oesophageal injuries
Pulmonary contusion
Airway obstruction
• Early preventable trauma deaths are often due to lack
of or delay in airway control.
• Dentures, teeth, secretions and blood causes airway
obstructions
• Bilateral mandibular fracture,
• expanding neck haematomas producing deviation of
the pharynx and
• mechanical compression of the trachea,
• laryngealtrauma such as thyroid or cricoid fractures
and
• tracheal injury are other causes of airway obstruction.
• Early intubation is very important,
• particularly in cases of neck haematoma or
possible airway oedema.
Tension pneumothorax
• develops when a ‘one-way valve’ airleak
occurs either from the lung or through the
chest wall.
• collapsing the affected lung.
• The mediastinum is displaced to the opposite
side,
• decreasing venous return and
• compressing the opposite lung.
most common causes are
• penetrating chest trauma,
• blunt chest trauma with parenchymal lung
injury and
• air leak that did not spontaneously close,
• iatrogenic lung punctures (e.g. due to
subclavian central venepuncture) and
• mechanical positivepressure ventilation
clinical presentation is dramatic
• The patient is panicky
• with tachypnoea, dyspnoea and distended
neck veins (similar to pericardial tamponade).
• Clinical examination can reveal tracheal
deviation (a late finding – not necessary to
clinically confirm diagnosis),
• hyperresonance and absent breath sounds
over the affected hemithorax.
• Tension pneumothorax is a clinical diagnosis
• and treatment should not be delayed by
waiting for radiological confirmation.
treatment
rapid insertion of a large-bore needle into the
second intercostal space in the mid-clavicular
line of the affected hemithorax.
This is immediately followed by insertion of a
chest tube through the fifth intercostal space
in the anterior axillary line.
Pericardial tamponade
• must be differentiated from tension pneumo
thorax in the shocked patient with distended
neck veins.
• most commonly the result of penetrating
trauma.
• Accumulation of a relatively small amount of
blood into the non-distensible pericardial sac
can produce physiological obstruction of the
heart.
• All patients with penetrating injury anywhere
near the heart plus shock must be considered
to have cardiac injury until proven otherwise
Pericardial tamponade
Clinical presentation
• venous pressure elevation,
• decline in arterial pressure with tachycardia,
and
• Muffled heart sounds
• In cases in which major bleeding from other
sites has taken place, the neck veins may be
flat.
treatment
• The correct immediate treatment of tamponade
is operative (sternotomy or left thoracotomy),
with repair of the heart in the operating theatre
if time allows or otherwise in the emergency
room.
• Pericardiocentesis has a high potential
foriatrogenic injury to the heart and it should at
the most beregarded as a desperate temporising
measure in a transport situation
• [under electrocardiogram (ECG) control].
Pitfalls of pericardial
tamponade
• neck veins may be flat if the patient has bled
substantially from elsewhere and is therefore in
volume collapse;
• the central venous pressure may not be elevated if the
circulating volume is depleted, e.g. because of other
injuries;
• pericardiocentesis is a temporising measure only with
a high complication rate and is not a substitute for
immediate operative intervention – it proves only that
there is a ‘clot’on bothends of the needle!
Open pneumothorax (‘sucking chest
wound’)
• large open defect in the chest (> 3 cm)
• leading to equilibration between intrathoracic
and atmospheric pressure.
• Air accumulates in the hemithorax (rather
than in the lung) with each inspiration, leading
to profound hypoventilation on the affected
side and hypoxia.
• promptly closing the defect with a sterile
occlusive plastic dressing (e.g. Opsite), taped
onthree sides to act as a flutter-type valve.
• A chest tube is inserted as soon as possible in
a site remote from the injury site.
• Definitive treatment may warrant formal
debridement and closure, preferably in the
operating room
• if the lung does not reinflate, the drain should
be placed on low-pressure (5 cm water)
suction;
• physiotherapy and active mobilisation should
begin as soon as possible.

Opsite
Massive haemothorax
• The most common cause of massive
haemothorax in blunt injury is continuing
bleeding from torn intercostal vessels or
occasionally the internal mammary artery
• Accumulation of blood in a hemithorax can
significantly compromise respiratory efforts
by compressing the lung and preventing
adequate ventilation
• presents as haemorrhagic shock with flat neck
veins, unilateral absence of breath sounds and
dullness to percussion.
• The treatment consists of correcting the
hypovolaemic shock,insertion of an intercostal
drain and, in some cases, intubation.
Indication for thoracotomy
• Initial drainage of more than 1500 ml of blood
or
• on-going haemorrhage of more than 200 ml
per hr over 3–4 hours is generally considered
an indication for urgent thoracotomy.
Flail chest
• usually results from blunt trauma associated
with multiple rib fractures,
• three or more ribs fractured in two or more
places
• The diagnosis is made clinically, not by
radiography.
• On inspiration the loose segment of the chest
wall is displaced inwards
• Traditionally, treatment consisted of
mechanical ventilation to ‘internally splint’ the
chest until fibrous union of the broken ribs
occurred.
• The price for this was considerable in terms
of intensive care unit resources and
ventilation-dependent morbidity
• Currently, treatment consists of oxygen
administration, adequate analgesia (including
opiates) and physiotherapy.
• If a chest tube is in situ, intrapleural local
analgesia can be used as well.
• Ventelation is reserved for cases developing
respiratory failure despite adequate analgesia
and oxygen
• Surgery to stabilise the flail chest is currently
in use again;
• it may be useful in a selected group with
• isolated or severe chest injury and pulmonary
contusion who have been shown to benefit
from internal operative fixation of the flail
segment.
Potentially life-threatening injuries
• Thoracic aortic disruption
• Traumatic aortic rupture is a common cause
of sudden death after an automobile collision
or fall from a great height.
The vessel is relatively fixed distal to the
ligamentum arteriosum, just distal to the
origin of the left subclavian artery. The shear
forces from a sudden impact disrupt the
intima and media.
• It should be clinically suspected in patients
with asymmetry of upper or upper and lower
extremity blood pressure, widened pulse
pressure and chest wall contusion.
• the most common radiological finding being a
widened mediastinum
• The diagnosis is confirmed by aortography or
a contrast spiral CT scan of the
mediastinumand to a lesser extent by
transoesophagealechocardiography.
management
• Initially, management consists of control of
the systolic arterial blood pressure (to less
than 100 mmHg).
• Thereafter, an endovascular intra-aortic stent
can be placed or the tear can be operatively
repaired by direct repair or excision and
grafting using a
• Dacrongraft.
Diaphragmatic injuries
• Any penetrating injury to or below the fifth
intercostal space should raise the suspicion of
diaphragmatic penetration.
• The diaphragmatic rupture is usually large,
with herniation of the abdominal contents
into the chest.
• Diagnosis of blunt diaphragmatic rupture is
Missed even more often than penetrating
injuries in the acutephase.
• There is no single standard investigation.
Chest radiography after placement of a
nasogastric tube may be helpful
• The most accurate evaluation is by videoassisted thoracoscopy (VATS) or laparoscopy
• Operative repair is recommended in all cases.
All penetrating diaphragmatic injury must be
repaired via the abdomen and not the chest,
to rule out penetrating hollow viscus injury.
Oesophageal injury
• result from penetrating trauma.
• The patient can present with odynophagia
(pain on swallowing foods or fluids),
subcutaneous or mediastinal emphysema,
pleural effusion, air in the retro-oesophageal
space and unexplained fever within 24hours
of injury
• The mortality rate rises exponentially if
treatment is delayed for more than 12–24
hours
• The treatment is operative repair and
drainage.
Tracheobronchial injuries
• Severe subcutaneous emphysema with
respiratory compromise can suggest
tracheobronchial disruption
• A chest drain placed on the affected side will
reveal a large air leak and the collapsed lung
may fail to re-expand
• Bronchoscopy is diagnostic.
• Treatment involves intubation of the
unaffected bronchus followed by operative
repair
Blunt myocardial injury
• Blunt myocardial injury should be suspected in
any patient sustaining blunt trauma who
develops ECG abnormalities in the resuscitation
room.
• most reliable sign of significant injury to the
myocardium is an abnormal 12-lead ECG.
• Two-dimensional echocardiography may show
wall motion abnormalities. A transoesophageal
echocardiogram may also be helpful.
• little evidence that enzyme estimations have
any place in diagnosis; a rise in troponin I may
be a useful adjunct but is not of primary value
in making the diagnosis.
• at risk of developing sudden dysrhythmias
and should be monitored for the first 24
hours.
Pulmonary contusion
• caused by haemorrhage into the lung
parenchyma, usually underneath a flail
segment or fractured ribs.
• This is a very common, potentially lethal chest
injury and the major cause of hypoxaemia
after blunt trauma.
• It is an independent risk factor for pneumonia
and adult respiratory distress
syndrome(ARDS).
• The natural progression of pulmonary contusion
is worsening hypoxemia for the first 24–48 hours.
• The chest radiography findings are typically
delayed and non-segmental.
• Contrast CT scanning can be confirmatory.
• If abnormalities are seen on the admission chest
radiograph, the pulmonary contusion is severe.
• Haemoptysis or blood in the endotracheal tube is
a sign of pulmonarycontusion
treatment
• In mild contusion the treatment is oxygen
administration, aggressive pulmonary toilet and
adequate analgesia.
• In more severe cases mechanical ventilation is
necessary.
• be careful not to overload these patients with
fluid to avoid pulmonary oedema,
• establishment of normovolaemia is critical for
adequate tissue perfusion and fluid restriction is
not advised.
EMERGENCY THORACOTOMY
• essential part of the armamentarium of any
surgeon dealing with major trauma.
• Indications for thoracotomy include:
•
•
•
•

internal cardiac massage;
control of haemorrhage from injury to the heart;
control of haemorrhage from injury to the lung;
control of intrathoracic haemorrhage from other
causes;
• control of massive air leak.
• Thoracotomy can be broadly divided into the
following:
• emergency (resuscitative) thoracotomy for
control of life threatening bleeding;
• planned thoracotomy for repair of specific
injury.
Emergency thoracotomy survival %
• Blood pressure despite resuscitation Survival
(%)
• > 60 mmHg 60%
• > 40 mmHg 30%
• < 40 mmHg 3%
Left anterolateral thoracotomy

•
•
•
•
•
•

Left lung and
lung hilum
Thoracic aorta
Origin of left subclavian artery
Left side of heart
Lower oesophagus
Right anterolateral thoracotomy
•
•
•
•
•
•

Right lung and lung hilum
Azygos veins
Superior vena cava
Infracardiac inferior vena cava
Upper oesophagus
Thoracic trachea
Median sternotomy
•
•
•
•
•

Anterior aspect of heart
Anterior mediastinum
Ascending aorta and arch of aorta
Pulmonary arteries
Carina of the trachea
thank you

Thoracic injury

  • 1.
    Thoracic injury Dr GokulNachiketh G DNB gen sug
  • 2.
    • Thoracic injuryaccounts for 25% of all injuries. • In a further 25%, It may be a significant contributor to the subsequent death of the patient. • In most of these patients, the cause of death is haemorrhage.
  • 3.
    Clinical indicators ofbleeding • • • • Physiological Increasing respiratory rate Increasing pulse rate Falling blood pressure Rising serum lactate Anatomical Visible bleeding Injury in close proximity to major vessels Penetrating injury with a retained weapon
  • 4.
    • About 80%of patients with chest injury can be managed non-operatively, • and the key is early physiological resuscitation followed by diagnosis.
  • 5.
    investigation • Routine investigationin the emergency department of injury to the chest is based on clinical examination, supplemented by chest radiography • In the unstable patient, chest radiography is the investigation of first choice, provided that it does not interfere with resuscitation
  • 6.
    • Ultrasound canbe used to differentiate between contusion and the actual presence of blood. • A chest tube can be a diagnostic procedure as well as a therapeutic one
  • 7.
    pitfalls of investigationare: • failure to auscultate both front and back (an inflated lung will‘float’ on a haemothorax, so auscultation from the front may sound normal • failure to check whether the trachea is central • failure to pass a nasogastric tube if rupture of the diaphragm is suspected • pursuing radiological investigation (radiography or CT scan)before, or instead of, resuscitation if the patient is haemodynamicallyunstable.
  • 9.
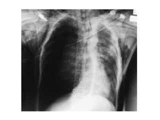
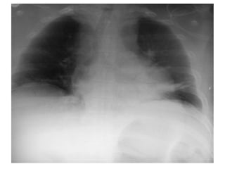
    Computerised tomography scan •has become the principal and most reliable examination for major injury in thoracic trauma. • In blunt chest trauma the CT scan will allow the definition of rib and vertebral fractures, as haematomas, • pneumothoraces and pulmonary contusion
  • 10.
    Management • Penetrating injurymanaged with appropriate resuscitation and drainage of haematoma. • sucking chest wound is present, this should not be fully closed but should be covered with a piece of plastic, closed on three sides, to form a one-way valve, and then an underwater drain should .be placed
  • 11.
    • In bluntinjury most bleeding occurs from the intercostal or internal mammary vessels and it is relatively rare for these to require surgery • Life-threatening injuries can be remembered as the dozen. Six are immediately lifethreatening and should be soughtduring the primary survey and six are potentially life threatening and should be detected during the secondary survey
  • 12.
    Immediately life threatening • • • • • • Airwayobstruction Tension pneumothorax Pericardial tamponade Open pneumothorax Massive haemothorax Flail chest
  • 13.
    Potentially life threatening • • • • • • Aorticinjuries Tracheo bronchial injuries Myocardial contusion Rupture of diaphram Oesophageal injuries Pulmonary contusion
  • 14.
    Airway obstruction • Earlypreventable trauma deaths are often due to lack of or delay in airway control. • Dentures, teeth, secretions and blood causes airway obstructions • Bilateral mandibular fracture, • expanding neck haematomas producing deviation of the pharynx and • mechanical compression of the trachea, • laryngealtrauma such as thyroid or cricoid fractures and • tracheal injury are other causes of airway obstruction.
  • 15.
    • Early intubationis very important, • particularly in cases of neck haematoma or possible airway oedema.
  • 16.
    Tension pneumothorax • developswhen a ‘one-way valve’ airleak occurs either from the lung or through the chest wall. • collapsing the affected lung. • The mediastinum is displaced to the opposite side, • decreasing venous return and • compressing the opposite lung.
  • 17.
    most common causesare • penetrating chest trauma, • blunt chest trauma with parenchymal lung injury and • air leak that did not spontaneously close, • iatrogenic lung punctures (e.g. due to subclavian central venepuncture) and • mechanical positivepressure ventilation
  • 18.
    clinical presentation isdramatic • The patient is panicky • with tachypnoea, dyspnoea and distended neck veins (similar to pericardial tamponade). • Clinical examination can reveal tracheal deviation (a late finding – not necessary to clinically confirm diagnosis), • hyperresonance and absent breath sounds over the affected hemithorax.
  • 19.
    • Tension pneumothoraxis a clinical diagnosis • and treatment should not be delayed by waiting for radiological confirmation.
  • 20.
    treatment rapid insertion ofa large-bore needle into the second intercostal space in the mid-clavicular line of the affected hemithorax. This is immediately followed by insertion of a chest tube through the fifth intercostal space in the anterior axillary line.
  • 22.
    Pericardial tamponade • mustbe differentiated from tension pneumo thorax in the shocked patient with distended neck veins. • most commonly the result of penetrating trauma. • Accumulation of a relatively small amount of blood into the non-distensible pericardial sac can produce physiological obstruction of the heart.
  • 23.
    • All patientswith penetrating injury anywhere near the heart plus shock must be considered to have cardiac injury until proven otherwise
  • 24.
  • 25.
    Clinical presentation • venouspressure elevation, • decline in arterial pressure with tachycardia, and • Muffled heart sounds • In cases in which major bleeding from other sites has taken place, the neck veins may be flat.
  • 26.
    treatment • The correctimmediate treatment of tamponade is operative (sternotomy or left thoracotomy), with repair of the heart in the operating theatre if time allows or otherwise in the emergency room. • Pericardiocentesis has a high potential foriatrogenic injury to the heart and it should at the most beregarded as a desperate temporising measure in a transport situation • [under electrocardiogram (ECG) control].
  • 27.
    Pitfalls of pericardial tamponade •neck veins may be flat if the patient has bled substantially from elsewhere and is therefore in volume collapse; • the central venous pressure may not be elevated if the circulating volume is depleted, e.g. because of other injuries; • pericardiocentesis is a temporising measure only with a high complication rate and is not a substitute for immediate operative intervention – it proves only that there is a ‘clot’on bothends of the needle!
  • 28.
    Open pneumothorax (‘suckingchest wound’) • large open defect in the chest (> 3 cm) • leading to equilibration between intrathoracic and atmospheric pressure. • Air accumulates in the hemithorax (rather than in the lung) with each inspiration, leading to profound hypoventilation on the affected side and hypoxia.
  • 29.
    • promptly closingthe defect with a sterile occlusive plastic dressing (e.g. Opsite), taped onthree sides to act as a flutter-type valve. • A chest tube is inserted as soon as possible in a site remote from the injury site. • Definitive treatment may warrant formal debridement and closure, preferably in the operating room
  • 30.
    • if thelung does not reinflate, the drain should be placed on low-pressure (5 cm water) suction; • physiotherapy and active mobilisation should begin as soon as possible. Opsite
  • 31.
    Massive haemothorax • Themost common cause of massive haemothorax in blunt injury is continuing bleeding from torn intercostal vessels or occasionally the internal mammary artery • Accumulation of blood in a hemithorax can significantly compromise respiratory efforts by compressing the lung and preventing adequate ventilation
  • 33.
    • presents ashaemorrhagic shock with flat neck veins, unilateral absence of breath sounds and dullness to percussion. • The treatment consists of correcting the hypovolaemic shock,insertion of an intercostal drain and, in some cases, intubation.
  • 34.
    Indication for thoracotomy •Initial drainage of more than 1500 ml of blood or • on-going haemorrhage of more than 200 ml per hr over 3–4 hours is generally considered an indication for urgent thoracotomy.
  • 35.
    Flail chest • usuallyresults from blunt trauma associated with multiple rib fractures, • three or more ribs fractured in two or more places • The diagnosis is made clinically, not by radiography. • On inspiration the loose segment of the chest wall is displaced inwards
  • 36.
    • Traditionally, treatmentconsisted of mechanical ventilation to ‘internally splint’ the chest until fibrous union of the broken ribs occurred. • The price for this was considerable in terms of intensive care unit resources and ventilation-dependent morbidity
  • 37.
    • Currently, treatmentconsists of oxygen administration, adequate analgesia (including opiates) and physiotherapy. • If a chest tube is in situ, intrapleural local analgesia can be used as well. • Ventelation is reserved for cases developing respiratory failure despite adequate analgesia and oxygen
  • 38.
    • Surgery tostabilise the flail chest is currently in use again; • it may be useful in a selected group with • isolated or severe chest injury and pulmonary contusion who have been shown to benefit from internal operative fixation of the flail segment.
  • 39.
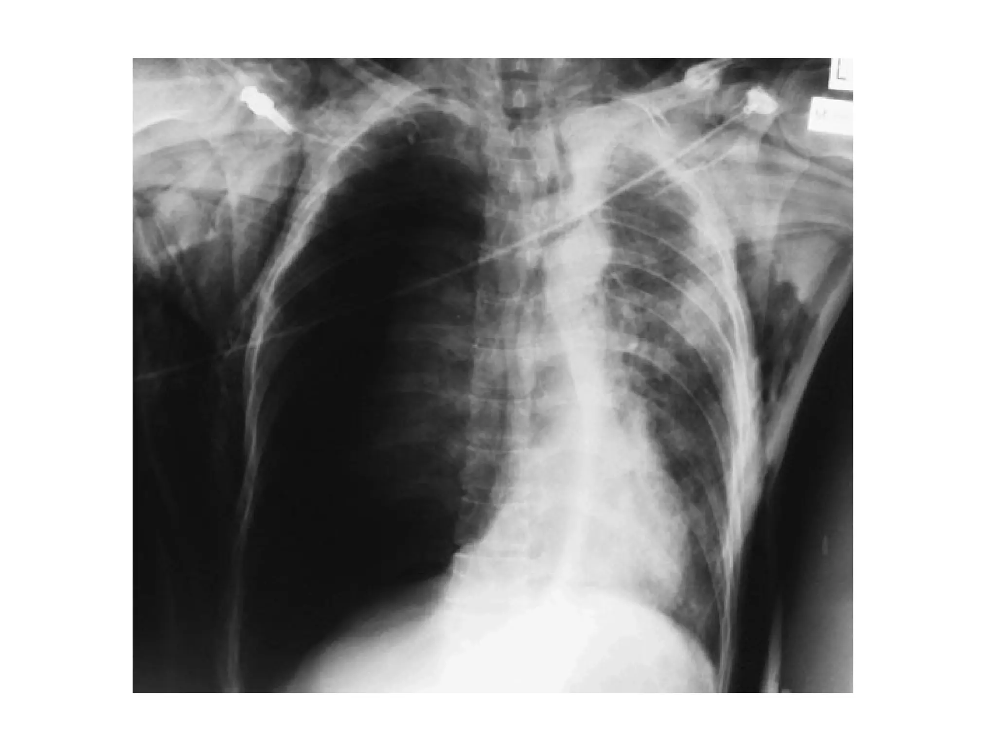
    Potentially life-threatening injuries •Thoracic aortic disruption • Traumatic aortic rupture is a common cause of sudden death after an automobile collision or fall from a great height. The vessel is relatively fixed distal to the ligamentum arteriosum, just distal to the origin of the left subclavian artery. The shear forces from a sudden impact disrupt the intima and media.
  • 40.
    • It shouldbe clinically suspected in patients with asymmetry of upper or upper and lower extremity blood pressure, widened pulse pressure and chest wall contusion. • the most common radiological finding being a widened mediastinum
  • 41.
    • The diagnosisis confirmed by aortography or a contrast spiral CT scan of the mediastinumand to a lesser extent by transoesophagealechocardiography.
  • 42.
    management • Initially, managementconsists of control of the systolic arterial blood pressure (to less than 100 mmHg). • Thereafter, an endovascular intra-aortic stent can be placed or the tear can be operatively repaired by direct repair or excision and grafting using a • Dacrongraft.
  • 45.
    Diaphragmatic injuries • Anypenetrating injury to or below the fifth intercostal space should raise the suspicion of diaphragmatic penetration. • The diaphragmatic rupture is usually large, with herniation of the abdominal contents into the chest. • Diagnosis of blunt diaphragmatic rupture is Missed even more often than penetrating injuries in the acutephase.
  • 46.
    • There isno single standard investigation. Chest radiography after placement of a nasogastric tube may be helpful • The most accurate evaluation is by videoassisted thoracoscopy (VATS) or laparoscopy • Operative repair is recommended in all cases. All penetrating diaphragmatic injury must be repaired via the abdomen and not the chest, to rule out penetrating hollow viscus injury.
  • 47.
    Oesophageal injury • resultfrom penetrating trauma. • The patient can present with odynophagia (pain on swallowing foods or fluids), subcutaneous or mediastinal emphysema, pleural effusion, air in the retro-oesophageal space and unexplained fever within 24hours of injury
  • 48.
    • The mortalityrate rises exponentially if treatment is delayed for more than 12–24 hours • The treatment is operative repair and drainage.
  • 49.
    Tracheobronchial injuries • Severesubcutaneous emphysema with respiratory compromise can suggest tracheobronchial disruption • A chest drain placed on the affected side will reveal a large air leak and the collapsed lung may fail to re-expand
  • 50.
    • Bronchoscopy isdiagnostic. • Treatment involves intubation of the unaffected bronchus followed by operative repair
  • 51.
    Blunt myocardial injury •Blunt myocardial injury should be suspected in any patient sustaining blunt trauma who develops ECG abnormalities in the resuscitation room. • most reliable sign of significant injury to the myocardium is an abnormal 12-lead ECG. • Two-dimensional echocardiography may show wall motion abnormalities. A transoesophageal echocardiogram may also be helpful.
  • 52.
    • little evidencethat enzyme estimations have any place in diagnosis; a rise in troponin I may be a useful adjunct but is not of primary value in making the diagnosis. • at risk of developing sudden dysrhythmias and should be monitored for the first 24 hours.
  • 53.
    Pulmonary contusion • causedby haemorrhage into the lung parenchyma, usually underneath a flail segment or fractured ribs. • This is a very common, potentially lethal chest injury and the major cause of hypoxaemia after blunt trauma. • It is an independent risk factor for pneumonia and adult respiratory distress syndrome(ARDS).
  • 54.
    • The naturalprogression of pulmonary contusion is worsening hypoxemia for the first 24–48 hours. • The chest radiography findings are typically delayed and non-segmental. • Contrast CT scanning can be confirmatory. • If abnormalities are seen on the admission chest radiograph, the pulmonary contusion is severe. • Haemoptysis or blood in the endotracheal tube is a sign of pulmonarycontusion
  • 55.
    treatment • In mildcontusion the treatment is oxygen administration, aggressive pulmonary toilet and adequate analgesia. • In more severe cases mechanical ventilation is necessary. • be careful not to overload these patients with fluid to avoid pulmonary oedema, • establishment of normovolaemia is critical for adequate tissue perfusion and fluid restriction is not advised.
  • 56.
    EMERGENCY THORACOTOMY • essentialpart of the armamentarium of any surgeon dealing with major trauma.
  • 57.
    • Indications forthoracotomy include: • • • • internal cardiac massage; control of haemorrhage from injury to the heart; control of haemorrhage from injury to the lung; control of intrathoracic haemorrhage from other causes; • control of massive air leak.
  • 58.
    • Thoracotomy canbe broadly divided into the following: • emergency (resuscitative) thoracotomy for control of life threatening bleeding; • planned thoracotomy for repair of specific injury.
  • 59.
    Emergency thoracotomy survival% • Blood pressure despite resuscitation Survival (%) • > 60 mmHg 60% • > 40 mmHg 30% • < 40 mmHg 3%
  • 60.
    Left anterolateral thoracotomy • • • • • • Leftlung and lung hilum Thoracic aorta Origin of left subclavian artery Left side of heart Lower oesophagus
  • 61.
    Right anterolateral thoracotomy • • • • • • Rightlung and lung hilum Azygos veins Superior vena cava Infracardiac inferior vena cava Upper oesophagus Thoracic trachea
  • 62.
    Median sternotomy • • • • • Anterior aspectof heart Anterior mediastinum Ascending aorta and arch of aorta Pulmonary arteries Carina of the trachea
  • 63.