TRAUMA
INTRODUCTION
Trauma or Injury
• cellular disruption caused by environmental energy
that is beyond the body’s resilience
• compounded by cell death due to
ischemia/reperfusion
Incidence
• most common cause of death for all individuals
between the ages of 1 and 44 years
• third most common cause of death regardless of
age
• leading cause of years of productive life lost
INITIAL EVALUATION & RESUSCITATION OF THE
INJURED PATIENT
ADVANCED TRAUMA LIFE SUPPORT
• The Advanced Trauma Life Support (ATLS)
• emphasizes the “golden hour” concept that timely,
prioritized interventions are necessary to prevent
death and disability.
INITIAL MANAGEMENT PHASES
1. THE PRIMARY SURVEY/CONCURRENT
RESUSCITATION
2. THE SECONDARY SURVEY/DIAGNOSTIC
EVALUATION
3. THE DEFINITIVE CARE
4. THE TERTIARY SURVEY
Primary/Concurrent
Resuscitation
• GOAL: to identify and treat conditions that constitute
an immediate threat to life
• ABC’s
• Airway with Cervical spine protection
• Breathing
• Circulation
ABC’s
• First priority: Ensure a
patent airway
• essential because efforts to
restore cardiovascular integrity
will be futile unless the oxygen
content of the blood is adequate
• Blunt Trauma: require cervical
spine immobilization until injury is
excluded
Airway Management
With Cervical Spine
Protection
ABC’s
• Penetrating Neck Wounds:
cervical collars are not
recommended
• Conscious, Without
Tachypnea,with Normal Voice:
unlikely to require early airway
intervention
• Exceptions:
• penetrating injuries to the neck
with an expanding hematoma
• evidence of chemical or thermal
injury to the mouth, nares, or
hypopharynx
• extensive subcutaneous air in
the neck
• complex maxillofacial trauma
• airway bleeding
Airway Management
With Cervical Spine
Protection
ABC’s
• Further Airway Evaluation:
• abnormal voice
• abnormal breathing sounds
• tachypnea
• altered mental status
• suctioning
• chin lift or jaw thrust
• oral airway or nasal trumpet
Airway Management
With Cervical Spine
Protection
ABC’s
• Establishing a definitive
airway
• Endotracheal intubation
• Altered mental status is the
most common indication for
intubation
• Agitation or obtundation,
often attributed to intoxication
or drug use, may actually be
due to hypoxia
Airway Management
With Cervical Spine
Protection
ABC’s
• BEST:
• The need for a definitive
airway is based upon a
number of clinical findings
including:
• I instability, hemodynamic
• N neck hematoma/trauma
• T trauma to the face
• U unresponsive
• B bleeding
• A airway compromise/ Apnea
• T thermal inhalational injury
• E emesis/epistaxis
Airway Management
With Cervical Spine
Protection
ABC’s
• BEST:
• In patients in whom airway
compromise is identified,
preparations must be made to
ensure expeditious placement
of a definitive airway
• T timing, don’t delay!
• E equipment: scopes,
suction, supplies
• A anesthesize
• M monitor
• W wear protection (gloves,
mask, shield)
• O oxygenate
• R reinforcement: get help
• K keep neck straight:
stablization
Airway Management
With Cervical Spine
Protection
ABC’s
Airway Management
With Cervical Spine
Protection
ABC’s
Airway Management
With Cervical Spine
Protection
ABC’s
Airway Management
With Cervical Spine
Protection
ABC’s
Airway Management
With Cervical Spine
Protection
ABC’s
• Timing of Endotracheal
Intubation
• Endotracheal Intubation
Options:
• Nasotracheal
• Orotracheal
• Operative Routes
Airway Management
With Cervical Spine
Protection
OROTRACHEAL INTUBATION
ADVANTAGES
• direct visualization of
the vocal cords
• ability to use larger-
diameter endotracheal
tubes
• applicability to apneic
patients.
DISADVANTAGE
• conscious patients
usually require
neuromuscular
blockade, which may
result in the inability to
intubate, aspiration, or
medication
complications.
ABC’s
• Verify Correct Endotracheal
Placement:
• direct laryngoscopy
• Capnography
• audible bilateral breath sounds
• CXR
Airway Management
With Cervical Spine
Protection
ABC’s
• Intubation Not Possible: due
to failed attempts/ extensive
facial injury  require
operative establishment of
airway
Cricothyroidotomy
• vertical incision
• Cricothyroid
• thyroid cartilage
• 6.0 endotracheal tube
Airway Management
With Cervical Spine
Protection
• Cricothyroidotomy is
recommended for
emergent surgical
establishment of a patent
airway.
ABC’s
• Emergent tracheostomy:
• IndicatIons in trauma:
• laryngotracheal separation
• laryngeal fractures, in whom
cricothyroidotomy may cause
further damage or result in
complete loss of the airway
Airway Management
With Cervical Spine
Protection
• A “clothesline” injury
can partially or
completely transect the
anterior neck structures,
including the trachea.
• With complete tracheal
transection, the
endotracheal tube is
placed directly into the
distal aperture, with care
taken not to push the
trachea into the
mediastinum.
ABC’s
• Second priority: Breathing
and Ventilation
• The following conditions
constitute an immediate threat to
life due to inadequate ventilation
and should be recognized during
the primary survey:
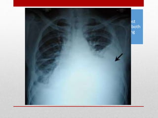
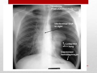
1. Tension pneumothorax
2. open pneumothorax
3. flail chest with underlying
pulmonary contusion
4. massive hemothorax,
5. major air leak due to a
tracheobronchial injury
Breathing and
Ventilation
Tension pneumothorax
• presumed in any patient manifesting
respiratory distress and hypotension
in combination with any of the
following physical signs:
• tracheal deviation away from the
affected side
• lack of or decreased breath sounds
on the affected side,
• subcutaneous emphysema on the
affected side
• Distnded neck veins
Breathing and
Ventilation
Tension pneumothorax
• presumed in any patient manifesting
respiratory distress and hypotension
in combination with any of the
following physical signs:
• tracheal deviation away from the
affected side
• lack of or decreased breath sounds
on the affected side,
• subcutaneous emphysema on the
affected side
• Distnded neck veins
Breathing and
Ventilation
Tension pneumothorax
• Tube thoracostomy in the
midaxillary line should be
performed immediately in the
ED before a chest radiograph
is obtained.
• Recent studies suggest that
preferred location for needle
decompression may be the
fifth intercostal space in the
anterior axillary line due to
body habitus.
Breathing and
Ventilation
Tension pneumothorax
Breathing and
Ventilation
Open pneumothorax
Open Pneumothorax Or
“Sucking Chest Wound”
occurs with full-thickness loss of
the chest wall, permitting free
communication between the
pleural space and the
atmosphere
Breathing and
Ventilation
Open pneumothorax
Open Pneumothorax Or
“Sucking Chest Wound”
occurs with full-thickness loss of
the chest wall, permitting free
communication between the
pleural space and the
atmosphere
Breathing and
Ventilation
Open pneumothorax
• Complete occlusion of the chest
wall defect without a CTT may
convert an open pneumothorax to
a tension pneumothorax.
• Temporary Management:
• covering the wound with an
occlusive dressing that is taped on
three sides
• Definitive Treatment:
• closure of the chest wall defect and
tube thoracostomy remote from the
wound.
Breathing and
Ventilation
Flail Chest
• occurs when three or more
contiguous ribs are
fractured in at least two
locations.
• The patient’s initial chest
radiograph often
underestimates the extent of
the pulmonary parenchymal
damage.
Breathing and
Ventilation
• .
Major Air leaks
• Major Air Leak: occurs from
tracheobronchial injuries.
• Type I Injuries
• are those occurring within 2 cm of the
carina.
• These may not be associated with a
pneumothorax due to the envelopment in
the mediastinal pleura.
• Type II Injuries
• are more distal injuries within the
tracheobronchial tree and hence manifest
with a pneumothorax.
• Bronchoscopy confirms the extent of the
injury and its location, and directs
management
Breathing and
Ventilation
ABC’s
• Third priority: Circulation
with hemorrhage
• Systolic blood pressure (SBP) can be
palpable:
• carotid pulse: 60 mmHg
• femoral pulse: 70 mmHg
• radial pulse: 80 mmHg
• Any episode of hypotension (defined
as a SBP <90 mmHg) is assumed to
be caused by hemorrhage until
proven otherwise.
• Blood pressure and pulse should be
measured at least every 5 minutes in
patients with significant blood loss until
normal vital sign values are restored.
Circulation with
Hemorrhage
ABC’s
• Intravenous (IV):
• access for fluid resuscitation
and medication
• administration is obtained
with two peripheral
catheters
• 16-gauge or larger in adults
Circulation with
Hemorrhage
ABC’s
• Initial access in trauma
patients is best secured in the
groin
• placement of femoral access
for thoracic trauma
• jugular or subclavian access
for abdominal trauma
• Saphenous vein cutdowns at
the ankle can also provide
excellent access
Circulation with
Hemorrhage
ABC’s
Open Wounds With Ongoing Bleeding
• manual compression should be done
with a single 4 × 4 gauze and a gloved
hand.
• Blind clamping of bleeding vessels
should be avoided because of the risk to
adjacent structures, including nerves.
.
• In these situations, a gloved finger
placed through the wound directly onto
the bleeding vessel can apply enough
pressure to control active bleeding. The
surgeon performing this maneuver must
then walk with the patient to the OR for
definitive treatment.
Circulation with
Hemorrhage
ABC’s
• Tourniquet vs digital pressure
Open Fractures
• Fracture reduction with
stabilization via splints will
limit bleeding both externally
and into the subcutaneous
tissues.
• Scalp lacerations through the
galea aponeurotica tend to
bleed profusely; these can be
temporarily controlled with:
• skin staples
• Raney clips
• Or a full-thickness continuous
running nylon stitch.
Circulation with
Hemorrhage
ABC’s
• Four life-threatening injuries
must be identified promptly:
1. massive hemothorax
2. cardiac tamponade
3. massive hemoperitoneum,
4. mechanically unstable
pelvic fractures with
bleeding.
Circulation with
Hemorrhage
Massive hemothorax
• life-threatening injury
number one
• defined as >1500 mL of
blood or, in the pediatric
population, >25% of the
patient’s blood volume in the
pleural space .
• Tube thoracostomy is the
only reliable means to
quantify the amount of
hemothorax.
Circulation with
Hemorrhage
Massive hemothorax
• It is an indication for operative
intervention, but tube
thoracostomy is critical to
facilitate lung reexpansion,
which may improve
oxygenation and cardiac
performance as well as
tamponade venous bleeding.
• In patients arriving in shock
with a high risk of pelvic
fracture (e.g., autopedestrian
accident), the pelvis should be
presumptively stabilized with a
sheet or binder.
Circulation with
Hemorrhage
Cardiac tamponade
• occurs most commonly after
penetrating thoracic wounds,
although occasionally blunt
rupture of the heart, particularly
the atrial appendage, is seen.
• Acutely, <100 mL of pericardial
blood may cause pericardial
tamponade.
• Beck’s triad
• Dilated neck veins
• muffled heart tones
• decline in arterial pressure
Circulation with
Hemorrhage
ABC’s
• Diagnosis of
hemopericardium
• best achieved by
ultrasound of the
pericardium.
• Early in the course of
tamponade, blood pressure
and cardiac output will
transiently improve with
fluid administration due to
increased central venous
pressure.
Circulation with
Hemorrhage
In patients with any hemodynamic disturbance, a pericardial
drain can be placed using ultrasound guidance
ABC’s
• Removing as little as 15 to 20 mL of
blood will often temporarily stabilize
the patient’s hemodynamic status
and alleviate the subendocardial
ischemia that can be associated with
lethal arrhythmias; this allows safe
transport to the OR for sternotomy.
• Pericardiocentesis is successful in
decompressing tamponade in
approximately 80% of cases; the
majority of failures are due to the
presence of clotted blood within the
pericardium.
• Patients with a persistent SBP <60
mmHg warrant resuscitative
thoracotomy (RT) with opening of
the pericardium for rapid
decompression and control of
bleeding.
Circulation with
Hemorrhage
Current Indications And Contraindications For Emergency
Department Thoracotomy
INDICATIONS
• Salvageable postinjury cardiac
arrest:
• Patients sustaining witnessed
penetrating trauma to the torso with
<15 min of prehospital CPR
• Patients sustaining witnessed blunt
trauma with <10 min of prehospital
CPR
• Patients sustaining witnessed
penetrating trauma to the neck or
extremities with <5 min of prehospital
CPR
• Persistent severe postinjury
hypotension (SBP ≤60 mmHg) due to:
• Cardiac tamponade
• Hemorrhage—intrathoracic, intra-
abdominal, extremity, cervical
• Air embolism
CONTRAINDICATIONS
• Penetrating trauma: CPR >15 min
and no signs of life (pupillary
response, respiratory effort, motor
activity)
• Blunt trauma: CPR >10 min and no
signs of life or asystole without
associated tamponade
• Thus, patients undergoing
cardiopulmonary resuscitation
(CPR) upon arrival to the ED should
undergo RT selectively based on
injury and duration of CPR.
Circulation with
Hemorrhage
ABC’s
• Fourth priority: Disability
and Exposure
Disability and
Exposure
ABCDE
• Neurologic evaluation:
Subtle changes in mental status
can be caused by hypoxia,
hypercarbia, or hypovolemia, or
may be an early sign of
increasing intracranial pressure.
• An abnormal mental status
should prompt an immediate
reevaluation of the patient’s
ABCs and consideration of
central nervous system injury.
• Deterioration in mental status
may be subtle and may not
progress in a predictable fashion.
Disability and
Exposure
ABCDE
• High Spinal Cord Disruption:
• Are at greatest risk for
neurogenic shock due to
physiologic disruption of
sympathetic fibers.
• Treatment consists of volume
loading and a dopamine infusion,
which is both inotropic and
chronotropic, as well as a
vasoconstrictor.
• Seriously Injured Patients:
• Must have all of their clothing
removed to avoid overlooking
limb- or life-threatening injuries
• Warmed blankets should be
placed immediately to avoid
hypothermia.
Disability and
Exposure
Hemorrhagic shock
Disability and
Exposure
Fluid resuscitation
• Goal: to re-establish tissue
perfusion
• Begins with isotonic
crystalloid, typically Ringer’s
lactate.
• Patients arriving in shock
(persistent SBP <90 mmHg in
an adult)
• current practice as
management is to activate a
massive transfusion
protocol (MTP) in which red
blood cells (RBC) and fresh
frozen plasma (FFP) are
administered.
Disability and
Exposure
ABCDE
Urine output
• A reliable indicator of organ
perfusion but requires time to
quantitate.
• Adequate urine output:
• Adult: 0.5 mL/kg per hour in
an adult
• Child: 1 mL/kg per
• Infant <1 year of age: 2 mL/kg
per hour
Disability and
Exposure
ABCDE
Fracture related blood loss:
• Each rib: 100-200cc
• Tibial fractures: 300-500cc
• Femur: 800-1000cc
• Pelvic: >2000cc
Disability and
Exposure
ABCDE
3 broad categories of Hypovolemic injured
patients:
1. Responders: stable or have a good
response to initial fluid therapy, further
diagnostic evaluation for occult injuries
can proceed in an orderly fashion
2. Transient Responders: respond
initially to volume loading with
improvement in vital signs, but
subsequently deteriorate
hemodynamically. This group of
patients can be challenging to triage
for definitive management.
3. Nonresponders: have persistent
hypotension despite aggressive
resuscitation. These patients mandate
immediate identification of the source
of hypotension with appropriate
intervention to prevent a fatal outcome.
Disability and
Exposure
Persistent hypotension
• Patients with ongoing
hemodynamic instability, whether
“nonresponders” or “transient
responders,” require systematic
evaluation and prompt
intervention.
• Ultrasound evaluation of the
pericardium, pleural cavities, and
abdomen in combination with
plain radiographs of the chest
and pelvis will usually identify the
source of shock.
Disability and
Exposure
ABCDE
Persistent Hypotension Due To
Uncontrolled Hemorrhage
• associated with high mortality.
• A rapid search for the source or sources of
hemorrhage includes visual inspection with
knowledge of the injury mechanism, eFAST,
and chest and pelvic radiographs.
• In patients with persistent hypotension and no
clear operative indications, one should
systematically evaluate the 5 potential sources
of blood loss:
• Scalp
• Chest
• abdomen
• Pelvis
• extremities.
Disability and
Exposure
ABCDE
• If a patient arrives with a penetrating
weapon remaining in place:
• The weapon should not be removed
in the ED because it could be
tamponading a lacerated blood
vessel
• The surgeon should extract the
offending instrument in the controlled
environment of the OR, ideally once
an incision has been made with
adequate exposure for vascular
control.
• In situations where knives are
embedded in the head or neck,
preoperative imaging may be useful
to anticipate arterial injuries.
Disability and
Exposure
SECONDARY SURVEY
• The patient and surrogates should be queried to
obtain an AMPLE history:
• Allergies
• Medications
• Past illnesses or Pregnancy
• Last meal
• Events related to the injury
• PE
• Adjuncts to the physical examination include:
• vital sign and ECG monitoring
• nasogastric tube placement
• Foley catheter placement
• Radiographs
• Hemoglobin
• base deficit measurements
• Urinalysis
• repeat FAST exam.
• DRE
• Patients With Truncal Gunshot Wounds
• Cxr (mark PoEn and Poex)
• In Critically Injured Patients
• Cbc w bt, pt/ptt, abg
• Less Severely Injured Patients
• Cbc, ua
• Automobile collisions
• Injury mechanisms
MECHANISMS AND PATTERNS OF INJURY
BLUNT TRAUMA
• MORE energy is
transferred over a wider
area
• As a result:
• It is associated with
multiple widely distributed
injuries,
• organs that cannot yield to
impact by elastic
deformation are most
likely to be injured,
namely, the solid organs
(liver, spleen, and
kidneys).
PENETRATING WOUND
• LESS energy is transferred
over a wider area
• As a result:
• the damage is localized to the
path of the bullet or knife.
• organs with the largest surface
area are most prone to injury
(small bowel, liver, and colon).
• Additionally, because bullets
and knives usually follow
straight lines, adjacent
structures are commonly
injured.
BLUNT TRAUMA
According To Their Risk For Multiple Injuries:
1. high energy transfer injuries
2. Low energy transfer injuries
PENETRATING INJURIES
According to Wounding Agent
1. GSW (high vs low velocity)
2. Shotgun injuries (close range vs long range)
HEAD
• Evaluation of the head includes examination for injuries to the
scalp, eyes, ears, nose, mouth, facial bones, and intracranial
structures.
• Anterior facial fractures
• Examination of the oral cavities
• All patients with a significant closed head injury
(GCS score <14) should undergo CT scanning of
the head.
• Additionally, elderly patients or those patients on
antiplatelet agents or anticoagulation should be
imaged despite a GCS of 15.
• The presence of lateralizing findings suggests an
intracranial mass lesion or major structural damage.
• TBI
• Mild – GCS 13-15
• Moderate – GCS 9-12
• Severe – GCS 3-8
• Types of closed head injuries
• Concussion - temporary neuronal dysfunction
following nonpenetrating head trauma. The head CT is
normal, and deficits resolve over minutes to hours
• Contusion - a bruise of the brain, and occurs when
the force from trauma is sufficient to cause breakdown
of small vessels and extravasation of blood into the
brain. The contused areas appear bright on CT scan
EPIDURAL SUBDURAL
• DIFFUSE AXONAL INJURY
• results from high-speed deceleration injury and represents direct
axonal damage from shear effects.
• CT scan may demonstrate blurring of the gray and white matter
interface and multiple small punctate hemorrhages, but magnetic
resonance imaging is a more accurate test.
• Although prognosis for these injuries is extremely variable, early
evidence of DAI is associated with a poor outcome.
• Stroke syndromes should prompt a search for carotid or vertebral
artery injury using multislice CTA .
• A shift of >5 mm typically is considered an indication
for evacuation, but this is not an absolute rule.
• Patients with open or depressed skull fractures, with
or without sinus involvement, may require operative
intervention.
• Penetrating injuries to the head may require
operative intervention for hemorrhage control,
evacuation of blood, skull fracture fixation, or
debridement.
• S/Sx to WOF in TBI:
• Battle’s sign – echymosis behind the ear (csf leak)
• Raccoon eyes – (basal skull fx) – periorbital
ecchymosis
• Basal skull fx (CSF leak/extravasation: otorrhea or
rhinorrhea)
• HALO sign – on clothes and lines (blood in the middle,
surrounded by yellowish fluid)
• Vomiting, LOC, decrease in GCS
• Generally, patients who meet all of the following
criteria may be managed conservatively:
• clot volume <30 cm3
• maximum thickness <1.5 cm
• GCS score >8
• Abc/2 formula here
NECK
• During the physical examination, one must maintain cervical
spine precautions and in-line stabilization.
• Due to the devastating consequences of quadriplegia, a diligent
evaluation for occult cervical spine injuries is mandatory.
• Additionally, intubated patients, patients with distracting
injuries, significant mechanism, or another identified spine
fracture should undergo CT imaging.
NECK
• During the physical examination, one must maintain cervical
spine precautions and in-line stabilization.
• Due to the devastating consequences of quadriplegia, a diligent
evaluation for occult cervical spine injuries is mandatory.
• Additionally, intubated patients, patients with distracting
injuries, significant mechanism, or another identified spine
fracture should undergo CT imaging.
• Spinal Cord Injuries Can Vary In Severity
• Complete Injuries – quadriplegia or paraplegia
• Several Partial Or Incomplete Spinal Cord Injury
Syndromes - central cord syndrome
• Anterior Cord Syndrome
• Brown- Sequard Syndrome
CHEST
• Blunt trauma to the chest may involve the:
• chest wall, thoracic spine, heart, lungs, thoracic aorta
and great vessels, and rarely the esophagus.
• Occult Thoracic Vascular Injury
• Penetrating Thoracic Trauma
Hemothorax and
Pneumothorax - most
common injuries from both
blunt and penetrating
thoracic trauma
Hemothorax and
Pneumothorax - most
common injuries from both
blunt and penetrating
thoracic trauma
Hemothorax and
Pneumothorax - most
common injuries from both
blunt and penetrating
thoracic trauma
Hemothorax and
Pneumothorax - most
common injuries from both
blunt and penetrating
thoracic trauma
Hemothorax and
Pneumothorax - most
common injuries from both
blunt and penetrating
thoracic trauma
INDICATIONS FOR THORACOTOMY FF TRAUMA
ABDOMEN
• The abdomen is a diagnostic black box.
• With few exceptions, it is not necessary to determine
in the ED which intra-abdominal organs are injured,
only whether an exploratory laparotomy is
necessary.
• The presence of abdominal rigidity and
hemodynamic compromise is an undisputed
indication for prompt surgical exploration.
• Injury grading using the American Association
for the Surgery of Trauma (AAST)
• grading scale is an important component of non-operative
management of solid organ injuries.
DIAPHRAGMATIC INJURIES
LIVER INJURIES
COMPLICATIONS OF NON-OPERATIVE BLUNT HEPATIC
INJURY MANAGEMENT
• Bile leaks
• Abscess
• Hemorrhage
• Devascularization
OPERATIVE MANAGEMENT
• Bile leaks
• Abscess
• Hemorrhage
• Devascularization
OPERATIVE MANAGEMENT
• Bile leaks
• Abscess
• Hemorrhage
• Devascularization
SPLEEN
STOMACH & SMALL BOWELS
DOUDENUM
PANCREAS
COLORECTAL TRAUMA
COLORECTAL TRAUMA
COLORECTAL TRAUMA
COLORECTAL TRAUMA
PELVIS
• Blunt injury to the pelvis may produce mechanically
unstable fractures with major hemorrhage.
• Plain radiographs will reveal gross abnormalities, but
CT scanning is necessary to determine the precise
geometry.
• Sharp spicules of bone can lacerate the bladder,
rectum, or vagina.
• Alternatively, bladder rupture may result from a direct
blow to the torso if the bladder is full.
Pelvic
Fracture
Hemorrhage
Control
• These injuries often occur in
conjunction with other life-
threatening injuries, and there is no
universal agreement among
clinicians on management.
• Current management algorithms in
the United States incorporate
variable time frames for bony
stabilization and fixation, as well as
hemorrhage control by preperitoneal
pelvic packing and/or
angioembolization.
• IDENTIFICATION OF INJURIES
• PELVIC BINDER
• EXFIX
• PRE PERITONEAL PELVIC PACKING
• IDENTIFICATION OF INJURIES
• PELVIC BINDER
• EXFIX
• PRE PERITONEAL PELVIC PACKING
EXTREMITIES
• Blunt or penetrating trauma to the extremities
requires an evaluation for fractures, ligamentous
disruption, and neurovascular injury.
• Plain radiographs are used to evaluate fractures,
whereas ligamentous injuries, particularly those of
the knee and shoulder, can be imaged with magnetic
resonance imaging.
• Physical examination identifies the majority of
arterial injuries, and findings are classified as either
hard signs or soft signs of vascular injury.
SURGICAL INTENSIVE CARE
MANAGEMENT
POST INJURY RESUCITATION
• The period of acute resuscitation, typically lasting for
the first 12 to 24 hours after injury
• key principles:
• optimizing tissue perfusion
• ensuring normothermia
• restoring coagulation status
POST INJURY RESUCITATION
• HGB >10 g/dL
• SV (stroke vol)
• Optimal early resuscitation is mandatory and
determines when the patient can:
a. undergo additional necessary imaging,
b. be returned to the OR after initial damage control
surgery for definitive repair of injuries.
• Specific goals of resuscitation before repeated
“semi-elective” transport include:
a. a core temperature of >35°C (95°F)
b. base deficit of <6 mmol/L
c. Normal coagulation indices.
Adverse sequelae of excessive crystalloid resuscitation include:
• increased intracranial pressure
• worsening pulmonary edema
• intra-abdominal visceral and retroperitoneal edema resulting in
secondary abdominal compartment syndrome.
• Therefore, it should be the overall trend of the resuscitation
rather than a rapid reduction of the base deficit that is the goal.
• The goal is to normalize lactate within 24 hours.
• In general, wounds sustained from trauma should be
examined daily for progression of healing and signs
of infection.
• Complex soft tissue wounds of the abdomen, such
as degloving injuries after blunt trauma (termed
Morel-Lavallee lesions146), shotgun wounds, and other
destructive blast injuries, are particularly difficult to
manage.
• Following initial debridement of devitalized tissue,
wound care includes wet-to-dry dressing changes
twice daily or application of a VAC device.
SPECIAL POPULATIONS
PREGNANT PATIENTS
• mother always receives priority while conditions are still
optimized for the fetus.
• provision of supplemental oxygen (to prevent maternal and
fetal hypoxia)
• fluid resuscitation (the hypervolemia of pregnancy may mask
signs of shock)
• placement of the patient in the left lateral decubitus position
(or tilting of the backboard to the left) to avoid caval
compression
• Assessment of the fetal heart rate is the most valuable
information regarding fetal viability
• Fetal monitoring should initially be assessed with bedside
FAST ultrasound to document the heart rate of the fetus
• subsequent monitoring should be performed with a
cardiotocographic device that measures both contractions
and fetal heart tones (FHTs).
• Because change in heart rate is the primary response of the
fetus to hypoxia or hypotension, anything above an FHT of 160
is a concern, whereas bradycardia (FHT of <120) is considered
fetal distress.
• Indications for emergent cesarean section include
• (a) severe maternal shock or impending death (if the fetus is
delivered within 5 minutes, survival is estimated at 70%)
• (b) uterine injury or significant fetal distress (anticipated survival
rates of >70% if .
• FHTs are present and fetal gestational age is >28 weeks
• If possible, a member of the obstetrics team should
be present during initial evaluation.
• Vaginal bleeding
• Strong contractions
• movement of the fetus
• fetal age
• Gestational age
• Initial evaluation for abdominopelvic trauma in
pregnant patients should proceed in the standard
manner.
• Ultrasound (FAST)
• DPL
• Trauma radiography
• Radiation damage has three distinct phases of damage
and effect preimplantation
• during the period of organogenesis from 3 to 16 weeks
• after 16 weeks.
• “safe” doses of radiation dose of 0.07 mrad
• CT scan
• limit radiographs to those that are essential and to shield
the pelvis with a lead apron when possible
• The gravid uterus is a large target, and any penetrating injury to
the abdomen may result in fetal injury depending on trajectory
and uterine size.
• Gunshot wounds to the abdomen are associated with a 70%
injury rate to the uterus and 35% mortality rate of the fetus.
• If the bullet traverses the uterus and the fetus is viable,
cesarean section should be performed.
•
• On the other hand, stab wounds do not often penetrate the
thick wall of the uterus.
• Patients who are symptomatic, defined by:
• the presence of uterine irritability or contractions
• abdominal tenderness
• vaginal bleeding
• blood pressure instability
*****should be monitored in the hospital for at least 24
hours
*****Patients without these risk factors who are
asymptomatic can be monitored for 6 hours in the ED
and sent home
GERIATRIC PATIENTS
• Chronologic age is not the best predictor of outcome,
but the presence of preexisting conditions, which
affect a patient’s physiologic age, is associated with
increased mortality rates.
• Injury Severity Score is probably the best overall
predictor of patient outcome in the elderly; however,
for any given individual its sensitivity may not be
precise, and there is a time delay in obtaining
sufficient information to calculate the final score.
• In addition to preexisting conditions and severity of
injury, the occurrence of complications compounds
the risk for mortality.
PEDIATRIC PATIENTS
• Pediatric trauma involves different mechanisms,
different constellations of injury, and the potential for
longterm problems related to growth and
development. As with adult trauma, over 85% of
pediatric trauma has a blunt mechanism, with boys
injured twice as often as girls.
• Upon the pediatric patient’s arrival, the basic tenets of the ABCs
apply
• the airway is smaller and more cephalad in position compared with
that of adults
• in children younger than 10 years, the larynx is funnel shaped
rather than cylindrical as in adults.
• the child’s tongue is much larger in relation to the
oropharynx
• small amount of edema or obstruction can significantly
reduce the diameter of the airway (thus increasing the work
of breathing), and the tongue may posteriorly obstruct the
airway, causing intubation to be difficult.
• During intubation, a Miller (straight) blade rather than a
Macintosh (curved) blade may be more effective due to the
acute angle of the cephalad, funnel-shaped larynx.
• After initial evaluation based on the trauma ABCs,
identification and management of specific injuries
proceeds.
• Head CT
• Skull radiography
• Xrays
• FAST
• Non-operative management of solid organ injuries, first used in
children, is the current standard of care in the
hemodynamically stable patient.
• If the patient shows clinical deterioration or hemodynamic
lability, has a hollow viscus injury, or requires >40 mL/kg of
packed RBCs, continued non-operative management is not an
option.
• Success rates of nonoperative management approach 95%,
with an associated 10% to 23% transfusion rate. Findings of a
hepatic or splenic blush on CT imaging does not uniformly
require intervention; patient physiology should dictate
embolization or operative intervention
THANK YOU

TRAUMA LECTURE based on mattox and schwartz

  • 1.
  • 2.
  • 3.
    Trauma or Injury •cellular disruption caused by environmental energy that is beyond the body’s resilience • compounded by cell death due to ischemia/reperfusion
  • 4.
    Incidence • most commoncause of death for all individuals between the ages of 1 and 44 years • third most common cause of death regardless of age • leading cause of years of productive life lost
  • 5.
    INITIAL EVALUATION &RESUSCITATION OF THE INJURED PATIENT
  • 6.
    ADVANCED TRAUMA LIFESUPPORT • The Advanced Trauma Life Support (ATLS) • emphasizes the “golden hour” concept that timely, prioritized interventions are necessary to prevent death and disability.
  • 7.
    INITIAL MANAGEMENT PHASES 1.THE PRIMARY SURVEY/CONCURRENT RESUSCITATION 2. THE SECONDARY SURVEY/DIAGNOSTIC EVALUATION 3. THE DEFINITIVE CARE 4. THE TERTIARY SURVEY
  • 8.
    Primary/Concurrent Resuscitation • GOAL: toidentify and treat conditions that constitute an immediate threat to life • ABC’s • Airway with Cervical spine protection • Breathing • Circulation
  • 10.
    ABC’s • First priority:Ensure a patent airway • essential because efforts to restore cardiovascular integrity will be futile unless the oxygen content of the blood is adequate • Blunt Trauma: require cervical spine immobilization until injury is excluded Airway Management With Cervical Spine Protection
  • 11.
    ABC’s • Penetrating NeckWounds: cervical collars are not recommended • Conscious, Without Tachypnea,with Normal Voice: unlikely to require early airway intervention • Exceptions: • penetrating injuries to the neck with an expanding hematoma • evidence of chemical or thermal injury to the mouth, nares, or hypopharynx • extensive subcutaneous air in the neck • complex maxillofacial trauma • airway bleeding Airway Management With Cervical Spine Protection
  • 12.
    ABC’s • Further AirwayEvaluation: • abnormal voice • abnormal breathing sounds • tachypnea • altered mental status • suctioning • chin lift or jaw thrust • oral airway or nasal trumpet Airway Management With Cervical Spine Protection
  • 13.
    ABC’s • Establishing adefinitive airway • Endotracheal intubation • Altered mental status is the most common indication for intubation • Agitation or obtundation, often attributed to intoxication or drug use, may actually be due to hypoxia Airway Management With Cervical Spine Protection
  • 14.
    ABC’s • BEST: • Theneed for a definitive airway is based upon a number of clinical findings including: • I instability, hemodynamic • N neck hematoma/trauma • T trauma to the face • U unresponsive • B bleeding • A airway compromise/ Apnea • T thermal inhalational injury • E emesis/epistaxis Airway Management With Cervical Spine Protection
  • 15.
    ABC’s • BEST: • Inpatients in whom airway compromise is identified, preparations must be made to ensure expeditious placement of a definitive airway • T timing, don’t delay! • E equipment: scopes, suction, supplies • A anesthesize • M monitor • W wear protection (gloves, mask, shield) • O oxygenate • R reinforcement: get help • K keep neck straight: stablization Airway Management With Cervical Spine Protection
  • 16.
  • 17.
  • 18.
  • 19.
  • 20.
    ABC’s • Timing ofEndotracheal Intubation • Endotracheal Intubation Options: • Nasotracheal • Orotracheal • Operative Routes Airway Management With Cervical Spine Protection
  • 21.
    OROTRACHEAL INTUBATION ADVANTAGES • directvisualization of the vocal cords • ability to use larger- diameter endotracheal tubes • applicability to apneic patients. DISADVANTAGE • conscious patients usually require neuromuscular blockade, which may result in the inability to intubate, aspiration, or medication complications.
  • 22.
    ABC’s • Verify CorrectEndotracheal Placement: • direct laryngoscopy • Capnography • audible bilateral breath sounds • CXR Airway Management With Cervical Spine Protection
  • 23.
    ABC’s • Intubation NotPossible: due to failed attempts/ extensive facial injury  require operative establishment of airway Cricothyroidotomy • vertical incision • Cricothyroid • thyroid cartilage • 6.0 endotracheal tube Airway Management With Cervical Spine Protection
  • 24.
    • Cricothyroidotomy is recommendedfor emergent surgical establishment of a patent airway.
  • 25.
    ABC’s • Emergent tracheostomy: •IndicatIons in trauma: • laryngotracheal separation • laryngeal fractures, in whom cricothyroidotomy may cause further damage or result in complete loss of the airway Airway Management With Cervical Spine Protection
  • 26.
    • A “clothesline”injury can partially or completely transect the anterior neck structures, including the trachea. • With complete tracheal transection, the endotracheal tube is placed directly into the distal aperture, with care taken not to push the trachea into the mediastinum.
  • 27.
    ABC’s • Second priority:Breathing and Ventilation • The following conditions constitute an immediate threat to life due to inadequate ventilation and should be recognized during the primary survey: 1. Tension pneumothorax 2. open pneumothorax 3. flail chest with underlying pulmonary contusion 4. massive hemothorax, 5. major air leak due to a tracheobronchial injury Breathing and Ventilation
  • 28.
    Tension pneumothorax • presumedin any patient manifesting respiratory distress and hypotension in combination with any of the following physical signs: • tracheal deviation away from the affected side • lack of or decreased breath sounds on the affected side, • subcutaneous emphysema on the affected side • Distnded neck veins Breathing and Ventilation
  • 29.
    Tension pneumothorax • presumedin any patient manifesting respiratory distress and hypotension in combination with any of the following physical signs: • tracheal deviation away from the affected side • lack of or decreased breath sounds on the affected side, • subcutaneous emphysema on the affected side • Distnded neck veins Breathing and Ventilation
  • 30.
    Tension pneumothorax • Tubethoracostomy in the midaxillary line should be performed immediately in the ED before a chest radiograph is obtained. • Recent studies suggest that preferred location for needle decompression may be the fifth intercostal space in the anterior axillary line due to body habitus. Breathing and Ventilation
  • 34.
  • 35.
    Open pneumothorax Open PneumothoraxOr “Sucking Chest Wound” occurs with full-thickness loss of the chest wall, permitting free communication between the pleural space and the atmosphere Breathing and Ventilation
  • 36.
    Open pneumothorax Open PneumothoraxOr “Sucking Chest Wound” occurs with full-thickness loss of the chest wall, permitting free communication between the pleural space and the atmosphere Breathing and Ventilation
  • 37.
    Open pneumothorax • Completeocclusion of the chest wall defect without a CTT may convert an open pneumothorax to a tension pneumothorax. • Temporary Management: • covering the wound with an occlusive dressing that is taped on three sides • Definitive Treatment: • closure of the chest wall defect and tube thoracostomy remote from the wound. Breathing and Ventilation
  • 39.
    Flail Chest • occurswhen three or more contiguous ribs are fractured in at least two locations. • The patient’s initial chest radiograph often underestimates the extent of the pulmonary parenchymal damage. Breathing and Ventilation
  • 40.
  • 41.
    Major Air leaks •Major Air Leak: occurs from tracheobronchial injuries. • Type I Injuries • are those occurring within 2 cm of the carina. • These may not be associated with a pneumothorax due to the envelopment in the mediastinal pleura. • Type II Injuries • are more distal injuries within the tracheobronchial tree and hence manifest with a pneumothorax. • Bronchoscopy confirms the extent of the injury and its location, and directs management Breathing and Ventilation
  • 42.
    ABC’s • Third priority:Circulation with hemorrhage • Systolic blood pressure (SBP) can be palpable: • carotid pulse: 60 mmHg • femoral pulse: 70 mmHg • radial pulse: 80 mmHg • Any episode of hypotension (defined as a SBP <90 mmHg) is assumed to be caused by hemorrhage until proven otherwise. • Blood pressure and pulse should be measured at least every 5 minutes in patients with significant blood loss until normal vital sign values are restored. Circulation with Hemorrhage
  • 43.
    ABC’s • Intravenous (IV): •access for fluid resuscitation and medication • administration is obtained with two peripheral catheters • 16-gauge or larger in adults Circulation with Hemorrhage
  • 45.
    ABC’s • Initial accessin trauma patients is best secured in the groin • placement of femoral access for thoracic trauma • jugular or subclavian access for abdominal trauma • Saphenous vein cutdowns at the ankle can also provide excellent access Circulation with Hemorrhage
  • 47.
    ABC’s Open Wounds WithOngoing Bleeding • manual compression should be done with a single 4 × 4 gauze and a gloved hand. • Blind clamping of bleeding vessels should be avoided because of the risk to adjacent structures, including nerves. . • In these situations, a gloved finger placed through the wound directly onto the bleeding vessel can apply enough pressure to control active bleeding. The surgeon performing this maneuver must then walk with the patient to the OR for definitive treatment. Circulation with Hemorrhage
  • 48.
    ABC’s • Tourniquet vsdigital pressure Open Fractures • Fracture reduction with stabilization via splints will limit bleeding both externally and into the subcutaneous tissues. • Scalp lacerations through the galea aponeurotica tend to bleed profusely; these can be temporarily controlled with: • skin staples • Raney clips • Or a full-thickness continuous running nylon stitch. Circulation with Hemorrhage
  • 49.
    ABC’s • Four life-threateninginjuries must be identified promptly: 1. massive hemothorax 2. cardiac tamponade 3. massive hemoperitoneum, 4. mechanically unstable pelvic fractures with bleeding. Circulation with Hemorrhage
  • 50.
    Massive hemothorax • life-threateninginjury number one • defined as >1500 mL of blood or, in the pediatric population, >25% of the patient’s blood volume in the pleural space . • Tube thoracostomy is the only reliable means to quantify the amount of hemothorax. Circulation with Hemorrhage
  • 52.
    Massive hemothorax • Itis an indication for operative intervention, but tube thoracostomy is critical to facilitate lung reexpansion, which may improve oxygenation and cardiac performance as well as tamponade venous bleeding. • In patients arriving in shock with a high risk of pelvic fracture (e.g., autopedestrian accident), the pelvis should be presumptively stabilized with a sheet or binder. Circulation with Hemorrhage
  • 53.
    Cardiac tamponade • occursmost commonly after penetrating thoracic wounds, although occasionally blunt rupture of the heart, particularly the atrial appendage, is seen. • Acutely, <100 mL of pericardial blood may cause pericardial tamponade. • Beck’s triad • Dilated neck veins • muffled heart tones • decline in arterial pressure Circulation with Hemorrhage
  • 54.
    ABC’s • Diagnosis of hemopericardium •best achieved by ultrasound of the pericardium. • Early in the course of tamponade, blood pressure and cardiac output will transiently improve with fluid administration due to increased central venous pressure. Circulation with Hemorrhage
  • 55.
    In patients withany hemodynamic disturbance, a pericardial drain can be placed using ultrasound guidance
  • 56.
    ABC’s • Removing aslittle as 15 to 20 mL of blood will often temporarily stabilize the patient’s hemodynamic status and alleviate the subendocardial ischemia that can be associated with lethal arrhythmias; this allows safe transport to the OR for sternotomy. • Pericardiocentesis is successful in decompressing tamponade in approximately 80% of cases; the majority of failures are due to the presence of clotted blood within the pericardium. • Patients with a persistent SBP <60 mmHg warrant resuscitative thoracotomy (RT) with opening of the pericardium for rapid decompression and control of bleeding. Circulation with Hemorrhage
  • 57.
    Current Indications AndContraindications For Emergency Department Thoracotomy INDICATIONS • Salvageable postinjury cardiac arrest: • Patients sustaining witnessed penetrating trauma to the torso with <15 min of prehospital CPR • Patients sustaining witnessed blunt trauma with <10 min of prehospital CPR • Patients sustaining witnessed penetrating trauma to the neck or extremities with <5 min of prehospital CPR • Persistent severe postinjury hypotension (SBP ≤60 mmHg) due to: • Cardiac tamponade • Hemorrhage—intrathoracic, intra- abdominal, extremity, cervical • Air embolism CONTRAINDICATIONS • Penetrating trauma: CPR >15 min and no signs of life (pupillary response, respiratory effort, motor activity) • Blunt trauma: CPR >10 min and no signs of life or asystole without associated tamponade
  • 58.
    • Thus, patientsundergoing cardiopulmonary resuscitation (CPR) upon arrival to the ED should undergo RT selectively based on injury and duration of CPR. Circulation with Hemorrhage
  • 62.
    ABC’s • Fourth priority:Disability and Exposure Disability and Exposure
  • 63.
    ABCDE • Neurologic evaluation: Subtlechanges in mental status can be caused by hypoxia, hypercarbia, or hypovolemia, or may be an early sign of increasing intracranial pressure. • An abnormal mental status should prompt an immediate reevaluation of the patient’s ABCs and consideration of central nervous system injury. • Deterioration in mental status may be subtle and may not progress in a predictable fashion. Disability and Exposure
  • 64.
    ABCDE • High SpinalCord Disruption: • Are at greatest risk for neurogenic shock due to physiologic disruption of sympathetic fibers. • Treatment consists of volume loading and a dopamine infusion, which is both inotropic and chronotropic, as well as a vasoconstrictor. • Seriously Injured Patients: • Must have all of their clothing removed to avoid overlooking limb- or life-threatening injuries • Warmed blankets should be placed immediately to avoid hypothermia. Disability and Exposure
  • 65.
  • 66.
    Fluid resuscitation • Goal:to re-establish tissue perfusion • Begins with isotonic crystalloid, typically Ringer’s lactate. • Patients arriving in shock (persistent SBP <90 mmHg in an adult) • current practice as management is to activate a massive transfusion protocol (MTP) in which red blood cells (RBC) and fresh frozen plasma (FFP) are administered. Disability and Exposure
  • 67.
    ABCDE Urine output • Areliable indicator of organ perfusion but requires time to quantitate. • Adequate urine output: • Adult: 0.5 mL/kg per hour in an adult • Child: 1 mL/kg per • Infant <1 year of age: 2 mL/kg per hour Disability and Exposure
  • 68.
    ABCDE Fracture related bloodloss: • Each rib: 100-200cc • Tibial fractures: 300-500cc • Femur: 800-1000cc • Pelvic: >2000cc Disability and Exposure
  • 69.
    ABCDE 3 broad categoriesof Hypovolemic injured patients: 1. Responders: stable or have a good response to initial fluid therapy, further diagnostic evaluation for occult injuries can proceed in an orderly fashion 2. Transient Responders: respond initially to volume loading with improvement in vital signs, but subsequently deteriorate hemodynamically. This group of patients can be challenging to triage for definitive management. 3. Nonresponders: have persistent hypotension despite aggressive resuscitation. These patients mandate immediate identification of the source of hypotension with appropriate intervention to prevent a fatal outcome. Disability and Exposure
  • 70.
    Persistent hypotension • Patientswith ongoing hemodynamic instability, whether “nonresponders” or “transient responders,” require systematic evaluation and prompt intervention. • Ultrasound evaluation of the pericardium, pleural cavities, and abdomen in combination with plain radiographs of the chest and pelvis will usually identify the source of shock. Disability and Exposure
  • 71.
    ABCDE Persistent Hypotension DueTo Uncontrolled Hemorrhage • associated with high mortality. • A rapid search for the source or sources of hemorrhage includes visual inspection with knowledge of the injury mechanism, eFAST, and chest and pelvic radiographs. • In patients with persistent hypotension and no clear operative indications, one should systematically evaluate the 5 potential sources of blood loss: • Scalp • Chest • abdomen • Pelvis • extremities. Disability and Exposure
  • 72.
    ABCDE • If apatient arrives with a penetrating weapon remaining in place: • The weapon should not be removed in the ED because it could be tamponading a lacerated blood vessel • The surgeon should extract the offending instrument in the controlled environment of the OR, ideally once an incision has been made with adequate exposure for vascular control. • In situations where knives are embedded in the head or neck, preoperative imaging may be useful to anticipate arterial injuries. Disability and Exposure
  • 73.
    SECONDARY SURVEY • Thepatient and surrogates should be queried to obtain an AMPLE history: • Allergies • Medications • Past illnesses or Pregnancy • Last meal • Events related to the injury
  • 74.
    • PE • Adjunctsto the physical examination include: • vital sign and ECG monitoring • nasogastric tube placement • Foley catheter placement • Radiographs • Hemoglobin • base deficit measurements • Urinalysis • repeat FAST exam. • DRE
  • 75.
    • Patients WithTruncal Gunshot Wounds • Cxr (mark PoEn and Poex) • In Critically Injured Patients • Cbc w bt, pt/ptt, abg • Less Severely Injured Patients • Cbc, ua • Automobile collisions • Injury mechanisms
  • 76.
    MECHANISMS AND PATTERNSOF INJURY BLUNT TRAUMA • MORE energy is transferred over a wider area • As a result: • It is associated with multiple widely distributed injuries, • organs that cannot yield to impact by elastic deformation are most likely to be injured, namely, the solid organs (liver, spleen, and kidneys). PENETRATING WOUND • LESS energy is transferred over a wider area • As a result: • the damage is localized to the path of the bullet or knife. • organs with the largest surface area are most prone to injury (small bowel, liver, and colon). • Additionally, because bullets and knives usually follow straight lines, adjacent structures are commonly injured.
  • 77.
    BLUNT TRAUMA According ToTheir Risk For Multiple Injuries: 1. high energy transfer injuries 2. Low energy transfer injuries PENETRATING INJURIES According to Wounding Agent 1. GSW (high vs low velocity) 2. Shotgun injuries (close range vs long range)
  • 78.
    HEAD • Evaluation ofthe head includes examination for injuries to the scalp, eyes, ears, nose, mouth, facial bones, and intracranial structures. • Anterior facial fractures • Examination of the oral cavities
  • 79.
    • All patientswith a significant closed head injury (GCS score <14) should undergo CT scanning of the head. • Additionally, elderly patients or those patients on antiplatelet agents or anticoagulation should be imaged despite a GCS of 15. • The presence of lateralizing findings suggests an intracranial mass lesion or major structural damage.
  • 86.
    • TBI • Mild– GCS 13-15 • Moderate – GCS 9-12 • Severe – GCS 3-8 • Types of closed head injuries • Concussion - temporary neuronal dysfunction following nonpenetrating head trauma. The head CT is normal, and deficits resolve over minutes to hours • Contusion - a bruise of the brain, and occurs when the force from trauma is sufficient to cause breakdown of small vessels and extravasation of blood into the brain. The contused areas appear bright on CT scan
  • 87.
  • 88.
    • DIFFUSE AXONALINJURY • results from high-speed deceleration injury and represents direct axonal damage from shear effects. • CT scan may demonstrate blurring of the gray and white matter interface and multiple small punctate hemorrhages, but magnetic resonance imaging is a more accurate test. • Although prognosis for these injuries is extremely variable, early evidence of DAI is associated with a poor outcome. • Stroke syndromes should prompt a search for carotid or vertebral artery injury using multislice CTA .
  • 89.
    • A shiftof >5 mm typically is considered an indication for evacuation, but this is not an absolute rule. • Patients with open or depressed skull fractures, with or without sinus involvement, may require operative intervention. • Penetrating injuries to the head may require operative intervention for hemorrhage control, evacuation of blood, skull fracture fixation, or debridement.
  • 90.
    • S/Sx toWOF in TBI: • Battle’s sign – echymosis behind the ear (csf leak) • Raccoon eyes – (basal skull fx) – periorbital ecchymosis • Basal skull fx (CSF leak/extravasation: otorrhea or rhinorrhea) • HALO sign – on clothes and lines (blood in the middle, surrounded by yellowish fluid) • Vomiting, LOC, decrease in GCS
  • 91.
    • Generally, patientswho meet all of the following criteria may be managed conservatively: • clot volume <30 cm3 • maximum thickness <1.5 cm • GCS score >8
  • 92.
  • 93.
    NECK • During thephysical examination, one must maintain cervical spine precautions and in-line stabilization. • Due to the devastating consequences of quadriplegia, a diligent evaluation for occult cervical spine injuries is mandatory. • Additionally, intubated patients, patients with distracting injuries, significant mechanism, or another identified spine fracture should undergo CT imaging.
  • 94.
    NECK • During thephysical examination, one must maintain cervical spine precautions and in-line stabilization. • Due to the devastating consequences of quadriplegia, a diligent evaluation for occult cervical spine injuries is mandatory. • Additionally, intubated patients, patients with distracting injuries, significant mechanism, or another identified spine fracture should undergo CT imaging.
  • 97.
    • Spinal CordInjuries Can Vary In Severity • Complete Injuries – quadriplegia or paraplegia • Several Partial Or Incomplete Spinal Cord Injury Syndromes - central cord syndrome • Anterior Cord Syndrome • Brown- Sequard Syndrome
  • 99.
    CHEST • Blunt traumato the chest may involve the: • chest wall, thoracic spine, heart, lungs, thoracic aorta and great vessels, and rarely the esophagus. • Occult Thoracic Vascular Injury • Penetrating Thoracic Trauma Hemothorax and Pneumothorax - most common injuries from both blunt and penetrating thoracic trauma
  • 100.
    Hemothorax and Pneumothorax -most common injuries from both blunt and penetrating thoracic trauma
  • 101.
    Hemothorax and Pneumothorax -most common injuries from both blunt and penetrating thoracic trauma
  • 102.
    Hemothorax and Pneumothorax -most common injuries from both blunt and penetrating thoracic trauma
  • 103.
    Hemothorax and Pneumothorax -most common injuries from both blunt and penetrating thoracic trauma
  • 105.
  • 108.
    ABDOMEN • The abdomenis a diagnostic black box. • With few exceptions, it is not necessary to determine in the ED which intra-abdominal organs are injured, only whether an exploratory laparotomy is necessary. • The presence of abdominal rigidity and hemodynamic compromise is an undisputed indication for prompt surgical exploration.
  • 114.
    • Injury gradingusing the American Association for the Surgery of Trauma (AAST) • grading scale is an important component of non-operative management of solid organ injuries.
  • 115.
  • 116.
  • 118.
    COMPLICATIONS OF NON-OPERATIVEBLUNT HEPATIC INJURY MANAGEMENT • Bile leaks • Abscess • Hemorrhage • Devascularization
  • 119.
    OPERATIVE MANAGEMENT • Bileleaks • Abscess • Hemorrhage • Devascularization
  • 120.
    OPERATIVE MANAGEMENT • Bileleaks • Abscess • Hemorrhage • Devascularization
  • 121.
  • 123.
  • 124.
  • 126.
  • 128.
  • 129.
  • 130.
  • 131.
  • 132.
    PELVIS • Blunt injuryto the pelvis may produce mechanically unstable fractures with major hemorrhage. • Plain radiographs will reveal gross abnormalities, but CT scanning is necessary to determine the precise geometry. • Sharp spicules of bone can lacerate the bladder, rectum, or vagina. • Alternatively, bladder rupture may result from a direct blow to the torso if the bladder is full.
  • 134.
    Pelvic Fracture Hemorrhage Control • These injuriesoften occur in conjunction with other life- threatening injuries, and there is no universal agreement among clinicians on management. • Current management algorithms in the United States incorporate variable time frames for bony stabilization and fixation, as well as hemorrhage control by preperitoneal pelvic packing and/or angioembolization.
  • 136.
    • IDENTIFICATION OFINJURIES • PELVIC BINDER • EXFIX • PRE PERITONEAL PELVIC PACKING
  • 137.
    • IDENTIFICATION OFINJURIES • PELVIC BINDER • EXFIX • PRE PERITONEAL PELVIC PACKING
  • 138.
    EXTREMITIES • Blunt orpenetrating trauma to the extremities requires an evaluation for fractures, ligamentous disruption, and neurovascular injury. • Plain radiographs are used to evaluate fractures, whereas ligamentous injuries, particularly those of the knee and shoulder, can be imaged with magnetic resonance imaging. • Physical examination identifies the majority of arterial injuries, and findings are classified as either hard signs or soft signs of vascular injury.
  • 142.
  • 143.
    POST INJURY RESUCITATION •The period of acute resuscitation, typically lasting for the first 12 to 24 hours after injury • key principles: • optimizing tissue perfusion • ensuring normothermia • restoring coagulation status
  • 144.
    POST INJURY RESUCITATION •HGB >10 g/dL • SV (stroke vol)
  • 145.
    • Optimal earlyresuscitation is mandatory and determines when the patient can: a. undergo additional necessary imaging, b. be returned to the OR after initial damage control surgery for definitive repair of injuries. • Specific goals of resuscitation before repeated “semi-elective” transport include: a. a core temperature of >35°C (95°F) b. base deficit of <6 mmol/L c. Normal coagulation indices.
  • 146.
    Adverse sequelae ofexcessive crystalloid resuscitation include: • increased intracranial pressure • worsening pulmonary edema • intra-abdominal visceral and retroperitoneal edema resulting in secondary abdominal compartment syndrome. • Therefore, it should be the overall trend of the resuscitation rather than a rapid reduction of the base deficit that is the goal. • The goal is to normalize lactate within 24 hours.
  • 147.
    • In general,wounds sustained from trauma should be examined daily for progression of healing and signs of infection. • Complex soft tissue wounds of the abdomen, such as degloving injuries after blunt trauma (termed Morel-Lavallee lesions146), shotgun wounds, and other destructive blast injuries, are particularly difficult to manage. • Following initial debridement of devitalized tissue, wound care includes wet-to-dry dressing changes twice daily or application of a VAC device.
  • 148.
  • 149.
  • 150.
    • mother alwaysreceives priority while conditions are still optimized for the fetus. • provision of supplemental oxygen (to prevent maternal and fetal hypoxia) • fluid resuscitation (the hypervolemia of pregnancy may mask signs of shock) • placement of the patient in the left lateral decubitus position (or tilting of the backboard to the left) to avoid caval compression • Assessment of the fetal heart rate is the most valuable information regarding fetal viability • Fetal monitoring should initially be assessed with bedside FAST ultrasound to document the heart rate of the fetus • subsequent monitoring should be performed with a cardiotocographic device that measures both contractions and fetal heart tones (FHTs).
  • 151.
    • Because changein heart rate is the primary response of the fetus to hypoxia or hypotension, anything above an FHT of 160 is a concern, whereas bradycardia (FHT of <120) is considered fetal distress. • Indications for emergent cesarean section include • (a) severe maternal shock or impending death (if the fetus is delivered within 5 minutes, survival is estimated at 70%) • (b) uterine injury or significant fetal distress (anticipated survival rates of >70% if . • FHTs are present and fetal gestational age is >28 weeks
  • 152.
    • If possible,a member of the obstetrics team should be present during initial evaluation. • Vaginal bleeding • Strong contractions • movement of the fetus • fetal age • Gestational age
  • 153.
    • Initial evaluationfor abdominopelvic trauma in pregnant patients should proceed in the standard manner. • Ultrasound (FAST) • DPL • Trauma radiography • Radiation damage has three distinct phases of damage and effect preimplantation • during the period of organogenesis from 3 to 16 weeks • after 16 weeks. • “safe” doses of radiation dose of 0.07 mrad • CT scan • limit radiographs to those that are essential and to shield the pelvis with a lead apron when possible
  • 154.
    • The graviduterus is a large target, and any penetrating injury to the abdomen may result in fetal injury depending on trajectory and uterine size. • Gunshot wounds to the abdomen are associated with a 70% injury rate to the uterus and 35% mortality rate of the fetus. • If the bullet traverses the uterus and the fetus is viable, cesarean section should be performed. • • On the other hand, stab wounds do not often penetrate the thick wall of the uterus.
  • 155.
    • Patients whoare symptomatic, defined by: • the presence of uterine irritability or contractions • abdominal tenderness • vaginal bleeding • blood pressure instability *****should be monitored in the hospital for at least 24 hours *****Patients without these risk factors who are asymptomatic can be monitored for 6 hours in the ED and sent home
  • 156.
  • 157.
    • Chronologic ageis not the best predictor of outcome, but the presence of preexisting conditions, which affect a patient’s physiologic age, is associated with increased mortality rates. • Injury Severity Score is probably the best overall predictor of patient outcome in the elderly; however, for any given individual its sensitivity may not be precise, and there is a time delay in obtaining sufficient information to calculate the final score. • In addition to preexisting conditions and severity of injury, the occurrence of complications compounds the risk for mortality.
  • 158.
    PEDIATRIC PATIENTS • Pediatrictrauma involves different mechanisms, different constellations of injury, and the potential for longterm problems related to growth and development. As with adult trauma, over 85% of pediatric trauma has a blunt mechanism, with boys injured twice as often as girls.
  • 159.
    • Upon thepediatric patient’s arrival, the basic tenets of the ABCs apply • the airway is smaller and more cephalad in position compared with that of adults • in children younger than 10 years, the larynx is funnel shaped rather than cylindrical as in adults. • the child’s tongue is much larger in relation to the oropharynx • small amount of edema or obstruction can significantly reduce the diameter of the airway (thus increasing the work of breathing), and the tongue may posteriorly obstruct the airway, causing intubation to be difficult. • During intubation, a Miller (straight) blade rather than a Macintosh (curved) blade may be more effective due to the acute angle of the cephalad, funnel-shaped larynx.
  • 162.
    • After initialevaluation based on the trauma ABCs, identification and management of specific injuries proceeds. • Head CT • Skull radiography • Xrays • FAST
  • 163.
    • Non-operative managementof solid organ injuries, first used in children, is the current standard of care in the hemodynamically stable patient. • If the patient shows clinical deterioration or hemodynamic lability, has a hollow viscus injury, or requires >40 mL/kg of packed RBCs, continued non-operative management is not an option. • Success rates of nonoperative management approach 95%, with an associated 10% to 23% transfusion rate. Findings of a hepatic or splenic blush on CT imaging does not uniformly require intervention; patient physiology should dictate embolization or operative intervention
  • 164.