Embed presentation
Downloaded 21 times



















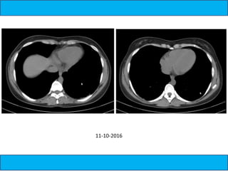
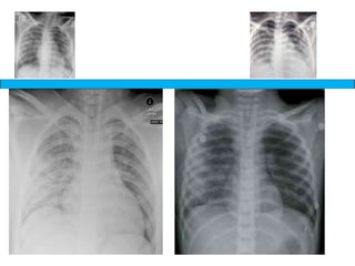
A medical document discusses hypoxia following a road traffic accident. It describes four types of pulmonary contusion caused by direct chest compression, shearing against vertebral bodies, fractured ribs directly injuring the lung, or tearing of lung parenchyma due to prior adhesions. The document also mentions management of pulmonary contusion.

















