SURGERY FOR PULMONARY 
TUBERCULOSIS 
DDrr.. RR SS DDhhaalliiwwaall 
MMBBBBSS,,MMSS,,DDNNBB ((SSuurrgg)),,MM..CChh,,DDNNBB((CCTTVV SSuurrgg)) 
FFAACCSS,,FFCCCCPP,,FFNNCCCCPP,,FFIICCAA,,FFIIAACCSS 
FFoorrmmeerr PPrrooff.. && HHeeaadd,, 
DDeeppaarrtt.. OOff CCTTVV SSuurrggeerryy,, PP GG II MM EE RR,, 
CChhaannddiiggaarrhh,,IInnddiiaa
INDICATIONS 
 COMPLICATIONS OF PULM. 
TUBERCULOSIS - Empyema with BPF or No 
BPF - 
Hemoptysis - Massive or Recurrent - 
Destroyrd Lung (always prone to infection) 
- Bronchial Stenosis 
-Bronchiectasis - Persistent cavity 
( AFB –ve) with secondary 
Infection - Cavity with 
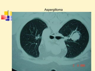
Aspergiloma ( Hemoptysis) 
 DIAGNOSTIC DIALEMA - 
Tuberculoma versus Bronchogenic 
Carcinoma
INDICATIONS 
 Mediastinal Lymphadenopathy 
 Chest wall Involvement – Cold Abcess 
 Pericardial Involvement- Ch 
constrictive pericarditis, effusion with 
tamponade 
 Spinal TB- Pott’s Paraplegia 
 Cavity with Multi Drug Resistent AFB 
 Persistant Cavity - Sputum +ve (after 
3 months ATT)
CONTRAINDICATIONS 
 B/L Disease 
 Active Disease - Sputum +ve ? 
 Presence of Bronchial tuberculosis 
 Poor P F T 
 Uncontolled Severe Systemic Disease 
(Diabetes mellitus, CAD, Renal failure , 
wide spread malignancy present)
INVESTIGATIONS 
 Sputum for AFB 
 FOB Bronchoscopy 
 Pulm. Function Tests 
 HIV, HBS , Tests 
 Hemograms- ESR 
 Radiological Investigations 
 RFT, LFT, ECG,
INVESTIGATIONS 
Chest x-ray Bronchogram
Aspergilloma
Left upper lobe active TB
Large cavity left upper lobe
SURGICAL PROCEDURES 
 COLLAPSE THERAPY 
-Thoracoplasty- Standard or Plombage 
-Artificial Pneumothorax or 
Pneumomediastinum 
-Phrenic Crush 
 Cavernostomy or Monaldi’s peration
SURGICAL PROCEDURES 
 RESECTIONAL PROCEDURES 
*LOBECTOMY * SEGMENTECTOMY 
*PNEUMONECTOMY 
*PLEUROPNEMONECTOMY 
 OTHER OPERATIONS 
*DECORTICATION *CLOSURE OF BPF 
*RIB RESECTION / ELOESEIER FLAP 
 PHYSIOLOGICAL LUNG 
EXCLUSION
COLLAPSE THERAPY 
 Only treatment available prior to advent 
of Anti TB drugs 
 Forlanini 1882 observed that collapse of 
a lobe or lung lead to healing of 
tubercular lesion in that part 
 Artificial Pneumothorax 
 Phrenic Paralysis 
 Pneumoperitoneum
COLLAPSE THERAPY 
 Extrapleural Paravertebral 
Thoracoplasty - Decrneville 1885 
Friedrich & Bauer -1907 
 John Alexander- Staged this procedure 
Published book ‘Collapse therapy for 
Pulm tuberculosis’ in 1937 
 IInnddiiccaattiioonnss for - B/L Pulm TB 
-Pt not fit for lung resection 
-Presence of MDRTB - 
Post resectional empyema or BPF
RESECTIONAL PROCEDURES 
 Tuffier 1891–Resection of Apex of lung 
 Freidlander 1934 – Lobectomy 
 Blades , Kent , Churchll 1940 - 
Individual Ligation of vessels for 
lobectomy 
 Churchill, Belsey 1939 – Segmental 
resection 
 J Maxwell Chamberlane popularized it
IMPORTANT 
PRECAUTIONS 
 Arrange adequate amount of blood 
 Double lumen endotracheal tube essential 
 Position of Patient PLT 
ALT Face Down 
 Resectional Surgery for Pulm TB is 
difficult -Careful mobilisation of lung 
Marked vascular adhesions with chest wall 
Calcification in pleura , Marked blood loss, 
Difficult hilar vessels control
COMPLICATIONS 
 B P F -Causes +ve sputum,MDRTB, 
Diabetes,Rt pneumonectomy ,Prior irradiation 
 EMPYEMA 
 Atelectasis & Pneumonia 
 Wound Infection 
 P O Bleeding 
 Post Pneumonectomy Pulm. Oeema
DECORTICATION 
Pre operative Post operative
DECORTICTION 
Before operation After operation
PHYSIOLOGICAL LUNG 
EXCLUSION 
 MAJOR CAUSES OF MASSIVE 
HEMOTYSIS ARE . TUBERCULOSIS 
. BRONCHIECTASIS 
 LUNG RESECTION IS TREATMENT OF 
CHOICE 
RESECTION MAY BE HAZARDOUS OR 
NOT POSSIBLE DUE TO 
DENSE FIBROSIS, VASCULAR 
ADHESIONS & CALCFICATION 
* ALTERNATIVE LIFE SAVING PPRROOCCEEDDUURREE 
IISS PPHHYYSSIIOOLLOOGGIICCAALL LLUUNNGG 
EEXXCCLLUUSSIIOONN (( AA NNeeww OOppeerraattiioonn 
ddeevviisseedd && ppuubblliisshheedd bbyy mmee))
PHYSIOLOGICAL LUNG 
EXCLUSION 
 PHYSIOLOGICAL BASIS 
 INVOLVED PART OF LUNG ISOLATED BY 
DIVISION OF 
* PULMONARY ARTERY 
* BRONCHUS & BRONCHIAL ARTERIES 
* VIABILITY OF ISOLATED LUNG MAINTAINED 
BY 
* VASCULAR ADHESIONS WITH CHEST WALL 
* INTACT PULMONARY VEINS FOR DRAINAGE
PHYSIOLOGICAL LUNG EXCLUSION-SURGICAL 
TECHNIQUE 
 ANTERO LATERAL THORACOTOMY / 
PARTIAL STERNOTOMY / P L T 
 MINIMUM LUNG MOBILISATION NEAR 
HILUM 
 PULMONARY ARTERY LIGATION 
EXTRA OR INTRAPERICARDIALLY 
• INVOLVED BRONCHUS DIVIDED AND 
CLOSED 
* PULMONARY VEINS PRESERVED
CONCLUSIONS 
PHYSIOLOGICAL LUNG EXCLUSION 
IS 
AN EFFECTIVE ALTERNATIVE OPERATION 
FOR 
CONTROL OF MASSIVE OR RECURRENT 
HEMOPTYSIS 
WHERE 
LUNG RESECTION IS DIFFICULT/HAZARDOUS 
DUE TO 
DENSE FIBROSIS, VASCULAR ADHESIONS & 
CALCIFICATION
Post operative x ray Rt upper lobe 
after Phys.Lung Exclusion
Surgery for  pulmonary tuberculosis
Surgery for  pulmonary tuberculosis

Surgery for pulmonary tuberculosis

  • 2.
    SURGERY FOR PULMONARY TUBERCULOSIS DDrr.. RR SS DDhhaalliiwwaall MMBBBBSS,,MMSS,,DDNNBB ((SSuurrgg)),,MM..CChh,,DDNNBB((CCTTVV SSuurrgg)) FFAACCSS,,FFCCCCPP,,FFNNCCCCPP,,FFIICCAA,,FFIIAACCSS FFoorrmmeerr PPrrooff.. && HHeeaadd,, DDeeppaarrtt.. OOff CCTTVV SSuurrggeerryy,, PP GG II MM EE RR,, CChhaannddiiggaarrhh,,IInnddiiaa
  • 3.
    INDICATIONS  COMPLICATIONSOF PULM. TUBERCULOSIS - Empyema with BPF or No BPF - Hemoptysis - Massive or Recurrent - Destroyrd Lung (always prone to infection) - Bronchial Stenosis -Bronchiectasis - Persistent cavity ( AFB –ve) with secondary Infection - Cavity with Aspergiloma ( Hemoptysis)  DIAGNOSTIC DIALEMA - Tuberculoma versus Bronchogenic Carcinoma
  • 4.
    INDICATIONS  MediastinalLymphadenopathy  Chest wall Involvement – Cold Abcess  Pericardial Involvement- Ch constrictive pericarditis, effusion with tamponade  Spinal TB- Pott’s Paraplegia  Cavity with Multi Drug Resistent AFB  Persistant Cavity - Sputum +ve (after 3 months ATT)
  • 5.
    CONTRAINDICATIONS  B/LDisease  Active Disease - Sputum +ve ?  Presence of Bronchial tuberculosis  Poor P F T  Uncontolled Severe Systemic Disease (Diabetes mellitus, CAD, Renal failure , wide spread malignancy present)
  • 6.
    INVESTIGATIONS  Sputumfor AFB  FOB Bronchoscopy  Pulm. Function Tests  HIV, HBS , Tests  Hemograms- ESR  Radiological Investigations  RFT, LFT, ECG,
  • 7.
  • 8.
  • 9.
    Left upper lobeactive TB
  • 10.
  • 11.
    SURGICAL PROCEDURES COLLAPSE THERAPY -Thoracoplasty- Standard or Plombage -Artificial Pneumothorax or Pneumomediastinum -Phrenic Crush  Cavernostomy or Monaldi’s peration
  • 12.
    SURGICAL PROCEDURES RESECTIONAL PROCEDURES *LOBECTOMY * SEGMENTECTOMY *PNEUMONECTOMY *PLEUROPNEMONECTOMY  OTHER OPERATIONS *DECORTICATION *CLOSURE OF BPF *RIB RESECTION / ELOESEIER FLAP  PHYSIOLOGICAL LUNG EXCLUSION
  • 13.
    COLLAPSE THERAPY Only treatment available prior to advent of Anti TB drugs  Forlanini 1882 observed that collapse of a lobe or lung lead to healing of tubercular lesion in that part  Artificial Pneumothorax  Phrenic Paralysis  Pneumoperitoneum
  • 14.
    COLLAPSE THERAPY Extrapleural Paravertebral Thoracoplasty - Decrneville 1885 Friedrich & Bauer -1907  John Alexander- Staged this procedure Published book ‘Collapse therapy for Pulm tuberculosis’ in 1937  IInnddiiccaattiioonnss for - B/L Pulm TB -Pt not fit for lung resection -Presence of MDRTB - Post resectional empyema or BPF
  • 15.
    RESECTIONAL PROCEDURES Tuffier 1891–Resection of Apex of lung  Freidlander 1934 – Lobectomy  Blades , Kent , Churchll 1940 - Individual Ligation of vessels for lobectomy  Churchill, Belsey 1939 – Segmental resection  J Maxwell Chamberlane popularized it
  • 16.
    IMPORTANT PRECAUTIONS Arrange adequate amount of blood  Double lumen endotracheal tube essential  Position of Patient PLT ALT Face Down  Resectional Surgery for Pulm TB is difficult -Careful mobilisation of lung Marked vascular adhesions with chest wall Calcification in pleura , Marked blood loss, Difficult hilar vessels control
  • 17.
    COMPLICATIONS  BP F -Causes +ve sputum,MDRTB, Diabetes,Rt pneumonectomy ,Prior irradiation  EMPYEMA  Atelectasis & Pneumonia  Wound Infection  P O Bleeding  Post Pneumonectomy Pulm. Oeema
  • 18.
  • 19.
  • 20.
    PHYSIOLOGICAL LUNG EXCLUSION  MAJOR CAUSES OF MASSIVE HEMOTYSIS ARE . TUBERCULOSIS . BRONCHIECTASIS  LUNG RESECTION IS TREATMENT OF CHOICE RESECTION MAY BE HAZARDOUS OR NOT POSSIBLE DUE TO DENSE FIBROSIS, VASCULAR ADHESIONS & CALCFICATION * ALTERNATIVE LIFE SAVING PPRROOCCEEDDUURREE IISS PPHHYYSSIIOOLLOOGGIICCAALL LLUUNNGG EEXXCCLLUUSSIIOONN (( AA NNeeww OOppeerraattiioonn ddeevviisseedd && ppuubblliisshheedd bbyy mmee))
  • 21.
    PHYSIOLOGICAL LUNG EXCLUSION  PHYSIOLOGICAL BASIS  INVOLVED PART OF LUNG ISOLATED BY DIVISION OF * PULMONARY ARTERY * BRONCHUS & BRONCHIAL ARTERIES * VIABILITY OF ISOLATED LUNG MAINTAINED BY * VASCULAR ADHESIONS WITH CHEST WALL * INTACT PULMONARY VEINS FOR DRAINAGE
  • 22.
    PHYSIOLOGICAL LUNG EXCLUSION-SURGICAL TECHNIQUE  ANTERO LATERAL THORACOTOMY / PARTIAL STERNOTOMY / P L T  MINIMUM LUNG MOBILISATION NEAR HILUM  PULMONARY ARTERY LIGATION EXTRA OR INTRAPERICARDIALLY • INVOLVED BRONCHUS DIVIDED AND CLOSED * PULMONARY VEINS PRESERVED
  • 25.
    CONCLUSIONS PHYSIOLOGICAL LUNGEXCLUSION IS AN EFFECTIVE ALTERNATIVE OPERATION FOR CONTROL OF MASSIVE OR RECURRENT HEMOPTYSIS WHERE LUNG RESECTION IS DIFFICULT/HAZARDOUS DUE TO DENSE FIBROSIS, VASCULAR ADHESIONS & CALCIFICATION
  • 26.
    Post operative xray Rt upper lobe after Phys.Lung Exclusion