RRIICCKKEETTSS
LLEEAARRNNIINNGG OOBBJJEECCTTIIVVEESS 
• Define Rickets 
• Enumerate types of Rickets 
• Describe clinical features of nutritional 
Rickets 
• Explain lab diagnosis and X-ray findings in 
nutritional rickets 
• Describe preventive measures for 
nutritional rickets 
• Enlist the post Rickets deformities in 
musculoskeletal system.
DDEEFFIINNIITTIIOONN 
Rickets 
A disease of growing bones 
occurs in children 
before fusion of epiphysis 
due to 
un mineralized matrix 
at the growth plates. 
.
OOsstteeoommaallaacciiaa 
Failure of mature bones to mineralize 
due to 
prolonged deficiency 
dietary lack of vitamin D 
or 
lack of ultraviolet rays of sun.
VVIITTAAMMIINN DD MMEETTAABBOOLLIISSMM 
Maintenance of normal plasma levels of 
Calcium & phosphorus. 
Two forms of Vit D are present 
1 Vit D2 (ergocalciferol) 
2.Vit D3 (cholecalciferol)
• In liver it is hydroxylated into 25- 
hydroxycholicalciferol(25 OH-D) 
• Converted in the kidney into 1-25-(OH)2-D 
• The most active metabolite of Vit D 
• It acts on GIT to increase calcium 
absorption 
• On bone to increase calcium resorption 
• Parathyroid hormone activates Alpha-1 
hydroxylase enzyme in the kidney.
TTyyppeess ooff RRiicckkeettss 
• Vitamin D Deficient Rickets(nutritional) 
• Vitamin D Dependent rickets 
• Vitamin D Resistant Rickets 
• Renal Rickets 
• Hepatic Rickets 
• Congenital Rickets
NNoorrmmaall bboonnee ddeevveellooppmmeenntt 
• Bone consists of protein matrix –osteoid 
• Mineral phase-calcium and phosphorus. 
• Ossification 
• Intramembranous ossification-flat bones 
mesenchymal cells differentiate into 
osteoblasts 
• Enchondral ossification –long tubular 
bones
EEnnddoocchhoonnddrraall oossssiiffiiccaattiioonn 
• Growing cartilage at the epiphyseal plates 
is mineralized and resorbed 
and 
replaced by osteoid matrix 
which undergoes mineralization 
to create bone.
IInn RRiicckkeettss 
Mineralization is delayed or inadequate 
osteoid thickens and increase in 
circumference of growth plate. 
Softening of the bones-----Deformities
CCLLIINNIICCAALL FFEEAATTUURREESS 
• Peak incidence 6 months – 2 years 
• Irritability 
• profuse sweating while asleep 
• hypotonia 
• frequent respiratory infections. 
• Failure to thrive 
• Delay in walking,delayed dentition 
• Fits,tetany.
SSIIGGNNSS 
HEAD 
• Larger than normal. 
• Frontal bossing (due to excess osteoid) 
Craniotabes (ping pong ball sensation) 
due to thinning of outer table of skull. 
• Delayed closure of anterior fontanel 
• caput quadratum (square like head)
TTHHOORREEXX 
• Rachitic Rosery (prominent costochondral 
junctions) 
• Harrison’s sulcus (depression above the 
subcostal margin at the site of diaphragm) 
Pulling of softened ribs by the diaphragm during 
inspiration. 
• Pigeon chest deformity.(The weakened ribs 
bend inwards due to the pull of respiratory 
musclesand ,causing anterior protrusion of 
sternum.
EExxttrreemmiittiieess 
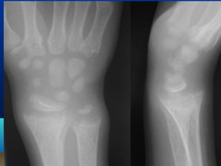
1. Widening of wrists and ankles 
2. Bending of long bones 
results in 
bow legs 
knock knees,(genu valgum) 
3. Green stick fractures
WWiiddeenniinngg ooff wwrriisstt jjooiinnttss
WWiiddeenniinngg ooff aannkkllee jjooiinnttss
LLAABB DDAATTAA 
1.Serum Calcium low (normal 9-11mg/dl) 
2.Serum phosphorus low (normal-5-7mg/dl 
3.Alkaline phosphatase is raised. 
This is the most striking feature,shows 
increased but ineffective activity of 
osteoblasts. 
4. 25-(OH) D levels less than 20 ng/dl 
Confirms of Vitamin D deficiency
TTYYPPEE 22 VVIITT DD DDEEPPEENNDDEENNTT 
• End Organ resistance to effects to 1,25. 
(OH) –D3 
• ALOPECIA 
• 1-25(OH) VIT D is high 
• TREATMENT 
• Physiological doses of one alpha Leo 
• 1-2 micrograms per day.
PPRREEVVEENNTTIIOONN 
• To prevent rickets, health experts 
recommend 
• a child should be breast-fed 
• weaned and put on to cow's milk and 
other foods rich in vitamin D and calcium, 
like eggs and dairy products such as 
butter and leafy vegetables. 
• Fish
PPRREEVVEENNTTIIOONN 
• Daily intake of 400 i.u.vitamin D by 
supplemention. 
• Lactating mothers should receive 
supplemention with milk or vitamin D to 
ensure prevention of rickets in their 
babies. 
• Sun exposure to mothers.
• Calcium supplements such as lime can 
also be added to staple foods like rice and 
bread. Plenty of sunlight, fresh air and 
exercise are also necessary to ensure 
sufficient Vitamin D intake.
• A meeting of international experts on 
rickets held in Dhaka in 2006 identified 
community-based awareness as one of 
the most effective measures against the 
spread of rickets. Experts at the meeting 
said efforts to boost rice production over 
the years had influenced diets: there was 
less emphasis on calcium-rich foods such 
as dairy products and leafy green 
vegetables.
LLEEAARRNNIINNGG OOBBJJEECCTTIIVVEESS 
• Describe clinical features of rickets 
• Enumerate investigations of rickets 
• Interpret investigation of rickets 
• Describe management of rickets. 
• Identify radiological findings in rickets, 
osteomalacia and osteoporosis
TTRREEAATTMMEENNTT 
• STOSS THERAPY 
• 300,000-600,000 units i/m 
• Indrop D 200,000 units 
• Repeat x-ray after 3 weeks 
• Another dose 
• HIGH DOSE VITAMIN D THERAPY 
• 2000-5000 IU/day over 4-6 weeks 
• Followed by intake o 400 I/U daily
VVIITTAAMMIINN DD DDEEPPEENNDDEENNTT 
RRIICCKKEETTSS 
• Inborn error of vitamin D metabolism 
• Autosomal Recessive 
• Type 1 and 2 
• TYPE 1 
• Defect in 1 alpha-hydroxylase responsible for 
the synthesis of 1-25-dihydroxy vit D 
• Symptoms in the 1st year of life 
• Tetany,convulsions,musle weakness andgrowth 
failure
VITAMIN DD RREESSIISSTTAANNTT RRIICCKKEETTSS 
• X linked dominant 
• Males are more severely effected than 
females 
• Vitamin D activation & tubular 
reabsorption of phosphate are impaired 
resulting in hypophosphatemia . 
• TREATMENT 
• Oral Phosphate and 1 ,25-(OH)2 –D3 
0.05micrograms /kg/day.
PPRREEVVEENNTTIIOONN 
1.Exposure to sunlight (ultraviolet light) 
Early morning and evening 30 minutes per 
week or 2 hours per week maintains 
adequate sun exposure. 
2.Food fortified with Vit A and Vit D 
specially butter,ghee and milk. 
Children under 5 should 500ml of milk 
daily or youghart or cheese daily.

Rickets

  • 1.
  • 2.
    LLEEAARRNNIINNGG OOBBJJEECCTTIIVVEESS •Define Rickets • Enumerate types of Rickets • Describe clinical features of nutritional Rickets • Explain lab diagnosis and X-ray findings in nutritional rickets • Describe preventive measures for nutritional rickets • Enlist the post Rickets deformities in musculoskeletal system.
  • 3.
    DDEEFFIINNIITTIIOONN Rickets Adisease of growing bones occurs in children before fusion of epiphysis due to un mineralized matrix at the growth plates. .
  • 4.
    OOsstteeoommaallaacciiaa Failure ofmature bones to mineralize due to prolonged deficiency dietary lack of vitamin D or lack of ultraviolet rays of sun.
  • 5.
    VVIITTAAMMIINN DD MMEETTAABBOOLLIISSMM Maintenance of normal plasma levels of Calcium & phosphorus. Two forms of Vit D are present 1 Vit D2 (ergocalciferol) 2.Vit D3 (cholecalciferol)
  • 7.
    • In liverit is hydroxylated into 25- hydroxycholicalciferol(25 OH-D) • Converted in the kidney into 1-25-(OH)2-D • The most active metabolite of Vit D • It acts on GIT to increase calcium absorption • On bone to increase calcium resorption • Parathyroid hormone activates Alpha-1 hydroxylase enzyme in the kidney.
  • 8.
    TTyyppeess ooff RRiicckkeettss • Vitamin D Deficient Rickets(nutritional) • Vitamin D Dependent rickets • Vitamin D Resistant Rickets • Renal Rickets • Hepatic Rickets • Congenital Rickets
  • 9.
    NNoorrmmaall bboonnee ddeevveellooppmmeenntt • Bone consists of protein matrix –osteoid • Mineral phase-calcium and phosphorus. • Ossification • Intramembranous ossification-flat bones mesenchymal cells differentiate into osteoblasts • Enchondral ossification –long tubular bones
  • 10.
    EEnnddoocchhoonnddrraall oossssiiffiiccaattiioonn •Growing cartilage at the epiphyseal plates is mineralized and resorbed and replaced by osteoid matrix which undergoes mineralization to create bone.
  • 11.
    IInn RRiicckkeettss Mineralizationis delayed or inadequate osteoid thickens and increase in circumference of growth plate. Softening of the bones-----Deformities
  • 12.
    CCLLIINNIICCAALL FFEEAATTUURREESS •Peak incidence 6 months – 2 years • Irritability • profuse sweating while asleep • hypotonia • frequent respiratory infections. • Failure to thrive • Delay in walking,delayed dentition • Fits,tetany.
  • 13.
    SSIIGGNNSS HEAD •Larger than normal. • Frontal bossing (due to excess osteoid) Craniotabes (ping pong ball sensation) due to thinning of outer table of skull. • Delayed closure of anterior fontanel • caput quadratum (square like head)
  • 15.
    TTHHOORREEXX • RachiticRosery (prominent costochondral junctions) • Harrison’s sulcus (depression above the subcostal margin at the site of diaphragm) Pulling of softened ribs by the diaphragm during inspiration. • Pigeon chest deformity.(The weakened ribs bend inwards due to the pull of respiratory musclesand ,causing anterior protrusion of sternum.
  • 19.
    EExxttrreemmiittiieess 1. Wideningof wrists and ankles 2. Bending of long bones results in bow legs knock knees,(genu valgum) 3. Green stick fractures
  • 20.
  • 21.
  • 28.
    LLAABB DDAATTAA 1.SerumCalcium low (normal 9-11mg/dl) 2.Serum phosphorus low (normal-5-7mg/dl 3.Alkaline phosphatase is raised. This is the most striking feature,shows increased but ineffective activity of osteoblasts. 4. 25-(OH) D levels less than 20 ng/dl Confirms of Vitamin D deficiency
  • 30.
    TTYYPPEE 22 VVIITTDD DDEEPPEENNDDEENNTT • End Organ resistance to effects to 1,25. (OH) –D3 • ALOPECIA • 1-25(OH) VIT D is high • TREATMENT • Physiological doses of one alpha Leo • 1-2 micrograms per day.
  • 31.
    PPRREEVVEENNTTIIOONN • Toprevent rickets, health experts recommend • a child should be breast-fed • weaned and put on to cow's milk and other foods rich in vitamin D and calcium, like eggs and dairy products such as butter and leafy vegetables. • Fish
  • 32.
    PPRREEVVEENNTTIIOONN • Dailyintake of 400 i.u.vitamin D by supplemention. • Lactating mothers should receive supplemention with milk or vitamin D to ensure prevention of rickets in their babies. • Sun exposure to mothers.
  • 33.
    • Calcium supplementssuch as lime can also be added to staple foods like rice and bread. Plenty of sunlight, fresh air and exercise are also necessary to ensure sufficient Vitamin D intake.
  • 34.
    • A meetingof international experts on rickets held in Dhaka in 2006 identified community-based awareness as one of the most effective measures against the spread of rickets. Experts at the meeting said efforts to boost rice production over the years had influenced diets: there was less emphasis on calcium-rich foods such as dairy products and leafy green vegetables.
  • 36.
    LLEEAARRNNIINNGG OOBBJJEECCTTIIVVEESS •Describe clinical features of rickets • Enumerate investigations of rickets • Interpret investigation of rickets • Describe management of rickets. • Identify radiological findings in rickets, osteomalacia and osteoporosis
  • 37.
    TTRREEAATTMMEENNTT • STOSSTHERAPY • 300,000-600,000 units i/m • Indrop D 200,000 units • Repeat x-ray after 3 weeks • Another dose • HIGH DOSE VITAMIN D THERAPY • 2000-5000 IU/day over 4-6 weeks • Followed by intake o 400 I/U daily
  • 38.
    VVIITTAAMMIINN DD DDEEPPEENNDDEENNTT RRIICCKKEETTSS • Inborn error of vitamin D metabolism • Autosomal Recessive • Type 1 and 2 • TYPE 1 • Defect in 1 alpha-hydroxylase responsible for the synthesis of 1-25-dihydroxy vit D • Symptoms in the 1st year of life • Tetany,convulsions,musle weakness andgrowth failure
  • 39.
    VITAMIN DD RREESSIISSTTAANNTTRRIICCKKEETTSS • X linked dominant • Males are more severely effected than females • Vitamin D activation & tubular reabsorption of phosphate are impaired resulting in hypophosphatemia . • TREATMENT • Oral Phosphate and 1 ,25-(OH)2 –D3 0.05micrograms /kg/day.
  • 40.
    PPRREEVVEENNTTIIOONN 1.Exposure tosunlight (ultraviolet light) Early morning and evening 30 minutes per week or 2 hours per week maintains adequate sun exposure. 2.Food fortified with Vit A and Vit D specially butter,ghee and milk. Children under 5 should 500ml of milk daily or youghart or cheese daily.