OSTEOGENESIS IMPERFECTA
(BRITTLE BONES)
What is Osteogenesis Imperfecta?
 Osteo-bone Genesis- creation Imperfecta- imperfect.
 A disease most commonly caused by a mutation to the
COL1A1 and COL1A2 genes.
 It is both a dominant and recessive disorder, however
between 85 and 90 percent of O.I. cases are dominant.
 Incidence 1 in 20,000
 Abnormal synthesis and structural defects of type 1 collagen
 Abnormalities of bones,teeth,ligaments,sclerae and skin
 Defining clinical features- osteopenia,
liability to fracture
laxity of ligaments
blue discoloration of sclera
dentinogenesis imperfecta
PATHOLOGY
 Alteration in structural integrity or reduction in total
amount of type 1 collagen
 Bone formation is initiated in the normal way but progresses
abnormally, fully formed tissue consisting of a mixture of
woven and lamellar bone and in worst cases almost entirely
of immature woven bone
CLINICAL FEATURES
 Propensity to fracture even with minor trauma, often
without pain and swelling
 Fracture recur throughout childhood
 Callus formation is florid
 New bone is abnl,remains‘plaible’- malunion
 By 6yrs-deformities of long bones, vertebral compression #
→kyphoscoliosis
 Skin- thin,loose
 Joints- hypermobile
 Blue or grey sclera
 Teeth-discolored and carious
 In severe cases,infant is stillborn or lives for few weeks
death due to resp failure
basilar indentation
intracranial hemorrhage following injury
Symptoms of Osteogenesis Imperfecta
 Muscle Fatigue.
 Scoliosis (Curvature of the Spine).
 Curved Limbs.
 Blue or GrayTint in theWhites (sclera) of the Eye.
 May develop hearing loss later in adulthood (Can be as early as 20s or
30s). This is linked to deformities in the inner ear and three small bones
in the middle ear.
 Brittle and underdeveloped teeth.
 OI patients often bruise easily.
 Constipation.
 Heart Defects.
 Delays in motor development.
Diagnosis of OI
 Fractures occurring with little or no trauma
 Short stature or stature shorter than predicted
 Bone Deformity
 Blue Schlera
 Progressive, post-pubertal hearing loss.
 Family History
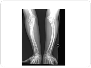
XRAY
 Generalized osteopenia
 Thinning of long bones
 #s in various stages of healing
 Vertebral compression & spinal #
 Skull enlarged, presence of wormian bone
CLASSIFICATION
 Based on well-differentiated pattern of inheritance
 Age of presentation
 Severity of changes in the bones & extra skeletal tissues
 Helps in assessing prognosis and planning treatment
 SILLENCE(1981)- four clinical types of OI
OI Type I (mild)
 The commonest variety; over 50% of all cases
 #s usually appear at 1-2yrs of age
 Healing is reasonably good & deformities not marked
 Sclera deep blue
 Teeth usually normal, some have dentinogenesis imperfecta
 Impaired hearing in adults
 Quality of life good; normal lfe expectancy
 Autosomal dominant inheritance
OI Type II( lethal)
 5-10% of cases
 Intra-uterine and neonatal #s
 Large skull and wormian bones
 Sclerae grey
 Rib fractures and respiratory difficulty
 Stillborn or survive for only few weeks
 Most due to new dominant mutations; some autosomal
recessive
OI Type III( severe)
 The‘classic’, but not common form
 #s often present at birth
 Large skull,wormian bones;pinched-looking face
 Marked deformities and kyphoscoliosis by 6yrs
 Sclera grey,becoming white
 Dentinogenesis imperfecta
 Marked joint laxity
 Respiratory problems
 Poor quality of life; few survive to adulthood
 Sporadic, or autosomal recessive inheritance
OI Type IV
 Uncommon; less than 5% cases
 Frequent #s during early childhood
 Deformities common
 Sclera pale blue or normal
 Dentinogenesis imperfecta
 Survive to adulthood with fairly good function
 Autosomal dominant inheritance
TREATMENT
 Conservative Rx- preventing #,using light weight orthoses
during physical activity, treating # when they occure
 General measures to prevent recurent truma , maintain
movment, encourage social adaptation are very imp
Casts
 Normal casts would actually harm patients with OI.
 Instead specialized casts are used due to the brittle nature of
the bones.
 Fiberglass offers a lighter and more comfortable solution for
OI patients.
 The main purpose of casts is to immobilize the broken limbs.
However immobilization should be limited in order to
prevent bone loss.
 For less serious breaks, parents are also taught to wrap bones
for their children.
Traction
 Traction is used to regain alignment of a fracture by applying
force to the body part. It also can relieve muscle spasms
while the bone is healing. Skeletal traction is applied directly
to the bones using pins, wires, or screws.
Exercise and Physical Therapy
 Regular exercise helps the patients to become stronger and
more independent.
 Swimming and water exercise is the best way for OI patients
to become more fit because it causes less stress on bones than
any other sport.
MEDICAL Rx
 Cyclical administration of iv BISPHOSPHONATES are
resently popular in severe OI [ MOA- inhibit bone
resorption)
 Direct effect of bisphosphonate-decrease resoption & turn
over of bone
 The resulting deceasing bone pain & # -lead to increase
weight bearing & mobility
 It alter the natural course of the disease
 Other medical Rx- hgh, vitamines, androgens
Surgeries
 Rods are added in order to strengthen bones.
 These rods are either non-expandable or expandable. Non-
expandable rods are very versatile but must be changed as the
child grows. Expandable rods grow with the bone, but are
only suitable for larger bones such as the femur.
 Spinal rodding is used in severe cases of Scoliosis.
 Surgery is also used in order to mend the broken bones.
SURGICAL Rx
.Simple undisplased # -plaster cast & splint
 Avulsion # olecranon-TBW
 Severe cases- Special techniques
 IM Rodding of long bone –it allows corection of
deformitoies, put weight bearing line ,along the axis of bone,
allows continous growth
contnd
 Sofields methods- consist of multiple ostiotomies,
realignment & IM nail fixation,
 It is useful for long bones & is indicated for fresh #
&correction of bowing
 There is no growth disterbances in this technique
contnd
 Baily & Duboys – telescopic medullary rod is used which
elongates as growth occurs
 Williams- retrograde nailing is done by fixing an extention
to the distal end of the rod and driving the nail through the
heel
 Spinal deformity is also common and is difficult to Rx
 Bracing is ineffective & progressive curves require operative
instrumentation and spinal fusion
 After adolascence, # less common, patient may reasonably
comfortable.
What were your favorite Childhood
Activities?
THANK YOU

Osteogenesis imperfecta

  • 1.
  • 2.
    What is OsteogenesisImperfecta?  Osteo-bone Genesis- creation Imperfecta- imperfect.  A disease most commonly caused by a mutation to the COL1A1 and COL1A2 genes.  It is both a dominant and recessive disorder, however between 85 and 90 percent of O.I. cases are dominant.
  • 3.
     Incidence 1in 20,000  Abnormal synthesis and structural defects of type 1 collagen  Abnormalities of bones,teeth,ligaments,sclerae and skin  Defining clinical features- osteopenia, liability to fracture laxity of ligaments blue discoloration of sclera dentinogenesis imperfecta
  • 5.
    PATHOLOGY  Alteration instructural integrity or reduction in total amount of type 1 collagen  Bone formation is initiated in the normal way but progresses abnormally, fully formed tissue consisting of a mixture of woven and lamellar bone and in worst cases almost entirely of immature woven bone
  • 6.
    CLINICAL FEATURES  Propensityto fracture even with minor trauma, often without pain and swelling  Fracture recur throughout childhood  Callus formation is florid  New bone is abnl,remains‘plaible’- malunion  By 6yrs-deformities of long bones, vertebral compression # →kyphoscoliosis
  • 7.
     Skin- thin,loose Joints- hypermobile  Blue or grey sclera  Teeth-discolored and carious  In severe cases,infant is stillborn or lives for few weeks death due to resp failure basilar indentation intracranial hemorrhage following injury
  • 9.
    Symptoms of OsteogenesisImperfecta  Muscle Fatigue.  Scoliosis (Curvature of the Spine).  Curved Limbs.  Blue or GrayTint in theWhites (sclera) of the Eye.  May develop hearing loss later in adulthood (Can be as early as 20s or 30s). This is linked to deformities in the inner ear and three small bones in the middle ear.  Brittle and underdeveloped teeth.  OI patients often bruise easily.  Constipation.  Heart Defects.  Delays in motor development.
  • 10.
    Diagnosis of OI Fractures occurring with little or no trauma  Short stature or stature shorter than predicted  Bone Deformity  Blue Schlera  Progressive, post-pubertal hearing loss.  Family History
  • 11.
    XRAY  Generalized osteopenia Thinning of long bones  #s in various stages of healing  Vertebral compression & spinal #  Skull enlarged, presence of wormian bone
  • 14.
    CLASSIFICATION  Based onwell-differentiated pattern of inheritance  Age of presentation  Severity of changes in the bones & extra skeletal tissues  Helps in assessing prognosis and planning treatment  SILLENCE(1981)- four clinical types of OI
  • 15.
    OI Type I(mild)  The commonest variety; over 50% of all cases  #s usually appear at 1-2yrs of age  Healing is reasonably good & deformities not marked  Sclera deep blue  Teeth usually normal, some have dentinogenesis imperfecta  Impaired hearing in adults  Quality of life good; normal lfe expectancy  Autosomal dominant inheritance
  • 16.
    OI Type II(lethal)  5-10% of cases  Intra-uterine and neonatal #s  Large skull and wormian bones  Sclerae grey  Rib fractures and respiratory difficulty  Stillborn or survive for only few weeks  Most due to new dominant mutations; some autosomal recessive
  • 17.
    OI Type III(severe)  The‘classic’, but not common form  #s often present at birth  Large skull,wormian bones;pinched-looking face  Marked deformities and kyphoscoliosis by 6yrs  Sclera grey,becoming white  Dentinogenesis imperfecta  Marked joint laxity  Respiratory problems  Poor quality of life; few survive to adulthood  Sporadic, or autosomal recessive inheritance
  • 18.
    OI Type IV Uncommon; less than 5% cases  Frequent #s during early childhood  Deformities common  Sclera pale blue or normal  Dentinogenesis imperfecta  Survive to adulthood with fairly good function  Autosomal dominant inheritance
  • 20.
    TREATMENT  Conservative Rx-preventing #,using light weight orthoses during physical activity, treating # when they occure  General measures to prevent recurent truma , maintain movment, encourage social adaptation are very imp
  • 21.
    Casts  Normal castswould actually harm patients with OI.  Instead specialized casts are used due to the brittle nature of the bones.  Fiberglass offers a lighter and more comfortable solution for OI patients.  The main purpose of casts is to immobilize the broken limbs. However immobilization should be limited in order to prevent bone loss.  For less serious breaks, parents are also taught to wrap bones for their children.
  • 22.
    Traction  Traction isused to regain alignment of a fracture by applying force to the body part. It also can relieve muscle spasms while the bone is healing. Skeletal traction is applied directly to the bones using pins, wires, or screws.
  • 23.
    Exercise and PhysicalTherapy  Regular exercise helps the patients to become stronger and more independent.  Swimming and water exercise is the best way for OI patients to become more fit because it causes less stress on bones than any other sport.
  • 24.
    MEDICAL Rx  Cyclicaladministration of iv BISPHOSPHONATES are resently popular in severe OI [ MOA- inhibit bone resorption)  Direct effect of bisphosphonate-decrease resoption & turn over of bone  The resulting deceasing bone pain & # -lead to increase weight bearing & mobility  It alter the natural course of the disease
  • 25.
     Other medicalRx- hgh, vitamines, androgens
  • 26.
    Surgeries  Rods areadded in order to strengthen bones.  These rods are either non-expandable or expandable. Non- expandable rods are very versatile but must be changed as the child grows. Expandable rods grow with the bone, but are only suitable for larger bones such as the femur.  Spinal rodding is used in severe cases of Scoliosis.  Surgery is also used in order to mend the broken bones.
  • 27.
    SURGICAL Rx .Simple undisplased# -plaster cast & splint  Avulsion # olecranon-TBW  Severe cases- Special techniques  IM Rodding of long bone –it allows corection of deformitoies, put weight bearing line ,along the axis of bone, allows continous growth
  • 28.
    contnd  Sofields methods-consist of multiple ostiotomies, realignment & IM nail fixation,  It is useful for long bones & is indicated for fresh # &correction of bowing  There is no growth disterbances in this technique
  • 29.
    contnd  Baily &Duboys – telescopic medullary rod is used which elongates as growth occurs  Williams- retrograde nailing is done by fixing an extention to the distal end of the rod and driving the nail through the heel
  • 30.
     Spinal deformityis also common and is difficult to Rx  Bracing is ineffective & progressive curves require operative instrumentation and spinal fusion  After adolascence, # less common, patient may reasonably comfortable.
  • 31.
    What were yourfavorite Childhood Activities?
  • 32.