Embed presentation


























































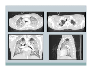
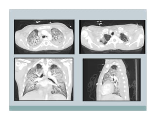
This document discusses the use of positive end-expiratory pressure (PEEP) in patients receiving mechanical ventilation. It describes a 19 year old female patient with immunosuppression and CMV pneumonia who requires intubation and mechanical ventilation. The goal of using PEEP in this patient is to decrease the risk of ventilator-induced lung injury while also aiming to increase oxygen levels and decrease the need for high oxygen supplementation. The document then reviews evidence and controversies around optimizing PEEP levels to reduce lung injury and improve outcomes in acute lung injury and acute respiratory distress syndrome patients.
























































