Osteomalacia
Zaryab Ghauri
Batch E
What is Osteomalacia?
Osteomalacia means soft bones often develops
because of vitamin D deficiency.
Who gets Osteomalacia?
Elder People
Family History of Rickets
Black Race
South Asian Origin
Bone Mineralization
Bone Mineral Hydroxyapatite
[Ca10(PO4)6(OH)2]
Vitamin D(Metabolism)
Vitamin D(Functions)
*Intestinal Calcium
absorption
*Re-absorption of Calcium
from Kidneys
*Interaction with PTH in
regulation of blood
Calcium
*Mineralization of Bone
Osteoclasts
Osteoblasts
Osteocytes
Lining Cells
Pathology in Osteomalacia
Inadequately mineralized Osteoid
Causes Of Osteomalacia
1. Vitamin D deficiency
Diet
Sun Exposure
2. Gastrointestinal Causes
Gastric
Intestinal
Billiary
3. Renal Causes
Chronic Renal Failure
Renal Tubular Acidosis
Long term Renal Dialysis
Fanconi Syndrome(Poisoning)
4. Tumor Induced Osteomalacia
5. Drugs
Phenobarbital (Pubmed)
Acetazolamide
(JAMA, Journal of the American Medical Association)
Ammonium Chloride
(http://press.endocrine.org/doi/abs/10.1210/jcem-16-5-599)
Disodium Etidronate
(http://www.ncbi.nlm.nih.gov/pubmed/10883448)
Flouride
(http://fluoridealert.org/studies/osteoid02/)
Symptoms
>50yrs age
Bone Pain
Muscle Weakness
Easy Fractures
Investigations
CBC
Electrolytes
Levels Of Calcium
Phosphorus
Calcium Phosphorus Index
Vitamin D
ALP
PTH
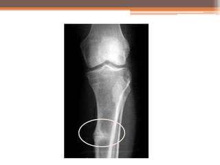
Looser’s Zone
Codfish Vertebrae
Trefoil Pelvis
Bone Scan
Treatment
Sun Exposure
Diet
Vitamin D supplementation
Prevention
References
http://painreliveonlypt.blogspot.com/2014/10/
osteomalacia-causes-risk-factors.html
http://www.arthritisresearchuk.org/arthritis-
information/conditions/osteomalacia/what-is-
osteomalacia.aspx
http://www.vitaminsestore.com/osteomalacia-
causes-treatments-symptoms-and-risk-factors/

Osteomalacia

Editor's Notes

  • #16 http://radiopaedia.org/cases/loosers-zones-osteomalacia