OSMOTIC DEMYELINATION
SYNDROME
Ubaidur Rahaman
Senior Resident, Critical Care Medicine
Sanjay Gandhi Post Graduate Institute of Medical Sciences,
Lucknow, India
“Damned if we do, damned if we don’t”

Oh MS, Kim Hi, Carrol HJ.

Recommendations for treatment of symptomatic hyponatremia.
Nephron 1995;70:143-50
A 58-year-old male had been recently discharged from a ICU
following a six day stay for treatment of hyponatremia, jaundice, and
abnormal liver function tests.
Four days later he presented to the local emergency department
with agitation, delirium and altered level of consciousness.
Physical examination demonstrated a jaundice, afebrile, normotension
without cardiovascular, respiratory, abdominal or neurological abnormalities.
Lab showed a normal complete blood count and electrolytes with
minor elevation of total bilirubin and alkaline phosphatase.
Within 48 hours he developed acute oropharyngeal dysphagia.
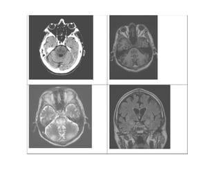
Unenhanced CT head
focal hypoattenuation in the mid and dorsal pons

MRI brain
abnormal low T1 and high T2 mexican hat shaped signal within the central pons
with sparing of the corticospinal tracts ventrolaterally.
Abnormal increased T2 signal was also demonstrated
in the thalami and putamen bilaterally
Restricted diffusion was noted in these corresponding regions
with diffusion weighted imaging (DWI)
Clinical and radiological findings were compatible with
central pontine myelinolysis (CPM)
and extrapontine myelinolysis (EPM)
HISTORICAL EVOLUTION
AMA Arch Neurol Psychiat 1959; 81:154–172
Central pontine myelinolysis:
a hitherto undescribed disease occurring in alcoholic and malnourished patients.
Adams RD, Victor M, Mancall EL
A series of 4 patients
quadriparesis, pseudobulbar paralysis
characteristic pattern of myelin loss confined within central pons.
No evidence of inflammation
( differentiating from known demyelinating disease like multiple sclerosis)
3 patients were alcoholics, malnourished and chronically ill

Authors called it "new disease" and termed it
CENTRAL PONTINE MYELINOLYSIS
AMA Arch Neurol Psychiat 1959; 81:154–172
Central pontine myelinolysis:
a hitherto undescribed disease occurring in alcoholic and malnourished patients.
Adams RD, Victor M, Mancall EL

Classic histopathology of the pons in CPM showing a symmetrical, central bat-wing
area of demyelination affecting most of the pontine base. Luxol-fast blue/PAS
Literature of previous 75 years
revealed no case resembling CPM, clinically or pathologically.

Adams

alcoholism abuse since ages,
But CPM was new

IOTROGENIC
AGENTS
detected in hospital setting only
no patient admitted with symptoms of CPM,
and proved to have such pathology at postmortem examination.

1963
Aleu and Terry
Co-incidence or Co relation
1950: the Plastic Revolution: Intravenous Fluid Therapy
Corresponded with detection of CPM Messert and co-workers (1979)
1966
More lesions identified and not localized to the Pons

basal ganglia,
thalamus,
Gray-white junction of cerebral and cerebellar cortices,
lateral geniculate

Most of the cases occurred in chronic conditions such as
liver disease, sepsis, burns, and cancer
ie
It occurred in presence of co-existing diseases/ conditions
1977
Burcar et al

15 cases

All had

HYPONATREMIA
(S.Na: 96-130)

Hyponatremia………
………….
ODS
1977
Burcar et al

LITERATURE REVIEW

Hyponatremia

ODS

80 cases, electrolytes documented in 30 cases;
Hyponatremia: 12 cases.

Rest 50 cases ( electrolytes not documented)
Review of history for plausible conditions leading to hyponatremia
( compulsive water drinking, hemodialysis, SIADH, severe renal disease,
diarrhea or vomiting, thyroid or adrenal disease)

69 of 80 patients
either had documented hyponatremia or
plausible cause of hyponatremia
Tomlinson BE, Pierides AM, Bradley WG
Central pontine myelinolysis. Two cases with associated electrolyte disturbance
QJM. 1976;45:373-86.

2 cases
protracted vomiting and drowsiness

Hyponatremia

severe hyponatraemia (serum sodium 96–100 mEq/l)

ODS
Correction of electrolyte abnormalities was accompanied by
deterioration in the level of consciousness,
quadriparesis, dysphasia and mutism

Postmortem examination
finding of CPM and EPM
1979: Kevin Leslie
Pathology resident at the University of Colorado

breakdown of BBB
Autopsy of a Jaundiced patient with CPM

striking green discoloration
Lesion in the pons

Exit of albumin-bound bile
pigment from blood stream
into brain tissues.

Blood derived
MYELINOLYTIC
factor
Complements, immunoglobulins

Several reports of
similar green discoloration of the pons
in patients with CPM who had concurrent liver disease and jaundice
HYPONATREMIA

CORRECTION OF HYPONATREMIA

OPENING OF BBB

BLOOD DERIVED MYLENOLYTIC FACTOR

ODS
Brightman 1973, Rapoport 1976

BBB could be opened by intravenous Hypertonic saline
Endothelial cell dehydration and shrinkage
impairment of endothelial tight junctions

Neurosurgeons were using this strategy
to deliver chemotherapeutic drugs
that were impermeable to BBB
Why specific areas of brain affected

Gray matter is 10 times rich in capillaries than white matter
If some myelnotoxic factor is responsible for demyelination
This factor would be enriched in GRAY matter

while substrate MYELIN would be present in immediately adjacent
WHITE matter

Areas with rich admixture of GRAY and WHITE matter would be at greatest risk

These areas are
PONS, thalamus, striatum
Why specific areas of brain affected

Sketch of Human Pons
close admixture of white matter bundles within gray matter
Blood derived
MYELINOLYTIC
factor
“ I wonder whether CPM is due to osmotic stress?”
Scott VendenBerg, first year Pathology Resident

One morning in 1979 while preparing to review the histology of a case of CPM,
I mentioned our recent studies on the potential role of hyponatremia.
In a nonchalant manner Scott said
“ I wonder whether CPM is due to osmotic stress?”.
I was not exactly sure what Scott had in mind when he uttered that phrasebut that was a quintessential moment
as this comment immediately crystallized
all of the disjointed facts into a logical mechanism,
potentially explaining the pathogenesis of CPM

Michael D. Norenberg
Central Pontine Myelinolysis: historical and mechanistic considerations
Metab Brain Dis. 2010;25:97-106
Neurology Resident

Norenberg MD, Leslie KO, Robertson AS.
Association between rise in serum sodium and central pontine myelinolysis.
Ann Neurol. 1982;11:128-35.
15 case of CPM

Comparable group

Rise in S.Na of 20-30meq/L
over 3-10 days
before symptoms appeared

with similar degree of hyponatremia,
which was corrected slowly,
did not develop CPM

Kleinschmidt-DeMasters BK, Norenberg MD. Rapid
correction of hyponatremia causes demyelination: relation to central pontine myelinolysis
Science 1981;211:1068-70.
Rats made hyponatremic with vasopressin and water injection
S.Na corrected with hypertonic saline

Demyelinating lesions were observed in midbrain, thalamus and straitum.
But not in Pons ( in rats pons consists totally of white matter)
1982: Norenberg
Case report

Normonatremic ( S.Na-139) patient with hepatic encephalopathy
Treated with lactulose

On Day10,
S.Na increased to 171 meq/L

Patient became restless and confused and died on D20

Histopathology showed demyelinating lesion in centre of pontine base
HYPONATREMIA

CORRECTION OF HYPONATREMIA

Rapid correction of
Hyponatremia

OPENING OF BBB

BLOOD DERIVED MYLENOLYTIC FACTOR

ODS

OSMOLALITY
DIFFERENCE
1984:NORENBERG
Rapid correction of hyponatremia in
Patient with short duration hyponatremia ( hours to few days),
did not develop CPM.
But those with longer duration ( 1 week or longer),
developed CPM.

Michael D. Norenberg, Rebecca E. Papendick
Chronicity of hyponatremia as a factor in experimental myelinolysis
Annals of Neurology 1984;15(6): 544–547
Rats hyponatremic for 1 day compared with another group hyponatremic for 3 days
3-day hyponatremic rats
developed more numerous and more severe demyelinative lesions
than the 1-day rats
HYPONATREMIA

CORRECTION OF HYPONATREMIA

Rapid correction of
Hyponatremia

OPENING OF BBB

BLOOD DERIVED MYLENOLYTIC FACTOR

OSMOLALITY
DIFFERENCE

ODS
DURATION OF HYPONATREMIA
Chronicity
Nephrol Dial Transplant (1993) 8: 644-646

Central pontine myelinolysis secondary to frequent and rapid shifts in
plasma glucose in a diabetic haemodialysis patient
N. Esforzado, E. Poch, C. Cardenal, J. Lopez-Pedret, L. Revert

22 years female, case of DM type 1 with CKD
History of frequent rapid change in glucose
Admitted with depression of consciousness and difficulty in swallowing.
Afebrile, hemodynamically stable.
Neurological examinationL bilateral Babinski sign with a reduced gag reflex.
The rest of the physical examination was unremarkable.
Investigation revealed
glucose 684mg/dl, BUN 78mg/dl, Na 130 mmol/L, K 5.1 mmol/L,
serum osmolality 302 mOsm/kg
CSF and toxicology screening negative
MRI brain suggestive of CPM
Clin Neuropathol. 1989 Nov-Dec;8(6):284-8.
Lateral pontine and extrapontine myelinolysis associated with
hypernatremia and hyperglycemia.
McComb RD, Pfeiffer RF, Casey JH, Wolcott G, Till DJ.

A woman presented in hyperosmolar diabetic coma with
hypernatremia (169 mEq/l) and hyperglycemia (954 mg/dl).

Plasma sodium rapidly increased to 188 mEq/l before gradually returning to normal
She remained obtunded and died 21 days later

Autopsy showed
widespread, symmetrical demyelination involving
subcortical white matter, corpus callosum, anterior commissure,
external, and internal capsules, fornix, thalamus, cerebellum, and lateral pons.
Neurocrit Care. 2009;11(2):251-4
Central pontine myelinolysis in a patient with hyperosmolar hyperglycemia
and consistently normal serum sodium
Burns JD, Kosa SC, Wijdicks EF.

A 93 year-old-man developed marked gait ataxia
2 days after the diagnosis and treatment of hyperosmolar hyperglycemia

Calculated S.OSM on admission was 344 mOsm/kg and fell to 300 mOsm/Kg over 20 h.
Serum sodium concentration stayed between 137 and 140 mEq/l throughout the admission.

MRI
symmetric lesion in the central pons
consisting of increased T2 signal intensity and restricted diffusion,
consistent with CPM.
J Child Neurol 2009 24: 884

Osmotic Demyelination Syndrome as a consequence of Treating
Hyperammonemia in a Patient With Ornithine Transcarbamylase Deficiency
Javier F. Cardenas, MD, and John B. Bodensteiner, MD

7-year-old female patient with a 1-year history of psychiatric outbursts presented to the
emergency department with a prolonged episode of confusion, hallucinations, and agitation.

Lab showed elevated blood ammonia- 253 mmol/L, SGOT-296 U/L, SGPT- 496 U/L,
S. sodium- 142 mmol/L.

Presumptive diagnosis of ornithine transcarbamylase deficiency was made
treated with sodium benzoate and sodium phenylacetate and responded quickly,
with ammonia levels reaching 33 mmol/L within 24 hours.
10 days later, she began to have an unsteady gait,
uncoordinated arm movements, and dysarthia
MRI brain demonstrated
T2-weighted hyperintensities in the central pons and the sublentiform white matter, bilaterally.
Rapid change in Osmolality without change in S.Na
has been reported to led to ODS
•In Post liver transplant patients
•Dialysis disequilibrium syndrome
•Treatment of hyperammonemic patients
•Correction of hypernatremia and hyperglycemia

REAL CULPRIT
OSMOLALITY CHANGE
Clin Neurol Neurosurg. 1995 Nov;97(4):340-3.
Central pontine myelinolysis following 'slow' correction of hyponatremia.
Pradhan S, Jha R, Singh MN, Gupta S, Phadke RV, Kher V.

2 patients chronic renal failure
admitted in a stuporous state due to hyponatremia

118 – 122 – 126 – 133
Over consecutive 4 days

Rate of correction:

118 – 122 – 125 – 129
Over consecutive 4 days

Both developed CPM during the hospital stay
despite slow and judicious correction of hyponatremia.
Renal failure and administration of exogenous urea
Prevented myelinolysis following rapid correction of experimental hyponatremia
Soupart 2000.
PATHOPHYSIOLOGY
Electrolyte Composition
of Body Fluid Compartments
Na is the most abundant molecule in ECF
Na is the most osmotically active molecule ( Osmolytes) in ECF
Contribution of Gluc and BUN is
5 mOsm/L

S. Osm ( mOsm/kg of water)
(2*[Na] + [Glucose/18] + [BUN/2.8]
(Na in meq/L, Glucose in mg/dL, BUN in mg/dL)

Osmotic pressure and osmolality determines
distribution of fluid in body compartments
INTRACELLULAR COMPARTMENT

INORGANIC OSMOLYTES

ORGANIC OSMOLYTES
Glycine
Taurine
Creatine
Myoinositol
OSMOLALITY

Serum
280-295 mOsm/kg
Real story in critically ill patients

S. Osm = 2* (140) + 90/18 + 5/2.8
= 280
+ 5
+ 1.7
= 286.7

S. Osm = 2* (145) + 180/18 + 60/2.8
= 290
+ 10
+ 21
= 321
HYPO OSMOLALITY
HYPONATREMIA
Osmolality difference between intracellular and extracellualar compartment

Initially GLIAL cells
selectively swell
have selective AQP channels

After 24 to 48 hours

Energy dependent of extrusion of
solute and water from cells
Restoration of cell volume
this compensatory mechanism is
complete bye 48 hours.
Hence working definition of
acute vs chronic hyponatremia

Joshua D. King, Mitchell H. Rosner. Osmotic demyelination syndrome. Am J med sci 2010:339;6
Cell adapted to
decreased osmolality

Rapid correction of osmolality

Osmolality difference between two compartments
Water exits from cells

Disruption of BBB

Exposure of glial cells to
cytokines, complements

Cell dehaydration

Demyelination and apoptosis

Axonal shear injury

Joshua D. King, Mitchell H. Rosner. Osmotic demyelination syndrome. Am J med sci 2010:339;6
Cell adapted to
decreased osmolality

Rapid correction of osmolality

Need for Increased production of
organic osmolytes

Osmolality difference between
two compartments

Upregulation of
Na K ATPase channels

Significant
Metabolic Stress

Patient vulnerable to energy deprivation- Alcoholics, Malnutrition

Failure to respond to these changes
Failure to regulate cellular volume
Joshua D. King, Mitchell H. Rosner.
Osmotic demyelination syndrome.
Am J med sci 2010:339;6
brain reclaims organic osmolytes more slowly during correction of hyponatremia
than it loses them during the onset of hyponatremia;
this slow recovery of osmolytes appears to play an important role in the
pathogenesis of iatrogenic brain damage.
Several lines of evidence in experimental models support this conclusion
(1) brain regions that are most susceptible to myelinolysis are the
slowest to reclaim lost osmolytes
(2) uremia, which is protective against myelinolysis,
is associated with a more rapid recovery of brain organic osmolytes
after correction of hyponatremia
(3) exogenous administration of the organic osmolyte, myoinositol,
during correction of hyponatremia rapidly restores
brain myoinositol levels and
decreases the number and severity of demyelinating lesions in the brain.

Richard H. Sterns, Sagar U. Nigwekar, John Kevin Hix,
The Treatment of Hyponatremia
Semin Nephrol 29:282-299
Chronic hyponatremia

Loss of organic osmolytes is more

Following rapid correction
Synthesis and accumulation of organic omolytes into cells
takes about 5 days
This is compensated by accumulation of inorganic osmolytes in higher amount

Inorganic osmolytes bind to proteins and denature them and
destroy normal protein structure and function iof cells
Joshua Johnstone, Arumugam Jayakumar

Osmotically stressed endothelial cells in culture
release a factor that is
lytic to cultured oligodendrocytes.
Effect of co existing other electrolyte and metabolic disturbances
increased risk of ODS
HYPOKALEMIA
Concomitant hypokalemia potentiates osmolality difference between
intracellular and extracellular compartment
Na is corrected more rapidly, when hypokalemia is corrected along with hyponatremia
Increased activity of NaKATPase

Hypophosphatemia
Pi is required for synthesis of two organic osmolytes,
phosphocreatine and glycerolphosphorylcholine
Effect of co existing other electrolyte and metabolic disturbances

UREMIA
Protective effect
In azotemic rats, Brain myoinositol ( organic osmolyte) levels
increased more quickly during rapid correction of hyponatremia
J Neurol Neurosurg Psychiatry 2003;74:353–355
Central pontine myelinolysis associated with hypokalaemia in anorexia nervosa
T Sugimoto, T Murata, M Omori, Y Wada
DISEASES ASSOCIATED WITH ODS

Alcoholism
Malnutrition
Post liver transplant
Prolonged diuretic use
Psychogenic polydypsia
Burns
Post pituitary surgery
Post surgery: urological, gynecological
LIVER DISEASE AND ORTHOTROPIC LIVER TRANSPLANTATION

Often associated hyponatremia
Malnourished
decreased intracellular myo ionositol level
Reduced myo ionositol level has been documented in these patients
Cultured astrocytes treated with ammonia show reduced myo ionositol levels.
Ammonia impairs uptake of myo ionositol by astrocytes.
Other organic osmolytes ( taurine, glycerophosphorylcholine) are reduced in patients with
hepatic encephalopathy
INCIDENCE

Not exactly known because of paucity of studies
Majority of pathologically diagnosed cases are clinically asymptomatic
Largest autopsy series:
0.25-0.5% prevalence in general population
Majority were undiagnosed

Alcoholics and liver transplant have much higher rate on pathological examination
Liver transplant patient – 10% (on autopsy)

Josua D. King, Mitchell H. Rosner
Osmotic Demyelination Syndrome
Am J Med Sciences 2010;339(6)
CLINICAL MANIFESTATION
Patient presenting with encephalopathy or seizures from hyponatremia
Hyponatremia corrected
Patient impvroves

Few days later
(1 to 7 days)
Patient presents with

Dysarthria, dysphagia, flaccid quadriaparesis later becoming spastic
Pupillary abnormality and EOM palsy
Locked in syndrome
CLINICAL MANIFESTATION
Psychiatric and behavioral changes
Movement disorders
Mutism, parkinsonism, dystonia, catatonia

In EPM variety of clinical features can be seen to evolve
Patient progressing from spastic paraparesis with postural limb tremors and myoclonic jerks
to a parkinsonian picture with choreoathetosis and
finally into a permanent parkinsonian state with dystonia

Parkinsonism dominated clinical picture with signs of pyramidal dysfunction
which resolved over four months, being replaced by
transient retrocollis and oromandibular dystonia and a
permanent focal dystonia of arm with spasmodic dysphonia.

These movement disorders are easily controlled with dopaminergic drugs
IMAGING
MRI:imaging of choice
Hyperintense lesion on T2 weighted
Hypointense lesion on T1 weighted
DWI might have capability of detecting lesion undetectable on T2

TIMING
Timing of appearance may be delayed
MR image typically are normal at the onset of symptoms and
become positive after approximately 2 weeks
If diagnosis remains likely: repeat imaging at 10-14 days may reveal lesion
LESIONS OF ODS
Pons
Cerebellum
Lateral geniculate body
External capsule
Hippocampus
Putamen
Cerebral cortex/ subcortex
Thalamus
Caudate nucleus
Claustrum
Internal capsule
Midbrain
Internal medullary lamella
Mamillary body
Medulla oblongata
MICROSCOPY

Degeneration and loss of
oligodendrocytes
with preservation of axons unless lesion is advanced
RELATIVE PROPORTIONS OF CPM AND EPM

CPM
1/2

CPM
+
EPM
3/5

EPM
2/5
TREATMENT
Prevention
Judicious correction of Hyponatremia
Selective vasopressin receptor antagonis
For euvolumic or hypervolumic hyponatremia
Corticosteroids
Used to mitigate severity of ODS
? Stabilization of BBB
Timing of administration not well determined
Myoinositol
Improve mortality in rats with rapid correction of hyponatremia
Plasmapheresis
Appeared beneficial in series of 4 patients with ODS
? Reduction in inflammatory mediators and preservation of BBB
TREATMENT
Re induction of Hyponatremia
in chronic hyponatremic rats who had roughly
30 meq/L change in S.serum Na in 12 hours
Reinduction of mild hyponatremia reduced
both neurological manifestation and mortlaity from 100% to 6%
Kidney Int. 2009 Sep;76(6):614-21
Re-induction of hyponatremia after rapid overcorrection of hyponatremia reduces mortality in rats.
Gankam Kengne F, Soupart A, Pochet R, Brion JP, Decaux G

Case reports showing improvement in neurological symptoms
after re induction of hyponatremia
Oya S, Tsutsumi K, Ueki K, et al.
Reinduction of hyponatremia to treat central pontine myelinolysis.
Neurology 2001;57:1931–2
Soupart A, Ngassa M, Decaux G.
Therapeutic relowering of the serum sodium in a patient after excessive correction of hyponatremia.
Clin Nephrol 1999;51:383– 6
CORRECTION OF HYPONATREMIA

Mortality associated with
hyponatremia and slow correction

Risk of ODS and
associated morbidity and mortality

“Damned if we do, damned if we don’t”
Oh MS, Kim Hi, Carrol HJ.
Recommendations for treatment of symptomatic hyponatremia.
Nephron 1995;70:143-50

Nutritional status of patient plays a part,
impairing ability to generate organic osmoles.
At present we can not assess this ability,
and so it is not really possible to determine a threshold rate of change
that can be guaranteed to be universally safe.
Recommendations for safe rate of Na rise are based on
animal models and published series of CPM
R J Martin,
Central pontine and extrapontine myelinolysis: the osmotic demyelination syndromes
SUGGESTED MAXIMUM CORRECTION OF HYPONATREMIA
Rate of correction

Symptomatic
or
Acute hyponatremia

1-2 meq/L/h ( 10-12 meq/L/day)

(change >0.5 meq/L/h or onset in < 48 hours)

Chronic hyponatremia
(Change over > 48 hours or unknown duration)

Increased risk of CPM
as adaptive mechanism has occured

GOAL of Correction

0.5 meq/L/h ( 8-10 meq/L/day)

120-130 meq/L
Lower in patients with s.Na<105
Acute symptomatic hyponatremia
No more than 2 mmol/L/hr, for the initial 6 hours,
Not to exceed a change of >10–12 mmol/L/day.

Asymptomatic hyponatremia
0.5 mmol/L/h
Crit Care Med. 2012 Mar;40(3):970-2.
Long-term outcome of patients hospitalized in intensive care units
with central or extrapontine myelinolysis
Louis G, Megarbane B, Lavoué S, Lassalle V, Argaud L, Poussel JF, Georges H, Bollaert PE.

Retrospective observational study,
unfavorable outcome- modified Rankin Scale score >3 or death
36 patients with CPM or EPM treated in 2000-2010
31 (86%) patients were alcoholics and 33 (92%) presented with hyponatremia
Mechanical ventilation was required in 32 (89%) patients

At 1-yr follow-up, 11 (31%) died
14 (56%) survivors recovered to Rankin score ≤ 1.

EOLS (withheld) in 11 (31%) patients
Severe cerebral motor disability was the most frequently cited reason.
However, five of them were still alive at 1 yr with Rankin score ≤ 1 for four of them
Crit Care Med. 2012 Mar;40(3):970-2.
Long-term outcome of patients hospitalized in intensive care units
with central or extrapontine myelinolysis
Louis G, Megarbane B, Lavoué S, Lassalle V, Argaud L, Poussel JF, Georges H, Bollaert PE.

No statistical difference between
18 (50%) patients with a favorable outcome and
18 (50%) patients with an unfavorable outcome
with regard to severity of illness,

recovery is
Possible BUT unpredictable
on the basis of clinical presentation

The prognosis of critically ill patients with central or extrapontine myelinolysis is
better than thus far thought
despite initial severe clinical manifestations.

Regarding the high rate of decisions to withhold life-supporting therapies,
the probability of a favorable outcome might be underestimated by intensivists
KEY POINTS

Consider ODS
in a patient who has failed to recover as expected after a severe illness
requiring intravenous fluid
In a patient manifesting psychiatric symptoms after such an illness,
even if imaging is negative
Na rise need not be in excess of 10 mmol/l/day for condition to develop.
There may be no safe limit for the rate of rise of Na.
Prognosis is not uniformly bad
MRI changes may be delayed
MRI severity is not prognostic

R J Martin
Central Pontine and Extrapontine Myelinolysis: The Osmotic Demyelination Syndrome
J Neurol Neurosurg Psychiatry 2004;75
“With some people solitariness is an escape
not from others but from themselves.
For they see in the eyes of others only a reflection of themselves”
Eric Hoffer
MODIFIED RANKIN SCORE

0 No symptoms at all
1 No significant disability despite symptoms; able to carry out all usual duties and activities
2 Slight disability; unable to carry out all previous activities, but able to look after own affairs
without assistance
3 Moderate disability; requiring some help, but able to walk without assistance
4 Moderately severe disability; unable to walk without assistance and unable to attend to
own bodily needs without assistance
5 Severe disability; bedridden, incontinent and requiring constant nursing care and attention
6 Dead

Osmotic demyelination syndrome

  • 1.
    OSMOTIC DEMYELINATION SYNDROME Ubaidur Rahaman SeniorResident, Critical Care Medicine Sanjay Gandhi Post Graduate Institute of Medical Sciences, Lucknow, India
  • 2.
    “Damned if wedo, damned if we don’t” Oh MS, Kim Hi, Carrol HJ. Recommendations for treatment of symptomatic hyponatremia. Nephron 1995;70:143-50
  • 3.
    A 58-year-old malehad been recently discharged from a ICU following a six day stay for treatment of hyponatremia, jaundice, and abnormal liver function tests. Four days later he presented to the local emergency department with agitation, delirium and altered level of consciousness. Physical examination demonstrated a jaundice, afebrile, normotension without cardiovascular, respiratory, abdominal or neurological abnormalities. Lab showed a normal complete blood count and electrolytes with minor elevation of total bilirubin and alkaline phosphatase. Within 48 hours he developed acute oropharyngeal dysphagia.
  • 4.
    Unenhanced CT head focalhypoattenuation in the mid and dorsal pons MRI brain abnormal low T1 and high T2 mexican hat shaped signal within the central pons with sparing of the corticospinal tracts ventrolaterally. Abnormal increased T2 signal was also demonstrated in the thalami and putamen bilaterally Restricted diffusion was noted in these corresponding regions with diffusion weighted imaging (DWI) Clinical and radiological findings were compatible with central pontine myelinolysis (CPM) and extrapontine myelinolysis (EPM)
  • 6.
  • 7.
    AMA Arch NeurolPsychiat 1959; 81:154–172 Central pontine myelinolysis: a hitherto undescribed disease occurring in alcoholic and malnourished patients. Adams RD, Victor M, Mancall EL A series of 4 patients quadriparesis, pseudobulbar paralysis characteristic pattern of myelin loss confined within central pons. No evidence of inflammation ( differentiating from known demyelinating disease like multiple sclerosis) 3 patients were alcoholics, malnourished and chronically ill Authors called it "new disease" and termed it CENTRAL PONTINE MYELINOLYSIS
  • 8.
    AMA Arch NeurolPsychiat 1959; 81:154–172 Central pontine myelinolysis: a hitherto undescribed disease occurring in alcoholic and malnourished patients. Adams RD, Victor M, Mancall EL Classic histopathology of the pons in CPM showing a symmetrical, central bat-wing area of demyelination affecting most of the pontine base. Luxol-fast blue/PAS
  • 9.
    Literature of previous75 years revealed no case resembling CPM, clinically or pathologically. Adams alcoholism abuse since ages, But CPM was new IOTROGENIC AGENTS detected in hospital setting only no patient admitted with symptoms of CPM, and proved to have such pathology at postmortem examination. 1963 Aleu and Terry Co-incidence or Co relation 1950: the Plastic Revolution: Intravenous Fluid Therapy Corresponded with detection of CPM Messert and co-workers (1979)
  • 10.
    1966 More lesions identifiedand not localized to the Pons basal ganglia, thalamus, Gray-white junction of cerebral and cerebellar cortices, lateral geniculate Most of the cases occurred in chronic conditions such as liver disease, sepsis, burns, and cancer ie It occurred in presence of co-existing diseases/ conditions
  • 11.
    1977 Burcar et al 15cases All had HYPONATREMIA (S.Na: 96-130) Hyponatremia……… …………. ODS
  • 12.
    1977 Burcar et al LITERATUREREVIEW Hyponatremia ODS 80 cases, electrolytes documented in 30 cases; Hyponatremia: 12 cases. Rest 50 cases ( electrolytes not documented) Review of history for plausible conditions leading to hyponatremia ( compulsive water drinking, hemodialysis, SIADH, severe renal disease, diarrhea or vomiting, thyroid or adrenal disease) 69 of 80 patients either had documented hyponatremia or plausible cause of hyponatremia
  • 13.
    Tomlinson BE, PieridesAM, Bradley WG Central pontine myelinolysis. Two cases with associated electrolyte disturbance QJM. 1976;45:373-86. 2 cases protracted vomiting and drowsiness Hyponatremia severe hyponatraemia (serum sodium 96–100 mEq/l) ODS Correction of electrolyte abnormalities was accompanied by deterioration in the level of consciousness, quadriparesis, dysphasia and mutism Postmortem examination finding of CPM and EPM
  • 14.
    1979: Kevin Leslie Pathologyresident at the University of Colorado breakdown of BBB Autopsy of a Jaundiced patient with CPM striking green discoloration Lesion in the pons Exit of albumin-bound bile pigment from blood stream into brain tissues. Blood derived MYELINOLYTIC factor Complements, immunoglobulins Several reports of similar green discoloration of the pons in patients with CPM who had concurrent liver disease and jaundice
  • 15.
    HYPONATREMIA CORRECTION OF HYPONATREMIA OPENINGOF BBB BLOOD DERIVED MYLENOLYTIC FACTOR ODS
  • 16.
    Brightman 1973, Rapoport1976 BBB could be opened by intravenous Hypertonic saline Endothelial cell dehydration and shrinkage impairment of endothelial tight junctions Neurosurgeons were using this strategy to deliver chemotherapeutic drugs that were impermeable to BBB
  • 17.
    Why specific areasof brain affected Gray matter is 10 times rich in capillaries than white matter If some myelnotoxic factor is responsible for demyelination This factor would be enriched in GRAY matter while substrate MYELIN would be present in immediately adjacent WHITE matter Areas with rich admixture of GRAY and WHITE matter would be at greatest risk These areas are PONS, thalamus, striatum
  • 18.
    Why specific areasof brain affected Sketch of Human Pons close admixture of white matter bundles within gray matter
  • 19.
  • 20.
    “ I wonderwhether CPM is due to osmotic stress?” Scott VendenBerg, first year Pathology Resident One morning in 1979 while preparing to review the histology of a case of CPM, I mentioned our recent studies on the potential role of hyponatremia. In a nonchalant manner Scott said “ I wonder whether CPM is due to osmotic stress?”. I was not exactly sure what Scott had in mind when he uttered that phrasebut that was a quintessential moment as this comment immediately crystallized all of the disjointed facts into a logical mechanism, potentially explaining the pathogenesis of CPM Michael D. Norenberg Central Pontine Myelinolysis: historical and mechanistic considerations Metab Brain Dis. 2010;25:97-106
  • 21.
    Neurology Resident Norenberg MD,Leslie KO, Robertson AS. Association between rise in serum sodium and central pontine myelinolysis. Ann Neurol. 1982;11:128-35. 15 case of CPM Comparable group Rise in S.Na of 20-30meq/L over 3-10 days before symptoms appeared with similar degree of hyponatremia, which was corrected slowly, did not develop CPM Kleinschmidt-DeMasters BK, Norenberg MD. Rapid correction of hyponatremia causes demyelination: relation to central pontine myelinolysis Science 1981;211:1068-70. Rats made hyponatremic with vasopressin and water injection S.Na corrected with hypertonic saline Demyelinating lesions were observed in midbrain, thalamus and straitum. But not in Pons ( in rats pons consists totally of white matter)
  • 22.
    1982: Norenberg Case report Normonatremic( S.Na-139) patient with hepatic encephalopathy Treated with lactulose On Day10, S.Na increased to 171 meq/L Patient became restless and confused and died on D20 Histopathology showed demyelinating lesion in centre of pontine base
  • 23.
    HYPONATREMIA CORRECTION OF HYPONATREMIA Rapidcorrection of Hyponatremia OPENING OF BBB BLOOD DERIVED MYLENOLYTIC FACTOR ODS OSMOLALITY DIFFERENCE
  • 24.
    1984:NORENBERG Rapid correction ofhyponatremia in Patient with short duration hyponatremia ( hours to few days), did not develop CPM. But those with longer duration ( 1 week or longer), developed CPM. Michael D. Norenberg, Rebecca E. Papendick Chronicity of hyponatremia as a factor in experimental myelinolysis Annals of Neurology 1984;15(6): 544–547 Rats hyponatremic for 1 day compared with another group hyponatremic for 3 days 3-day hyponatremic rats developed more numerous and more severe demyelinative lesions than the 1-day rats
  • 25.
    HYPONATREMIA CORRECTION OF HYPONATREMIA Rapidcorrection of Hyponatremia OPENING OF BBB BLOOD DERIVED MYLENOLYTIC FACTOR OSMOLALITY DIFFERENCE ODS DURATION OF HYPONATREMIA Chronicity
  • 26.
    Nephrol Dial Transplant(1993) 8: 644-646 Central pontine myelinolysis secondary to frequent and rapid shifts in plasma glucose in a diabetic haemodialysis patient N. Esforzado, E. Poch, C. Cardenal, J. Lopez-Pedret, L. Revert 22 years female, case of DM type 1 with CKD History of frequent rapid change in glucose Admitted with depression of consciousness and difficulty in swallowing. Afebrile, hemodynamically stable. Neurological examinationL bilateral Babinski sign with a reduced gag reflex. The rest of the physical examination was unremarkable. Investigation revealed glucose 684mg/dl, BUN 78mg/dl, Na 130 mmol/L, K 5.1 mmol/L, serum osmolality 302 mOsm/kg CSF and toxicology screening negative MRI brain suggestive of CPM
  • 27.
    Clin Neuropathol. 1989Nov-Dec;8(6):284-8. Lateral pontine and extrapontine myelinolysis associated with hypernatremia and hyperglycemia. McComb RD, Pfeiffer RF, Casey JH, Wolcott G, Till DJ. A woman presented in hyperosmolar diabetic coma with hypernatremia (169 mEq/l) and hyperglycemia (954 mg/dl). Plasma sodium rapidly increased to 188 mEq/l before gradually returning to normal She remained obtunded and died 21 days later Autopsy showed widespread, symmetrical demyelination involving subcortical white matter, corpus callosum, anterior commissure, external, and internal capsules, fornix, thalamus, cerebellum, and lateral pons.
  • 28.
    Neurocrit Care. 2009;11(2):251-4 Centralpontine myelinolysis in a patient with hyperosmolar hyperglycemia and consistently normal serum sodium Burns JD, Kosa SC, Wijdicks EF. A 93 year-old-man developed marked gait ataxia 2 days after the diagnosis and treatment of hyperosmolar hyperglycemia Calculated S.OSM on admission was 344 mOsm/kg and fell to 300 mOsm/Kg over 20 h. Serum sodium concentration stayed between 137 and 140 mEq/l throughout the admission. MRI symmetric lesion in the central pons consisting of increased T2 signal intensity and restricted diffusion, consistent with CPM.
  • 29.
    J Child Neurol2009 24: 884 Osmotic Demyelination Syndrome as a consequence of Treating Hyperammonemia in a Patient With Ornithine Transcarbamylase Deficiency Javier F. Cardenas, MD, and John B. Bodensteiner, MD 7-year-old female patient with a 1-year history of psychiatric outbursts presented to the emergency department with a prolonged episode of confusion, hallucinations, and agitation. Lab showed elevated blood ammonia- 253 mmol/L, SGOT-296 U/L, SGPT- 496 U/L, S. sodium- 142 mmol/L. Presumptive diagnosis of ornithine transcarbamylase deficiency was made treated with sodium benzoate and sodium phenylacetate and responded quickly, with ammonia levels reaching 33 mmol/L within 24 hours. 10 days later, she began to have an unsteady gait, uncoordinated arm movements, and dysarthia MRI brain demonstrated T2-weighted hyperintensities in the central pons and the sublentiform white matter, bilaterally.
  • 30.
    Rapid change inOsmolality without change in S.Na has been reported to led to ODS •In Post liver transplant patients •Dialysis disequilibrium syndrome •Treatment of hyperammonemic patients •Correction of hypernatremia and hyperglycemia REAL CULPRIT OSMOLALITY CHANGE
  • 31.
    Clin Neurol Neurosurg.1995 Nov;97(4):340-3. Central pontine myelinolysis following 'slow' correction of hyponatremia. Pradhan S, Jha R, Singh MN, Gupta S, Phadke RV, Kher V. 2 patients chronic renal failure admitted in a stuporous state due to hyponatremia 118 – 122 – 126 – 133 Over consecutive 4 days Rate of correction: 118 – 122 – 125 – 129 Over consecutive 4 days Both developed CPM during the hospital stay despite slow and judicious correction of hyponatremia.
  • 32.
    Renal failure andadministration of exogenous urea Prevented myelinolysis following rapid correction of experimental hyponatremia Soupart 2000.
  • 33.
  • 34.
  • 35.
    Na is themost abundant molecule in ECF Na is the most osmotically active molecule ( Osmolytes) in ECF Contribution of Gluc and BUN is 5 mOsm/L S. Osm ( mOsm/kg of water) (2*[Na] + [Glucose/18] + [BUN/2.8] (Na in meq/L, Glucose in mg/dL, BUN in mg/dL) Osmotic pressure and osmolality determines distribution of fluid in body compartments
  • 36.
    INTRACELLULAR COMPARTMENT INORGANIC OSMOLYTES ORGANICOSMOLYTES Glycine Taurine Creatine Myoinositol
  • 37.
  • 38.
    Real story incritically ill patients S. Osm = 2* (140) + 90/18 + 5/2.8 = 280 + 5 + 1.7 = 286.7 S. Osm = 2* (145) + 180/18 + 60/2.8 = 290 + 10 + 21 = 321
  • 39.
  • 40.
    Osmolality difference betweenintracellular and extracellualar compartment Initially GLIAL cells selectively swell have selective AQP channels After 24 to 48 hours Energy dependent of extrusion of solute and water from cells Restoration of cell volume this compensatory mechanism is complete bye 48 hours. Hence working definition of acute vs chronic hyponatremia Joshua D. King, Mitchell H. Rosner. Osmotic demyelination syndrome. Am J med sci 2010:339;6
  • 41.
    Cell adapted to decreasedosmolality Rapid correction of osmolality Osmolality difference between two compartments Water exits from cells Disruption of BBB Exposure of glial cells to cytokines, complements Cell dehaydration Demyelination and apoptosis Axonal shear injury Joshua D. King, Mitchell H. Rosner. Osmotic demyelination syndrome. Am J med sci 2010:339;6
  • 42.
    Cell adapted to decreasedosmolality Rapid correction of osmolality Need for Increased production of organic osmolytes Osmolality difference between two compartments Upregulation of Na K ATPase channels Significant Metabolic Stress Patient vulnerable to energy deprivation- Alcoholics, Malnutrition Failure to respond to these changes Failure to regulate cellular volume Joshua D. King, Mitchell H. Rosner. Osmotic demyelination syndrome. Am J med sci 2010:339;6
  • 43.
    brain reclaims organicosmolytes more slowly during correction of hyponatremia than it loses them during the onset of hyponatremia; this slow recovery of osmolytes appears to play an important role in the pathogenesis of iatrogenic brain damage. Several lines of evidence in experimental models support this conclusion (1) brain regions that are most susceptible to myelinolysis are the slowest to reclaim lost osmolytes (2) uremia, which is protective against myelinolysis, is associated with a more rapid recovery of brain organic osmolytes after correction of hyponatremia (3) exogenous administration of the organic osmolyte, myoinositol, during correction of hyponatremia rapidly restores brain myoinositol levels and decreases the number and severity of demyelinating lesions in the brain. Richard H. Sterns, Sagar U. Nigwekar, John Kevin Hix, The Treatment of Hyponatremia Semin Nephrol 29:282-299
  • 44.
    Chronic hyponatremia Loss oforganic osmolytes is more Following rapid correction Synthesis and accumulation of organic omolytes into cells takes about 5 days This is compensated by accumulation of inorganic osmolytes in higher amount Inorganic osmolytes bind to proteins and denature them and destroy normal protein structure and function iof cells
  • 45.
    Joshua Johnstone, ArumugamJayakumar Osmotically stressed endothelial cells in culture release a factor that is lytic to cultured oligodendrocytes.
  • 46.
    Effect of coexisting other electrolyte and metabolic disturbances increased risk of ODS HYPOKALEMIA Concomitant hypokalemia potentiates osmolality difference between intracellular and extracellular compartment Na is corrected more rapidly, when hypokalemia is corrected along with hyponatremia Increased activity of NaKATPase Hypophosphatemia Pi is required for synthesis of two organic osmolytes, phosphocreatine and glycerolphosphorylcholine
  • 47.
    Effect of coexisting other electrolyte and metabolic disturbances UREMIA Protective effect In azotemic rats, Brain myoinositol ( organic osmolyte) levels increased more quickly during rapid correction of hyponatremia
  • 48.
    J Neurol NeurosurgPsychiatry 2003;74:353–355 Central pontine myelinolysis associated with hypokalaemia in anorexia nervosa T Sugimoto, T Murata, M Omori, Y Wada
  • 49.
    DISEASES ASSOCIATED WITHODS Alcoholism Malnutrition Post liver transplant Prolonged diuretic use Psychogenic polydypsia Burns Post pituitary surgery Post surgery: urological, gynecological
  • 50.
    LIVER DISEASE ANDORTHOTROPIC LIVER TRANSPLANTATION Often associated hyponatremia Malnourished decreased intracellular myo ionositol level Reduced myo ionositol level has been documented in these patients Cultured astrocytes treated with ammonia show reduced myo ionositol levels. Ammonia impairs uptake of myo ionositol by astrocytes. Other organic osmolytes ( taurine, glycerophosphorylcholine) are reduced in patients with hepatic encephalopathy
  • 51.
    INCIDENCE Not exactly knownbecause of paucity of studies Majority of pathologically diagnosed cases are clinically asymptomatic Largest autopsy series: 0.25-0.5% prevalence in general population Majority were undiagnosed Alcoholics and liver transplant have much higher rate on pathological examination Liver transplant patient – 10% (on autopsy) Josua D. King, Mitchell H. Rosner Osmotic Demyelination Syndrome Am J Med Sciences 2010;339(6)
  • 52.
    CLINICAL MANIFESTATION Patient presentingwith encephalopathy or seizures from hyponatremia Hyponatremia corrected Patient impvroves Few days later (1 to 7 days) Patient presents with Dysarthria, dysphagia, flaccid quadriaparesis later becoming spastic Pupillary abnormality and EOM palsy Locked in syndrome
  • 53.
    CLINICAL MANIFESTATION Psychiatric andbehavioral changes Movement disorders Mutism, parkinsonism, dystonia, catatonia In EPM variety of clinical features can be seen to evolve Patient progressing from spastic paraparesis with postural limb tremors and myoclonic jerks to a parkinsonian picture with choreoathetosis and finally into a permanent parkinsonian state with dystonia Parkinsonism dominated clinical picture with signs of pyramidal dysfunction which resolved over four months, being replaced by transient retrocollis and oromandibular dystonia and a permanent focal dystonia of arm with spasmodic dysphonia. These movement disorders are easily controlled with dopaminergic drugs
  • 54.
    IMAGING MRI:imaging of choice Hyperintenselesion on T2 weighted Hypointense lesion on T1 weighted DWI might have capability of detecting lesion undetectable on T2 TIMING Timing of appearance may be delayed MR image typically are normal at the onset of symptoms and become positive after approximately 2 weeks If diagnosis remains likely: repeat imaging at 10-14 days may reveal lesion
  • 55.
    LESIONS OF ODS Pons Cerebellum Lateralgeniculate body External capsule Hippocampus Putamen Cerebral cortex/ subcortex Thalamus Caudate nucleus Claustrum Internal capsule Midbrain Internal medullary lamella Mamillary body Medulla oblongata
  • 56.
    MICROSCOPY Degeneration and lossof oligodendrocytes with preservation of axons unless lesion is advanced
  • 57.
    RELATIVE PROPORTIONS OFCPM AND EPM CPM 1/2 CPM + EPM 3/5 EPM 2/5
  • 58.
    TREATMENT Prevention Judicious correction ofHyponatremia Selective vasopressin receptor antagonis For euvolumic or hypervolumic hyponatremia Corticosteroids Used to mitigate severity of ODS ? Stabilization of BBB Timing of administration not well determined Myoinositol Improve mortality in rats with rapid correction of hyponatremia Plasmapheresis Appeared beneficial in series of 4 patients with ODS ? Reduction in inflammatory mediators and preservation of BBB
  • 59.
    TREATMENT Re induction ofHyponatremia in chronic hyponatremic rats who had roughly 30 meq/L change in S.serum Na in 12 hours Reinduction of mild hyponatremia reduced both neurological manifestation and mortlaity from 100% to 6% Kidney Int. 2009 Sep;76(6):614-21 Re-induction of hyponatremia after rapid overcorrection of hyponatremia reduces mortality in rats. Gankam Kengne F, Soupart A, Pochet R, Brion JP, Decaux G Case reports showing improvement in neurological symptoms after re induction of hyponatremia Oya S, Tsutsumi K, Ueki K, et al. Reinduction of hyponatremia to treat central pontine myelinolysis. Neurology 2001;57:1931–2 Soupart A, Ngassa M, Decaux G. Therapeutic relowering of the serum sodium in a patient after excessive correction of hyponatremia. Clin Nephrol 1999;51:383– 6
  • 60.
    CORRECTION OF HYPONATREMIA Mortalityassociated with hyponatremia and slow correction Risk of ODS and associated morbidity and mortality “Damned if we do, damned if we don’t” Oh MS, Kim Hi, Carrol HJ. Recommendations for treatment of symptomatic hyponatremia. Nephron 1995;70:143-50 Nutritional status of patient plays a part, impairing ability to generate organic osmoles. At present we can not assess this ability, and so it is not really possible to determine a threshold rate of change that can be guaranteed to be universally safe. Recommendations for safe rate of Na rise are based on animal models and published series of CPM R J Martin, Central pontine and extrapontine myelinolysis: the osmotic demyelination syndromes
  • 61.
  • 62.
    Rate of correction Symptomatic or Acutehyponatremia 1-2 meq/L/h ( 10-12 meq/L/day) (change >0.5 meq/L/h or onset in < 48 hours) Chronic hyponatremia (Change over > 48 hours or unknown duration) Increased risk of CPM as adaptive mechanism has occured GOAL of Correction 0.5 meq/L/h ( 8-10 meq/L/day) 120-130 meq/L Lower in patients with s.Na<105
  • 63.
    Acute symptomatic hyponatremia Nomore than 2 mmol/L/hr, for the initial 6 hours, Not to exceed a change of >10–12 mmol/L/day. Asymptomatic hyponatremia 0.5 mmol/L/h
  • 64.
    Crit Care Med.2012 Mar;40(3):970-2. Long-term outcome of patients hospitalized in intensive care units with central or extrapontine myelinolysis Louis G, Megarbane B, Lavoué S, Lassalle V, Argaud L, Poussel JF, Georges H, Bollaert PE. Retrospective observational study, unfavorable outcome- modified Rankin Scale score >3 or death 36 patients with CPM or EPM treated in 2000-2010 31 (86%) patients were alcoholics and 33 (92%) presented with hyponatremia Mechanical ventilation was required in 32 (89%) patients At 1-yr follow-up, 11 (31%) died 14 (56%) survivors recovered to Rankin score ≤ 1. EOLS (withheld) in 11 (31%) patients Severe cerebral motor disability was the most frequently cited reason. However, five of them were still alive at 1 yr with Rankin score ≤ 1 for four of them
  • 65.
    Crit Care Med.2012 Mar;40(3):970-2. Long-term outcome of patients hospitalized in intensive care units with central or extrapontine myelinolysis Louis G, Megarbane B, Lavoué S, Lassalle V, Argaud L, Poussel JF, Georges H, Bollaert PE. No statistical difference between 18 (50%) patients with a favorable outcome and 18 (50%) patients with an unfavorable outcome with regard to severity of illness, recovery is Possible BUT unpredictable on the basis of clinical presentation The prognosis of critically ill patients with central or extrapontine myelinolysis is better than thus far thought despite initial severe clinical manifestations. Regarding the high rate of decisions to withhold life-supporting therapies, the probability of a favorable outcome might be underestimated by intensivists
  • 66.
    KEY POINTS Consider ODS ina patient who has failed to recover as expected after a severe illness requiring intravenous fluid In a patient manifesting psychiatric symptoms after such an illness, even if imaging is negative Na rise need not be in excess of 10 mmol/l/day for condition to develop. There may be no safe limit for the rate of rise of Na. Prognosis is not uniformly bad MRI changes may be delayed MRI severity is not prognostic R J Martin Central Pontine and Extrapontine Myelinolysis: The Osmotic Demyelination Syndrome J Neurol Neurosurg Psychiatry 2004;75
  • 67.
    “With some peoplesolitariness is an escape not from others but from themselves. For they see in the eyes of others only a reflection of themselves” Eric Hoffer
  • 69.
    MODIFIED RANKIN SCORE 0No symptoms at all 1 No significant disability despite symptoms; able to carry out all usual duties and activities 2 Slight disability; unable to carry out all previous activities, but able to look after own affairs without assistance 3 Moderate disability; requiring some help, but able to walk without assistance 4 Moderately severe disability; unable to walk without assistance and unable to attend to own bodily needs without assistance 5 Severe disability; bedridden, incontinent and requiring constant nursing care and attention 6 Dead