Approach to Leukodystrophies
Search strategy
• Swaiman 5th edition
• Pubmed
– Keywords : leukodystrophy ; late onset/adult onset,
metachromatic leukodystrophy; krabbe disease;
alexander disease; LBSL; van der knapp disease;
• Google scholar
Outline
• Definitions
• Clinical approach
• Neuroimaging
• Management
• Cases
• 5-month-old boy presents with
- Global developmental delay
- Generalized looseness of the body
- Jerky, chaotic eye movements.
• Family history:
Patient was the youngest of 5 siblings, of which 3 female
siblings were healthy, growing appropriately for age, but one
male sibling died of similar complaints at around 5 years of
age.
• O/E : Pendular nystagmus, axial and appendicular hypotonia
,brisk-deep tendon reflexes, and bilateral upgoing plantars
Case 1
• Leukodystrophies are heritable disorders affecting the white
matter of the central nervous system with or without
peripheral nervous system involvement.
• These disorders have in common glial cell or myelin sheath
abnormalities. Neuropathology is primarily characterized by
the involvement of oligodendrocytes , astrocytes and other
non-neuronal cell types.
A. Vanderver, et al., Case definition and classification of leukodystrophies and leukoencephalopathies,
Mol. Genet. Metab. (2015)
Definition
Leukodystrophies do not include :
• Acquired CNS myelin disorders, such as acquired
demyelinating processes, infectious and post-infectious
white matter damage, toxic injuries and non-genetic vascular
insults.
• Inborn errors of metabolism, in which the clinical
manifestations of systemic illness, such as liver, muscle, or
heart predominate.
• Disorders in which there is involvement of neurons in cerebral
cortex and other grey matter structures.
Definition
Genetic leukoencephalopathy (gLE) :
• Disorders with significant, if not primary, white matter
abnormalities that do not meet criteria for inclusion as a
leukodystrophy.
• This may be due to a strong evidence for primary neuronal or
vascular involvement or prominent systemic manifestations
which overshadow the white matter abnormalities.
White matter disorders
Demyelination
Destruction of
normal myelin
Dysmyelination
Formation of
abnormal myelin
Hypomyelination
Disturbance in
formation of
myelin
Delayed
myelination
Aicardi, Mitchell DISEASESOFTHE NERVOUSSYSTEM IN CHILDHOOD, 3RD EDITION
Age of
onset
Leukodystrophies
Infant
<1yr
Globoid Cell leukodystrophy
Pelizaeus Merzbacher disease
Canavan disease
Vanishing white matter disease
Megalencephalic leukodystrophy with cysts
Aicardi-Goutieres syndrome
Hypomyelination with atrophy of the basal ganglia and cerebellum
Early
childhood
1-5years
Metachromatic leukodystrophy
Alexander Disease
Vanishing white matter disease
Megalencephalic leukodystrophy with cysts
Hypomyelination with atrophy of the basal ganglia and cerebellum
Leukoencephalopathy with brainstem and spinal cord involvement
and elevated lactate
Giant axonal neuropathy type 1
Age of onset Leukodystrophies
Juvenile
(5-12 years)
X Linked ALD
Metachromatic leukodystrophy
Vanishing White Matter disease
Megalencephalic leukodystrophy with cysts
Alexander disease
Leukoencephalopathy with brainstem and spinal cord
involvement and elevated lactate
Adolescence,
young
adulthood
Metachromatic leukodystrophy
Vanishing white matter disease
Leukoencephalopathy with brainstem and spinal cord
involvement and elevated lactate
Occasional cases of Krabbe, ALD, Alexander disease
• Patients typically present with gradual or abrupt
deterioration of CNS function .
• Some have a slow and progressive course, and can be
mistaken for static encephalopathies unless a longitudinal
view of the disease is taken (e.g. some hypomyelinating
conditions)
• A minority show slow improvement over time (e.g. LD
caused by HEPACAM and EARS2 mutations).
Clinical features
• Consist of progressive motor symptoms (mostly spasticity)
• This is in contrast with primary neuronal disorders, which usually
present with cognitive decline and seizures
• Patients may present to the clinician with concerns of delayed
acquisition of motor milestones, stagnation of motor development
or frank regression in motor skills.
• In an infant or young child, delayed motor development is more
common in the hypomyelinating disorders, whilst motor
regression is more common in the Leukodystrophies with myelin
destruction.
Clinical features
• In an older child the first symptom may be frequent falls or a
clumsy gait, and in an adolescent or young adult, deterioration in
functional skills such as sporting activities.
• Occasionally there is acute deterioration in motor skills in the
context of an intercurrent illness or minor head injury (Eg.
Vanishing White Matter disease)
• Selected LDs lead to prominent loss of cerebellar volume and may
present with slowly progressive ataxia
• Peripheral sensory neuropathy leading to altered proprioception
and imbalance may contribute to alterations in gait, leading to a
mixed cerebellar and sensory ataxia
Clinical features
REF : Advances in the diagnosis of
leukodystrophies
Future Neurol.(2012)
Swaiman 5th edition
WHITE MATTER GRAY MATTER
Early and prominent pyramidal signs Late
Early and prominent ataxia Late
Dementia appears late Early
Psychiatric symptoms are uncommon Present
No EPS EPS present
Primary optic atrophy may be
present
Retinal disease may be present
Peripheral neuropathy may be
associated
No neuropathy
MRI shows subcortical WM
involvement
MRI shows cortical involvement
• Macrocephaly
-Alexander disease
-Canavan disease
-Megalencephalic leukodystrophy with cysts
• Microcephaly:
- Aicardi-Goutieres syndrome
- Cockayne syndrome
Clinical features: Neurological
• Seizures, early in course
-Alexander disease
-Canavan disease
-Megalencephalic leukodystrophy with cysts
-Cerebrotendinous xanthomatosis
-Krabbe’s disease
-MLD
• Hypotonia:
-Canavan disease
-MLD
-Sialic acid storage disorders
-Pelizeus-Merzbacher disease
-Peroxisomal biogenesis disorders
• Peripheral neuropathy
-Cerebrotendinous xanthomatosis
-Krabbe’s disease
-MLD
-Some hypomyelinating disorders
• Autonomic dysfunction:
-Alexander disease
-Polyglucosan body disease
• Ataxia
-Alexander disease
-vWM disease
-Megalencephalic leukodystrophy with cysts
-Krabbe’s disease
-MLD
-Most hypomyelinating disorders
• Isolated spastic paraparesis:
-Adrenoleukodystrophy
-Krabbe disease
-Pelizeus-Merzbacher disease
• Cognitive impairment
-Aicardi-Goutieres syndrome
-Canavan disease
-Krabbe’s disease
• Movement disorder:
-4H leukodystrophy
-Canavan disease
-Pelizeus-Merzbacher disease
-HABC
• Adrenal dysfunction
-Adrenoleukodystrophy
- Peroxisome biogenesis disorders
• Other endocrine disturbances:
- 4H Leukodystrophy
- Aicardi-Goutieres syndrome
- Cockayne syndrome
• Sensorineural deafness
- Peroxisome biogenesis disorders
- SOX10 associated LD
- Canavan disease
Clinical features: Non-neurological
• Cataract
-Hypomyelination with congenital cataract
-neonatal vWM
-Cerebrotendinous xanthomatosis
• Retinitis pigmentosa:
-Refsum disease
-Peroxisome biogenesis disorders
• Optic atrophy:
-Canavan disease
-Peroxisome biogenesis disorders
-vWM disease
-Hypomyelinating syndromes
Clinical features: Ophthalmological
• Nystagmus : early onset or congenital
– Pelizaeus-Merzbacher disease (PMD)
– Canavan disease
– SOX-10
• Nystagmus : Later onset
– 4H leukodystrophy
– Oculodentodigital dysplasia
– 18q- syndrome
Clinical features: Ophthalmological
Sialidosis
Sjogren-Larsson syndrome
• Dental abnormalities
-4H leukodystrophy
-Peroxisome biogenesis disorders
-Oculodentodigital dysplasia
Clinical features: Non-neurological
• Dysmorphic facies
-Peroxisome biogenesis disorders
-Multiple sulfatase deficiency
-Sialidosis
Clinical features: Non-neurological
• Skeletal abnormalities
-Peroxisome biogenesis disorders
-Multiple sulfatase deficiency
-Sialidosis
Clinical features: Non-neurological
Chondrodysplasia punctata
Dysostosis Multiplex
• Tendon Xanthomas:
Cerebrotendinous xanthomatosis
• Hepatosplenomegaly:
Lysosomal storage disorders
• Gastrointestinal symptoms:
CTX: Chronic diarrhea
MLD: Gall bladder disease
AGS: IBD
Clinical features: Non-neurological
• Ovarian dysgenesis:
vWM disease
• Cutaneous:
Angiokeratomas: Sialidosis
Hyperpigmentation: X-ALD
Icthyosis: SLS,Trichothiodystrophy
Cutaneous Hypersensitivity:
Trichothiodystrophy
Cockayne syndrome
Clinical features: Non-neurological
Neuroimaging
• The first myelination is seen as early as the 16th week of gestation, but only
really starts from the 24th week.
• It does not reach maturity until 2 years . It correlates very closely to
developmental milestones .
• The progression of myelination is predictable and abides by a few simple
general rules; myelination progresses from:
1. central to peripheral
2. caudal to rostral
3. dorsal to ventral
4. sensory then motor
Barkovich AJ, Kjos BO, Jackson DE, Norman D. Normal maturation of the neonatal and infant brain: MR imaging
at 1.5 T. Radiology 1988
Normal myelination
Step Wise Approach - First
• Is hypomyelination (delayed myelination or permanent
hypomyelination) or some other brain white matter pathology
present?
• A child over 1.5 years of age has accumulated enough myelin to let
the white matter appear dark on T2-weighted images.
• A high signal on T2-weighted images is, therefore, abnormal for
cerebral white matter after this age.
• The important differentiation between delayed myelination and
permanent hypomyelination can be made on two MRIs with a
significant time interval
Step Wise Approach - First
• Delayed myelination is a nonspecific feature observed in almost
all children with a delayed development of any cause, whereas
permanent hypomyelination comes with a specific differential
diagnosis.
• Within the first year of life, there is so little myelin in normal
infants that it is not possible to diagnose permanent
hypomyelination.
• So, permanent hypomyelination can be defined as an unchanged
pattern of deficient myelination on two MRIs at least 6 months
apart in a child older than 1 year.
De-myelination Vs hypo-myelination
Demyelination:
• Prominent T2 hyperintensity.
• Prominent T1 hypointensity.
Hypomyelination:
• Mild T2 hyperintensity.
• Variable T1 signal (hypo, iso or hyperintense).
Delayed Myelination
• Nonspecific – chromosomal abnormalities, hypoxic injury at
birth
• SOX 10 related disorders
Permanent hypomyelination
•Hypomyelination with Congenital
Cataract
•Hypomyelination,Hypogonadotropic
Hypogonadism & Hypodontia – 4H
•Cockayne syndrome
•Peripheral neuropathy, Central
Hypomyelination, Waardenburg &
Hirschprung disease – SOX 10 related
•Pelizaeus Merzbacher disease
•Pelizaeus Merzbacher like
disease
•Sialic acid storage disorders –
Salla disease
•Hypomyelination with atrophy
of Basal Ganglia and Cerebellum
•Fucosidosis
•Oculodentodigital dysplasia
•18 q minus syndrome
•Trichothiodystrophy
(Tay syndrome)
•Early onset GM1/GM2
gangliosidosis and infantile
neuronal ceroid lipofuscinosis
With PNS involvement Without PNS involvement
Step Wise Approach - Second
• The second MRI discriminator concerns the question whether the
white matter abnormalities are confluent or isolated and
multifocal .
• Most genetic white matter disorders (leukodystrophies) present
with confluent and bilateral, essentially symmetric, white matter
abnormalities;
• Multifocal isolated white matter abnormalities, often with an
asymmetrical distribution, are most commonly related to acquired
disorders
• Acquired disorders with confluent pattern:
- Toxic leukoencephalopathies, such as related to inhaled
heroin
- HIV encephalopathy
- Delayed posthypoxic demyelination
• Genetic disorders with multifocal pattern:
-Vasculopathies (CADASIL, amyloid angiopathy, defects in
collagen IV, Fabry disease )
-Leukoencephalopathy with brainstem and spinal cord
abnormalities (LBSL)
- Mucopolysaccharidoses
- Galactosemia.
- Chromosomal abnormalities eg. chromosomal mosaicism and 6p
syndrome
Step Wise Approach - Third
• If the white matter abnormalities are confluent, the most helpful
third MRI discriminator concerns the predominant localization of
the abnormalities.
• The major preferential localizations are frontal, parieto-occipital,
periventricular, subcortical, diffuse cerebral, and posterior fossa.
Patterns of involvement
• Frontal predominance :
– Alexander disease
– Frontal variant of X-linked adrenoleukodystrophy
– Metachromatic leukodystrophy (especially in adults)
– Neuroaxonal leukodystrophy with spheroids
Patterns of involvement
• Parieto-occipital predominance
– X-linked adrenoleukodystrophy
– Krabbe disease.
– Early onset peroxisomal disorders
• Subcortical predominance with sparing of periventricular regions
– Canavan disease
– Urea cycle defects
– L2 hydroxyglutaric aciduria
– Propionic acidemia
– Kearns Sayre Syndrome
Patterns of involvement
• Periventricular predominance with preservation of the U-fibers
– Metachromatic leukodystrophy
– Krabbe disease
– Sjogren – Larsson syndrome
– Adult polyglucosan body disease
– LBSL leukoencephalopathy with brainstem
and spinal cord involvement and lactate
elevation
Patterns of involvement
• Diffuse cerebral involvement
– Megalencephalic leukoencephalopathy with subcortical cysts
– Childhood ataxia with central hypomyelination/vWM disease
– End stages of almost all LD’s
Patterns of involvement
• Cerebellar Involvement + Middle cerebellar peduncles
– Cerebrotendinous xanthomatosis
– Several peroxisomal disorders
– Alexander disease
– LBSL – leukoencephalopathy with brainstem and spinal cord
involvement and lactate elevation
– Early onset maple syrup urine disease
Patterns of involvement
• Prominent brainstem abnormalities
– Alexander disease
– LBSL
– Krabbe disease
– Peroxisomal disorders
Patterns of involvement
Special MRI Features
• Cystic white matter degeneration
– Childhood ataxia and central hypomyelination / vanishing
white matter (CACH/VWM)
– Mitochondrial defects
– Alexander disease
– Neonatal energy depletion (inborn error or exogenous),
including hypoglycemia
– Infections, especially in the neonatal period
Special MRI Features
• Anterior temporal cysts
– Megalencephalic leukoencephalopathy with subcortical
cysts (MLC)
– Leukoencephalopathy with anterior temporal cysts without
megalencephaly
– Merosin deficient congenital muscular dystrophy
(inconstant)
– Aicardi-Goutières syndrome (inconstant)
– Congenital cytomegalovirus infection
• Megalencephalic leukoencephalopathies
– Alexander disease
– Megalencephalic leukoencephalopathy with subcortical
cysts (MLC)
– Canavan disease
– Infantile lysosomal storage disorders (inconstant)
– L-2-hydroxyglutaric aciduria (inconstant)
• Enlarged perivascular spaces or small cysts
– Mucopolysaccharidoses
– Chromosomal or genetic mosaicism
– Other chromosomal abnormalities
– Lowe syndrome
Special MRI Features
• Contrast enhancement
– Alexander disease
– Mitochondrial disorders
– Cerebral X-linked adrenoleukodystrophy (X-ALD)
– Leukoencephalopathy with calcifications and cysts (LCC)
• Calcium deposits
– Aicardi-Goutières syndrome
– Cockayne syndrome
– Leukoencephalopathy with calcifications and cysts
Special MRI Features
Classic X-ALD
• Spinal cord involvement
– Alexander disease
– Leukoencephalopathy with brain stem and spinal cord
involvement and elevated lactate (LBSL)
– Mitochondrial defects
• MRS Findings
– Elevated lactate
• LBSL
• Mitochondrial disorders
– Elevated NAA
• Canavan Disease
Special MRI Features
DIAGNOSIS – LAB
TESTS
Electrophysiology
• Evoked potentials and nerve conduction velocities, particularly
after the first decade, can reveal symmetric involvement of
long spinal tracts and peripheral nerves
• The presence of peripheral nerve involvement on nerve
conduction studies (NCS) can prove valuable in differentiating
certain leukodystrophies from others.
• Eg: patients with X-ALD show normal nerve conduction
velocities, while patients with metachromatic or globoid cell
leukodystrophy commonly display abnormalities
Electrophysiology
• The various hypomyelinating dystrophies are also identified
with the help of NCV studies
• In Krabbe disease, the severity of abnormalities in NCS appears
to correlate with clinical severity
Husain AM, Altuwaijri M, Aldosari M. Krabbe disease: neurophysiologic studies and MRI
correlations. Neurology63(4), 617–620 (2004)
Evoked potentials
• For boys with X-ALD, brainstem auditory evoked
responses (BAER) are usually normal in the first decade of
life.
• BAER later become abnormal in the course of the disease
when demyelinating lesions extend in the brainstem and
spinal cord.
• Visual evoked potentials (VEP) in X-ALD become
abnormal once there are extensive demyelinating lesions
in the occipital white matter, somatosensory-evoked
potentials and motor-evoked responses even later in the
course of the disease.
Aubourg P,AdamsbaumC, Lavallard-Rousseau MC et al.Brain MRI and electrophysiologic abnormalities in
preclinical and clinical adrenomyeloneuropathy. Neurology42(1), 85–91 (1992)
Laboratory tests in leukodystrophies
Blood
• Cellular elements : Lymphocyte granulation in MLD
• VLCFA Elevated in X-ALD (and other peroxisomal disorders)
• Lysosomal enzyme activities
– Arylsulfatase A low in Metachromatic LD
– Galacto-cerebrosidase low in krabbe disease
– Fucosidase low in Fucosidosis
• Lactate Elevated in LBSL & other mitochondrial disorders
• Cholestanol Elevated in Cerebrotendinous xanthomatosis
Laboratory tests in leukodystrophies
Urine
• Sulfatides - Elevated in Metachromatic LD
• NAA (organic acids) - Elevated in Canavan Disease
• Organic acids - Organic acid disorders
• Free sialic acid - Elevated in Sialic acid storage disorders
Laboratory tests in leukodystrophies
CSF
• Cellular response - Aicardi–Goutières syndrome
• Total protein Elevated in - Krabbe, Metachromatic LD (young
patients)
• Asialo transferrins Elevated in VWMD
• Lactate Elevated in LBSL, other mitochondrial disorders
• Free sialic acid - Elevated in Sialic acid storage Diseases
• Interferon : AGS
Laboratory tests in leukodystrophies
Biopsies
• Skin – most common - useful for morphological studies and
fibroblast cultivation
• MLD: demyelinated nerve fibers may be seen
• Krabbe disease: crystalloid inclusion bodies
• Other inclusion bodies of storage disorders
Medical management
• The prevention of secondary complications, such as
infections and aspirations, are tantamount to preserving
quality of life in leukodystrophy patients.
• This includes prudent use of antibiotics and gastric tube
placement.
Medical management
• More than 70% of male X-ALD patients have
adrenocortical insufficiency.
• As the insufficiency can be latent, adrenocorticotropic
hormone levels need to be followed routinely during
childhood.
• As adrenal replacement can be life saving, families should
be educated about the importance of stress dose steroids.
• Beyond glucocorticoid replacement, some patients require
fludrocortisone and, in the case of hypogonadism,
androgens.
Enzyme replacement & metabolic correction
• Enzyme replacement has been successful in ameliorating
disease in animal models of metachromatic and globoid cell
leukodystrophy, but has not so far been successful in humans
• Lorenzo’s oil is a combination of erucic and oleic acid that is
taken orally and lowers levels of plasma very-long-chain fatty
acids in X-ALD patients.
• This is of value in asymptomatic boys, but unfortunately
does not arrest progression once brain demyelination has set
in.
• In the latter case, even aggressive immune suppression has
failed and only timely bone marrow transplantation can
stabilize patients.
Moser HW, Raymond GV, Lu SE et al. Follow-up of 89 asymptomatic patients with adrenoleukodystrophy
treated with Lorenzo’s oil. Arch. Neurol. 62(7), 1073–1080 (2005)
Cell-based therapies
• Bone marrow transplantation has been efficacious in
certain leukodystrophies and is able to halt progression in
the early stages of cerebral X-ALD.
• The procedure seems less efficacious for MLD, as well as
other leukodystrophies, and carries significant risks and
hazards
• Less than two-thirds of males with X-ALD will ever develop
cerebral disease and a minority of patients with early
cerebral disease may even arrest spontaneously.
Peters C, Charnas LR,TanY et al.Cerebral X-linked adrenoleukodystrophy: the international hematopoietic cell
transplantation experience from 1982 to 1999. Blood 104(3), 881–888 (2004).
Cell-based therapies
• As a result, bone marrow transplantation should not be
regarded as a therapy that all asymptomatic boys with X-
ALD should undergo.
• The success of bone marrow transplantation in the early
stages of the disease has not been demonstrated in boys
with more advanced disease.
• Gene therapy using a lentiviral vector for the correction of
autologous stem cells has recently been developed as a
therapeutic method for X-ALD and MLD.
Benhamida S, Pflumio F, Dubart-KupperschmittA et al.TransducedCD34+cells from adrenoleukodystrophy
patients with HIV-derived vector mediate long-term engraftment of NOD/SCID mice. Mol.Ther. 7(3), 317–324 (2003)
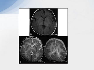
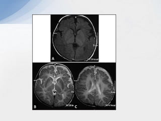
• 5-month-old boy presents with
- Global developmental delay
- Generalized looseness of the body
- Jerky, chaotic eye movements.
• Family history:
Patient was the youngest of 5 siblings, of which 3 female
siblings were healthy, growing appropriately for age, but one
male sibling died of similar complaints at around 5 years of
age.
• O/E : Pendular nystagmus, axial and appendicular hypotonia
,brisk-deep tendon reflexes, and bilateral upgoing plantars
Case 1
Pelizeus-Merzbacher disease
• X-linked hypomyelinating leukoencephalopathy
• Caused by deficiency of proteolipid protein (PLP)
• PLP is encoded by a single gene composed of 7 exons located on
Xq22.2
• Duplications-60-70%
• Deletions-<1%
• Broad clinical continuum
• Connatal PMDClassic PMDSPG-2
Clinical spectrum
phenotype connatal classic SPG
onset neonatal 1 year 1-5yr
Death Childhood
/1st decade
3rd
decade
normal
nystagmus + + absent
hypotonia + Initially + -
ataxia + + -
Other
neurological
signs
Stridor,
seizures
Dystonia,
athetosis
Spastic
urinary
bladder
cognition impaired impaired normal
• A 16-year-old boy presented with seizures and difficulty in walking
since four years .He had complex partial seizures with semiology
suggestive of right temporal lobe with secondary generalization
around 80% of the times.
• The difficulty in walking was due to spasticity. He had decline of
the mental ability with a progressive loss of acquired knowledge
and he had to be withdrawn from school.
• Developmental history was normal in the first few years, except an
increased head size noted during infancy.
• His examination revealed a head size of 59.4 cm. He had spasticity
of all four limbs and hyperreflexia with extensor planter response.
He had mild handgrip weakness and proximal lower limb power of
4/5. He had no ataxia or sensory impairment.
Case 2
Megalencephalic Leukoenphalopathy with
subcortical cysts:Van der knaap disease
• Disorder which is remarkable for its relatively mild neurological signs and
symptoms in the setting of a very abnormal imaging study
• Delayed milestones, macrocephaly
• Slow neurological deterioration with dysarthria and ataxia
• Seizures in some
• In India, predominantly seen in the Agarwal community.
• A four-years-old boy was admitted to our outpatient clinic
with a history of two seizures and a large head size.
• The patient is the first child of unrelated parents without any
family history of neurological disorders and was born after a
full-term pregnancy with no complications.
• Postnatally, he first walked when he was 18 months old. He
spoke single words when he was 2 years old, and he currently
still cannot form sentences.
• When he was 2 years old, he had two generalized tonic clonic
seizures. After the second seizure, treatment with valproic
acid was initiated, and the seizures were controlled.
Case 3
Alexander’s disease
• First described by Alexander in 1949 in a child with macrocephaly
• Classified into 3 forms- infantile, juvenile and adult.
• All 3 forms have mutations in GFAP
• Unique pathology- Rosenthal fibres-astrocytic inclusions
• AD, sporadic : Gain of function mutation
• Onset < 2yrs
• Macrocephaly
• Cognitive + motor deficits
• Seizures
• Bulbar and pseudobulbar signs
of swallowing and/or speech
difficulty
• Lose motor skills in first
decade
• > 2 yrs
• Predominant motor
dysfunction
• Bulbar symptoms , palatal
myoclonus
• Ataxia, tetraparesis,
• Slow disease progression
Infantile form Juvenile /Adult-onset form
• A 1-year-old Ashkenazi Jewish girl who was born at full term
presents with developmental delay.
• She has a history of seizures, blindness, and impaired motor
skills.
• At birth, she had hypotonia, poor head control, and poor
feeding.
• On examination, she has macrocephaly, pale optic discs, and
spasticity in the bilateral lower extremities. There is
hyperreflexia and positive Babinski signs bilaterally.
Case 4
Canavan’s disease
• Caused by deficiency of enzyme aspartoacylase encoded by
ASPA.
• AR disease characterized by spongy degeneration of white
matter of the brain
• More prevalent in Ashkenazi Jewish descent
• Excessive accumulation of N-acetyl aspartic acid in the
brain, especially in the white matter, with massive urinary
excretion of NAA
• Onset 3-6 months
• Progressive macrocephaly, severe hypotonia, persistent head lag
• Later hyperreflexic, hypertonic
• Seizures and optic atrophy
• Most patients die in first decade of life
• 33-year-old woman born from a non-consanguineous marriage
symptomatic since the age of 31, when it was noticed that she had
character changes with respect to negligence of child care
• Because of emotional lability, she was assessed in a psychiatric
hospital and was initially diagnosed with dissociative disorder at
the age of 32.
• She showed a high-arched palate, a foot deformity resembling pes
cavus and had slurred speech.
• Neurological examination showed dysmetria, dysarthria, and
resting tremor. In addition, she was unable to sense vibration and
had diminished tendon reflexes.
• Babinski sign was present on the right and absent on the left. Her
gait was wide-based and spastic. Tandem gait, walking on toes and
on heels, and standing on one foot were performed with difficulty.
On the Mini Mental State Examination (MMSE), she scored 15
(perfect score: 30).
Case 5
MLD
• AR , 22q
• CNS and PNS
• Sulfatide Accumulation
• Three etiologies for sulfatide accumulation
1) Arylsulfatase A deficiency: Most common
2)a deficiency of the sphingolipid activator protein saposin B
3)multiple sulfatase deficiency
• Resulting abnormal myelin composition leads to myelin instabilty and
demyelination
Late Infantile MLD
• Incidence 1/40,000 births
• Onset:
– Insidious, 2nd year of life (early dev usually normal or slight
delay)
• First symptom
– Unsteady gait due to hypotonia at 14-16 mo of age
• 3 different combination of signs may be found in early stages
1. Combination of pyramidal signs and depressed DTR’s
2. A flaccid paraparesis with hypotonia, absent DTR’s and
normal plantars (isolated polyneuropathy stage)
3. Spastic paraplegia with hyperactive DTR’s
• With progression- involvement of upper limbs, dysarthria,
drooling, optic atrophy (1/3rd)
• Death b/w 3 and 7 years of age
Juvenile MLD Adult onset MLD
• Onset b/w 5 and 10 yrs of age
• Previously normal child
develops spastic gait, ataxia
and intellectual impairment
• O/e: brisk DTR’s, upgoing
plantars
• Most patients die within 5 to
10 years of onset.
• Dementia b/w 3rd and 4th
decade
• Schizophrenia in some
• Accompanying
corticobulbar,
corticospinal, and
cerebellar changes.
Approach to leukodystrophy

Approach to leukodystrophy

  • 1.
  • 2.
    Search strategy • Swaiman5th edition • Pubmed – Keywords : leukodystrophy ; late onset/adult onset, metachromatic leukodystrophy; krabbe disease; alexander disease; LBSL; van der knapp disease; • Google scholar
  • 3.
    Outline • Definitions • Clinicalapproach • Neuroimaging • Management • Cases
  • 4.
    • 5-month-old boypresents with - Global developmental delay - Generalized looseness of the body - Jerky, chaotic eye movements. • Family history: Patient was the youngest of 5 siblings, of which 3 female siblings were healthy, growing appropriately for age, but one male sibling died of similar complaints at around 5 years of age. • O/E : Pendular nystagmus, axial and appendicular hypotonia ,brisk-deep tendon reflexes, and bilateral upgoing plantars Case 1
  • 6.
    • Leukodystrophies areheritable disorders affecting the white matter of the central nervous system with or without peripheral nervous system involvement. • These disorders have in common glial cell or myelin sheath abnormalities. Neuropathology is primarily characterized by the involvement of oligodendrocytes , astrocytes and other non-neuronal cell types. A. Vanderver, et al., Case definition and classification of leukodystrophies and leukoencephalopathies, Mol. Genet. Metab. (2015) Definition
  • 7.
    Leukodystrophies do notinclude : • Acquired CNS myelin disorders, such as acquired demyelinating processes, infectious and post-infectious white matter damage, toxic injuries and non-genetic vascular insults. • Inborn errors of metabolism, in which the clinical manifestations of systemic illness, such as liver, muscle, or heart predominate. • Disorders in which there is involvement of neurons in cerebral cortex and other grey matter structures. Definition
  • 8.
    Genetic leukoencephalopathy (gLE): • Disorders with significant, if not primary, white matter abnormalities that do not meet criteria for inclusion as a leukodystrophy. • This may be due to a strong evidence for primary neuronal or vascular involvement or prominent systemic manifestations which overshadow the white matter abnormalities.
  • 9.
    White matter disorders Demyelination Destructionof normal myelin Dysmyelination Formation of abnormal myelin Hypomyelination Disturbance in formation of myelin Delayed myelination Aicardi, Mitchell DISEASESOFTHE NERVOUSSYSTEM IN CHILDHOOD, 3RD EDITION
  • 12.
    Age of onset Leukodystrophies Infant <1yr Globoid Cellleukodystrophy Pelizaeus Merzbacher disease Canavan disease Vanishing white matter disease Megalencephalic leukodystrophy with cysts Aicardi-Goutieres syndrome Hypomyelination with atrophy of the basal ganglia and cerebellum Early childhood 1-5years Metachromatic leukodystrophy Alexander Disease Vanishing white matter disease Megalencephalic leukodystrophy with cysts Hypomyelination with atrophy of the basal ganglia and cerebellum Leukoencephalopathy with brainstem and spinal cord involvement and elevated lactate Giant axonal neuropathy type 1
  • 13.
    Age of onsetLeukodystrophies Juvenile (5-12 years) X Linked ALD Metachromatic leukodystrophy Vanishing White Matter disease Megalencephalic leukodystrophy with cysts Alexander disease Leukoencephalopathy with brainstem and spinal cord involvement and elevated lactate Adolescence, young adulthood Metachromatic leukodystrophy Vanishing white matter disease Leukoencephalopathy with brainstem and spinal cord involvement and elevated lactate Occasional cases of Krabbe, ALD, Alexander disease
  • 14.
    • Patients typicallypresent with gradual or abrupt deterioration of CNS function . • Some have a slow and progressive course, and can be mistaken for static encephalopathies unless a longitudinal view of the disease is taken (e.g. some hypomyelinating conditions) • A minority show slow improvement over time (e.g. LD caused by HEPACAM and EARS2 mutations). Clinical features
  • 15.
    • Consist ofprogressive motor symptoms (mostly spasticity) • This is in contrast with primary neuronal disorders, which usually present with cognitive decline and seizures • Patients may present to the clinician with concerns of delayed acquisition of motor milestones, stagnation of motor development or frank regression in motor skills. • In an infant or young child, delayed motor development is more common in the hypomyelinating disorders, whilst motor regression is more common in the Leukodystrophies with myelin destruction. Clinical features
  • 16.
    • In anolder child the first symptom may be frequent falls or a clumsy gait, and in an adolescent or young adult, deterioration in functional skills such as sporting activities. • Occasionally there is acute deterioration in motor skills in the context of an intercurrent illness or minor head injury (Eg. Vanishing White Matter disease) • Selected LDs lead to prominent loss of cerebellar volume and may present with slowly progressive ataxia • Peripheral sensory neuropathy leading to altered proprioception and imbalance may contribute to alterations in gait, leading to a mixed cerebellar and sensory ataxia Clinical features
  • 17.
    REF : Advancesin the diagnosis of leukodystrophies Future Neurol.(2012) Swaiman 5th edition
  • 20.
    WHITE MATTER GRAYMATTER Early and prominent pyramidal signs Late Early and prominent ataxia Late Dementia appears late Early Psychiatric symptoms are uncommon Present No EPS EPS present Primary optic atrophy may be present Retinal disease may be present Peripheral neuropathy may be associated No neuropathy MRI shows subcortical WM involvement MRI shows cortical involvement
  • 21.
    • Macrocephaly -Alexander disease -Canavandisease -Megalencephalic leukodystrophy with cysts • Microcephaly: - Aicardi-Goutieres syndrome - Cockayne syndrome Clinical features: Neurological
  • 22.
    • Seizures, earlyin course -Alexander disease -Canavan disease -Megalencephalic leukodystrophy with cysts -Cerebrotendinous xanthomatosis -Krabbe’s disease -MLD • Hypotonia: -Canavan disease -MLD -Sialic acid storage disorders -Pelizeus-Merzbacher disease -Peroxisomal biogenesis disorders
  • 23.
    • Peripheral neuropathy -Cerebrotendinousxanthomatosis -Krabbe’s disease -MLD -Some hypomyelinating disorders • Autonomic dysfunction: -Alexander disease -Polyglucosan body disease
  • 24.
    • Ataxia -Alexander disease -vWMdisease -Megalencephalic leukodystrophy with cysts -Krabbe’s disease -MLD -Most hypomyelinating disorders • Isolated spastic paraparesis: -Adrenoleukodystrophy -Krabbe disease -Pelizeus-Merzbacher disease
  • 25.
    • Cognitive impairment -Aicardi-Goutieressyndrome -Canavan disease -Krabbe’s disease • Movement disorder: -4H leukodystrophy -Canavan disease -Pelizeus-Merzbacher disease -HABC
  • 26.
    • Adrenal dysfunction -Adrenoleukodystrophy -Peroxisome biogenesis disorders • Other endocrine disturbances: - 4H Leukodystrophy - Aicardi-Goutieres syndrome - Cockayne syndrome • Sensorineural deafness - Peroxisome biogenesis disorders - SOX10 associated LD - Canavan disease Clinical features: Non-neurological
  • 27.
    • Cataract -Hypomyelination withcongenital cataract -neonatal vWM -Cerebrotendinous xanthomatosis • Retinitis pigmentosa: -Refsum disease -Peroxisome biogenesis disorders • Optic atrophy: -Canavan disease -Peroxisome biogenesis disorders -vWM disease -Hypomyelinating syndromes Clinical features: Ophthalmological
  • 28.
    • Nystagmus :early onset or congenital – Pelizaeus-Merzbacher disease (PMD) – Canavan disease – SOX-10 • Nystagmus : Later onset – 4H leukodystrophy – Oculodentodigital dysplasia – 18q- syndrome Clinical features: Ophthalmological
  • 29.
  • 30.
  • 31.
    • Dental abnormalities -4Hleukodystrophy -Peroxisome biogenesis disorders -Oculodentodigital dysplasia Clinical features: Non-neurological
  • 32.
    • Dysmorphic facies -Peroxisomebiogenesis disorders -Multiple sulfatase deficiency -Sialidosis Clinical features: Non-neurological
  • 33.
    • Skeletal abnormalities -Peroxisomebiogenesis disorders -Multiple sulfatase deficiency -Sialidosis Clinical features: Non-neurological
  • 34.
  • 35.
  • 37.
    • Tendon Xanthomas: Cerebrotendinousxanthomatosis • Hepatosplenomegaly: Lysosomal storage disorders • Gastrointestinal symptoms: CTX: Chronic diarrhea MLD: Gall bladder disease AGS: IBD Clinical features: Non-neurological
  • 38.
    • Ovarian dysgenesis: vWMdisease • Cutaneous: Angiokeratomas: Sialidosis Hyperpigmentation: X-ALD Icthyosis: SLS,Trichothiodystrophy Cutaneous Hypersensitivity: Trichothiodystrophy Cockayne syndrome Clinical features: Non-neurological
  • 39.
  • 41.
    • The firstmyelination is seen as early as the 16th week of gestation, but only really starts from the 24th week. • It does not reach maturity until 2 years . It correlates very closely to developmental milestones . • The progression of myelination is predictable and abides by a few simple general rules; myelination progresses from: 1. central to peripheral 2. caudal to rostral 3. dorsal to ventral 4. sensory then motor Barkovich AJ, Kjos BO, Jackson DE, Norman D. Normal maturation of the neonatal and infant brain: MR imaging at 1.5 T. Radiology 1988 Normal myelination
  • 42.
    Step Wise Approach- First • Is hypomyelination (delayed myelination or permanent hypomyelination) or some other brain white matter pathology present? • A child over 1.5 years of age has accumulated enough myelin to let the white matter appear dark on T2-weighted images. • A high signal on T2-weighted images is, therefore, abnormal for cerebral white matter after this age. • The important differentiation between delayed myelination and permanent hypomyelination can be made on two MRIs with a significant time interval
  • 43.
    Step Wise Approach- First • Delayed myelination is a nonspecific feature observed in almost all children with a delayed development of any cause, whereas permanent hypomyelination comes with a specific differential diagnosis. • Within the first year of life, there is so little myelin in normal infants that it is not possible to diagnose permanent hypomyelination. • So, permanent hypomyelination can be defined as an unchanged pattern of deficient myelination on two MRIs at least 6 months apart in a child older than 1 year.
  • 44.
    De-myelination Vs hypo-myelination Demyelination: •Prominent T2 hyperintensity. • Prominent T1 hypointensity. Hypomyelination: • Mild T2 hyperintensity. • Variable T1 signal (hypo, iso or hyperintense).
  • 47.
    Delayed Myelination • Nonspecific– chromosomal abnormalities, hypoxic injury at birth • SOX 10 related disorders
  • 48.
  • 49.
    •Hypomyelination with Congenital Cataract •Hypomyelination,Hypogonadotropic Hypogonadism& Hypodontia – 4H •Cockayne syndrome •Peripheral neuropathy, Central Hypomyelination, Waardenburg & Hirschprung disease – SOX 10 related •Pelizaeus Merzbacher disease •Pelizaeus Merzbacher like disease •Sialic acid storage disorders – Salla disease •Hypomyelination with atrophy of Basal Ganglia and Cerebellum •Fucosidosis •Oculodentodigital dysplasia •18 q minus syndrome •Trichothiodystrophy (Tay syndrome) •Early onset GM1/GM2 gangliosidosis and infantile neuronal ceroid lipofuscinosis With PNS involvement Without PNS involvement
  • 50.
    Step Wise Approach- Second • The second MRI discriminator concerns the question whether the white matter abnormalities are confluent or isolated and multifocal . • Most genetic white matter disorders (leukodystrophies) present with confluent and bilateral, essentially symmetric, white matter abnormalities; • Multifocal isolated white matter abnormalities, often with an asymmetrical distribution, are most commonly related to acquired disorders
  • 51.
    • Acquired disorderswith confluent pattern: - Toxic leukoencephalopathies, such as related to inhaled heroin - HIV encephalopathy - Delayed posthypoxic demyelination
  • 52.
    • Genetic disorderswith multifocal pattern: -Vasculopathies (CADASIL, amyloid angiopathy, defects in collagen IV, Fabry disease ) -Leukoencephalopathy with brainstem and spinal cord abnormalities (LBSL) - Mucopolysaccharidoses - Galactosemia. - Chromosomal abnormalities eg. chromosomal mosaicism and 6p syndrome
  • 54.
    Step Wise Approach- Third • If the white matter abnormalities are confluent, the most helpful third MRI discriminator concerns the predominant localization of the abnormalities. • The major preferential localizations are frontal, parieto-occipital, periventricular, subcortical, diffuse cerebral, and posterior fossa.
  • 55.
    Patterns of involvement •Frontal predominance : – Alexander disease – Frontal variant of X-linked adrenoleukodystrophy – Metachromatic leukodystrophy (especially in adults) – Neuroaxonal leukodystrophy with spheroids
  • 56.
    Patterns of involvement •Parieto-occipital predominance – X-linked adrenoleukodystrophy – Krabbe disease. – Early onset peroxisomal disorders
  • 57.
    • Subcortical predominancewith sparing of periventricular regions – Canavan disease – Urea cycle defects – L2 hydroxyglutaric aciduria – Propionic acidemia – Kearns Sayre Syndrome Patterns of involvement
  • 58.
    • Periventricular predominancewith preservation of the U-fibers – Metachromatic leukodystrophy – Krabbe disease – Sjogren – Larsson syndrome – Adult polyglucosan body disease – LBSL leukoencephalopathy with brainstem and spinal cord involvement and lactate elevation Patterns of involvement
  • 59.
    • Diffuse cerebralinvolvement – Megalencephalic leukoencephalopathy with subcortical cysts – Childhood ataxia with central hypomyelination/vWM disease – End stages of almost all LD’s Patterns of involvement
  • 60.
    • Cerebellar Involvement+ Middle cerebellar peduncles – Cerebrotendinous xanthomatosis – Several peroxisomal disorders – Alexander disease – LBSL – leukoencephalopathy with brainstem and spinal cord involvement and lactate elevation – Early onset maple syrup urine disease Patterns of involvement
  • 61.
    • Prominent brainstemabnormalities – Alexander disease – LBSL – Krabbe disease – Peroxisomal disorders Patterns of involvement
  • 62.
    Special MRI Features •Cystic white matter degeneration – Childhood ataxia and central hypomyelination / vanishing white matter (CACH/VWM) – Mitochondrial defects – Alexander disease – Neonatal energy depletion (inborn error or exogenous), including hypoglycemia – Infections, especially in the neonatal period
  • 63.
    Special MRI Features •Anterior temporal cysts – Megalencephalic leukoencephalopathy with subcortical cysts (MLC) – Leukoencephalopathy with anterior temporal cysts without megalencephaly – Merosin deficient congenital muscular dystrophy (inconstant) – Aicardi-Goutières syndrome (inconstant) – Congenital cytomegalovirus infection
  • 64.
    • Megalencephalic leukoencephalopathies –Alexander disease – Megalencephalic leukoencephalopathy with subcortical cysts (MLC) – Canavan disease – Infantile lysosomal storage disorders (inconstant) – L-2-hydroxyglutaric aciduria (inconstant) • Enlarged perivascular spaces or small cysts – Mucopolysaccharidoses – Chromosomal or genetic mosaicism – Other chromosomal abnormalities – Lowe syndrome Special MRI Features
  • 65.
    • Contrast enhancement –Alexander disease – Mitochondrial disorders – Cerebral X-linked adrenoleukodystrophy (X-ALD) – Leukoencephalopathy with calcifications and cysts (LCC) • Calcium deposits – Aicardi-Goutières syndrome – Cockayne syndrome – Leukoencephalopathy with calcifications and cysts Special MRI Features
  • 66.
  • 68.
    • Spinal cordinvolvement – Alexander disease – Leukoencephalopathy with brain stem and spinal cord involvement and elevated lactate (LBSL) – Mitochondrial defects • MRS Findings – Elevated lactate • LBSL • Mitochondrial disorders – Elevated NAA • Canavan Disease Special MRI Features
  • 69.
  • 70.
    Electrophysiology • Evoked potentialsand nerve conduction velocities, particularly after the first decade, can reveal symmetric involvement of long spinal tracts and peripheral nerves • The presence of peripheral nerve involvement on nerve conduction studies (NCS) can prove valuable in differentiating certain leukodystrophies from others. • Eg: patients with X-ALD show normal nerve conduction velocities, while patients with metachromatic or globoid cell leukodystrophy commonly display abnormalities
  • 71.
    Electrophysiology • The varioushypomyelinating dystrophies are also identified with the help of NCV studies • In Krabbe disease, the severity of abnormalities in NCS appears to correlate with clinical severity Husain AM, Altuwaijri M, Aldosari M. Krabbe disease: neurophysiologic studies and MRI correlations. Neurology63(4), 617–620 (2004)
  • 72.
    Evoked potentials • Forboys with X-ALD, brainstem auditory evoked responses (BAER) are usually normal in the first decade of life. • BAER later become abnormal in the course of the disease when demyelinating lesions extend in the brainstem and spinal cord. • Visual evoked potentials (VEP) in X-ALD become abnormal once there are extensive demyelinating lesions in the occipital white matter, somatosensory-evoked potentials and motor-evoked responses even later in the course of the disease. Aubourg P,AdamsbaumC, Lavallard-Rousseau MC et al.Brain MRI and electrophysiologic abnormalities in preclinical and clinical adrenomyeloneuropathy. Neurology42(1), 85–91 (1992)
  • 73.
    Laboratory tests inleukodystrophies Blood • Cellular elements : Lymphocyte granulation in MLD • VLCFA Elevated in X-ALD (and other peroxisomal disorders) • Lysosomal enzyme activities – Arylsulfatase A low in Metachromatic LD – Galacto-cerebrosidase low in krabbe disease – Fucosidase low in Fucosidosis • Lactate Elevated in LBSL & other mitochondrial disorders • Cholestanol Elevated in Cerebrotendinous xanthomatosis
  • 74.
    Laboratory tests inleukodystrophies Urine • Sulfatides - Elevated in Metachromatic LD • NAA (organic acids) - Elevated in Canavan Disease • Organic acids - Organic acid disorders • Free sialic acid - Elevated in Sialic acid storage disorders
  • 75.
    Laboratory tests inleukodystrophies CSF • Cellular response - Aicardi–Goutières syndrome • Total protein Elevated in - Krabbe, Metachromatic LD (young patients) • Asialo transferrins Elevated in VWMD • Lactate Elevated in LBSL, other mitochondrial disorders • Free sialic acid - Elevated in Sialic acid storage Diseases • Interferon : AGS
  • 76.
    Laboratory tests inleukodystrophies Biopsies • Skin – most common - useful for morphological studies and fibroblast cultivation • MLD: demyelinated nerve fibers may be seen • Krabbe disease: crystalloid inclusion bodies • Other inclusion bodies of storage disorders
  • 79.
    Medical management • Theprevention of secondary complications, such as infections and aspirations, are tantamount to preserving quality of life in leukodystrophy patients. • This includes prudent use of antibiotics and gastric tube placement.
  • 80.
    Medical management • Morethan 70% of male X-ALD patients have adrenocortical insufficiency. • As the insufficiency can be latent, adrenocorticotropic hormone levels need to be followed routinely during childhood. • As adrenal replacement can be life saving, families should be educated about the importance of stress dose steroids. • Beyond glucocorticoid replacement, some patients require fludrocortisone and, in the case of hypogonadism, androgens.
  • 81.
    Enzyme replacement &metabolic correction • Enzyme replacement has been successful in ameliorating disease in animal models of metachromatic and globoid cell leukodystrophy, but has not so far been successful in humans • Lorenzo’s oil is a combination of erucic and oleic acid that is taken orally and lowers levels of plasma very-long-chain fatty acids in X-ALD patients. • This is of value in asymptomatic boys, but unfortunately does not arrest progression once brain demyelination has set in. • In the latter case, even aggressive immune suppression has failed and only timely bone marrow transplantation can stabilize patients. Moser HW, Raymond GV, Lu SE et al. Follow-up of 89 asymptomatic patients with adrenoleukodystrophy treated with Lorenzo’s oil. Arch. Neurol. 62(7), 1073–1080 (2005)
  • 82.
    Cell-based therapies • Bonemarrow transplantation has been efficacious in certain leukodystrophies and is able to halt progression in the early stages of cerebral X-ALD. • The procedure seems less efficacious for MLD, as well as other leukodystrophies, and carries significant risks and hazards • Less than two-thirds of males with X-ALD will ever develop cerebral disease and a minority of patients with early cerebral disease may even arrest spontaneously. Peters C, Charnas LR,TanY et al.Cerebral X-linked adrenoleukodystrophy: the international hematopoietic cell transplantation experience from 1982 to 1999. Blood 104(3), 881–888 (2004).
  • 83.
    Cell-based therapies • Asa result, bone marrow transplantation should not be regarded as a therapy that all asymptomatic boys with X- ALD should undergo. • The success of bone marrow transplantation in the early stages of the disease has not been demonstrated in boys with more advanced disease. • Gene therapy using a lentiviral vector for the correction of autologous stem cells has recently been developed as a therapeutic method for X-ALD and MLD. Benhamida S, Pflumio F, Dubart-KupperschmittA et al.TransducedCD34+cells from adrenoleukodystrophy patients with HIV-derived vector mediate long-term engraftment of NOD/SCID mice. Mol.Ther. 7(3), 317–324 (2003)
  • 87.
    • 5-month-old boypresents with - Global developmental delay - Generalized looseness of the body - Jerky, chaotic eye movements. • Family history: Patient was the youngest of 5 siblings, of which 3 female siblings were healthy, growing appropriately for age, but one male sibling died of similar complaints at around 5 years of age. • O/E : Pendular nystagmus, axial and appendicular hypotonia ,brisk-deep tendon reflexes, and bilateral upgoing plantars Case 1
  • 89.
    Pelizeus-Merzbacher disease • X-linkedhypomyelinating leukoencephalopathy • Caused by deficiency of proteolipid protein (PLP) • PLP is encoded by a single gene composed of 7 exons located on Xq22.2 • Duplications-60-70% • Deletions-<1% • Broad clinical continuum • Connatal PMDClassic PMDSPG-2
  • 90.
    Clinical spectrum phenotype connatalclassic SPG onset neonatal 1 year 1-5yr Death Childhood /1st decade 3rd decade normal nystagmus + + absent hypotonia + Initially + - ataxia + + - Other neurological signs Stridor, seizures Dystonia, athetosis Spastic urinary bladder cognition impaired impaired normal
  • 91.
    • A 16-year-oldboy presented with seizures and difficulty in walking since four years .He had complex partial seizures with semiology suggestive of right temporal lobe with secondary generalization around 80% of the times. • The difficulty in walking was due to spasticity. He had decline of the mental ability with a progressive loss of acquired knowledge and he had to be withdrawn from school. • Developmental history was normal in the first few years, except an increased head size noted during infancy. • His examination revealed a head size of 59.4 cm. He had spasticity of all four limbs and hyperreflexia with extensor planter response. He had mild handgrip weakness and proximal lower limb power of 4/5. He had no ataxia or sensory impairment. Case 2
  • 93.
    Megalencephalic Leukoenphalopathy with subcorticalcysts:Van der knaap disease • Disorder which is remarkable for its relatively mild neurological signs and symptoms in the setting of a very abnormal imaging study • Delayed milestones, macrocephaly • Slow neurological deterioration with dysarthria and ataxia • Seizures in some • In India, predominantly seen in the Agarwal community.
  • 94.
    • A four-years-oldboy was admitted to our outpatient clinic with a history of two seizures and a large head size. • The patient is the first child of unrelated parents without any family history of neurological disorders and was born after a full-term pregnancy with no complications. • Postnatally, he first walked when he was 18 months old. He spoke single words when he was 2 years old, and he currently still cannot form sentences. • When he was 2 years old, he had two generalized tonic clonic seizures. After the second seizure, treatment with valproic acid was initiated, and the seizures were controlled. Case 3
  • 96.
    Alexander’s disease • Firstdescribed by Alexander in 1949 in a child with macrocephaly • Classified into 3 forms- infantile, juvenile and adult. • All 3 forms have mutations in GFAP • Unique pathology- Rosenthal fibres-astrocytic inclusions • AD, sporadic : Gain of function mutation
  • 97.
    • Onset <2yrs • Macrocephaly • Cognitive + motor deficits • Seizures • Bulbar and pseudobulbar signs of swallowing and/or speech difficulty • Lose motor skills in first decade • > 2 yrs • Predominant motor dysfunction • Bulbar symptoms , palatal myoclonus • Ataxia, tetraparesis, • Slow disease progression Infantile form Juvenile /Adult-onset form
  • 99.
    • A 1-year-oldAshkenazi Jewish girl who was born at full term presents with developmental delay. • She has a history of seizures, blindness, and impaired motor skills. • At birth, she had hypotonia, poor head control, and poor feeding. • On examination, she has macrocephaly, pale optic discs, and spasticity in the bilateral lower extremities. There is hyperreflexia and positive Babinski signs bilaterally. Case 4
  • 101.
    Canavan’s disease • Causedby deficiency of enzyme aspartoacylase encoded by ASPA. • AR disease characterized by spongy degeneration of white matter of the brain • More prevalent in Ashkenazi Jewish descent • Excessive accumulation of N-acetyl aspartic acid in the brain, especially in the white matter, with massive urinary excretion of NAA
  • 102.
    • Onset 3-6months • Progressive macrocephaly, severe hypotonia, persistent head lag • Later hyperreflexic, hypertonic • Seizures and optic atrophy • Most patients die in first decade of life
  • 103.
    • 33-year-old womanborn from a non-consanguineous marriage symptomatic since the age of 31, when it was noticed that she had character changes with respect to negligence of child care • Because of emotional lability, she was assessed in a psychiatric hospital and was initially diagnosed with dissociative disorder at the age of 32. • She showed a high-arched palate, a foot deformity resembling pes cavus and had slurred speech. • Neurological examination showed dysmetria, dysarthria, and resting tremor. In addition, she was unable to sense vibration and had diminished tendon reflexes. • Babinski sign was present on the right and absent on the left. Her gait was wide-based and spastic. Tandem gait, walking on toes and on heels, and standing on one foot were performed with difficulty. On the Mini Mental State Examination (MMSE), she scored 15 (perfect score: 30). Case 5
  • 105.
    MLD • AR ,22q • CNS and PNS • Sulfatide Accumulation • Three etiologies for sulfatide accumulation 1) Arylsulfatase A deficiency: Most common 2)a deficiency of the sphingolipid activator protein saposin B 3)multiple sulfatase deficiency • Resulting abnormal myelin composition leads to myelin instabilty and demyelination
  • 106.
    Late Infantile MLD •Incidence 1/40,000 births • Onset: – Insidious, 2nd year of life (early dev usually normal or slight delay) • First symptom – Unsteady gait due to hypotonia at 14-16 mo of age • 3 different combination of signs may be found in early stages 1. Combination of pyramidal signs and depressed DTR’s 2. A flaccid paraparesis with hypotonia, absent DTR’s and normal plantars (isolated polyneuropathy stage) 3. Spastic paraplegia with hyperactive DTR’s • With progression- involvement of upper limbs, dysarthria, drooling, optic atrophy (1/3rd) • Death b/w 3 and 7 years of age
  • 107.
    Juvenile MLD Adultonset MLD • Onset b/w 5 and 10 yrs of age • Previously normal child develops spastic gait, ataxia and intellectual impairment • O/e: brisk DTR’s, upgoing plantars • Most patients die within 5 to 10 years of onset. • Dementia b/w 3rd and 4th decade • Schizophrenia in some • Accompanying corticobulbar, corticospinal, and cerebellar changes.