ADVANTAGES 
 Rapidity 
 Accessibility 
 No radiation 
 Follow up of lesions
 Cost effective 
 Patient friendly 
 Real time display 
 Better than CT in subtle lesion of sclera and optic 
nerve
DISADVANTAGES 
 Less resolution than CT and MR 
 Less magnification 
 No coronal view 
 No view of adjacent structures
METHOD 
 Contact method 
 5-10 MHz frequency 
 Horizontal plane preferred 
 Vertical plane useful in upper anterior orbit and 
inf. Rectus examination.
ORBITAL PATHOLOGIES 
CHILDREN 
 Orbital cellulitis 
 Rhabdomyosarcoma 
 Dermoid and epidermoid cysts 
 Capillary hemangioma and lymphangioma 
 Optic nerve glioma
 Histiocytosis X 
 Leukemia 
 Orbital pseudotumor 
 Neurofibroma 
 Metastatic neuroblastoma
ADULTS 
 Thyroid ophthalmopathy 
 Orbital pseudotumor 
 Cavernous hemangioma 
 Lymphoproliferative disorders 
 Meningioma
ORBITAL CELLULITIS
 Vision and life threatening 
 Causes 
 Trauma 
 Extension of infection like sinusitis
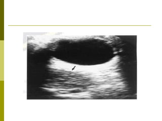
superior orbit showing fluid-filled pockets (white arrows)
Posterior scleral thickening on B-ultrasound scan
RHABDOMYOSARCOMA 
 Commonest malignant orbital tumor of childhood 
 Around 7 yrs age 
 Rapidly progressive proptosis 
 Usually in superio-nasal quadrant 
 Low reflective irregular mass with good 
penetration of sound beam
 A cone-shaped rhabdomyosarcoma (arrowheads) is seen in the 
orbit behind the eyeball. The optic nerve (black arrow) is partially 
encased by the tumor. Note the retinal detachment (white arrow) 
in the eye. The patient was a five-year-old child.
DERMOID CYST
 most common orbital cystic lesion. 
 They are lined with keratinizing epidermis and 
filled with dermal appendages. 
 Epidermoid cysts are lined by only epidermis and 
are usually filled with keratin. 
 smooth, painless, oval mass that slowly enlarges. 
 In 75% of cases, the lesion is located in the 
lateral brow adjacent to the zygomatic frontal 
suture.
 Dermoid. (A) An 18-month-old child with an eyelid mass. (B) High-resolution 
ultrasound of the temporal aspect of the upper eyelid 
demonstrates an oval anechoic lesion with smooth borders. A blood 
vessel (arrow) is demonstrated by this color Doppler examination only 
around the lesion, with no evidence of blood vessels entering it.
CAPILLARY HEMANGIOMA
 most common vascular tumor of childhood, 
 manifest primarily in the first year of life. 
 involutional phase in 75% over 4 to 7 years. 
 Presentation is usually at birth in the upper eyelid 
or superior orbit, which is strawberry in color 
(superficial) or bluish (deeper).
 They may cause ptosis, strabismus, 
anisometropia, and occlusion amblyopia 
 Less reflective than cavernous type due to small 
vascular channels and scant stroma. 
 Prominent arterial supply gives a positive doppler 
phenomenon
 Superficial orbital hemagioma. (A) A 2-month-old child with a right upper 
mass. (B) High-resolution ultrasound of the temporal aspect of the upper 
eyelid demonstrates a smooth lesion with regular borders and multiple 
intercalating networks of blood vessels within (arrow).
 Deep orbital hemagioma. (A) A 3-month-old child with a right upper nasal 
mass. (B) High-resolution color Doppler ultrasound of the nasal aspect of 
the orbit demonstrates an intraorbital hypoechoic lesion with blood 
vessels within (arrow).
OPTIC NERVE GLIOMA 
 Benign congenital hamartoma 
 Usually 4-8 yrs age 
 Manifest as visual loss and proptosis 
 Ultrasound shows fusiform or irregular 
expansion of optic nerve 
 Low reflective with poor acoustic transmission
THYROID OPHTHALMOPATHY
 Graves' disease is the most common cause of 
bilateral proptosis. 
 Seventy percent of cases are bilateral and 
symmetrical. 
 There is a four-to-one female preponderance. 
 The disease is characterized by symmetrical 
swelling of the extra ocular muscles. 
 The medial and inferior rectus muscles are most 
often involved.
 The muscle enlargement characteristically 
involves the body of the muscle, sparing the 
tendinous attachment to the globe. 
 On ultrasound muscle have medium to high 
reflectivity due to separation of muscle 
fibres by edema and inflammatory cells 
 Severity assessed by medial rectus width by 
electronic calliper. Upper normal limit is 4mm 
 Other features are increased orbital fat and 
orbital edema seen as fluid with in tenon’s 
capsule and encysted spaces with in orbital fat
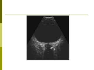
Enlarged belly of inferior rectus. Vertical scan
PSEUDOTUMOR 
 non-specific inflammation of orbital tissues. 
 unilateral and accounts for 25% of all cases of 
unilateral exophthalmos. 
 Acute onset 
 Middle aged patients 
 Includes myositis, dacryoadenitis, periscleritis, 
perineuritis and diffuse condition.
 Ultrasound shows low reflective lesion 
 Smooth or irregularly shaped 
 In diffuse form, orbital fat gives mottled 
appearance 
 Myositis is seen as enlargement of whole of extra 
ocular muscle 
 T sign… edema in tenon’s capsule along optic 
nerve sheath
 Scleral thickening, T sign, choroidal 
effusion
T sign….. arrows
CAVERNOUS HEMANGIOMA 
 Commonest benign orbital tumor in adults 
 2nd to 5th decade of life 
 Slowly progressive unilateral proptosis 
 Ultrasound shows transonic mass with 
echoes of medium to strong reflectivity
 Poor attenuation of sound beam 
 Negative doppler phenomenon 
 Calcified phleboliths may be seen
37-year-old man with hemangioma of orbit.
37-year-old man with hemangioma of orbit.
ARTERIOVENOUS FISTULA 
 Carotid-cavernous fistula and dural-cavernous 
arteriovenous malformation 
 Develop spontaneously or after trauma 
 Pulsatile proptosis 
 Diagnosed by color doppler 
 Blood flow is reversed in superior ophthalmic 
vein
Arterialized blood flow in superior ophthalmic vein
ORBITAL LYMPHOMA 
 Usually non-hodgkin type 
 Above 60 yrs age 
 Any part of orbit 
 Ultrasound shows elongated low reflective 
oval mass
METASTASIS 
 40 % of children with neuroblastoma 
 Others from Ewing's sarcoma, wilms tumor, 
leukemia 
 In adults metastasis usually arise from primaries 
in bronchus, breast, prostate, kidney and GIT
Orbital mets (arrow) displacing optic nerve
NEURILEMMOMA 
 Optic nerve tumor 
 Usually in superior orbit 
 On ultrasound low to medium amplitude echoes 
and cystic areas
Neurilemomma 
a well-defined heterogenous mass with cystic spaces
OPTIC NERVE SHEATH MENINGIOMA 
 Optic nerve sheath meningioma arise from 
arachnoid villi 
 Unilateral 
 Slowly progressive visual impairment 
 Causes optic nerve compression, proptosis. 
 Ultrasound shows diffuse/focal broadening 
of optic nerve with high reflectivity
Thank you

Eye ultrasound

  • 2.
    ADVANTAGES  Rapidity  Accessibility  No radiation  Follow up of lesions
  • 3.
     Cost effective  Patient friendly  Real time display  Better than CT in subtle lesion of sclera and optic nerve
  • 4.
    DISADVANTAGES  Lessresolution than CT and MR  Less magnification  No coronal view  No view of adjacent structures
  • 5.
    METHOD  Contactmethod  5-10 MHz frequency  Horizontal plane preferred  Vertical plane useful in upper anterior orbit and inf. Rectus examination.
  • 6.
    ORBITAL PATHOLOGIES CHILDREN  Orbital cellulitis  Rhabdomyosarcoma  Dermoid and epidermoid cysts  Capillary hemangioma and lymphangioma  Optic nerve glioma
  • 7.
     Histiocytosis X  Leukemia  Orbital pseudotumor  Neurofibroma  Metastatic neuroblastoma
  • 8.
    ADULTS  Thyroidophthalmopathy  Orbital pseudotumor  Cavernous hemangioma  Lymphoproliferative disorders  Meningioma
  • 9.
  • 10.
     Vision andlife threatening  Causes  Trauma  Extension of infection like sinusitis
  • 11.
    superior orbit showingfluid-filled pockets (white arrows)
  • 12.
    Posterior scleral thickeningon B-ultrasound scan
  • 13.
    RHABDOMYOSARCOMA  Commonestmalignant orbital tumor of childhood  Around 7 yrs age  Rapidly progressive proptosis  Usually in superio-nasal quadrant  Low reflective irregular mass with good penetration of sound beam
  • 14.
     A cone-shapedrhabdomyosarcoma (arrowheads) is seen in the orbit behind the eyeball. The optic nerve (black arrow) is partially encased by the tumor. Note the retinal detachment (white arrow) in the eye. The patient was a five-year-old child.
  • 16.
  • 17.
     most commonorbital cystic lesion.  They are lined with keratinizing epidermis and filled with dermal appendages.  Epidermoid cysts are lined by only epidermis and are usually filled with keratin.  smooth, painless, oval mass that slowly enlarges.  In 75% of cases, the lesion is located in the lateral brow adjacent to the zygomatic frontal suture.
  • 18.
     Dermoid. (A)An 18-month-old child with an eyelid mass. (B) High-resolution ultrasound of the temporal aspect of the upper eyelid demonstrates an oval anechoic lesion with smooth borders. A blood vessel (arrow) is demonstrated by this color Doppler examination only around the lesion, with no evidence of blood vessels entering it.
  • 19.
  • 20.
     most commonvascular tumor of childhood,  manifest primarily in the first year of life.  involutional phase in 75% over 4 to 7 years.  Presentation is usually at birth in the upper eyelid or superior orbit, which is strawberry in color (superficial) or bluish (deeper).
  • 21.
     They maycause ptosis, strabismus, anisometropia, and occlusion amblyopia  Less reflective than cavernous type due to small vascular channels and scant stroma.  Prominent arterial supply gives a positive doppler phenomenon
  • 22.
     Superficial orbitalhemagioma. (A) A 2-month-old child with a right upper mass. (B) High-resolution ultrasound of the temporal aspect of the upper eyelid demonstrates a smooth lesion with regular borders and multiple intercalating networks of blood vessels within (arrow).
  • 23.
     Deep orbitalhemagioma. (A) A 3-month-old child with a right upper nasal mass. (B) High-resolution color Doppler ultrasound of the nasal aspect of the orbit demonstrates an intraorbital hypoechoic lesion with blood vessels within (arrow).
  • 24.
    OPTIC NERVE GLIOMA  Benign congenital hamartoma  Usually 4-8 yrs age  Manifest as visual loss and proptosis  Ultrasound shows fusiform or irregular expansion of optic nerve  Low reflective with poor acoustic transmission
  • 26.
  • 27.
     Graves' diseaseis the most common cause of bilateral proptosis.  Seventy percent of cases are bilateral and symmetrical.  There is a four-to-one female preponderance.  The disease is characterized by symmetrical swelling of the extra ocular muscles.  The medial and inferior rectus muscles are most often involved.
  • 28.
     The muscleenlargement characteristically involves the body of the muscle, sparing the tendinous attachment to the globe.  On ultrasound muscle have medium to high reflectivity due to separation of muscle fibres by edema and inflammatory cells  Severity assessed by medial rectus width by electronic calliper. Upper normal limit is 4mm  Other features are increased orbital fat and orbital edema seen as fluid with in tenon’s capsule and encysted spaces with in orbital fat
  • 29.
    Enlarged belly ofinferior rectus. Vertical scan
  • 32.
    PSEUDOTUMOR  non-specificinflammation of orbital tissues.  unilateral and accounts for 25% of all cases of unilateral exophthalmos.  Acute onset  Middle aged patients  Includes myositis, dacryoadenitis, periscleritis, perineuritis and diffuse condition.
  • 33.
     Ultrasound showslow reflective lesion  Smooth or irregularly shaped  In diffuse form, orbital fat gives mottled appearance  Myositis is seen as enlargement of whole of extra ocular muscle  T sign… edema in tenon’s capsule along optic nerve sheath
  • 34.
     Scleral thickening,T sign, choroidal effusion
  • 35.
  • 36.
    CAVERNOUS HEMANGIOMA Commonest benign orbital tumor in adults  2nd to 5th decade of life  Slowly progressive unilateral proptosis  Ultrasound shows transonic mass with echoes of medium to strong reflectivity
  • 37.
     Poor attenuationof sound beam  Negative doppler phenomenon  Calcified phleboliths may be seen
  • 38.
    37-year-old man withhemangioma of orbit.
  • 39.
    37-year-old man withhemangioma of orbit.
  • 40.
    ARTERIOVENOUS FISTULA Carotid-cavernous fistula and dural-cavernous arteriovenous malformation  Develop spontaneously or after trauma  Pulsatile proptosis  Diagnosed by color doppler  Blood flow is reversed in superior ophthalmic vein
  • 41.
    Arterialized blood flowin superior ophthalmic vein
  • 42.
    ORBITAL LYMPHOMA Usually non-hodgkin type  Above 60 yrs age  Any part of orbit  Ultrasound shows elongated low reflective oval mass
  • 45.
    METASTASIS  40% of children with neuroblastoma  Others from Ewing's sarcoma, wilms tumor, leukemia  In adults metastasis usually arise from primaries in bronchus, breast, prostate, kidney and GIT
  • 46.
    Orbital mets (arrow)displacing optic nerve
  • 48.
    NEURILEMMOMA  Opticnerve tumor  Usually in superior orbit  On ultrasound low to medium amplitude echoes and cystic areas
  • 49.
    Neurilemomma a well-definedheterogenous mass with cystic spaces
  • 50.
    OPTIC NERVE SHEATHMENINGIOMA  Optic nerve sheath meningioma arise from arachnoid villi  Unilateral  Slowly progressive visual impairment  Causes optic nerve compression, proptosis.  Ultrasound shows diffuse/focal broadening of optic nerve with high reflectivity
  • 52.