Embed presentation
Downloaded 32 times









































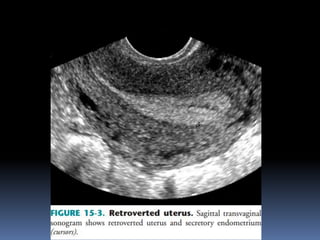
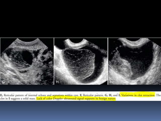
This document contains an image gallery from Dr. Mohit Goel showing various uterine anomalies and ovarian cysts. It includes images of an arcuate and unicornuate uterus, endometritis, a twisted ovarian pedicle, dermoid cysts of varying sizes and echogenicity containing hair, fat, and calcifications, and a combination dermoid cyst showing both mesh and plug structures. The gallery provides ultrasound images of different gynecological conditions for medical education and reference.







































